JavaScript is disabled in your browser. Please enable JavaScript to view this website.
AB302639

Anti-LAMP1 antibody [1483CT517.45.23] - Lysosome Marker

Be the first to review this product! Submit a review

|

(0 Publication)

Mouse Recombinant Monoclonal LAMP1 antibody. Suitable for WB, IHC-P and reacts with Human samples.

View Alternative Names

CD107a, Lysosome-associated membrane glycoprotein 1, LAMP-1, Lysosome-associated membrane protein 1, CD107 antigen-like family member A, LAMP1

4 Images
Immunohistochemistry (Formalin/PFA-fixed paraffin-embedded sections) - Anti-LAMP1 antibody [1483CT517.45.23] - Lysosome Marker (AB302639)
  • IHC-P

Supplier Data

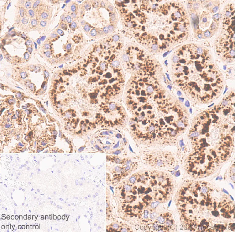
Immunohistochemistry (Formalin/PFA-fixed paraffin-embedded sections) - Anti-LAMP1 antibody [1483CT517.45.23] - Lysosome Marker (AB302639)

Immunohistochemical analysis of paraffin-embedded Human kidney tissue labeling LAMP1 with ab302639 at 1/500 (1.992 ug/ml) followed by a ready to use LeicaDS9800 (Bond™ Polymer Refine Detection) was used. Positive staining on human kidney.The section was incubated with ab302639 for 30 mins at room temperature, followed by anti-mouse IgG1 antibody (ab125913) for 8 mins during the LeicaDS9800 kit staining procedure. The immunostaining was performed on a Leica Biosystems BOND® RX instrument Counterstained with Hematoxylin. Secondary antibody only control : Secondary antibody is a ready to use LeicaDS9800 (Bond™ Polymer Refine Detection) was used. Heat mediated antigen retrieval with Tris-EDTA buffer (pH 9.0, epitope retrieval solution2) for 20 mins

Immunohistochemistry (Formalin/PFA-fixed paraffin-embedded sections) - Anti-LAMP1 antibody [1483CT517.45.23] - Lysosome Marker (AB302639)
  • IHC-P

Supplier Data

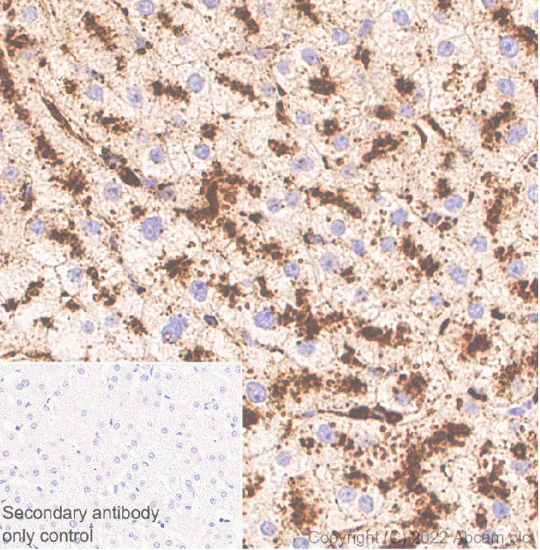
Immunohistochemistry (Formalin/PFA-fixed paraffin-embedded sections) - Anti-LAMP1 antibody [1483CT517.45.23] - Lysosome Marker (AB302639)

Immunohistochemical analysis of paraffin-embedded Human liver tissue labeling LAMP1 with ab302639 at 1/500 (1.992 ug/ml) followed by a ready to use LeicaDS9800 (Bond™ Polymer Refine Detection) was used. Positive staining on human liver.The section was incubated with ab302639 for 30 mins at room temperature, followed by anti-mouse IgG1 antibody (ab125913) for 8 mins during the LeicaDS9800 kit staining procedure. The immunostaining was performed on a Leica Biosystems BOND® RX instrument Counterstained with Hematoxylin. Secondary antibody only control : Secondary antibody is a ready to use LeicaDS9800 (Bond™ Polymer Refine Detection) was used. Heat mediated antigen retrieval with Tris-EDTA buffer (pH 9.0, epitope retrieval solution2) for 20 mins

Western blot - Anti-LAMP1 antibody [1483CT517.45.23] - Lysosome Marker (AB302639)
  • WB

Supplier Data

Western blot - Anti-LAMP1 antibody [1483CT517.45.23] - Lysosome Marker (AB302639)

Blocking and diluting buffer and concentration : 5% NFDM/TBST. The molecular weight observed is consistent with what has been described in the literature (PMID : 27061067, 15111122). Exposure time : Lanes 1-3 : 92 seconds Lanes 4-5 : 37 seconds

All lanes:

Western blot - Anti-LAMP1 antibody [1483CT517.45.23] - Lysosome Marker (ab302639) at 1/1000 dilution

Lane 1:

Jurkat (human T cell leukemia T lymphocyte), whole cell lysate at 20 µg

Lane 2:

HepG2 (human hepatocellular carcinoma epithelial cell), whole cell lysate at 20 µg

Lane 3:

MCF7 (human breast adenocarcinoma epithelial cell), whole cell lysate at 20 µg

Lane 4:

Human kidney tissue lysate at 10 µg

Lane 5:

Human spleen tissue lysate at 10 µg

Secondary

All lanes:

Peroxidase-Conjugated Goat anti-Mouse IgG (H+L) at 1/10000 dilution

Observed band size: 110 kDa

false

Exposure time: 92s

Western blot - Anti-LAMP1 antibody [1483CT517.45.23] - Lysosome Marker (AB302639)
  • WB

Supplier Data

Western blot - Anti-LAMP1 antibody [1483CT517.45.23] - Lysosome Marker (AB302639)

Blocking and diluting buffer and concentration : Intercept® (TBS) Blocking Buffer diluted with an equal volume of 0.1% TBSFalse colour image of Western blot : Anti-LAMP1 antibody [1483CT517.45.23] (ab302639) staining at 1/1000 dilution, shown in green; Rabbit anti-GAPDH antibody [16891] (ab181602) loading control staining at 1/20000 dilution, shown in red. In Western blot, ab302639 was shown to bind specifically toLAMP1. A band was observed at 110 kDa in wild-type HAP1 cell lysates with no signal observed at this size in the LAMP1 knockout cell line. To generate this image, wild-type and LAMP1 knockout HAP1 cell lysates were analysed. First, samples were run on an SDS-PAGE gel then transferred onto a PVDF-FL membrane. Membranes were blocked in Odyssey diluted in equal volume of 0.1 % TBS before incubation with primary antibodies overnight at 4 °C. Blots were washed four times in TBS-T, incubated with secondary antibodies for 1 h at room temperature, washed again four times then imaged. Secondary antibodies used were Goat Anti-Mouse IgG H&L (IRDye® 800CW) (ab216772) and Goat Anti-Rabbit IgG H&L (IRDye® 680RD) (ab216777) at 1/10000 dilution. Performed under reducing conditions.

All lanes:

Western blot - Anti-LAMP1 antibody [1483CT517.45.23] - Lysosome Marker (ab302639) at 1/1000 dilution

Lane 1:

Wild-type HAP1 whole cell lysate at 20 µg

Lane 2:

LAMP1 knockout HAP1 whole cell lysate at 20 µg

Lane 3:

HeLa (human cervix adenocarcinoma epithelial cell), whole cell lysate at 20 µg

Secondary

Lanes 1 - 3:

Western blot - Goat anti-Mouse IgG H&L (IRDye® 800CW) preadsorbed (<a href='/en-us/products/secondary-antibodies/goat-mouse-igg-h-l-irdye-800cw-preadsorbed-ab216772'>ab216772</a>) at 1/10000 dilution

Lanes 1 - 3:

Western blot - Goat Anti-Rabbit IgG H&L (IRDye® 680RD) preadsorbed (<a href='/en-us/products/secondary-antibodies/goat-rabbit-igg-h-l-irdye-680rd-preadsorbed-ab216777'>ab216777</a>) at 1/10000 dilution

Observed band size: 110 kDa

false

  • Carrier free

    Anti-LAMP1 antibody [1483CT517.45.23] (BSA and Azide free)

Key facts

Host species

Mouse

Clonality

Monoclonal

Clone number

1483CT517.45.23

Isotype

IgG1

Carrier free

No

Reacts with

Human

Applications

WB, IHC-P

applications

Immunogen

The exact immunogen used to generate this antibody is proprietary information.

Reactivity data

{ "title": "Reactivity Data", "filters": { "stats": ["", "Species", "Dilution Info", "Notes"], "tabs": { "all-applications": {"fullname" : "All Applications", "shortname": "All Applications"}, "WB" : {"fullname" : "Western blot", "shortname":"WB"}, "IHCP" : {"fullname" : "Immunohistochemistry (Formalin/PFA-fixed paraffin-embedded sections)", "shortname":"IHC-P"}, "ICCIF" : {"fullname" : "Immunocytochemistry/ Immunofluorescence", "shortname":"ICC/IF"} }, "product-promise": { "all": "all", "testedAndGuaranteed": "tested", "guaranteed": "expected", "predicted": "predicted", "notRecommended": "not-recommended" } }, "values": { "Human": { "WB-species-checked": "testedAndGuaranteed", "WB-species-dilution-info": "1/1000", "WB-species-notes": "<p></p>", "IHCP-species-checked": "testedAndGuaranteed", "IHCP-species-dilution-info": "1/500", "IHCP-species-notes": "<p></p> Perform heat-mediated antigen retrieval with Tris/EDTA buffer pH 9.0 before commencing with IHC staining protocol.", "ICCIF-species-checked": "notRecommended", "ICCIF-species-dilution-info": "", "ICCIF-species-notes": "<p></p>" }, "Mouse": { "WB-species-checked": "notRecommended", "WB-species-dilution-info": "1/1000", "WB-species-notes": "<p></p>", "IHCP-species-checked": "notRecommended", "IHCP-species-dilution-info": "1/500", "IHCP-species-notes": "<p></p> Perform heat-mediated antigen retrieval with Tris/EDTA buffer pH 9.0 before commencing with IHC staining protocol.", "ICCIF-species-checked": "notRecommended", "ICCIF-species-dilution-info": "", "ICCIF-species-notes": "<p></p>" }, "Rat": { "WB-species-checked": "notRecommended", "WB-species-dilution-info": "1/1000", "WB-species-notes": "<p></p>", "IHCP-species-checked": "notRecommended", "IHCP-species-dilution-info": "1/500", "IHCP-species-notes": "<p></p> Perform heat-mediated antigen retrieval with Tris/EDTA buffer pH 9.0 before commencing with IHC staining protocol.", "ICCIF-species-checked": "notRecommended", "ICCIF-species-dilution-info": "", "ICCIF-species-notes": "<p></p>" } } }

Product details

Want a custom formulation?
This antibody clone is manufactured by Abcam. If you require a custom buffer formulation or conjugation for your experiments, please contact orders@abcam.com

What are the advantages of a recombinant monoclonal antibody?
This product is a recombinant monoclonal antibody, which offers several advantages including:

  • - High batch-to-batch consistency and reproducibility
  • - Improved sensitivity and specificity
  • - Long-term security of supply
  • - Animal-free batch production

For more information, read more on recombinant antibodies.

Properties and storage information

Form
Liquid
Purification technique
Affinity purification Protein A
Storage buffer
pH: 7.2 - 7.4 Preservative: 0.01% Sodium azide Constituents: PBS, 40% Glycerol (glycerin, glycerine), 0.05% BSA
Shipped at conditions
Blue Ice
Appropriate short-term storage duration
1-2 weeks
Appropriate short-term storage conditions
+4°C
Appropriate long-term storage conditions
-20°C
Storage information
Avoid freeze / thaw cycle

Supplementary information

This supplementary information is collated from multiple sources and compiled automatically.

LAMP1 also known as lysosome-associated membrane glycoprotein 1 is an important player within cellular mechanics. It exhibits a molecular weight of approximately 120 kDa. This protein exists abundantly in lysosomal membranes and sometimes in endosomes. LAMP1 operates near most cell types and has a significant presence in immune neuronal and epithelial cells. By maintaining the lysosomal membrane's integrity LAMP1 contributes to cellular homeostasis.
Biological function summary

LAMP1 functions to protect lysosomal membranes from the harsh environment inside the lysosome. It forms part of a protective glycocalyx composed of highly glycosylated proteins supporting lysosomal stability. This protein interacts closely with other lysosome markers and assists in the fusion of vesicles with lysosomes making it fundamental to lysosomal processes. As a lysosome marker LAMP1 helps identify lysosomal compartments during studies involving microscopy and LAMP1 staining.

Pathways

The protein LAMP1 participates in the autophagy and endocytic pathways. It acts collaboratively within the lysosomal degradation route involving proteins like LAMP2 which also supports lysosomal function. LAMP1 influences these pathways by mediating the fusion of autophagosomes or endosomes with lysosomes thereby ensuring efficient breakdown of cellular debris and macromolecules.

LAMP1 associates with lysosomal storage disorders and neurodegenerative diseases. The abnormal function or expression of LAMP1 has been linked to conditions such as Niemann-Pick disease and Alzheimer's disease. In these contexts its interaction with proteins like APP (amyloid precursor protein) illustrates its involvement in pathogenic pathways that lead to cellular dysfunction and disease progression. Understanding LAMP1's role may enhance diagnostic and therapeutic approaches pertaining to these disorders.

Product protocols

For this product, it's our understanding that no specific protocols are required. You can visit:

Target data

Lysosomal membrane glycoprotein which plays an important role in lysosome biogenesis, lysosomal pH regulation, autophagy and cholesterol homeostasis (PubMed : 37390818). Acts as an important regulator of lysosomal lumen pH regulation by acting as a direct inhibitor of the proton channel TMEM175, facilitating lysosomal acidification for optimal hydrolase activity (PubMed : 37390818). Also plays an important role in NK-cells cytotoxicity (PubMed : 2022921, PubMed : 23632890). Mechanistically, participates in cytotoxic granule movement to the cell surface and perforin trafficking to the lytic granule (PubMed : 23632890). In addition, protects NK-cells from degranulation-associated damage induced by their own cytotoxic granule content (PubMed : 23847195). Presents carbohydrate ligands to selectins (PubMed : 7685349).. (Microbial infection) Acts as a receptor for Lassa virus glycoprotein (PubMed : 24970085, PubMed : 25972533, PubMed : 27605678, PubMed : 28448640). Promotes also fusion of the virus with host membrane in less acidic endosomes (PubMed : 29295909).. (Microbial infection) Supports the FURIN-mediated cleavage of mumps virus fusion protein F by interacting with both FURIN and the unprocessed form but not the processed form of the viral protein F.
See full target information LAMP1

Product promise

We are committed to supporting your work with high-quality reagents, and we're here for you every step of the way. In the unlikely event that one of our products does not perform as expected, you're protected by our Product Promise.
For full details, please see our Terms & Conditions

Please note: All products are 'FOR RESEARCH USE ONLY. NOT FOR USE IN DIAGNOSTIC OR THERAPEUTIC PROCEDURES'.

For licensing inquiries, please contact partnerships@abcam.com