JavaScript is disabled in your browser. Please enable JavaScript to view this website.
AB225762

Anti-LAMP1 antibody [EPR21026] - BSA and Azide free

Be the first to review this product! Submit a review

|

(2 Publications)

Rabbit Recombinant Monoclonal LAMP1 antibody. Carrier free. Suitable for IP, WB, ICC/IF, IHC-Fr, Flow Cyt (Intra), IHC-P and reacts with Mouse samples. Cited in 2 publications.

View Alternative Names

CD107a, Lamp-1, Lamp1, Lysosome-associated membrane glycoprotein 1, LAMP-1, Lysosome-associated membrane protein 1, 120 kDa lysosomal membrane glycoprotein, CD107 antigen-like family member A, LGP-120, Lysosomal membrane glycoprotein A, P2B, LGP-A

9 Images
Immunohistochemistry (Formalin/PFA-fixed paraffin-embedded sections) - Anti-LAMP1 antibody [EPR21026] - BSA and Azide free (AB225762)
  • IHC-P

Lab

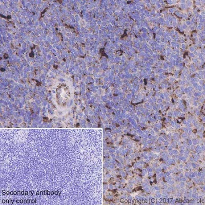
Immunohistochemistry (Formalin/PFA-fixed paraffin-embedded sections) - Anti-LAMP1 antibody [EPR21026] - BSA and Azide free (AB225762)

This data was developed using ab208943, the same antibody clone in a different buffer formulation.

Immunohistochemical analysis of formalin fixed paraffin embedded mouse spleen labelling LAMP1 with ab208943 at a concentration of 0.1µg/ml. The immunostaining was performed on a Ventana DISCOVERY ULTRA (Roche Tissue Diagnostics) instrument with a ChromoMap DAB IHC Kit with anti-rabbit HQ, anti-HQ HRP detection. Heat mediated antigen retrieval was performed with DISCOVERY cell conditioning solution (CC1) 100°C, pH8.5 for 32mins.

Anti-LAMP1 antibody [EPR21026] ab208943 was incubated for 16mins at 37°C. Sections were counterstained with Hematoxylin II. Image inset shows absence of staining in secondary antibody only control.

Customers are encouraged to optimise antigen retrieval conditions, antibody concentration, incubation times and temperature for best results in their own IHC assay workflow (automated and manual).

Immunocytochemistry/ Immunofluorescence - Anti-LAMP1 antibody [EPR21026] - BSA and Azide free (AB225762)
  • ICC/IF

Supplier Data

Immunocytochemistry/ Immunofluorescence - Anti-LAMP1 antibody [EPR21026] - BSA and Azide free (AB225762)

Immunofluorescent analysis of 100% methanol-fixed NIH/3T3 (mouse embryo fibroblast cell line) cells labeling LAMP1 with ab208943 at 1/100 dilution, followed by Goat Anti-Rabbit IgG H&L (Alexa Fluor® 488) (ab150077) at 1/1000 dilution (green). Confocal image showing cytoplasmic staining on NIH/3T3 cell line.

The nuclear counter stain is DAPI (blue). Tubulin is detected with Anti-alpha Tubulin antibody [DM1A] - Microtubule Marker (Alexa Fluor® 594) (ab195889), at 1/200 dilution (red).

Secondary antibody only control : Used PBS instead of primary antibody, secondary antibody is Goat Anti-Rabbit IgG H&L (Alexa Fluor® 488) (ab150077) secondary antibody at 1/1000 dilution.

This data was developed using the same antibody clone in a different buffer formulation containing PBS, BSA, glycerol, and sodium azide (ab208943).

Perform heat mediated antigen retrieval with Tris/EDTA buffer pH 9.0 before commencing with IHC staining protocol.

Flow Cytometry (Intracellular) - Anti-LAMP1 antibody [EPR21026] - BSA and Azide free (AB225762)
  • Flow Cyt (Intra)

Supplier Data

Flow Cytometry (Intracellular) - Anti-LAMP1 antibody [EPR21026] - BSA and Azide free (AB225762)

Intracellular flow cytometric analysis of 4% paraformaldehyde-fixed, 90% methonol-permeabilized Neuro-2a (mouse neuroblastoma cell line) cell line labeling LAMP1 with ab208943 at 1/500 dilution (red) compared with a Rabbit IgG, monoclonal [EPR25A] - Isotype Control (ab172730) (black) and an unlabeled control (cells without incubation with primary antibody and secondary antibody) (blue). Goat Anti-Rabbit IgG H&L (Alexa Fluor® 488) (ab150077), at 1/2000 dilution was used as the secondary antibody.

This data was developed using the same antibody clone in a different buffer formulation containing PBS, BSA, glycerol, and sodium azide (ab208943).

Immunocytochemistry/ Immunofluorescence - Anti-LAMP1 antibody [EPR21026] - BSA and Azide free (AB225762)
  • ICC/IF

Supplier Data

Immunocytochemistry/ Immunofluorescence - Anti-LAMP1 antibody [EPR21026] - BSA and Azide free (AB225762)

Immunofluorescent analysis of 100% methanol-fixed Neuro-2a (mouse neuroblastoma cell line) cells labeling LAMP1 with ab208943 at 1/100 dilution, followed by Goat Anti-Rabbit IgG H&L (Alexa Fluor® 488) (ab150077) at 1/1000 dilution (green). Confocal image showing cytoplasmic staining on Neuro-2a cell line.

The nuclear counter stain is DAPI (blue). Tubulin is detected with Anti-alpha Tubulin antibody [DM1A] - Microtubule Marker (Alexa Fluor® 594) (ab195889), at 1/200 dilution (red).

Secondary antibody only control : Used PBS instead of primary antibody, secondary antibody is Goat Anti-Rabbit IgG H&L (Alexa Fluor® 488) (ab150077) secondary antibody at 1/1000 dilution.

This data was developed using the same antibody clone in a different buffer formulation containing PBS, BSA, glycerol, and sodium azide (ab208943).

Immunohistochemistry (Formalin/PFA-fixed paraffin-embedded sections) - Anti-LAMP1 antibody [EPR21026] - BSA and Azide free (AB225762)
  • IHC-P

Supplier Data

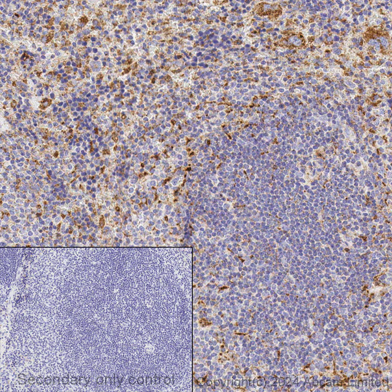
Immunohistochemistry (Formalin/PFA-fixed paraffin-embedded sections) - Anti-LAMP1 antibody [EPR21026] - BSA and Azide free (AB225762)

Immunohistochemical analysis of paraffin-embedded mouse spleen tissue labeling LAMP1 with ab208943 at 1/500 dilution, followed by Goat Anti-Rabbit IgG H&L (HRP) Ready to use. Granular cytoplasmic staining on mouse spleen was observed, performed on a Leica Biosystems BOND® RX instrument (PMID : 22008915). Counter stained with hematoxylin.

Secondary antibody only control : Used PBS instead of primary antibody, secondary antibody is Goat Anti-Rabbit IgG H&L (HRP) Ready to use.

Note : BOND® is a registered trademark of Leica Biosystems Melbourne Pty Ltd.

Perform heat mediated antigen retrieval with Tris/EDTA buffer pH 9.0 before commencing with IHC staining protocol.

This data was developed using the same antibody clone in a different buffer formulation containing PBS, BSA, glycerol, and sodium azide (ab208943).

Immunohistochemistry (Formalin/PFA-fixed paraffin-embedded sections) - Anti-LAMP1 antibody [EPR21026] - BSA and Azide free (AB225762)
  • IHC-P

Supplier Data

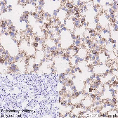
Immunohistochemistry (Formalin/PFA-fixed paraffin-embedded sections) - Anti-LAMP1 antibody [EPR21026] - BSA and Azide free (AB225762)

Immunohistochemical analysis of paraffin-embedded mouse lung tissue labeling LAMP1 with ab208943 at 1/500 dilution, followed by Goat Anti-Rabbit IgG H&L (HRP) Ready to use. Granular cytoplasmic staining on mouse spleen was observed, performed on a Leica Biosystems BOND® RX instrument (PMID : 22008915). Counter stained with hematoxylin.

Secondary antibody only control : Used PBS instead of primary antibody, secondary antibody is Goat Anti-Rabbit IgG H&L (HRP) Ready to use.

Note : BOND® is a registered trademark of Leica Biosystems Melbourne Pty Ltd.

Perform heat mediated antigen retrieval with Tris/EDTA buffer pH 9.0 before commencing with IHC staining protocol.

This data was developed using the same antibody clone in a different buffer formulation containing PBS, BSA, glycerol, and sodium azide (ab208943).

Immunohistochemistry (Frozen sections) - Anti-LAMP1 antibody [EPR21026] - BSA and Azide free (AB225762)
  • IHC-Fr

Supplier Data

Immunohistochemistry (Frozen sections) - Anti-LAMP1 antibody [EPR21026] - BSA and Azide free (AB225762)

Immunohistochemical analysis of 4% PFA-fixed, 0.2% Triton X-100 permeabilized mouse kidney tissue labeling LAMP1 with ab208943 at 1/100 dilution, followed by Goat Anti-Rabbit IgG H&L (Alexa Fluor® 488) (ab150077) at 1/1000 dilution (green). Cytoplasmic staining in the endothelial cells of glomeruli and epithelial cells of renal tubules (PMID : 23229015; PMID : 23635510). The nuclear counter stain is DAPI (blue).

Secondary antibody only control : Used PBS instead of primary antibody, secondary antibody is Goat Anti-Rabbit IgG H&L (Alexa Fluor® 488) (ab150077) at 1/1000 dilution.

This data was developed using the same antibody clone in a different buffer formulation containing PBS, BSA, glycerol, and sodium azide (ab208943).

Flow Cytometry (Intracellular) - Anti-LAMP1 antibody [EPR21026] - BSA and Azide free (AB225762)
  • Flow Cyt (Intra)

Lab

Flow Cytometry (Intracellular) - Anti-LAMP1 antibody [EPR21026] - BSA and Azide free (AB225762)

This data was developed using ab208943, the same antibody clone in a different buffer formulation.

Flow cytometry overlay histogram showing NIH3T3 cells stained with ab208943 (red line). The cells were fixed with 4% formaldehyde (10 min) and then permeabilised with 0.1% PBS-Triton X-100 for 15 min. The cells were incubated in 1x PBS containing 10% normal goat serum to block non-specific protein-protein interaction followed by the antibody (ab208943) (1x 106in 100μl at 0.2μg/ml (1/11000)) for 30min at 22°C.

The secondary antibody Goat Anti-Rabbit IgG H&L (Alexa Fluor® 488) preadsorbed was incubated at 1/4000 for 30min at 22°C

Isotype control antibody (black line) was Recombinant Rabbit IgG, monoclonal [EPR25A] - Isotype Control used at the same concentration and conditions as the primary antibody. Unlabelled sample (blue line) was also used as a control.

Acquisition of >5000 events were collected using a 50 mW Blue laser (488nm) and 525/40 bandpass filter.

This antibody gave a positive signal in NIH3T3 Fixed with 80% methanol (5 min) / permeabilised with 0.1% PBS-Triton X-100 for 15 min under the same conditions.

Immunoprecipitation - Anti-LAMP1 antibody [EPR21026] - BSA and Azide free (AB225762)
  • IP

Supplier Data

Immunoprecipitation - Anti-LAMP1 antibody [EPR21026] - BSA and Azide free (AB225762)

LAMP1 was immunoprecipitated from 0.35 mg of NIH/3T3 (mouse embryo fibroblast cell line) whole cell lysate with ab208943 at 1/30 dilution. Western blot was performed from the immunoprecipitate using ab208943 at 1/1000 dilution. VeriBlot for IP Detection Reagent (HRP) (ab131366), was used for detection at 1/10000 dilution.

Lane 1 : NIH/3T3 whole cell lysate 10 μg (Input).

Lane 2 : ab208943 IP in NIH/3T3 whole cell lysate.

Lane 3 : Rabbit monoclonal IgG (ab172730) instead of ab208943 in NIH/3T3 whole cell lysate.

Blocking and dilution buffer and concentration : 5% NFDM/TBST.

Exposure time : 1 second.

This data was developed using the same antibody clone in a different buffer formulation containing PBS, BSA, glycerol, and sodium azide (ab208943).

All lanes:

Immunoprecipitation - Anti-LAMP1 antibody [EPR21026] - Lysosome Marker (<a href='/en-us/products/primary-antibodies/lamp1-antibody-epr21026-lysosome-marker-ab208943'>ab208943</a>)

Predicted band size: 45 kDa

Observed band size: 90-120 kDa

true

  • Unconjugated

    Anti-LAMP1 antibody [EPR21026] - Lysosome Marker

  • 665 Alexa Fluor® 647

    Alexa Fluor® 647 Anti-LAMP1 antibody [EPR21026] - Lysosome Marker

  • 565 Alexa Fluor® 555

    Alexa Fluor® 555 Anti-LAMP1 antibody [EPR21026] - Lysosome Marker

  • 617 Alexa Fluor® 594

    Alexa Fluor® 594 Anti-LAMP1 antibody [EPR21026] - Lysosome Marker

  • 603 Alexa Fluor® 568

    Alexa Fluor® 568 Anti-LAMP1 antibody [EPR21026] - Lysosome Marker

  • 578 PE

    PE Anti-LAMP1 antibody [EPR21026] - Lysosome Marker

Key facts

Host species

Rabbit

Clonality

Monoclonal

Clone number

EPR21026

Isotype

IgG

Carrier free

Yes

Reacts with

Mouse

Applications

IHC-P, ICC/IF, Flow Cyt (Intra), IHC-Fr, IP, WB

applications

Immunogen

The exact immunogen used to generate this antibody is proprietary information.

Specificity

In our lab we observe staining in multiple tissues (spleen, lung, kidney etc.) in IHC-P with ab208943, but a lack of staining on mouse brain. We have received feedback from other researchers, that they also do not see staining in mouse brain with this antibody. Therefore we do not recommend using this reagent, for work on mouse brain, in IHC-P. For further information on this please contact our Technical Support team who will be happy to help.

Reactivity data

{ "title": "Reactivity Data", "filters": { "stats": ["", "Species", "Dilution Info", "Notes"], "tabs": { "all-applications": {"fullname" : "All Applications", "shortname": "All Applications"}, "IP" : {"fullname" : "Immunoprecipitation", "shortname":"IP"}, "WB" : {"fullname" : "Western blot", "shortname":"WB"}, "ICCIF" : {"fullname" : "Immunocytochemistry/ Immunofluorescence", "shortname":"ICC/IF"}, "IHCFr" : {"fullname" : "Immunohistochemistry (Frozen sections)", "shortname":"IHC-Fr"}, "FlowCytIntra" : {"fullname" : "Flow Cytometry (Intracellular)", "shortname":"Flow Cyt (Intra)"}, "IHCP" : {"fullname" : "Immunohistochemistry (Formalin/PFA-fixed paraffin-embedded sections)", "shortname":"IHC-P"} }, "product-promise": { "all": "all", "testedAndGuaranteed": "tested", "guaranteed": "expected", "predicted": "predicted", "notRecommended": "not-recommended" } }, "values": { "Mouse": { "IP-species-checked": "testedAndGuaranteed", "IP-species-dilution-info": "", "IP-species-notes": "<p></p>", "WB-species-checked": "guaranteed", "WB-species-dilution-info": "", "WB-species-notes": "<p></p>", "ICCIF-species-checked": "testedAndGuaranteed", "ICCIF-species-dilution-info": "", "ICCIF-species-notes": "<p></p>", "IHCFr-species-checked": "testedAndGuaranteed", "IHCFr-species-dilution-info": "", "IHCFr-species-notes": "<p>Perform heat mediated antigen retrieval using sodium citrate buffer (pH 6.0).</p>", "FlowCytIntra-species-checked": "testedAndGuaranteed", "FlowCytIntra-species-dilution-info": "", "FlowCytIntra-species-notes": "<p></p>", "IHCP-species-checked": "testedAndGuaranteed", "IHCP-species-dilution-info": "", "IHCP-species-notes": "<p>Works well in IHC-P on multiple tissues, but does not work on mouse brain, in this application.</p>" } } }

Product details

ab225762 is the carrier-free version of ab208943.

Patented technology
Our RabMAb® technology is a patented hybridoma-based technology for making rabbit monoclonal antibodies. For details on our patents, please refer to RabMAb® patents.

What are the advantages of a recombinant monoclonal antibody?
This product is a recombinant monoclonal antibody, which offers several advantages including:

  • - High batch-to-batch consistency and reproducibility
  • - Improved sensitivity and specificity
  • - Long-term security of supply
  • - Animal-free batch production

For more information, read more on recombinant antibodies.

Conjugation ready
Our carrier-free antibodies are typically supplied in a PBS-only formulation, purified and free of BSA, sodium azide and glycerol. This conjugation-ready format is designed for use with fluorochromes, metal isotopes, oligonucleotides, and enzymes, which makes them ideal for antibody labelling, functional and cell-based assays, flow-based assays (e.g. mass cytometry) and Multiplex Imaging applications.

Use our conjugation kits for antibody conjugates that are ready-to-use in as little as 20 minutes with 1 minute hands-on-time and 100% antibody recovery: available for fluorescent dyes, HRP, biotin and gold.

Compatibility
This product is compatible with the Maxpar® Antibody Labeling Kit from Fluidigm, without the need for antibody preparation. Maxpar® is a trademark of Fluidigm Canada Inc.

Properties and storage information

Form
Liquid
Purification technique
Affinity purification Protein A
Storage buffer
pH: 7.2 - 7.4 Constituents: PBS
Shipped at conditions
Blue Ice
Appropriate short-term storage conditions
+4°C
Appropriate long-term storage conditions
+4°C
Storage information
Do Not Freeze

Supplementary information

This supplementary information is collated from multiple sources and compiled automatically.

LAMP1 also known as lysosome-associated membrane glycoprotein 1 is an important player within cellular mechanics. It exhibits a molecular weight of approximately 120 kDa. This protein exists abundantly in lysosomal membranes and sometimes in endosomes. LAMP1 operates near most cell types and has a significant presence in immune neuronal and epithelial cells. By maintaining the lysosomal membrane's integrity LAMP1 contributes to cellular homeostasis.
Biological function summary

LAMP1 functions to protect lysosomal membranes from the harsh environment inside the lysosome. It forms part of a protective glycocalyx composed of highly glycosylated proteins supporting lysosomal stability. This protein interacts closely with other lysosome markers and assists in the fusion of vesicles with lysosomes making it fundamental to lysosomal processes. As a lysosome marker LAMP1 helps identify lysosomal compartments during studies involving microscopy and LAMP1 staining.

Pathways

The protein LAMP1 participates in the autophagy and endocytic pathways. It acts collaboratively within the lysosomal degradation route involving proteins like LAMP2 which also supports lysosomal function. LAMP1 influences these pathways by mediating the fusion of autophagosomes or endosomes with lysosomes thereby ensuring efficient breakdown of cellular debris and macromolecules.

LAMP1 associates with lysosomal storage disorders and neurodegenerative diseases. The abnormal function or expression of LAMP1 has been linked to conditions such as Niemann-Pick disease and Alzheimer's disease. In these contexts its interaction with proteins like APP (amyloid precursor protein) illustrates its involvement in pathogenic pathways that lead to cellular dysfunction and disease progression. Understanding LAMP1's role may enhance diagnostic and therapeutic approaches pertaining to these disorders.

Product protocols

For this product, it's our understanding that no specific protocols are required. You can visit:

Target data

Lysosomal membrane glycoprotein which plays an important role in lysosome biogenesis, lysosomal pH regulation, autophagy and cholesterol homeostasis (PubMed : 15121881). Acts as an important regulator of lysosomal lumen pH regulation by acting as a direct inhibitor of the proton channel TMEM175, facilitating lysosomal acidification for optimal hydrolase activity (By similarity). Also plays an important role in NK-cells cytotoxicity (PubMed : 23847195). Mechanistically, participates in cytotoxic granule movement to the cell surface and perforin trafficking to the lytic granule (By similarity). In addition, protects NK-cells from degranulation-associated damage induced by their own cytotoxic granule content (PubMed : 23847195). Presents carbohydrate ligands to selectins (By similarity). Also implicated in tumor cell metastasis (PubMed : 2676155).
See full target information Lamp1

Publications (2)

Recent publications for all applications. Explore the full list and refine your search

Molecular neurobiology 60:3741-3757 PubMed36940077

2023

The Aldose Reductase Inhibitor Epalrestat Maintains Blood-Brain Barrier Integrity by Enhancing Endothelial Cell Function during Cerebral Ischemia.

Applications

Unspecified application

Species

Unspecified reactive species

Tongshuai Zhang,Jinrong Wu,Xinmin Yao,Yao Zhang,Yue Wang,Yang Han,Yun Wu,Zhenyu Xu,Jing Lan,Siyu Han,Haifeng Zou,Qixu Sun,Dandan Wang,Jingyu Zhang,Guangyou Wang

Bioactive materials 8:420-434 PubMed34541411

2021

Covalent linkage of sulfated hyaluronan to the collagen scaffold Mucograft® enhances scaffold stability and reduces proinflammatory macrophage activation .

Applications

Unspecified application

Species

Unspecified reactive species

Sarah Al-Maawi,Sandra Rother,Norbert Halfter,Karen M Fiebig,Juliane Moritz,Stephanie Moeller,Matthias Schnabelrauch,Charles James Kirkpatrick,Robert Sader,Hans-Peter Wiesmann,Dieter Scharnweber,Vera Hintze,Shahram Ghanaati
View all publications

Product promise

We are committed to supporting your work with high-quality reagents, and we're here for you every step of the way. In the unlikely event that one of our products does not perform as expected, you're protected by our Product Promise.
For full details, please see our Terms & Conditions

Please note: All products are 'FOR RESEARCH USE ONLY. NOT FOR USE IN DIAGNOSTIC OR THERAPEUTIC PROCEDURES'.

For licensing inquiries, please contact partnerships@abcam.com