JavaScript is disabled in your browser. Please enable JavaScript to view this website.
AB88279

Anti-Laminin beta 1 antibody [DG10]

Be the first to review this product! Submit a review

|

(1 Publication)

Mouse Monoclonal LAMB1 antibody. Suitable for IHC-P and reacts with Human samples. Cited in 1 publication.

View Alternative Names

Laminin subunit beta-1, Laminin B1 chain, Laminin-1 subunit beta, Laminin-10 subunit beta, Laminin-12 subunit beta, Laminin-2 subunit beta, Laminin-6 subunit beta, Laminin-8 subunit beta, LAMB1

1 Images
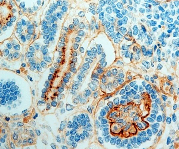
Immunohistochemistry (Formalin/PFA-fixed paraffin-embedded sections) - Anti-Laminin beta 1 antibody [DG10] (AB88279)
  • IHC-P

Supplier Data

Immunohistochemistry (Formalin/PFA-fixed paraffin-embedded sections) - Anti-Laminin beta 1 antibody [DG10] (AB88279)

Immunohistochemical analysis of formalin fixed, parafin embedded fetal kidney tissue labelling Laminin beta with ab98597 at 1/50 dilution.

Pretreated with EDTA.

Key facts

Host species

Mouse

Clonality

Monoclonal

Clone number

DG10

Isotype

IgG1

Carrier free

No

Reacts with

Human

Applications

IHC-P

applications

Specificity

ab88279 appears to react with the NH2 terminus of Laminin beta 1.

Reactivity data

{ "title": "Reactivity Data", "filters": { "stats": ["", "Species", "Dilution Info", "Notes"], "tabs": { "all-applications": {"fullname" : "All Applications", "shortname": "All Applications"}, "IHCP" : {"fullname" : "Immunohistochemistry (Formalin/PFA-fixed paraffin-embedded sections)", "shortname":"IHC-P"} }, "product-promise": { "all": "all", "testedAndGuaranteed": "tested", "guaranteed": "expected", "predicted": "predicted", "notRecommended": "not-recommended" } }, "values": { "Human": { "IHCP-species-checked": "testedAndGuaranteed", "IHCP-species-dilution-info": "1/50", "IHCP-species-notes": "<p></p> Perform heat-mediated antigen retrieval with Tris/EDTA buffer pH 9.0 before commencing with IHC staining protocol." } } }

Product details

ab88279 is derived from the hybridoma produced by fusion between myeloma cells and Balb/c spleen cells.

Properties and storage information

Form
Liquid
Purification technique
Affinity purification Protein G
Storage buffer
Preservative: 0.09% Sodium azide Constituents: PBS, 1% BSA
Shipped at conditions
Blue Ice
Appropriate short-term storage duration
1-2 weeks
Appropriate short-term storage conditions
+4°C
Appropriate long-term storage conditions
-20°C
Storage information
Avoid freeze / thaw cycle

Supplementary information

This supplementary information is collated from multiple sources and compiled automatically.

Laminin beta 1 also known as LAMB1 is a subunit of the laminin molecule an essential component of the extracellular matrix. This protein has an approximate molecular weight of 200 kDa. Laminin beta 1 is one of the three chains that form the laminin heterotrimer. It is predominantly expressed in basement membranes which provide structural support and segregate tissues. The laminin 1 (laminin-111) complex including the LAMB1 chain contributes to cell adhesion differentiation migration and plays a role in tissue development and repair.
Biological function summary

This component of the laminin molecule plays a critical role in maintaining the integrity of tissues by organizing cell architecture and mediating cellular signals. Laminin beta 1 is part of a larger laminin protein complex that interacts with a variety of cell surface receptors including integrins and dystroglycan contributing to cell communication and signal transduction. These interactions guide cell orientation and regulate vital processes such as cell movement and growth.

Pathways

Laminin beta 1 participates in the integrin signaling pathway and the PI3K-AKT signaling pathway. It interacts closely with integrin proteins such as integrin alpha-6 and integrin beta-4 during these processes. In integrin signaling the laminin molecule facilitates the binding between cells and their surrounding extracellular matrix. This connection influences cellular responses including survival and motility which are necessary for normal development and wound healing processes.

Alterations in laminin beta 1 expression are linked to conditions like muscular dystrophy and Pierson syndrome. In muscular dystrophy the dysfunction of laminin beta 1 interacts with proteins such as dystrophin in muscle cells contributing to compromised structural integrity and muscle wasting. Similarly in Pierson syndrome abnormalities in laminin beta 1 are associated with a rare genetic disorder that affects the kidneys and eyes where it implicates the protein nephrin in the glomerular basement membrane leading to serious renal dysfunction.

Product protocols

For this product, it's our understanding that no specific protocols are required. You can visit:

Target data

Binding to cells via a high affinity receptor, laminin is thought to mediate the attachment, migration and organization of cells into tissues during embryonic development by interacting with other extracellular matrix components. Involved in the organization of the laminar architecture of cerebral cortex. It is probably required for the integrity of the basement membrane/glia limitans that serves as an anchor point for the endfeet of radial glial cells and as a physical barrier to migrating neurons. Radial glial cells play a central role in cerebral cortical development, where they act both as the proliferative unit of the cerebral cortex and a scaffold for neurons migrating toward the pial surface.
See full target information LAMB1

Publications (1)

Recent publications for all applications. Explore the full list and refine your search

International journal of oncology 53:2615-2626 PubMed30320366

2018

Downregulation of microRNA‑182 inhibits cell viability, invasion and angiogenesis in retinoblastoma through inhibition of the PI3K/AKT pathway and CADM2 upregulation.

Applications

Unspecified application

Species

Unspecified reactive species

Yan-Xia Huang,Xin-Gang Nie,Guang-Da Li,Dong-Sheng Fan,Li-Li Song,Xin-Lin Zhang
View all publications

Product promise

We are committed to supporting your work with high-quality reagents, and we're here for you every step of the way. In the unlikely event that one of our products does not perform as expected, you're protected by our Product Promise.
For full details, please see our Terms & Conditions

Please note: All products are 'FOR RESEARCH USE ONLY. NOT FOR USE IN DIAGNOSTIC OR THERAPEUTIC PROCEDURES'.

For licensing inquiries, please contact partnerships@abcam.com