JavaScript is disabled in your browser. Please enable JavaScript to view this website.
AB78286

Anti-Laminin 5 antibody [P3H9-2]

5

(2 Reviews)

|

(22 Publications)

Mouse Monoclonal LAMA3 antibody. Suitable for IHC-Fr and reacts with Human samples. Cited in 22 publications.

View Alternative Names

LAMNA, LAMA3, Laminin subunit alpha-3, Epiligrin 170 kDa subunit, Epiligrin subunit alpha, Kalinin subunit alpha, Laminin-5 subunit alpha, Laminin-6 subunit alpha, Laminin-7 subunit alpha, Nicein subunit alpha, E170

3 Images
Immunohistochemistry (Frozen sections) - Anti-Laminin 5 antibody [P3H9-2] (AB78286)
  • IHC-Fr

AbReview38484****

Immunohistochemistry (Frozen sections) - Anti-Laminin 5 antibody [P3H9-2] (AB78286)

ab78286 staining Laminin 5 in Human cultured skin (NHEK, NB1RGB) tissue sections by Immunohistochemistry (IHC-Fr - frozen sections). Tissue was fixed with formaldehyde, permeabilized with 0.1% Triton X-100 and blocked with 10% Blocking One® for 1 hour at 25°C. Samples were incubated with primary antibody (1/500 in 10% Blocking One® in PBS) for 1 hour at 25°C. An Alexa Fluor® 555-conjugated Rabbit anti-mouse IgG polyclonal (1/200) was used as the secondary antibody.

This image is courtesy of an anonymous Abreview

Immunohistochemistry (Frozen sections) - Anti-Laminin 5 antibody [P3H9-2] (AB78286)
  • IHC-Fr

Lab

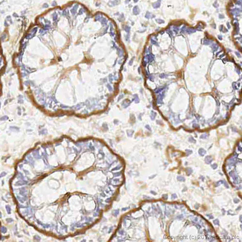
Immunohistochemistry (Frozen sections) - Anti-Laminin 5 antibody [P3H9-2] (AB78286)

IHC image of Laminin 5 staining in a section of frozen normal human colon*, performed on a Leica Bond™ system using the standard protocol F. No antigen retrieval step was performed prior to staining. The section was incubated with ab78286, 1 μg/ml, for 15 mins at room temperature and detected using an HRP conjugated compact polymer system. DAB was used as the chromogen. The section was then counterstained with haematoxylin and mounted with DPX.

For other IHC staining systems (automated and non-automated) customers should optimize variable parameters such as antigen retrieval conditions, primary antibody concentration and antibody incubation times.

*Tissue obtained from the Human Research Tissue Bank, supported by the NIHR Cambridge Biomedical Research Centre

Immunohistochemistry (Frozen sections) - Anti-Laminin 5 antibody [P3H9-2] (AB78286)
  • IHC-Fr

Unknown

Immunohistochemistry (Frozen sections) - Anti-Laminin 5 antibody [P3H9-2] (AB78286)

IHC image of Laminin 5 staining in a section of frozen normal human skin*, performed on a Leica Bond™ system using the standard protocol F. No antigen retrieval step was performed prior to staining. The section was incubated with ab78286, 1 μg/ml, for 15 mins at room temperature and detected using an HRP conjugated compact polymer system. DAB was used as the chromogen. The section was then counterstained with haematoxylin and mounted with DPX.

For other IHC staining systems (automated and non-automated) customers should optimize variable parameters such as antigen retrieval conditions, primary antibody concentration and antibody incubation times.

*Tissue obtained from the Human Research Tissue Bank, supported by the NIHR Cambridge Biomedical Research Centre.

Key facts

Host species

Mouse

Clonality

Monoclonal

Clone number

P3H9-2

Isotype

IgG1

Light chain type

kappa

Carrier free

No

Reacts with

Human

Applications

IHC-Fr

applications

Immunogen

The exact immunogen used to generate this antibody is proprietary information.

Reactivity data

{ "title": "Reactivity Data", "filters": { "stats": ["", "Species", "Dilution Info", "Notes"], "tabs": { "all-applications": {"fullname" : "All Applications", "shortname": "All Applications"}, "IHCFr" : {"fullname" : "Immunohistochemistry (Frozen sections)", "shortname":"IHC-Fr"} }, "product-promise": { "all": "all", "testedAndGuaranteed": "tested", "guaranteed": "expected", "predicted": "predicted", "notRecommended": "not-recommended" } }, "values": { "Human": { "IHCFr-species-checked": "testedAndGuaranteed", "IHCFr-species-dilution-info": "1-5 µg/mL", "IHCFr-species-notes": "<p></p>" } } }

Product details

Want a custom formulation?
This antibody clone is manufactured by Abcam. If you require a custom buffer formulation or conjugation for your experiments, please contact orders@abcam.com

Properties and storage information

Form
Liquid
Purification technique
Affinity purification
Storage buffer
pH: 7.4 Preservative: 0.02% Sodium azide Constituents: PBS, 50% Glycerol (glycerin, glycerine)
Shipped at conditions
Blue Ice
Appropriate short-term storage conditions
+4°C
Appropriate long-term storage conditions
+4°C
Aliquoting information
Upon delivery aliquot
Storage information
Do Not Freeze

Supplementary information

This supplementary information is collated from multiple sources and compiled automatically.

Laminin 5 also known as laminin-332 is a heterotrimeric glycoprotein composed of alpha-3 beta-3 and gamma-2 chains with a molecular mass of about 460 kDa. Laminin 5 is expressed in the basement membrane zone of epithelial tissues playing a significant role in tissue structure. This molecule is widely present in areas such as skin lungs and other epithelial cell surfaces facilitating cellular functions like adhesion migration and differentiation. Researchers often use laminin antibodies including those for laminin IHC to visualize this molecule in various tissue samples.
Biological function summary

Laminin 5 forms part of the integrin complexes that modulate interactions between cells and the extracellular matrix. It provides critical structural support and influences cell behavior within the tissue microenvironment. Laminin 5 participates in the anchoring of keratinocytes to the underlying basement membrane which is essential for skin integrity and maintenance. Its interaction with laminin receptors on the cell surface strengthens the cellular attachment impacting the overall integrity and mechanical resistance of tissues.

Pathways

Laminin 5 is integral to the hemidesmosome assembly pathway and the MAPK/ERK signaling pathway. These pathways involve its interactions with integrins such as alpha-6 beta-4 and other proteins like dystroglycan. Laminin molecules including laminin 5 influence the downstream signaling of MAPK/ERK which governs processes like cellular proliferation and differentiation. The linkage with integrin-mediated signaling pathways allows laminin 5 to participate actively in cell adhesion mechanisms and responses to extracellular matrix changes.

Laminin 5 associates with junctional epidermolysis bullosa and cancer progression. Mutations in the genes encoding laminin 5 subunits lead to junctional epidermolysis bullosa a disorder marked by fragile skin and blister formations due to defective basement membrane anchoring. In cancer altered expression of laminin 5 facilitates tumor invasion and metastasis often involving interactions with matrix metalloproteinases (MMPs) and other extracellular matrix components. These connections underline the role of laminin 5 in pathological processes highlighting its potential as a therapeutic target.

Product protocols

For this product, it's our understanding that no specific protocols are required. You can visit:

Target data

Binding to cells via a high affinity receptor, laminin is thought to mediate the attachment, migration and organization of cells into tissues during embryonic development by interacting with other extracellular matrix components.. Laminin-5 is thought to be involved in (1) cell adhesion via integrin alpha-3/beta-1 in focal adhesion and integrin alpha-6/beta-4 in hemidesmosomes, (2) signal transduction via tyrosine phosphorylation of pp125-FAK and p80, (3) differentiation of keratinocytes.
See full target information LAMA3

Additional targets

LAMC2,LAMB3

Publications (22)

Recent publications for all applications. Explore the full list and refine your search

Skin research and technology : official journal of International Society for Bioengineering and the Skin (ISBS) [and] International Society for Digital Imaging of Skin (ISDIS) [and] International Society for Skin Imaging (ISSI) 29:e13350 PubMed37357659

2023

Skin antiaging effects of a multiple mechanisms hyaluronan complex.

Applications

Unspecified application

Species

Unspecified reactive species

Fan Chen,Xueping Guo,Yue Wu

EMBO reports 24:e56212 PubMed37154297

2023

Noncoding SNP at rs1663689 represses ADGRG6 via interchromosomal interaction and reduces lung cancer progression.

Applications

Unspecified application

Species

Unspecified reactive species

Xinyue Lei,Xiaoling Tian,Hao Wang,Xinran Xu,Guoli Li,Wenxu Liu,Dan Wang,Zengtuan Xiao,Mengzhe Zhang,Mulin Jun Li,Zhenfa Zhang,Zhenyi Ma,Zhe Liu

Frontiers in molecular neuroscience 15:926567 PubMed36452406

2022

PP2A phosphatase regulates cell-type specific cytoskeletal organization to drive dendrite diversity.

Applications

Unspecified application

Species

Unspecified reactive species

Shatabdi Bhattacharjee,Erin N Lottes,Sumit Nanda,Andre Golshir,Atit A Patel,Giorgio A Ascoli,Daniel N Cox

Advanced materials (Deerfield Beach, Fla.) 34:e2106780 PubMed34933407

2022

Fully Synthetic 3D Fibrous Scaffolds for Stromal Tissues-Replacement of Animal-Derived Scaffold Materials Demonstrated by Multilayered Skin.

Applications

Unspecified application

Species

Unspecified reactive species

Tobias Weigel,Christoph Malkmus,Verena Weigel,Maximiliane Wußmann,Constantin Berger,Julian Brennecke,Florian Groeber-Becker,Jan Hansmann

Scientific reports 12:317 PubMed35013350

2022

High-throughput formation and image-based analysis of basal-in mammary organoids in 384-well plates.

Applications

Unspecified application

Species

Unspecified reactive species

Soojung Lee,Jonathan Chang,Sung-Min Kang,Eric Parigoris,Ji-Hoon Lee,Yun Suk Huh,Shuichi Takayama

Cells 10: PubMed34201301

2021

Human Keratinocytes Inhibit CD4 T-Cell Proliferation through TGFB1 Secretion and Surface Expression of HLA-G1 and PD-L1 Immune Checkpoints.

Applications

Unspecified application

Species

Unspecified reactive species

Guillaume Mestrallet,Frédéric Auvré,Chantal Schenowitz,Edgardo D Carosella,Joel LeMaoult,Michèle T Martin,Nathalie Rouas-Freiss,Nicolas O Fortunel

Stem cells (Dayton, Ohio) 39:897-903 PubMed33609408

2021

ABCB5+ dermal mesenchymal stromal cells with favorable skin homing and local immunomodulation for recessive dystrophic epidermolysis bullosa treatment.

Applications

Unspecified application

Species

Unspecified reactive species

Julia Riedl,Michael Pickett-Leonard,Cindy Eide,Mark Andreas Kluth,Christoph Ganss,Natasha Y Frank,Markus H Frank,Christen L Ebens,Jakub Tolar

Histochemistry and cell biology 155:529-545 PubMed33404706

2021

Localisation and regulation of cholesterol transporters in the human hair follicle: mapping changes across the hair cycle.

Applications

Unspecified application

Species

Unspecified reactive species

Megan A Palmer,Eleanor Smart,Iain S Haslam

Frontiers in bioengineering and biotechnology 8:579896 PubMed33344431

2020

Primary Extracellular Matrix Enables Long-Term Cultivation of Human Tumor Oral Mucosa Models.

Applications

Unspecified application

Species

Unspecified reactive species

Leonie Gronbach,Philipp Jurmeister,Monika Schäfer-Korting,Ulrich Keilholz,Ingeborg Tinhofer,Christian Zoschke

Cells 9: PubMed32824646

2020

Exposure of Human Skin Organoids to Low Genotoxic Stress Can Promote Epithelial-to-Mesenchymal Transition in Regenerating Keratinocyte Precursor Cells.

Applications

Unspecified application

Species

Unspecified reactive species

Sophie Cavallero,Renata Neves Granito,Daniel Stockholm,Peggy Azzolin,Michèle T Martin,Nicolas O Fortunel
View all publications

Product promise

We are committed to supporting your work with high-quality reagents, and we're here for you every step of the way. In the unlikely event that one of our products does not perform as expected, you're protected by our Product Promise.
For full details, please see our Terms & Conditions

Please note: All products are 'FOR RESEARCH USE ONLY. NOT FOR USE IN DIAGNOSTIC OR THERAPEUTIC PROCEDURES'.

For licensing inquiries, please contact partnerships@abcam.com