JavaScript is disabled in your browser. Please enable JavaScript to view this website.
AB125068

Anti-LAMP2A antibody [EPR4207(2)] - Lysosome Marker

4

(4 Reviews)

|

(89 Publications)

Anti-LAMP2A antibody [EPR4207(2)] - Lysosome Marker (ab125068) is a rabbit monoclonal antibody detecting LAMP2A in Western Blot, Flow Cytometry (Intra), Flow Cytometry, IP, IHC-P, ICC/IF. Suitable for Human, Mouse, Rat.

- Biophysical QC for unrivalled batch-batch consistency
- Over 50 publications

View Alternative Names

CD107b, Lysosome-associated membrane glycoprotein 2, LAMP-2, Lysosome-associated membrane protein 2, CD107 antigen-like family member B, LGP-96, LAMP2

21 Images
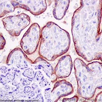
Immunohistochemistry (Formalin/PFA-fixed paraffin-embedded sections) - Anti-LAMP2A antibody [EPR4207(2)] - Lysosome Marker (AB125068)
  • IHC-P

Supplier Data

Immunohistochemistry (Formalin/PFA-fixed paraffin-embedded sections) - Anti-LAMP2A antibody [EPR4207(2)] - Lysosome Marker (AB125068)

Immunohistochemical analysis of paraffin-embedded Human placenta labeling LAMP2A with unpurified ab125068 at 1/500 dilution, followed by Goat Anti-Rabbit IgG H&L (HRP) (ab97051) at 1/500 dilution. Cytoplasmic and membrane staining on human placenta tissue is observed. Counter stained with Hematoxylin.

Secondary antibody only control : Used PBS instead of primary antibody, secondary antibody is Goat Anti-Rabbit IgG H&L (HRP) (ab97051) at 1/500 dilution.

Perform heat mediated antigen retrieval before commencing with IHC staining protocol.

Immunocytochemistry/ Immunofluorescence - Anti-LAMP2A antibody [EPR4207(2)] - Lysosome Marker (AB125068)
  • ICC/IF

Supplier Data

Immunocytochemistry/ Immunofluorescence - Anti-LAMP2A antibody [EPR4207(2)] - Lysosome Marker (AB125068)

Side-by-side comparison of ICC performance using the rabbit polyclonal ab18528 and RabMab® ab125068. Staining was performed on wild-type HeLa cells (top panel) and LAMP2 knockout HeLa cells (bottom panel, available as ab255402). The cells were fixed with 100% methanol (5 min), permeabilized with 0.1% Tween-20 for 5 minutes and then blocked with 1% BSA/10% normal goat serum/0.3M glycine in 0.1% PBS-Tween for 1h. The cells were then incubated with ab18528 or ab125068 overnight at +4°C at 3 different concentrations : 1.0 μg/mL, 0.2 μg/mL and 0.04 μg/mL. Secondary antibody incubation was at room temperature for 1h with a goat secondary antibody to Rabbit IgG (Alexa Fluor® 488) (ab150081) (shown in green) at 1/1000 and nuclear DNA was labelled with DAPI (shown in blue). Images were acquired with a high-content analyser (Operetta CLS, Perkin Elmer) and a maximum intensity projection of confocal sections is shown. Some cytoplasmic cross-reactivity is seen using ab18528 at 1.0 μg/mL, but further titration of the antibody improves the ICC staining result. The RabMab® ab125068 shows negligible non-specific staining across the dilution range. Quantification of the antibody signal was performed using a minimum of 180 cells and data are presented as mean ± SD.Optimal dilutions/concentrations may vary across different cell types/experiment conditions and should be determined by the end user.

Immunocytochemistry/ Immunofluorescence - Anti-LAMP2A antibody [EPR4207(2)] - Lysosome Marker (AB125068)
  • ICC/IF

Lab

Immunocytochemistry/ Immunofluorescence - Anti-LAMP2A antibody [EPR4207(2)] - Lysosome Marker (AB125068)

ab125068 staining LAMP2a in wild-type HeLa cells (top panel) and LAMP2 knockout HeLa cells (bottom panel, available as ab255402). The cells were fixed with 4% formaldehyde (10min), permeabilized with 0.1% Tween-20 for 5 minutes and then blocked with 1% BSA/10% normal goat serum/0.3M glycine in 0.1% PBS-Tween for 1h. The cells were then incubated with ab125068 at 0.04 μg/mL and ab7291 at 1 μg/mL overnight at +4°C, followed by a further incubation at room temperature for 1h with a goat secondary antibody to Rabbit IgG (Alexa Fluor® 488) (ab150081) (shown in green) and goat secondary antibody to Mouse IgG (Alexa Fluor® 594) (ab150120) (shown in red) both at 1/1000. Nuclear DNA was labelled with DAPI (shown in blue).

In our hands, permeabilization with 0.1% Triton X-100 (5 min) resulted in greatly reduced signal and we recommend using 0.1% Tween-20 (5 min) for detecting this target.

Image was acquired with a high-content analyser (Operetta CLS, Perkin Elmer) and a maximum intensity projection of confocal sections is shown.

Immunocytochemistry/ Immunofluorescence - Anti-LAMP2A antibody [EPR4207(2)] - Lysosome Marker (AB125068)
  • ICC/IF

Lab

Immunocytochemistry/ Immunofluorescence - Anti-LAMP2A antibody [EPR4207(2)] - Lysosome Marker (AB125068)

ab125068 staining LAMP2a in wild-type HeLa cells (top panel) and LAMP2 knockout HeLa cells (bottom panel, available as ab255402). The cells were fixed with 100% methanol (5 min), permeabilized with 0.1% Tween-20 for 5 minutes and then blocked with 1% BSA/10% normal goat serum/0.3M glycine in 0.1% PBS-Tween for 1h. The cells were then incubated with ab125068 at 0.04 µg/mL and ab7291 at 1 µg/mL overnight at +4°C, followed by a further incubation at room temperature for 1h with a goat secondary antibody to Rabbit IgG (Alexa Fluor® 488) (ab150081) (shown in green) and goat secondary antibody to Mouse IgG (Alexa Fluor® 594) (ab150120) (shown in red) both at 1/1000. Nuclear DNA was labelled with DAPI (shown in blue). In our hands, permeabilization with 0.1% Triton X-100 (5 min) resulted in greatly reduced signal and we recommend using 0.1% Tween-20 (5 min) for detecting this target. Image was acquired with a high-content analyser (Operetta CLS, Perkin Elmer) and a maximum intensity projection of confocal sections is shown.

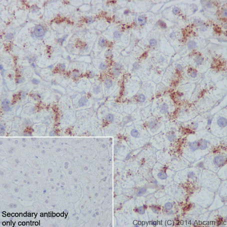
Immunohistochemistry (Formalin/PFA-fixed paraffin-embedded sections) - Anti-LAMP2A antibody [EPR4207(2)] - Lysosome Marker (AB125068)
  • IHC-P

Supplier Data

Immunohistochemistry (Formalin/PFA-fixed paraffin-embedded sections) - Anti-LAMP2A antibody [EPR4207(2)] - Lysosome Marker (AB125068)

Immunohistochemical analysis of paraffin-embedded Human liver labeling LAMP2A with unpurified ab125068 at 1/500 dilution, followed by Goat Anti-Rabbit IgG H&L (HRP) (ab97051) at 1/500 dilution. Cytoplasmic and membrane staining on human liver tissue is observed. Counter stained with Hematoxylin.

Secondary antibody only control : Used PBS instead of primary antibody, secondary antibody is Goat Anti-Rabbit IgG H&L (HRP) (ab97051) at 1/500 dilution.

Perform heat mediated antigen retrieval before commencing with IHC staining protocol.

Flow Cytometry (Intracellular) - Anti-LAMP2A antibody [EPR4207(2)] - Lysosome Marker (AB125068)
  • Flow Cyt (Intra)

Unknown

Flow Cytometry (Intracellular) - Anti-LAMP2A antibody [EPR4207(2)] - Lysosome Marker (AB125068)

Intracellular Flow Cytometry analysis of HeLa (human cervix adenocarcinoma) cells labeling LAMP2A (red) with ab125068 at a 1/1000 dilution. Cells were fixed with 4% paraformaldehyde and permeabilized with 90% methanol. A goat anti-rabbit IgG (Alexa Fluorr® 488) (ab150077) was used as the secondary antibody at a 1/2000 dilution. Black - Rabbit monoclonal IgG (ab172730). Blue (unlabeled control) - Cells without incubation with the primary and secondary antibodies.

Immunohistochemistry (Formalin/PFA-fixed paraffin-embedded sections) - Anti-LAMP2A antibody [EPR4207(2)] - Lysosome Marker (AB125068)
  • IHC-P

Lab

Immunohistochemistry (Formalin/PFA-fixed paraffin-embedded sections) - Anti-LAMP2A antibody [EPR4207(2)] - Lysosome Marker (AB125068)

Immunohistochemistry (Formalin/PFA-fixed paraffin-embedded sections) analysis of human liver tissue labelling LAMP2A with purified ab125068 at 1/200. Heat mediated antigen retrieval was performed using Tris/EDTA buffer pH 9. ab97051, a HRP-conjugated goat anti-rabbit IgG (H+L) was used as the secondary antibody (1/500). Negative control using PBS instead of primary antibody. Counterstained with hematoxylin.

Immunocytochemistry/ Immunofluorescence - Anti-LAMP2A antibody [EPR4207(2)] - Lysosome Marker (AB125068)
  • ICC/IF

Supplier Data

Immunocytochemistry/ Immunofluorescence - Anti-LAMP2A antibody [EPR4207(2)] - Lysosome Marker (AB125068)

Side-by-side comparison of ICC performance using the rabbit polyclonal ab18528 and RabMab® ab125068. Staining was performed on wild-type HeLa cells (top panel) and LAMP2 knockout HeLa cells (bottom panel, available as ab255402). The cells were fixed with 4% PFA (10 min), permeabilized with 0.1% Tween-20 for 5 minutes and then blocked with 1% BSA/10% normal goat serum/0.3M glycine in 0.1% PBS-Tween for 1h. The cells were then incubated with ab18528 or ab125068 overnight at +4°C at 3 different concentrations : 1.0 μg/mL, 0.2 μg/mL and 0.04 μg/mL. Secondary antibody incubation was at room temperature for 1h with a goat secondary antibody to Rabbit IgG (Alexa Fluor® 488) (ab150081) (shown in green) at 1/1000 and nuclear DNA was labelled with DAPI (shown in blue). Images were acquired with a high-content analyser (Operetta CLS, Perkin Elmer) and a maximum intensity projection of confocal sections is shown. Some cytoplasmic cross-reactivity is seen using ab18528 at 1.0 μg/mL, but further titration of the antibody improves the ICC staining result. The RabMab® ab125068 shows negligiblenon-specific staining across the dilution range. Quantification of the antibody signal was performed using a minimum of 135 cells and data are presented as mean ± SD.Optimal dilutions/concentrations may vary across different cell types/experiment conditions and should be determined by the end user.

Immunoprecipitation - Anti-LAMP2A antibody [EPR4207(2)] - Lysosome Marker (AB125068)
  • IP

Lab

Immunoprecipitation - Anti-LAMP2A antibody [EPR4207(2)] - Lysosome Marker (AB125068)

ab125068 (purified) at 1/60 immunoprecipitating LAMP2A in HeLa whole cell lysate.

Lane 1 (input) : HeLa whole cell lysate (10μg)

Lane 2 (+) : ab125068 + HeLa whole cell lysate (10μg).

Lane 3 (-) : Rabbit monoclonal IgG (ab172730) instead of ab125068 in HeLa whole cell lysate.

For western blotting, VeriBlot for IP Detection Reagent (HRP) (ab131366), was used for detection at 1/1500 dilution.

Blocking buffer and concentration : 5% NFDM/TBST.

Diluting buffer and concentration : 5% NFDM /TBST.

All lanes:

Immunoprecipitation - Anti-LAMP2A antibody [EPR4207(2)] - Lysosome Marker (ab125068)

Predicted band size: 45 kDa

Observed band size: 120 kDa

false

Immunoprecipitation - Anti-LAMP2A antibody [EPR4207(2)] - Lysosome Marker (AB125068)
  • IP

Supplier Data

Immunoprecipitation - Anti-LAMP2A antibody [EPR4207(2)] - Lysosome Marker (AB125068)

LAMP2A was immunoprecipitated from 1mg of HeLa (Human epithelial cells from cervix adenocarcinoma) whole cell lysate with unpurified ab125068 at 1/100 dilution. Western blot was performed from the immunoprecipitate using ab125068 at 1/2000 dilution. Anti-Rabbit IgG (HRP), specific to the non-reduced form of IgG was used as secondary antibody at 1/1500 dilution.

Lane 1 : HeLa whole cell lysate 10ug (Input).

Lane 2 : ab125068 IP in HeLa whole cell lysate.

Lane 3 : Rabbit monoclonal IgG (ab172730) instead of ab125068 in HeLa whole cell lysate.

Blocking and dilution buffer and concentration : 5% NFDM/TBST.

All lanes:

Immunoprecipitation - Anti-LAMP2A antibody [EPR4207(2)] - Lysosome Marker (ab125068)

Predicted band size: 45 kDa

Observed band size: 120 kDa

false

Immunohistochemistry (Formalin/PFA-fixed paraffin-embedded sections) - Anti-LAMP2A antibody [EPR4207(2)] - Lysosome Marker (AB125068)
  • IHC-P

Supplier Data

Immunohistochemistry (Formalin/PFA-fixed paraffin-embedded sections) - Anti-LAMP2A antibody [EPR4207(2)] - Lysosome Marker (AB125068)

Immunohistochemical analysis of paraffin-embedded Mouse liver labeling LAMP2A with unpurified ab125068 at 1/500 dilution, followed by Goat Anti-Rabbit IgG H&L (HRP) (ab97051) at 1/500 dilution. Cytoplasmic and membrane staining on mouse liver tissue is observed. Counter stained with Hematoxylin.

Secondary antibody only control : Used PBS instead of primary antibody, secondary antibody is Goat Anti-Rabbit IgG H&L (HRP) (ab97051) at 1/500 dilution.

Perform heat mediated antigen retrieval before commencing with IHC staining protocol.

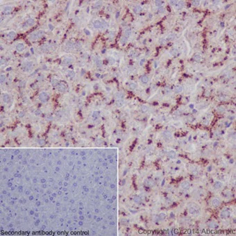
Immunohistochemistry (Formalin/PFA-fixed paraffin-embedded sections) - Anti-LAMP2A antibody [EPR4207(2)] - Lysosome Marker (AB125068)
  • IHC-P

Supplier Data

Immunohistochemistry (Formalin/PFA-fixed paraffin-embedded sections) - Anti-LAMP2A antibody [EPR4207(2)] - Lysosome Marker (AB125068)

Immunohistochemical analysis of paraffin-embedded Rat liver labeling LAMP2A with unpurified ab125068 at 1/500 dilution, followed by Goat Anti-Rabbit IgG H&L (HRP) (ab97051) at 1/500 dilution. Cytoplasmic and membrane staining on rat liver tissue is observed. Counter stained with Hematoxylin.

Secondary antibody only control : Used PBS instead of primary antibody, secondary antibody is Goat Anti-Rabbit IgG H&L (HRP) (ab97051) at 1/500 dilution.

Perform heat mediated antigen retrieval before commencing with IHC staining protocol.

Immunoprecipitation - Anti-LAMP2A antibody [EPR4207(2)] - Lysosome Marker (AB125068)
  • IP

Supplier Data

Immunoprecipitation - Anti-LAMP2A antibody [EPR4207(2)] - Lysosome Marker (AB125068)

LAMP2A was immunoprecipitated from 1mg of RAW 264.7 (Mouse macrophage cells transformed with Abelson murine leukemia virus) whole cell lysate with ab125068 at 1/100 dilution. Western blot was performed from the immunoprecipitate using unpurified ab125068 at 1/2000 dilution. Anti-Rabbit IgG (HRP), specific to the non-reduced form of IgG was used as secondary antibody at 1/1500 dilution.

Lane 1 : RAW 264.7 whole cell lysate 10ug (Input).

Lane 2 : ab125068 IP in RAW 264.7 whole cell lysate.

Lane 3 : Rabbit monoclonal IgG (ab172730) instead of ab125068 in RAW 264.7 whole cell lysate.

Blocking and dilution buffer and concentration : 5% NFDM/TBST.

All lanes:

Immunoprecipitation - Anti-LAMP2A antibody [EPR4207(2)] - Lysosome Marker (ab125068)

Predicted band size: 45 kDa

Observed band size: 120 kDa

false

Western blot - Anti-LAMP2A antibody [EPR4207(2)] - Lysosome Marker (AB125068)
  • WB

Lab

Western blot - Anti-LAMP2A antibody [EPR4207(2)] - Lysosome Marker (AB125068)

Blocking and dilution buffer : 5% NFDM/TBST.

May be seen at ~50 kDa representing the unglycosylated isoforms of LAMP2 and ~120 kDa representing the glycosylated form.

All lanes:

Western blot - Anti-LAMP2A antibody [EPR4207(2)] - Lysosome Marker (ab125068) at 1/10000 dilution

Lane 1:

Jurkat cell lysate at 20 µg

Lane 2:

ECV-304 cell lysate at 20 µg

Lane 3:

JAR cell lysate at 20 µg

Secondary

All lanes:

Peroxidase-conjugated goat anti-rabbit IgG, (H+L) at 1/1000 dilution

Predicted band size: 45 kDa

Observed band size: 120 kDa

false

Western blot - Anti-LAMP2A antibody [EPR4207(2)] - Lysosome Marker (AB125068)
  • WB

Supplier Data

Western blot - Anti-LAMP2A antibody [EPR4207(2)] - Lysosome Marker (AB125068)

Blocking and Diluting buffer and concentration : 5% NFDM/TBST

All lanes:

Western blot - Anti-LAMP2A antibody [EPR4207(2)] - Lysosome Marker (ab125068) at 1/5000 dilution

Lane 1:

Jurkat (Human T cell leukemia cells from peripheral blood) whole cell lysate at 20 µg

Lane 2:

ECV-304 (Human urinary bladder cancer cell line) whole cell lysate at 20 µg

Lane 3:

JAR (Human placenta choriocarcinoma cell line) whole cell lysate at 20 µg

Secondary

All lanes:

Goat Anti-Rabbit IgG, (H+L), Peroxidase conjugated at 1/1000 dilution

Predicted band size: 37 kDa,45 kDa

Observed band size: 120 kDa

false

Exposure time: 30s

Western blot - Anti-LAMP2A antibody [EPR4207(2)] - Lysosome Marker (AB125068)
  • WB

Supplier Data

Western blot - Anti-LAMP2A antibody [EPR4207(2)] - Lysosome Marker (AB125068)

Blocking and Diluting buffer and concentration : 5% NFDM/TBST

All lanes:

Western blot - Anti-LAMP2A antibody [EPR4207(2)] - Lysosome Marker (ab125068) at 1/5000 dilution

All lanes:

HeLa (Human epithelial cells from cervix adenocarcinoma) whole cell lysate at 20 µg

Secondary

All lanes:

Goat Anti-Rabbit IgG, (H+L), Peroxidase conjugated at 1/1000 dilution

Predicted band size: 45 kDa

Observed band size: 120 kDa

false

Exposure time: 3min

Western blot - Anti-LAMP2A antibody [EPR4207(2)] - Lysosome Marker (AB125068)
  • WB

Lab

Western blot - Anti-LAMP2A antibody [EPR4207(2)] - Lysosome Marker (AB125068)

False colour image of Western blot : Anti-LAMP2A antibody [EPR4207(2)] - Lysosome Marker staining at 1/2000 dilution, shown in green; Mouse anti-Alpha Tubulin [DM1A] (ab7291) loading control staining at 1/20000 dilution, shown in red. In Western blot, ab125068 was shown to bind specifically to LAMP2A. A band was observed at 100 kDa in wild-type HeLa cell lysates with no signal observed at this size in LAMP2 CRISPR-Cas9 edited cell line ab255402 (CRISPR-Cas9 edited cell lysate ab263861). The band observed in the CRISPR-Cas9 edited lysate lane below 100 kDa is likely to represent a truncated form of LAMP2A. This has not been investigated further and the functional properties of the gene product have not been determined. To generate this image, wild-type and LAMP2 CRISPR-Cas9 edited HeLa cell lysates were analysed. First, samples were run on an SDS-PAGE gel then transferred onto a nitrocellulose membrane. Membranes were blocked in 3 % milk in TBS-0.1 % Tween® 20 (TBS-T) before incubation with primary antibodies overnight at 4 °C. Blots were washed four times in TBS-T, incubated with secondary antibodies for 1 h at room temperature, washed again four times then imaged. Secondary antibodies used were Goat anti-Rabbit IgG H&L 800CW and Goat anti-Mouse IgG H&L 680RD at 1/20000 dilution.

All lanes:

Western blot - Anti-LAMP2A antibody [EPR4207(2)] - Lysosome Marker (ab125068) at 1/2000 dilution

Lane 1:

Wild-type HeLa cell lysate at 20 µg

Lane 2:

LAMP2 CRISPR-Cas9 edited HeLa cell lysate at 20 µg

Secondary

All lanes:

Goat anti-Rabbit IgG H&L 800CW and Goat anti-Mouse IgG H&L 680RD at 1/20000 dilution

Observed band size: 100 kDa

false

Western blot - Anti-LAMP2A antibody [EPR4207(2)] - Lysosome Marker (AB125068)
  • WB

Lab

Western blot - Anti-LAMP2A antibody [EPR4207(2)] - Lysosome Marker (AB125068)

Blocking and diluting buffer and concentration : 5% NFDM /TBST. ab181602 was used as a GAPDH loading control. LAMP2A is highly expressed in placenta, lung and liver, less in kidney and pancreas, low in brain and skeletal muscle (PMID : 10212251PubMed : 7488019, PubMed : 26856698). For better using it in tissue with low expression level, we suggest optimizing experimental protocols (increasing lysate amount, using lower dilution or higher sensitivity ECL substrate).

All lanes:

Western blot - Anti-LAMP2A antibody [EPR4207(2)] - Lysosome Marker (ab125068) at 1/1000 dilution

All lanes:

Western blot at 20 µg

Secondary

All lanes:

Western blot - Goat Anti-Rabbit IgG H&L (HRP) (<a href='/en-us/products/secondary-antibodies/goat-rabbit-igg-h-l-hrp-ab97051'>ab97051</a>) at 1/20000 dilution

Predicted band size: 45 kDa

Observed band size: 100 kDa

false

Exposure time: 40s

Western blot - Anti-LAMP2A antibody [EPR4207(2)] - Lysosome Marker (AB125068)
  • WB

Supplier Data

Western blot - Anti-LAMP2A antibody [EPR4207(2)] - Lysosome Marker (AB125068)

Blocking and Diluting buffer and concentration : 5% NFDM /TBST

All lanes:

Western blot - Anti-LAMP2A antibody [EPR4207(2)] - Lysosome Marker (ab125068) at 1/2000 dilution

Lane 1:

Mouse kidney at 10 µg

Lane 2:

RAW 264.7 (Mouse macrophage cells transformed with Abelson murine leukemia virus) whole cell lysate at 10 µg

Lane 3:

NIH/3T3 (Mouse embyro fibroblast cells) whole cell lysate at 10 µg

Secondary

All lanes:

Goat Anti-Rabbit IgG, (H+L), Peroxidase conjugated at 1/1000 dilution

Predicted band size: 45 kDa

Observed band size: 120 kDa

false

Exposure time: 3min

Western blot - Anti-LAMP2A antibody [EPR4207(2)] - Lysosome Marker (AB125068)
  • WB

Supplier Data

Western blot - Anti-LAMP2A antibody [EPR4207(2)] - Lysosome Marker (AB125068)

Blocking and Diluting buffer and concentration : 5% NFDM/TBST.

All lanes:

Western blot - Anti-LAMP2A antibody [EPR4207(2)] - Lysosome Marker (ab125068) at 1/2000 dilution

Lane 1:

Rat liver at 10 µg

Lane 2:

Rat kidney at 10 µg

Lane 3:

C6 (Rat glial tumor cells) whole cell lysate at 10 µg

Lane 4:

PC-12 (Rat adrenal gland pheochromocytoma) whole cell lysate at 10 µg

Secondary

All lanes:

Goat Anti-Rabbit IgG, (H+L), Peroxidase conjugated at 1/1000 dilution

Predicted band size: 45 kDa

false

Exposure time: 3min

Western blot - Anti-LAMP2A antibody [EPR4207(2)] - Lysosome Marker (AB125068)
  • WB

Lab

Western blot - Anti-LAMP2A antibody [EPR4207(2)] - Lysosome Marker (AB125068)

Blocking and dilution buffer : 5% NFDM/TBST.

Difference in MW may be caused by different degree of glycosylation.

All lanes:

Western blot - Anti-LAMP2A antibody [EPR4207(2)] - Lysosome Marker (ab125068) at 1/2000 dilution

Lane 1:

Mouse kidney tissue lysate at 20 µg

Lane 2:

Rat kidney tissue lysate at 20 µg

Secondary

All lanes:

Peroxidase-conjugated goat anti-rabbit IgG, (H+L) at 1/1000 dilution

Predicted band size: 45 kDa

Observed band size: 100 kDa

false

  • 665 Alexa Fluor® 647

    Alexa Fluor® 647 Anti-LAMP2A antibody [EPR4207(2)] - Lysosome Marker

  • 565 Alexa Fluor® 555

    Alexa Fluor® 555 Anti-LAMP2A antibody [EPR4207(2)] - Lysosome Marker

  • 617 Alexa Fluor® 594

    Alexa Fluor® 594 Anti-LAMP2A antibody [EPR4207(2)] - Lysosome Marker

  • 660 APC

    APC Anti-LAMP2A antibody [EPR4207(2)] (Lysosome Marker)

  • HRP

    HRP Anti-LAMP2A antibody [EPR4207(2)] (Lysosome Marker)

  • 519 Alexa Fluor® 488

    Alexa Fluor® 488 Anti-LAMP2A antibody [EPR4207(2)]

  • 603 Alexa Fluor® 568

    Alexa Fluor® 568 Anti-LAMP2A antibody [EPR4207(2)] - Lysosome Marker

  • Carrier free

    Anti-LAMP2A antibody [EPR4207(2)] - BSA and Azide free

  • 578 PE

    PE Anti-LAMP2A antibody [EPR4207(2)] (Lysosome Marker)

  • 775 Alexa Fluor® 750

    Alexa Fluor® 750 Anti-LAMP2A antibody [EPR4207(2)] - Lysosome Marker

Key facts

Host species

Rabbit

Clonality

Monoclonal

Clone number

EPR4207(2)

Isotype

IgG

Carrier free

No

Reacts with

Mouse, Rat, Human

Applications

IP, ICC/IF, IHC-P, Flow Cyt (Intra), WB

applications

Immunogen

The exact immunogen used to generate this antibody is proprietary information.

Specificity

LAMP2A is highly expressed in placenta, lung and liver, less in kidney and pancreas, low in brain and skeletal muscle (PMID: 10212251PubMed:7488019, PubMed:26856698).
For better using it in tissue with low expression level, we suggest optimizing experimental protocols (increasing lysate amount, using lower dilution or higher sensitivity ECL substrate).

Reactivity data

{ "title": "Reactivity Data", "filters": { "stats": ["", "Species", "Dilution Info", "Notes"], "tabs": { "all-applications": {"fullname" : "All Applications", "shortname": "All Applications"}, "IHCP" : {"fullname" : "Immunohistochemistry (Formalin/PFA-fixed paraffin-embedded sections)", "shortname":"IHC-P"}, "IP" : {"fullname" : "Immunoprecipitation", "shortname":"IP"}, "WB" : {"fullname" : "Western blot", "shortname":"WB"}, "FlowCytIntra" : {"fullname" : "Flow Cytometry (Intracellular)", "shortname":"Flow Cyt (Intra)"}, "ICCIF" : {"fullname" : "Immunocytochemistry/ Immunofluorescence", "shortname":"ICC/IF"} }, "product-promise": { "all": "all", "testedAndGuaranteed": "tested", "guaranteed": "expected", "predicted": "predicted", "notRecommended": "not-recommended" } }, "values": { "Human": { "IHCP-species-checked": "testedAndGuaranteed", "IHCP-species-dilution-info": "1/200 - 1/500", "IHCP-species-notes": "<p></p> Perform heat-mediated antigen retrieval before commencing with IHC staining protocol.", "IP-species-checked": "testedAndGuaranteed", "IP-species-dilution-info": "1/60 - 1/100", "IP-species-notes": "<p></p>", "WB-species-checked": "testedAndGuaranteed", "WB-species-dilution-info": "1/2000", "WB-species-notes": "<p></p>", "FlowCytIntra-species-checked": "testedAndGuaranteed", "FlowCytIntra-species-dilution-info": "1/1000", "FlowCytIntra-species-notes": "<p></p>", "ICCIF-species-checked": "testedAndGuaranteed", "ICCIF-species-dilution-info": "0.04-13 µg/mL", "ICCIF-species-notes": "<p>We recommend permeabilisation with 0.1% Tween-20, 5 min.</p>" }, "Mouse": { "IHCP-species-checked": "testedAndGuaranteed", "IHCP-species-dilution-info": "1/200 - 1/500", "IHCP-species-notes": "<p></p> Perform heat-mediated antigen retrieval before commencing with IHC staining protocol.", "IP-species-checked": "testedAndGuaranteed", "IP-species-dilution-info": "1/60 - 1/100", "IP-species-notes": "<p></p>", "WB-species-checked": "testedAndGuaranteed", "WB-species-dilution-info": "1/2000", "WB-species-notes": "<p></p>", "FlowCytIntra-species-checked": "guaranteed", "FlowCytIntra-species-dilution-info": "", "FlowCytIntra-species-notes": "", "ICCIF-species-checked": "notRecommended", "ICCIF-species-dilution-info": "0.04-1 µg/mL", "ICCIF-species-notes": "<p></p>" }, "Rat": { "IHCP-species-checked": "testedAndGuaranteed", "IHCP-species-dilution-info": "1/200 - 1/500", "IHCP-species-notes": "<p></p> Perform heat-mediated antigen retrieval before commencing with IHC staining protocol.", "IP-species-checked": "guaranteed", "IP-species-dilution-info": "", "IP-species-notes": "", "WB-species-checked": "testedAndGuaranteed", "WB-species-dilution-info": "1/2000", "WB-species-notes": "<p></p>", "FlowCytIntra-species-checked": "guaranteed", "FlowCytIntra-species-dilution-info": "", "FlowCytIntra-species-notes": "", "ICCIF-species-checked": "notRecommended", "ICCIF-species-dilution-info": "", "ICCIF-species-notes": "<p></p>" } } }

Product details

Product Specifications

Anti-LAMP2A antibody [EPR4207(2)] - Lysosome Marker (ab125068) was developed by Abcam using patented rabbit monoclonal antibody technology and is validated for use in Flow Cyt (Intra), ICC/IF, IHC-P, IP, WB in human, mouse, rat samples.
Anti-LAMP2A antibody [EPR4207(2)] - Lysosome Marker (ab125068) specifically detects LAMP2A (UniProt ID: P13473; Molecular weight: 42kDa) and is sold in 100 µL and 1 mL selling sizes.

Quality and Validation

Abcam's high quality manufacturing and validation processes ensure Anti-LAMP2A antibody [EPR4207(2)] - Lysosome Marker (ab125068) has high sensitivity and specificity alongside high lot-to-lot consistency and reproducibility.
The specificity of Anti-LAMP2A antibody [EPR4207(2)] - Lysosome Marker (ab125068) has been confirmed by testing in knockout samples.
Anti-LAMP2A antibody [EPR4207(2)] - Lysosome Marker (ab125068) has been cited over 53 times in peer reviewed journals and is trusted by the scientific community.

Related Products
Conjugation-ready, carrier free format available for antibody clone EPR4207(2) - ab240018.
Antibody clone EPR4207(2) is also available pre-conjugated to a variety of labels for your convenience - Alexa Fluor® 594, Alexa Fluor® 555, Alexa Fluor® 647, PE, APC, HRP, Alkaline Phosphatase, Alexa Fluor® 488, Alexa Fluor® 568, Alexa Fluor® 750 (ab281931, ab282009, ab284133, ab305387, ab305388, ab305389, ab309054, ab309845, ab312675, ab320999).

Patented technology
Our RabMAb® technology is a patented hybridoma-based technology for making rabbit monoclonal antibodies. For details on our patents, please refer to RabMAb® patents.

What are the advantages of a recombinant monoclonal antibody?
This product is a recombinant monoclonal antibody, which offers several advantages including:

  • - High batch-to-batch consistency and reproducibility
  • - Improved sensitivity and specificity
  • - Long-term security of supply
  • - Animal-free batch production

For more information, read more on recombinant antibodies.

Shipping conditions update: ambient shipping

This product will be delivered at ambient temperature instead of chilled – this is by design. Extensive stability testing confirmed that our products are suitable for shipment under ambient conditions and maintain expected quality.

Why the change?

It’s part of our commitment to more sustainable packaging solutions, with ambient deliveries using eco-friendly materials such as recyclable cardboard instead of polystyrene.

What you need to know

  • Ambient shipments come clearly marked on the delivery note.
  • No ice will be included in ambient shipments, but mixed orders (ambient and cold-chain items) will still arrive with ice packs to protect temperature-sensitive products.
  • Warranty coverage remains fully valid, aligned with our validated shipping method.
  • Please store the product as per the datasheet instructions upon receipt.

Find out more - https://www.abcam.com/en-us/support/shipping-storage-support/ambient-shipping

Properties and storage information

Form
Liquid
Purification technique
Affinity purification Protein A
Storage buffer
pH: 7.2 - 7.4 Preservative: 0.01% Sodium azide Constituents: PBS, 40% Glycerol (glycerin, glycerine), 0.05% BSA
Shipped at conditions
Conditional Ambient
Appropriate short-term storage duration
1-2 weeks
Appropriate short-term storage conditions
+4°C
Appropriate long-term storage conditions
-20°C
Aliquoting information
Upon delivery aliquot
Storage information
Stable for 12 months at -20°C

Supplementary information

This supplementary information is collated from multiple sources and compiled automatically.

LAMP2A also known as lysosome-associated membrane protein 2A functions as a lysosomal marker and plays a role in the lysosome size and structure regulation. Its molecular weight is approximately 45 kDa. This protein is expressed mainly in tissues with high metabolic activity such as liver kidney and heart. LAMP2A is an integral component of the lysosomal membrane and is important for the proper function and maintenance of lysosomes which are cellular organelles involved in the degradation and recycling of macromolecules.
Biological function summary

LAMP2A facilitates chaperone-mediated autophagy (CMA) a specific mechanism for the selective degradation of proteins. It is not part of a larger complex but rather acts independently within the lysosomal membrane. This transport functions through recognizing cytosolic proteins containing a KFERQ-like motif which are then translocated into the lysosome for degradation. LAMP2A upholds cellular homeostasis and is important in adapting to cellular stress by facilitating the turnover of damaged or unnecessary proteins.

Pathways

LAMP2A is intimately involved in the CMA pathway. This pathway is important for regulating protein quality control often linked with other autophagic processes. LAMP2A also interacts with the heat shock cognate protein (HSC70) which assists in unfolding and transporting substrate proteins to lysosomes. Through these interactions LAMP2A helps maintain cellular proteostasis which is essential for cellular function and survival especially during stress conditions.

LAMP2A is connected to lysosomal storage disorders such as Danon disease. This disease is characterized by the accumulation of autophagic vacuoles due to defects in lysosomal function. LAMP2A mutations alter lysosomal degradation capabilities leading to severe cardiomyopathy and myopathy. Additionally LAMP2A has implications in neurodegenerative diseases like Parkinson's disease due to its role in protein degradation pathways. In these contexts malfunction or altered expression of LAMP2A can disrupt cellular clearance processes contributing to pathogenesis along with proteins such as alpha-synuclein.

Product protocols

For this product, it's our understanding that no specific protocols are required. You can visit:

Target data

The protein expressed by gene LAMP2 plays an important role in chaperone-mediated autophagy, facilitating the lysosomal degradation of proteins in response to various stresses and as part of normal protein turnover, especially for those with a long biological half-life. It functions by binding target proteins like GAPDH and MLLT11, directing them for lysosomal degradation, and is necessary for the fusion of autophagosomes with lysosomes during autophagy. Although cells lacking LAMP2 express normal VAMP8 levels, they fail to accumulate STX17 on autophagosomes, likely explaining the fusion failure between autophagosomes and lysosomes. LAMP2 is essential for the normal degradation of autophagosomal contents and efficient MHCII-mediated presentation of exogenous antigens, as it facilitates lysosomal protein degradation. It is not required for the presentation of endogenous antigens via MHCII. Specifically, isoform LAMP-2C modulates chaperone-mediated autophagy, reduces presentation of endogenous antigens by MHCII, and does not influence the presentation of exogenous and membrane-derived antigens by MHCII. This supplementary information is collated from multiple sources and compiled automatically.
See full target information LAMP2

Publications (89)

Recent publications for all applications. Explore the full list and refine your search

Cell death & disease 16:710 PubMed41057318

2025

CTRP9 as a myokine mitigates sarcopenia via the LAMP-2A/NLRP3 pathway.

Applications

Unspecified application

Species

Unspecified reactive species

Linxi Li,Anju Zuo,Ruoyu Yin,Qiangqiang Liu,Chen Liu,Na Li,Dan Xu,Shaomeng Zhang,Jiarui Li,Shengyun Lei,Shiyan Ruan,Tingting Li,Yuan Guo

Bone research 13:62 PubMed40506462

2025

Chaperone-mediated autophagy directs a dual mechanism to balance premature senescence and senolysis to prevent intervertebral disc degeneration.

Applications

Unspecified application

Species

Unspecified reactive species

Zhangrong Cheng,Haiyang Gao,Pengzhi Shi,Anran Zhang,Xianglong Chen,Yuhang Chen,Weikang Gan,Kangcheng Zhao,Shuai Li,Cao Yang,Yukun Zhang

Scientific reports 15:18981 PubMed40447728

2025

Role of galectin-9 in the development of gestational diabetes mellitus.

Applications

Unspecified application

Species

Unspecified reactive species

Haya Hamed Hassan Albuayjan,Mayu Watanabe,Ryosuke Sugawara,Eri Katsuyama,Koki Mise,Yukiko Oi,Ayaka Kanno,BoXuan Yang,Toshihisa Tahara,Ichiro Nojima,Atsuko Nakatsuka,Jun Eguchi,Jota Maki,Eriko Eto,Kei Hayata,Hisashi Masuyama,Jun Wada

Frontiers in molecular neuroscience 18:1562954 PubMed40356869

2025

Traumatic brain injury and autophagy: a pilot study about the immunohistochemical expression of LC3B, Beclin 1, p62, and LAMP2A in human autoptic samples.

Applications

Unspecified application

Species

Unspecified reactive species

Tommaso Livieri,Letizia Alfieri,Emiliana Giacomello,Djordje Alempijević,Tijana Petrovic,Yanko Georgiev Kolev,Davide Radaelli,Margherita Neri,Stefano D'Errico

Respiratory research 26:128 PubMed40205454

2025

High matrix stiffness promotes senescence of type II alveolar epithelial cells by lysosomal degradation of lamin A/C in pulmonary fibrosis.

Applications

Unspecified application

Species

Unspecified reactive species

Junhui Ba,Changyu Zheng,Yimei Lai,Xin He,Yuxi Pan,Yanqiu Zhao,Huihui Xie,Benquan Wu,Xiao Deng,Nan Wang

Theranostics 15:3207-3222 PubMed40083918

2025

Enhanced therapeutic efficacy of anti-PD-1 blockade by targeting LAMP2A inhibits lysosomal degradation of STING and TBK1.

Applications

Unspecified application

Species

Unspecified reactive species

Xueying Wang,Diekuo Zhang,Jiaqing Xiao,Lei Wang,Junrong Wang,Xiaoqiao Cui,Jiaqi Tan,Yong Liu,Susheng Miao

Cancer cell international 25:81 PubMed40055698

2025

Aniline TFPA enhances camptothecin-induced anti-NSCLC by modulating oxidative stress and impairing autophagy.

Applications

Unspecified application

Species

Unspecified reactive species

Han-Lin Chou,I-Ling Lin,Yei-Tsung Chen,Wen-Tsan Chang,Ann Yu,Wei-Chun Chen,Chang-Yi Wu,Shean-Jaw Chiou,Chih-Wen Shu,Chien-Chih Chiu,Pei-Feng Liu

Cell communication and signaling : CCS 23:122 PubMed40050998

2025

TFE3 fusion proteins promote the progression of TFE3 rearranged renal cell carcinoma via enhancing chaperone-mediated lipophagy.

Applications

Unspecified application

Species

Unspecified reactive species

Wenliang Ma,Yi Chen,Guijuan Chen,Lei Yang,Yanwen Lu,Xiang Dong,Dongmei Li,Weidong Gan

Nature communications 16:2071 PubMed40021646

2025

ACSS2 drives senescence-associated secretory phenotype by limiting purine biosynthesis through PAICS acetylation.

Applications

Unspecified application

Species

Unspecified reactive species

Li Yang,Jianwei You,Xincheng Yang,Ruishu Jiao,Jie Xu,Yue Zhang,Wen Mi,Lingzhi Zhu,Youqiong Ye,Ruobing Ren,Delin Min,Meilin Tang,Li Chen,Fuming Li,Pingyu Liu

Clinical and translational medicine 15:e70202 PubMed39924645

2025

Role of the FOXM1/CMA/ER stress axis in regulating the progression of nonalcoholic steatohepatitis.

Applications

Unspecified application

Species

Unspecified reactive species

Shuoyi Ma,Erzhuo Xia,Miao Zhang,Yinan Hu,Siyuan Tian,Xiaohong Zheng,Bo Li,Gang Ma,Rui Su,Keshuai Sun,Qingling Fan,Fangfang Yang,Guanya Guo,Changcun Guo,Yulong Shang,Xinmin Zhou,Xia Zhou,Jingbo Wang,Ying Han
View all publications

Product promise

We are committed to supporting your work with high-quality reagents, and we're here for you every step of the way. In the unlikely event that one of our products does not perform as expected, you're protected by our Product Promise.
For full details, please see our Terms & Conditions

Please note: All products are 'FOR RESEARCH USE ONLY. NOT FOR USE IN DIAGNOSTIC OR THERAPEUTIC PROCEDURES'.

For licensing inquiries, please contact partnerships@abcam.com