JavaScript is disabled in your browser. Please enable JavaScript to view this website.
AB267391

Anti-Laminin gamma 3 antibody [EPR22699-151] - BSA and Azide free

Be the first to review this product! Submit a review

|

(0 Publication)

Rabbit Recombinant Monoclonal Laminin gamma 3 antibody. Carrier free. Suitable for WB, IHC-P, IHC-Fr, Flow Cyt (Intra) and reacts with Mouse samples.

View Alternative Names

Laminin subunit gamma-3, Laminin-12 subunit gamma, Laminin-14 subunit gamma, Laminin-15 subunit gamma, Lamc3

5 Images
Immunohistochemistry (Formalin/PFA-fixed paraffin-embedded sections) - Anti-Laminin gamma 3 antibody [EPR22699-151] - BSA and Azide free (AB267391)
  • IHC-P

Unknown

Immunohistochemistry (Formalin/PFA-fixed paraffin-embedded sections) - Anti-Laminin gamma 3 antibody [EPR22699-151] - BSA and Azide free (AB267391)

Immunohistochemical analysis of paraffin-embedded Mouse cerebrum tissue labeling Laminin gamma 3 with ab234429 at 1/500 followed by a ready to use Goat Anti-Rabbit IgG H&L (HRP). Positive staining on the blood vessels in the mouse cerebrum (PMID : 15824114) is observed. Counterstained with Hematoxylin.

Secondary antibody only control : Secondary antibody is a ready to use Goat Anti-Rabbit IgG H&L (HRP).

Heat mediated antigen retrieval using ab93684 (Tris/EDTA buffer, pH 9.0).

).

This data was developed using the same antibody clone in a different buffer formulation containing PBS, BSA, glycerol, and sodium azide (ab234429).

Flow Cytometry (Intracellular) - Anti-Laminin gamma 3 antibody [EPR22699-151] - BSA and Azide free (AB267391)
  • Flow Cyt (Intra)

Unknown

Flow Cytometry (Intracellular) - Anti-Laminin gamma 3 antibody [EPR22699-151] - BSA and Azide free (AB267391)

Intracellular flow cytometric analysis of 4% paraformaldehyde fixed 90% methanol permeabilized RAW 264.7 (mouse Abelson murine leukemia virus-induced tumor macrophage) cells labelling Laminin gamma 3 with ab234429 at 1/50 (Red) compared with a Rabbit monoclonal IgG (ab172730, Black) isotype control and an unlabelled control (cells without incubation with primary antibody and secondary antibody) (Blue). A Goat anti rabbit IgG (Alexa Fluor® 488, ab150077) at 1/2000 was used as the secondary antibody.

This data was developed using the same antibody clone in a different buffer formulation containing PBS, BSA, glycerol, and sodium azide (ab234429).

Immunohistochemistry (Frozen sections) - Anti-Laminin gamma 3 antibody [EPR22699-151] - BSA and Azide free (AB267391)
  • IHC-Fr

Unknown

Immunohistochemistry (Frozen sections) - Anti-Laminin gamma 3 antibody [EPR22699-151] - BSA and Azide free (AB267391)

Immunohistochemical analysis of 4% PFA fixed 0.2% Triton X-100 permeabilized frozen Mouse testis tissue labeling Laminin gamma 3 with ab234429 at 1/100 (4.99 μg/ml) dilution followed by ab150077 AlexaFluor®488 Goat anti-Rabbit secondary at 1/1000 (2 μg/ml) dilution. The nuclear counterstain was DAPI (Blue). Heat mediated antigen retrieval using sodium citrate buffer (10mM citrate pH 6.0 + 0.05% Tween-20).

Secondary antibody only control : Used PBS instead of primary antibody, secondary antibody was ab150077 AlexaFluor®488 Goat anti-Rabbit secondary at 1/1000 (2 μg/ml) dilution.

This data was developed using the same antibody clone in a different buffer formulation containing PBS, BSA, glycerol, and sodium azide (ab234429 ).

Immunohistochemistry (Formalin/PFA-fixed paraffin-embedded sections) - Anti-Laminin gamma 3 antibody [EPR22699-151] - BSA and Azide free (AB267391)
  • IHC-P

Unknown

Immunohistochemistry (Formalin/PFA-fixed paraffin-embedded sections) - Anti-Laminin gamma 3 antibody [EPR22699-151] - BSA and Azide free (AB267391)

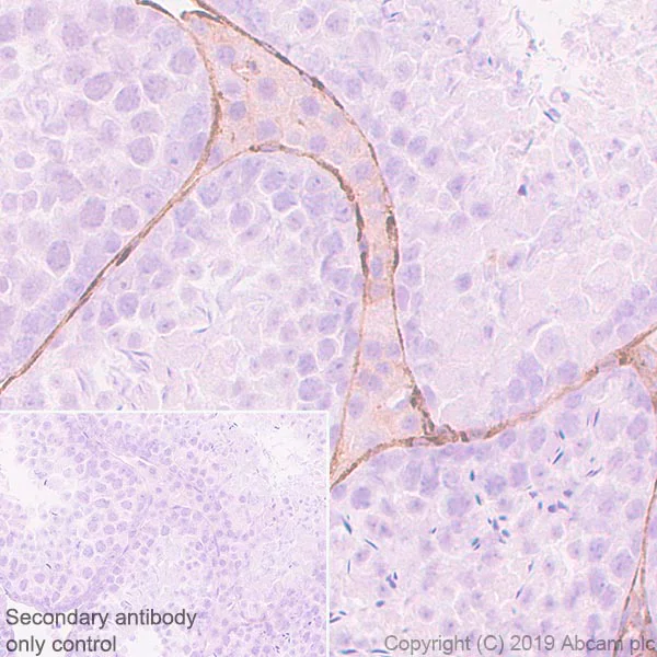
Immunohistochemical analysis of paraffin-embedded Mouse testis tissue labeling Laminin gamma 3 with ab234429 at 1/500 followed by a ready to use Goat Anti-Rabbit IgG H&L (HRP). Positive staining on the basement membrane in the mouse testis (PMID : 15824114) is observed. Counterstained with Hematoxylin.

Secondary antibody only control : Secondary antibody is a ready to use Goat Anti-Rabbit IgG H&L (HRP).

Heat mediated antigen retrieval using ab93684 (Tris/EDTA buffer, pH 9.0).

This data was developed using the same antibody clone in a different buffer formulation containing PBS, BSA, glycerol, and sodium azide (ab234429).

Immunohistochemistry (Formalin/PFA-fixed paraffin-embedded sections) - Anti-Laminin gamma 3 antibody [EPR22699-151] - BSA and Azide free (AB267391)
  • IHC-P

Unknown

Immunohistochemistry (Formalin/PFA-fixed paraffin-embedded sections) - Anti-Laminin gamma 3 antibody [EPR22699-151] - BSA and Azide free (AB267391)

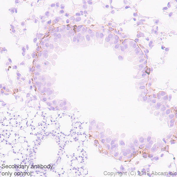
Immunohistochemical analysis of paraffin-embedded Mouse lung tissue labeling Laminin gamma 3 with ab234429 at 1/500 followed by a ready to use Goat Anti-Rabbit IgG H&L (HRP). Positive staining on the basement membrane in the mouse lung is observed. Counterstained with Hematoxylin.

Secondary antibody only control : Secondary antibody is a ready to use Goat Anti-Rabbit IgG H&L (HRP).

Heat mediated antigen retrieval using ab93684 (Tris/EDTA buffer, pH 9.0).

This data was developed using the same antibody clone in a different buffer formulation containing PBS, BSA, glycerol, and sodium azide (ab234429).

Key facts

Host species

Rabbit

Clonality

Monoclonal

Clone number

EPR22699-151

Isotype

IgG

Carrier free

Yes

Reacts with

Mouse

Applications

IHC-Fr, Flow Cyt (Intra), WB, IHC-P

applications

Immunogen

The exact immunogen used to generate this antibody is proprietary information.

Reactivity data

{ "title": "Reactivity Data", "filters": { "stats": ["", "Species", "Dilution Info", "Notes"], "tabs": { "all-applications": {"fullname" : "All Applications", "shortname": "All Applications"}, "ICCIF" : {"fullname" : "Immunocytochemistry/ Immunofluorescence", "shortname":"ICC/IF"}, "WB" : {"fullname" : "Western blot", "shortname":"WB"}, "IHCP" : {"fullname" : "Immunohistochemistry (Formalin/PFA-fixed paraffin-embedded sections)", "shortname":"IHC-P"}, "IHCFr" : {"fullname" : "Immunohistochemistry (Frozen sections)", "shortname":"IHC-Fr"}, "FlowCytIntra" : {"fullname" : "Flow Cytometry (Intracellular)", "shortname":"Flow Cyt (Intra)"} }, "product-promise": { "all": "all", "testedAndGuaranteed": "tested", "guaranteed": "expected", "predicted": "predicted", "notRecommended": "not-recommended" } }, "values": { "Mouse": { "ICCIF-species-checked": "notRecommended", "ICCIF-species-dilution-info": "", "ICCIF-species-notes": "<p></p>", "WB-species-checked": "testedAndGuaranteed", "WB-species-dilution-info": "", "WB-species-notes": "<p></p>", "IHCP-species-checked": "testedAndGuaranteed", "IHCP-species-dilution-info": "", "IHCP-species-notes": "<p></p>", "IHCFr-species-checked": "testedAndGuaranteed", "IHCFr-species-dilution-info": "", "IHCFr-species-notes": "<p></p>", "FlowCytIntra-species-checked": "testedAndGuaranteed", "FlowCytIntra-species-dilution-info": "", "FlowCytIntra-species-notes": "<p></p>" } } }

Product details

ab267391 is the carrier-free version of ab234429.

Patented technology
Our RabMAb® technology is a patented hybridoma-based technology for making rabbit monoclonal antibodies. For details on our patents, please refer to RabMAb® patents.

What are the advantages of a recombinant monoclonal antibody?
This product is a recombinant monoclonal antibody, which offers several advantages including:

  • - High batch-to-batch consistency and reproducibility
  • - Improved sensitivity and specificity
  • - Long-term security of supply
  • - Animal-free batch production

For more information, read more on recombinant antibodies.

Conjugation ready
Our carrier-free antibodies are typically supplied in a PBS-only formulation, purified and free of BSA, sodium azide and glycerol. This conjugation-ready format is designed for use with fluorochromes, metal isotopes, oligonucleotides, and enzymes, which makes them ideal for antibody labelling, functional and cell-based assays, flow-based assays (e.g. mass cytometry) and Multiplex Imaging applications.

Use our conjugation kits for antibody conjugates that are ready-to-use in as little as 20 minutes with 1 minute hands-on-time and 100% antibody recovery: available for fluorescent dyes, HRP, biotin and gold.

Compatibility
This product is compatible with the Maxpar® Antibody Labeling Kit from Fluidigm, without the need for antibody preparation. Maxpar® is a trademark of Fluidigm Canada Inc.

Properties and storage information

Form
Liquid
Purification technique
Affinity purification Protein A
Storage buffer
pH: 7.2 - 7.4 Constituents: PBS
Shipped at conditions
Blue Ice
Appropriate short-term storage conditions
+4°C
Appropriate long-term storage conditions
+4°C
Storage information
Do Not Freeze

Supplementary information

This supplementary information is collated from multiple sources and compiled automatically.

Laminin gamma 3 often referred to as lam γ3 is a subunit of the laminin protein complex which plays an important role in the structure of the extracellular matrix. Alternate names include LAMC3. This protein has a molecular mass of approximately 180 kDa and is expressed in various tissues including the skin brain and reproductive systems. Laminin gamma 3 contributes to the structural integrity and organization of the basement membrane.
Biological function summary

Laminin gamma 3 is involved in cell adhesion differentiation migration and survival. It integrates into laminin trimers forming part of the laminin-332 complex known for its role in hemidesmosome formation and epithelial cell anchorage. These interactions are critical for maintaining tissue architecture and function influencing processes such as wound healing and tissue repair.

Pathways

Laminin gamma 3 operates within pathways that regulate cell-matrix interactions and intracellular signaling. It engages in the integrin and PI3K/AKT/mTOR pathways which are critical for cellular growth and survival. Laminin gamma 3 interacts with integrins such as α3β1 and α6β4 helping to transmit signals from the extracellular matrix to the cell interior therefore influencing cell behavior and fate.

Laminin gamma 3 has been linked to conditions such as skin blistering disorders and certain forms of muscular dystrophy. In skin disorders it interacts with proteins like collagen VII highlighting its role in maintaining the structural integrity of the skin. In muscular dystrophy improper laminin gamma 3 interactions can disrupt normal muscle function contributing to disease progression.

Product protocols

For this product, it's our understanding that no specific protocols are required. You can visit:

Target data

Binding to cells via a high affinity receptor, laminin is thought to mediate the attachment, migration and organization of cells into tissues during embryonic development by interacting with other extracellular matrix components.
See full target information Lamc3

Product promise

We are committed to supporting your work with high-quality reagents, and we're here for you every step of the way. In the unlikely event that one of our products does not perform as expected, you're protected by our Product Promise.
For full details, please see our Terms & Conditions

Please note: All products are 'FOR RESEARCH USE ONLY. NOT FOR USE IN DIAGNOSTIC OR THERAPEUTIC PROCEDURES'.

For licensing inquiries, please contact partnerships@abcam.com