JavaScript is disabled in your browser. Please enable JavaScript to view this website.
AB233389

Anti-Laminin gamma 1 antibody [EPR21199]

4

(2 Reviews)

|

(12 Publications)

Rabbit Recombinant Monoclonal LAMC1 antibody. Suitable for IP, WB, Flow Cyt (Intra), IHC-P and reacts with Human, Mouse, Rat samples. Cited in 12 publications.

View Alternative Names

LAMB2, LAMC1, Laminin subunit gamma-1, Laminin B2 chain, Laminin-1 subunit gamma, Laminin-10 subunit gamma, Laminin-11 subunit gamma, Laminin-2 subunit gamma, Laminin-3 subunit gamma, Laminin-4 subunit gamma, Laminin-6 subunit gamma, Laminin-7 subunit gamma, Laminin-8 subunit gamma, Laminin-9 subunit gamma, S-laminin subunit gamma, S-LAM gamma

7 Images
Immunohistochemistry (Formalin/PFA-fixed paraffin-embedded sections) - Anti-Laminin gamma 1 antibody [EPR21199] (AB233389)
  • IHC-P

Unknown

Immunohistochemistry (Formalin/PFA-fixed paraffin-embedded sections) - Anti-Laminin gamma 1 antibody [EPR21199] (AB233389)

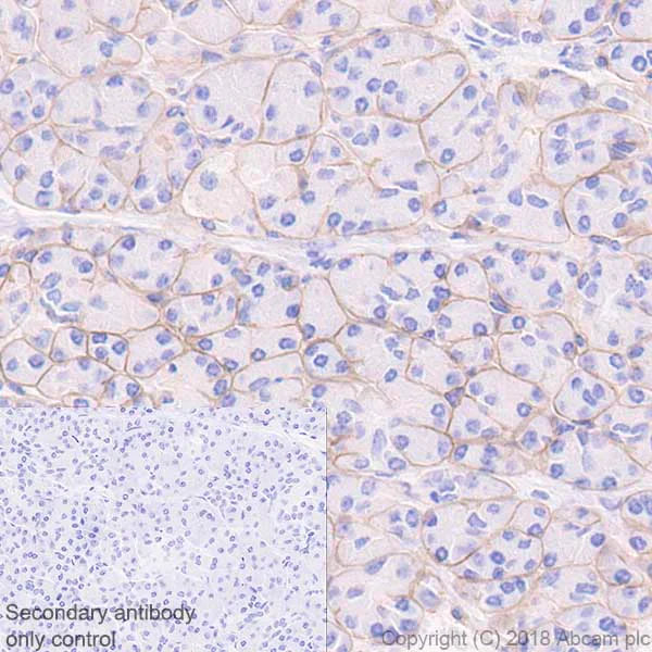
Immunohistochemical analysis of paraffin-embedded human pancreas tissue labeling Laminin gamma 1 with ab233389 at 1/2000 dilution, followed by Goat Anti-Rabbit IgG H&L (HRP) ready to use. Positive staining in basement membrane of human pancreas (PMID : 15159456) is observed. Counter stained with Hematoxylin.

Secondary antibody only control : Used PBS instead of primary antibody, secondary antibody is Goat Anti-Rabbit IgG H&L (HRP) ready to use.

Perform heat-mediated antigen retrieval using ab93684 (Tris/EDTA buffer, pH 9.0).

Flow Cytometry (Intracellular) - Anti-Laminin gamma 1 antibody [EPR21199] (AB233389)
  • Flow Cyt (Intra)

Unknown

Flow Cytometry (Intracellular) - Anti-Laminin gamma 1 antibody [EPR21199] (AB233389)

Intracellular flow cytometric analysis of4% paraformaldehyde-fixed, 90% methanol-permeabilized A431 (human epidermoid carcinoma cell line) cell line labeling Laminin gamma 1 with ab233389 at 1/50 (red) compared with Rabbit monoclonal IgG Isotype control (ab172730) (black) and an unlabeled control (cells without incubation with primary antibody and secondary antibody) (blue). Goat Anti-Rabbit IgG H&L (Alexa Fluor® 488) (ab150077), at 1/2000 dilution was used as the secondary antibody.

Immunoprecipitation - Anti-Laminin gamma 1 antibody [EPR21199] (AB233389)
  • IP

Unknown

Immunoprecipitation - Anti-Laminin gamma 1 antibody [EPR21199] (AB233389)

Laminin gamma 1 was immunoprecipitated from 0.35 mg of A431 (human epidermoid carcinoma cell line) whole cell lysate with ab233389 at 1/30 dilution. Western blot was performed from the immunoprecipitate using ab233389 at 1/1000 dilution. VeriBlot for IP Detection Reagent (HRP) (ab131366), was used for detection at 1/5000 dilution.

Lane 1 : A431 whole lysate 10 μg (Input).
Lane 2 : ab233389 IP in A431 whole cell lysate.
Lane 3 : Rabbit monoclonal IgG (ab172730) instead of ab233389 in A431 whole cell lysate.

Blocking and dilution buffer and concentration : 5% NFDM/TBST.
Exposure time : 15 seconds.

All lanes:

Immunoprecipitation - Anti-Laminin gamma 1 antibody [EPR21199] (ab233389)

Predicted band size: 178 kDa

Observed band size: 210-250 kDa

false

Immunohistochemistry (Formalin/PFA-fixed paraffin-embedded sections) - Anti-Laminin gamma 1 antibody [EPR21199] (AB233389)
  • IHC-P

Unknown

Immunohistochemistry (Formalin/PFA-fixed paraffin-embedded sections) - Anti-Laminin gamma 1 antibody [EPR21199] (AB233389)

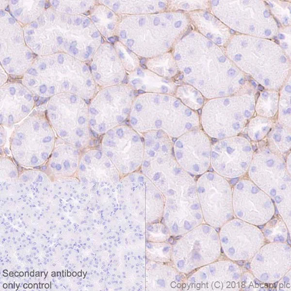
Immunohistochemical analysis of paraffin-embedded mouse kidney tissue labeling Laminin gamma 1 with ab233389 at 1/2000 dilution, followed by Goat Anti-Rabbit IgG H&L (HRP) ready to use. Positive staining in the basement membrane of mouse kidney (PMID : 21903675) is observed. Counter stained with Hematoxylin.

Secondary antibody only control : Used PBS instead of primary antibody, secondary antibody is Goat Anti-Rabbit IgG H&L (HRP) ready to use.

Perform heat-mediated antigen retrieval using ab93684 (Tris/EDTA buffer, pH 9.0).

Immunohistochemistry (Formalin/PFA-fixed paraffin-embedded sections) - Anti-Laminin gamma 1 antibody [EPR21199] (AB233389)
  • IHC-P

Unknown

Immunohistochemistry (Formalin/PFA-fixed paraffin-embedded sections) - Anti-Laminin gamma 1 antibody [EPR21199] (AB233389)

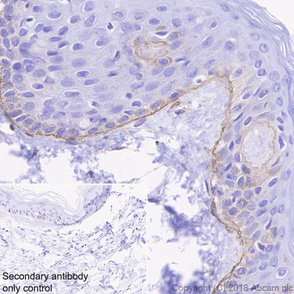
Immunohistochemical analysis of paraffin-embedded rat stomach tissue labeling Laminin gamma 1 with ab233389 at 1/2000 dilution, followed by Goat Anti-Rabbit IgG H&L (HRP) ready to use. Positive staining in basement membrane of rat stomach (PMID : 12571278) is observed. Counter stained with Hematoxylin.

Secondary antibody only control : Used PBS instead of primary antibody, secondary antibody is Goat Anti-Rabbit IgG H&L (HRP) ready to use.

Perform heat-mediated antigen retrieval using ab93684 (Tris/EDTA buffer, pH 9.0).

Western blot - Anti-Laminin gamma 1 antibody [EPR21199] (AB233389)
  • WB

Unknown

Western blot - Anti-Laminin gamma 1 antibody [EPR21199] (AB233389)

Blocking/Dilution buffer : 5% NFDM/TBST.

Exposure times.

Lanes 1, 2 & 7 : 15 seconds. Lane 3 : 8 seconds. Lanes 4 : 37 seconds. Lanes 5 & 6 : 10 seconds.

The expression profile observed is consistent with what has been described in the literature (PMID : 18263645, 11067943, 23857767, 28928891).

Lanes 1, 2, 3, 6 and 7:

Western blot - Anti-Laminin gamma 1 antibody [EPR21199] (ab233389) at 1/5000 dilution

Lanes 4 - 5:

Western blot - Anti-Laminin gamma 1 antibody [EPR21199] (ab233389) at 1/1000 dilution

Lane 1:

A431 (human epidermoid carcinoma cell line) whole cell lysate at 10 µg

Lane 2:

NIH:OVCAR-3 (human ovary adenocarcinoma cell line) whole cell lysate at 10 µg

Lane 3:

HeLa (human epithelial cell line from cervix adenocarcinoma) whole cell lysate at 10 µg

Lane 4:

MCF7 (human breast adenocarcinoma cell line) whole cell lysate at 10 µg

Lane 5:

A549 (human lung carcinoma cell line) whole cell lysate at 10 µg

Lane 6:

Human fetal heart lysate at 10 µg

Lane 7:

Human fetal kidney lysate at 10 µg

Secondary

Lanes 1 - 5:

Western blot - Goat Anti-Rabbit IgG H&L (HRP) (<a href='/en-us/products/secondary-antibodies/goat-rabbit-igg-h-l-hrp-ab97051'>ab97051</a>) at 1/100000 dilution

Lanes 6 - 7:

Western blot - VeriBlot for IP Detection Reagent (HRP) (<a href='/en-us/products/reagents/veriblot-for-ip-detection-reagent-hrp-ab131366'>ab131366</a>) at 1/4000 dilution

Predicted band size: 178 kDa

Observed band size: 210-250 kDa

false

Western blot - Anti-Laminin gamma 1 antibody [EPR21199] (AB233389)
  • WB

Unknown

Western blot - Anti-Laminin gamma 1 antibody [EPR21199] (AB233389)

Blocking/Dilution buffer : 5% NFDM/TBST.

Exposure times.

Lane 1 : 70 seconds. Lane 2 : 15 seconds. Lanes 3 & 4 : 10 seconds. Lanes 5 & 6 : 3 minutes. Lane 7 : 48 seconds.

The expression profile observed is consistent with what has been described in the literature (PMID : 18263645, 11067943, 23857767, 28928891).

All lanes:

Western blot - Anti-Laminin gamma 1 antibody [EPR21199] (ab233389) at 1/5000 dilution

Lane 1:

C6 (rat glial tumor glial cell line) whole cell lysate at 10 µg

Lane 2:

PC-12 (rat adrenal gland pheochromocytoma cell line) whole cell lysate at 20 µg

Lane 3:

Rat heart lysate at 10 µg

Lane 4:

Rat kidney lysate at 10 µg

Lane 5:

Rat brain lysate at 10 µg

Lane 6:

Rat spleen lysate at 10 µg

Lane 7:

Mouse brain lysate at 10 µg

Secondary

All lanes:

Western blot - Goat Anti-Rabbit IgG H&L (HRP) (<a href='/en-us/products/secondary-antibodies/goat-rabbit-igg-h-l-hrp-ab97051'>ab97051</a>) at 1/100000 dilution

Predicted band size: 178 kDa

Observed band size: 210-250 kDa

false

  • Carrier free

    Anti-Laminin gamma 1 antibody [EPR21199] - BSA and Azide free

Key facts

Host species

Rabbit

Clonality

Monoclonal

Clone number

EPR21199

Isotype

IgG

Carrier free

No

Reacts with

Mouse, Rat, Human

Applications

Flow Cyt (Intra), IP, WB, IHC-P

applications

Immunogen

The exact immunogen used to generate this antibody is proprietary information.

Reactivity data

{ "title": "Reactivity Data", "filters": { "stats": ["", "Species", "Dilution Info", "Notes"], "tabs": { "all-applications": {"fullname" : "All Applications", "shortname": "All Applications"}, "IP" : {"fullname" : "Immunoprecipitation", "shortname":"IP"}, "WB" : {"fullname" : "Western blot", "shortname":"WB"}, "FlowCytIntra" : {"fullname" : "Flow Cytometry (Intracellular)", "shortname":"Flow Cyt (Intra)"}, "IHCP" : {"fullname" : "Immunohistochemistry (Formalin/PFA-fixed paraffin-embedded sections)", "shortname":"IHC-P"} }, "product-promise": { "all": "all", "testedAndGuaranteed": "tested", "guaranteed": "expected", "predicted": "predicted", "notRecommended": "not-recommended" } }, "values": { "Human": { "IP-species-checked": "testedAndGuaranteed", "IP-species-dilution-info": "1/30", "IP-species-notes": "<p></p>", "WB-species-checked": "testedAndGuaranteed", "WB-species-dilution-info": "1/1000", "WB-species-notes": "<p></p>", "FlowCytIntra-species-checked": "testedAndGuaranteed", "FlowCytIntra-species-dilution-info": "1/50", "FlowCytIntra-species-notes": "<p></p>", "IHCP-species-checked": "testedAndGuaranteed", "IHCP-species-dilution-info": "1/2000", "IHCP-species-notes": "<p></p>" }, "Mouse": { "IP-species-checked": "guaranteed", "IP-species-dilution-info": "", "IP-species-notes": "", "WB-species-checked": "testedAndGuaranteed", "WB-species-dilution-info": "1/1000", "WB-species-notes": "<p></p>", "FlowCytIntra-species-checked": "guaranteed", "FlowCytIntra-species-dilution-info": "", "FlowCytIntra-species-notes": "", "IHCP-species-checked": "testedAndGuaranteed", "IHCP-species-dilution-info": "1/2000", "IHCP-species-notes": "<p></p>" }, "Rat": { "IP-species-checked": "guaranteed", "IP-species-dilution-info": "", "IP-species-notes": "", "WB-species-checked": "testedAndGuaranteed", "WB-species-dilution-info": "1/1000", "WB-species-notes": "<p></p>", "FlowCytIntra-species-checked": "guaranteed", "FlowCytIntra-species-dilution-info": "", "FlowCytIntra-species-notes": "", "IHCP-species-checked": "testedAndGuaranteed", "IHCP-species-dilution-info": "1/2000", "IHCP-species-notes": "<p></p>" } } }

Product details

Patented technology
Our RabMAb® technology is a patented hybridoma-based technology for making rabbit monoclonal antibodies. For details on our patents, please refer to RabMAb® patents.

What are the advantages of a recombinant monoclonal antibody?
This product is a recombinant monoclonal antibody, which offers several advantages including:

  • - High batch-to-batch consistency and reproducibility
  • - Improved sensitivity and specificity
  • - Long-term security of supply
  • - Animal-free batch production

For more information, read more on recombinant antibodies.

Properties and storage information

Form
Liquid
Purification technique
Affinity purification Protein A
Storage buffer
pH: 7.2 - 7.4 Preservative: 0.01% Sodium azide Constituents: PBS, 40% Glycerol (glycerin, glycerine), 0.05% BSA
Shipped at conditions
Blue Ice
Appropriate short-term storage duration
1-2 weeks
Appropriate short-term storage conditions
+4°C
Appropriate long-term storage conditions
-20°C
Aliquoting information
Upon delivery aliquot
Storage information
Avoid freeze / thaw cycle

Supplementary information

This supplementary information is collated from multiple sources and compiled automatically.

Laminin gamma 1 also known as laminin-1 is an important component of the extracellular matrix. This protein has a molecular weight of about 200 kDa and is widely expressed in various tissues including epithelial and endothelial cells. Laminin gamma 1 is part of the larger laminin protein family which plays a significant role in the structural integrity of tissues. It primarily partners with other laminin chains to form a heterotrimeric complex that provides foundational support for cellular structures.
Biological function summary

Laminin gamma 1 contributes to cell adhesion differentiation and migration. It belongs to the laminin-1 complex serving as a scaffold for cells to interact with each other and with the extracellular matrix. This interaction facilitates cell signaling processes that influence cellular behavior. Additionally the laminin iHC (immunohistochemistry) technique often utilizes laminin gamma 1 to study cell-matrix interactions due to its involvement in these critical biological activities.

Pathways

Laminin gamma 1 is integral to basement membrane assembly and epithelial morphogenesis pathways. These pathways incorporate other key proteins such as integrins which mediate cell attachment to the laminin matrix. The pathway interactions involving laminin gamma 1 allow cells to respond effectively to mechanical and chemical stimuli thereby maintaining tissue homeostasis and promoting regenerative processes after injury.

Abnormalities in laminin gamma 1 expression or function associate with conditions like muscular dystrophy and certain cancers. Mutations affecting this protein can lead to compromised structural integrity and impaired cellular communication. In muscular dystrophy its relationship with proteins such as dystroglycan highlights the disruption in muscle cell adhesion and signaling. Similarly in cancer altered laminin gamma 1 expression affects tumor cell invasion and metastasis involving interactions with proteins such as matrix metalloproteinases (MMPs) which regulate extracellular matrix remodeling.

Product protocols

For this product, it's our understanding that no specific protocols are required. You can visit:

Target data

Binding to cells via a high affinity receptor, laminin is thought to mediate the attachment, migration and organization of cells into tissues during embryonic development by interacting with other extracellular matrix components.
See full target information LAMC1

Publications (12)

Recent publications for all applications. Explore the full list and refine your search

Journal of ovarian research 18:126 PubMed40495228

2025

MACS and acellular autologous non-ovarian tissue scaffolds: a promising strategy for safe and efficient follicle transplantation in hematologic cancer.

Applications

Unspecified application

Species

Unspecified reactive species

Lijun Yin,Yating Zhao,Peiwen Zhang,Tongyun Qi,Peilin Han,Luya Cai,Jun Pan,Yongyi Yang,Jie Shi,Shi Feng,Yinying Zou,Kangxin He,Guoliang Xie,Weihua He,Xinhui Zhou,Jianhua Qian

International journal of molecular sciences 26: PubMed40244230

2025

Aldosterone-Induced Transformation of Vascular Smooth Muscle Cells into Macrophage-like Cells Participates in Inflammatory Vascular Lesions.

Applications

Unspecified application

Species

Unspecified reactive species

Boya Zhang,Ziqian Liu,Yi Chang,Ruyan Lv,Haixia Guo,Panpan Qiang,Tatsuo Shimosawa,Qingyou Xu,Fan Yang

Molecular medicine reports 31: PubMed40052569

2025

Apelin/APJ alleviates diabetic nephropathy by improving glomerular endothelial cells dysfunction via SIRT3‑KLF15.

Applications

Unspecified application

Species

Unspecified reactive species

Mingcong Huang,Jing Chang,Yu Liu,Jiming Yin,Xiangjun Zeng

EMBO reports 26:1472-1503 PubMed39953252

2025

LATS1/2 inactivation in the mammary epithelium drives the evolution of a tumor-associated niche.

Applications

Unspecified application

Species

Unspecified reactive species

Joseph G Kern,Lina Kroehling,Anthony J Spinella,Stefano Monti,Xaralabos Varelas

Discover oncology 15:339 PubMed39117970

2024

STC2 suppresses triple-negative breast cancer migration and invasion by inhibition on EMT and promotion on cell apoptosis.

Applications

Unspecified application

Species

Unspecified reactive species

Ruiwen Lei,Chaoling Yao,Renfeng Huang,Wanming Wu,Linyang Ou,Chuansheng Yang

Cellular and molecular gastroenterology and hepatology 17:639-656 PubMed38199279

2024

Extracellular Matrix Orchestration of Tissue Remodeling in the Chronically Inflamed Mouse Colon.

Applications

Unspecified application

Species

Unspecified reactive species

Elisa B Moutin,Joanna Bons,Giada Giavara,Filipe Lourenco,Deng Pan,Jordan B Burton,Samah Shah,Mathilde Colombé,Philippe Gascard,Thea Tlsty,Birgit Schilling,Douglas J Winton

Aging 14:8046-8060 PubMed36227173

2022

Palmitic acid inhibits vascular smooth muscle cell switch to synthetic phenotype via upregulation of miR-22 expression.

Applications

Unspecified application

Species

Unspecified reactive species

Yanchao Hu,Yajie Fan,Chunyan Zhang,Congxia Wang

Journal of assisted reproduction and genetics 39:1237-1247 PubMed35513746

2022

Whole-organ decellularization of the human uterus and in vivo application of the bio-scaffolds in animal models.

Applications

Unspecified application

Species

Unspecified reactive species

Seyedeh Sima Daryabari,Kiarad Fendereski,Fariba Ghorbani,Mehrshad Dehnavi,Yazdan Shafikhani,Ara Omranipour,Sam Zeraatian-Nejad Davani,Masoumeh Majidi Zolbin,Seyed Mohammad Tavangar,Abdol-Mohammad Kajbafzadeh

Neoplasma 68:711-718 PubMed33884884

2021

LAMC1 is related to the poor prognosis of patients with gastric cancer and facilitates cancer cell malignancies.

Applications

Unspecified application

Species

Unspecified reactive species

Zhi-Rong Han,Xiao-Lin Jiang,Wen-Chuan Fan

Reproductive sciences (Thousand Oaks, Calif.) 28:207-217 PubMed32676925

2020

Proteomic Analysis of Uterine Tissues During Peri-Implantation Period in Mice with Experimentally Induced Adenomyosis that Treated with anti-Ngf: Implications for Cell-Cell Adhesion and Metabolic Processes.

Applications

Unspecified application

Species

Unspecified reactive species

Yan Li,Dan Zhang,Bailing Jin,Lan Xia,Aijun Zhang
View all publications

Product promise

We are committed to supporting your work with high-quality reagents, and we're here for you every step of the way. In the unlikely event that one of our products does not perform as expected, you're protected by our Product Promise.
For full details, please see our Terms & Conditions

Please note: All products are 'FOR RESEARCH USE ONLY. NOT FOR USE IN DIAGNOSTIC OR THERAPEUTIC PROCEDURES'.

For licensing inquiries, please contact partnerships@abcam.com