JavaScript is disabled in your browser. Please enable JavaScript to view this website.
AB24170

Anti-LAMP1 antibody - Lysosome Marker

4

(100 Reviews)

|

(963 Publications)

Anti-LAMP1 antibody - Lysosome Marker (ab24170) is a rabbit polyclonal antibody detecting LAMP1 in Western Blot, IHC-P. Suitable for Human.

- Over 760 publications
- Trusted since 2006

View Alternative Names

CD107a, Lysosome-associated membrane glycoprotein 1, LAMP-1, Lysosome-associated membrane protein 1, CD107 antigen-like family member A, LAMP1

6 Images
Immunohistochemistry (Formalin/PFA-fixed paraffin-embedded sections) - Anti-LAMP1 antibody - Lysosome Marker (AB24170)
  • IHC-P

Lab

Immunohistochemistry (Formalin/PFA-fixed paraffin-embedded sections) - Anti-LAMP1 antibody - Lysosome Marker (AB24170)

IHC image of LAMP1 staining in a section of formalin-fixed paraffin-embedded normal human kidney* performed on a Leica BONDTM system using the standard protocol B. The section was pre-treated using heat mediated antigen retrieval with sodium citrate buffer (pH6, epitope retrieval solution 1) for 20mins. The section was then incubated with ab24170, 1ug/ml, for 15 mins at room temperature and detected using an HRP conjugated compact polymer system. DAB was used as the chromogen. The section was then counterstained with haematoxylin and mounted with DPX. The inset secondary-only control image is taken from an identical assay without primary antibody.

For other IHC staining systems (automated and non-automated) customers should optimize variable parameters such as antigen retrieval conditions, primary antibody concentration and antibody incubation times.

*Tissue obtained from the Human Research Tissue Bank, supported by the NIHR Cambridge Biomedical Research Centre

Immunohistochemistry (Formalin/PFA-fixed paraffin-embedded sections) - Anti-LAMP1 antibody - Lysosome Marker (AB24170)
  • IHC-P

Collaborator

Immunohistochemistry (Formalin/PFA-fixed paraffin-embedded sections) - Anti-LAMP1 antibody - Lysosome Marker (AB24170)

IHC-P image of LAMP1 staining on human Cortex sections using ab24170 (1 : 400). The sections were deparaffinized and subjected to heat mediated antigen retreival using citric acid. The sections were then permeabilized using 0.05% Tween-20 and blocking was performed using 3% BSA for 1 hour at 21°C. The primary antibody ab24170 was diluted using 3% BSA with 0.05% Tween-20 in PBS and incubated with the sections for 18 hours at 4°C. The secondary antibody used was Goat polyclonal to rabbit IgG conjugated to biotin (1 : 500)

This image is courtesy of an abreview submitted by Dr. Martin Broadstock (King's College London, United Kingdom)

Immunohistochemistry (Formalin/PFA-fixed paraffin-embedded sections) - Anti-LAMP1 antibody - Lysosome Marker (AB24170)
  • IHC-P

AbReview10768****

Immunohistochemistry (Formalin/PFA-fixed paraffin-embedded sections) - Anti-LAMP1 antibody - Lysosome Marker (AB24170)

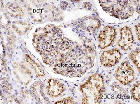
ab24170 staining LAMP1 in human kidney tissue sections. Staining correlates with lysosomal specificity, particularly in the proximal convoluted tubules where lysosomes are enriched. Formalin/PFA-fixed human kidney tissue sections were incubated with ab24170 (1/200) for 2 hours. Antigen retrieval was performed by heat induction in citrate buffer pH 6. Please see accompanying abreview for additional information.

This image is courtesy of an Abreview submitted by Mr Carl Hobbs

Western blot - Anti-LAMP1 antibody - Lysosome Marker (AB24170)
  • WB

Ap30249****

Western blot - Anti-LAMP1 antibody - Lysosome Marker (AB24170)

This blot was produced using a 4-12% Bis-tris gel under the MOPS buffer system. The gel was run at 200V for 50 minutes before being transferred onto a Nitrocellulose membrane at 30V for 70 minutes. The membrane was then blocked for an hour using 3% Milk before being incubated with ab24170 overnight at 4°C. Antibody binding was detected using an anti-rabbit antibody conjugated to HRP, and visualised using ECL development solution ab133406.

Abcam recommends using milk as the blocking agent. Abcam welcomes customer feedback and would appreciate any comments regarding this product and the data presented above.

All lanes:

Western blot - Anti-LAMP1 antibody - Lysosome Marker (ab24170) at 1 µg/mL

Lane 1:

Jurkat (Human) Whole Cell Lysate at 10 µg

Lane 2:

HEK293 (Human) Whole Cell Lysate at 10 µg

Secondary

All lanes:

Goat polyclonal to Rabbit IgG - H&L - Pre-Adsorbed at 1/50000 dilution

Predicted band size: 45 kDa

Observed band size: 120 kDa,20 kDa

true

Exposure time: 8min

Western blot - Anti-LAMP1 antibody - Lysosome Marker (AB24170)
  • WB

AbReview20414****

Western blot - Anti-LAMP1 antibody - Lysosome Marker (AB24170)

Blocking Step : 5% Milk for 1 hour at 20°C

All lanes:

Western blot - Anti-LAMP1 antibody - Lysosome Marker (ab24170) at 1/700 dilution

All lanes:

Rat Kidney - whole tissue lysate at 18 µg

Secondary

All lanes:

An HRP-conjugated Goat anti-rabbit IgG polyclonal at 1/5000 dilution

Predicted band size: 45 kDa

Observed band size: 120 kDa

true

Exposure time: 5min

This image is courtesy of an anonymous Abreview

Western blot - Anti-LAMP1 antibody - Lysosome Marker (AB24170)
  • WB

Project3592****

Western blot - Anti-LAMP1 antibody - Lysosome Marker (AB24170)

All lanes:

Western blot - Anti-LAMP1 antibody - Lysosome Marker (ab24170) at 1 µg/mL

Lane 1:

Jurkat (Human T cell lymphoblast-like cell line) Whole Cell Lysate at 10 µg

Lane 2:

A431 (Human epithelial carcinoma cell line) Whole Cell Lysate at 10 µg

Lane 3:

HEK293 Human embryonic kidney cell line Whole Cell Lysate at 10 µg

Lane 4:

MCF7 (Human breast adenocarcinoma cell line) Whole Cell Lysate at 10 µg

Secondary

All lanes:

Goat polyclonal to Rabbit IgG - H&L - Pre-Adsorbed at 1/3000 dilution

Predicted band size: 45 kDa

Observed band size: 120 kDa,23 kDa,35 kDa,45 kDa

false

Key facts

Host species

Rabbit

Clonality

Polyclonal

Isotype

IgG

Carrier free

No

Reacts with

Human

Applications

WB, IHC-P

applications

Immunogen

The exact immunogen used to generate this antibody is proprietary information.

Reactivity data

{ "title": "Reactivity Data", "filters": { "stats": ["", "Species", "Dilution Info", "Notes"], "tabs": { "all-applications": {"fullname" : "All Applications", "shortname": "All Applications"}, "IHCP" : {"fullname" : "Immunohistochemistry (Formalin/PFA-fixed paraffin-embedded sections)", "shortname":"IHC-P"}, "WB" : {"fullname" : "Western blot", "shortname":"WB"} }, "product-promise": { "all": "all", "testedAndGuaranteed": "tested", "guaranteed": "expected", "predicted": "predicted", "notRecommended": "not-recommended" } }, "values": { "Human": { "IHCP-species-checked": "testedAndGuaranteed", "IHCP-species-dilution-info": "1 µg/mL", "IHCP-species-notes": "<p></p> Perform heat-mediated antigen retrieval before commencing with IHC staining protocol.", "WB-species-checked": "testedAndGuaranteed", "WB-species-dilution-info": "1 µg/mL", "WB-species-notes": "<p>Some variability in MW may be observed due to differing levels of glycosylation of the target protein in different cell/tissue types. Abcam recommends using Milk as the blocking agent.</p>" }, "Mouse": { "IHCP-species-checked": "predicted", "IHCP-species-dilution-info": "", "IHCP-species-notes": "", "WB-species-checked": "predicted", "WB-species-dilution-info": "", "WB-species-notes": "" }, "Rat": { "IHCP-species-checked": "predicted", "IHCP-species-dilution-info": "", "IHCP-species-notes": "", "WB-species-checked": "predicted", "WB-species-dilution-info": "", "WB-species-notes": "" }, "African green monkey": { "IHCP-species-checked": "predicted", "IHCP-species-dilution-info": "", "IHCP-species-notes": "", "WB-species-checked": "predicted", "WB-species-dilution-info": "", "WB-species-notes": "" }, "Cat": { "IHCP-species-checked": "predicted", "IHCP-species-dilution-info": "", "IHCP-species-notes": "", "WB-species-checked": "predicted", "WB-species-dilution-info": "", "WB-species-notes": "" }, "Chicken": { "IHCP-species-checked": "predicted", "IHCP-species-dilution-info": "", "IHCP-species-notes": "", "WB-species-checked": "predicted", "WB-species-dilution-info": "", "WB-species-notes": "" }, "Cow": { "IHCP-species-checked": "predicted", "IHCP-species-dilution-info": "", "IHCP-species-notes": "", "WB-species-checked": "predicted", "WB-species-dilution-info": "", "WB-species-notes": "" }, "Dog": { "IHCP-species-checked": "predicted", "IHCP-species-dilution-info": "", "IHCP-species-notes": "", "WB-species-checked": "predicted", "WB-species-dilution-info": "", "WB-species-notes": "" }, "Hamster": { "IHCP-species-checked": "predicted", "IHCP-species-dilution-info": "", "IHCP-species-notes": "", "WB-species-checked": "predicted", "WB-species-dilution-info": "", "WB-species-notes": "" }, "Monkey": { "IHCP-species-checked": "predicted", "IHCP-species-dilution-info": "", "IHCP-species-notes": "", "WB-species-checked": "predicted", "WB-species-dilution-info": "", "WB-species-notes": "" }, "Xenopus laevis": { "IHCP-species-checked": "predicted", "IHCP-species-dilution-info": "", "IHCP-species-notes": "", "WB-species-checked": "predicted", "WB-species-dilution-info": "", "WB-species-notes": "" }, "Zebrafish": { "IHCP-species-checked": "predicted", "IHCP-species-dilution-info": "", "IHCP-species-notes": "", "WB-species-checked": "predicted", "WB-species-dilution-info": "", "WB-species-notes": "" } } }

Product details

Anti-LAMP1 antibody - Lysosome Marker (ab24170) is a rabbit polyclonal antibody and is validated for use in IHC-P, WB.

Anti-LAMP1 antibody - Lysosome Marker (ab24170) has been cited over 760 times in peer reviewed journals and is trusted by the scientific community.

Abcam's high quality validation processes ensure Anti-LAMP1 antibody - Lysosome Marker (ab24170) has high sensitivity and specificity.

Anti-LAMP1 antibody - Lysosome Marker (ab24170) has 98 independent reviews from customers.

Anti-LAMP1 antibody - Lysosome Membrane Marker (ab24170) specifically detects LAMP1 (UniProt ID: P11279; Molecular weight: 42kDa) and is sold in 100 µg selling sizes.

LAMP1 (Lysosomal Associated Membrane Protein 1) is a protein that plays a crucial role in the lysosomal membrane's stability and function. It is widely used as a lysosome membrane marker in various cell types. LAMP1 is involved in processes such as autophagy and cellular homeostasis. Dysregulation of LAMP1 has been linked to several diseases, including cancer, where it may contribute to tumor cell metastasis, and neurodegenerative disorders like Parkinson's disease.

Properties and storage information

Form
Liquid
Purification technique
Affinity purification Immunogen
Storage buffer
pH: 7.4 Preservative: 0.02% Sodium azide Constituents: PBS, 1% BSA
Shipped at conditions
Blue Ice
Appropriate short-term storage duration
1-2 weeks
Appropriate short-term storage conditions
+4°C
Appropriate long-term storage conditions
-20°C
Aliquoting information
Upon delivery aliquot
Storage information
Avoid freeze / thaw cycle

Supplementary information

This supplementary information is collated from multiple sources and compiled automatically.

LAMP1 also known as lysosome-associated membrane glycoprotein 1 is an important player within cellular mechanics. It exhibits a molecular weight of approximately 120 kDa. This protein exists abundantly in lysosomal membranes and sometimes in endosomes. LAMP1 operates near most cell types and has a significant presence in immune neuronal and epithelial cells. By maintaining the lysosomal membrane's integrity LAMP1 contributes to cellular homeostasis.
Biological function summary

LAMP1 functions to protect lysosomal membranes from the harsh environment inside the lysosome. It forms part of a protective glycocalyx composed of highly glycosylated proteins supporting lysosomal stability. This protein interacts closely with other lysosome markers and assists in the fusion of vesicles with lysosomes making it fundamental to lysosomal processes. As a lysosome marker LAMP1 helps identify lysosomal compartments during studies involving microscopy and LAMP1 staining.

Pathways

The protein LAMP1 participates in the autophagy and endocytic pathways. It acts collaboratively within the lysosomal degradation route involving proteins like LAMP2 which also supports lysosomal function. LAMP1 influences these pathways by mediating the fusion of autophagosomes or endosomes with lysosomes thereby ensuring efficient breakdown of cellular debris and macromolecules.

LAMP1 associates with lysosomal storage disorders and neurodegenerative diseases. The abnormal function or expression of LAMP1 has been linked to conditions such as Niemann-Pick disease and Alzheimer's disease. In these contexts its interaction with proteins like APP (amyloid precursor protein) illustrates its involvement in pathogenic pathways that lead to cellular dysfunction and disease progression. Understanding LAMP1's role may enhance diagnostic and therapeutic approaches pertaining to these disorders.

Product protocols

For this product, it's our understanding that no specific protocols are required. You can visit:

Target data

Lysosomal membrane glycoprotein which plays an important role in lysosome biogenesis, lysosomal pH regulation, autophagy and cholesterol homeostasis (PubMed : 37390818). Acts as an important regulator of lysosomal lumen pH regulation by acting as a direct inhibitor of the proton channel TMEM175, facilitating lysosomal acidification for optimal hydrolase activity (PubMed : 37390818). Also plays an important role in NK-cells cytotoxicity (PubMed : 2022921, PubMed : 23632890). Mechanistically, participates in cytotoxic granule movement to the cell surface and perforin trafficking to the lytic granule (PubMed : 23632890). In addition, protects NK-cells from degranulation-associated damage induced by their own cytotoxic granule content (PubMed : 23847195). Presents carbohydrate ligands to selectins (PubMed : 7685349).. (Microbial infection) Acts as a receptor for Lassa virus glycoprotein (PubMed : 24970085, PubMed : 25972533, PubMed : 27605678, PubMed : 28448640). Promotes also fusion of the virus with host membrane in less acidic endosomes (PubMed : 29295909).. (Microbial infection) Supports the FURIN-mediated cleavage of mumps virus fusion protein F by interacting with both FURIN and the unprocessed form but not the processed form of the viral protein F.
See full target information LAMP1

Publications (963)

Recent publications for all applications. Explore the full list and refine your search

Biology direct 20:100 PubMed41035046

2025

MINPP1 promotes ferroptosis in HBV-related hepatocellular carcinoma by regulating CTSB K33-linked deubiquitination via ZRANB1.

Applications

Unspecified application

Species

Unspecified reactive species

Wenbiao Chen,Yang Song,Liyang Wang,Feng Xiong,Shenggang Zhang

Nature communications 16:8551 PubMed41022690

2025

Brain-cervical lymph node crosstalk contributes to brain injury induced by subarachnoid hemorrhage in mice.

Applications

Unspecified application

Species

Unspecified reactive species

Jinman Chen,Jie Wang,Wenjing Zheng,Wenhao Ding,Zixin Zhuang,Hao Xu,Wenchao Ding,Tianhao Xu,Linmei Wang,Ning Li,Yongjian Zhao,Qi Shi,Lianping Xing,Yongjun Wang,Qianqian Liang

Alzheimer's & dementia : the journal of the Alzheimer's Association 21:e70730 PubMed40990068

2025

PINK1 deficiency permits the development of Lewy body dementia with coexisting Aβ pathology.

Applications

Unspecified application

Species

Unspecified reactive species

Tong-Yao Gao,Xu-Zheng Wang,Yu-Han Xie,Tong Wang,Yun-Bi Lu,Lu-Long Huang,Cong Chen,Ming Zhang,Xin Ma,Ya-Ling Chen,Fu-Xiang Liang,Zhi-Ling Lou,Jin-Sheng Li,Yi-Fan Yu,Jian-Bin Wu,Xiao-Ru Ma,Hua-Li Wang,Chun Tang,Wei-Ping Zhang

Nature metabolism 7:1851-1870 PubMed40957995

2025

BDH2-driven lysosome-to-mitochondria iron transfer shapes ferroptosis vulnerability of the melanoma cell states.

Applications

Unspecified application

Species

Unspecified reactive species

Francesca Rizzollo,Abril Escamilla-Ayala,Nicola Fattorelli,Natalia Barbara Lysiak,Sanket More,Pablo Hernández Varas,Lucia Barazzuol,Chris Van den Haute,Joris Van Asselberghs,David Nittner,Jonathan Coene,Vivek Venkataramani,Bernhard Michalke,Christine Gaillet,Tatiana Cañeque,Irwin Davidson,Steven H L Verhelst,Peter Vangheluwe,Tito Calì,Jean-Christophe Marine,Raphaël Rodriguez,Julie Bonnereau,Patrizia Agostinis

PLoS pathogens 21:e1013441 PubMed40901862

2025

Glycosylphosphatidylinositol biosynthesis functions as a conserved host defense pathway against coronaviruses via regulation of LY6E.

Applications

Unspecified application

Species

Unspecified reactive species

Yanlong Ma,Fei Feng,Hui Feng,Xue Ma,Ziqiao Wang,Yutong Han,Yunkai Zhu,Yuyan Wang,Zhichao Gao,Yuyuan Zhang,Qiang Ding,Jincun Zhao,Rong Zhang

eLife 14: PubMed40875401

2025

C-terminal tagging, transmembrane domain hydrophobicity, and an ER retention motif influence the secretory trafficking of the inner nuclear membrane protein emerin.

Applications

Unspecified application

Species

Unspecified reactive species

Jessica Mella,Regan F Volk,Balyn W Zaro,Abigail Buchwalter

mBio 16:e0038525 PubMed40833112

2025

DAZAP2 functions as a pan-coronavirus restriction factor by inhibiting viral entry and genomic replication.

Applications

Unspecified application

Species

Unspecified reactive species

Fei Feng,Jiannan Chen,Rong Li,Yunkai Zhu,Yanlong Ma,Ziqiao Wang,Yuyan Wang,Zhichao Gao,Lulu Yang,Yin Yu,Yanfeng Liu,Yingjie Sun,Ying Liao,Xinxin Huang,Qisheng Zhang,Yongheng Huang,Lin Qiu,Jiayu Wu,Jingxian Zhao,Chao Liu,Qiang Ding,Youhua Xie,Zhenghong Yuan,Yue Hong,Ping Zhang,Jing Sun,Jincun Zhao,Rong Zhang

Scientific reports 15:28446 PubMed40760135

2025

Aggregation potency and proinflammatory effects of SARS-CoV-2 proteins.

Applications

Unspecified application

Species

Unspecified reactive species

Monica Costa,Da-Wei Wang,Kai-Dong Zhao,Lin Yuan,Anita Krisko,Jia-Yi Li,Tiago Outeiro,Wen Li

Traffic (Copenhagen, Denmark) 26:e70013 PubMed40747612

2025

FGF Signaling Promotes Lysosome Biogenesis in Chondrocytes via the Mannose Phosphate Receptor Pathway.

Applications

Unspecified application

Species

Unspecified reactive species

Laura Cinque,Maria Iavazzo,Gennaro Di Bonito,Elena Polishchuk,Rossella De Cegli,Carmine Settembre

iScience 28:113063 PubMed40740486

2025

Direct interaction of HMGB1 with SARS-CoV-2 facilitates its infection via RAGE-dependent endocytosis.

Applications

Unspecified application

Species

Unspecified reactive species

Su Ful Jung,Man Sup Kwak,Myeonggil Han,Seoyeon Choi,Han Young Seo,Jong-Won Oh,In Ho Park,Jeon-Soo Shin
View all publications

Product promise

We are committed to supporting your work with high-quality reagents, and we're here for you every step of the way. In the unlikely event that one of our products does not perform as expected, you're protected by our Product Promise.
For full details, please see our Terms & Conditions

Please note: All products are 'FOR RESEARCH USE ONLY. NOT FOR USE IN DIAGNOSTIC OR THERAPEUTIC PROCEDURES'.

For licensing inquiries, please contact partnerships@abcam.com