JavaScript is disabled in your browser. Please enable JavaScript to view this website.
AB278043

Anti-LAMP1 antibody [EPR24395-31] - Lysosome Marker

  • BOND RX™ Validated
  • RabMAb
  • KO Validated
  • Recombinant
  • 20ul selling size
  • What is this?

Be the first to review this product! Submit a review

|

(7 Publications)

Anti-LAMP1 antibody [EPR24395-31] (ab278043) is a rabbit monoclonal antibody detecting LAMP1 in Western Blot, Flow Cytometry (Intra), Flow Cytometry, IHC-P, ICC/IF. Suitable for Human.

- KO validated for confirmed specificity
- Biophysical QC for unrivalled batch-batch consistency

View Alternative Names

CD107a, Lysosome-associated membrane glycoprotein 1, LAMP-1, Lysosome-associated membrane protein 1, CD107 antigen-like family member A, LAMP1

13 Images
Multiplex immunohistochemistry - Anti-LAMP1 antibody [EPR24395-31] - Lysosome Marker (AB278043)
  • mIHC

Supplier Data

Multiplex immunohistochemistry - Anti-LAMP1 antibody [EPR24395-31] - Lysosome Marker (AB278043)

Multiplex immunohistochemistry analysis of formalin/PFA-fixed paraffin-embedded human thyroid tissue staining FUCA1 with ab323794 at a 1 : 1000 (0.511 ug/ml) dilution, ab278043 anti-LAMP1 used at 1 : 5000 (0.103 ug/ml) dilution.

Panel A : merged staining of anti-FUCA1 (green; Opal™520), anti-LAMP1 (magenta; Opal™570) on human thyroid.
Panel B : anti-FUCA1 showed granular staining in human thyroid.
Panel C : ant-LAMP1 staining lysosome in human thyroid.
Nuclear DNA was labeled with DAPI (shown in blue).

The section was incubated in three rounds of staining : in the order of ab323794 and ab278043 for 30 mins at room temperature. Each round was followed by a separate fluorescent tyramide signal amplification system.

The immunostaining was performed on a Leica Biosystems BOND® RX instrument with an Opal™ 4-color kit. Image acquisition was performed with Leica SP8 confocal microscope.

Nuclear counter stain with DAPI.

Heat mediated antigen retrieval with Tris-EDTA buffer (pH 9.0, epitope retrieval solution2) for 20 mins.

Flow Cytometry (Intracellular) - Anti-LAMP1 antibody [EPR24395-31] - Lysosome Marker (AB278043)
  • Flow Cyt (Intra)

Lab

Flow Cytometry (Intracellular) - Anti-LAMP1 antibody [EPR24395-31] - Lysosome Marker (AB278043)

Intracellular flow cytometric analysis of HeLa (human cervix adenocarcinoma epithelial cell) cells labelling LAMP1 with ab278043 at 1/500 dilution (red) compared with a Rabbit monoclonal IgG (ab172730) (Black) isotype control and an unlabelled control (cells without incubation with primary antibody and secondary antibody) (Blue). Goat anti rabbit IgG (Alexa Fluor® 488, ab150077) at 1/2000 dilution was used as the secondary antibody.

Flow Cytometry (Intracellular) - Anti-LAMP1 antibody [EPR24395-31] - Lysosome Marker (AB278043)
  • Flow Cyt (Intra)

Lab

Flow Cytometry (Intracellular) - Anti-LAMP1 antibody [EPR24395-31] - Lysosome Marker (AB278043)

Intracellular flow cytometric analysis of Wild-type HAP1 (human chronic myelogenous leukemia near-haploid cell, Right)/ LAMP1 knockout HAP1 cells (Left) cells labelling LAMP1 with ab278043 at 1/500 dilution (red) compared with a Rabbit monoclonal IgG (ab172730) (Black) isotype control and an unlabelled control (cells without incubation with primary antibody and secondary antibody) (Blue). Goat anti rabbit IgG (Alexa Fluor® 488, ab150077) at 1/2000 dilution was used as the secondary antibody.

Immunocytochemistry/ Immunofluorescence - Anti-LAMP1 antibody [EPR24395-31] - Lysosome Marker (AB278043)
  • ICC/IF

Lab

Immunocytochemistry/ Immunofluorescence - Anti-LAMP1 antibody [EPR24395-31] - Lysosome Marker (AB278043)

Immunofluorescent analysis of 4% Paraformaldehyde-fixed, 0.1% TritonX-100 permeabilized LAMP1 KO HAP1 cells labelling LAMP1 with ab278043 at 1/100 (5.45 ug/ml) dilution, followed by ab150077 Goat Anti-Rabbit IgG H&L (Alexa Fluor® 488) antibody at 1/1000 2 ug/ml dilution (green). Confocal image showing cytoplasmic staining in parental HAP1 cell line and no staining in LAMP1 KO HAP1 cell line. ab195889 Anti-alpha Tubulin mouse monoclonal antibody- Microtubule Marker (Alexa Fluor ® 594) was used to counterstain at 1/200 (red).

Secondary antibody only control : Secondary antibody is ab150077 Goat Anti-Rabbit IgG H&L (Alexa Fluor® 488) at 1/1000 dilution.

Immunocytochemistry/ Immunofluorescence - Anti-LAMP1 antibody [EPR24395-31] - Lysosome Marker (AB278043)
  • ICC/IF

Lab

Immunocytochemistry/ Immunofluorescence - Anti-LAMP1 antibody [EPR24395-31] - Lysosome Marker (AB278043)

Immunofluorescent analysis of 4% Paraformaldehyde-fixed, 0.1% TritonX-100 permeabilized HeLa cells labelling LAMP1 with ab278043 at 1/100 (5.45 ug/ml) dilution, followed by ab150077 Goat Anti-Rabbit IgG H&L (Alexa Fluor® 488) antibody at 1/1000 (green). Confocal image showing cytoplasmic staining in HeLa. ab25630 Anti-LAMP1 mouse monoclonal antibody was used to counterstain at 1/500 (red). The Nuclear counterstain was DAPI (blue).

Secondary antibody only control : Secondary antibody is ab150077 Goat Anti-Rabbit IgG H&L (Alexa Fluor® 488) at 1/1000 dilution

Immunohistochemistry (Formalin/PFA-fixed paraffin-embedded sections) - Anti-LAMP1 antibody [EPR24395-31] - Lysosome Marker (AB278043)
  • IHC-P

Lab

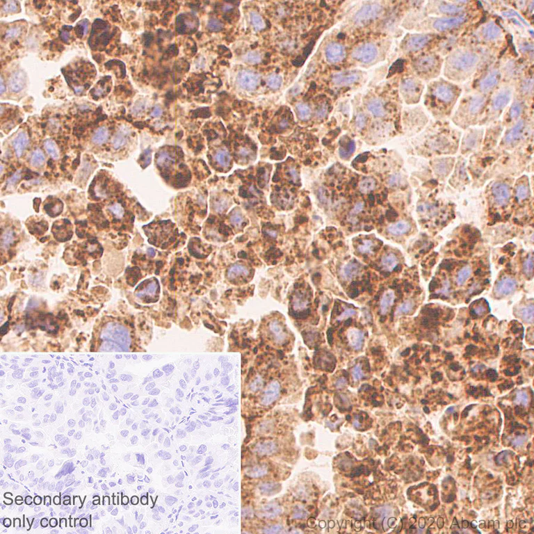
Immunohistochemistry (Formalin/PFA-fixed paraffin-embedded sections) - Anti-LAMP1 antibody [EPR24395-31] - Lysosome Marker (AB278043)

Immunohistochemical analysis of paraffin-embedded Human lung cancer tissue labelling LAMP1 with ab278043 at 1/5000 (0.109 ug/ml) dilution followed by a ready to use LeicaDS9800 (Bond® Polymer Refine Detection) was used. Cytoplasmic staining in human lung cancer. The section was incubated with ab278043 for 30 mins at room temperature. The immunostaining was performed on a Leica Biosystems BOND® RX instrument with Hematoxylin. Secondary antibody only control : Secondary antibody is a ready to use LeicaDS9800 (Bond® Polymer Refine Detection) was used.

Heat mediated antigen retrieval with Tris-EDTA buffer (pH 9.0, epitope retrieval solution2) for 20 mins

Immunohistochemistry (Formalin/PFA-fixed paraffin-embedded sections) - Anti-LAMP1 antibody [EPR24395-31] - Lysosome Marker (AB278043)
  • IHC-P

Lab

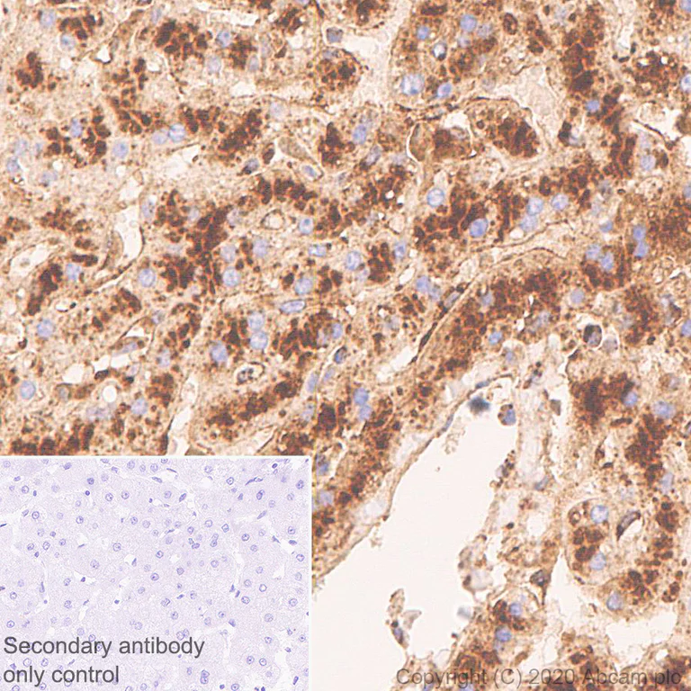
Immunohistochemistry (Formalin/PFA-fixed paraffin-embedded sections) - Anti-LAMP1 antibody [EPR24395-31] - Lysosome Marker (AB278043)

Immunohistochemical analysis of paraffin-embedded Human liver tissue labeling LAMP1 with ab278043 at 1/5000 (0.109 ug/ml) dilution followed by a ready to use LeicaDS9800 (Bond® Polymer Refine Detection) was used. Cytoplasmic staining in human liver. The section was incubated with ab278043 for 30 mins at room temperature. The immunostaining was performed on a Leica Biosystems BOND® RX instrument with Hematoxylin. Secondary antibody only control : Secondary antibody is a ready to use LeicaDS9800 (Bond® Polymer Refine Detection) was used.

Heat mediated antigen retrieval with Tris-EDTA buffer (pH 9.0, epitope retrieval solution2) for 20 mins

Immunohistochemistry (Formalin/PFA-fixed paraffin-embedded sections) - Anti-LAMP1 antibody [EPR24395-31] - Lysosome Marker (AB278043)
  • IHC-P

Lab

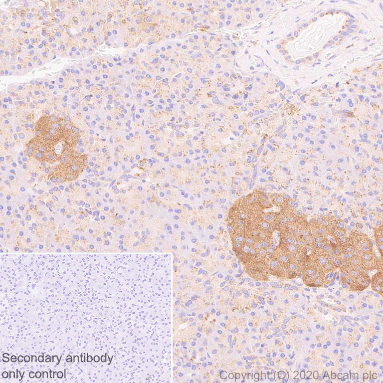
Immunohistochemistry (Formalin/PFA-fixed paraffin-embedded sections) - Anti-LAMP1 antibody [EPR24395-31] - Lysosome Marker (AB278043)

Immunohistochemical analysis of paraffin-embedded Human pancreas tissue labelling LAMP1 with ab278043 at 1/5000 (0.109 ug/ml) dilution followed by a ready to use LeicaDS9800 (Bond® Polymer Refine Detection) was used. Cytoplasmic staining in human pancreas. The section was incubated with ab278043 for 30 mins at room temperature. The immunostaining was performed on a Leica Biosystems BOND® RX instrument with Hematoxylin. Secondary antibody only control : Secondary antibody is a ready to use LeicaDS9800 (Bond® Polymer Refine Detection) was used.

Heat mediated antigen retrieval with Tris-EDTA buffer (pH 9.0, epitope retrieval solution2) for 20 mins

Immunohistochemistry (Formalin/PFA-fixed paraffin-embedded sections) - Anti-LAMP1 antibody [EPR24395-31] - Lysosome Marker (AB278043)
  • IHC-P

Lab

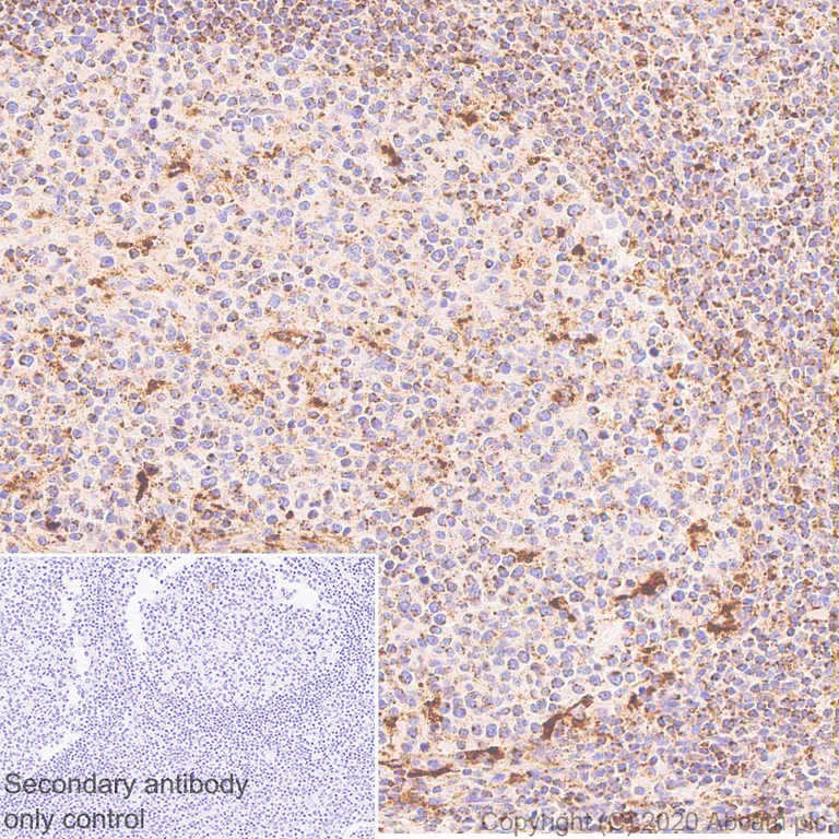
Immunohistochemistry (Formalin/PFA-fixed paraffin-embedded sections) - Anti-LAMP1 antibody [EPR24395-31] - Lysosome Marker (AB278043)

Immunohistochemical analysis of paraffin-embedded Human tonsil labelling LAMP1 with ab278043 at 1/5000 (0.109 ug/ml) dilution followed by a ready to use LeicaDS9800 (Bond® Polymer Refine Detection) was used. Cytoplasmic staining in human tonsil. The section was incubated with ab278043 for 30 mins at room temperature. The immunostaining was performed on a Leica Biosystems BOND® RX instrument with Hematoxylin. Secondary antibody only control : Secondary antibody is a ready to use LeicaDS9800 (Bond® Polymer Refine Detection) was used.

Heat mediated antigen retrieval with Tris-EDTA buffer (pH 9.0, epitope retrieval solution2) for 20 mins.

Western blot - Anti-LAMP1 antibody [EPR24395-31] - Lysosome Marker (AB278043)
  • WB

Lab

Western blot - Anti-LAMP1 antibody [EPR24395-31] - Lysosome Marker (AB278043)

Blocking buffer and Diluting buffer : Intercept® (TBS) Blocking Buffer diluted with an equal volume of 0.1% TBS.

Lanes 1-4 : Merged signal (red and green). Green - ab278043 observed at 110 kDa. Red - loading control ab8245 observed at 36 kDa.

ab278043 Anti-LAMP1 antibody [EPR24395-31A] was shown to specifically react with LAMP1 in wild-type HAP1 cells. Loss of signal was observed when knockout cell line was used. Wild-type and LAMP1 knockout samples were subjected to SDS-PAGE. ab278043 and Anti-GAPDH antibody [6C5] - Loading Control (ab8245) were incubated at room temperature for 2. 5 hours at 1 in 1000 dilution and 1 in 20000 dilution respectively. Blots were developed with Goat anti-Rabbit IgG H&L (IRDye® 800CW) preadsorbed (ab216773) and Goat anti-Mouse IgG H&L (IRDye® 680RD) preadsorbed (ab216776) secondary antibodies at 1 in 10000 dilution for 1 hour at room temperature before imaging.

All lanes:

Western blot - Anti-LAMP1 antibody [EPR24395-31] - Lysosome Marker (ab278043) at 1/1000 dilution

Lane 1:

Wild-type HAP1 (human chronic myelogenous leukemia near-haploid cell) whole cell lysate at 20 µg

Lane 2:

LAMP1 knockout HAP1 whole cell lysate at 20 µg

Lane 3:

MCF7 (human breast adenocarcinoma epithelial cell) whole cell lysate at 20 µg

Lane 4:

Human kidney tissue lysate at 20 µg

Secondary

All lanes:

Western blot - Goat anti-Mouse IgG H&L (IRDye® 680RD) preadsorbed (<a href='/en-us/products/secondary-antibodies/goat-mouse-igg-h-l-irdye-680rd-preadsorbed-ab216776'>ab216776</a>) at 1/10000 dilution

Predicted band size: 45 kDa

Observed band size: 110 kDa

false

Western blot - Anti-LAMP1 antibody [EPR24395-31] - Lysosome Marker (AB278043)
  • WB

Lab

Western blot - Anti-LAMP1 antibody [EPR24395-31] - Lysosome Marker (AB278043)

Blocking and Diluting buffer : 5% NFDM/TBST

LAMP1 is a glycoprotein. The molecular weight observed is consistent with what has been described in the literature (PMID : 27061067, 15111122).

Exposure time : 3 minutes

All lanes:

Western blot - Anti-LAMP1 antibody [EPR24395-31] - Lysosome Marker (ab278043) at 1/1000 dilution

Lane 1:

HeLa (human cervix adenocarcinoma epithelial cell) whole cell lysate at 20 µg

Lane 2:

HepG2 (human hepatocellular carcinoma epithelial cell) whole cell lysate at 20 µg

Lane 3:

MCF7 (human breast adenocarcinoma epithelial cell) whole cell lysate at 20 µg

Secondary

All lanes:

Western blot - Goat Anti-Rabbit IgG H&L (HRP) (<a href='/en-us/products/secondary-antibodies/goat-rabbit-igg-h-l-hrp-ab97051'>ab97051</a>) at 1/50000 dilution

Predicted band size: 45 kDa

Observed band size: 110 kDa

false

Western blot - Anti-LAMP1 antibody [EPR24395-31] - Lysosome Marker (AB278043)
  • WB

Lab

Western blot - Anti-LAMP1 antibody [EPR24395-31] - Lysosome Marker (AB278043)

Blocking and Diluting buffer : 5% NFDM/TBST

LAMP1 is a glycoprotein. The molecular weight observed is consistent with what has been described in the literature (PMID : 27061067, 15111122).

Exposure time : 3 minutes

All lanes:

Western blot - Anti-LAMP1 antibody [EPR24395-31] - Lysosome Marker (ab278043) at 1/1000 dilution

Lane 1:

Human kidney tissue lysate at 20 µg

Lane 2:

Human spleen tissue lysate at 20 µg

Lane 3:

Human colon cancer tissue lysate at 20 µg

Secondary

All lanes:

Western blot - VeriBlot for IP Detection Reagent (HRP) (<a href='/en-us/products/reagents/veriblot-for-ip-detection-reagent-hrp-ab131366'>ab131366</a>) at 1/1000 dilution

Predicted band size: 45 kDa

Observed band size: 110 kDa

false

Western blot - Anti-LAMP1 antibody [EPR24395-31] - Lysosome Marker (AB278043)
  • WB

Lab

Western blot - Anti-LAMP1 antibody [EPR24395-31] - Lysosome Marker (AB278043)

Western blot : Anti-LAMP1 antibody [EPR24395-31] staining at 1/1000 dilution, shown in green; Mouse anti-GAPDH antibody [6C5] (ab8245) loading control staining at 1/20000 dilution, shown in red. In Western blot, ab278043 was shown to bind specifically to LAMP1. A band was observed at 100-120 kDa in wild-type HCT 116 cell lysates with no signal observed at this size in LAMP1 knockout cell line. To generate this image, wild-type and LAMP1 knockout HCT 116 cell lysates were analysed. First, samples were run on an SDS-PAGE gel then transferred onto a nitrocellulose membrane. Membranes were blocked in 3% milk in TBS-0.1% Tween® 20 (TBS-T) before incubation with primary antibodies overnight at 4°C. Blots were washed four times in TBS-T, incubated with secondary antibodies for 1 h at room temperature, washed again four times then imaged. Secondary antibodies used were Goat anti-Rabbit IgG H&L 800CW and Goat anti-Mouse IgG H&L 680RD at 1/20000 dilution.

All lanes:

Western blot - Anti-LAMP1 antibody [EPR24395-31] - Lysosome Marker (ab278043) at 1/1000 dilution

Lane 1:

Wild-type HCT 116 cell lysate at 20 µg

Lane 2:

LAMP1 knockout HCT 116 cell lysate at 20 µg

Lane 3:

HeLa cell lysate at 20 µg

Lane 4:

MCF7 cell lysate at 20 µg

Observed band size: 100-120 kDa

false

  • 519 Alexa Fluor® 488

    Alexa Fluor® 488 Anti-LAMP1 antibody [EPR24395-31] - Lysosome Marker

  • 660 APC

    APC Anti-LAMP1 antibody [EPR24395-31] - Lysosome Marker

  • 578 PE

    PE Anti-LAMP1 antibody [EPR24395-31] - Lysosome Marker

  • Carrier free

    Anti-LAMP1 antibody [EPR24395-31] - BSA and Azide free

  • 665 Alexa Fluor® 647

    Alexa Fluor® 647 Anti-LAMP1 antibody [EPR24395-31] - Lysosome Marker

Key facts

Host species

Rabbit

Clonality

Monoclonal

Clone number

EPR24395-31

Isotype

IgG

Carrier free

No

Reacts with

Human

Applications

ICC/IF, WB, IHC-P, Flow Cyt (Intra)

applications

Immunogen

The exact immunogen used to generate this antibody is proprietary information.

Reactivity data

{ "title": "Reactivity Data", "filters": { "stats": ["", "Species", "Dilution Info", "Notes"], "tabs": { "all-applications": {"fullname" : "All Applications", "shortname": "All Applications"}, "ICCIF" : {"fullname" : "Immunocytochemistry/ Immunofluorescence", "shortname":"ICC/IF"}, "IP" : {"fullname" : "Immunoprecipitation", "shortname":"IP"}, "WB" : {"fullname" : "Western blot", "shortname":"WB"}, "FlowCytIntra" : {"fullname" : "Flow Cytometry (Intracellular)", "shortname":"Flow Cyt (Intra)"}, "IHCP" : {"fullname" : "Immunohistochemistry (Formalin/PFA-fixed paraffin-embedded sections)", "shortname":"IHC-P"} }, "product-promise": { "all": "all", "testedAndGuaranteed": "tested", "guaranteed": "expected", "predicted": "predicted", "notRecommended": "not-recommended" } }, "values": { "Human": { "ICCIF-species-checked": "testedAndGuaranteed", "ICCIF-species-dilution-info": "1/50", "ICCIF-species-notes": "<p></p>", "IP-species-checked": "notRecommended", "IP-species-dilution-info": "", "IP-species-notes": "<p></p>", "WB-species-checked": "testedAndGuaranteed", "WB-species-dilution-info": "1/1000", "WB-species-notes": "<p></p>", "FlowCytIntra-species-checked": "testedAndGuaranteed", "FlowCytIntra-species-dilution-info": "1/500", "FlowCytIntra-species-notes": "<p></p>", "IHCP-species-checked": "testedAndGuaranteed", "IHCP-species-dilution-info": "1/5000", "IHCP-species-notes": "<p></p> Perform heat-mediated antigen retrieval with Tris/EDTA buffer pH 9.0 before commencing with IHC staining protocol." }, "Mouse": { "ICCIF-species-checked": "notRecommended", "ICCIF-species-dilution-info": "", "ICCIF-species-notes": "", "IP-species-checked": "notRecommended", "IP-species-dilution-info": "", "IP-species-notes": "", "WB-species-checked": "notRecommended", "WB-species-dilution-info": "1/1000", "WB-species-notes": "<p></p>", "FlowCytIntra-species-checked": "notRecommended", "FlowCytIntra-species-dilution-info": "", "FlowCytIntra-species-notes": "", "IHCP-species-checked": "notRecommended", "IHCP-species-dilution-info": "1/5000", "IHCP-species-notes": "<p></p> Perform heat-mediated antigen retrieval with Tris/EDTA buffer pH 9.0 before commencing with IHC staining protocol." }, "Rat": { "ICCIF-species-checked": "notRecommended", "ICCIF-species-dilution-info": "", "ICCIF-species-notes": "", "IP-species-checked": "notRecommended", "IP-species-dilution-info": "", "IP-species-notes": "", "WB-species-checked": "notRecommended", "WB-species-dilution-info": "1/1000", "WB-species-notes": "<p></p>", "FlowCytIntra-species-checked": "notRecommended", "FlowCytIntra-species-dilution-info": "", "FlowCytIntra-species-notes": "", "IHCP-species-checked": "notRecommended", "IHCP-species-dilution-info": "1/5000", "IHCP-species-notes": "<p></p> Perform heat-mediated antigen retrieval with Tris/EDTA buffer pH 9.0 before commencing with IHC staining protocol." } } }

Product details

What is this antibody validated in?
Anti-LAMP1 antibody [EPR24395-31] (ab278043) is a rabbit recombinant monoclonal antibody and is validated for use in Western Blot (WB), Flow Cytometry (Intra), Flow Cytometry (Flow Cyt), Immunohistochemistry (IHC-P), Immunocytochemistry/immunofluorescence (ICC/IF) in Human samples.

What is the molecular weight of LAMP1?
Anti-LAMP1 [EPR24395-31] (ab278043) specifically detects a band for LAMP1 (UniProt: P11279) at a molecular weight of 45kDa.

Trial sizes available!
Test your antibody or perform pre-screening before committing to a larger quantity. Sold in 10µl. Discover our selection of trial-size antibodies.

Specificity confirmed
The specificity of Anti-LAMP1 antibody [EPR24395-31] (ab278043) has been confirmed by Flow Cytometry (Intracellular) testing in LAMP1 Knockout HAP1 cells.

Patented technology
Our RabMAb® technology is a patented hybridoma-based technology for making rabbit monoclonal antibodies. For details on our patents, please refer to RabMAb® patents.

What are the advantages of a recombinant monoclonal antibody?
This product is a recombinant monoclonal antibody, which offers several advantages including:

  • - High batch-to-batch consistency and reproducibility
  • - Improved sensitivity and specificity
  • - Long-term security of supply
  • - Animal-free batch production

For more information, read more on recombinant antibodies.

Shipping conditions update: ambient shipping

This product will be delivered at ambient temperature instead of chilled – this is by design. Extensive stability testing confirmed that our products are suitable for shipment under ambient conditions and maintain expected quality.

Why the change?

It’s part of our commitment to more sustainable packaging solutions, with ambient deliveries using eco-friendly materials such as recyclable cardboard instead of polystyrene.

What you need to know

  • Ambient shipments come clearly marked on the delivery note.
  • No ice will be included in ambient shipments, but mixed orders (ambient and cold-chain items) will still arrive with ice packs to protect temperature-sensitive products.
  • Warranty coverage remains fully valid, aligned with our validated shipping method.
  • Please store the product as per the datasheet instructions upon receipt.

Find out more - https://www.abcam.com/en-us/support/shipping-storage-support/ambient-shipping

Properties and storage information

Form
Liquid
Purification technique
Affinity purification Protein A
Storage buffer
Preservative: 0.01% Sodium azide Constituents: PBS, 40% Glycerol (glycerin, glycerine), 0.05% BSA
Shipped at conditions
Conditional Ambient
Appropriate short-term storage duration
1-2 weeks
Appropriate short-term storage conditions
+4°C
Appropriate long-term storage conditions
-20°C
Aliquoting information
Upon delivery aliquot
Storage information
Avoid freeze / thaw cycle

Supplementary information

This supplementary information is collated from multiple sources and compiled automatically.

LAMP1 also known as lysosome-associated membrane glycoprotein 1 is an important player within cellular mechanics. It exhibits a molecular weight of approximately 120 kDa. This protein exists abundantly in lysosomal membranes and sometimes in endosomes. LAMP1 operates near most cell types and has a significant presence in immune neuronal and epithelial cells. By maintaining the lysosomal membrane's integrity LAMP1 contributes to cellular homeostasis.
Biological function summary

LAMP1 functions to protect lysosomal membranes from the harsh environment inside the lysosome. It forms part of a protective glycocalyx composed of highly glycosylated proteins supporting lysosomal stability. This protein interacts closely with other lysosome markers and assists in the fusion of vesicles with lysosomes making it fundamental to lysosomal processes. As a lysosome marker LAMP1 helps identify lysosomal compartments during studies involving microscopy and LAMP1 staining.

Pathways

The protein LAMP1 participates in the autophagy and endocytic pathways. It acts collaboratively within the lysosomal degradation route involving proteins like LAMP2 which also supports lysosomal function. LAMP1 influences these pathways by mediating the fusion of autophagosomes or endosomes with lysosomes thereby ensuring efficient breakdown of cellular debris and macromolecules.

LAMP1 associates with lysosomal storage disorders and neurodegenerative diseases. The abnormal function or expression of LAMP1 has been linked to conditions such as Niemann-Pick disease and Alzheimer's disease. In these contexts its interaction with proteins like APP (amyloid precursor protein) illustrates its involvement in pathogenic pathways that lead to cellular dysfunction and disease progression. Understanding LAMP1's role may enhance diagnostic and therapeutic approaches pertaining to these disorders.

Product protocols

For this product, it's our understanding that no specific protocols are required. You can visit:

Target data

Lysosomal membrane glycoprotein which plays an important role in lysosome biogenesis, lysosomal pH regulation, autophagy and cholesterol homeostasis (PubMed : 37390818). Acts as an important regulator of lysosomal lumen pH regulation by acting as a direct inhibitor of the proton channel TMEM175, facilitating lysosomal acidification for optimal hydrolase activity (PubMed : 37390818). Also plays an important role in NK-cells cytotoxicity (PubMed : 2022921, PubMed : 23632890). Mechanistically, participates in cytotoxic granule movement to the cell surface and perforin trafficking to the lytic granule (PubMed : 23632890). In addition, protects NK-cells from degranulation-associated damage induced by their own cytotoxic granule content (PubMed : 23847195). Presents carbohydrate ligands to selectins (PubMed : 7685349).. (Microbial infection) Acts as a receptor for Lassa virus glycoprotein (PubMed : 24970085, PubMed : 25972533, PubMed : 27605678, PubMed : 28448640). Promotes also fusion of the virus with host membrane in less acidic endosomes (PubMed : 29295909).. (Microbial infection) Supports the FURIN-mediated cleavage of mumps virus fusion protein F by interacting with both FURIN and the unprocessed form but not the processed form of the viral protein F.
See full target information LAMP1

Publications (7)

Recent publications for all applications. Explore the full list and refine your search

Acta biochimica et biophysica Sinica : PubMed40726277

2025

The expression profile of type 1 equilibrative nucleoside transporter in aged C57BL/6J mouse brain.

Applications

Unspecified application

Species

Unspecified reactive species

Xiao-Yuan Zhang,Ziteng Ma,Ya-Han Jin,Zhimin Long,Qing Tang,Guiqiong He,Yun-Fang Jia

Journal of translational medicine 23:631 PubMed40474178

2025

Polystyrene nanoplastics trigger pyroptosis in dopaminergic neurons through TSC2/TFEB-mediated disruption of autophagosome-lysosome fusion in Parkinson's disease.

Applications

Unspecified application

Species

Unspecified reactive species

Xiaomei Liang,Yaqi Zeng,Piao Zhang,Baoyu Zhu,Jiezhu Feng,Tongtong Deng,Zhongling Fu,Chengshuai Liu,Chengyu Chen,Yuhu Zhang

Cell death discovery 11:243 PubMed40393958

2025

TREM2 deficiency exacerbates cognitive impairment by aggravating α-Synuclein-induced lysosomal dysfunction in Parkinson's disease.

Applications

Unspecified application

Species

Unspecified reactive species

Baoyu Zhu,Jiezhu Feng,Xiaomei Liang,Zhongling Fu,Mengshi Liao,Tongtong Deng,Kaicheng Wang,Jianwei Xie,Jieshan Chi,Lu Yang,Yuyuan Gao,Kun Nie,Lijuan Wang,Piao Zhang,Yuhu Zhang

PLoS pathogens 21:e1013184 PubMed40367285

2025

Virus and cell specific HMGB1 secretion and subepithelial infiltrate formation in adenovirus keratitis.

Applications

Unspecified application

Species

Unspecified reactive species

Amrita Saha,Mohammad Mirazul Islam,Rahul Kumar,Ashrafali Mohamed Ismail,Emanuel Garcia,Rama R Gullapali,James Chodosh,Jaya Rajaiya

NPJ Parkinson's disease 11:61 PubMed40155632

2025

The homozygous LRRK2.p.N1437D point mutation mouse is a novel model of parkinsonism.

Applications

Unspecified application

Species

Unspecified reactive species

Lin-Hua Gan,Yi-Min Sun,Xin-Yue Zhou,Zhi-Yuan Qi,Feng-Tao Liu,Yi-Lin Tang,Wen-Bo Yu,Bao-Guo Xiao,Jian Wang,Jian-Jun Wu

The EMBO journal 44:1829-1865 PubMed39930267

2025

Proteogenomic analysis reveals adaptive strategies for alleviating the consequences of aneuploidy in cancer.

Applications

Unspecified application

Species

Unspecified reactive species

Jan-Eric Bökenkamp,Kristina Keuper,Stefan Redel,Karen Barthel,Leah Johnson,Amelie Becker,Angela Wieland,Markus Räschle,Zuzana Storchová

Cellular and molecular life sciences : CMLS 79:488 PubMed35984564

2022

Impairment of APPL1/Myoferlin facilitates adipogenic differentiation of mesenchymal stem cells by blocking autophagy flux in osteoporosis.

Applications

Unspecified application

Species

Unspecified reactive species

Yunhui Zhang,Wenjie Liu,Weiquan Yuan,Zhaopeng Cai,Guiwen Ye,Guan Zheng,Chenhao Xu,Xinglang Wang,Chenying Zeng,Rujia Mi,Pei Feng,Fenglei Chen,Yanfeng Wu,Huiyong Shen,Peng Wang
View all publications

Product promise

We are committed to supporting your work with high-quality reagents, and we're here for you every step of the way. In the unlikely event that one of our products does not perform as expected, you're protected by our Product Promise.
For full details, please see our Terms & Conditions

Please note: All products are 'FOR RESEARCH USE ONLY. NOT FOR USE IN DIAGNOSTIC OR THERAPEUTIC PROCEDURES'.

For licensing inquiries, please contact partnerships@abcam.com