JavaScript is disabled in your browser. Please enable JavaScript to view this website.
AB321979

Anti-Laminin alpha 4/LAMA4 antibody [EPR28287-61] - BSA and Azide free

Be the first to review this product! Submit a review

|

(0 Publication)

Rabbit Recombinant Monoclonal Laminin alpha 4/LAMA4 antibody. Carrier free. Suitable for IHC-P, WB and reacts with Human, Mouse samples.

View Alternative Names

Laminin subunit alpha-4, Laminin-14 subunit alpha, Laminin-8 subunit alpha, Laminin-9 subunit alpha, LAMA4

13 Images
Immunohistochemistry (Formalin/PFA-fixed paraffin-embedded sections) - Anti-Laminin alpha 4/LAMA4 antibody [EPR28287-61] - BSA and Azide free (AB321979)
  • IHC-P

Supplier Data

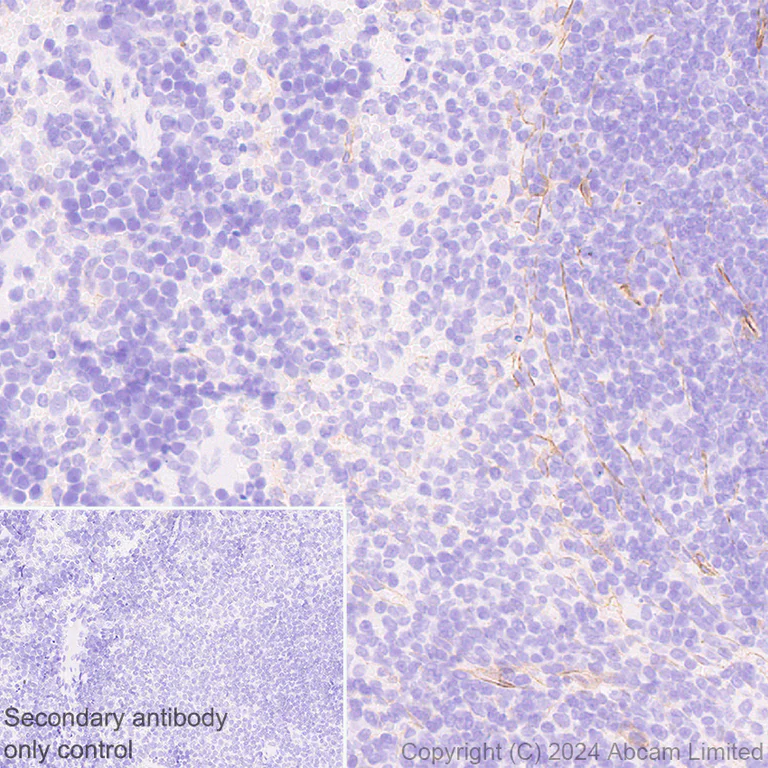
Immunohistochemistry (Formalin/PFA-fixed paraffin-embedded sections) - Anti-Laminin alpha 4/LAMA4 antibody [EPR28287-61] - BSA and Azide free (AB321979)

This data was developed using ab321978, the same antibody clone in a different buffer formulation.

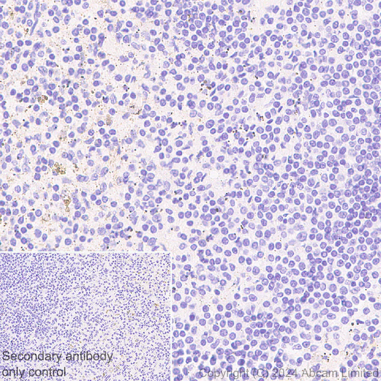
Immunohistochemical analysis of paraffin-embedded Human spleen tissue labeling Laminin alpha 4/LAMA4 with ab321978 at 1/100 (5.1 ug/ml) dilution followed by a ready to use LeicaDS9800 (Bond™ Polymer Refine Detection).

Low expression tissue : no staining on human spleen. The section was incubated with ab321978 for 30 mins at room temperature.
The immunostaining was performed on a Leica Biosystems BOND® RX instrument

Counterstained with Hematoxylin.

Secondary antibody only control : Secondary antibody is a ready to use LeicaDS9800 (Bond™ Polymer Refine Detection).

Heat mediated antigen retrieval was performed with Tris-EDTA buffer (pH 9.0 Epitope Retrieval Solution2) for 20 mins

Immunohistochemistry (Formalin/PFA-fixed paraffin-embedded sections) - Anti-Laminin alpha 4/LAMA4 antibody [EPR28287-61] - BSA and Azide free (AB321979)
  • IHC-P

Supplier Data

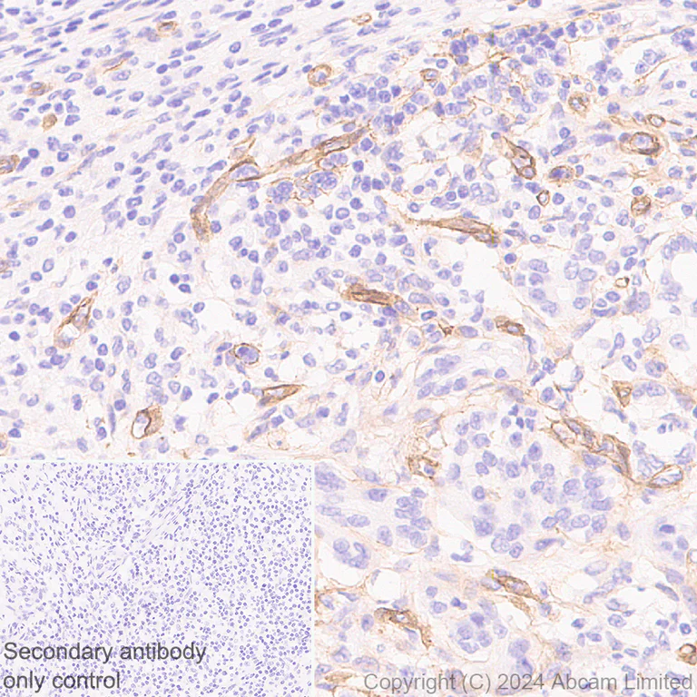
Immunohistochemistry (Formalin/PFA-fixed paraffin-embedded sections) - Anti-Laminin alpha 4/LAMA4 antibody [EPR28287-61] - BSA and Azide free (AB321979)

This data was developed using ab321978, the same antibody clone in a different buffer formulation.

Immunohistochemical analysis of paraffin-embedded Human placenta tissue labeling Laminin alpha 4/LAMA4 with ab321978 at 1/100 (5.1 ug/ml) dilution followed by a ready to use LeicaDS9800 (Bond™ Polymer Refine Detection).

Positive staining on endothelial cells of human placenta. The section was incubated with ab321978 for 30 mins at room temperature.
The immunostaining was performed on a Leica Biosystems BOND® RX instrument

Counterstained with Hematoxylin.

Secondary antibody only control : Secondary antibody is a ready to use LeicaDS9800 (Bond™ Polymer Refine Detection).

Heat mediated antigen retrieval was performed with Tris-EDTA buffer (pH 9.0 Epitope Retrieval Solution2) for 20 mins

Immunohistochemistry (Formalin/PFA-fixed paraffin-embedded sections) - Anti-Laminin alpha 4/LAMA4 antibody [EPR28287-61] - BSA and Azide free (AB321979)
  • IHC-P

Supplier Data

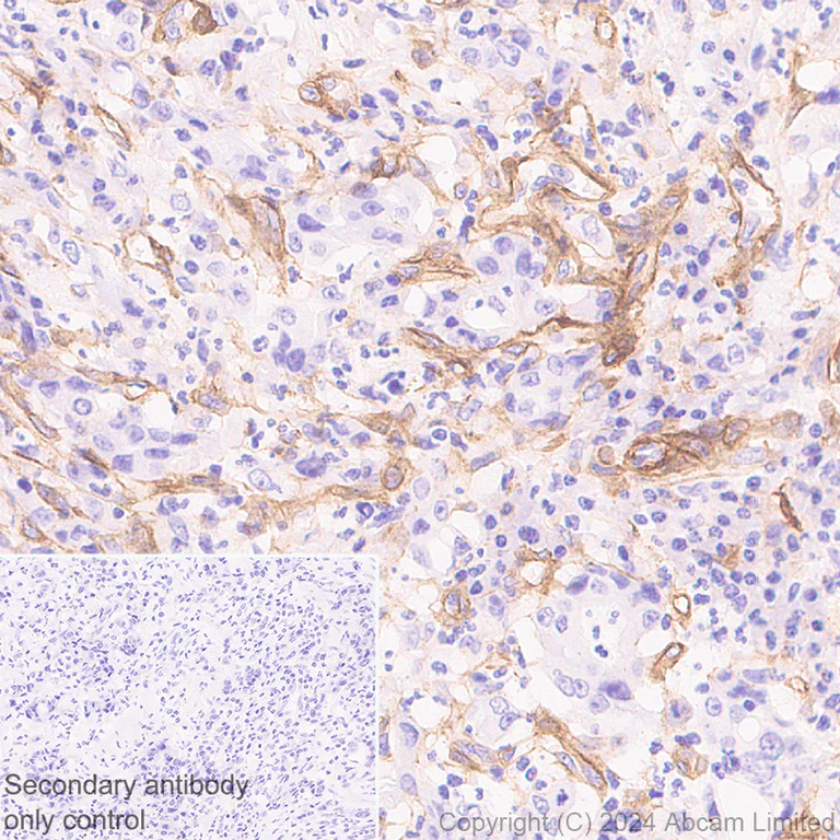
Immunohistochemistry (Formalin/PFA-fixed paraffin-embedded sections) - Anti-Laminin alpha 4/LAMA4 antibody [EPR28287-61] - BSA and Azide free (AB321979)

This data was developed using ab321978, the same antibody clone in a different buffer formulation.

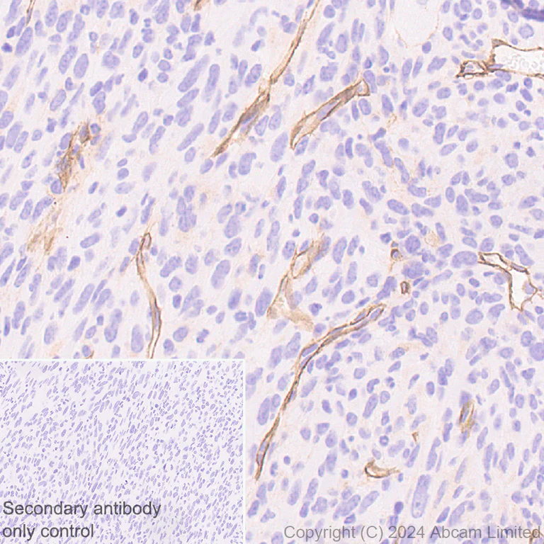
Immunohistochemical analysis of paraffin-embedded Human pancreatic carcinoma tissue labeling Laminin alpha 4/LAMA4 with ab321978 at 1/100 (5.1 ug/ml) dilution followed by a ready to use LeicaDS9800 (Bond™ Polymer Refine Detection).

Positive staining on endothelial cells of human pancreatic carcinoma. The section was incubated with ab321978 for 30 mins at room temperature.
The immunostaining was performed on a Leica Biosystems BOND® RX instrument

Counterstained with Hematoxylin.

Secondary antibody only control : Secondary antibody is a ready to use LeicaDS9800 (Bond™ Polymer Refine Detection).

Heat mediated antigen retrieval was performed with Tris-EDTA buffer (pH 9.0 Epitope Retrieval Solution2) for 20 mins

Immunohistochemistry (Formalin/PFA-fixed paraffin-embedded sections) - Anti-Laminin alpha 4/LAMA4 antibody [EPR28287-61] - BSA and Azide free (AB321979)
  • IHC-P

Supplier Data

Immunohistochemistry (Formalin/PFA-fixed paraffin-embedded sections) - Anti-Laminin alpha 4/LAMA4 antibody [EPR28287-61] - BSA and Azide free (AB321979)

This data was developed using ab321978, the same antibody clone in a different buffer formulation.

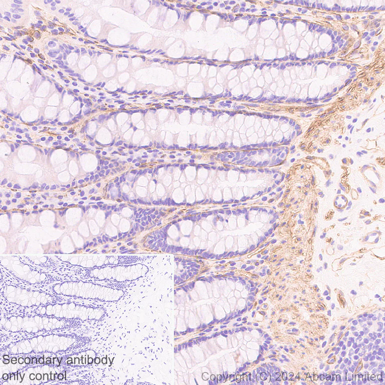
Immunohistochemical analysis of paraffin-embedded Human colon tissue labeling Laminin alpha 4/LAMA4 with ab321978 at 1/100 (5.1 ug/ml) dilution followed by a ready to use LeicaDS9800 (Bond™ Polymer Refine Detection).

Positive staining on endothelial cells and smooth muscle of human colon. The section was incubated with ab321978 for 30 mins at room temperature.
The immunostaining was performed on a Leica Biosystems BOND® RX instrument

Counterstained with Hematoxylin.

Secondary antibody only control : Secondary antibody is a ready to use LeicaDS9800 (Bond™ Polymer Refine Detection).

Heat mediated antigen retrieval was performed with Tris-EDTA buffer (pH 9.0 Epitope Retrieval Solution2) for 20 mins

Immunohistochemistry (Formalin/PFA-fixed paraffin-embedded sections) - Anti-Laminin alpha 4/LAMA4 antibody [EPR28287-61] - BSA and Azide free (AB321979)
  • IHC-P

Supplier Data

Immunohistochemistry (Formalin/PFA-fixed paraffin-embedded sections) - Anti-Laminin alpha 4/LAMA4 antibody [EPR28287-61] - BSA and Azide free (AB321979)

This data was developed using ab321978, the same antibody clone in a different buffer formulation.

Immunohistochemical analysis of paraffin-embedded Human gastric adenocarcinoma tissue labeling Laminin alpha 4/LAMA4 with ab321978 at 1/100 (5.1 ug/ml) dilution followed by a ready to use LeicaDS9800 (Bond™ Polymer Refine Detection).

Positive staining on endothelial cells of human gastric adenocarcinoma. The section was incubated with ab321978 for 30 mins at room temperature.
The immunostaining was performed on a Leica Biosystems BOND® RX instrument

Counterstained with Hematoxylin.

Secondary antibody only control : Secondary antibody is a ready to use LeicaDS9800 (Bond™ Polymer Refine Detection).

Heat mediated antigen retrieval was performed with Tris-EDTA buffer (pH 9.0 Epitope Retrieval Solution2) for 20 mins

Immunohistochemistry (Formalin/PFA-fixed paraffin-embedded sections) - Anti-Laminin alpha 4/LAMA4 antibody [EPR28287-61] - BSA and Azide free (AB321979)
  • IHC-P

Supplier Data

Immunohistochemistry (Formalin/PFA-fixed paraffin-embedded sections) - Anti-Laminin alpha 4/LAMA4 antibody [EPR28287-61] - BSA and Azide free (AB321979)

This data was developed using ab321978, the same antibody clone in a different buffer formulation.

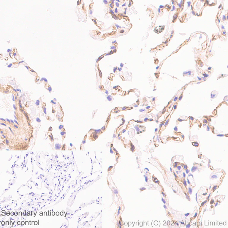
Immunohistochemical analysis of paraffin-embedded Human lung tissue labeling Laminin alpha 4/LAMA4 with ab321978 at 1/100 (5.1 ug/ml) dilution followed by a ready to use LeicaDS9800 (Bond™ Polymer Refine Detection).

Positive staining on human lung. The section was incubated with ab321978 for 30 mins at room temperature.
The immunostaining was performed on a Leica Biosystems BOND® RX instrument

Counterstained with Hematoxylin.

Secondary antibody only control : Secondary antibody is a ready to use LeicaDS9800 (Bond™ Polymer Refine Detection).

Heat mediated antigen retrieval was performed with Tris-EDTA buffer (pH 9.0 Epitope Retrieval Solution2) for 20 mins

Immunohistochemistry (Formalin/PFA-fixed paraffin-embedded sections) - Anti-Laminin alpha 4/LAMA4 antibody [EPR28287-61] - BSA and Azide free (AB321979)
  • IHC-P

Supplier Data

Immunohistochemistry (Formalin/PFA-fixed paraffin-embedded sections) - Anti-Laminin alpha 4/LAMA4 antibody [EPR28287-61] - BSA and Azide free (AB321979)

This data was developed using ab321978, the same antibody clone in a different buffer formulation.

Immunohistochemical analysis of paraffin-embedded Mouse cardiac muscle tissue labeling Laminin alpha 4/LAMA4 with ab321978 at 1/100 (5.1 ug/ml) dilution followed by a ready to use LeicaDS9800 (Bond™ Polymer Refine Detection).

Positive staining on endothelial cells of mouse cardiac muscle. The section was incubated with ab321978 for 30 mins at room temperature.
The immunostaining was performed on a Leica Biosystems BOND® RX instrument

Counterstained with Hematoxylin.

Secondary antibody only control : Secondary antibody is a ready to use LeicaDS9800 (Bond™ Polymer Refine Detection).

Heat mediated antigen retrieval was performed with Tris-EDTA buffer (pH 9.0 Epitope Retrieval Solution2) for 20 mins

Immunohistochemistry (Formalin/PFA-fixed paraffin-embedded sections) - Anti-Laminin alpha 4/LAMA4 antibody [EPR28287-61] - BSA and Azide free (AB321979)
  • IHC-P

Supplier Data

Immunohistochemistry (Formalin/PFA-fixed paraffin-embedded sections) - Anti-Laminin alpha 4/LAMA4 antibody [EPR28287-61] - BSA and Azide free (AB321979)

This data was developed using ab321978, the same antibody clone in a different buffer formulation.

Immunohistochemical analysis of paraffin-embedded Mouse spleen tissue labeling Laminin alpha 4/LAMA4 with ab321978 at 1/100 (5.1 ug/ml) dilution followed by a ready to use LeicaDS9800 (Bond™ Polymer Refine Detection).

Low expression tissue : weak staining on endothelial cells of mouse spleen. The section was incubated with ab321978 for 30 mins at room temperature.
The immunostaining was performed on a Leica Biosystems BOND® RX instrument

Counterstained with Hematoxylin.

Secondary antibody only control : Secondary antibody is a ready to use LeicaDS9800 (Bond™ Polymer Refine Detection).

Heat mediated antigen retrieval was performed with Tris-EDTA buffer (pH 9.0 Epitope Retrieval Solution2) for 20 mins

Immunohistochemistry (Formalin/PFA-fixed paraffin-embedded sections) - Anti-Laminin alpha 4/LAMA4 antibody [EPR28287-61] - BSA and Azide free (AB321979)
  • IHC-P

Supplier Data

Immunohistochemistry (Formalin/PFA-fixed paraffin-embedded sections) - Anti-Laminin alpha 4/LAMA4 antibody [EPR28287-61] - BSA and Azide free (AB321979)

This data was developed using ab321978, the same antibody clone in a different buffer formulation.

Immunohistochemical analysis of paraffin-embedded Mouse pancreatic tumor tissue labeling Laminin alpha 4/LAMA4 with ab321978 at 1/100 (5.1 ug/ml) dilution followed by a ready to use LeicaDS9800 (Bond™ Polymer Refine Detection).

Positive staining on endothelial cells of mouse pancreatic tumor. The section was incubated with ab321978 for 30 mins at room temperature.
The immunostaining was performed on a Leica Biosystems BOND® RX instrument

Counterstained with Hematoxylin.

Secondary antibody only control : Secondary antibody is a ready to use LeicaDS9800 (Bond™ Polymer Refine Detection).

Heat mediated antigen retrieval was performed with Tris-EDTA buffer (pH 9.0 Epitope Retrieval Solution2) for 20 mins

Immunohistochemistry (Formalin/PFA-fixed paraffin-embedded sections) - Anti-Laminin alpha 4/LAMA4 antibody [EPR28287-61] - BSA and Azide free (AB321979)
  • IHC-P

Supplier Data

Immunohistochemistry (Formalin/PFA-fixed paraffin-embedded sections) - Anti-Laminin alpha 4/LAMA4 antibody [EPR28287-61] - BSA and Azide free (AB321979)

This data was developed using ab321978, the same antibody clone in a different buffer formulation.

Immunohistochemical analysis of paraffin-embedded Mouse lung tissue labeling Laminin alpha 4/LAMA4 with ab321978 at 1/100 (5.1 ug/ml) dilution followed by a ready to use LeicaDS9800 (Bond™ Polymer Refine Detection).

Positive staining on endothelial cells of mouse lung. The section was incubated with ab321978 for 30 mins at room temperature.
The immunostaining was performed on a Leica Biosystems BOND® RX instrument

Counterstained with Hematoxylin.

Secondary antibody only control : Secondary antibody is a ready to use LeicaDS9800 (Bond™ Polymer Refine Detection).

Heat mediated antigen retrieval was performed with Tris-EDTA buffer (pH 9.0 Epitope Retrieval Solution2) for 20 mins

Western blot - Anti-Laminin alpha 4/LAMA4 antibody [EPR28287-61] - BSA and Azide free (AB321979)
  • WB

Supplier Data

Western blot - Anti-Laminin alpha 4/LAMA4 antibody [EPR28287-61] - BSA and Azide free (AB321979)

This data was developed using ab321978, the same antibody clone in a different buffer formulation.

Blocking and diluting buffer and concentration : 5% NFDM/TBST.

Low expression : spleen(PMID : 9346933)

In Western blot Anti-Vinculin antibody [EPR8185] (ab129002) staining at 1/10000 dilution.

All lanes:

Western blot - Anti-Laminin alpha 4/LAMA4 antibody [EPR28287-61] (<a href='/en-us/products/primary-antibodies/laminin-alpha-4-lama4-antibody-epr28287-61-ab321978'>ab321978</a>) at 1/1000 dilution

Lane 1:

Human placenta tissue lysate at 20 µg

Lane 2:

Human colon tissue lysate at 20 µg

Lane 3:

Human spleen tissue lysate at 20 µg

Secondary

All lanes:

Goat Anti-Rabbit IgG (HRP) with minimal cross-reactivity with human IgG at 1/2000 dilution

Observed band size: 202 kDa,124 kDa

false

Exposure time: 36s

Western blot - Anti-Laminin alpha 4/LAMA4 antibody [EPR28287-61] - BSA and Azide free (AB321979)
  • WB

Supplier Data

Western blot - Anti-Laminin alpha 4/LAMA4 antibody [EPR28287-61] - BSA and Azide free (AB321979)

This data was developed using ab321978, the same antibody clone in a different buffer formulation.

Blocking and diluting buffer and concentration : 5% NFDM/TBST.

Low expression : PANC-1(PMID : 32929348)

The molecular weight observed is consistent with what has been described in the literature(PMID : 32332107 PMID : 32929348)

In Western blot Anti-Vinculin antibody [EPR8185] (ab129002) staining at 1/10000 dilution.

All lanes:

Western blot - Anti-Laminin alpha 4/LAMA4 antibody [EPR28287-61] (<a href='/en-us/products/primary-antibodies/laminin-alpha-4-lama4-antibody-epr28287-61-ab321978'>ab321978</a>) at 1/1000 dilution

Lane 1:

HUVEC (human umbilical vein endothelial cell) whole cell lysate at 20 µg

Lane 2:

PANC-1 (human pancreatic epithelioid carcinoma epithelial cell) whole cell lysate at 20 µg

Secondary

All lanes:

Western blot - Goat Anti-Rabbit IgG H&L (HRP) (<a href='/en-us/products/secondary-antibodies/goat-rabbit-igg-h-l-hrp-ab97051'>ab97051</a>) at 1/100000 dilution

Observed band size: 202-250 kDa,124 kDa

false

Exposure time: 180s

Western blot - Anti-Laminin alpha 4/LAMA4 antibody [EPR28287-61] - BSA and Azide free (AB321979)
  • WB

Supplier Data

Western blot - Anti-Laminin alpha 4/LAMA4 antibody [EPR28287-61] - BSA and Azide free (AB321979)

This data was developed using ab321978, the same antibody clone in a different buffer formulation.

Blocking and diluting buffer and concentration : 5% NFDM/TBST.

Low expression : brain kidney spleen(PMID : 9346933)

In Western blot Anti-GAPDH antibody [EPR16891] - Loading Control (ab181602) staining at 1/200000 dilution.

All lanes:

Western blot - Anti-Laminin alpha 4/LAMA4 antibody [EPR28287-61] (<a href='/en-us/products/primary-antibodies/laminin-alpha-4-lama4-antibody-epr28287-61-ab321978'>ab321978</a>) at 1/1000 dilution

Lane 1:

Mouse brain tissue lysate at 20 µg

Lane 2:

Mouse heart tissue lysate at 20 µg

Lane 3:

Mouse kidney tissue lysate at 20 µg

Lane 4:

Mouse spleen tissue lysate at 20 µg

Secondary

All lanes:

Western blot - Goat Anti-Rabbit IgG H&L (HRP) (<a href='/en-us/products/secondary-antibodies/goat-rabbit-igg-h-l-hrp-ab97051'>ab97051</a>) at 1/20000 dilution

Observed band size: 250 kDa,36 kDa

false

Exposure time: 180s

Key facts

Host species

Rabbit

Clonality

Monoclonal

Clone number

EPR28287-61

Isotype

IgG

Carrier free

Yes

Reacts with

Human, Mouse

Applications

IHC-P, WB

applications

Immunogen

The exact immunogen used to generate this antibody is proprietary information.

Specificity

Based on the sequence of the immunogen, the antibody is not expected to cross-react with human LAMA1, LAMA2, LAMA3 or LAMA5.

Reactivity data

{ "title": "Reactivity Data", "filters": { "stats": ["", "Species", "Dilution Info", "Notes"], "tabs": { "all-applications": {"fullname" : "All Applications", "shortname": "All Applications"}, "IHCP" : {"fullname" : "Immunohistochemistry (Formalin/PFA-fixed paraffin-embedded sections)", "shortname":"IHC-P"}, "WB" : {"fullname" : "Western blot", "shortname":"WB"} }, "product-promise": { "all": "all", "testedAndGuaranteed": "tested", "guaranteed": "expected", "predicted": "predicted", "notRecommended": "not-recommended" } }, "values": { "Human": { "IHCP-species-checked": "testedAndGuaranteed", "IHCP-species-dilution-info": "", "IHCP-species-notes": "<p></p> Perform heat-mediated antigen retrieval with Tris/EDTA buffer pH 9.0 before commencing with IHC staining protocol.", "WB-species-checked": "testedAndGuaranteed", "WB-species-dilution-info": "", "WB-species-notes": "<p></p>" }, "Mouse": { "IHCP-species-checked": "testedAndGuaranteed", "IHCP-species-dilution-info": "", "IHCP-species-notes": "<p></p> Perform heat-mediated antigen retrieval with Tris/EDTA buffer pH 9.0 before commencing with IHC staining protocol.", "WB-species-checked": "testedAndGuaranteed", "WB-species-dilution-info": "", "WB-species-notes": "<p></p>" } } }

Product details

ab321979 is the carrier-free version of ab321978.

Patented technology
Our RabMAb® technology is a patented hybridoma-based technology for making rabbit monoclonal antibodies. For details on our patents, please refer to RabMAb® patents.

What are the advantages of a recombinant monoclonal antibody?
This product is a recombinant monoclonal antibody, which offers several advantages including:

  • - High batch-to-batch consistency and reproducibility
  • - Improved sensitivity and specificity
  • - Long-term security of supply
  • - Animal-free batch production

For more information, read more on recombinant antibodies.

Conjugation ready
Our carrier-free antibodies are typically supplied in a PBS-only formulation, purified and free of BSA, sodium azide and glycerol. This conjugation-ready format is designed for use with fluorochromes, metal isotopes, oligonucleotides, and enzymes, which makes them ideal for antibody labelling, functional and cell-based assays, flow-based assays (e.g. mass cytometry) and Multiplex Imaging applications.

Use our conjugation kits for antibody conjugates that are ready-to-use in as little as 20 minutes with 1 minute hands-on-time and 100% antibody recovery: available for fluorescent dyes, HRP, biotin and gold.

Compatibility
This product is compatible with the Maxpar® Antibody Labeling Kit from Fluidigm, without the need for antibody preparation. Maxpar® is a trademark of Fluidigm Canada Inc.

Properties and storage information

Form
Liquid
Purification technique
Affinity purification Protein A
Storage buffer
pH: 7.2 - 7.4 Constituents: 100% PBS
Shipped at conditions
Blue Ice
Appropriate short-term storage conditions
+4°C
Appropriate long-term storage conditions
+4°C

Product protocols

For this product, it's our understanding that no specific protocols are required. You can visit:

Target data

Binding to cells via a high affinity receptor, laminin is thought to mediate the attachment, migration and organization of cells into tissues during embryonic development by interacting with other extracellular matrix components.
See full target information Laminin subunit alpha-4

Product promise

We are committed to supporting your work with high-quality reagents, and we're here for you every step of the way. In the unlikely event that one of our products does not perform as expected, you're protected by our Product Promise.
For full details, please see our Terms & Conditions

Please note: All products are 'FOR RESEARCH USE ONLY. NOT FOR USE IN DIAGNOSTIC OR THERAPEUTIC PROCEDURES'.

For licensing inquiries, please contact partnerships@abcam.com