JavaScript is disabled in your browser. Please enable JavaScript to view this website.
AB199947

Anti-LAMP2 antibody [EPR19531] - Lysosome Marker

Be the first to review this product! Submit a review

|

(6 Publications)

Rabbit Recombinant Monoclonal LAMP2 antibody. Suitable for WB, IHC-P and reacts with Human samples. Cited in 6 publications.

View Alternative Names

CD107b, Lysosome-associated membrane glycoprotein 2, LAMP-2, Lysosome-associated membrane protein 2, CD107 antigen-like family member B, LGP-96, LAMP2

6 Images
Immunohistochemistry (Formalin/PFA-fixed paraffin-embedded sections) - Anti-LAMP2 antibody [EPR19531] - Lysosome Marker (AB199947)
  • IHC-P

Supplier Data

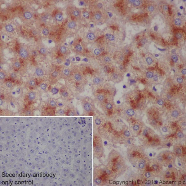
Immunohistochemistry (Formalin/PFA-fixed paraffin-embedded sections) - Anti-LAMP2 antibody [EPR19531] - Lysosome Marker (AB199947)

Immunohistochemical analysis of paraffin-embedded Human liver tissue labeling LAMP2 with ab199947 at 1/2000 dilution, followed by Goat Anti-Rabbit IgG H&L (HRP) (ab97051) at 1/500 dilution.

Cytoplasm staining on Human liver is observed.

Counter stained with Hematoxylin.

Secondary antibody only control : Used PBS instead of primary antibody, secondary antibody is Goat Anti-Rabbit IgG H&L (HRP) (ab97051) at 1/500 dilution.

Perform heat mediated antigen retrieval with Tris/EDTA buffer pH 9.0 before commencing with IHC staining protocol.

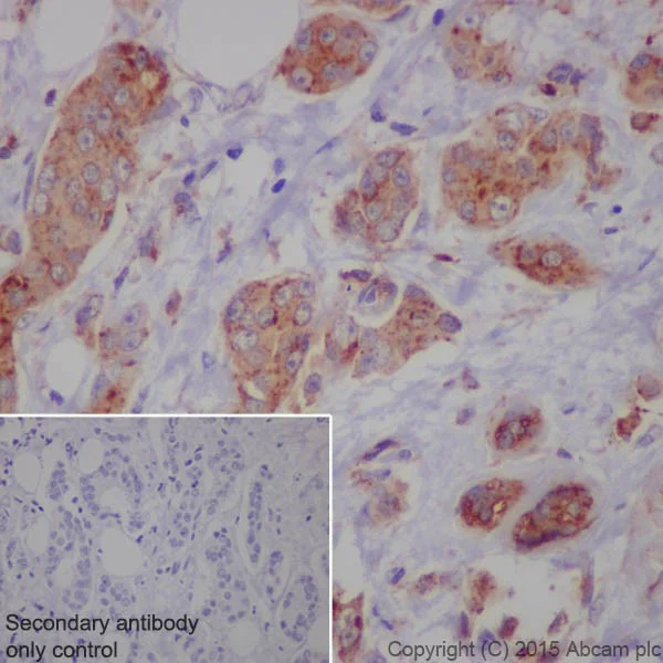
Immunohistochemistry (Formalin/PFA-fixed paraffin-embedded sections) - Anti-LAMP2 antibody [EPR19531] - Lysosome Marker (AB199947)
  • IHC-P

Supplier Data

Immunohistochemistry (Formalin/PFA-fixed paraffin-embedded sections) - Anti-LAMP2 antibody [EPR19531] - Lysosome Marker (AB199947)

Immunohistochemical analysis of paraffin-embedded Human breast cancer tissue labeling LAMP2 with ab199947 at 1/2000 dilution, followed by Goat Anti-Rabbit IgG H&L (HRP) (ab97051) at 1/500 dilution.

Cytoplasm staining on Human breast cancer is observed.

Counter stained with Hematoxylin.

Secondary antibody only control : Used PBS instead of primary antibody, secondary antibody is Goat Anti-Rabbit IgG H&L (HRP) (ab97051) at 1/500 dilution.

Perform heat mediated antigen retrieval with Tris/EDTA buffer pH 9.0 before commencing with IHC staining protocol.

Western blot - Anti-LAMP2 antibody [EPR19531] - Lysosome Marker (AB199947)
  • WB

Supplier Data

Western blot - Anti-LAMP2 antibody [EPR19531] - Lysosome Marker (AB199947)

Blocking/Dilution buffer : 5% NFDM/TBST.

The molecular weight observed is consistent with what has been described in the literature (PMID : 19828315) and lots of other products.

All lanes:

Western blot - Anti-LAMP2 antibody [EPR19531] - Lysosome Marker (ab199947) at 1/1000 dilution

Lane 1:

Human fetal kidney lysate at 10 µg

Lane 2:

Human fetal spleen lysate at 10 µg

Lane 3:

Human placenta lysate at 10 µg

Secondary

All lanes:

Goat Anti-Rabbit IgG Peroxidase Conjugate, specific to the non-reduced form of IgG at 1/100000 dilution

Predicted band size: 45 kDa

Observed band size: 110-130 kDa

false

Exposure time: 3min

Western blot - Anti-LAMP2 antibody [EPR19531] - Lysosome Marker (AB199947)
  • WB

Lab

Western blot - Anti-LAMP2 antibody [EPR19531] - Lysosome Marker (AB199947)

Lanes 1 - 4 : Merged signal (red and green). Green - ab199947 observed at 45 kDa. Red - loading control, ab130007, observed at 130 kDa.

ab199947 was shown to specifically react with LAMP2 in wild-type HEK-293 cells as signal was lost in LAMP2 knockout cells. Wild-type and LAMP2 knockout samples were subjected to SDS-PAGE. ab199947 and ab130007 (Mouse anti-Vinculin loading control) were incubated overnight at 4°C at 1/1000 dilution and 1/20000 dilution respectively. Blots were developed with Goat anti-Rabbit IgG H&L (IRDye® 800CW) preabsorbed ab216773 and Goat anti-Mouse IgG H&L (IRDye® 680RD) preabsorbed ab216776 secondary antibodies at 1/20000 dilution for 1 hour at room temperature before imaging.

All lanes:

Western blot - Anti-LAMP2 antibody [EPR19531] - Lysosome Marker (ab199947) at 1/1000 dilution

Lane 1:

Wild-type HEK-293 (Human epithelial cell line from embryonic kidney) whole cell lysate at 20 µg

Lane 2:

LAMP2 knockout HEK-293 (Human epithelial cell line from embryonic kidney) whole cell lysate at 20 µg

Lane 2:

Western blot - Human LAMP2 knockout HEK-293 cell line (<a href='/en-us/products/cell-lines/human-lamp2-knockout-hek-293-cell-line-ab260863'>ab260863</a>)

Lane 3:

Hep G2 (Human liver hepatocellular carcinoma cell line) whole cell lysate at 20 µg

Lane 4:

THP-1 (Human monocytic leukemia cell line) whole cell lysate at 20 µg

Predicted band size: 45 kDa

false

Western blot - Anti-LAMP2 antibody [EPR19531] - Lysosome Marker (AB199947)
  • WB

Lab

Western blot - Anti-LAMP2 antibody [EPR19531] - Lysosome Marker (AB199947)

False colour image of Western blot : Anti-LAMP2 antibody [EPR19531] staining at 1/1000 dilution, shown in green; Mouse anti-Alpha Tubulin [DM1A] (ab7291) loading control staining at 1/20000 dilution, shown in red. In Western blot, ab199947 was shown to bind specifically to LAMP2. A band was observed at 100 kDa in wild-type HeLa cell lysates with no signal observed at this size in LAMP2 CRISPR-Cas9 edited cell line ab255402 (CRISPR-Cas9 edited cell lysate ab263861). The band observed in the CRISPR-Cas9 edited lysate lane below 100 kDa is likely to represent a truncated form of LAMP2. This has not been investigated further and the functional properties of the gene product have not been determined. To generate this image, wild-type and LAMP2 CRISPR-Cas9 edited HeLa cell lysates were analysed. First, samples were run on an SDS-PAGE gel then transferred onto a nitrocellulose membrane. Membranes were blocked in 3 % milk in TBS-0.1 % Tween® 20 (TBS-T) before incubation with primary antibodies overnight at 4 °C. Blots were washed four times in TBS-T, incubated with secondary antibodies for 1 h at room temperature, washed again four times then imaged. Secondary antibodies used were Goat anti-Rabbit IgG H&L 800CW and Goat anti-Mouse IgG H&L 680RD at 1/20000 dilution.

All lanes:

Western blot - Anti-LAMP2 antibody [EPR19531] - Lysosome Marker (ab199947) at 1/1000 dilution

Lane 1:

Wild-type HeLa cell lysate at 20 µg

Lane 2:

LAMP2 CRISPR-Cas9 edited HeLa cell lysate at 20 µg

Secondary

All lanes:

Goat anti-Rabbit IgG H&L 800CW and Goat anti-Mouse IgG H&L 680RD at 1/20000 dilution

Observed band size: 100 kDa

false

Western blot - Anti-LAMP2 antibody [EPR19531] - Lysosome Marker (AB199947)
  • WB

Supplier Data

Western blot - Anti-LAMP2 antibody [EPR19531] - Lysosome Marker (AB199947)

Blocking/Dilution buffer : 5% NFDM/TBST.

The molecular weight observed is consistent with what has been described in the literature (PMID : 19828315) and lots of other products.

All lanes:

Western blot - Anti-LAMP2 antibody [EPR19531] - Lysosome Marker (ab199947) at 1/1000 dilution

Lane 1:

HeLa (Human epithelial cell line from cervix adenocarcinoma) whole cell lysate at 20 µg

Lane 2:

THP-1 (Human monocytic leukemia cell line) whole cell lysate at 20 µg

Lane 3:

JAR (Human placenta choriocarcinoma cell line) whole cell lysate at 20 µg

Lane 4:

Jurkat (Human T cell leukemia cell line from peripheral blood) whole cell lysate at 20 µg

Secondary

All lanes:

Western blot - Goat Anti-Rabbit IgG H&L (HRP) (<a href='/en-us/products/secondary-antibodies/goat-rabbit-igg-h-l-hrp-ab97051'>ab97051</a>) at 1/100000 dilution

Predicted band size: 45 kDa

Observed band size: 110-130 kDa

false

Exposure time: 3min

  • Carrier free

    Anti-LAMP2 antibody [EPR19531] - BSA and Azide free

Key facts

Host species

Rabbit

Clonality

Monoclonal

Clone number

EPR19531

Isotype

IgG

Carrier free

No

Reacts with

Human

Applications

IHC-P, WB

applications

Immunogen

The exact immunogen used to generate this antibody is proprietary information.

Reactivity data

{ "title": "Reactivity Data", "filters": { "stats": ["", "Species", "Dilution Info", "Notes"], "tabs": { "all-applications": {"fullname" : "All Applications", "shortname": "All Applications"}, "WB" : {"fullname" : "Western blot", "shortname":"WB"}, "IHCP" : {"fullname" : "Immunohistochemistry (Formalin/PFA-fixed paraffin-embedded sections)", "shortname":"IHC-P"} }, "product-promise": { "all": "all", "testedAndGuaranteed": "tested", "guaranteed": "expected", "predicted": "predicted", "notRecommended": "not-recommended" } }, "values": { "Human": { "WB-species-checked": "testedAndGuaranteed", "WB-species-dilution-info": "1/1000", "WB-species-notes": "<p></p>", "IHCP-species-checked": "testedAndGuaranteed", "IHCP-species-dilution-info": "1/2000", "IHCP-species-notes": "<p></p>" } } }

Product details

Patented technology
Our RabMAb® technology is a patented hybridoma-based technology for making rabbit monoclonal antibodies. For details on our patents, please refer to RabMAb® patents.

What are the advantages of a recombinant monoclonal antibody?
This product is a recombinant monoclonal antibody, which offers several advantages including:

  • - High batch-to-batch consistency and reproducibility
  • - Improved sensitivity and specificity
  • - Long-term security of supply
  • - Animal-free batch production

For more information, read more on recombinant antibodies.

Properties and storage information

Form
Liquid
Purification technique
Affinity purification Protein A
Storage buffer
pH: 7.2 - 7.4 Preservative: 0.01% Sodium azide Constituents: PBS, 40% Glycerol (glycerin, glycerine), 0.05% BSA
Shipped at conditions
Blue Ice
Appropriate short-term storage duration
1-2 weeks
Appropriate short-term storage conditions
+4°C
Appropriate long-term storage conditions
-20°C
Aliquoting information
Upon delivery aliquot
Storage information
Avoid freeze / thaw cycle

Supplementary information

This supplementary information is collated from multiple sources and compiled automatically.

LAMP2 also known as CD107b is an important protein found in the lysosomal membrane. It plays a significant role in lysosome function facilitating autophagy and the degradation of cellular debris. LAMP2 proteins are expressed in most tissues especially in tissues with high lysosomal activity like the liver kidney and heart. The LAMP2 molecule has a molecular weight of approximately 45 kDa. Researchers frequently use LAMP2 staining and LAMP2 marker to study its cellular localization and expression levels.
Biological function summary

LAMP2 is essential for the normal fusion of lysosomes with autophagosomes. This process ensures the recycling of cellular components and maintenance of cellular homeostasis. LAMP2 acts in conjunction with other members of the lysosome-associated membrane protein family LAMP1 and LAMP3 forming part of a larger complex. This interaction is fundamental in managing the degradation pathways within the cell supporting processes such as lipid metabolism and protein turnover.

Pathways

The activity of LAMP2 is critical in the autophagic and degradation pathways within the cell. It particularly interacts in the autophagy-lysosome pathway where it aids the clearance of damaged organelles and protein aggregates. LAMP2 interaction with proteins such as the autophagy-related protein LC3 helps this degradation process. Additionally LAMP2 plays a role in endocytic pathways linking it to proteins involved in vesicle trafficking and membrane fusion.

Mutations or deficiencies in LAMP2 are associated with Danon disease a type of lysosomal storage disorder. Patients with Danon disease exhibit symptoms such as cardiomyopathy skeletal myopathy and intellectual disabilities. LAMP2 is also implicated in other lysosomal disorders with a connection to the malfunction of autophagy processes. Its dysfunction is often linked with proteins responsible for cellular degradation affecting the normal homeostatic balance and leading to the accumulation of autophagic substrates.

Product protocols

For this product, it's our understanding that no specific protocols are required. You can visit:

Target data

The protein expressed by gene LAMP2 plays an important role in chaperone-mediated autophagy, facilitating the lysosomal degradation of proteins in response to various stresses and as part of normal protein turnover, especially for those with a long biological half-life. It functions by binding target proteins like GAPDH and MLLT11, directing them for lysosomal degradation, and is necessary for the fusion of autophagosomes with lysosomes during autophagy. Although cells lacking LAMP2 express normal VAMP8 levels, they fail to accumulate STX17 on autophagosomes, likely explaining the fusion failure between autophagosomes and lysosomes. LAMP2 is essential for the normal degradation of autophagosomal contents and efficient MHCII-mediated presentation of exogenous antigens, as it facilitates lysosomal protein degradation. It is not required for the presentation of endogenous antigens via MHCII. Specifically, isoform LAMP-2C modulates chaperone-mediated autophagy, reduces presentation of endogenous antigens by MHCII, and does not influence the presentation of exogenous and membrane-derived antigens by MHCII. This supplementary information is collated from multiple sources and compiled automatically.
See full target information LAMP2

Publications (6)

Recent publications for all applications. Explore the full list and refine your search

Molecular neurodegeneration 20:32 PubMed40082954

2025

Probe-dependent Proximity Profiling (ProPPr) Uncovers Similarities and Differences in Phospho-Tau-Associated Proteomes Between Tauopathies.

Applications

Unspecified application

Species

Unspecified reactive species

Dmytro Morderer,Melissa C Wren,Feilin Liu,Naomi Kouri,Anastasiia Maistrenko,Bilal Khalil,Nora Pobitzer,Michelle R Salemi,Brett S Phinney,Guojun Bu,Na Zhao,Dennis W Dickson,Melissa E Murray,Wilfried Rossoll

PeerJ 12:e18543 PubMed39588003

2024

Identification and validation of three diagnostic autophagy-related genes associated with advanced plaques and immune cell infiltration in carotid atherosclerosis based on integrated bioinformatics analyses.

Applications

Unspecified application

Species

Unspecified reactive species

Tiegen Huang,Chen Su,Quanli Su,Yali Nie,Zhenni Xiao,Yao Tang,Jiahao Wang,Xiaotian Luo,Yixin Tang

Translational oncology 46:101996 PubMed38795560

2024

Regulatory feedback loop between circ-EIF4A3 and EIF4A3 Enhances autophagy and growth in colorectal cancer cells.

Applications

Unspecified application

Species

Unspecified reactive species

Qingke Li,Zhiwu Wang,Jian Wang,Jiangong Wang,Xuan Zheng,Dan Li,Zhuo Wang,Jingwu Li,Yufeng Li

Anesthesia and analgesia 136:779-788 PubMed35880774

2022

Ketamine Induces Delirium-Like Behavior and Interferes With Endosomal Tau Trafficking.

Applications

Unspecified application

Species

Unspecified reactive species

Xinghua Ren,Siyi Zhang,Yongyan Yang,Annie Song,Feng Liang,Yiying Zhang,Yuanlin Dong,Xu Wu,Zhongcong Xie

Cell communication and signaling : CCS 20:60 PubMed35525979

2022

Mitochondrial apolipoprotein A-I binding protein alleviates atherosclerosis by regulating mitophagy and macrophage polarization.

Applications

Unspecified application

Species

Unspecified reactive species

Meng Duan,Hainan Chen,Linjie Yin,Xiao Zhu,Petr Novák,Yuncheng Lv,Guojun Zhao,Kai Yin

Theranostics 11:3839-3852 PubMed33664865

2021

Lactate-induced M2 polarization of tumor-associated macrophages promotes the invasion of pituitary adenoma by secreting CCL17.

Applications

Unspecified application

Species

Unspecified reactive species

Anke Zhang,Yuanzhi Xu,Houshi Xu,Jie Ren,Tong Meng,Yunjia Ni,Qingwei Zhu,Wen-Bo Zhang,Yuan-Bo Pan,Jiali Jin,Yunke Bi,Zhe Bao Wu,Shaojian Lin,Meiqing Lou
View all publications

Product promise

We are committed to supporting your work with high-quality reagents, and we're here for you every step of the way. In the unlikely event that one of our products does not perform as expected, you're protected by our Product Promise.
For full details, please see our Terms & Conditions

Please note: All products are 'FOR RESEARCH USE ONLY. NOT FOR USE IN DIAGNOSTIC OR THERAPEUTIC PROCEDURES'.

For licensing inquiries, please contact partnerships@abcam.com