JavaScript is disabled in your browser. Please enable JavaScript to view this website.
AB278046

Anti-LAMP1 antibody [EPR24395-31] - BSA and Azide free

  • BOND RX™ Validated
  • RabMAb
  • KO Validated
  • Recombinant
  • What is this?

4

(1 Review)

|

(0 Publication)

Knockout Tested Rabbit Recombinant Monoclonal LAMP1 antibody. Carrier free. Suitable for ICC/IF, WB, Flow Cyt (Intra), IHC-P and reacts with Human samples.

View Alternative Names

CD107a, Lysosome-associated membrane glycoprotein 1, LAMP-1, Lysosome-associated membrane protein 1, CD107 antigen-like family member A, LAMP1

11 Images
Immunocytochemistry/ Immunofluorescence - Anti-LAMP1 antibody [EPR24395-31] - BSA and Azide free (AB278046)
  • ICC/IF

Lab

Immunocytochemistry/ Immunofluorescence - Anti-LAMP1 antibody [EPR24395-31] - BSA and Azide free (AB278046)

This data was developed using ab278043, the same antibody clone in a different buffer formulation.

Immunofluorescent analysis of 4% Paraformaldehyde-fixed, 0.1% TritonX-100 permeabilized HeLa cells labelling LAMP1 with ab278043 at 1/100 (5.45 ug/ml) dilution, followed by ab150077 Goat Anti-Rabbit IgG H&L (Alexa Fluor® 488) antibody at 1/1000 (green). Confocal image showing cytoplasmic staining in HeLa. ab25630 Anti-LAMP1 mouse monoclonal antibody was used to counterstain at 1/500 (red). The Nuclear counterstain was DAPI (blue).

Secondary antibody only control : Secondary antibody is ab150077 Goat Anti-Rabbit IgG H&L (Alexa Fluor® 488) at 1/1000 dilution

Immunohistochemistry (Formalin/PFA-fixed paraffin-embedded sections) - Anti-LAMP1 antibody [EPR24395-31] - BSA and Azide free (AB278046)
  • IHC-P

Lab

Immunohistochemistry (Formalin/PFA-fixed paraffin-embedded sections) - Anti-LAMP1 antibody [EPR24395-31] - BSA and Azide free (AB278046)

This data was developed using ab278043, the same antibody clone in a different buffer formulation.

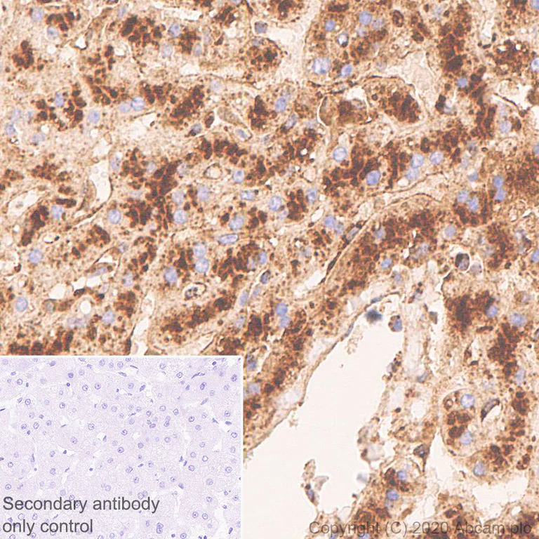
Immunohistochemical analysis of paraffin-embedded Human lung cancer tissue labelling LAMP1 with ab278043 at 1/5000 (0.109 ug/ml) dilution followed by a ready to use LeicaDS9800 (Bond® Polymer Refine Detection) was used. Cytoplasmic staining in human lung cancer. The section was incubated with ab278043 for 30 mins at room temperature. The immunostaining was performed on a Leica Biosystems BOND® RX instrument with Hematoxylin. Secondary antibody only control : Secondary antibody is a ready to use LeicaDS9800 (Bond® Polymer Refine Detection) was used.

Heat mediated antigen retrieval with Tris-EDTA buffer (pH 9.0, epitope retrieval solution2) for 20 mins.

Immunohistochemistry (Formalin/PFA-fixed paraffin-embedded sections) - Anti-LAMP1 antibody [EPR24395-31] - BSA and Azide free (AB278046)
  • IHC-P

Lab

Immunohistochemistry (Formalin/PFA-fixed paraffin-embedded sections) - Anti-LAMP1 antibody [EPR24395-31] - BSA and Azide free (AB278046)

This data was developed using ab278043, the same antibody clone in a different buffer formulation.

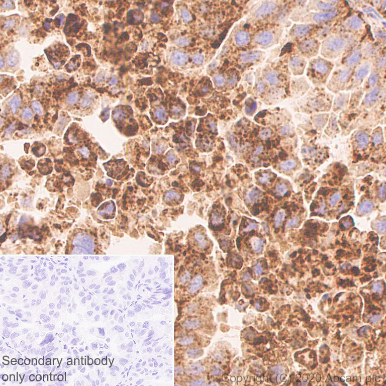
Immunohistochemical analysis of paraffin-embedded Human liver tissue labeling LAMP1 with ab278043 at 1/5000 (0.109 ug/ml) dilution followed by a ready to use LeicaDS9800 (Bond® Polymer Refine Detection) was used. Cytoplasmic staining in human liver. The section was incubated with ab278043 for 30 mins at room temperature. The immunostaining was performed on a Leica Biosystems BOND® RX instrument with Hematoxylin. Secondary antibody only control : Secondary antibody is a ready to use LeicaDS9800 (Bond® Polymer Refine Detection) was used.

Heat mediated antigen retrieval with Tris-EDTA buffer (pH 9.0, epitope retrieval solution2) for 20 mins.

Immunohistochemistry (Formalin/PFA-fixed paraffin-embedded sections) - Anti-LAMP1 antibody [EPR24395-31] - BSA and Azide free (AB278046)
  • IHC-P

Lab

Immunohistochemistry (Formalin/PFA-fixed paraffin-embedded sections) - Anti-LAMP1 antibody [EPR24395-31] - BSA and Azide free (AB278046)

This data was developed using ab278043, the same antibody clone in a different buffer formulation.

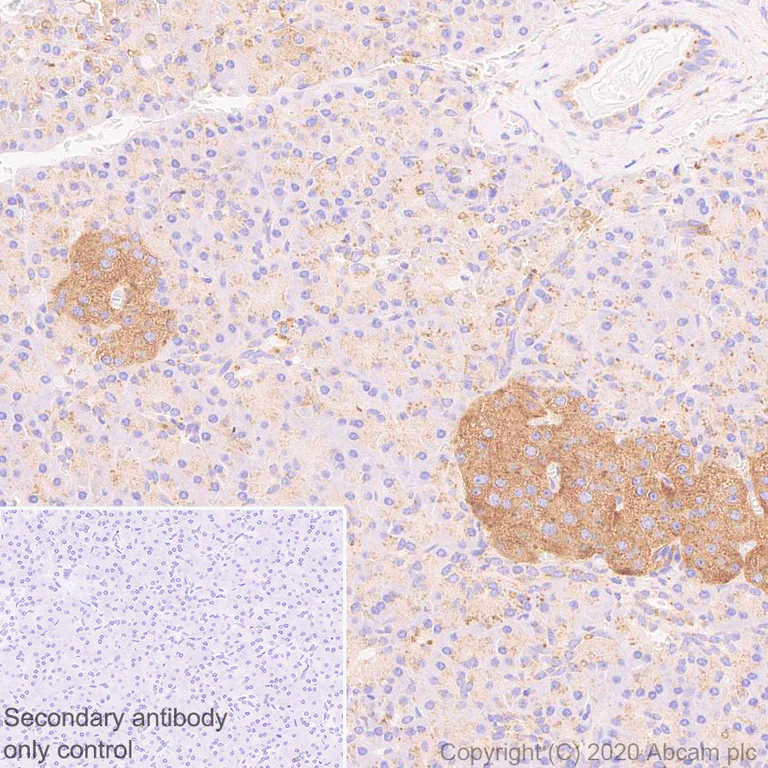
Immunohistochemical analysis of paraffin-embedded Human pancreas tissue labelling LAMP1 with ab278043 at 1/5000 (0.109 ug/ml) dilution followed by a ready to use LeicaDS9800 (Bond® Polymer Refine Detection) was used. Cytoplasmic staining in human pancreas. The section was incubated with ab278043 for 30 mins at room temperature. The immunostaining was performed on a Leica Biosystems BOND® RX instrument with Hematoxylin. Secondary antibody only control : Secondary antibody is a ready to use LeicaDS9800 (Bond® Polymer Refine Detection) was used.

Heat mediated antigen retrieval with Tris-EDTA buffer (pH 9.0, epitope retrieval solution2) for 20 mins.

Immunohistochemistry (Formalin/PFA-fixed paraffin-embedded sections) - Anti-LAMP1 antibody [EPR24395-31] - BSA and Azide free (AB278046)
  • IHC-P

Lab

Immunohistochemistry (Formalin/PFA-fixed paraffin-embedded sections) - Anti-LAMP1 antibody [EPR24395-31] - BSA and Azide free (AB278046)

This data was developed using ab278043, the same antibody clone in a different buffer formulation.

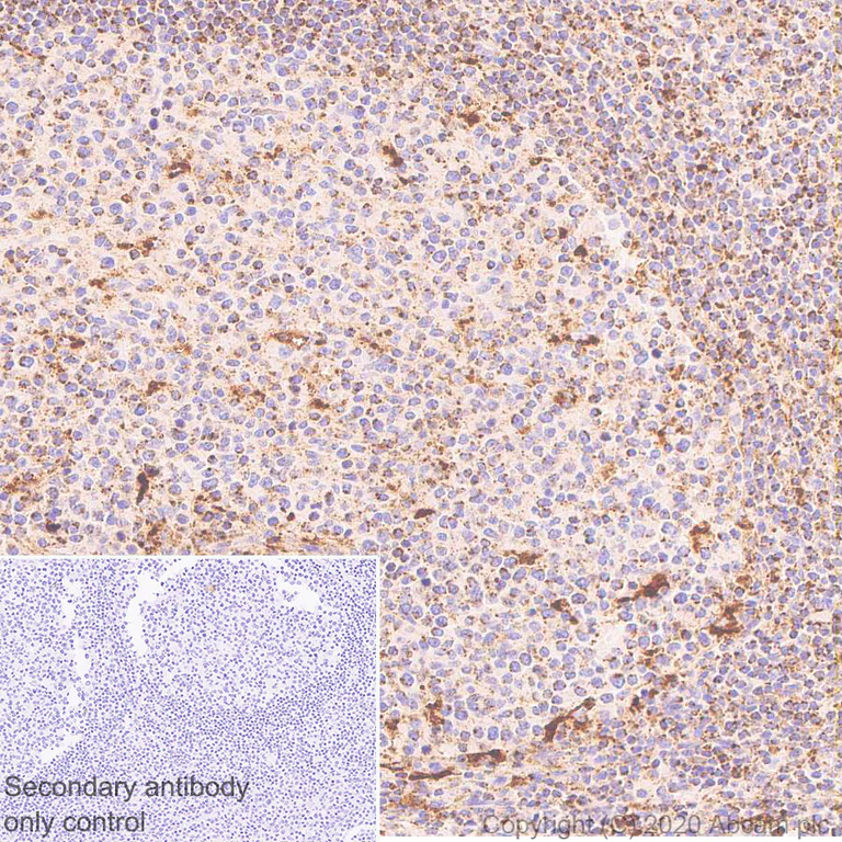
Immunohistochemical analysis of paraffin-embedded Human tonsil labelling LAMP1 with ab278043 at 1/5000 (0.109 ug/ml) dilution followed by a ready to use LeicaDS9800 (Bond® Polymer Refine Detection) was used. Cytoplasmic staining in human tonsil. The section was incubated with ab278043 for 30 mins at room temperature. The immunostaining was performed on a Leica Biosystems BOND® RX instrument with Hematoxylin. Secondary antibody only control : Secondary antibody is a ready to use LeicaDS9800 (Bond® Polymer Refine Detection) was used.

Heat mediated antigen retrieval with Tris-EDTA buffer (pH 9.0, epitope retrieval solution2) for 20 mins.

Flow Cytometry (Intracellular) - Anti-LAMP1 antibody [EPR24395-31] - BSA and Azide free (AB278046)
  • Flow Cyt (Intra)

Lab

Flow Cytometry (Intracellular) - Anti-LAMP1 antibody [EPR24395-31] - BSA and Azide free (AB278046)

This data was developed using ab278043, the same antibody clone in a different buffer formulation.

Intracellular flow cytometric analysis of HeLa (human cervix adenocarcinoma epithelial cell) cells labelling LAMP1 with ab278043 at 1/500 dilution (red) compared with a Rabbit monoclonal IgG (ab172730) (Black) isotype control and an unlabelled control (cells without incubation with primary antibody and secondary antibody) (Blue). Goat anti rabbit IgG (Alexa Fluor® 488, ab150077) at 1/2000 dilution was used as the secondary antibody.

Flow Cytometry (Intracellular) - Anti-LAMP1 antibody [EPR24395-31] - BSA and Azide free (AB278046)
  • Flow Cyt (Intra)

Lab

Flow Cytometry (Intracellular) - Anti-LAMP1 antibody [EPR24395-31] - BSA and Azide free (AB278046)

This data was developed using ab278043, the same antibody clone in a different buffer formulation.

Intracellular flow cytometric analysis of Wild-type HAP1 (human chronic myelogenous leukemia near-haploid cell, Right)/ LAMP1 knockout HAP1 cells (Left) cells labelling LAMP1 with ab278043 at 1/500 dilution (red) compared with a Rabbit monoclonal IgG (ab172730) (Black) isotype control and an unlabelled control (cells without incubation with primary antibody and secondary antibody) (Blue). Goat anti rabbit IgG (Alexa Fluor® 488, ab150077) at 1/2000 dilution was used as the secondary antibody.

Immunocytochemistry/ Immunofluorescence - Anti-LAMP1 antibody [EPR24395-31] - BSA and Azide free (AB278046)
  • ICC/IF

Lab

Immunocytochemistry/ Immunofluorescence - Anti-LAMP1 antibody [EPR24395-31] - BSA and Azide free (AB278046)

This data was developed using ab278043, the same antibody clone in a different buffer formulation.

Immunofluorescent analysis of 4% Paraformaldehyde-fixed, 0.1% TritonX-100 permeabilized LAMP1 KO HAP1 cells labelling LAMP1 with ab278043 at 1/100 (5.45 ug/ml) dilution, followed by ab150077 Goat Anti-Rabbit IgG H&L (Alexa Fluor® 488) antibody at 1/1000 2 ug/ml dilution (green). Confocal image showing cytoplasmic staining in parental HAP1 cell line and no staining in LAMP1 KO HAP1 cell line. ab195889 Anti-alpha Tubulin mouse monoclonal antibody- Microtubule Marker (Alexa Fluor ® 594) was used to counterstain at 1/200 (red).

Secondary antibody only control : Secondary antibody is ab150077 Goat Anti-Rabbit IgG H&L (Alexa Fluor® 488) at 1/1000 dilution.

Western blot - Anti-LAMP1 antibody [EPR24395-31] - BSA and Azide free (AB278046)
  • WB

Lab

Western blot - Anti-LAMP1 antibody [EPR24395-31] - BSA and Azide free (AB278046)

This data was developed using ab278043, the same antibody clone in a different buffer formulation.

Blocking and Diluting buffer : 5% NFDM/TBST

LAMP1 is a glycoprotein. The molecular weight observed is consistent with what has been described in the literature (PMID : 27061067, 15111122).

Exposure time : 3 minutes.

All lanes:

Western blot - Anti-LAMP1 antibody [EPR24395-31] - Lysosome Marker (<a href='/en-us/products/primary-antibodies/lamp1-antibody-epr24395-31-lysosome-marker-ab278043'>ab278043</a>) at 1/1000 dilution

Lane 1:

Human kidney tissue lysate at 20 µg

Lane 2:

Human spleen tissue lysate at 20 µg

Lane 3:

Human colon cancer tissue lysate at 20 µg

Secondary

All lanes:

Western blot - VeriBlot for IP Detection Reagent (HRP) (<a href='/en-us/products/reagents/veriblot-for-ip-detection-reagent-hrp-ab131366'>ab131366</a>) at 1/1000 dilution

Predicted band size: 45 kDa

Observed band size: 110 kDa

false

Western blot - Anti-LAMP1 antibody [EPR24395-31] - BSA and Azide free (AB278046)
  • WB

Lab

Western blot - Anti-LAMP1 antibody [EPR24395-31] - BSA and Azide free (AB278046)

This data was developed using ab278043, the same antibody clone in a different buffer formulation.

Blocking buffer and Diluting buffer : Intercept® (TBS) Blocking Buffer diluted with an equal volume of 0.1% TBS.

Lanes 1-4 : Merged signal (red and green). Green - ab278043 observed at 110 kDa. Red - loading control ab8245 observed at 36 kDa.

ab278043 Anti-LAMP1 antibody [EPR24395-31A] was shown to specifically react with LAMP1 in wild-type HAP1 cells. Loss of signal was observed when knockout cell line was used. Wild-type and LAMP1 knockout samples were subjected to SDS-PAGE. ab278043 and Anti-GAPDH antibody [6C5] - Loading Control (ab8245) were incubated at room temperature for 2. 5 hours at 1 in 1000 dilution and 1 in 20000 dilution respectively. Blots were developed with Goat anti-Rabbit IgG H&L (IRDye® 800CW) preadsorbed (ab216773) and Goat anti-Mouse IgG H&L (IRDye® 680RD) preadsorbed (ab216776) secondary antibodies at 1 in 10000 dilution for 1 hour at room temperature before imaging.

All lanes:

Western blot - Anti-LAMP1 antibody [EPR24395-31] - Lysosome Marker (<a href='/en-us/products/primary-antibodies/lamp1-antibody-epr24395-31-lysosome-marker-ab278043'>ab278043</a>) at 1/1000 dilution

Lane 1:

Wild-type HAP1 (human chronic myelogenous leukemia near-haploid cell) whole cell lysate at 20 µg

Lane 2:

LAMP1 knockout HAP1 whole cell lysate at 20 µg

Lane 3:

MCF7 (human breast adenocarcinoma epithelial cell) whole cell lysate at 20 µg

Lane 4:

Human kidney tissue lysate at 20 µg

Secondary

All lanes:

Western blot - Goat anti-Mouse IgG H&L (IRDye® 680RD) preadsorbed (<a href='/en-us/products/secondary-antibodies/goat-mouse-igg-h-l-irdye-680rd-preadsorbed-ab216776'>ab216776</a>) at 1/10000 dilution

Predicted band size: 45 kDa

Observed band size: 110 kDa

false

Western blot - Anti-LAMP1 antibody [EPR24395-31] - BSA and Azide free (AB278046)
  • WB

Lab

Western blot - Anti-LAMP1 antibody [EPR24395-31] - BSA and Azide free (AB278046)

This data was developed using ab278043, the same antibody clone in a different buffer formulation.

Blocking and Diluting buffer : 5% NFDM/TBST

LAMP1 is a glycoprotein. The molecular weight observed is consistent with what has been described in the literature (PMID : 27061067, 15111122).

Exposure time : 3 minutes.

All lanes:

Western blot - Anti-LAMP1 antibody [EPR24395-31] - Lysosome Marker (<a href='/en-us/products/primary-antibodies/lamp1-antibody-epr24395-31-lysosome-marker-ab278043'>ab278043</a>) at 1/1000 dilution

Lane 1:

HeLa (human cervix adenocarcinoma epithelial cell) whole cell lysate at 20 µg

Lane 2:

HepG2 (human hepatocellular carcinoma epithelial cell) whole cell lysate at 20 µg

Lane 3:

MCF7 (human breast adenocarcinoma epithelial cell) whole cell lysate at 20 µg

Secondary

All lanes:

Western blot - Goat Anti-Rabbit IgG H&L (HRP) (<a href='/en-us/products/secondary-antibodies/goat-rabbit-igg-h-l-hrp-ab97051'>ab97051</a>) at 1/50000 dilution

Predicted band size: 45 kDa

Observed band size: 110 kDa

false

  • Unconjugated

    Anti-LAMP1 antibody [EPR24395-31] - Lysosome Marker

  • 519 Alexa Fluor® 488

    Alexa Fluor® 488 Anti-LAMP1 antibody [EPR24395-31] - Lysosome Marker

  • 660 APC

    APC Anti-LAMP1 antibody [EPR24395-31] - Lysosome Marker

  • 665 Alexa Fluor® 647

    Alexa Fluor® 647 Anti-LAMP1 antibody [EPR24395-31] - Lysosome Marker

  • 578 PE

    PE Anti-LAMP1 antibody [EPR24395-31] - Lysosome Marker

Key facts

Host species

Rabbit

Clonality

Monoclonal

Clone number

EPR24395-31

Isotype

IgG

Carrier free

Yes

Reacts with

Human

Applications

IHC-P, ICC/IF, WB, Flow Cyt (Intra)

applications

Immunogen

The exact immunogen used to generate this antibody is proprietary information.

Reactivity data

{ "title": "Reactivity Data", "filters": { "stats": ["", "Species", "Dilution Info", "Notes"], "tabs": { "all-applications": {"fullname" : "All Applications", "shortname": "All Applications"}, "ICCIF" : {"fullname" : "Immunocytochemistry/ Immunofluorescence", "shortname":"ICC/IF"}, "IP" : {"fullname" : "Immunoprecipitation", "shortname":"IP"}, "WB" : {"fullname" : "Western blot", "shortname":"WB"}, "FlowCytIntra" : {"fullname" : "Flow Cytometry (Intracellular)", "shortname":"Flow Cyt (Intra)"}, "IHCP" : {"fullname" : "Immunohistochemistry (Formalin/PFA-fixed paraffin-embedded sections)", "shortname":"IHC-P"} }, "product-promise": { "all": "all", "testedAndGuaranteed": "tested", "guaranteed": "expected", "predicted": "predicted", "notRecommended": "not-recommended" } }, "values": { "Human": { "ICCIF-species-checked": "testedAndGuaranteed", "ICCIF-species-dilution-info": "", "ICCIF-species-notes": "<p></p>", "IP-species-checked": "notRecommended", "IP-species-dilution-info": "", "IP-species-notes": "<p></p>", "WB-species-checked": "testedAndGuaranteed", "WB-species-dilution-info": "", "WB-species-notes": "<p></p>", "FlowCytIntra-species-checked": "testedAndGuaranteed", "FlowCytIntra-species-dilution-info": "", "FlowCytIntra-species-notes": "<p></p>", "IHCP-species-checked": "testedAndGuaranteed", "IHCP-species-dilution-info": "", "IHCP-species-notes": "<p></p>" }, "Mouse": { "ICCIF-species-checked": "notRecommended", "ICCIF-species-dilution-info": "", "ICCIF-species-notes": "", "IP-species-checked": "notRecommended", "IP-species-dilution-info": "", "IP-species-notes": "", "WB-species-checked": "notRecommended", "WB-species-dilution-info": "", "WB-species-notes": "<p></p>", "FlowCytIntra-species-checked": "notRecommended", "FlowCytIntra-species-dilution-info": "", "FlowCytIntra-species-notes": "", "IHCP-species-checked": "notRecommended", "IHCP-species-dilution-info": "", "IHCP-species-notes": "<p></p>" }, "Rat": { "ICCIF-species-checked": "notRecommended", "ICCIF-species-dilution-info": "", "ICCIF-species-notes": "", "IP-species-checked": "notRecommended", "IP-species-dilution-info": "", "IP-species-notes": "", "WB-species-checked": "notRecommended", "WB-species-dilution-info": "", "WB-species-notes": "<p></p>", "FlowCytIntra-species-checked": "notRecommended", "FlowCytIntra-species-dilution-info": "", "FlowCytIntra-species-notes": "", "IHCP-species-checked": "notRecommended", "IHCP-species-dilution-info": "", "IHCP-species-notes": "<p></p>" } } }

Product details

ab278046 is the carrier-free version of ab278043.

Patented technology
Our RabMAb® technology is a patented hybridoma-based technology for making rabbit monoclonal antibodies. For details on our patents, please refer to RabMAb® patents.

What are the advantages of a recombinant monoclonal antibody?
This product is a recombinant monoclonal antibody, which offers several advantages including:

  • - High batch-to-batch consistency and reproducibility
  • - Improved sensitivity and specificity
  • - Long-term security of supply
  • - Animal-free batch production

For more information, read more on recombinant antibodies.

Conjugation ready
Our carrier-free antibodies are typically supplied in a PBS-only formulation, purified and free of BSA, sodium azide and glycerol. This conjugation-ready format is designed for use with fluorochromes, metal isotopes, oligonucleotides, and enzymes, which makes them ideal for antibody labelling, functional and cell-based assays, flow-based assays (e.g. mass cytometry) and Multiplex Imaging applications.

Use our conjugation kits for antibody conjugates that are ready-to-use in as little as 20 minutes with 1 minute hands-on-time and 100% antibody recovery: available for fluorescent dyes, HRP, biotin and gold.

Compatibility
This product is compatible with the Maxpar® Antibody Labeling Kit from Fluidigm, without the need for antibody preparation. Maxpar® is a trademark of Fluidigm Canada Inc.

Properties and storage information

Form
Liquid
Purification technique
Affinity purification Protein A
Storage buffer
Constituents: PBS
Shipped at conditions
Blue Ice
Appropriate short-term storage conditions
+4°C
Appropriate long-term storage conditions
+4°C

Supplementary information

This supplementary information is collated from multiple sources and compiled automatically.

LAMP1 also known as lysosome-associated membrane glycoprotein 1 is an important player within cellular mechanics. It exhibits a molecular weight of approximately 120 kDa. This protein exists abundantly in lysosomal membranes and sometimes in endosomes. LAMP1 operates near most cell types and has a significant presence in immune neuronal and epithelial cells. By maintaining the lysosomal membrane's integrity LAMP1 contributes to cellular homeostasis.
Biological function summary

LAMP1 functions to protect lysosomal membranes from the harsh environment inside the lysosome. It forms part of a protective glycocalyx composed of highly glycosylated proteins supporting lysosomal stability. This protein interacts closely with other lysosome markers and assists in the fusion of vesicles with lysosomes making it fundamental to lysosomal processes. As a lysosome marker LAMP1 helps identify lysosomal compartments during studies involving microscopy and LAMP1 staining.

Pathways

The protein LAMP1 participates in the autophagy and endocytic pathways. It acts collaboratively within the lysosomal degradation route involving proteins like LAMP2 which also supports lysosomal function. LAMP1 influences these pathways by mediating the fusion of autophagosomes or endosomes with lysosomes thereby ensuring efficient breakdown of cellular debris and macromolecules.

LAMP1 associates with lysosomal storage disorders and neurodegenerative diseases. The abnormal function or expression of LAMP1 has been linked to conditions such as Niemann-Pick disease and Alzheimer's disease. In these contexts its interaction with proteins like APP (amyloid precursor protein) illustrates its involvement in pathogenic pathways that lead to cellular dysfunction and disease progression. Understanding LAMP1's role may enhance diagnostic and therapeutic approaches pertaining to these disorders.

Product protocols

For this product, it's our understanding that no specific protocols are required. You can visit:

Target data

Lysosomal membrane glycoprotein which plays an important role in lysosome biogenesis, lysosomal pH regulation, autophagy and cholesterol homeostasis (PubMed : 37390818). Acts as an important regulator of lysosomal lumen pH regulation by acting as a direct inhibitor of the proton channel TMEM175, facilitating lysosomal acidification for optimal hydrolase activity (PubMed : 37390818). Also plays an important role in NK-cells cytotoxicity (PubMed : 2022921, PubMed : 23632890). Mechanistically, participates in cytotoxic granule movement to the cell surface and perforin trafficking to the lytic granule (PubMed : 23632890). In addition, protects NK-cells from degranulation-associated damage induced by their own cytotoxic granule content (PubMed : 23847195). Presents carbohydrate ligands to selectins (PubMed : 7685349).. (Microbial infection) Acts as a receptor for Lassa virus glycoprotein (PubMed : 24970085, PubMed : 25972533, PubMed : 27605678, PubMed : 28448640). Also promotes fusion of the virus with host membrane in less acidic endosomes (PubMed : 29295909).. (Microbial infection) Supports the FURIN-mediated cleavage of mumps virus fusion protein F by interacting with both FURIN and the unprocessed form but not the processed form of the viral protein F.
See full target information LAMP1

Product promise

We are committed to supporting your work with high-quality reagents, and we're here for you every step of the way. In the unlikely event that one of our products does not perform as expected, you're protected by our Product Promise.
For full details, please see our Terms & Conditions

Please note: All products are 'FOR RESEARCH USE ONLY. NOT FOR USE IN DIAGNOSTIC OR THERAPEUTIC PROCEDURES'.

For licensing inquiries, please contact partnerships@abcam.com