JavaScript is disabled in your browser. Please enable JavaScript to view this website.
AB208943

Anti-LAMP1 antibody [EPR21026] - Lysosome Marker

4

(2 Reviews)

|

(67 Publications)

Anti-LAMP1 antibody [EPR21026] (ab208943) is a rabbit monoclonal antibody detecting LAMP1 in Western Blot, Flow Cytometry (Intra), Flow Cytometry, IP, IHC-P, IHC-Fr, ICC/IF. Suitable for Mouse.

- Biophysical QC for unrivalled batch-batch consistency
- Over 30 publications

View Alternative Names

CD107a, Lamp-1, Lamp1, Lysosome-associated membrane glycoprotein 1, LAMP-1, Lysosome-associated membrane protein 1, 120 kDa lysosomal membrane glycoprotein, CD107 antigen-like family member A, LGP-120, Lysosomal membrane glycoprotein A, P2B, LGP-A

11 Images
Immunocytochemistry/ Immunofluorescence - Anti-LAMP1 antibody [EPR21026] - Lysosome Marker (AB208943)
  • ICC/IF

Supplier Data

Immunocytochemistry/ Immunofluorescence - Anti-LAMP1 antibody [EPR21026] - Lysosome Marker (AB208943)

Immunofluorescent analysis of 100% methanol-fixed Neuro-2a (mouse neuroblastoma cell line) cells labeling LAMP1 with ab208943 at 1/100 dilution, followed by Goat Anti-Rabbit IgG H&L (Alexa Fluor® 488) (ab150077) at 1/1000 dilution (green). Confocal image showing cytoplasmic staining on Neuro-2a cell line.

The nuclear counter stain is DAPI (blue). Tubulin is detected with Anti-alpha Tubulin antibody [DM1A] - Microtubule Marker (Alexa Fluor® 594) (ab195889), at 1/200 dilution (red).

Secondary antibody only control : Used PBS instead of primary antibody, secondary antibody is Goat Anti-Rabbit IgG H&L (Alexa Fluor® 488) (ab150077) secondary antibody at 1/1000 dilution.

Immunohistochemistry (Formalin/PFA-fixed paraffin-embedded sections) - Anti-LAMP1 antibody [EPR21026] - Lysosome Marker (AB208943)
  • IHC-P

Lab

Immunohistochemistry (Formalin/PFA-fixed paraffin-embedded sections) - Anti-LAMP1 antibody [EPR21026] - Lysosome Marker (AB208943)

Immunohistochemical analysis of formalin fixed paraffin embedded mouse spleen labelling LAMP1 with ab208943 at a concentration of 0.1µg/ml. The immunostaining was performed on a Ventana DISCOVERY ULTRA (Roche Tissue Diagnostics) instrument with a ChromoMap DAB IHC Kit with anti-rabbit HQ, anti-HQ HRP detection. Heat mediated antigen retrieval was performed with DISCOVERY cell conditioning solution (CC1) 100°C, pH8.5 for 32mins.

Anti-LAMP1 antibody [EPR21026] ab208943 was incubated for 16mins at 37°C. Sections were counterstained with Hematoxylin II. Image inset shows absence of staining in secondary antibody only control.

Customers are encouraged to optimise antigen retrieval conditions, antibody concentration, incubation times and temperature for best results in their own IHC assay workflow (automated and manual).

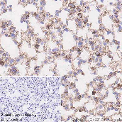
Immunohistochemistry (Formalin/PFA-fixed paraffin-embedded sections) - Anti-LAMP1 antibody [EPR21026] - Lysosome Marker (AB208943)
  • IHC-P

Supplier Data

Immunohistochemistry (Formalin/PFA-fixed paraffin-embedded sections) - Anti-LAMP1 antibody [EPR21026] - Lysosome Marker (AB208943)

Immunohistochemical analysis of paraffin-embedded mouse lung tissue labeling LAMP1 with ab208943 at 1/500 dilution, followed by Goat Anti-Rabbit IgG H&L (HRP) Ready to use. Granular cytoplasmic staining on mouse spleen was observed, performed on a Leica Biosystems BOND® RX instrument (PMID : 22008915). Counter stained with hematoxylin.

Secondary antibody only control : Used PBS instead of primary antibody, secondary antibody is Goat Anti-Rabbit IgG H&L (HRP) Ready to use.

Note : BOND® is a registered trademark of Leica Biosystems Melbourne Pty Ltd.

Perform heat mediated antigen retrieval with Tris/EDTA buffer pH 9.0 before commencing with IHC staining protocol.

Immunohistochemistry (Frozen sections) - Anti-LAMP1 antibody [EPR21026] - Lysosome Marker (AB208943)
  • IHC-Fr

Supplier Data

Immunohistochemistry (Frozen sections) - Anti-LAMP1 antibody [EPR21026] - Lysosome Marker (AB208943)

Immunohistochemical analysis of 4% PFA-fixed, 0.2% Triton X-100 permeabilized mouse kidney tissue labeling LAMP1 with ab208943 at 1/100 dilution, followed by Goat Anti-Rabbit IgG H&L (Alexa Fluor® 488) (ab150077) at 1/1000 dilution (green). Cytoplasmic staining in the endothelial cells of glomeruli and epithelial cells of renal tubules (PMID : 23229015; PMID : 23635510). The nuclear counter stain is DAPI (blue).

Secondary antibody only control : Used PBS instead of primary antibody, secondary antibody is Goat Anti-Rabbit IgG H&L (Alexa Fluor® 488) (ab150077) at 1/1000 dilution.

Flow Cytometry (Intracellular) - Anti-LAMP1 antibody [EPR21026] - Lysosome Marker (AB208943)
  • Flow Cyt (Intra)

Lab

Flow Cytometry (Intracellular) - Anti-LAMP1 antibody [EPR21026] - Lysosome Marker (AB208943)

Flow cytometry overlay histogram showing NIH3T3 cells stained with ab208943 (red line). The cells were fixed with 4% formaldehyde (10 min) and then permeabilised with 0.1% PBS-Triton X-100 for 15 min. The cells were incubated in 1x PBS containing 10% normal goat serum to block non-specific protein-protein interaction followed by the antibody (ab208943) (1x 106in 100μl at 0.2μg/ml (1/11000)) for 30min at 22°C.

The secondary antibody Goat Anti-Rabbit IgG H&L (Alexa Fluor® 488) preadsorbed was incubated at 1/4000 for 30min at 22°C

Isotype control antibody (black line) was Recombinant Rabbit IgG, monoclonal [EPR25A] - Isotype Control used at the same concentration and conditions as the primary antibody. Unlabelled sample (blue line) was also used as a control.

Acquisition of >5000 events were collected using a 50 mW Blue laser (488nm) and 525/40 bandpass filter.

This antibody gave a positive signal in NIH3T3 Fixed with 80% methanol (5 min) / permeabilised with 0.1% PBS-Triton X-100 for 15 min under the same conditions.

Immunocytochemistry/ Immunofluorescence - Anti-LAMP1 antibody [EPR21026] - Lysosome Marker (AB208943)
  • ICC/IF

Supplier Data

Immunocytochemistry/ Immunofluorescence - Anti-LAMP1 antibody [EPR21026] - Lysosome Marker (AB208943)

Immunofluorescent analysis of 100% methanol-fixed NIH/3T3 (mouse embryo fibroblast cell line) cells labeling LAMP1 with ab208943 at 1/100 dilution, followed by Goat Anti-Rabbit IgG H&L (Alexa Fluor® 488) (ab150077) at 1/1000 dilution (green). Confocal image showing cytoplasmic staining on NIH/3T3 cell line.

The nuclear counter stain is DAPI (blue). Tubulin is detected with Anti-alpha Tubulin antibody [DM1A] - Microtubule Marker (Alexa Fluor® 594) (ab195889), at 1/200 dilution (red).

Secondary antibody only control : Used PBS instead of primary antibody, secondary antibody is Goat Anti-Rabbit IgG H&L (Alexa Fluor® 488) (ab150077) secondary antibody at 1/1000 dilution.

Perform heat mediated antigen retrieval with Tris/EDTA buffer pH 9.0 before commencing with IHC staining protocol.

Flow Cytometry (Intracellular) - Anti-LAMP1 antibody [EPR21026] - Lysosome Marker (AB208943)
  • Flow Cyt (Intra)

Supplier Data

Flow Cytometry (Intracellular) - Anti-LAMP1 antibody [EPR21026] - Lysosome Marker (AB208943)

Intracellular flow cytometric analysis of 4% paraformaldehyde-fixed, 90% methonol-permeabilized Neuro-2a (mouse neuroblastoma cell line) cell line labeling LAMP1 with ab208943 at 1/500 dilution (red) compared with a Rabbit IgG, monoclonal [EPR25A] - Isotype Control (ab172730) (black) and an unlabeled control (cells without incubation with primary antibody and secondary antibody) (blue). Goat Anti-Rabbit IgG H&L (Alexa Fluor® 488) (ab150077), at 1/2000 dilution was used as the secondary antibody.

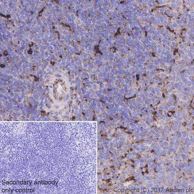
Immunohistochemistry (Formalin/PFA-fixed paraffin-embedded sections) - Anti-LAMP1 antibody [EPR21026] - Lysosome Marker (AB208943)
  • IHC-P

Supplier Data

Immunohistochemistry (Formalin/PFA-fixed paraffin-embedded sections) - Anti-LAMP1 antibody [EPR21026] - Lysosome Marker (AB208943)

Immunohistochemical analysis of paraffin-embedded mouse spleen tissue labeling LAMP1 with ab208943 at 1/500 dilution, followed by Goat Anti-Rabbit IgG H&L (HRP) Ready to use. Granular cytoplasmic staining on mouse spleen was observed, performed on a Leica Biosystems BOND® RX instrument (PMID : 22008915). Counter stained with hematoxylin.

Secondary antibody only control : Used PBS instead of primary antibody, secondary antibody is Goat Anti-Rabbit IgG H&L (HRP) Ready to use.

Note : BOND® is a registered trademark of Leica Biosystems Melbourne Pty Ltd.

Perform heat mediated antigen retrieval with Tris/EDTA buffer pH 9.0 before commencing with IHC staining protocol.

Immunoprecipitation - Anti-LAMP1 antibody [EPR21026] - Lysosome Marker (AB208943)
  • IP

Supplier Data

Immunoprecipitation - Anti-LAMP1 antibody [EPR21026] - Lysosome Marker (AB208943)

LAMP1 was immunoprecipitated from 0.35 mg of NIH/3T3 (mouse embryo fibroblast cell line) whole cell lysate with ab208943 at 1/30 dilution. Western blot was performed from the immunoprecipitate using ab208943 at 1/1000 dilution. VeriBlot for IP Detection Reagent (HRP) (ab131366), was used for detection at 1/10000 dilution.

Lane 1 : NIH/3T3 whole cell lysate 10 μg (Input).

Lane 2 : ab208943 IP in NIH/3T3 whole cell lysate.

Lane 3 : Rabbit monoclonal IgG (ab172730) instead of ab208943 in NIH/3T3 whole cell lysate.

Blocking and dilution buffer and concentration : 5% NFDM/TBST.

Exposure time : 1 second.

All lanes:

Immunoprecipitation - Anti-LAMP1 antibody [EPR21026] - Lysosome Marker (ab208943)

Predicted band size: 45 kDa

Observed band size: 90-120 kDa

true

Western blot - Anti-LAMP1 antibody [EPR21026] - Lysosome Marker (AB208943)
  • WB

Supplier Data

Western blot - Anti-LAMP1 antibody [EPR21026] - Lysosome Marker (AB208943)

Exposure time : Lanes 1-2 : 3 minutes; Lane 3 : 5 seconds; Lane 4 : 10 seconds.

Blocking and dilution buffer : 5% NFDM/TBST.

The varying band sizes are due to different levels of glycosylation (PMID : 10212251, PMID : 26246576).

All lanes:

Western blot - Anti-LAMP1 antibody [EPR21026] - Lysosome Marker (ab208943) at 1/2000 dilution

Lane 1:

Neuro-2a (mouse neuroblastoma cell line) whole cell lysate at 20 µg

Lane 2:

RAW 264.7 (mouse macrophage cell line transformed with Abelson murine leukemia virus) whole cell lysate at 20 µg

Lane 3:

Mouse kidney lysate at 20 µg

Lane 4:

NIH/3T3 (mouse embryo fibroblast cell line) whole cell lysate at 10 µg

Secondary

All lanes:

Western blot - Goat Anti-Rabbit IgG H&L (HRP) (<a href='/en-us/products/secondary-antibodies/goat-rabbit-igg-h-l-hrp-ab97051'>ab97051</a>) at 1/100000 dilution

Predicted band size: 45 kDa

Observed band size: 90-120 kDa

true

Western blot - Anti-LAMP1 antibody [EPR21026] - Lysosome Marker (AB208943)
  • WB

Supplier Data

Western blot - Anti-LAMP1 antibody [EPR21026] - Lysosome Marker (AB208943)

Exposure time : Lanes 1-2 : 15 seconds; Lane 3 : 5 seconds.

Blocking and dilution buffer : 5% NFDM/TBST.

All lanes:

Western blot - Anti-LAMP1 antibody [EPR21026] - Lysosome Marker (ab208943) at 1/1000 dilution

Lane 1:

Mouse lung lysate at 10 µg

Lane 2:

Mouse colon lysate at 10 µg

Lane 3:

Mouse liver lysate at 10 µg

Secondary

All lanes:

Western blot - Goat Anti-Rabbit IgG H&L (HRP) (<a href='/en-us/products/secondary-antibodies/goat-rabbit-igg-h-l-hrp-ab97051'>ab97051</a>) at 1/50000 dilution

Predicted band size: 45 kDa

Observed band size: 90-120 kDa

true

  • Carrier free

    Anti-LAMP1 antibody [EPR21026] - BSA and Azide free

  • 665 Alexa Fluor® 647

    Alexa Fluor® 647 Anti-LAMP1 antibody [EPR21026] - Lysosome Marker

  • 565 Alexa Fluor® 555

    Alexa Fluor® 555 Anti-LAMP1 antibody [EPR21026] - Lysosome Marker

  • 603 Alexa Fluor® 568

    Alexa Fluor® 568 Anti-LAMP1 antibody [EPR21026] - Lysosome Marker

  • 617 Alexa Fluor® 594

    Alexa Fluor® 594 Anti-LAMP1 antibody [EPR21026] - Lysosome Marker

  • 578 PE

    PE Anti-LAMP1 antibody [EPR21026] - Lysosome Marker

Key facts

Host species

Rabbit

Clonality

Monoclonal

Clone number

EPR21026

Isotype

IgG

Carrier free

No

Reacts with

Mouse

Applications

IHC-Fr, ICC/IF, WB, IHC-P, Flow Cyt (Intra), IP

applications

Immunogen

The exact immunogen used to generate this antibody is proprietary information.

Specificity

In our lab we observe staining in multiple tissues (spleen, lung, kidney etc.) in IHC-P with ab208943, but a lack of staining on mouse brain. We have received feedback from other researchers, that they also do not see staining in mouse brain with this antibody. Therefore we do not recommend using this reagent, for work on mouse brain, in IHC-P. For further information on this please contact our Technical Support team who will be happy to help.

Reactivity data

{ "title": "Reactivity Data", "filters": { "stats": ["", "Species", "Dilution Info", "Notes"], "tabs": { "all-applications": {"fullname" : "All Applications", "shortname": "All Applications"}, "IP" : {"fullname" : "Immunoprecipitation", "shortname":"IP"}, "WB" : {"fullname" : "Western blot", "shortname":"WB"}, "ICCIF" : {"fullname" : "Immunocytochemistry/ Immunofluorescence", "shortname":"ICC/IF"}, "IHCFr" : {"fullname" : "Immunohistochemistry (Frozen sections)", "shortname":"IHC-Fr"}, "FlowCytIntra" : {"fullname" : "Flow Cytometry (Intracellular)", "shortname":"Flow Cyt (Intra)"}, "IHCP" : {"fullname" : "Immunohistochemistry (Formalin/PFA-fixed paraffin-embedded sections)", "shortname":"IHC-P"} }, "product-promise": { "all": "all", "testedAndGuaranteed": "tested", "guaranteed": "expected", "predicted": "predicted", "notRecommended": "not-recommended" } }, "values": { "Mouse": { "IP-species-checked": "testedAndGuaranteed", "IP-species-dilution-info": "1/30", "IP-species-notes": "<p></p>", "WB-species-checked": "testedAndGuaranteed", "WB-species-dilution-info": "1/1000", "WB-species-notes": "<p></p>", "ICCIF-species-checked": "testedAndGuaranteed", "ICCIF-species-dilution-info": "1/100", "ICCIF-species-notes": "<p></p>", "IHCFr-species-checked": "testedAndGuaranteed", "IHCFr-species-dilution-info": "1/100", "IHCFr-species-notes": "<p>Perform heat mediated antigen retrieval using sodium citrate buffer (pH 6.0).</p>", "FlowCytIntra-species-checked": "testedAndGuaranteed", "FlowCytIntra-species-dilution-info": "1/500", "FlowCytIntra-species-notes": "<p></p>", "IHCP-species-checked": "testedAndGuaranteed", "IHCP-species-dilution-info": "1/500", "IHCP-species-notes": "<p>Works well in IHC-P on multiple tissues, but does not work on mouse brain, in this application.</p>" } } }

Product details

Anti-LAMP1 antibody [EPR21026] (ab208943) was developed by Abcam using patented rabbit monoclonal antibody technology and is validated for use in Flow Cyt (Intra), ICC/IF, IHC-Fr, IHC-P, IP, WB in mouse samples.

Anti-LAMP1 antibody [EPR21026] (ab208943) has been cited over 31 times in peer reviewed journals and is trusted by the scientific community.

Abcams high quality manufacturing and validation processes ensure Anti-LAMP1 antibody [EPR21026] (ab208943) has high sensitivity and specificity alongside high lot-to-lot consistency and reproducibility.

Anti-LAMP1 antibody [EPR21026] (ab208943) specifically detects LAMP1 (UniProt ID: P11438; Molecular weight: 42kDa) and is sold in 100 uL and 1 mL selling sizes.

Conjugation-ready, carrier free format available for antibody clone EPR21026 - ab225762.

Antibody clone EPR21026 is also available pre-conjugated to a variety of labels for your convenience - Alexa Fluor® 647, Alexa Fluor® 555, Alexa Fluor® 594, Alexa Fluor® 568, PE (ab23737, ab355, ab32684, ab3282, ab314256).

Lysosomal-associated membrane protein 1 (LAMP1) is an essential lysosomal membrane protein that plays a crucial role in cellular processes such as waste degradation and autophagy regulation. It is a significant focus of research in neuroscience and cell biology due to its importance in maintaining cellular health. Changes in LAMP1 expression are associated with various diseases, including cancer, neurodegenerative disorders like Alzheimer's disease (AD), and lysosomal storage diseases. Studying LAMP1 provides valuable insights into the mechanisms of these diseases and the cellular dysfunctions involved, highlighting its critical role in understanding disease pathology.

Patented technology
Our RabMAb® technology is a patented hybridoma-based technology for making rabbit monoclonal antibodies. For details on our patents, please refer to RabMAb® patents.

What are the advantages of a recombinant monoclonal antibody?
This product is a recombinant monoclonal antibody, which offers several advantages including:

  • - High batch-to-batch consistency and reproducibility
  • - Improved sensitivity and specificity
  • - Long-term security of supply
  • - Animal-free batch production

For more information, read more on recombinant antibodies.

Properties and storage information

Form
Liquid
Purification technique
Affinity purification Protein A
Storage buffer
pH: 7.2 - 7.4 Preservative: 0.01% Sodium azide Constituents: PBS, 40% Glycerol (glycerin, glycerine), 0.05% BSA
Shipped at conditions
Blue Ice
Appropriate short-term storage duration
1-2 weeks
Appropriate short-term storage conditions
+4°C
Appropriate long-term storage conditions
-20°C
Aliquoting information
Upon delivery aliquot
Storage information
Avoid freeze / thaw cycle

Supplementary information

This supplementary information is collated from multiple sources and compiled automatically.

LAMP1 also known as lysosome-associated membrane glycoprotein 1 is an important player within cellular mechanics. It exhibits a molecular weight of approximately 120 kDa. This protein exists abundantly in lysosomal membranes and sometimes in endosomes. LAMP1 operates near most cell types and has a significant presence in immune neuronal and epithelial cells. By maintaining the lysosomal membrane's integrity LAMP1 contributes to cellular homeostasis.
Biological function summary

LAMP1 functions to protect lysosomal membranes from the harsh environment inside the lysosome. It forms part of a protective glycocalyx composed of highly glycosylated proteins supporting lysosomal stability. This protein interacts closely with other lysosome markers and assists in the fusion of vesicles with lysosomes making it fundamental to lysosomal processes. As a lysosome marker LAMP1 helps identify lysosomal compartments during studies involving microscopy and LAMP1 staining.

Pathways

The protein LAMP1 participates in the autophagy and endocytic pathways. It acts collaboratively within the lysosomal degradation route involving proteins like LAMP2 which also supports lysosomal function. LAMP1 influences these pathways by mediating the fusion of autophagosomes or endosomes with lysosomes thereby ensuring efficient breakdown of cellular debris and macromolecules.

LAMP1 associates with lysosomal storage disorders and neurodegenerative diseases. The abnormal function or expression of LAMP1 has been linked to conditions such as Niemann-Pick disease and Alzheimer's disease. In these contexts its interaction with proteins like APP (amyloid precursor protein) illustrates its involvement in pathogenic pathways that lead to cellular dysfunction and disease progression. Understanding LAMP1's role may enhance diagnostic and therapeutic approaches pertaining to these disorders.

Product protocols

For this product, it's our understanding that no specific protocols are required. You can visit:

Target data

Lysosomal membrane glycoprotein which plays an important role in lysosome biogenesis, lysosomal pH regulation, autophagy and cholesterol homeostasis (PubMed : 15121881). Acts as an important regulator of lysosomal lumen pH regulation by acting as a direct inhibitor of the proton channel TMEM175, facilitating lysosomal acidification for optimal hydrolase activity (By similarity). Also plays an important role in NK-cells cytotoxicity (PubMed : 23847195). Mechanistically, participates in cytotoxic granule movement to the cell surface and perforin trafficking to the lytic granule (By similarity). In addition, protects NK-cells from degranulation-associated damage induced by their own cytotoxic granule content (PubMed : 23847195). Presents carbohydrate ligands to selectins (By similarity). Also implicated in tumor cell metastasis (PubMed : 2676155).
See full target information Lamp1

Publications (67)

Recent publications for all applications. Explore the full list and refine your search

Translational psychiatry 15:391 PubMed41073431

2025

Developmental arrest of astrocyte lineage in Snai2 deletion mice: implication for the intellectual disability in patients with Waardenburg syndrome.

Applications

Unspecified application

Species

Unspecified reactive species

Chaobiao Xue,Haiyun Xu,Xiuyuan Huang,Miaotong Su,Lifang He,Guangping Zhang,Zhexuan Lin,Hui Li,Xiaohong Hong,Shaoxian Chen,Zhuozhi Dai,Tongtong Cai,Can Chen,Yun Lin,Guohong Zhang,Wenhong Luo

Journal for immunotherapy of cancer 13: PubMed40953922

2025

Pancreatic cancer cells escape T/NK cell immune surveillance through the expressional separation of CD58.

Applications

Unspecified application

Species

Unspecified reactive species

Yalu Zhang,Huaijin Zheng,Ronghua Zhang,Jiayi Li,Sen Yang,Yuze Hua,Jorg Kleeff,Quan Liao,Qiaofei Liu

Nature communications 16:7889 PubMed40849430

2025

Mesothelin-directed protein-drug conjugates for mesothelin-low solid tumor therapy.

Applications

Unspecified application

Species

Unspecified reactive species

Ying Wang,Jiayao Yan,Lin Li,Tianran Chen,Jingyi Guo,Lei Lei,Siwen Wu,Lijing Zhu,Xiaotong Chen,Baorui Liu

Journal of experimental & clinical cancer research : CR 44:237 PubMed40813676

2025

MiR-7 inhibits progression of glioblastoma by impairing autophagy resolution, energy metabolism and ECM remodeling.

Applications

Unspecified application

Species

Unspecified reactive species

Marta Torrecilla-Parra,Virginia Pardo-Marqués,Antonio C Fuentes-Fayos,Miguel E G-García,Mario Fernández-de Frutos,José L López-Aceituno,Cristina Puigdueta,Carmen Zamora,Ana Pérez-García,Juan F Aranda,Rebeca Busto,Manuel D Gahete,Raúl M Luque,Cristina M Ramírez

The Journal of biological chemistry 301:110504 PubMed40701245

2025

PERK and IRE1α promote exosome secretion via blocking lysosomal degradation of multiple vesicular body.

Applications

Unspecified application

Species

Unspecified reactive species

Shixin Zhou,Zihan Zhou,Si Chen,Ming Wang,Likun Wang

Acta pharmaceutica Sinica. B 15:2703-2722 PubMed40487662

2025

A cisplatin prodrug-based self-assembling ozone delivery nanosystem sensitizes radiotherapy in triple-negative breast cancer.

Applications

Unspecified application

Species

Unspecified reactive species

Tianyue Xu,Dan Zheng,Meixu Chen,Linlin Song,Zhihui Liu,Yan Cheng,Yujie Zhao,Liwen Huang,Yixuan Li,Zhankun Yang,Cong Li,Biao Dong,Jing Jing,Hubing Shi

Viruses 17: PubMed40284965

2025

The Role of the Tyrosine-Based Sorting Signals of the ORF3a Protein of SARS-CoV-2 in Intracellular Trafficking and Pathogenesis.

Applications

Unspecified application

Species

Unspecified reactive species

Edward B Stephens,Dusan Kunec,Wyatt Henke,Ricardo Martin Vidal,Brandon Greishaber,Rabina Saud,Maria Kalamvoki,Gagandeep Singh,Sujan Kafle,Jessie D Trujillo,Franco Matias Ferreyra,Igor Morozov,Juergen A Richt

Respiratory research 26:128 PubMed40205454

2025

High matrix stiffness promotes senescence of type II alveolar epithelial cells by lysosomal degradation of lamin A/C in pulmonary fibrosis.

Applications

Unspecified application

Species

Unspecified reactive species

Junhui Ba,Changyu Zheng,Yimei Lai,Xin He,Yuxi Pan,Yanqiu Zhao,Huihui Xie,Benquan Wu,Xiao Deng,Nan Wang

Cells 14: PubMed40072092

2025

miR-204-5p Protects Nephrin from Enzymatic Degradation in Cultured Mouse Podocytes Treated with Nephrotoxic Serum.

Applications

Unspecified application

Species

Unspecified reactive species

George Haddad,Judith Blaine

iScience 28:111804 PubMed39995863

2025

Hepatic Lamp2a deficiency promotes inflammation of murine autoimmune cholangitis via affecting bile acid metabolism.

Applications

Unspecified application

Species

Unspecified reactive species

Qingling Fan,Guanya Guo,Yinan Hu,Yi Lu,Rui Su,Jiaqi Yang,Erzhuo Xia,Shuoyi Ma,Miao Zhang,Jingbo Wang,Ting Li,Ying Han
View all publications

Product promise

We are committed to supporting your work with high-quality reagents, and we're here for you every step of the way. In the unlikely event that one of our products does not perform as expected, you're protected by our Product Promise.
For full details, please see our Terms & Conditions

Please note: All products are 'FOR RESEARCH USE ONLY. NOT FOR USE IN DIAGNOSTIC OR THERAPEUTIC PROCEDURES'.

For licensing inquiries, please contact partnerships@abcam.com