JavaScript is disabled in your browser. Please enable JavaScript to view this website.
AB151735

Anti-Lamin B2 antibody [EPR9701(B)]

4

(2 Reviews)

|

(48 Publications)

Anti-Lamin B2 antibody [EPR9701(B)] (ab151735) is a rabbit monoclonal antibody detecting Lamin B2 in Western Blot, Flow Cytometry (Intra), IP, IHC-P, ICC/IF. Suitable for Human, Mouse, Rat.

- Biophysical QC for unrivalled batch-batch consistency
- Over 30 publications

View Alternative Names

LMN2, LMNB2, Lamin-B2

10 Images
Immunocytochemistry/ Immunofluorescence - Anti-Lamin B2 antibody [EPR9701(B)] (AB151735)
  • ICC/IF

Lab

Immunocytochemistry/ Immunofluorescence - Anti-Lamin B2 antibody [EPR9701(B)] (AB151735)

Immunocytochemistry analysis of HepG2 (Human hepatocellular carcinoma epithelial cell) cells labeling Lamin B2 with Purified ab151735 at 1 : 50 dilution (2.18 µg/ml). Cells were fixed in 4% Paraformaldehyde and permeabilized with 0.1% tritonX-100. Cells were counterstained with ab195889 Anti-alpha Tubulin antibody [DM1A] - Microtubule Marker (Alexa Fluor®594) 1 : 200 (2.5 μg/ml). Goat anti rabbit IgG (Alexa Fluor® 488, ab150077) was used as the secondary antibody at 1 : 1000 (2 μg/ml) dilution. DAPI (blue) was used as nuclear counterstain. PBS instead of the primary antibody was used as the secondary antibody only control.

Flow Cytometry (Intracellular) - Anti-Lamin B2 antibody [EPR9701(B)] (AB151735)
  • Flow Cyt (Intra)

Lab

Flow Cytometry (Intracellular) - Anti-Lamin B2 antibody [EPR9701(B)] (AB151735)

Intracellular Flow Cytometry analysis of HepG2 (Human hepatocellular carcinoma epithelial cell) cells labeling Lamin B2 with Purified ab151735 at 1/20 dilution (10 μg/ml) (Red). Cells were fixed with 4% Paraformaldehyde and permeabilised with 90% Methanol. A Goat anti rabbit IgG (Alexa Fluor® 488, ab150077) secondary antibody was used at 1/2000. Isotype control - Rabbit monoclonal IgG (Black). Unlabeled control - Cell without incubation with primary antibody and secondary antibody (Blue).

Immunohistochemistry (Formalin/PFA-fixed paraffin-embedded sections) - Anti-Lamin B2 antibody [EPR9701(B)] (AB151735)
  • IHC-P

Lab

Immunohistochemistry (Formalin/PFA-fixed paraffin-embedded sections) - Anti-Lamin B2 antibody [EPR9701(B)] (AB151735)

Immunohistochemistry (Formalin/PFA-fixed paraffin-embedded sections) analysis of human bladder cancer tissue sections labeling Lamin B2 with Purified ab151735 at 1 : 100 dilution (1.09 µg/ml). Perform heat mediated antigen retrieval using ab93684 (Tris/EDTA buffer, pH 9.0). ImmunoHistoProbe one step HRP Polymer (ready to use) was used as the secondary antibody. Negative control : PBS instead of the primary antibody. Hematoxylin was used as a counterstain.

Immunoprecipitation - Anti-Lamin B2 antibody [EPR9701(B)] (AB151735)
  • IP

Unknown

Immunoprecipitation - Anti-Lamin B2 antibody [EPR9701(B)] (AB151735)

Purified ab151735 at 1/20 dilution (0.5μg) immunoprecipitating Lamin B2 in HepG2 whole cell lysate.
Lane 1 (input) : HepG2 (Human hepatocellular carcinoma epithelial cell) whole cell lysate 10μg
Lane 2 (+) : ab151735 + HepG2 whole cell lysate.
Lane 3 (-) : Rabbit monoclonal IgG (ab172730) instead of ab151735 in HepG2 whole cell lysate.
VeriBlot for IP Detection Reagent (HRP) (ab131366) (1/1000 dilution) was used for Western blotting.
Blocking Buffer and concentration : 5% NFDM/TBST.
Diluting buffer and concentration : 5% NFDM/TBST.
Observed band size : 68 kDa

All lanes:

Immunoprecipitation - Anti-Lamin B2 antibody [EPR9701(B)] (ab151735)

Predicted band size: 33 kDa,68 kDa

Observed band size: 47 kDa

false

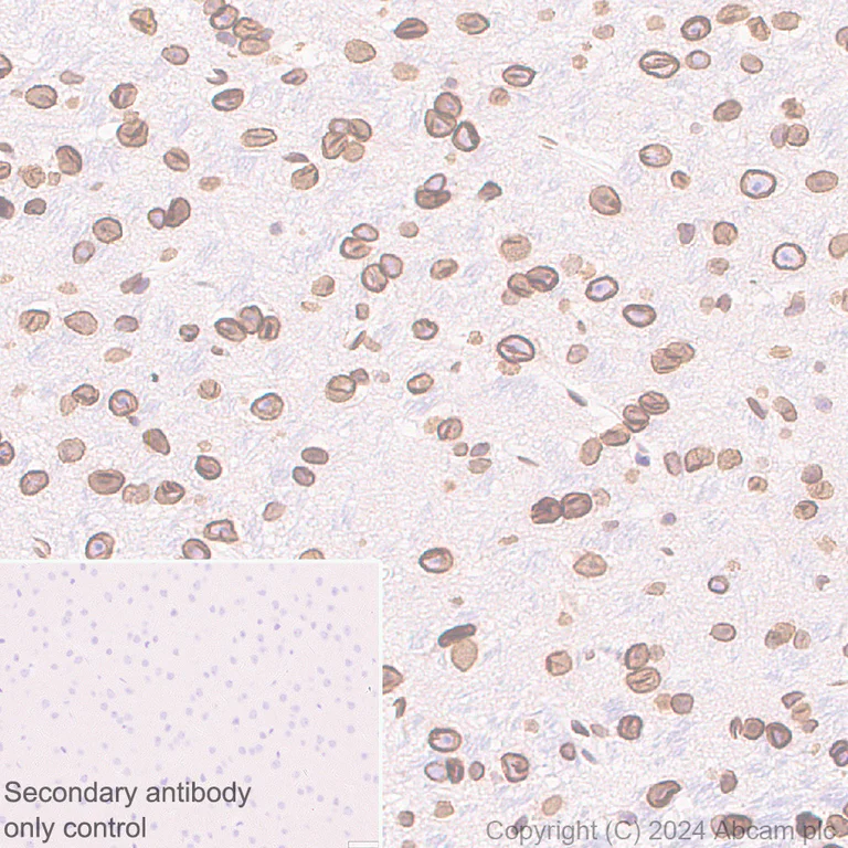
Immunohistochemistry (Formalin/PFA-fixed paraffin-embedded sections) - Anti-Lamin B2 antibody [EPR9701(B)] (AB151735)
  • IHC-P

Lab

Immunohistochemistry (Formalin/PFA-fixed paraffin-embedded sections) - Anti-Lamin B2 antibody [EPR9701(B)] (AB151735)

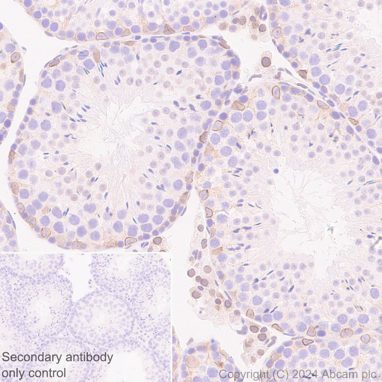
"Immunohistochemistry (Formalin/PFA-fixed paraffin-embedded sections) analysis of mouse testis tissues labelling Lamin B2 with ab151735 at 1 : 2000 dilution and ready to use secondary LeicaDS9800 (Bond™ Polymer Refine Detection) counterstainined with Hematoxylin. Heat mediated antigen retrieval was performed with Citrate buffer (pH 6.0, Epitope Retrieval Solution 1) for 20 mins. Nuclear envelope staining on mouse testis. The section was incubated with ab151735 for 30 mins at room temperature. The immunostaining was performed on a Leica Biosystems BOND® RX instrument"

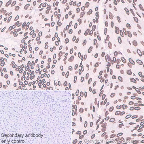
Immunohistochemistry (Formalin/PFA-fixed paraffin-embedded sections) - Anti-Lamin B2 antibody [EPR9701(B)] (AB151735)
  • IHC-P

Lab

Immunohistochemistry (Formalin/PFA-fixed paraffin-embedded sections) - Anti-Lamin B2 antibody [EPR9701(B)] (AB151735)

Immunohistochemistry (Formalin/PFA-fixed paraffin-embedded sections) analysis of mouse cerebrum tissues labelling Lamin B2 with ab151735 at 1 : 2000 dilution and ready to use secondary LeicaDS9800 (Bond™ Polymer Refine Detection) counterstainined with Hematoxylin. Heat mediated antigen retrieval was performed with Citrate buffer (pH 6.0, Epitope Retrieval Solution 1) for 20 mins. Nuclear envelope staining on mouse cerebrum. The section was incubated with ab151735 for 30 mins at room temperature. The immunostaining was performed on a Leica Biosystems BOND® RX instrument

Immunohistochemistry (Formalin/PFA-fixed paraffin-embedded sections) - Anti-Lamin B2 antibody [EPR9701(B)] (AB151735)
  • IHC-P

Lab

Immunohistochemistry (Formalin/PFA-fixed paraffin-embedded sections) - Anti-Lamin B2 antibody [EPR9701(B)] (AB151735)

Immunohistochemistry (Formalin/PFA-fixed paraffin-embedded sections) analysis of rat testis tissues labelling Lamin B2 with ab151735 at 1 : 2000 dilution and ready to use secondary LeicaDS9800 (Bond™ Polymer Refine Detection) counterstainined with Hematoxylin. Heat mediated antigen retrieval was performed with Citrate buffer (pH 6.0, Epitope Retrieval Solution 1) for 20 mins. Nuclear envelope staining on rat testis. The section was incubated with ab151735 for 30 mins at room temperature. The immunostaining was performed on a Leica Biosystems BOND® RX instrument"

Immunohistochemistry (Formalin/PFA-fixed paraffin-embedded sections) - Anti-Lamin B2 antibody [EPR9701(B)] (AB151735)
  • IHC-P

Lab

Immunohistochemistry (Formalin/PFA-fixed paraffin-embedded sections) - Anti-Lamin B2 antibody [EPR9701(B)] (AB151735)

Immunohistochemistry (Formalin/PFA-fixed paraffin-embedded sections) analysis of mouse kidney tissues labelling Lamin B2 with ab151735 at 1 : 2000 dilution and ready to use secondary LeicaDS9800 (Bond™ Polymer Refine Detection) counterstainined with Hematoxylin. Heat mediated antigen retrieval was performed with Citrate buffer (pH 6.0, Epitope Retrieval Solution 1) for 20 mins. Nuclear envelope staining on mouse kidney. The section was incubated with ab151735 for 30 mins at room temperature. The immunostaining was performed on a Leica Biosystems BOND® RX instrument

Western blot - Anti-Lamin B2 antibody [EPR9701(B)] (AB151735)
  • WB

Unknown

Western blot - Anti-Lamin B2 antibody [EPR9701(B)] (AB151735)

Blocking Buffer and concentration : 5% NFDM/TBST

All lanes:

Western blot - Anti-Lamin B2 antibody [EPR9701(B)] (ab151735) at 1/2000 dilution

Lane 1:

HeLa (Human cervix adenocarcinoma epithelial cell) whole cell lysate at 20 µg

Lane 2:

Mouse testis lysate at 20 µg

Lane 3:

Rat spleen lysate at 20 µg

Lane 4:

Rat testis lysate at 20 µg

Secondary

All lanes:

Western blot - Goat Anti-Rabbit IgG H&L (HRP) (<a href='/en-us/products/secondary-antibodies/goat-rabbit-igg-h-l-hrp-ab97051'>ab97051</a>) at 1/20000 dilution

Predicted band size: 68 kDa

Observed band size: 68 kDa

false

Western blot - Anti-Lamin B2 antibody [EPR9701(B)] (AB151735)
  • WB

Unknown

Western blot - Anti-Lamin B2 antibody [EPR9701(B)] (AB151735)

Blocking Buffer and concentration : 5% NFDM/TBST

All lanes:

Western blot - Anti-Lamin B2 antibody [EPR9701(B)] (ab151735) at 1/2000 dilution

All lanes:

HepG2 (Human hepatocellular carcinoma epithelial cell) whole cell lysate at 15 µg

Secondary

All lanes:

Western blot - Goat Anti-Rabbit IgG H&L (HRP) (<a href='/en-us/products/secondary-antibodies/goat-rabbit-igg-h-l-hrp-ab97051'>ab97051</a>) at 1/20000 dilution

Predicted band size: 68 kDa

Observed band size: 68 kDa

false

  • Carrier free

    Anti-Lamin B2 antibody [EPR9701(B)] - BSA and Azide free

  • 519 Alexa Fluor® 488

    Alexa Fluor® 488 Anti-Lamin B2 antibody [EPR9701(B)]

  • 665 Alexa Fluor® 647

    Alexa Fluor® 647 Anti-Lamin B2 antibody [EPR9701(B)]

  • 578 PE

    PE Anti-Lamin B2 antibody [EPR9701(B)]

  • 660 APC

    APC Anti-Lamin B2 antibody [EPR9701(B)]

  • HRP

    HRP Anti-Lamin B2 antibody [EPR9701(B)]

  • 603 Alexa Fluor® 568

    Alexa Fluor® 568 Anti-Lamin B2 antibody [EPR9701(B)]

  • 565 Alexa Fluor® 555

    Alexa Fluor® 555 Anti-Lamin B2 antibody [EPR9701(B)]

  • 617 Alexa Fluor® 594

    Alexa Fluor® 594 Anti-Lamin B2 antibody [EPR9701(B)]

  • 775 Alexa Fluor® 750

    Alexa Fluor® 750 Anti-Lamin B2 antibody [EPR9701(B)]

Key facts

Host species

Rabbit

Clonality

Monoclonal

Clone number

EPR9701(B)

Isotype

IgG

Carrier free

No

Reacts with

Mouse, Rat, Human

Applications

Flow Cyt (Intra), IP, IHC-P, ICC/IF, WB

applications

Immunogen

The exact immunogen used to generate this antibody is proprietary information.

Reactivity data

{ "title": "Reactivity Data", "filters": { "stats": ["", "Species", "Dilution Info", "Notes"], "tabs": { "all-applications": {"fullname" : "All Applications", "shortname": "All Applications"}, "IHCP" : {"fullname" : "Immunohistochemistry (Formalin/PFA-fixed paraffin-embedded sections)", "shortname":"IHC-P"}, "ICCIF" : {"fullname" : "Immunocytochemistry/ Immunofluorescence", "shortname":"ICC/IF"}, "IP" : {"fullname" : "Immunoprecipitation", "shortname":"IP"}, "WB" : {"fullname" : "Western blot", "shortname":"WB"}, "FlowCytIntra" : {"fullname" : "Flow Cytometry (Intracellular)", "shortname":"Flow Cyt (Intra)"} }, "product-promise": { "all": "all", "testedAndGuaranteed": "tested", "guaranteed": "expected", "predicted": "predicted", "notRecommended": "not-recommended" } }, "values": { "Human": { "IHCP-species-checked": "testedAndGuaranteed", "IHCP-species-dilution-info": "1/100", "IHCP-species-notes": "<p><strong>For unpurified use at 1/50 - 1/100.</strong></p>", "ICCIF-species-checked": "testedAndGuaranteed", "ICCIF-species-dilution-info": "1/50", "ICCIF-species-notes": "<p><strong>For unpurified use at 1/250 - 1/500.</strong></p>", "IP-species-checked": "testedAndGuaranteed", "IP-species-dilution-info": "1/10 - 1/100", "IP-species-notes": "<p></p>", "WB-species-checked": "testedAndGuaranteed", "WB-species-dilution-info": "1/2000", "WB-species-notes": "<p><strong>For unpurified use at 1/1000 - 1/10000.</strong></p>", "FlowCytIntra-species-checked": "testedAndGuaranteed", "FlowCytIntra-species-dilution-info": "1/20", "FlowCytIntra-species-notes": "<p></p>" }, "Mouse": { "IHCP-species-checked": "testedAndGuaranteed", "IHCP-species-dilution-info": "1/2000", "IHCP-species-notes": "<p></p>", "ICCIF-species-checked": "guaranteed", "ICCIF-species-dilution-info": "", "ICCIF-species-notes": "", "IP-species-checked": "guaranteed", "IP-species-dilution-info": "", "IP-species-notes": "", "WB-species-checked": "testedAndGuaranteed", "WB-species-dilution-info": "1/2000", "WB-species-notes": "<p><strong>For unpurified use at 1/1000 - 1/10000.</strong></p>", "FlowCytIntra-species-checked": "guaranteed", "FlowCytIntra-species-dilution-info": "", "FlowCytIntra-species-notes": "" }, "Rat": { "IHCP-species-checked": "testedAndGuaranteed", "IHCP-species-dilution-info": "1/2000", "IHCP-species-notes": "<p></p>", "ICCIF-species-checked": "guaranteed", "ICCIF-species-dilution-info": "", "ICCIF-species-notes": "", "IP-species-checked": "guaranteed", "IP-species-dilution-info": "", "IP-species-notes": "", "WB-species-checked": "testedAndGuaranteed", "WB-species-dilution-info": "1/2000", "WB-species-notes": "<p><strong>For unpurified use at 1/1000 - 1/10000.</strong></p>", "FlowCytIntra-species-checked": "guaranteed", "FlowCytIntra-species-dilution-info": "", "FlowCytIntra-species-notes": "" } } }

Product details

What is this antibody validated in?
Anti-Lamin B2 antibody [EPR9701(B)] (ab151735) is a rabbit recombinant monoclonal antibody and is validated for use in Western Blot (WB), Flow Cytometry (Intra), Flow Cytometry (Flow Cyt), Immunoprecipitation (IP), Immunohistochemistry (IHC-P), Immunocytochemistry/immunofluorescence (ICC/IF) in Human, Mouse, Rat samples.

What is the molecular weight of Lamin B2?
Anti-Lamin B2 [EPR9701(B)] (ab151735) specifically detects a band for Lamin B2 (UniProt: Q03252) at a molecular weight of 68kDa.

Trusted by the scientific community
Anti-Lamin B2 [EPR9701(B)] (ab151735) was first used in a scientific publication in 2012 and has been cited over 30 times in peer-reviewed journals.

Trial sizes available!
Test your antibody or perform pre-screening before committing to a larger quantity. Sold in 10µl. Discover our selection of trial-size antibodies.

Other related products
We have a range of other formats of antibody clone [EPR9701(B)] also available for your convenience: ab151735, Alexa Fluor® 488 - ab200426, Alexa Fluor® 647 - ab200427, Carrier free - ab240124, PE - ab303113, APC - ab303114, HRP - ab303115, Alkaline Phosphatase - ab308838, Alexa Fluor® 594 - ab310568, Alexa Fluor® 555 - ab312097, Alexa Fluor® 568 - ab312578, Alexa Fluor® 750 - ab321132

Patented technology
Our RabMAb® technology is a patented hybridoma-based technology for making rabbit monoclonal antibodies. For details on our patents, please refer to RabMAb® patents.

What are the advantages of a recombinant monoclonal antibody?
This product is a recombinant monoclonal antibody, which offers several advantages including:

  • - High batch-to-batch consistency and reproducibility
  • - Improved sensitivity and specificity
  • - Long-term security of supply
  • - Animal-free batch production

For more information, read more on recombinant antibodies.

Properties and storage information

Form
Liquid
Purification technique
Affinity purification Protein A
Storage buffer
pH: 7.2 - 7.4 Preservative: 0.01% Sodium azide Constituents: PBS, 40% Glycerol (glycerin, glycerine), 0.05% BSA
Shipped at conditions
Blue Ice
Appropriate short-term storage duration
1-2 weeks
Appropriate short-term storage conditions
+4°C
Appropriate long-term storage conditions
-20°C
Aliquoting information
Upon delivery aliquot
Storage information
Avoid freeze / thaw cycle

Supplementary information

This supplementary information is collated from multiple sources and compiled automatically.

Lamin B2 also referred to as 'ln43' or 'lmnB2' is a lamin molecule with a molecular weight of approximately 66 kDa. It is an important component of the nuclear lamina an essential structure that provides mechanical support to the nuclear envelope. Lamin B2 is expressed in most cell types and is particularly abundant in cells with high proliferative capacity such as those in the fetal brain and liver. The protein is encoded by the LMNB2 gene and functions as an integral part of the nuclear envelope's architecture by interacting with other nuclear proteins.
Biological function summary

Lamin B2 plays a critical role in maintaining nuclear stability and chromatin organization. It is a part of a larger complex that includes Lamin B and other nuclear matrix proteins. This structural matrix is important for chromosomal segregation during cell division ensuring that the genetic material is evenly distributed between daughter cells. Lamin B2 also facilitates processes such as DNA replication and repair by serving as a scaffold for anchoring various molecular components within the nucleus.

Pathways

Lamin B2 is implicated in the regulation of the mitotic spindle formation during cell division which is a part of the cell cycle pathway. It interacts with proteins such as Lamin A and other nucleoporins contributing to the proper formation of nuclear pore complexes. Furthermore it plays a role in the pathway of apoptosis by modulating the release of factors from the nucleus that trigger cell death mechanisms. These interactions emphasize its importance in maintaining cellular function and integrity.

Alterations in Lamin B2 expression or function have been linked to certain types of cancer such as glioblastoma as well as to laminopathies. Laminopathies are a group of disorders caused by mutations in lamin proteins leading to defects in nuclear structure and function. Besides aberrant Lamin B2 is associated with neurological disorders through its interactions with other nuclear envelope protein components like Lamin A/C. These connections highlight the importance of Lamin B2 in both physiological processes and pathologies.

Product protocols

For this product, it's our understanding that no specific protocols are required. You can visit:

Target data

Lamins are intermediate filament proteins that assemble into a filamentous meshwork, and which constitute the major components of the nuclear lamina, a fibrous layer on the nucleoplasmic side of the inner nuclear membrane (PubMed : 33033404). Lamins provide a framework for the nuclear envelope, bridging the nuclear envelope and chromatin, thereby playing an important role in nuclear assembly, chromatin organization, nuclear membrane and telomere dynamics (PubMed : 33033404). The structural integrity of the lamina is strictly controlled by the cell cycle, as seen by the disintegration and formation of the nuclear envelope in prophase and telophase, respectively (PubMed : 33033404).
See full target information LMNB2

Publications (48)

Recent publications for all applications. Explore the full list and refine your search

The Journal of clinical investigation 135: PubMed40662365

2025

Cancer-associated SPOP mutations enlarge nuclear size and facilitate nuclear envelope rupture upon farnesyltransferase inhibitor treatment.

Applications

Unspecified application

Species

Unspecified reactive species

Zixi Wang,Lei Li,Qi Ye,Yuzeshi Lei,Mingming Lu,Leihong Ye,Jialu Kang,Wenyue Huang,Shan Xu,Ke Wang,Jing Liu,Yang Gao,Chenji Wang,Jian Ma,Lei Li

Cancer medicine 14:e70970 PubMed40366008

2025

NOP2-Mediated m5C Methylation Modification of LMNB2 mRNA Facilitates Colorectal Cancer Progression.

Applications

Unspecified application

Species

Unspecified reactive species

Jinling Bi,Yong Huang,Wentao Hu,Yulong Liu

STAR protocols 6:103633 PubMed39932849

2025

Protocols for the application of human embryonic stem cell-derived neurons for aging modeling and gene manipulation.

Applications

Unspecified application

Species

Unspecified reactive species

Hui Zhang,Shuhui Sun,Juan Carlos Izpisua Belmonte,Guang-Hui Liu,Si Wang,Weiqi Zhang,Jing Qu

Aging 17:203-216 PubMed39774004

2025

Comprehensive analysis of LMNB2 in pan-cancer and identification of its biological role in sarcoma.

Applications

Unspecified application

Species

Unspecified reactive species

Yonghui Guo,Min Zhang,Yingrui Luo,Yingshi Li,Yanxia Xu,Nisha Wang

Frontiers in cell and developmental biology 12:1447630 PubMed39524225

2024

Protamine 2 deficiency results in Septin 12 abnormalities.

Applications

Unspecified application

Species

Unspecified reactive species

Ondrej Sanovec,Michaela Frolikova,Veronika Kraus,Jana Vondrakova,Maryam Qasemi,Daniela Spevakova,Ondrej Simonik,Lindsay Moritz,Drew Lewis Caswell,Frantisek Liska,Lukas Ded,Jiri Cerny,Tomer Avidor-Reiss,Saher Sue Hammoud,Hubert Schorle,Pavla Postlerova,Klaus Steger,Katerina Komrskova

Journal of cell science 138: PubMed39501901

2024

Decreased DNA density is a better indicator of a nuclear bleb than lamin B loss.

Applications

Unspecified application

Species

Unspecified reactive species

Samantha Bunner,Kelsey Prince,Emily M Pujadas Liwag,Nebiyat Eskndir,Karan Srikrishna,Antonia Amonu McCarthy,Anna Kuklinski,Olivia Jackson,Pedro Pellegrino,Shrushti Jagtap,Imuetiyan Eweka,Colman Lawlor,Emma Eastin,Griffin Yas,Julianna Aiello,Nathan LaPointe,Isabelle Schramm von Blucher,Jillian Hardy,Jason Chen,Schuyler Figueroa,Vadim Backman,Anne Janssen,Mary Packard,Katherine Dorfman,Luay Almassalha,Michael Seifu Bahiru,Andrew D Stephens

Aging cell 23:e14303 PubMed39113346

2024

The activation of cGAS-STING pathway causes abnormal uterine receptivity in aged mice.

Applications

Unspecified application

Species

Unspecified reactive species

Si-Ting Chen,Wen-Wen Shi,Feng Ran,Cheng-Kan Liu,Hui-Na Luo,Li-Juan Wu,Ying Wu,Tong-Tong Zhang,Zeng-Ming Yang

Cell reports 43:114493 PubMed39028622

2024

Mitochondrial perturbations in low-protein-diet-fed mice are associated with altered neutrophil development and effector functions.

Applications

Unspecified application

Species

Unspecified reactive species

Mehakpreet K Thind,Emiliano Miraglia,Catriona Ling,Meraj A Khan,Aida Glembocki,Celine Bourdon,YueYing ChenMi,Nades Palaniyar,Michael Glogauer,Robert H J Bandsma,Amber Farooqui

Cellular and molecular life sciences : CMLS 81:141 PubMed38485766

2024

Lamin B1 curtails early human papillomavirus infection by safeguarding nuclear compartmentalization and autophagic capacity.

Applications

Unspecified application

Species

Unspecified reactive species

Freya Molenberghs,Marlies Verschuuren,Lauran Vandeweyer,Sarah Peeters,Johannes J Bogers,Claudina Perez Novo,Wim Vanden Berghe,Hans De Reu,Nathalie Cools,Mario Schelhaas,Winnok H De Vos

Nature 619:176-183 PubMed37286593

2023

Epigenetic dysregulation from chromosomal transit in micronuclei.

Applications

Unspecified application

Species

Unspecified reactive species

Albert S Agustinus,Duaa Al-Rawi,Bhargavi Dameracharla,Ramya Raviram,Bailey S C L Jones,Stephanie Stransky,Lorenzo Scipioni,Jens Luebeck,Melody Di Bona,Danguole Norkunaite,Robert M Myers,Mercedes Duran,Seongmin Choi,Britta Weigelt,Shira Yomtoubian,Andrew McPherson,Eléonore Toufektchan,Kristina Keuper,Paul S Mischel,Vivek Mittal,Sohrab P Shah,John Maciejowski,Zuzana Storchova,Enrico Gratton,Peter Ly,Dan Landau,Mathieu F Bakhoum,Richard P Koche,Simone Sidoli,Vineet Bafna,Yael David,Samuel F Bakhoum
View all publications

Product promise

We are committed to supporting your work with high-quality reagents, and we're here for you every step of the way. In the unlikely event that one of our products does not perform as expected, you're protected by our Product Promise.
For full details, please see our Terms & Conditions

Please note: All products are 'FOR RESEARCH USE ONLY. NOT FOR USE IN DIAGNOSTIC OR THERAPEUTIC PROCEDURES'.

For licensing inquiries, please contact partnerships@abcam.com