JavaScript is disabled in your browser. Please enable JavaScript to view this website.
AB315838

Anti-Lamin A + Lamin C antibody [RM1093]

  • BOND RX™ Validated
  • 20ul selling size
  • RabMAb
  • Recombinant
  • KO Validated
  • What is this?

Be the first to review this product! Submit a review

|

(1 Publication)

Knockout Tested Rabbit Recombinant Multiclonal Lamin-A/C antibody. Suitable for WB, IHC-P, ICC/IF, IP and reacts with Human, Mouse, Rat samples. Cited in 1 publication.

View Alternative Names

LMN1, LMNA, Prelamin-A/C

13 Images
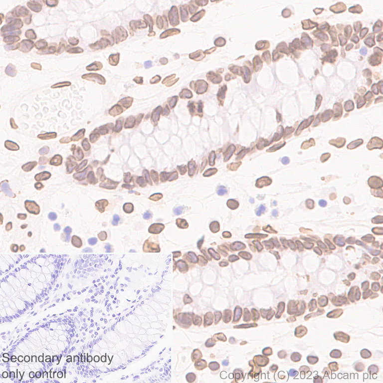
Immunohistochemistry (Formalin/PFA-fixed paraffin-embedded sections) - Anti-Lamin A + Lamin C antibody [RM1093] (AB315838)
  • IHC-P

Supplier Data

Immunohistochemistry (Formalin/PFA-fixed paraffin-embedded sections) - Anti-Lamin A + Lamin C antibody [RM1093] (AB315838)

Immunohistochemical analysis of paraffin-embedded Human colon tissue labeling Lamin A + Lamin C with ab315838 at 1/5000 (0.102 ug/ml) dilution, followed by a ready to use LeicaDS9800 (Bond™ Polymer Refine Detection).

Nuclear envelope staining on human colon.
The section was incubated with ab315838 for 30 mins at room temperature.
The immunostaining was performed on a Leica Biosystems BOND® RX instrument.

Counterstained with Hematoxylin.

Secondary antibody only control : Secondary antibody is a ready to use LeicaDS9800 (Bond™ Polymer Refine Detection).

Heat mediated antigen retrieval was performed with Tris-EDTA buffer (pH 9.0, Epitope Retrieval Solution2) for 20 mins.

Immunocytochemistry/ Immunofluorescence - Anti-Lamin A + Lamin C antibody [RM1093] (AB315838)
  • ICC/IF

Supplier Data

Immunocytochemistry/ Immunofluorescence - Anti-Lamin A + Lamin C antibody [RM1093] (AB315838)

Immunofluorescent analysis of 100% methanol-fixed, 0.1% TritonX-100 permeabilized LMNA knock out HeLa (LMNA knockout human cervical adenocarcinoma epithelial cell) cells labelling Lamin A + Lamin C with ab315838 at 1/50000 (0.01 ug/ml) dilution, followed by ab150081 Goat Anti-Rabbit IgG H&L (Alexa Fluor® 488) preadsorbed antibody at 1/1000 2ug/ml dilution (Green).

Confocal image showing nuclear staining in wild-type HeLa cell line, and no staining in LMNA knock out HeLa cell line.
Image was taken with a confocal microscope(Leica-Microsystems, TCS SP8).

ab195889 Anti-alpha Tubulin mouse monoclonal antibody - Microtubule Marker (Alexa Fluor® 594) was used to counterstain tubulin at 1/200 2.5ug/ml dilution (Red). The Nuclear counterstain was DAPI (Blue).

Secondary antibody only control : Secondary antibody is ab150081 Goat Anti-Rabbit IgG H&L (Alexa Fluor® 488) preadsorbed at 1/1000 2ug/ml dilution.

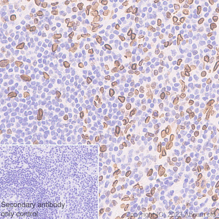
Immunohistochemistry (Formalin/PFA-fixed paraffin-embedded sections) - Anti-Lamin A + Lamin C antibody [RM1093] (AB315838)
  • IHC-P

Supplier Data

Immunohistochemistry (Formalin/PFA-fixed paraffin-embedded sections) - Anti-Lamin A + Lamin C antibody [RM1093] (AB315838)

Immunohistochemical analysis of paraffin-embedded Human spleen tissue labeling Lamin A + Lamin C with ab315838 at 1/5000 (0.102 ug/ml) dilution, followed by a ready to use LeicaDS9800 (Bond™ Polymer Refine Detection).

Nuclear envelope staining on human spleen.
The section was incubated with ab315838 for 30 mins at room temperature.
The immunostaining was performed on a Leica Biosystems BOND® RX instrument.

Counterstained with Hematoxylin.

Secondary antibody only control : Secondary antibody is a ready to use LeicaDS9800 (Bond™ Polymer Refine Detection).

Heat mediated antigen retrieval was performed with Tris-EDTA buffer (pH 9.0, Epitope Retrieval Solution2) for 20 mins.

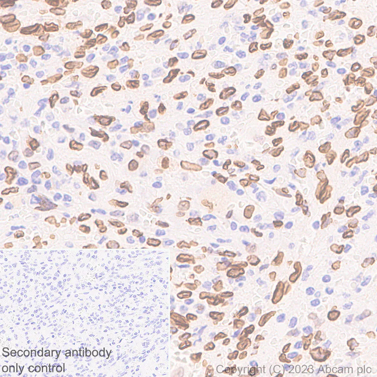
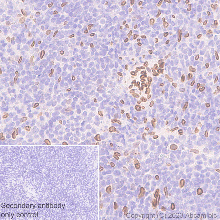
Immunohistochemistry (Formalin/PFA-fixed paraffin-embedded sections) - Anti-Lamin A + Lamin C antibody [RM1093] (AB315838)
  • IHC-P

Supplier Data

Immunohistochemistry (Formalin/PFA-fixed paraffin-embedded sections) - Anti-Lamin A + Lamin C antibody [RM1093] (AB315838)

Immunohistochemical analysis of paraffin-embedded Human tonsil tissue labeling Lamin A + Lamin C with ab315838 at 1/5000 (0.102 ug/ml) dilution, followed by a ready to use LeicaDS9800 (Bond™ Polymer Refine Detection).

Nuclear envelope staining on human tonsil.
The section was incubated with ab315838 for 30 mins at room temperature.
The immunostaining was performed on a Leica Biosystems BOND® RX instrument.

Counterstained with Hematoxylin.

Secondary antibody only control : Secondary antibody is a ready to use LeicaDS9800 (Bond™ Polymer Refine Detection).

Heat mediated antigen retrieval was performed with Tris-EDTA buffer (pH 9.0, Epitope Retrieval Solution2) for 20 mins.

Immunoprecipitation - Anti-Lamin A + Lamin C antibody [RM1093] (AB315838)
  • IP

Supplier Data

Immunoprecipitation - Anti-Lamin A + Lamin C antibody [RM1093] (AB315838)

Lamin A + Lamin C was immunoprecipitated from 0.35 mg Hela (human cervical adenocarcinoma epithelial cell) whole cell lysate with ab315838 at 1/30 dilution (2ug in 0.35mg lysates). Western blot was performed on the immunoprecipitate using ab315838 at 1/1000 dilution. VeriBlot for IP secondary antibody(HRP)(ab131366) was used at 1/5000 dilution.

Blocking and diluting buffer and concentration : 5% NFDM/TBST.

All lanes:

Immunoprecipitation - Anti-Lamin A + Lamin C antibody [RM1093] (ab315838) at 1/1000 dilution

Lane 1:

Hela (human cervical adenocarcinoma epithelial cell) whole cell lysate

Lane 2:

ab315838 at 1/30 IP in Hela (human cervical adenocarcinoma epithelial cell) whole cell lysate

Lane 3:

Rabbit monoclonal IgG (<a href='/en-us/products/primary-antibodies/rabbit-igg-monoclonal-epr25a-isotype-control-ab172730'>ab172730</a>) instead of ab315838 in HeLa whole cell lysate

Secondary

All lanes:

Immunoprecipitation - VeriBlot for IP Detection Reagent (HRP) (<a href='/en-us/products/reagents/veriblot-for-ip-detection-reagent-hrp-ab131366'>ab131366</a>) at 1/5000 dilution

false

Exposure time: 3s

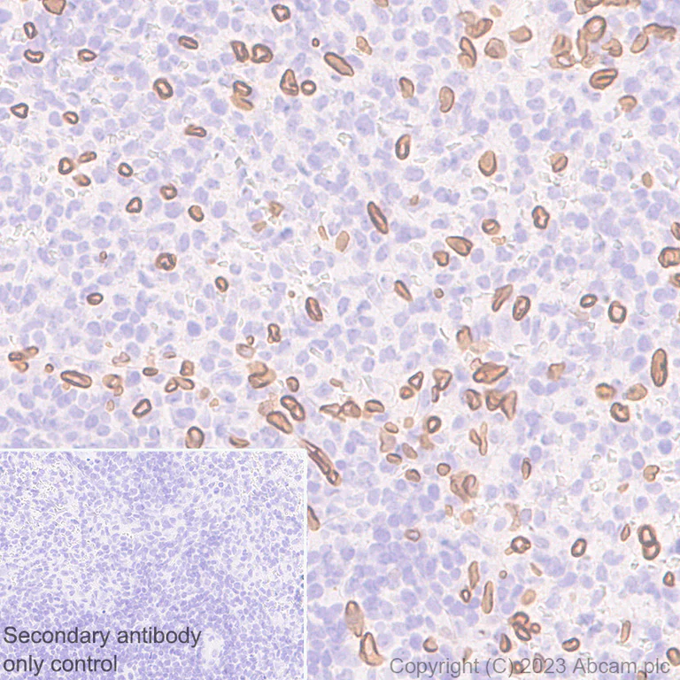
Immunohistochemistry (Formalin/PFA-fixed paraffin-embedded sections) - Anti-Lamin A + Lamin C antibody [RM1093] (AB315838)
  • IHC-P

Supplier Data

Immunohistochemistry (Formalin/PFA-fixed paraffin-embedded sections) - Anti-Lamin A + Lamin C antibody [RM1093] (AB315838)

Immunohistochemical analysis of paraffin-embedded Mouse spleen tissue labeling Lamin A + Lamin C with ab315838 at 1/2000 (0.254 ug/ml) dilution, followed by a ready to use LeicaDS9800 (Bond™ Polymer Refine Detection).

Nuclear envelope staining on mouse spleen.
The section was incubated with ab315838 for 30 mins at room temperature.
The immunostaining was performed on a Leica Biosystems BOND® RX instrument.

Counterstained with Hematoxylin.

Secondary antibody only control : Secondary antibody is a ready to use LeicaDS9800 (Bond™ Polymer Refine Detection).

Heat mediated antigen retrieval was performed with Tris-EDTA buffer (pH 9.0, Epitope Retrieval Solution2) for 20 mins.

Immunocytochemistry/ Immunofluorescence - Anti-Lamin A + Lamin C antibody [RM1093] (AB315838)
  • ICC/IF

Supplier Data

Immunocytochemistry/ Immunofluorescence - Anti-Lamin A + Lamin C antibody [RM1093] (AB315838)

Immunofluorescent analysis of 100% methanol-fixed, 0.1% TritonX-100 permeabilized NIH/3T3 (mouse embryonic fibroblast cell) cells labelling Lamin A + Lamin C with ab315838 at 1/500 (1.016 ug/ml) dilution, followed by ab150081 Goat Anti-Rabbit IgG H&L (Alexa Fluor® 488) preadsorbed antibody at 1/1000 2ug/ml dilution (Green).

Confocal image showing weak nuclear staining in NIH/3T3 cell line.
Image was taken with a confocal microscope(Leica-Microsystems, TCS SP8).

ab7291 Anti-alpha Tubulin mouse monoclonal antibody was used to counterstain tubulin at 1/1000 1ug/ml dilution (Red). The Nuclear counterstain was DAPI (Blue).

Secondary antibody only control : Secondary antibody is ab150081 Goat Anti-Rabbit IgG H&L (Alexa Fluor® 488) preadsorbed at 1/1000 2ug/ml dilution.

Immunohistochemistry (Formalin/PFA-fixed paraffin-embedded sections) - Anti-Lamin A + Lamin C antibody [RM1093] (AB315838)
  • IHC-P

Supplier Data

Immunohistochemistry (Formalin/PFA-fixed paraffin-embedded sections) - Anti-Lamin A + Lamin C antibody [RM1093] (AB315838)

Immunohistochemical analysis of paraffin-embedded Rat spleen tissue labeling Lamin A + Lamin C with ab315838 at 1/2000 (0.254 ug/ml) dilution, followed by a ready to use LeicaDS9800 (Bond™ Polymer Refine Detection).

Nuclear envelope staining on rat spleen.
The section was incubated with ab315838 for 30 mins at room temperature.
The immunostaining was performed on a Leica Biosystems BOND® RX instrument.

Counterstained with Hematoxylin.

Secondary antibody only control : Secondary antibody is a ready to use LeicaDS9800 (Bond™ Polymer Refine Detection).

Heat mediated antigen retrieval was performed with Tris-EDTA buffer (pH 9.0, Epitope Retrieval Solution2) for 20 mins.

Immunocytochemistry/ Immunofluorescence - Anti-Lamin A + Lamin C antibody [RM1093] (AB315838)
  • ICC/IF

Supplier Data

Immunocytochemistry/ Immunofluorescence - Anti-Lamin A + Lamin C antibody [RM1093] (AB315838)

Immunofluorescent analysis of 100% methanol-fixed, 0.1% TritonX-100 permeabilized C6 (rat glial tumor glial cell) cells labelling Lamin A + Lamin C with ab315838 at 1/500 (1.016 ug/ml) dilution, followed by ab150081 Goat Anti-Rabbit IgG H&L (Alexa Fluor® 488) preadsorbed antibody at 1/1000 2ug/ml dilution (Green).

Confocal image showing nuclear staining in C6 cell line.
Image was taken with a confocal microscope(Leica-Microsystems, TCS SP8).

ab7291 Anti-alpha Tubulin mouse monoclonal antibody was used to counterstain tubulin at 1/1000 1ug/ml dilution (Red). The Nuclear counterstain was DAPI (Blue).

Secondary antibody only control : Secondary antibody is ab150081 Goat Anti-Rabbit IgG H&L (Alexa Fluor® 488) preadsorbed at 1/1000 2ug/ml dilution.

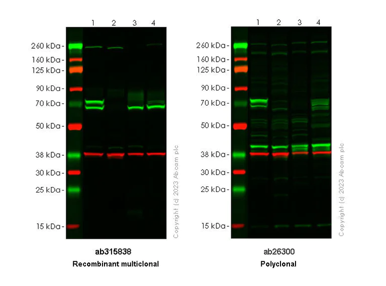
Western blot - Anti-Lamin A + Lamin C antibody [RM1093] (AB315838)
  • WB

Supplier Data

Western blot - Anti-Lamin A + Lamin C antibody [RM1093] (AB315838)

Lysates at 20 µg per lane.

The samples were run on a Bis-Tris gel under reducing conditions.

Western blot : Anti-Lamin A + Lamin C antibody (ab315838) staining at 1/1000 dilution or Anti-Lamin A antibody (ab26300) at 1/1000 dilution, shown in green; Mouse anti-GAPDH antibody [6C5](ab8245) loading control staining at 1/20000 dilution, shown in red.

In Western blot, ab315838 was shown to bind specifically to Lamin A + Lamin C. Target of interest was observed at 70-75 kDa in wild-type Hela cell lysates (lane 1) with no signal observed at this size in LMNA knockout cell line (lane 2, knockout cell line ab261787/knockout cell lysate ab256979). To generate this image, samples were first run on an SDS-PAGE gel then transferred onto an immobilon-FL PVDF membrane. Membranes were blocked in a fluorescent western blot (TBS-based) blocking solution before incubation with primary antibodies overnight at 4 °C. Blots were washed in TBS-T, incubated with secondary antibodies Goat anti-Rabbit IgG H&L 800CW and Goat anti-Mouse IgG H&L 680RD at 1/20000 dilution for 1 h at room temperature, washed again then imaged.

All lanes:

Western blot - Anti-Lamin A + Lamin C antibody [RM1093] (ab315838) at 1/1000 dilution

Lane 1:

Wild-type Hela (human cervical adenocarcinoma epithelial cell) whole cell lysate at 20 µg

Lane 2:

LMNA knockout Hela whole cell lysate at 20 µg

Lane 3:

HeG2 (human hepatocellar carcinoma epithelial cell) whole cell lysate at 20 µg

Lane 4:

SH-SY5Y (human neuroblastoma epithelial cell) whole cell lysate at 20 µg

Secondary

All lanes:

Goat Anti-Rabbit IgG H&L (800CW) and Goat Anti-Mouse IgG H&L (680RD) at 1/20000 dilution

Observed band size: 70-75 kDa,36 kDa

false

Western blot - Anti-Lamin A + Lamin C antibody [RM1093] (AB315838)
  • WB

Supplier Data

Western blot - Anti-Lamin A + Lamin C antibody [RM1093] (AB315838)

The expression molecular weight observed is consistent with what has been described in the literature (PMID : 25473120 and PMID : 11102526).

Blocking and diluting buffer and concentration : 5% NFDM/TBST.

In Western blot, Anti-GAPDH antibody [EPR16891] - Loading Control (ab181602) staining at 1/200000 dilution.

All lanes:

Western blot - Anti-Lamin A + Lamin C antibody [RM1093] (ab315838) at 1/1000 dilution

Lane 1:

HepG2 (human hepatocellar carcinoma epithelial cell) whole cell lysate at 20 µg

Lane 2:

THP-1 (human monocytic leukemia monocyte) whole cell lysate at 20 µg

Lane 3:

SH-SY5Y (human neuroblastoma epithelial cell) whole cell lysate at 20 µg

Lane 4:

Human cerebellum tissue lysate at 20 µg

Lane 5:

Human heart tissue lysate at 20 µg

Lane 6:

Human spleen tissue lysate at 20 µg

Secondary

All lanes:

Western blot - Goat Anti-Rabbit IgG H&L (HRP) (<a href='/en-us/products/secondary-antibodies/goat-rabbit-igg-h-l-hrp-ab97051'>ab97051</a>) at 1/100000 dilution

Observed band size: 70-75 kDa,36 kDa

false

Exposure time: 26s

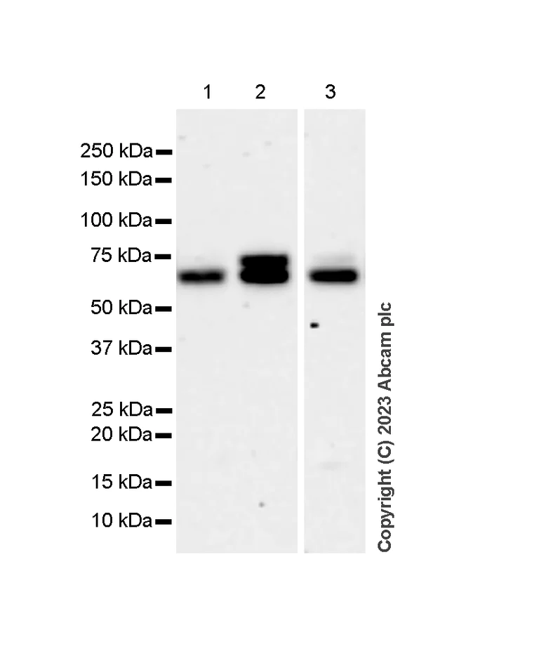
Western blot - Anti-Lamin A + Lamin C antibody [RM1093] (AB315838)
  • WB

Supplier Data

Western blot - Anti-Lamin A + Lamin C antibody [RM1093] (AB315838)

Blocking and diluting buffer and concentration : 5% NFDM/TBST.

All lanes:

Western blot - Anti-Lamin A + Lamin C antibody [RM1093] (ab315838) at 1/1000 dilution

Lane 1:

Mouse brain tissue lysate at 20 µg

Lane 2:

Mouse heart tissue lysate at 20 µg

Lane 3:

Rat brain tissue lysate at 20 µg

Secondary

All lanes:

Western blot - Goat Anti-Rabbit IgG H&L (HRP) (<a href='/en-us/products/secondary-antibodies/goat-rabbit-igg-h-l-hrp-ab97051'>ab97051</a>) at 1/100000 dilution

Observed band size: 70-75 kDa

false

Exposure time: 136s

Western blot - Anti-Lamin A + Lamin C antibody [RM1093] (AB315838)
  • WB

Supplier Data

Western blot - Anti-Lamin A + Lamin C antibody [RM1093] (AB315838)

In Western blot, Anti-GAPDH antibody [EPR16891] - Loading Control (ab181602) staining at 1/200000 dilution.

Blocking and diluting buffer and concentration : 5% NFDM/TBST.

All lanes:

Western blot - Anti-Lamin A + Lamin C antibody [RM1093] (ab315838) at 1/1000 dilution

Lane 1:

C6 (rat glial tumor glial cell) whole cell lysate at 20 µg

Lane 2:

PC-12 (adrenal gland pheochromocytoma) whole cell lysate at 20 µg

Lane 3:

NIH/3T3 (mouse embryonic fibroblast) whole cell lysate at 20 µg

Secondary

All lanes:

Western blot - Goat Anti-Rabbit IgG H&L (HRP) (<a href='/en-us/products/secondary-antibodies/goat-rabbit-igg-h-l-hrp-ab97051'>ab97051</a>) at 1/100000 dilution

Observed band size: 70-75 kDa,36 kDa

false

Exposure time: 10s

  • Carrier free

    Anti-Lamin A + Lamin C antibody [RM1093] - BSA and Azide free

Key facts

Host species

Rabbit

Clonality

Multiclonal

Clone number

RM1093

Isotype

IgG

Carrier free

No

Reacts with

Human, Mouse, Rat

Applications

IP, ICC/IF, WB, IHC-P

applications

Immunogen

The exact immunogen used to generate this antibody is proprietary information.

Specificity

Unsuitable for mouse and rat IP.

Reactivity data

{ "title": "Reactivity Data", "filters": { "stats": ["", "Species", "Dilution Info", "Notes"], "tabs": { "all-applications": {"fullname" : "All Applications", "shortname": "All Applications"}, "WB" : {"fullname" : "Western blot", "shortname":"WB"}, "IHCP" : {"fullname" : "Immunohistochemistry (Formalin/PFA-fixed paraffin-embedded sections)", "shortname":"IHC-P"}, "ICCIF" : {"fullname" : "Immunocytochemistry/ Immunofluorescence", "shortname":"ICC/IF"}, "IP" : {"fullname" : "Immunoprecipitation", "shortname":"IP"}, "FlowCyt" : {"fullname" : "Flow Cytometry", "shortname":"Flow Cyt"} }, "product-promise": { "all": "all", "testedAndGuaranteed": "tested", "guaranteed": "expected", "predicted": "predicted", "notRecommended": "not-recommended" } }, "values": { "Human": { "WB-species-checked": "testedAndGuaranteed", "WB-species-dilution-info": "1/1000", "WB-species-notes": "<p></p>", "IHCP-species-checked": "testedAndGuaranteed", "IHCP-species-dilution-info": "1/5000", "IHCP-species-notes": "<p></p> Perform heat-mediated antigen retrieval with Tris/EDTA buffer pH 9.0 before commencing with IHC staining protocol.", "ICCIF-species-checked": "testedAndGuaranteed", "ICCIF-species-dilution-info": "1/50000", "ICCIF-species-notes": "<p></p>", "IP-species-checked": "testedAndGuaranteed", "IP-species-dilution-info": "1/30", "IP-species-notes": "<p></p>", "FlowCyt-species-checked": "notRecommended", "FlowCyt-species-dilution-info": "", "FlowCyt-species-notes": "<p></p>" }, "Mouse": { "WB-species-checked": "testedAndGuaranteed", "WB-species-dilution-info": "1/1000", "WB-species-notes": "<p></p>", "IHCP-species-checked": "testedAndGuaranteed", "IHCP-species-dilution-info": "1/2000", "IHCP-species-notes": "<p></p> Perform heat-mediated antigen retrieval with Tris/EDTA buffer pH 9.0 before commencing with IHC staining protocol.", "ICCIF-species-checked": "testedAndGuaranteed", "ICCIF-species-dilution-info": "1/500", "ICCIF-species-notes": "<p></p>", "IP-species-checked": "notRecommended", "IP-species-dilution-info": "", "IP-species-notes": "<p></p>", "FlowCyt-species-checked": "notRecommended", "FlowCyt-species-dilution-info": "", "FlowCyt-species-notes": "" }, "Rat": { "WB-species-checked": "testedAndGuaranteed", "WB-species-dilution-info": "1/1000", "WB-species-notes": "<p></p>", "IHCP-species-checked": "testedAndGuaranteed", "IHCP-species-dilution-info": "1/2000", "IHCP-species-notes": "<p></p> Perform heat-mediated antigen retrieval with Tris/EDTA buffer pH 9.0 before commencing with IHC staining protocol.", "ICCIF-species-checked": "testedAndGuaranteed", "ICCIF-species-dilution-info": "1/500", "ICCIF-species-notes": "<p></p>", "IP-species-checked": "notRecommended", "IP-species-dilution-info": "", "IP-species-notes": "<p></p>", "FlowCyt-species-checked": "notRecommended", "FlowCyt-species-dilution-info": "", "FlowCyt-species-notes": "" } } }

Product details

What are recombinant multiclonals?
Recombinant multiclonals are a mixture of recombinant antibodies co-expressed from a library of heavy and light chains. They offer several advantages including:

  • - The sensitivity of polyclonal antibodies by recognising multiple epitopes
  • - High batch-to-batch consistency and reproducibility
  • - Improved sensitivity and specificity
  • - Long-term security of supply
  • - Animal-free batch production

View our range of recombinant multiclonal antibodies.

Patented technology
Our RabMAb® technology is a patented hybridoma-based technology for making rabbit monoclonal antibodies. For details on our patents, please refer to RabMAb® patents.

Properties and storage information

Form
Liquid
Purification technique
Affinity purification Protein A
Storage buffer
pH: 7.2 - 7.4 Preservative: 0.01% Sodium azide Constituents: PBS, 40% Glycerol (glycerin, glycerine), 0.05% BSA
Shipped at conditions
Blue Ice
Appropriate short-term storage duration
1-2 weeks
Appropriate short-term storage conditions
+4°C
Appropriate long-term storage conditions
-20°C
Aliquoting information
Upon delivery aliquot
Storage information
Avoid freeze / thaw cycle

Supplementary information

This supplementary information is collated from multiple sources and compiled automatically.

Lamin A and Lamin C also known as lamin A/C are proteins encoded by the LMNA gene. These proteins are key components of the nuclear envelope where they provide structural support and maintain the shape of the nucleus. The lamin A/C molecule has a molecular weight of approximately 60-70 kDa. Expression of lamin A and lamin C occurs predominantly in differentiated cells where these proteins integrate into the nuclear lamina alongside other lamin molecules like lamin B. Lamin A alone sometimes referred to by designations like 4C11 plays a significant role in mechanical support at a molecular level.
Biological function summary

Lamin A/C proteins play a role in maintaining nuclear stability chromosome organization and gene regulation. They are part of a complex network within the nuclear lamina that includes interactions with proteins and DNA. Lamin A with a molecular weight distinct from other lamins participates in assembling this supportive matrix and contributes to DNA maintenance and repair processes. Their interaction with chromatin and gene expression regulation emphasizes their influence on important cellular functions.

Pathways

Lamin A/C proteins engage in the mechanosensory signaling and DNA damage response pathways. They interact with pathways involving the nuclear envelope structure and have connections to proteins like emerin and nuclear actin. Lamin A's role in these pathways supports its involvement in responding to mechanical stress and preserving genomic integrity highlighting its integration with these cellular processes.

Mutations in lamin A/C are linked to disorders such as Hutchinson-Gilford Progeria Syndrome and Emery-Dreifuss Muscular Dystrophy. These conditions highlight the importance of lamin A/C in cellular stability and nuclear integrity. Proteins such as emerin often relate to lamin A/C in these diseases as disruptions to their interactions can lead to compromised nuclear function and disease phenotypes.

Product protocols

For this product, it's our understanding that no specific protocols are required. You can visit:

Target data

Lamin-A/C. Lamins are intermediate filament proteins that assemble into a filamentous meshwork, and which constitute the major components of the nuclear lamina, a fibrous layer on the nucleoplasmic side of the inner nuclear membrane (PubMed : 10080180, PubMed : 10580070, PubMed : 10587585, PubMed : 10814726, PubMed : 11799477, PubMed : 12075506, PubMed : 12927431, PubMed : 15317753, PubMed : 18551513, PubMed : 18611980, PubMed : 2188730, PubMed : 22431096, PubMed : 2344612, PubMed : 23666920, PubMed : 24741066, PubMed : 31434876, PubMed : 31548606, PubMed : 37788673, PubMed : 37832547). Lamins provide a framework for the nuclear envelope, bridging the nuclear envelope and chromatin, thereby playing an important role in nuclear assembly, chromatin organization, nuclear membrane and telomere dynamics (PubMed : 10080180, PubMed : 10580070, PubMed : 10587585, PubMed : 10814726, PubMed : 11799477, PubMed : 12075506, PubMed : 12927431, PubMed : 15317753, PubMed : 18551513, PubMed : 18611980, PubMed : 22431096, PubMed : 23666920, PubMed : 24741066, PubMed : 31548606, PubMed : 37788673, PubMed : 37832547). Lamin A and C also regulate matrix stiffness by conferring nuclear mechanical properties (PubMed : 23990565, PubMed : 25127216). The structural integrity of the lamina is strictly controlled by the cell cycle, as seen by the disintegration and formation of the nuclear envelope in prophase and telophase, respectively (PubMed : 2188730, PubMed : 2344612). Lamin A and C are present in equal amounts in the lamina of mammals (PubMed : 10080180, PubMed : 10580070, PubMed : 10587585, PubMed : 10814726, PubMed : 11799477, PubMed : 12075506, PubMed : 12927431, PubMed : 15317753, PubMed : 18551513, PubMed : 18611980, PubMed : 22431096, PubMed : 23666920, PubMed : 31548606). Also invoved in DNA repair : recruited by DNA repair proteins XRCC4 and IFFO1 to the DNA double-strand breaks (DSBs) to prevent chromosome translocation by immobilizing broken DNA ends (PubMed : 31548606). Required for normal development of peripheral nervous system and skeletal muscle and for muscle satellite cell proliferation (PubMed : 10080180, PubMed : 10814726, PubMed : 11799477, PubMed : 18551513, PubMed : 22431096). Required for osteoblastogenesis and bone formation (PubMed : 12075506, PubMed : 15317753, PubMed : 18611980). Also prevents fat infiltration of muscle and bone marrow, helping to maintain the volume and strength of skeletal muscle and bone (PubMed : 10587585). Required for cardiac homeostasis (PubMed : 10580070, PubMed : 12927431, PubMed : 18611980, PubMed : 23666920).. Prelamin-A/C. Prelamin-A/C can accelerate smooth muscle cell senescence (PubMed : 20458013). It acts to disrupt mitosis and induce DNA damage in vascular smooth muscle cells (VSMCs), leading to mitotic failure, genomic instability, and premature senescence (PubMed : 20458013).
See full target information LMNA

Publications (1)

Recent publications for all applications. Explore the full list and refine your search

Cell communication and signaling : CCS 23:108 PubMed40001144

2025

CXXC5 function blockade promotes diabetic wound healing through stimulating fibroblast and vascular endothelial cell activation.

Applications

Unspecified application

Species

Unspecified reactive species

Yutong Chen,Xiaofeng Ding,Zhouji Ma,Shuai Shao,Heyan Huang,Yumeng Huang,Beizhi Wang,Hao Zhang,Qian Tan
View all publications

Product promise

We are committed to supporting your work with high-quality reagents, and we're here for you every step of the way. In the unlikely event that one of our products does not perform as expected, you're protected by our Product Promise.
For full details, please see our Terms & Conditions

Please note: All products are 'FOR RESEARCH USE ONLY. NOT FOR USE IN DIAGNOSTIC OR THERAPEUTIC PROCEDURES'.

For licensing inquiries, please contact partnerships@abcam.com