JavaScript is disabled in your browser. Please enable JavaScript to view this website.
AB234963

Anti-Laminin gamma 1 antibody [EPR21199] - BSA and Azide free

3

(1 Review)

|

(0 Publication)

Rabbit Recombinant Monoclonal LAMC1 antibody. Carrier free. Suitable for IP, WB, Flow Cyt (Intra), IHC-P and reacts with Human, Mouse, Rat samples.

View Alternative Names

LAMB2, LAMC1, Laminin subunit gamma-1, Laminin B2 chain, Laminin-1 subunit gamma, Laminin-10 subunit gamma, Laminin-11 subunit gamma, Laminin-2 subunit gamma, Laminin-3 subunit gamma, Laminin-4 subunit gamma, Laminin-6 subunit gamma, Laminin-7 subunit gamma, Laminin-8 subunit gamma, Laminin-9 subunit gamma, S-laminin subunit gamma, S-LAM gamma

5 Images
Immunohistochemistry (Formalin/PFA-fixed paraffin-embedded sections) - Anti-Laminin gamma 1 antibody [EPR21199] - BSA and Azide free (AB234963)
  • IHC-P

Unknown

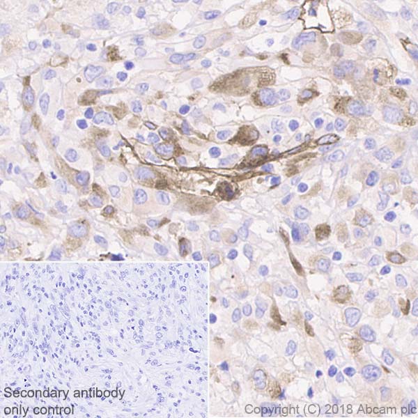
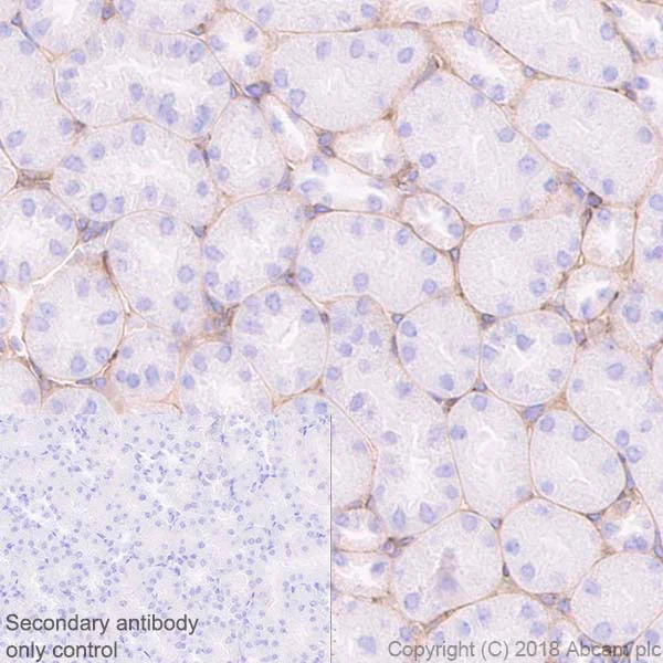
Immunohistochemistry (Formalin/PFA-fixed paraffin-embedded sections) - Anti-Laminin gamma 1 antibody [EPR21199] - BSA and Azide free (AB234963)

Immunohistochemical analysis of paraffin-embedded human pancreas tissue labeling Laminin gamma 1 with ab233389 at 1/2000 dilution, followed by Goat Anti-Rabbit IgG H&L (HRP) ready to use. Positive staining in basement membrane of human pancreas (PMID : 15159456) is observed. Counter stained with Hematoxylin.

Secondary antibody only control : Used PBS instead of primary antibody, secondary antibody is Goat Anti-Rabbit IgG H&L (HRP) ready to use.

Perform heat-mediated antigen retrieval using ab93684 (Tris/EDTA buffer, pH 9.0).

This data was developed using the same antibody clone in a different buffer formulation containing PBS, BSA, glycerol, and sodium azide (ab233389).

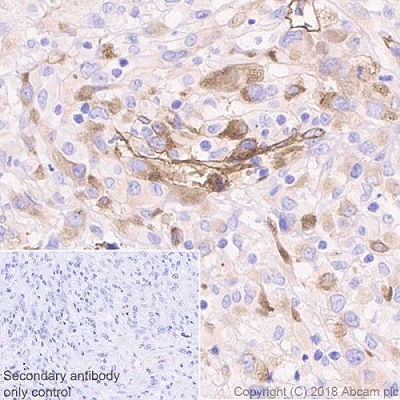
Immunohistochemistry (Formalin/PFA-fixed paraffin-embedded sections) - Anti-Laminin gamma 1 antibody [EPR21199] - BSA and Azide free (AB234963)
  • IHC-P

Unknown

Immunohistochemistry (Formalin/PFA-fixed paraffin-embedded sections) - Anti-Laminin gamma 1 antibody [EPR21199] - BSA and Azide free (AB234963)

Immunohistochemical analysis of paraffin-embedded mouse kidney tissue labeling Laminin gamma 1 with ab233389 at 1/2000 dilution, followed by Goat Anti-Rabbit IgG H&L (HRP) ready to use. Positive staining in the basement membrane of mouse kidney (PMID : 21903675) is observed. Counter stained with Hematoxylin.

Secondary antibody only control : Used PBS instead of primary antibody, secondary antibody is Goat Anti-Rabbit IgG H&L (HRP) ready to use.

Perform heat-mediated antigen retrieval using ab93684 (Tris/EDTA buffer, pH 9.0).

This data was developed using the same antibody clone in a different buffer formulation containing PBS, BSA, glycerol, and sodium azide (ab233389).

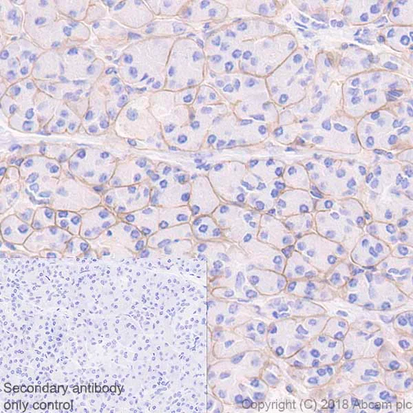
Immunohistochemistry (Formalin/PFA-fixed paraffin-embedded sections) - Anti-Laminin gamma 1 antibody [EPR21199] - BSA and Azide free (AB234963)
  • IHC-P

Unknown

Immunohistochemistry (Formalin/PFA-fixed paraffin-embedded sections) - Anti-Laminin gamma 1 antibody [EPR21199] - BSA and Azide free (AB234963)

Immunohistochemical analysis of paraffin-embedded rat stomach tissue labeling Laminin gamma 1 with ab233389 at 1/2000 dilution, followed by Goat Anti-Rabbit IgG H&L (HRP) ready to use. Positive staining in basement membrane of rat stomach (PMID : 12571278) is observed. Counter stained with Hematoxylin.

Secondary antibody only control : Used PBS instead of primary antibody, secondary antibody is Goat Anti-Rabbit IgG H&L (HRP) ready to use.

Perform heat-mediated antigen retrieval using ab93684 (Tris/EDTA buffer, pH 9.0).

This data was developed using the same antibody clone in a different buffer formulation containing PBS, BSA, glycerol, and sodium azide (ab233389).

Flow Cytometry (Intracellular) - Anti-Laminin gamma 1 antibody [EPR21199] - BSA and Azide free (AB234963)
  • Flow Cyt (Intra)

Unknown

Flow Cytometry (Intracellular) - Anti-Laminin gamma 1 antibody [EPR21199] - BSA and Azide free (AB234963)

Intracellular flow cytometric analysis of 4% paraformaldehyde-fixed, 90% methanol-permeabilized A431 (human epidermoid carcinoma cell line) cell line labeling Laminin gamma 1 with ab233389 at 1/50 (red) compared with Rabbit monoclonal IgG Isotype control (ab172730) (black) and an unlabeled control (cells without incubation with primary antibody and secondary antibody) (blue). Goat Anti-Rabbit IgG H&L (Alexa Fluor® 488) (ab150077), at 1/2000 dilution was used as the secondary antibody.

This data was developed using the same antibody clone in a different buffer formulation containing PBS, BSA, glycerol, and sodium azide (ab233389).

Immunoprecipitation - Anti-Laminin gamma 1 antibody [EPR21199] - BSA and Azide free (AB234963)
  • IP

Unknown

Immunoprecipitation - Anti-Laminin gamma 1 antibody [EPR21199] - BSA and Azide free (AB234963)

Laminin gamma 1 was immunoprecipitated from 0.35 mg of A431 (human epidermoid carcinoma cell line) whole cell lysate with ab233389 at 1/30 dilution. Western blot was performed from the immunoprecipitate using ab233389 at 1/1000 dilution. VeriBlot for IP Detection Reagent (HRP) (ab131366), was used for detection at 1/5000 dilution.

Lane 1 : A431 whole lysate 10 μg (Input).
Lane 2 : ab233389 IP in A431 whole cell lysate.
Lane 3 : Rabbit monoclonal IgG (ab172730) instead of ab233389 in A431 whole cell lysate.

Blocking and dilution buffer and concentration : 5% NFDM/TBST.
Exposure time : 15 seconds.

This data was developed using the same antibody clone in a different buffer formulation containing PBS, BSA, glycerol, and sodium azide (ab233389).

All lanes:

Immunoprecipitation - Anti-Laminin gamma 1 antibody [EPR21199] (<a href='/en-us/products/primary-antibodies/laminin-gamma-1-antibody-epr21199-ab233389'>ab233389</a>)

Predicted band size: 178 kDa

Observed band size: 210-250 kDa

false

Key facts

Host species

Rabbit

Clonality

Monoclonal

Clone number

EPR21199

Isotype

IgG

Carrier free

Yes

Reacts with

Mouse, Rat, Human

Applications

WB, IP, IHC-P, Flow Cyt (Intra)

applications

Immunogen

The exact immunogen used to generate this antibody is proprietary information.

Reactivity data

{ "title": "Reactivity Data", "filters": { "stats": ["", "Species", "Dilution Info", "Notes"], "tabs": { "all-applications": {"fullname" : "All Applications", "shortname": "All Applications"}, "IP" : {"fullname" : "Immunoprecipitation", "shortname":"IP"}, "WB" : {"fullname" : "Western blot", "shortname":"WB"}, "FlowCytIntra" : {"fullname" : "Flow Cytometry (Intracellular)", "shortname":"Flow Cyt (Intra)"}, "IHCP" : {"fullname" : "Immunohistochemistry (Formalin/PFA-fixed paraffin-embedded sections)", "shortname":"IHC-P"} }, "product-promise": { "all": "all", "testedAndGuaranteed": "tested", "guaranteed": "expected", "predicted": "predicted", "notRecommended": "not-recommended" } }, "values": { "Human": { "IP-species-checked": "testedAndGuaranteed", "IP-species-dilution-info": "", "IP-species-notes": "<p></p> Perform heat-mediated antigen retrieval with Tris/EDTA buffer pH 9.0 before commencing with IHC staining protocol.", "WB-species-checked": "guaranteed", "WB-species-dilution-info": "", "WB-species-notes": "<p></p>", "FlowCytIntra-species-checked": "testedAndGuaranteed", "FlowCytIntra-species-dilution-info": "", "FlowCytIntra-species-notes": "<p></p>", "IHCP-species-checked": "testedAndGuaranteed", "IHCP-species-dilution-info": "", "IHCP-species-notes": "<p></p> Perform heat-mediated antigen retrieval with Tris/EDTA buffer pH 9.0 before commencing with IHC staining protocol." }, "Mouse": { "IP-species-checked": "predicted", "IP-species-dilution-info": "", "IP-species-notes": "", "WB-species-checked": "guaranteed", "WB-species-dilution-info": "", "WB-species-notes": "<p></p>", "FlowCytIntra-species-checked": "predicted", "FlowCytIntra-species-dilution-info": "", "FlowCytIntra-species-notes": "", "IHCP-species-checked": "predicted", "IHCP-species-dilution-info": "", "IHCP-species-notes": "" }, "Rat": { "IP-species-checked": "predicted", "IP-species-dilution-info": "", "IP-species-notes": "", "WB-species-checked": "guaranteed", "WB-species-dilution-info": "", "WB-species-notes": "<p></p>", "FlowCytIntra-species-checked": "predicted", "FlowCytIntra-species-dilution-info": "", "FlowCytIntra-species-notes": "", "IHCP-species-checked": "predicted", "IHCP-species-dilution-info": "", "IHCP-species-notes": "" } } }

Product details

ab234963 is the carrier-free version of ab233389.

Patented technology
Our RabMAb® technology is a patented hybridoma-based technology for making rabbit monoclonal antibodies. For details on our patents, please refer to RabMAb® patents.

What are the advantages of a recombinant monoclonal antibody?
This product is a recombinant monoclonal antibody, which offers several advantages including:

  • - High batch-to-batch consistency and reproducibility
  • - Improved sensitivity and specificity
  • - Long-term security of supply
  • - Animal-free batch production

For more information, read more on recombinant antibodies.

Conjugation ready
Our carrier-free antibodies are typically supplied in a PBS-only formulation, purified and free of BSA, sodium azide and glycerol. This conjugation-ready format is designed for use with fluorochromes, metal isotopes, oligonucleotides, and enzymes, which makes them ideal for antibody labelling, functional and cell-based assays, flow-based assays (e.g. mass cytometry) and Multiplex Imaging applications.

Use our conjugation kits for antibody conjugates that are ready-to-use in as little as 20 minutes with 1 minute hands-on-time and 100% antibody recovery: available for fluorescent dyes, HRP, biotin and gold.

Compatibility
This product is compatible with the Maxpar® Antibody Labeling Kit from Fluidigm, without the need for antibody preparation. Maxpar® is a trademark of Fluidigm Canada Inc.

Properties and storage information

Form
Liquid
Purification technique
Affinity purification Protein A
Storage buffer
pH: 7.2 - 7.4 Constituents: PBS
Shipped at conditions
Blue Ice
Appropriate short-term storage conditions
+4°C
Appropriate long-term storage conditions
+4°C
Storage information
Do Not Freeze

Supplementary information

This supplementary information is collated from multiple sources and compiled automatically.

Laminin gamma 1 also known as laminin-1 is an important component of the extracellular matrix. This protein has a molecular weight of about 200 kDa and is widely expressed in various tissues including epithelial and endothelial cells. Laminin gamma 1 is part of the larger laminin protein family which plays a significant role in the structural integrity of tissues. It primarily partners with other laminin chains to form a heterotrimeric complex that provides foundational support for cellular structures.
Biological function summary

Laminin gamma 1 contributes to cell adhesion differentiation and migration. It belongs to the laminin-1 complex serving as a scaffold for cells to interact with each other and with the extracellular matrix. This interaction facilitates cell signaling processes that influence cellular behavior. Additionally the laminin iHC (immunohistochemistry) technique often utilizes laminin gamma 1 to study cell-matrix interactions due to its involvement in these critical biological activities.

Pathways

Laminin gamma 1 is integral to basement membrane assembly and epithelial morphogenesis pathways. These pathways incorporate other key proteins such as integrins which mediate cell attachment to the laminin matrix. The pathway interactions involving laminin gamma 1 allow cells to respond effectively to mechanical and chemical stimuli thereby maintaining tissue homeostasis and promoting regenerative processes after injury.

Abnormalities in laminin gamma 1 expression or function associate with conditions like muscular dystrophy and certain cancers. Mutations affecting this protein can lead to compromised structural integrity and impaired cellular communication. In muscular dystrophy its relationship with proteins such as dystroglycan highlights the disruption in muscle cell adhesion and signaling. Similarly in cancer altered laminin gamma 1 expression affects tumor cell invasion and metastasis involving interactions with proteins such as matrix metalloproteinases (MMPs) which regulate extracellular matrix remodeling.

Product protocols

For this product, it's our understanding that no specific protocols are required. You can visit:

Target data

Binding to cells via a high affinity receptor, laminin is thought to mediate the attachment, migration and organization of cells into tissues during embryonic development by interacting with other extracellular matrix components.
See full target information LAMC1

Product promise

We are committed to supporting your work with high-quality reagents, and we're here for you every step of the way. In the unlikely event that one of our products does not perform as expected, you're protected by our Product Promise.
For full details, please see our Terms & Conditions

Please note: All products are 'FOR RESEARCH USE ONLY. NOT FOR USE IN DIAGNOSTIC OR THERAPEUTIC PROCEDURES'.

For licensing inquiries, please contact partnerships@abcam.com