JavaScript is disabled in your browser. Please enable JavaScript to view this website.
AB108597

Anti-LAMP1 antibody [EPR4204] - Lysosome Marker

  • BOND RX™ Validated
  • KO Validated
  • RabMAb
  • Recombinant
  • Lab Essentials
  • What is this?

4

(4 Reviews)

|

(19 Publications)

Knockout Tested Rabbit Recombinant Monoclonal LAMP1 antibody. Lysosome marker. Suitable for IHC-P, WB and reacts with Human samples. Cited in 19 publications.

View Alternative Names

CD107a, Lysosome-associated membrane glycoprotein 1, LAMP-1, Lysosome-associated membrane protein 1, CD107 antigen-like family member A, LAMP1

9 Images
Multiplex immunohistochemistry - Anti-LAMP1 antibody [EPR4204] - Lysosome Marker (AB108597)
  • mIHC

Supplier Data

Multiplex immunohistochemistry - Anti-LAMP1 antibody [EPR4204] - Lysosome Marker (AB108597)

Multiplex immunohistochemistry analysis of formalin/PFA-fixed paraffin-embedded human liver tissue staining CTBS with ab322065 at a 1 : 2000 (0.249 ug/ml) dilution, ab108597 anti-LAMP1 used at 1 : 400 (0.37 ug/ml) dilution.

Panel A : merged staining of anti-CTBS (green; Opal™520) and anti-LAMP1 (magenta; Opal™570) on human liver.
Panel B : anti-CTBS showed granular staining in human liver.
Panel C : anti-LAMP1 showed granular staining in human liver.
Panel D : Nuclear DNA was labeled with DAPI (shown in blue).

The section was incubated in three rounds of staining : in the order of ab322065 and ab108597 for 30 mins at room temperature. Each round was followed by a separate fluorescent tyramide signal amplification system.

The immunostaining was performed on a Leica Biosystems BOND® RX instrument with an Opal™ 4-color kit. Image acquisition was performed with Leica SP8 confocal microscope.

Nuclear counter stain with DAPI.

Heat mediated antigen retrieval with Tris-EDTA buffer (pH 9.0, epitope retrieval solution2) for 20 mins.

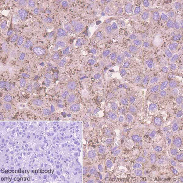
Immunohistochemistry (Formalin/PFA-fixed paraffin-embedded sections) - Anti-LAMP1 antibody [EPR4204] - Lysosome Marker (AB108597)
  • IHC-P

Unknown

Immunohistochemistry (Formalin/PFA-fixed paraffin-embedded sections) - Anti-LAMP1 antibody [EPR4204] - Lysosome Marker (AB108597)

Immunohistochemistry (Formalin/PFA-fixed paraffin-embedded sections) analysis of human liver carcinoma tissue sections labeling LAMP1 with purified ab108597 at 1/400 dilution (0.36 μg/ml). Heat mediated antigen retrieval using Bond™ Epitope Retrieval Solution 2 (pH 9.0). Rabbit specific IHC polymer detection kit HRP/DAB (ab209101) was used as the secondary antibody.

Negative control : PBS instead of the primary antibody. Hematoxylin was used as a counterstain.

Immunohistochemistry (Formalin/PFA-fixed paraffin-embedded sections) - Anti-LAMP1 antibody [EPR4204] - Lysosome Marker (AB108597)
  • IHC-P

Unknown

Immunohistochemistry (Formalin/PFA-fixed paraffin-embedded sections) - Anti-LAMP1 antibody [EPR4204] - Lysosome Marker (AB108597)

Immunohistochemical analysis of LAMP1 in paraffin embedded Human kidney tissue, using unpurified ab108597 at a dilution of 1/100.

Perform heat mediated antigen retrieval with citrate buffer pH 6 before commencing with IHC staining protocol.

Multiplex immunohistochemistry - Anti-LAMP1 antibody [EPR4204] - Lysosome Marker (AB108597)
  • mIHC

Supplier Data

Multiplex immunohistochemistry - Anti-LAMP1 antibody [EPR4204] - Lysosome Marker (AB108597)

Multiplex immunohistochemistry analysis of formalin/PFA-fixed paraffin-embedded human colon tissue staining CTBS with ab322065 at a 1 : 2000 (0.249 ug/ml) dilution, ab108597 anti-LAMP1 used at 1 : 400 (0.37 ug/ml) dilution.

Panel A : merged staining of anti-CTBS (green; Opal™520) and anti-LAMP1 (magenta; Opal™570) on human colon.
Panel B : anti-CTBS showed granular staining in human colon.
Panel C : anti-LAMP1 showed granular staining in human colon.
Panel D : Nuclear DNA was labeled with DAPI (shown in blue).

The section was incubated in three rounds of staining : in the order of ab322065 and ab108597 for 30 mins at room temperature. Each round was followed by a separate fluorescent tyramide signal amplification system.

The immunostaining was performed on a Leica Biosystems BOND® RX instrument with an Opal™ 4-color kit. Image acquisition was performed with Leica SP8 confocal microscope.

Nuclear counter stain with DAPI.

Heat mediated antigen retrieval with Tris-EDTA buffer (pH 9.0, epitope retrieval solution2) for 20 mins.

Western blot - Anti-LAMP1 antibody [EPR4204] - Lysosome Marker (AB108597)
  • WB

Unknown

Western blot - Anti-LAMP1 antibody [EPR4204] - Lysosome Marker (AB108597)

All lanes:

Western blot - Anti-LAMP1 antibody [EPR4204] - Lysosome Marker (ab108597) at 1/1000 dilution

Lane 1:

HeLa cell lysate at 10 µg

Lane 2:

JAR cell lysate at 10 µg

Lane 3:

Jurkat cell lysate at 10 µg

Lane 4:

A431 cell lysate at 10 µg

Predicted band size: 45 kDa

false

Western blot - Anti-LAMP1 antibody [EPR4204] - Lysosome Marker (AB108597)
  • WB

Lab

Western blot - Anti-LAMP1 antibody [EPR4204] - Lysosome Marker (AB108597)

LAMP1 is a glycoprotein. The molecular weight observed is consistent with what has been described in the literature (PMID : 27061067, 15111122).

All lanes:

Western blot - Anti-LAMP1 antibody [EPR4204] - Lysosome Marker (ab108597) at 1/5000 dilution

Lane 1:

HeLa (human cervix adenocarcinoma epithelial cell) whole cell lysate 20µg

Lane 2:

Jurkat (Human T cell leukemia T lymphocyte) whole cell lysate 20µg

Lane 3:

HepG2 (human hepatocellular carcinoma epithelial cell) whole cell lysate 20µg

Lane 4:

MCF7 (human breast adenocarcinoma epithelial cell) whole cell lysate 20µg

Secondary

All lanes:

Western blot - Goat Anti-Rabbit IgG H&L (HRP) (<a href='/en-us/products/secondary-antibodies/goat-rabbit-igg-h-l-hrp-ab97051'>ab97051</a>) at 1/20000 dilution

Predicted band size: 45 kDa

Observed band size: 110 kDa

false

Exposure time: 5s

Western blot - Anti-LAMP1 antibody [EPR4204] - Lysosome Marker (AB108597)
  • WB

Supplier Data

Western blot - Anti-LAMP1 antibody [EPR4204] - Lysosome Marker (AB108597)

Lanes 1 - 4 : Merged signal (red and green). Green - unpurified ab108597 observed at 110 kDa. Red - loading control, ab18058, observed at 130 kDa.

ab108597 was shown to recognize LAMP1 in wild-type HAP1 cells as signal was lost at the expected MW in LAMP1 knockout cells. Additional cross-reactive bands were observed in the wild-type and knockout cells. Wild-type and LAMP1 knockout samples were subjected to SDS-PAGE. ab108597 and ab18058 (Mouse anti-Vinculin loading control) were incubated overnight at 4°C at 1/1000 dilution and 1/20000 dilution respectively. Blots were developed with Goat anti-Rabbit IgG H&L (IRDye® 800CW) preabsorbed ab216773 and Goat anti-Mouse IgG H&L (IRDye® 680RD) preabsorbed ab216776 secondary antibodies at 1/10000 dilution for 1 hour at room temperature before imaging.

All lanes:

Western blot - Anti-LAMP1 antibody [EPR4204] - Lysosome Marker (ab108597) at 1/1000 dilution

Lane 1:

Wild-type HAP1 whole cell lysate at 20 µg

Lane 2:

LAMP1 knockout HAP1 whole cell lysate at 20 µg

Lane 3:

MCF7 whole cell lysate at 20 µg

Lane 4:

Human Kidney whole cell lysate at 20 µg

Predicted band size: 45 kDa

Observed band size: 110 kDa

false

Western blot - Anti-LAMP1 antibody [EPR4204] - Lysosome Marker (AB108597)
  • WB

Lab

Western blot - Anti-LAMP1 antibody [EPR4204] - Lysosome Marker (AB108597)

Western blot : Anti-LAMP1 antibody [EPR4204] - Lysosome Marker staining at 1/1000 dilution, shown in green; Mouse anti-GAPDH antibody [6C5] (ab8245) loading control staining at 1/20000 dilution, shown in red. In Western blot, ab108597 was shown to bind specifically to LAMP1. A band was observed at 100-120 kDa in wild-type HCT 116 cell lysates with no signal observed at this size in LAMP1 knockout cell line. To generate this image, wild-type and LAMP1 knockout HCT 116 cell lysates were analysed. First, samples were run on an SDS-PAGE gel then transferred onto a nitrocellulose membrane. Membranes were blocked in 3% milk in TBS-0.1% Tween® 20 (TBS-T) before incubation with primary antibodies overnight at 4°C. Blots were washed four times in TBS-T, incubated with secondary antibodies for 1 h at room temperature, washed again four times then imaged. Secondary antibodies used were Goat anti-Rabbit IgG H&L 800CW and Goat anti-Mouse IgG H&L 680RD at 1/20000 dilution.

All lanes:

Western blot - Anti-LAMP1 antibody [EPR4204] - Lysosome Marker (ab108597) at 1/1000 dilution

Lane 1:

Wild-type HCT 116 cell lysate at 20 µg

Lane 2:

LAMP1 knockout HCT 116 cell lysate at 20 µg

Lane 3:

HeLa cell lysate at 20 µg

Lane 4:

MCF7 cell lysate at 20 µg

Observed band size: 100-120 kDa

false

Multiplex immunohistochemistry - Anti-LAMP1 antibody [EPR4204] - Lysosome Marker (AB108597)
  • mIHC

Lab

Multiplex immunohistochemistry - Anti-LAMP1 antibody [EPR4204] - Lysosome Marker (AB108597)

Multiplex immunohistochemistry analysis of formalin/PFA-fixed paraffin-embedded human cerebrum tissue staining TMEM106B with ab325607 at a 1 : 500 (1.04 µg/ml) dilution, ab108597 anti-LAMP1 used at 1 : 400 (0.37 µg/ml) dilution and ab300140 anti-P2Y12 used at a 1 : 40000 (0.013 µg/ml) dilution.

Panel A : merged staining of anti-TMEM106B (green; Opal™520), anti-LAMP1 (magenta; Opal™570) and anti-P2Y12 (yellow; Opal™690) on human cerebrum.
Panel B : anti-TMEM106B showed granular staining in human cerebrum.
Panel C : anti-LAMP1 staining lysosome in human cerebrum.
Panel D : anti-P2Y12 staining microglia in human cerebrum.
Nuclear DNA was labeled with DAPI (shown in blue).

The section was incubated in three rounds of staining : in the order of ab325607, ab108597 and ab300140 for 30 mins at room temperature. Each round was followed by a separate fluorescent tyramide signal amplification system.

The immunostaining was performed on a Leica Biosystems BOND® RX instrument with an Opal™ 4-color kit. Image acquisition was performed with Leica SP8 confocal microscope.

Nuclear counter stain with DAPI.

Heat mediated antigen retrieval with Tris-EDTA buffer (pH 9.0, epitope retrieval solution2) for 20 mins.

  • Carrier free

    Anti-LAMP1 antibody [EPR4204] - BSA and Azide free

  • 519 Alexa Fluor® 488

    Alexa Fluor® 488 Anti-LAMP1 antibody [EPR4204] - Lysosome Marker

  • 660 APC

    APC Anti-LAMP1 antibody [EPR4204] - Lysosome Marker

  • 665 Alexa Fluor® 647

    Alexa Fluor® 647 Anti-LAMP1 antibody [EPR4204] - Lysosome Marker

  • 617 Alexa Fluor® 594

    Alexa Fluor® 594 Anti-LAMP1 antibody [EPR4204] - Lysosome Marker

  • 565 Alexa Fluor® 555

    Alexa Fluor® 555 Anti-LAMP1 antibody [EPR4204] - Lysosome Marker

  • 578 PE

    PE Anti-LAMP1 antibody [EPR4204] - Lysosome Marker

  • 775 Alexa Fluor® 750

    Alexa Fluor® 750 Anti-LAMP1 antibody [EPR4204] - Lysosome Marker

Key facts

Host species

Rabbit

Clonality

Monoclonal

Clone number

EPR4204

Isotype

IgG

Carrier free

No

Reacts with

Human

Applications

IHC-P, WB

applications

Immunogen

The exact immunogen used to generate this antibody is proprietary information.

Reactivity data

{ "title": "Reactivity Data", "filters": { "stats": ["", "Species", "Dilution Info", "Notes"], "tabs": { "all-applications": {"fullname" : "All Applications", "shortname": "All Applications"}, "IHCP" : {"fullname" : "Immunohistochemistry (Formalin/PFA-fixed paraffin-embedded sections)", "shortname":"IHC-P"}, "ICCIF" : {"fullname" : "Immunocytochemistry/ Immunofluorescence", "shortname":"ICC/IF"}, "IP" : {"fullname" : "Immunoprecipitation", "shortname":"IP"}, "FlowCyt" : {"fullname" : "Flow Cytometry", "shortname":"Flow Cyt"}, "WB" : {"fullname" : "Western blot", "shortname":"WB"} }, "product-promise": { "all": "all", "testedAndGuaranteed": "tested", "guaranteed": "expected", "predicted": "predicted", "notRecommended": "not-recommended" } }, "values": { "Human": { "IHCP-species-checked": "testedAndGuaranteed", "IHCP-species-dilution-info": "1/100 - 1/400", "IHCP-species-notes": "<p></p> Perform heat-mediated antigen retrieval with citrate buffer pH 6 before commencing with IHC staining protocol.", "ICCIF-species-checked": "notRecommended", "ICCIF-species-dilution-info": "", "ICCIF-species-notes": "<p></p>", "IP-species-checked": "notRecommended", "IP-species-dilution-info": "", "IP-species-notes": "<p></p>", "FlowCyt-species-checked": "notRecommended", "FlowCyt-species-dilution-info": "", "FlowCyt-species-notes": "<p></p>", "WB-species-checked": "testedAndGuaranteed", "WB-species-dilution-info": "1/1000 - 1/10000", "WB-species-notes": "<p></p>" } } }

Product details

Species reactivity
Mouse, Rat: We have preliminary internal testing data to indicate this antibody may not react with these species.
Please contact us for more information.

Patented technology
Our RabMAb® technology is a patented hybridoma-based technology for making rabbit monoclonal antibodies. For details on our patents, please refer to RabMAb® patents.

What are the advantages of a recombinant monoclonal antibody?
This product is a recombinant monoclonal antibody, which offers several advantages including:

  • - High batch-to-batch consistency and reproducibility
  • - Improved sensitivity and specificity
  • - Long-term security of supply
  • - Animal-free batch production

For more information, read more on recombinant antibodies.

Properties and storage information

Form
Liquid
Purification technique
Affinity purification Protein A
Storage buffer
pH: 7.2 - 7.4 Preservative: 0.01% Sodium azide Constituents: PBS, 40% Glycerol (glycerin, glycerine), 0.05% BSA
Shipped at conditions
Blue Ice
Appropriate short-term storage conditions
+4°C
Appropriate long-term storage conditions
-20°C
Storage information
Stable for 12 months at -20°C

Supplementary information

This supplementary information is collated from multiple sources and compiled automatically.

LAMP1 also known as lysosome-associated membrane glycoprotein 1 is an important player within cellular mechanics. It exhibits a molecular weight of approximately 120 kDa. This protein exists abundantly in lysosomal membranes and sometimes in endosomes. LAMP1 operates near most cell types and has a significant presence in immune neuronal and epithelial cells. By maintaining the lysosomal membrane's integrity LAMP1 contributes to cellular homeostasis.
Biological function summary

LAMP1 functions to protect lysosomal membranes from the harsh environment inside the lysosome. It forms part of a protective glycocalyx composed of highly glycosylated proteins supporting lysosomal stability. This protein interacts closely with other lysosome markers and assists in the fusion of vesicles with lysosomes making it fundamental to lysosomal processes. As a lysosome marker LAMP1 helps identify lysosomal compartments during studies involving microscopy and LAMP1 staining.

Pathways

The protein LAMP1 participates in the autophagy and endocytic pathways. It acts collaboratively within the lysosomal degradation route involving proteins like LAMP2 which also supports lysosomal function. LAMP1 influences these pathways by mediating the fusion of autophagosomes or endosomes with lysosomes thereby ensuring efficient breakdown of cellular debris and macromolecules.

LAMP1 associates with lysosomal storage disorders and neurodegenerative diseases. The abnormal function or expression of LAMP1 has been linked to conditions such as Niemann-Pick disease and Alzheimer's disease. In these contexts its interaction with proteins like APP (amyloid precursor protein) illustrates its involvement in pathogenic pathways that lead to cellular dysfunction and disease progression. Understanding LAMP1's role may enhance diagnostic and therapeutic approaches pertaining to these disorders.

Product protocols

For this product, it's our understanding that no specific protocols are required. You can visit:

Target data

Lysosomal membrane glycoprotein which plays an important role in lysosome biogenesis, lysosomal pH regulation, autophagy and cholesterol homeostasis (PubMed : 37390818). Acts as an important regulator of lysosomal lumen pH regulation by acting as a direct inhibitor of the proton channel TMEM175, facilitating lysosomal acidification for optimal hydrolase activity (PubMed : 37390818). Also plays an important role in NK-cells cytotoxicity (PubMed : 2022921, PubMed : 23632890). Mechanistically, participates in cytotoxic granule movement to the cell surface and perforin trafficking to the lytic granule (PubMed : 23632890). In addition, protects NK-cells from degranulation-associated damage induced by their own cytotoxic granule content (PubMed : 23847195). Presents carbohydrate ligands to selectins (PubMed : 7685349).. (Microbial infection) Acts as a receptor for Lassa virus glycoprotein (PubMed : 24970085, PubMed : 25972533, PubMed : 27605678, PubMed : 28448640). Promotes also fusion of the virus with host membrane in less acidic endosomes (PubMed : 29295909).. (Microbial infection) Supports the FURIN-mediated cleavage of mumps virus fusion protein F by interacting with both FURIN and the unprocessed form but not the processed form of the viral protein F.
See full target information LAMP1

Publications (19)

Recent publications for all applications. Explore the full list and refine your search

iScience 28:111804 PubMed39995863

2025

Hepatic Lamp2a deficiency promotes inflammation of murine autoimmune cholangitis via affecting bile acid metabolism.

Applications

Unspecified application

Species

Unspecified reactive species

Qingling Fan,Guanya Guo,Yinan Hu,Yi Lu,Rui Su,Jiaqi Yang,Erzhuo Xia,Shuoyi Ma,Miao Zhang,Jingbo Wang,Ting Li,Ying Han

Nature cell biology 27:438-448 PubMed39984653

2025

Blebbisomes are large, organelle-rich extracellular vesicles with cell-like properties.

Applications

Unspecified application

Species

Unspecified reactive species

Dennis K Jeppesen,Zachary C Sanchez,Noah M Kelley,James B Hayes,Jessica Ambroise,Emma N Koory,Evan Krystofiak,Nilay Taneja,Qin Zhang,Matthew M Dungan,Olivia L Perkins,Matthew J Tyska,Ela W Knapik,Kevin M Dean,Amanda C Doran,Robert J Coffey,Dylan T Burnette

Journal of cellular and molecular medicine 28:e18402 PubMed39008328

2024

Exacerbation of atherosclerosis by STX17 knockdown: Unravelling the role of autophagy and inflammation.

Applications

Unspecified application

Species

Unspecified reactive species

Xinyue Cui,Bo Wang,Dongjian Han,Mengdie Cheng,Peiyu Yuan,Pengchong Du,Yachen Hou,Chang Su,Junnan Tang,Jinying Zhang

Laboratory investigation; a journal of technical methods and pathology 101:837-850 PubMed36775555

2023

Extracellular vesicles derived from M2 microglia reduce ischemic brain injury through microRNA-135a-5p/TXNIP/NLRP3 axis.

Applications

Unspecified application

Species

Unspecified reactive species

Yue Liu,You-Ping Li,Li-Min Xiao,Li-Ke Chen,Su-Yue Zheng,Er-Ming Zeng,Chun-Hua Xu

Frontiers in cellular neuroscience 16:1021592 PubMed36439204

2022

Huntingtin exon 1 deletion does not alter the subcellular distribution of huntingtin and gene transcription in mice.

Applications

Unspecified application

Species

Unspecified reactive species

Xianxian Zhao,Yize Sun,Zhifu Wang,Laiqiang Chen,Shihua Li,Xiao-Jiang Li

Journal of advanced research 41:205-218 PubMed36328749

2022

Metformin suppresses vascular smooth muscle cell senescence by promoting autophagic flux.

Applications

Unspecified application

Species

Unspecified reactive species

Shi Tai,Jiaxing Sun,Yuying Zhou,Zhaowei Zhu,Yuhu He,Mingxian Chen,Hui Yang,Yichao Xiao,Tao Tu,Liang Tang,Xuping Li,Jianping Zeng,Xilong Zheng,Shenghua Zhou

Acta neurobiologiae experimentalis 82:207-212 PubMed35833820

2022

LACC1 contributes to inflammation and cognitive disorder after stroke via the AMPK/NLRP3 pathway.

Applications

Unspecified application

Species

Unspecified reactive species

Junping Jiao,Shujuan Tian,Junqiang Bao,Zhiwei Wang,Xiongwei Xie,Guofeng Yang

Oxidative medicine and cellular longevity 2022:8603427 PubMed35222806

2022

miR-155-5p in Extracellular Vesicles Derived from Choroid Plexus Epithelial Cells Promotes Autophagy and Inflammation to Aggravate Ischemic Brain Injury in Mice.

Applications

Unspecified application

Species

Unspecified reactive species

Zhang Yang,Xiaofang Shi,Zidan Gao,Lan Chu

Cell death & disease 12:1069 PubMed34759275

2021

Circ-SIRT1 inhibits cardiac hypertrophy via activating SIRT1 to promote autophagy.

Applications

Unspecified application

Species

Unspecified reactive species

Weichen Wang,Longlong Wang,Mengyue Yang,Chunwei Wu,Rui Lan,Weiwei Wang,Yuze Li

Laboratory investigation; a journal of technical methods and pathology 101:837-850 PubMed33875790

2021

Extracellular vesicles derived from M2 microglia reduce ischemic brain injury through microRNA-135a-5p/TXNIP/NLRP3 axis.

Applications

Unspecified application

Species

Unspecified reactive species

Yue Liu,You-Ping Li,Li-Min Xiao,Li-Ke Chen,Su-Yue Zheng,Er-Ming Zeng,Chun-Hua Xu
View all publications

Product promise

We are committed to supporting your work with high-quality reagents, and we're here for you every step of the way. In the unlikely event that one of our products does not perform as expected, you're protected by our Product Promise.
For full details, please see our Terms & Conditions

Please note: All products are 'FOR RESEARCH USE ONLY. NOT FOR USE IN DIAGNOSTIC OR THERAPEUTIC PROCEDURES'.

For licensing inquiries, please contact partnerships@abcam.com