JavaScript is disabled in your browser. Please enable JavaScript to view this website.
AB259345

Anti-Laminin 2 alpha antibody [EPR23924-60]

Be the first to review this product! Submit a review

|

(1 Publication)

Rabbit Recombinant Monoclonal Laminin 2 alpha antibody. Suitable for IHC-Fr, IHC-P and reacts with Mouse samples. Cited in 1 publication.

View Alternative Names

Laminin subunit alpha-2, Laminin M chain, Laminin-12 subunit alpha, Laminin-2 subunit alpha, Laminin-4 subunit alpha, Merosin heavy chain, Lama2

3 Images
Immunohistochemistry (Frozen sections) - Anti-Laminin 2 alpha antibody [EPR23924-60] (AB259345)
  • IHC-Fr

Unknown

Immunohistochemistry (Frozen sections) - Anti-Laminin 2 alpha antibody [EPR23924-60] (AB259345)

Immunohistochemical analysis of 4% PFA-fixed, 0.2% Triton X-100 permeabilized frozen mouse cardiac muscle tissue labeling Laminin 2 alpha with ab259345 at 1/100 (4.84 μg/ml) dilution followed by ab150077 Goat Anti-Rabbit IgG H&L (Alexa Fluor® 488) (Green). Positive staining on mouse cardiac muscle is observed. The nuclear counterstain was DAPI (Blue).

Secondary antibody control : Secondary antibody is ab150077 Goat Anti-Rabbit IgG H&L (Alexa Fluor® 488).

Heat mediated antigen retrieval using sodium citrate buffer (10mM citrate pH 6.0 + 0.05% Tween-20).

Immunohistochemistry (Formalin/PFA-fixed paraffin-embedded sections) - Anti-Laminin 2 alpha antibody [EPR23924-60] (AB259345)
  • IHC-P

Unknown

Immunohistochemistry (Formalin/PFA-fixed paraffin-embedded sections) - Anti-Laminin 2 alpha antibody [EPR23924-60] (AB259345)

Immunohistochemical analysis of paraffin-embedded mouse cardiac muscle tissue labeling Laminin 2 alpha with ab259345 at 1/500 (0.484 μg/ml) dilution followed by a ready to use Rabbit specific IHC polymer detection kit HRP/DAB (ab209101). Positive staining in basal laminae of mouse cardiac muscle (PMID : 11969289). The section was incubated with ab259345 for 30 mins at room temperature. The immunostaining was performed on a Leica Biosystems BOND® RX instrument. Counterstained with Hematoxylin.

Secondary antibody only control : Secondary antibody is a ready to use Rabbit specific IHC polymer detection kit HRP/DAB (ab209101).

Heat mediated antigen retrieval with Tris-EDTA buffer (pH 9.0, epitope retrieval solution2) for 20 mins.

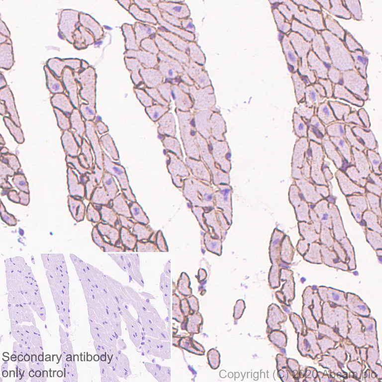
Immunohistochemistry (Formalin/PFA-fixed paraffin-embedded sections) - Anti-Laminin 2 alpha antibody [EPR23924-60] (AB259345)
  • IHC-P

Unknown

Immunohistochemistry (Formalin/PFA-fixed paraffin-embedded sections) - Anti-Laminin 2 alpha antibody [EPR23924-60] (AB259345)

Immunohistochemical analysis of paraffin-embedded mouse skeletal muscle tissue labeling Laminin 2 alpha with ab259345 at 1/500 (0.484 μg/ml) dilution followed by a ready to use Rabbit specific IHC polymer detection kit HRP/DAB (ab209101). Positive staining in basal laminae of mouse skeletal muscle (PMID : 11969289). The section was incubated with ab259345 for 30 mins at room temperature. The immunostaining was performed on a Leica Biosystems BOND® RX instrument. Counterstained with Hematoxylin.

Secondary antibody only control : Secondary antibody is a ready to use Rabbit specific IHC polymer detection kit HRP/DAB (ab209101).

Heat mediated antigen retrieval with Tris-EDTA buffer (pH 9.0, epitope retrieval solution2) for 20 mins.

  • Carrier free

    Anti-Laminin 2 alpha antibody [EPR23924-60] - BSA and Azide free

  • 578 PE

    PE Anti-Laminin 2 alpha antibody [EPR23924-60]

  • 617 Alexa Fluor® 594

    Alexa Fluor® 594 Anti-Laminin 2 alpha antibody [EPR23924-60]

  • 519 Alexa Fluor® 488

    Alexa Fluor® 488 Anti-Laminin 2 alpha antibody [EPR23924-60]

  • 565 Alexa Fluor® 555

    Alexa Fluor® 555 Anti-Laminin 2 alpha antibody [EPR23924-60]

  • 660 APC

    APC Anti-Laminin 2 alpha antibody [EPR23924-60]

  • 665 Alexa Fluor® 647

    Alexa Fluor® 647 Anti-Laminin 2 alpha antibody [EPR23924-60]

  • 775 Alexa Fluor® 750

    Alexa Fluor® 750 Anti-Laminin 2 alpha antibody [EPR23924-60]

Key facts

Host species

Rabbit

Clonality

Monoclonal

Clone number

EPR23924-60

Isotype

IgG

Carrier free

No

Reacts with

Mouse

Applications

IHC-Fr, IHC-P

applications

Immunogen

The exact immunogen used to generate this antibody is proprietary information.

Reactivity data

{ "title": "Reactivity Data", "filters": { "stats": ["", "Species", "Dilution Info", "Notes"], "tabs": { "all-applications": {"fullname" : "All Applications", "shortname": "All Applications"}, "ICCIF" : {"fullname" : "Immunocytochemistry/ Immunofluorescence", "shortname":"ICC/IF"}, "FlowCyt" : {"fullname" : "Flow Cytometry", "shortname":"Flow Cyt"}, "WB" : {"fullname" : "Western blot", "shortname":"WB"}, "IHCFr" : {"fullname" : "Immunohistochemistry (Frozen sections)", "shortname":"IHC-Fr"}, "IHCP" : {"fullname" : "Immunohistochemistry (Formalin/PFA-fixed paraffin-embedded sections)", "shortname":"IHC-P"} }, "product-promise": { "all": "all", "testedAndGuaranteed": "tested", "guaranteed": "expected", "predicted": "predicted", "notRecommended": "not-recommended" } }, "values": { "Mouse": { "ICCIF-species-checked": "notRecommended", "ICCIF-species-dilution-info": "", "ICCIF-species-notes": "<p></p>", "FlowCyt-species-checked": "notRecommended", "FlowCyt-species-dilution-info": "", "FlowCyt-species-notes": "<p></p>", "WB-species-checked": "notRecommended", "WB-species-dilution-info": "", "WB-species-notes": "<p></p>", "IHCFr-species-checked": "testedAndGuaranteed", "IHCFr-species-dilution-info": "1/100", "IHCFr-species-notes": "<p>Heat mediated antigen retrieval using sodium citrate buffer (10mM citrate pH 6.0 + 0.05% Tween-20).</p>", "IHCP-species-checked": "testedAndGuaranteed", "IHCP-species-dilution-info": "1/500", "IHCP-species-notes": "<p></p>" } } }

Product details

Patented technology
Our RabMAb® technology is a patented hybridoma-based technology for making rabbit monoclonal antibodies. For details on our patents, please refer to RabMAb® patents.

What are the advantages of a recombinant monoclonal antibody?
This product is a recombinant monoclonal antibody, which offers several advantages including:

  • - High batch-to-batch consistency and reproducibility
  • - Improved sensitivity and specificity
  • - Long-term security of supply
  • - Animal-free batch production

For more information, read more on recombinant antibodies.

Properties and storage information

Form
Liquid
Purification technique
Affinity purification Protein A
Storage buffer
Preservative: 0.01% Sodium azide Constituents: PBS, 40% Glycerol (glycerin, glycerine), 0.05% BSA
Shipped at conditions
Blue Ice
Appropriate short-term storage duration
1-2 weeks
Appropriate short-term storage conditions
+4°C
Appropriate long-term storage conditions
-20°C
Aliquoting information
Upon delivery aliquot
Storage information
Avoid freeze / thaw cycle

Supplementary information

This supplementary information is collated from multiple sources and compiled automatically.

Laminin 2 alpha also known as laminin alpha 2 or merosin is a subunit of the laminin protein family that contributes to the structure of the extracellular matrix. It forms part of the heterotrimeric laminin 211 complex comprising alpha beta and gamma chains. Laminin 2 alpha has a molecular weight of approximately 300 kDa and is expressed in various tissues especially in skeletal muscle and the peripheral nervous system. This subunit plays an important role in anchoring cells to the basement membrane facilitating cellular adhesion and communication.
Biological function summary

Laminin 2 alpha contributes to the integrity and function of the basement membrane by forming a scaffold that connects cells and tissues. It is part of the greater laminin molecule which contains other laminin proteins and helps in cell differentiation migration and adhesion. The protein serves as a binding site for various integrins and dystroglycans contributing to the development and repair processes within muscular and neural systems. It ensures stability in tissue architecture maintaining proper cell signaling pathways in collaboration with other extracellular matrix components.

Pathways

Laminin 2 alpha is involved in processes essential for tissue integrity and repair. It plays a role within the PI3K/AKT signaling pathway which is important for cell survival and metabolism. In this pathway laminin 2 alpha of the laminin 211 complex interacts with integrins and dystroglycan complexes facilitating downstream signaling for cellular growth and differentiation. Additionally laminin 2 alpha assists in the MAPK pathway connecting with proteins like FAK which regulates cell adhesion and proliferation important for healthy tissue function and response to damage.

Laminin 2 alpha is closely related to congenital muscular dystrophies particularly Merosin-deficient Congenital Muscular Dystrophy type 1A (MDC1A). This disorder is characterized by muscle weakness and developmental delays resulting from mutations in the laminin alpha 2 chain. Disruptions in laminin 2 can affect its interaction with the dystrophin-glycoprotein complex leading to compromised muscle membrane stability and tissue degeneration. Another connection exists with neuropathies where laminin 2 alpha's role in the peripheral nervous system can contribute to neural dysfunction if the protein is improperly expressed or mutated.

Product protocols

For this product, it's our understanding that no specific protocols are required. You can visit:

Target data

Binding to cells via a high affinity receptor, laminin is thought to mediate the attachment, migration and organization of cells into tissues during embryonic development by interacting with other extracellular matrix components.
See full target information Lama2

Publications (1)

Recent publications for all applications. Explore the full list and refine your search

Bioactive materials 51:211-230 PubMed40487245

2025

A sandwich-like nanofibrous scaffold with macrophage phenotype transformation and myogenic differentiation for skeletal muscle regeneration.

Applications

Unspecified application

Species

Unspecified reactive species

Shue Jin,Yongrui Cai,Yaxing Li,Jing Wen,Xiaoxue Fu,Ping Song,Pengyu Lu,Anjing Chen,Zeyu Luo,Weinan Zeng,Jidong Li,Zongke Zhou
View all publications

Product promise

We are committed to supporting your work with high-quality reagents, and we're here for you every step of the way. In the unlikely event that one of our products does not perform as expected, you're protected by our Product Promise.
For full details, please see our Terms & Conditions

Please note: All products are 'FOR RESEARCH USE ONLY. NOT FOR USE IN DIAGNOSTIC OR THERAPEUTIC PROCEDURES'.

For licensing inquiries, please contact partnerships@abcam.com