JavaScript is disabled in your browser. Please enable JavaScript to view this website.
AB229025

Anti-Lamin B1 antibody [EPR22165-121] - Nuclear Envelope Marker

  • BOND RX™ Validated
  • KO Validated
  • RabMAb
  • Recombinant
  • Lab Essentials
  • 20ul selling size
  • Advanced Validation
  • What is this?

4

(5 Reviews)

|

(31 Publications)

Anti-Lamin B1 antibody [EPR22165-121] (ab229025) is a rabbit monoclonal antibody detecting Lamin B1 in Western Blot, Flow Cytometry (Intra), Flow Cytometry, IP, IHC-P, ICC/IF, mIHC. Suitable for Human, Mouse, Rat.

- KO validated for confirmed specificity
- Multiplex IHC validated on the Leica BOND® MAX using Opal reagents
- Biophysical QC for unrivalled batch-batch consistency
- Over 10 publications

View Alternative Names

LMN2, LMNB, LMNB1, Lamin-B1

18 Images
Immunocytochemistry/ Immunofluorescence - Anti-Lamin B1 antibody [EPR22165-121] - Nuclear Envelope Marker (AB229025)
  • ICC/IF

Supplier Data

Immunocytochemistry/ Immunofluorescence - Anti-Lamin B1 antibody [EPR22165-121] - Nuclear Envelope Marker (AB229025)

Immunofluorescent analysis of 4% paraformaldehyde-fixed, 0.1% Triton X-100 permeabilized HeLa (human epithelial cell line from cervix adenocarcinoma) cells labeling Lamin B1 (Green) with ab229025 at 1/1000 dilution, followed by Goat Anti-Rabbit IgG H&L (Alexa Fluor® 488) (ab150077) secondary antibody at 1/1000 dilution. Confocal image showing nuclear membranous staining in HeLa cells. Anti-alpha Tubulin antibody [DM1A] - Microtubule Marker (Alexa Fluor® 594) (ab195889) was used as a counterstain at 1/200 dilution. The nuclear counterstain was DAPI (Blue).

Secondary antibody only control : Used PBS instead of primary antibody, secondary antibody is Alexa Fluor®488 Goat anti-Rabbit secondary (ab150077) at 1/1000 dilution.

Multiplex immunohistochemistry - Anti-Lamin B1 antibody [EPR22165-121] - Nuclear Envelope Marker (AB229025)
  • mIHC

Lab

Multiplex immunohistochemistry - Anti-Lamin B1 antibody [EPR22165-121] - Nuclear Envelope Marker (AB229025)

Multiplex immunohistochemistry (Formalin/PFA-fixed paraffin-embedded sections) analysis of human liver tissue.

Panel A : Merged staining of Collagen VI (ab182744; green) anti-CD68 (ab213363; red) and anti-Lamin B1 (ab229025; magenta).

Panel B : Anti-Collagen VI (green) stained on extracellular matrix.

Panel C : Anti-CD68 (red) stained on Kupffer cells.

Panel D : Anti-Lamin B1 (magenta) stained on nuclear envelope.

Key protocol steps : The section was incubated in three rounds of staining with ab182744 (1/1000 dilution) ab213363 (1/1000 dilution) and ab229025 (1/4000 dilution) for 30 mins at room temperature. Each round was followed by tyramide signal amplification with the appropriate fluorophore. Heat mediated antigen retrieval was used (Tris-EDTA buffer (pH 9.0 epitope retrieval solution 2) for 20 mins after every round of antibody/fluorophore staining.

The immunostaining was performed on a Leica Biosystems BOND® RX instrument.

DAPI was used as a nuclear counter stain. A ready-to-use anti-Rabbit and Mouse Polymer HRP was used as a secondary.

Flow Cytometry (Intracellular) - Anti-Lamin B1 antibody [EPR22165-121] - Nuclear Envelope Marker (AB229025)
  • Flow Cyt (Intra)

Supplier Data

Flow Cytometry (Intracellular) - Anti-Lamin B1 antibody [EPR22165-121] - Nuclear Envelope Marker (AB229025)

Intracellular flow cytometric analysis of 4% paraformaldehyde-fixed, 90% methanol permeabilized HeLa (human epithelial cell line from cervix adenocarcinoma) cell line labeling Lamin B1 with ab229025 at 1/500 dilution (Red) compared with a Rabbit monoclonal IgGisotype control (ab172730) (Black) and an unlabeled control (cells without incubation with primary antibody and secondary antibody) (Blue). Goat anti rabbit IgG (Alexa Fluor� 488, ab150077) was used as the secondary antibody at 1/2000 dilution.

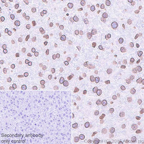
Immunohistochemistry (Formalin/PFA-fixed paraffin-embedded sections) - Anti-Lamin B1 antibody [EPR22165-121] - Nuclear Envelope Marker (AB229025)
  • IHC-P

Lab

Immunohistochemistry (Formalin/PFA-fixed paraffin-embedded sections) - Anti-Lamin B1 antibody [EPR22165-121] - Nuclear Envelope Marker (AB229025)

Immunohistochemical analysis of paraffin-embedded human endometrial carcinoma stained for Lamin B1 using ab229025 at 1/2000 dilution, followed by a ready to use Goat Anti-Rabbit IgG H&L (HRP polymer). Nuclear envelope staining on human endometrial carcinoma is observed. Counterstained with hematoxylin. Heat mediated antigen retrieval was performed using ab93684 (Tris/EDTA buffer, pH 9.0). The section was incubated with ab229025 at 4°C overnight

Immunocytochemistry/ Immunofluorescence - Anti-Lamin B1 antibody [EPR22165-121] - Nuclear Envelope Marker (AB229025)
  • ICC/IF

Lab

Immunocytochemistry/ Immunofluorescence - Anti-Lamin B1 antibody [EPR22165-121] - Nuclear Envelope Marker (AB229025)

ab229025 staining LMNB1 in HeLa WT and HeLa LMNB1 KO cells. The cells were fixed with 4% paraformaldehyde (10 min), permeabilized with 0.1% PBS-Triton X-100 for 5 minutes and then blocked with 1% BSA/10% normal goat serum/0.3M glycine in 0.1%PBS-Tween for 1h. The cells were then incubated overnight at 4°C with ab229025 at 0.2µg/ml (shown in green) and ab7291, Mouse monoclonal [DM1A] to alpha Tubulin - Loading Control (shown in pseudocolour magenta). Cells were then incubated with ab150081, Goat polyclonal Secondary Antibody to Rabbit IgG - H&L (Alexa Fluor® 488), pre-adsorbed at 1/1000 dilution. Nuclear DNA was labelled with DAPI (shown in blue).

Also suitable in cells fixed with 100% methanol (5 min).

Image was acquired with a high-content analyser (Operetta CLS, Perkin Elmer) and a single confocal section is shown.

Immunocytochemistry/ Immunofluorescence - Anti-Lamin B1 antibody [EPR22165-121] - Nuclear Envelope Marker (AB229025)
  • ICC/IF

Lab

Immunocytochemistry/ Immunofluorescence - Anti-Lamin B1 antibody [EPR22165-121] - Nuclear Envelope Marker (AB229025)

ab229025 staining LMNB1 in Hap1 WT and Hap1 LMNB1 KO cells. The cells were fixed with 4% paraformaldehyde (10 min), permeabilized with 0.1% PBS-Triton X-100 for 5 minutes and then blocked with 1% BSA/10% normal goat serum/0.3M glycine in 0.1%PBS-Tween for 1h. The cells were then incubated overnight at 4°C with ab229025 at 0.2µg/ml (shown in green) and ab7291, Mouse monoclonal [DM1A] to alpha Tubulin - Loading Control (shown in pseudocolour magenta). Cells were then incubated with ab150081, Goat polyclonal Secondary Antibody to Rabbit IgG - H&L (Alexa Fluor® 488), pre-adsorbed at 1/1000 dilution. Nuclear DNA was labelled with DAPI (shown in blue).

Also suitable in cells fixed with 100% methanol (5 min).

Image was acquired with a high-content analyser (Operetta CLS, Perkin Elmer) and a single confocal section is shown.

Immunohistochemistry (Formalin/PFA-fixed paraffin-embedded sections) - Anti-Lamin B1 antibody [EPR22165-121] - Nuclear Envelope Marker (AB229025)
  • IHC-P

Supplier Data

Immunohistochemistry (Formalin/PFA-fixed paraffin-embedded sections) - Anti-Lamin B1 antibody [EPR22165-121] - Nuclear Envelope Marker (AB229025)

Immunohistochemical analysis of paraffin-embedded human breast tissue stained for Lamin B1 using ab229025 at 1/2000 dilution, followed by a ready to use Goat Anti-Rabbit IgG H&L (HRP). Nuclear envelope staining on human breast (PMID : 26469707) is observed. Counterstained with hematoxylin.

Secondary antibody only control : Used PBS instead of primary antibody, secondary antibody is Goat Anti-Rabbit IgG H&L (HRP) ready to use.

Heat mediated antigen retrieval was performed using ab93684 (Tris/EDTA buffer, pH 9.0).

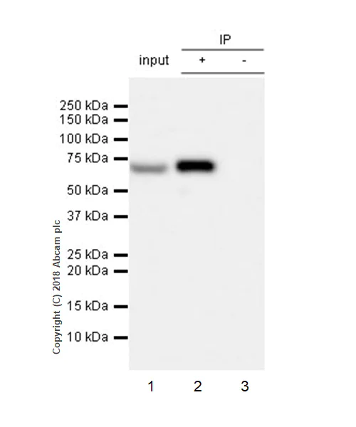
Immunoprecipitation - Anti-Lamin B1 antibody [EPR22165-121] - Nuclear Envelope Marker (AB229025)
  • IP

Supplier Data

Immunoprecipitation - Anti-Lamin B1 antibody [EPR22165-121] - Nuclear Envelope Marker (AB229025)

Lamin B1 was immunoprecipitated from 0.35 mg HeLa (human epithelial cell line from cervix adenocarcinoma) whole cell lysate with ab229025 at 1/30 dilution. Western blot was performed from the immunoprecipitate using ab229025 at 1/1000 dilution. VeriBlot for IP Detection Reagent (HRP) (ab131366), was used for detection at 1/5000 dilution.

Lane 1 : HeLa whole cell lysate 10 μg (input).
Lane 2 : ab229025 IP in HeLa whole cell lysate (+).
Lane 3 : Rabbit monoclonal IgG (ab172730) instead of ab229025 in HeLa whole cell lysate.

Blocking and dilution buffer and concentration : 5% NFDM/TBST.
Exposure time : 5 seconds.

A very weak band around 66 kDa detected in lane 3 is due to spill over from lane2 (+).

All lanes:

Immunoprecipitation - Anti-Lamin B1 antibody [EPR22165-121] - Nuclear Envelope Marker (ab229025)

Predicted band size: 66 kDa

Observed band size: 66 kDa

false

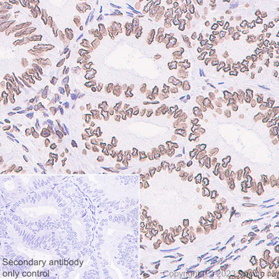
Immunohistochemistry (Formalin/PFA-fixed paraffin-embedded sections) - Anti-Lamin B1 antibody [EPR22165-121] - Nuclear Envelope Marker (AB229025)
  • IHC-P

Supplier Data

Immunohistochemistry (Formalin/PFA-fixed paraffin-embedded sections) - Anti-Lamin B1 antibody [EPR22165-121] - Nuclear Envelope Marker (AB229025)

Immunohistochemical analysis of paraffin-embedded rat cerebrum tissue stained for Lamin B1 using ab229025 at 1/2000 dilution, followed by a ready to use Goat Anti-Rabbit IgG H&L (HRP). Nuclear envelope staining on rat cerebrum (PMID : 26469707, PMID : 19925772) is observed. Counterstained with hematoxylin.

Secondary antibody only control : Used PBS instead of primary antibody, secondary antibody is Goat Anti-Rabbit IgG H&L (HRP) ready to use.

Heat mediated antigen retrieval was performed using ab93684 (Tris/EDTA buffer, pH 9.0).

Immunocytochemistry/ Immunofluorescence - Anti-Lamin B1 antibody [EPR22165-121] - Nuclear Envelope Marker (AB229025)
  • ICC/IF

Supplier Data

Immunocytochemistry/ Immunofluorescence - Anti-Lamin B1 antibody [EPR22165-121] - Nuclear Envelope Marker (AB229025)

Immunofluorescent analysis of 4% paraformaldehyde-fixed, 0.1% Triton X-100 permeabilized NIH/3T3 (mouse embryonic fibroblast cell line) cells labeling Lamin B1 (Green) with ab229025 at 1/1000 dilution, followed by Goat Anti-Rabbit IgG H&L (Alexa Fluor® 488) (ab150077) secondary antibody at 1/1000 dilution. Confocal image showing nuclear membranous staining in NIH/3T3 cells. Anti-alpha Tubulin antibody [DM1A] - Microtubule Marker (Alexa Fluor® 594) (ab195889) was used as a counterstain at 1/200 dilution. The nuclear counterstain was DAPI (Blue).

Secondary antibody only control : Used PBS instead of primary antibody, secondary antibody is Alexa Fluor®488 Goat anti-Rabbit secondary (ab150077) at 1/1000 dilution.

Flow Cytometry (Intracellular) - Anti-Lamin B1 antibody [EPR22165-121] - Nuclear Envelope Marker (AB229025)
  • Flow Cyt (Intra)

Supplier Data

Flow Cytometry (Intracellular) - Anti-Lamin B1 antibody [EPR22165-121] - Nuclear Envelope Marker (AB229025)

Intracellular flow cytometric analysis of 4% paraformaldehyde-fixed, 90% methanol permeabilized NIH/3T3 (mouse embryo fibroblast cell line) cell line labeling Lamin B1 with ab229025 at 1/500 dilution (Red) compared with aRabbit monoclonal IgGisotype control (ab172730) (Black) and an unlabeled control (cells without incubation with primary antibody and secondary antibody) (Blue). Goat anti rabbit IgG (Alexa Fluor� 488, ab150077) was used as the secondary antibody at 1/2000 dilution.

Immunohistochemistry (Formalin/PFA-fixed paraffin-embedded sections) - Anti-Lamin B1 antibody [EPR22165-121] - Nuclear Envelope Marker (AB229025)
  • IHC-P

Supplier Data

Immunohistochemistry (Formalin/PFA-fixed paraffin-embedded sections) - Anti-Lamin B1 antibody [EPR22165-121] - Nuclear Envelope Marker (AB229025)

Immunohistochemical analysis of paraffin-embedded mouse liver tissue stained for Lamin B1 using ab229025 at 1/2000 dilution, followed by a ready to use Goat Anti-Rabbit IgG H&L (HRP). Nuclear envelope staining on mouse liver (PMID : 19925772) is observed. Counterstained with hematoxylin.

Secondary antibody only control : Used PBS instead of primary antibody, secondary antibody is Goat Anti-Rabbit IgG H&L (HRP) ready to use.

Heat mediated antigen retrieval was performed using ab93684 (Tris/EDTA buffer, pH 9.0).

Immunoprecipitation - Anti-Lamin B1 antibody [EPR22165-121] - Nuclear Envelope Marker (AB229025)
  • IP

Supplier Data

Immunoprecipitation - Anti-Lamin B1 antibody [EPR22165-121] - Nuclear Envelope Marker (AB229025)

Lamin B1 was immunoprecipitated from 0.35 mg NIH/3T3 (mouse embryo fibroblast cell line) whole cell lysate with ab229025 at 1/30 dilution. Western blot was performed from the immunoprecipitate using ab229025 at 1/1000 dilution. VeriBlot for IP Detection Reagent (HRP) (ab131366), was used for detection at 1/5000 dilution.

Lane 1 : NIH/3T3 whole cell lysate 10 μg (input).
Lane 2 : ab229025 IP in NIH/3T3 whole cell lysate (+).
Lane 3 : Rabbit monoclonal IgG (ab172730) instead of ab229025 in NIH/3T3 whole cell lysate.

Blocking and dilution buffer and concentration : 5% NFDM/TBST.
Exposure time : 5 seconds.

All lanes:

Immunoprecipitation - Anti-Lamin B1 antibody [EPR22165-121] - Nuclear Envelope Marker (ab229025)

Predicted band size: 66 kDa

Observed band size: 66 kDa

false

Western blot - Anti-Lamin B1 antibody [EPR22165-121] - Nuclear Envelope Marker (AB229025)
  • WB

Supplier Data

Western blot - Anti-Lamin B1 antibody [EPR22165-121] - Nuclear Envelope Marker (AB229025)

Blocking and diluting buffer and concentration : 5% NFDM/TBST.

In Western blot, Anti-GAPDH antibody [EPR16891] - Loading Control (ab181602) staining at 1/200000 dilution.

In Western blot, Anti-Lamin B1 antibody [EPR22165-121] (ab229025) staining at 1/1000 dilution.

All lanes:

Western blot - Anti-Histone H3 antibody [RM1288] - Nuclear Marker (<a href='/en-us/products/primary-antibodies/histone-h3-antibody-rm1288-nuclear-marker-ab322707'>ab322707</a>) at 1/10000 dilution

Lane 1:

HEK-293 (human embryonic kidney epithelial cell) nuclear fraction at 10 µg

Lane 2:

HEK-293 cytoplasmic fraction at 10 µg

Lane 3:

NIH/3T3 (mouse embryonic fibroblast) nuclear fraction at 10 µg

Lane 4:

NIH/3T3 cytoplasmic fraction at 10 µg

Lane 5:

Rat brain tissue nuclear fraction at 10 µg

Lane 6:

Rat brain tissue cytoplasmic fraction at 10 µg

Secondary

All lanes:

Western blot - Goat Anti-Rabbit IgG H&L (HRP) (<a href='/en-us/products/secondary-antibodies/goat-rabbit-igg-h-l-hrp-ab97051'>ab97051</a>) at 1/100000 dilution

Observed band size: 16 kDa,14 kDa,36 kDa,66 kDa

false

Exposure time: 8s

Western blot - Anti-Lamin B1 antibody [EPR22165-121] - Nuclear Envelope Marker (AB229025)
  • WB

Lab

Western blot - Anti-Lamin B1 antibody [EPR22165-121] - Nuclear Envelope Marker (AB229025)

Lanes 1- 2 : Merged signal (red and green). Green - ab229025 observed at 66-70 kDa. Red - Anti-GAPDH antibody [6C5] - Loading Control (ab8245) observed at 37 kDa.

ab229025 was shown to react with Lamin B1 in wild-type HeLa cells in western blot. Loss of signal was observed when knockout cell line ab255404 (knockout cell lysate ab263825) was used. Wild-type HeLa and LMNB1 knockout HeLa cell lysates were subjected to SDS-PAGE. Membrane was blocked for 1 hour at room temperature in 0.1% TBST with 3% non-fat dried milk. ab229025 and Anti-GAPDH antibody [6C5] - Loading Control (ab8245) overnight at 4°C at a 1 in 1000 dilution and a 1 in 20000 dilution respectively. Blots were developed with Goat anti-Rabbit IgG H&L (IRDye®800CW) preadsorbed (ab216773) and Goat anti-Mouse IgG H&L (IRDye®680RD) preadsorbed (ab216776) secondary antibodies at 1 in 20000 dilution for 1 hour at room temperature before imaging.

All lanes:

Western blot - Anti-Lamin B1 antibody [EPR22165-121] - Nuclear Envelope Marker (ab229025) at 1/1000 dilution

Lane 1:

Wild-type HeLa cell lysate at 20 µg

Lane 2:

LMNB1 knockout HeLa cell lysate at 20 µg

Lane 2:

Western blot - Human LMNB1 (Lamin B1) knockout HeLa cell line (<a href='/en-us/products/cell-lines/human-lmnb1-lamin-b1-knockout-hela-cell-line-ab255404'>ab255404</a>)

Predicted band size: 66 kDa

Observed band size: 66-70 kDa

false

Western blot - Anti-Lamin B1 antibody [EPR22165-121] - Nuclear Envelope Marker (AB229025)
  • WB

Supplier Data

Western blot - Anti-Lamin B1 antibody [EPR22165-121] - Nuclear Envelope Marker (AB229025)

Blocking/diluting buffer and concentration : 5% NFDM/TBST.

Exposure time :

Lane 1 : 3 seconds;

Lanes 2,3,4 and 5 : 10 seconds.

All lanes:

Western blot - Anti-Lamin B1 antibody [EPR22165-121] - Nuclear Envelope Marker (ab229025) at 1/1000 dilution

Lane 1:

Human lymph node tissue lysate at 20 µg

Lane 2:

HeLa (human epithelial cell line from cervix adenocarcinoma) whole cell lysate at 20 µg

Lane 3:

HepG2 (human liver hepatocellular carcinoma cell line) whole cell lysate at 20 µg

Lane 4:

Caco-2 (Human colorectal adenocarcinoma cell line) whole cell lysate at 20 µg

Lane 5:

Mouse brain tissue lysate at 20 µg

Secondary

Lane 1:

Western blot - VeriBlot for IP Detection Reagent (HRP) (<a href='/en-us/products/reagents/veriblot-for-ip-detection-reagent-hrp-ab131366'>ab131366</a>) at 1/100000 dilution

Lanes 2 - 5:

Western blot - Goat Anti-Rabbit IgG H&L (HRP) (<a href='/en-us/products/secondary-antibodies/goat-rabbit-igg-h-l-hrp-ab97051'>ab97051</a>) at 1/100000 dilution

Predicted band size: 66 kDa

Observed band size: 70 kDa

false

Western blot - Anti-Lamin B1 antibody [EPR22165-121] - Nuclear Envelope Marker (AB229025)
  • WB

Lab

Western blot - Anti-Lamin B1 antibody [EPR22165-121] - Nuclear Envelope Marker (AB229025)

ab229025 was shown to specifically react with Lamin B1 in wild-type HAP1 cells as signal was lost in Lamin B1 knockout cells. Wild-type and Lamin B1 knockout samples were subjected to SDS-PAGE. ab229025 and ab181602 (Rabbit anti-GAPDH loading control) were incubated 1 hour at room temperature at 1/1000 dilution and 1/200,000 dilution respectively. Blots were developed with Goat Anti-Rabbit IgG, (H+L), Peroxidase conjugated (ab97051) secondary antibody at 1/100,000 dilution for 1 hour at room temperature before imaging. The blot was developed on a BIO-RAD® ChemiDoc™ MP instrument using the ECL technique.

All lanes:

Western blot - Anti-Lamin B1 antibody [EPR22165-121] - Nuclear Envelope Marker (ab229025) at 1/5000 dilution

Lane 1:

Wild-type HAP1 whole cell lysate at 20 µg

Lane 2:

Lamin B1 knockout HAP1 whole cell lysate at 20 µg

Lane 3:

HepG2 (human hepatocellular carcinoma epithelial cell) whole cell lysate at 20 µg

Lane 4:

PC-12 (rat adrenal gland pheochromocytoma) whole cell lysate at 20 µg

Predicted band size: 66 kDa

Observed band size: 70 kDa

false

Exposure time: 8s

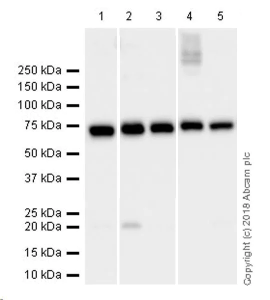
Western blot - Anti-Lamin B1 antibody [EPR22165-121] - Nuclear Envelope Marker (AB229025)
  • WB

Supplier Data

Western blot - Anti-Lamin B1 antibody [EPR22165-121] - Nuclear Envelope Marker (AB229025)

Blocking/diluting buffer and concentration : 5% NFDM/TBST.

Exposure time :

Lane 1 : 10 seconds; Lanes 2 and 3 : 59 seconds; Lane 4 : 3 seconds; Lanes 5,6 and 7 : 6 seconds.

All lanes:

Western blot - Anti-Lamin B1 antibody [EPR22165-121] - Nuclear Envelope Marker (ab229025) at 1/1000 dilution

Lane 1:

Mouse heart tissue lysate at 10 µg

Lane 2:

Rat brain tissue lysate at 10 µg

Lane 3:

Rat heart tissue lysate at 10 µg

Lane 4:

Rat spleen tissue lysate at 10 µg

Lane 5:

RAW 264.7 (Mouse macrophage cell line transformed with Abelson murine leukemia virus) whole cell lysate at 10 µg

Lane 6:

PC-12 (Rat adrenal gland pheochromocytoma cell line) whole cell lysate at 10 µg

Lane 7:

NIH/3T3 (Mouse embryo fibroblast cell line) whole cell lysate at 10 µg

Secondary

All lanes:

Western blot - Goat Anti-Rabbit IgG H&L (HRP) (<a href='/en-us/products/secondary-antibodies/goat-rabbit-igg-h-l-hrp-ab97051'>ab97051</a>) at 1/100000 dilution

Predicted band size: 66 kDa

Observed band size: 70 kDa

false

  • Carrier free

    Anti-Lamin B1 antibody [EPR22165-121] - BSA and Azide free

Key facts

Host species

Rabbit

Clonality

Monoclonal

Clone number

EPR22165-121

Isotype

IgG

Carrier free

No

Reacts with

Mouse, Rat, Human

Applications

IP, IHC-P, mIHC, WB, ICC/IF, Flow Cyt (Intra)

applications

Immunogen

The exact immunogen used to generate this antibody is proprietary information.

Reactivity data

{ "title": "Reactivity Data", "filters": { "stats": ["", "Species", "Dilution Info", "Notes"], "tabs": { "all-applications": {"fullname" : "All Applications", "shortname": "All Applications"}, "IP" : {"fullname" : "Immunoprecipitation", "shortname":"IP"}, "WB" : {"fullname" : "Western blot", "shortname":"WB"}, "ICCIF" : {"fullname" : "Immunocytochemistry/ Immunofluorescence", "shortname":"ICC/IF"}, "FlowCytIntra" : {"fullname" : "Flow Cytometry (Intracellular)", "shortname":"Flow Cyt (Intra)"}, "mIHC" : {"fullname" : "Multiplex immunohistochemistry", "shortname":"mIHC"}, "IHCP" : {"fullname" : "Immunohistochemistry (Formalin/PFA-fixed paraffin-embedded sections)", "shortname":"IHC-P"} }, "product-promise": { "all": "all", "testedAndGuaranteed": "tested", "guaranteed": "expected", "predicted": "predicted", "notRecommended": "not-recommended" } }, "values": { "Human": { "IP-species-checked": "testedAndGuaranteed", "IP-species-dilution-info": "1/30", "IP-species-notes": "<p></p>", "WB-species-checked": "testedAndGuaranteed", "WB-species-dilution-info": "1/1000", "WB-species-notes": "<p></p>", "ICCIF-species-checked": "testedAndGuaranteed", "ICCIF-species-dilution-info": "1/1000", "ICCIF-species-notes": "<p></p>", "FlowCytIntra-species-checked": "testedAndGuaranteed", "FlowCytIntra-species-dilution-info": "1/500", "FlowCytIntra-species-notes": "<p></p>", "mIHC-species-checked": "testedAndGuaranteed", "mIHC-species-dilution-info": "1/4000", "mIHC-species-notes": "<p>Perform heat mediated antigen retrieval with Tris/EDTA buffer pH 9.0 before commencing with IHC staining protocol.</p> Perform heat-mediated antigen retrieval with Tris/EDTA buffer pH 9.0 before commencing with IHC staining protocol.", "IHCP-species-checked": "testedAndGuaranteed", "IHCP-species-dilution-info": "1/2000", "IHCP-species-notes": "<p>Heat mediated antigen retrieval using <a href='/en-us/products/buffers/antigen-retrieval-buffer-100x-tris-edta-buffer-ph-90-ab93684'>ab93684</a> (Tris/EDTA buffer, pH 9.0).</p> Perform heat-mediated antigen retrieval with Tris/EDTA buffer pH 9.0 before commencing with IHC staining protocol." }, "Mouse": { "IP-species-checked": "testedAndGuaranteed", "IP-species-dilution-info": "1/30", "IP-species-notes": "<p></p>", "WB-species-checked": "testedAndGuaranteed", "WB-species-dilution-info": "1/1000", "WB-species-notes": "<p></p>", "ICCIF-species-checked": "testedAndGuaranteed", "ICCIF-species-dilution-info": "1/1000", "ICCIF-species-notes": "<p></p>", "FlowCytIntra-species-checked": "testedAndGuaranteed", "FlowCytIntra-species-dilution-info": "1/500", "FlowCytIntra-species-notes": "<p></p>", "mIHC-species-checked": "guaranteed", "mIHC-species-dilution-info": "", "mIHC-species-notes": "", "IHCP-species-checked": "testedAndGuaranteed", "IHCP-species-dilution-info": "1/2000", "IHCP-species-notes": "<p>Heat mediated antigen retrieval using <a href='/en-us/products/buffers/antigen-retrieval-buffer-100x-tris-edta-buffer-ph-90-ab93684'>ab93684</a> (Tris/EDTA buffer, pH 9.0).</p> Perform heat-mediated antigen retrieval with Tris/EDTA buffer pH 9.0 before commencing with IHC staining protocol." }, "Rat": { "IP-species-checked": "guaranteed", "IP-species-dilution-info": "", "IP-species-notes": "", "WB-species-checked": "testedAndGuaranteed", "WB-species-dilution-info": "1/1000", "WB-species-notes": "<p></p>", "ICCIF-species-checked": "guaranteed", "ICCIF-species-dilution-info": "", "ICCIF-species-notes": "", "FlowCytIntra-species-checked": "guaranteed", "FlowCytIntra-species-dilution-info": "", "FlowCytIntra-species-notes": "", "mIHC-species-checked": "guaranteed", "mIHC-species-dilution-info": "", "mIHC-species-notes": "", "IHCP-species-checked": "testedAndGuaranteed", "IHCP-species-dilution-info": "1/2000", "IHCP-species-notes": "<p>Heat mediated antigen retrieval using <a href='/en-us/products/buffers/antigen-retrieval-buffer-100x-tris-edta-buffer-ph-90-ab93684'>ab93684</a> (Tris/EDTA buffer, pH 9.0).</p> Perform heat-mediated antigen retrieval with Tris/EDTA buffer pH 9.0 before commencing with IHC staining protocol." } } }

Product details

What is this antibody validated in?
Anti-Lamin B1 antibody [EPR22165-121] (ab229025) is a rabbit recombinant monoclonal antibody and is validated for use in Western Blot (WB), Flow Cytometry (Intra), Flow Cytometry (Flow Cyt), Immunoprecipitation (IP), Immunohistochemistry (IHC-P), Immunocytochemistry/immunofluorescence (ICC/IF), Multiplex IHC (mIHC) in Human, Mouse, Rat samples.

What is the molecular weight of Lamin B1?
Anti-Lamin B1 [EPR22165-121] (ab229025) specifically detects a band for Lamin B1 (UniProt: P20700) at a molecular weight of 66kDa.

Trusted by the scientific community
Anti-Lamin B1 [EPR22165-121] (ab229025) was first used in a scientific publication in 2018 and has been cited over 10 times in peer-reviewed journals.

Reviewed by scientists
Anti-Lamin B1 [EPR22165-121] (ab229025) has over 5 independent reviews from customers.

Trial sizes available!
Test your antibody or perform pre-screening before committing to a larger quantity. Sold in 10µl. Discover our selection of trial-size antibodies.

Specificity confirmed
The specificity of Anti-Lamin B1 antibody [EPR22165-121] (ab229025) has been confirmed by Western blot testing in LMNB1 Knockout HeLa cell line, ab255404.

Patented technology
Our RabMAb® technology is a patented hybridoma-based technology for making rabbit monoclonal antibodies. For details on our patents, please refer to RabMAb® patents.

What are the advantages of a recombinant monoclonal antibody?
This product is a recombinant monoclonal antibody, which offers several advantages including:

  • - High batch-to-batch consistency and reproducibility
  • - Improved sensitivity and specificity
  • - Long-term security of supply
  • - Animal-free batch production

For more information, read more on recombinant antibodies.

Properties and storage information

Form
Liquid
Purification technique
Affinity purification Protein A
Storage buffer
pH: 7.2 - 7.4 Preservative: 0.01% Sodium azide Constituents: PBS, 40% Glycerol (glycerin, glycerine), 0.05% BSA
Shipped at conditions
Blue Ice
Appropriate short-term storage duration
1-2 weeks
Appropriate short-term storage conditions
+4°C
Appropriate long-term storage conditions
-20°C
Aliquoting information
Upon delivery aliquot
Storage information
Avoid freeze / thaw cycle

Supplementary information

This supplementary information is collated from multiple sources and compiled automatically.

Lamin B1 also known as LMNB1 is a protein that plays an important role in the structure of the nuclear lamina a dense fibrillar network inside the nucleus of cells. This protein belongs to the lamin family and has an approximate molecular weight of 66 kDa. Lamin B1 is expressed in nearly all types of cells acting as a structural component by interacting with chromatin and anchoring the nuclear envelope. It contributes to regulating nuclear stability and mechanical support which is essential for proper cell function.
Biological function summary

Lamin B1 serves many important functions by providing structural integrity and regulating gene expression through chromatin organization. Part of the nuclear lamina complex Lamin B1 interacts with other lamin proteins such as Lamin A and Lamin C forming a mesh-like structure that supports the nuclear envelope. This protein also affects cellular processes such as DNA replication RNA transcription and cell division indicating its broad impact on various cellular activities.

Pathways

Lamin B1 plays an important role in gene expression regulation and cell cycle control. It interacts with pathways involved in chromatin remodeling influencing the access of transcription factors to DNA which affects gene expression profiles. Lamin B1 associates with related proteins such as Lamin A/C and other nuclear matrix proteins to maintain cellular architecture stability and normal cell function. This organization is vital to ensure the accuracy of cellular processes and prevent anomalies during cell division.

Mutations or altered expression of Lamin B1 have been associated with several pathological conditions. One noteworthy disorder is autosomal dominant adult-onset leukodystrophy where Lamin B1 expression levels are abnormal. This protein also connects to multiple sclerosis through its role in maintaining nuclear architecture. Additionally changes in Lamin B1 expression levels can influence pathways involving Lamin A/C and potentially lead to other laminopathies highlighting its influence in maintaining cellular health and contributing to disease development.

Product protocols

For this product, it's our understanding that no specific protocols are required. You can visit:

Target data

Lamins are intermediate filament proteins that assemble into a filamentous meshwork, and which constitute the major components of the nuclear lamina, a fibrous layer on the nucleoplasmic side of the inner nuclear membrane (PubMed : 28716252, PubMed : 32910914). Lamins provide a framework for the nuclear envelope, bridging the nuclear envelope and chromatin, thereby playing an important role in nuclear assembly, chromatin organization, nuclear membrane and telomere dynamics (PubMed : 28716252, PubMed : 32910914). The structural integrity of the lamina is strictly controlled by the cell cycle, as seen by the disintegration and formation of the nuclear envelope in prophase and telophase, respectively (PubMed : 28716252, PubMed : 32910914).
See full target information LMNB1

Publications (31)

Recent publications for all applications. Explore the full list and refine your search

International journal of biological sciences 21:5586-5608 PubMed40959291

2025

O-GlcNAcylated Hsp47 as a predictive biomarker in colorectal cancer: Kaempferol targets OGT-collagen axis for therapeutic intervention.

Applications

Unspecified application

Species

Unspecified reactive species

Chishun Zhou,Jing Zheng,Zizheng Li,Yu Li,Xin Jin,Yukai Huang,Yuefang Lin,Xinyue Wen,Yin Wang,Jiarun Lin,Ying Wang,Wei Wang,Zhongqiu Liu,Linlin Lu

Discover oncology 16:1045 PubMed40493100

2025

Multi-omics analysis of tumor necrosis factor superfamily 4 reveals its prognostic value with T cell exhaustion feature in cancer.

Applications

Unspecified application

Species

Unspecified reactive species

Kai Lei,Weiqing Chen,Anqi Wang,Anyu Zeng,Yun Ding,Tianqi Luo,Qi Zhou

Cell reports 44:115603 PubMed40305287

2025

Functional characterization of the ATOH1 molecular subtype indicates a pro-metastatic role in small cell lung cancer.

Applications

Unspecified application

Species

Unspecified reactive species

Alessia Catozzi,Maria Peiris Pagès,Sam Humphrey,Mitchell Revill,Derrick Morgan,Jordan Roebuck,Yitao Chen,Bethan Davies-Williams,Kevin Brennan,A S Md Mukarram Hossain,Vsevolod J Makeev,Karishma Satia,Pagona P Sfyri,Melanie Galvin,Darryl Coles,Alice Lallo,Simon P Pearce,Alastair Kerr,Lynsey Priest,Victoria Foy,Mathew Carter,Rebecca Caeser,Joseph M Chan,Charles M Rudin,Fiona Blackhall,Kristopher K Frese,Caroline Dive,Kathryn L Simpson

Science advances 11:eads1875 PubMed40279419

2025

Single-cell morphology encodes functional subtypes of senescence in aging human dermal fibroblasts.

Applications

Unspecified application

Species

Unspecified reactive species

Pratik Kamat,Nico Macaluso,Yukang Li,Anshika Agrawal,Aaron Winston,Lauren Pan,Teasia Stewart,Bartholomew Starich,Nicholas Milcik,Chanhong Min,Pei-Hsun Wu,Jeremy Walston,Jean Fan,Jude M Phillip

Science advances 11:eads6573 PubMed40153505

2025

Excess surface area of the nuclear lamina enables unhindered cell migration through constrictions.

Applications

Unspecified application

Species

Unspecified reactive species

Brendan McKee,Samere Abolghasemzade,Ting-Ching Wang,Kajol Harsh,Simran Kaur,Ryan Blanchard,Krishna Belraj Menon,Mohammad Mohajeri,Richard B Dickinson,Tanmay P Lele

PLoS pathogens 21:e1012985 PubMed40067802

2025

Enhancing MyD88 oligomerization is one important mechanism by which IBDV VP2 induces inflammatory response.

Applications

Unspecified application

Species

Unspecified reactive species

Mengmeng Huang,Mengmeng Xu,Jingzhe Han,Erjing Ke,Xinxin Niu,Yulong Zhang,Guodong Wang,Hangbo Yu,Runhang Liu,Suyan Wang,Yongzhen Liu,Yuntong Chen,Jinze Han,Ziwen Wu,Hongyu Cui,Yanping Zhang,Yulu Duan,Yulong Gao,Xiaole Qi

Cell biology international 49:508-521 PubMed39936899

2025

The Alleviative Effect of Sodium Butyrate on Dexamethasone-Induced Skeletal Muscle Atrophy.

Applications

Unspecified application

Species

Unspecified reactive species

Xingchen Zhao,Mingqiang Zhu,Zifan Wang,Ming Gao,Yifei Long,Shuo Zhou,Wei Wang

NPJ precision oncology 8:276 PubMed39623008

2024

Extreme wrinkling of the nuclear lamina is a morphological marker of cancer.

Applications

Unspecified application

Species

Unspecified reactive species

Ting-Ching Wang,Christina R Dollahon,Sneha Mishra,Hailee Patel,Samere Abolghasemzade,Ishita Singh,Vilmos Thomazy,Daniel G Rosen,Vlad C Sandulache,Saptarshi Chakraborty,Tanmay P Lele

Nature communications 15:10151 PubMed39578439

2024

Matrix stiffness drives drop like nuclear deformation and lamin A/C tension-dependent YAP nuclear localization.

Applications

Unspecified application

Species

Unspecified reactive species

Ting-Ching Wang,Samere Abolghasemzade,Brendan P McKee,Ishita Singh,Kavya Pendyala,Mohammad Mohajeri,Hailee Patel,Aakansha Shaji,Anna L Kersey,Kajol Harsh,Simran Kaur,Christina R Dollahon,Sasanka Chukkapalli,Pushkar P Lele,Daniel E Conway,Akhilesh K Gaharwar,Richard B Dickinson,Tanmay P Lele

Proceedings of the National Academy of Sciences of the United States of America 121:e2403062121 PubMed39302966

2024

Genetic variation drives cancer cell adaptation to ECM stiffness.

Applications

Unspecified application

Species

Unspecified reactive species

Ting-Ching Wang,Suchitaa Sawhney,Daylin Morgan,Richard L Bennett,Richa Rashmi,Marcos R Estecio,Amy Brock,Irtisha Singh,Charles F Baer,Jonathan D Licht,Tanmay P Lele
View all publications

Product promise

We are committed to supporting your work with high-quality reagents, and we're here for you every step of the way. In the unlikely event that one of our products does not perform as expected, you're protected by our Product Promise.
For full details, please see our Terms & Conditions

Please note: All products are 'FOR RESEARCH USE ONLY. NOT FOR USE IN DIAGNOSTIC OR THERAPEUTIC PROCEDURES'.

For licensing inquiries, please contact partnerships@abcam.com