JavaScript is disabled in your browser. Please enable JavaScript to view this website.
AB240351

Anti-LAMP2 antibody [EPR19512] - BSA and Azide free

Be the first to review this product! Submit a review

|

(1 Publication)

Rabbit Recombinant Monoclonal LAMP2 antibody. Carrier free. Suitable for WB, IHC-P and reacts with Human samples. Cited in 1 publication.

View Alternative Names

CD107b, Lysosome-associated membrane glycoprotein 2, LAMP-2, Lysosome-associated membrane protein 2, CD107 antigen-like family member B, LGP-96, LAMP2

3 Images
Immunohistochemistry (Formalin/PFA-fixed paraffin-embedded sections) - Anti-LAMP2 antibody [EPR19512] - BSA and Azide free (AB240351)
  • IHC-P

Supplier Data

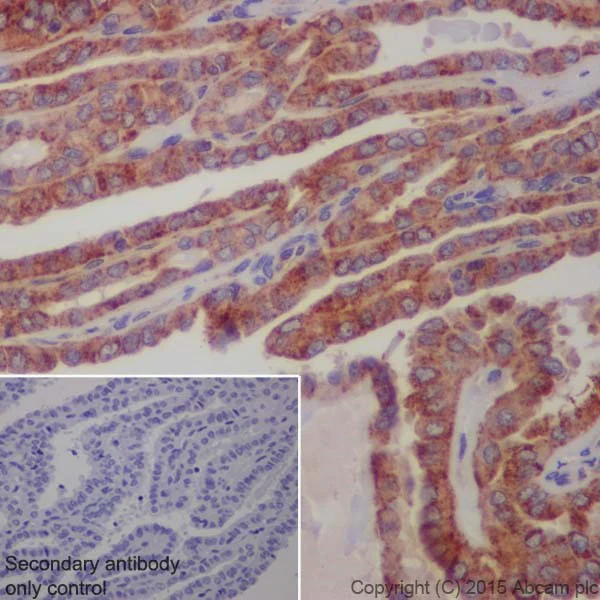
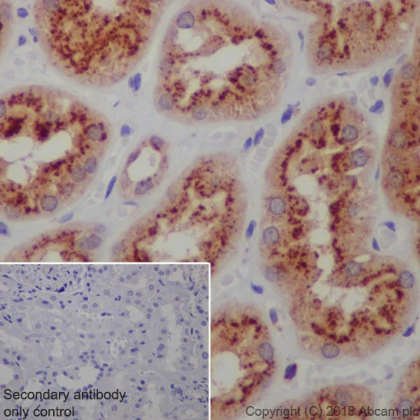
Immunohistochemistry (Formalin/PFA-fixed paraffin-embedded sections) - Anti-LAMP2 antibody [EPR19512] - BSA and Azide free (AB240351)

Immunohistochemical analysis of paraffin-embedded Human kidney tissue labeling LAMP2 with ab199946 at 1/2000 dilution, followed by Goat Anti-Rabbit IgG H&L (HRP) (ab97051) at 1/500 dilution. Cytoplasm staining on Human kidney is observed. Counter stained with Hematoxylin.

Secondary antibody only control : Used PBS instead of primary antibody, secondary antibody is ab97051 at 1/500 dilution.

This data was developed using the same antibody clone in a different buffer formulation containing PBS, BSA, glycerol, and sodium azide (ab199946).

Perform heat mediated antigen retrieval with Tris/EDTA buffer pH 9.0 before commencing with IHC staining protocol.

Immunohistochemistry (Formalin/PFA-fixed paraffin-embedded sections) - Anti-LAMP2 antibody [EPR19512] - BSA and Azide free (AB240351)
  • IHC-P

Supplier Data

Immunohistochemistry (Formalin/PFA-fixed paraffin-embedded sections) - Anti-LAMP2 antibody [EPR19512] - BSA and Azide free (AB240351)

Immunohistochemical analysis of paraffin-embedded Human thyroid cancer tissue labeling LAMP2 with ab199946 at 1/2000 dilution, followed by Goat Anti-Rabbit IgG H&L (HRP) (ab97051) at 1/500 dilution. Cytoplasm staining on Human thyroid cancer is observed. Counter stained with Hematoxylin.

Secondary antibody only control : Used PBS instead of primary antibody, secondary antibody is ab97051 at 1/500 dilution.

This data was developed using the same antibody clone in a different buffer formulation containing PBS, BSA, glycerol, and sodium azide (ab199946).

Perform heat mediated antigen retrieval with Tris/EDTA buffer pH 9.0 before commencing with IHC staining protocol.

Western blot - Anti-LAMP2 antibody [EPR19512] - BSA and Azide free (AB240351)
  • WB

Unknown

Western blot - Anti-LAMP2 antibody [EPR19512] - BSA and Azide free (AB240351)

This data was developed using the same antibody clone in a different buffer formulation (ab199946).

Lanes 1 - 4 : Merged signal (red and green). Green - ab199946 observed at 110 kDa. Red - loading control, ab8245 observed at 37 kDa.

ab199946 was shown to react with LAMP2 in wild-type HeLa cells. Loss of signal was observed when knockout cell line ab255402 (knockout cell lysate ab263861) was used. Wild-type and LAMP2 knockout samples were subjected to SDS-PAGE. ab199946 and Anti-GAPDH antibody [6C5] - Loading Control (ab8245) were incubated overnight at 4°C at 1 μg/ml and 1 in 20000 dilution respectively. Blots were developed with Goat anti-Rabbit IgG H&L (IRDye® 800CW) preadsorbed (ab216773) and Goat anti-Mouse IgG H&L (IRDye® 680RD) preadsorbed (ab216776) secondary antibodies at 1 in 20000 dilution for 1 hour at room temperature before imaging.

All lanes:

Western blot - Anti-LAMP2 antibody [EPR19512] - Lysosome Marker (<a href='/en-us/products/primary-antibodies/lamp2-antibody-epr19512-lysosome-marker-ab199946'>ab199946</a>) at 1 µg/mL

Lane 1:

Wild-type HEK-293 cell lysate at 20 µg

Lane 2:

LAMP2 knockout HEK-293 cell lysate at 20 µg

Lane 3:

Wild-type HeLa cell lysate at 20 µg

Lane 4:

LAMP2 knockout HeLa cell lysate at 20 µg

Predicted band size: 45 kDa

Observed band size: 110 kDa,37 kDa

false

  • Unconjugated

    Anti-LAMP2 antibody [EPR19512] - Lysosome Marker

Key facts

Host species

Rabbit

Clonality

Monoclonal

Clone number

EPR19512

Isotype

IgG

Carrier free

Yes

Reacts with

Human

Applications

WB, IHC-P

applications

Immunogen

The exact immunogen used to generate this antibody is proprietary information.

Reactivity data

{ "title": "Reactivity Data", "filters": { "stats": ["", "Species", "Dilution Info", "Notes"], "tabs": { "all-applications": {"fullname" : "All Applications", "shortname": "All Applications"}, "WB" : {"fullname" : "Western blot", "shortname":"WB"}, "IHCP" : {"fullname" : "Immunohistochemistry (Formalin/PFA-fixed paraffin-embedded sections)", "shortname":"IHC-P"} }, "product-promise": { "all": "all", "testedAndGuaranteed": "tested", "guaranteed": "expected", "predicted": "predicted", "notRecommended": "not-recommended" } }, "values": { "Human": { "WB-species-checked": "testedAndGuaranteed", "WB-species-dilution-info": "", "WB-species-notes": "<p></p>", "IHCP-species-checked": "testedAndGuaranteed", "IHCP-species-dilution-info": "", "IHCP-species-notes": "<p></p>" } } }

Product details

ab240351 is the carrier-free version of ab199946.

Patented technology
Our RabMAb® technology is a patented hybridoma-based technology for making rabbit monoclonal antibodies. For details on our patents, please refer to RabMAb® patents.

What are the advantages of a recombinant monoclonal antibody?
This product is a recombinant monoclonal antibody, which offers several advantages including:

  • - High batch-to-batch consistency and reproducibility
  • - Improved sensitivity and specificity
  • - Long-term security of supply
  • - Animal-free batch production

For more information, read more on recombinant antibodies.

Conjugation ready
Our carrier-free antibodies are typically supplied in a PBS-only formulation, purified and free of BSA, sodium azide and glycerol. This conjugation-ready format is designed for use with fluorochromes, metal isotopes, oligonucleotides, and enzymes, which makes them ideal for antibody labelling, functional and cell-based assays, flow-based assays (e.g. mass cytometry) and Multiplex Imaging applications.

Use our conjugation kits for antibody conjugates that are ready-to-use in as little as 20 minutes with 1 minute hands-on-time and 100% antibody recovery: available for fluorescent dyes, HRP, biotin and gold.

Compatibility
This product is compatible with the Maxpar® Antibody Labeling Kit from Fluidigm, without the need for antibody preparation. Maxpar® is a trademark of Fluidigm Canada Inc.

Properties and storage information

Form
Liquid
Purification technique
Affinity purification Protein A
Storage buffer
pH: 7.2 - 7.4 Constituents: PBS
Shipped at conditions
Blue Ice
Appropriate short-term storage conditions
+4°C
Appropriate long-term storage conditions
+4°C
Storage information
Do Not Freeze

Supplementary information

This supplementary information is collated from multiple sources and compiled automatically.

LAMP2 also known as CD107b is an important protein found in the lysosomal membrane. It plays a significant role in lysosome function facilitating autophagy and the degradation of cellular debris. LAMP2 proteins are expressed in most tissues especially in tissues with high lysosomal activity like the liver kidney and heart. The LAMP2 molecule has a molecular weight of approximately 45 kDa. Researchers frequently use LAMP2 staining and LAMP2 marker to study its cellular localization and expression levels.
Biological function summary

LAMP2 is essential for the normal fusion of lysosomes with autophagosomes. This process ensures the recycling of cellular components and maintenance of cellular homeostasis. LAMP2 acts in conjunction with other members of the lysosome-associated membrane protein family LAMP1 and LAMP3 forming part of a larger complex. This interaction is fundamental in managing the degradation pathways within the cell supporting processes such as lipid metabolism and protein turnover.

Pathways

The activity of LAMP2 is critical in the autophagic and degradation pathways within the cell. It particularly interacts in the autophagy-lysosome pathway where it aids the clearance of damaged organelles and protein aggregates. LAMP2 interaction with proteins such as the autophagy-related protein LC3 helps this degradation process. Additionally LAMP2 plays a role in endocytic pathways linking it to proteins involved in vesicle trafficking and membrane fusion.

Mutations or deficiencies in LAMP2 are associated with Danon disease a type of lysosomal storage disorder. Patients with Danon disease exhibit symptoms such as cardiomyopathy skeletal myopathy and intellectual disabilities. LAMP2 is also implicated in other lysosomal disorders with a connection to the malfunction of autophagy processes. Its dysfunction is often linked with proteins responsible for cellular degradation affecting the normal homeostatic balance and leading to the accumulation of autophagic substrates.

Product protocols

For this product, it's our understanding that no specific protocols are required. You can visit:

Target data

The protein expressed by gene LAMP2 plays an important role in chaperone-mediated autophagy, facilitating the lysosomal degradation of proteins in response to various stresses and as part of normal protein turnover, especially for those with a long biological half-life. It functions by binding target proteins like GAPDH and MLLT11, directing them for lysosomal degradation, and is necessary for the fusion of autophagosomes with lysosomes during autophagy. Although cells lacking LAMP2 express normal VAMP8 levels, they fail to accumulate STX17 on autophagosomes, likely explaining the fusion failure between autophagosomes and lysosomes. LAMP2 is essential for the normal degradation of autophagosomal contents and efficient MHCII-mediated presentation of exogenous antigens, as it facilitates lysosomal protein degradation. It is not required for the presentation of endogenous antigens via MHCII. Specifically, isoform LAMP-2C modulates chaperone-mediated autophagy, reduces presentation of endogenous antigens by MHCII, and does not influence the presentation of exogenous and membrane-derived antigens by MHCII. This supplementary information is collated from multiple sources and compiled automatically.
See full target information LAMP2

Publications (1)

Recent publications for all applications. Explore the full list and refine your search

Experimental dermatology 33:e15009 PubMed38284185

2024

Road-traffic-related air pollution contributes to skin barrier alteration and growth defect of sensory neurons.

Applications

Unspecified application

Species

Unspecified reactive species

Christelle Le Gall-Lanotto,Anthony Verdin,Fabrice Cazier,Adeline Bataille-Savattier,Christelle Guéré,Marie M Dorr,Joachim W Fluhr,Dominique Courcot,Katell Vié,Laurent Misery
View all publications

Product promise

We are committed to supporting your work with high-quality reagents, and we're here for you every step of the way. In the unlikely event that one of our products does not perform as expected, you're protected by our Product Promise.
For full details, please see our Terms & Conditions

Please note: All products are 'FOR RESEARCH USE ONLY. NOT FOR USE IN DIAGNOSTIC OR THERAPEUTIC PROCEDURES'.

For licensing inquiries, please contact partnerships@abcam.com