JavaScript is disabled in your browser. Please enable JavaScript to view this website.
AB18528

Anti-LAMP2A antibody - Lysosome Marker

4

(15 Reviews)

|

(230 Publications)

Anti-LAMP2A antibody - Lysosome Marker (ab18528) is a rabbit polyclonal antibody detecting LAMP2A in Western Blot, IHC-P, ICC/IF. Suitable for Human, Mouse.

- Over 170 publications
- Trusted since 2006

View Alternative Names

CD107b, Lysosome-associated membrane glycoprotein 2, LAMP-2, Lysosome-associated membrane protein 2, CD107 antigen-like family member B, LGP-96, LAMP2

7 Images
Immunohistochemistry (Formalin/PFA-fixed paraffin-embedded sections) - Anti-LAMP2A antibody - Lysosome Marker (AB18528)
  • IHC-P

Unknown

Immunohistochemistry (Formalin/PFA-fixed paraffin-embedded sections) - Anti-LAMP2A antibody - Lysosome Marker (AB18528)

IHC image of Lamp2A staining in human breast adenocarcinoma formalin fixed paraffin embedded tissue section, performed on a Leica Bond™ system using the standard protocol F. The section was pre-treated using heat mediated antigen retrieval with sodium citrate buffer (pH6, epitope retrieval solution 1) for 20 mins. The section was then incubated with ab18528, 5μg/ml, for 15 mins at room temperature and detected using an HRP conjugated compact polymer system. DAB was used as the chromogen. The section was then counterstained with haematoxylin and mounted with DPX.

For other IHC staining systems (automated and non-automated) customers should optimize variable parameters such as antigen retrieval conditions, primary antibody concentration and antibody incubation times.

Immunocytochemistry/ Immunofluorescence - Anti-LAMP2A antibody - Lysosome Marker (AB18528)
  • ICC/IF

Lab

Immunocytochemistry/ Immunofluorescence - Anti-LAMP2A antibody - Lysosome Marker (AB18528)

ab18528 staining LAMP2 in MCF7 cells. The cells were fixed with 100% methanol (5 min), permeabilized with 0.1% PBS-Tween for 5 minutes and then blocked with 1% BSA/10% normal goat serum/0.3M glycine in 0.1%PBS-Tween for 1h. The cells were then incubated overnight at 4°C with ab18528 at 1µg/ml and ab7291, Mouse monoclonal [DM1A] to alpha Tubulin - Loading Control. Cells were then incubated with ab150081, Goat polyclonal Secondary Antibody to Rabbit IgG - H&L (Alexa Fluor® 488), pre-adsorbed at 1/1000 dilution (shown in green) and ab150120, Goat polyclonal Secondary Antibody to Mouse IgG - H&L (Alexa Fluor® 594), pre-adsorbed at 1/1000 dilution (shown in pseudocolour red). Nuclear DNA was labelled with DAPI (shown in blue).

Image was acquired with a high-content analyser (Operetta CLS, Perkin Elmer) and a maximum intensity projection of confocal sections is shown.

Immunocytochemistry/ Immunofluorescence - Anti-LAMP2A antibody - Lysosome Marker (AB18528)
  • ICC/IF

Unknown

Immunocytochemistry/ Immunofluorescence - Anti-LAMP2A antibody - Lysosome Marker (AB18528)

ab18528 staining Lamp2A in CaCO2 cells treated with SB 202190 (ab120638), by ICC/IF. Increase of Lamp2A expression correlates with increased concentration of SB 202190, as described in literature.
The cells were incubated at 37°C for 3 hours in media containing different concentrations of ab120638 (SB 202190) in DMSO, fixed with 4% formaldehyde for 10 minutes at room temperature and blocked with PBS containing 10% goat serum, 0.3 M glycine, 1% BSA and 0.1% tween for 2h at room temperature. Staining of the treated cells with ab18528 (5 μg/ml) was performed overnight at 4°C in PBS containing 1% BSA and 0.1% tween. A DyLight 488 anti-rabbit polyclonal antibody (ab96899) at 1/250 dilution was used as the secondary antibody. Nuclei were counterstained with DAPI and are shown in blue.

Immunocytochemistry/ Immunofluorescence - Anti-LAMP2A antibody - Lysosome Marker (AB18528)
  • ICC/IF

Supplier Data

Immunocytochemistry/ Immunofluorescence - Anti-LAMP2A antibody - Lysosome Marker (AB18528)

Side-by-side comparison of ICC performance using the rabbit polyclonal ab18528 and RabMab® ab125068. Staining was performed on wild-type HeLa cells (top panel) and LAMP2 knockout HeLa cells (bottom panel, available as ab255402). The cells were fixed with 4% PFA (10 min), permeabilized with 0.1% Tween-20 for 5 minutes and then blocked with 1% BSA/10% normal goat serum/0.3M glycine in 0.1% PBS-Tween for 1h. The cells were then incubated with ab18528 or ab125068 overnight at +4°C at 3 different concentrations : 1.0 μg/mL, 0.2 μg/mL and 0.04 μg/mL. Secondary antibody incubation was at room temperature for 1h with a goat secondary antibody to Rabbit IgG (Alexa Fluor® 488) (ab150081) (shown in green) at 1/1000 and nuclear DNA was labelled with DAPI (shown in blue). Images were acquired with a high-content analyser (Operetta CLS, Perkin Elmer) and a maximum intensity projection of confocal sections is shown. Some cytoplasmic cross-reactivity is seen using ab18528 at 1.0 μg/mL, but further titration of the antibody improves the ICC staining result. The RabMab® ab125068 shows negligiblenon-specific staining across the dilution range. Quantification of the antibody signal was performed using a minimum of 135 cells and data are presented as mean ± SD.Optimal dilutions/concentrations may vary across different cell types/experiment conditions and should be determined by the end user.

Immunocytochemistry/ Immunofluorescence - Anti-LAMP2A antibody - Lysosome Marker (AB18528)
  • ICC/IF

Supplier Data

Immunocytochemistry/ Immunofluorescence - Anti-LAMP2A antibody - Lysosome Marker (AB18528)

Side-by-side comparison of ICC performance using the rabbit polyclonal ab18528 and RabMab® ab125068. Staining was performed on wild-type HeLa cells (top panel) and LAMP2 knockout HeLa cells (bottom panel, available as ab255402). The cells were fixed with 100% methanol (5 min), permeabilized with 0.1% Tween-20 for 5 minutes and then blocked with 1% BSA/10% normal goat serum/0.3M glycine in 0.1% PBS-Tween for 1h. The cells were then incubated with ab18528 or ab125068 overnight at +4°C at 3 different concentrations : 1.0 μg/mL, 0.2 μg/mL and 0.04 μg/mL. Secondary antibody incubation was at room temperature for 1h with a goat secondary antibody to Rabbit IgG (Alexa Fluor® 488) (ab150081) (shown in green) at 1/1000 and nuclear DNA was labelled with DAPI (shown in blue). Images were acquired with a high-content analyser (Operetta CLS, Perkin Elmer) and a maximum intensity projection of confocal sections is shown. Some cytoplasmic cross-reactivity is seen using ab18528 at 1.0 μg/mL, but further titration of the antibody improves the ICC staining result. The RabMab® ab125068 shows negligible non-specific staining across the dilution range. Quantification of the antibody signal was performed using a minimum of 180 cells and data are presented as mean ± SD.Optimal dilutions/concentrations may vary across different cell types/experiment conditions and should be determined by the end user.

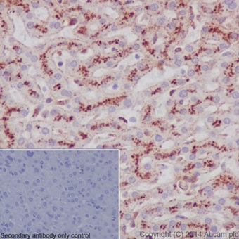
Immunohistochemistry (Formalin/PFA-fixed paraffin-embedded sections) - Anti-LAMP2A antibody - Lysosome Marker (AB18528)
  • IHC-P

Lab

Immunohistochemistry (Formalin/PFA-fixed paraffin-embedded sections) - Anti-LAMP2A antibody - Lysosome Marker (AB18528)

Immunohistochemical analysis of formalin fixed paraffin embedded human liver labelling LAMP2A with ab18528 at a concentration of 0.1µg/ml. The immunostaining was performed on a Ventana DISCOVERY ULTRA (Roche Tissue Diagnostics) instrument with a OptiView DAB IHC Detection Kit. Heat mediated antigen retrieval was performed with DISCOVERY cell conditioning solution (CC1) 100°C, pH8.5 for 32mins.

ab18528 Anti-LAMP2A antibody was incubated for 16mins at 37°C. Sections were counterstained with Hematoxylin II. Image inset shows absence of staining in secondary antibody only control.

Customers are encouraged to optimise antigen retrieval conditions, antibody concentration, incubation times and temperature for best results in their own IHC assay workflow (automated and manual).

Western blot - Anti-LAMP2A antibody - Lysosome Marker (AB18528)
  • WB

Unknown

Western blot - Anti-LAMP2A antibody - Lysosome Marker (AB18528)

Abcam recommends using 3% milk as the blocking agent.

Lanes 3 and 4 are human liver tissue lysates, total protein.

All lanes:

Western blot - Anti-LAMP2A antibody - Lysosome Marker (ab18528) at 1 µg/mL

Lane 1:

MEF1 (Mouse embryonic fibroblast cell line) Whole Cell Lysate at 20 µg

Lane 2:

Lung (Mouse) Tissue Lysate at 20 µg

Lane 3:

Human liver tissue lysate - total protein (<a href='/en-us/products/unavailable/human-liver-tissue-lysate-total-protein-ab29889'>ab29889</a>) at 20 µg

Lane 4:

Human liver left lobe tissue lysate - membrane extract (<a href='/en-us/products/unavailable/human-liver-left-lobe-tissue-lysate-membrane-extract-ab29086'>ab29086</a>) at 20 µg

Secondary

All lanes:

Western blot - Goat Anti-Rabbit IgG H&L (HRP) (<a href='/en-us/products/secondary-antibodies/goat-rabbit-igg-h-l-hrp-ab97051'>ab97051</a>) at 1/10000 dilution

Predicted band size: 45 kDa

Observed band size: 105 kDa,30 kDa,35 kDa,55 kDa

true

Exposure time: 8min

Key facts

Host species

Rabbit

Clonality

Polyclonal

Isotype

IgG

Carrier free

No

Reacts with

Mouse, Human

Applications

IHC-P, WB, ICC/IF

applications

Immunogen

The exact immunogen used to generate this antibody is proprietary information.

Specificity

Replenishment batches of our polyclonal antibody, ab18528 are tested in WB. Previous batches were additionally validated in ICC/IF and IHC-P. These applications are still expected to work and are covered by our Abpromise guarantee. You may also be interested in our alternative recombinant antibody, ab125068.

Reactivity data

{ "title": "Reactivity Data", "filters": { "stats": ["", "Species", "Dilution Info", "Notes"], "tabs": { "all-applications": {"fullname" : "All Applications", "shortname": "All Applications"}, "WB" : {"fullname" : "Western blot", "shortname":"WB"}, "ICCIF" : {"fullname" : "Immunocytochemistry/ Immunofluorescence", "shortname":"ICC/IF"}, "IHCP" : {"fullname" : "Immunohistochemistry (Formalin/PFA-fixed paraffin-embedded sections)", "shortname":"IHC-P"} }, "product-promise": { "all": "all", "testedAndGuaranteed": "tested", "guaranteed": "expected", "predicted": "predicted", "notRecommended": "not-recommended" } }, "values": { "Human": { "WB-species-checked": "testedAndGuaranteed", "WB-species-dilution-info": "0.5-1 µg/mL", "WB-species-notes": "<p>Abcam recommends using 3% milk as the blocking agent.</p>", "ICCIF-species-checked": "testedAndGuaranteed", "ICCIF-species-dilution-info": "0.04-1 µg/mL", "ICCIF-species-notes": "<p></p>", "IHCP-species-checked": "testedAndGuaranteed", "IHCP-species-dilution-info": "1 µg/mL", "IHCP-species-notes": "<p></p> Perform heat-mediated antigen retrieval before commencing with IHC staining protocol." }, "Mouse": { "WB-species-checked": "testedAndGuaranteed", "WB-species-dilution-info": "0.5-1 µg/mL", "WB-species-notes": "<p>Abcam recommends using 3% milk as the blocking agent.</p>", "ICCIF-species-checked": "guaranteed", "ICCIF-species-dilution-info": "", "ICCIF-species-notes": "", "IHCP-species-checked": "guaranteed", "IHCP-species-dilution-info": "", "IHCP-species-notes": "" }, "Chinese hamster": { "WB-species-checked": "predicted", "WB-species-dilution-info": "", "WB-species-notes": "", "ICCIF-species-checked": "predicted", "ICCIF-species-dilution-info": "", "ICCIF-species-notes": "", "IHCP-species-checked": "predicted", "IHCP-species-dilution-info": "", "IHCP-species-notes": "" }, "Dog": { "WB-species-checked": "predicted", "WB-species-dilution-info": "", "WB-species-notes": "", "ICCIF-species-checked": "predicted", "ICCIF-species-dilution-info": "", "ICCIF-species-notes": "", "IHCP-species-checked": "predicted", "IHCP-species-dilution-info": "", "IHCP-species-notes": "" }, "Monkey": { "WB-species-checked": "predicted", "WB-species-dilution-info": "", "WB-species-notes": "", "ICCIF-species-checked": "predicted", "ICCIF-species-dilution-info": "", "ICCIF-species-notes": "", "IHCP-species-checked": "predicted", "IHCP-species-dilution-info": "", "IHCP-species-notes": "" } } }

Product details

Product Specifications

Anti-LAMP2A antibody - Lysosome Marker (ab18528) is a rabbit polyclonal antibody and is validated for use in ICC/IF, IHC-P, WB in human, mouse samples.
Anti-LAMP2A antibody - Lysosome Marker (ab18528) specifically detects LAMP2A (UniProt ID: P13473; Molecular weight: 42kDa) and is sold in 100 µg selling sizes.

Quality and Validation

Abcam's high quality validation processes ensure Anti-LAMP2A antibody - Lysosome Marker (ab18528) has high sensitivity and specificity.
Anti-LAMP2A antibody - Lysosome Marker (ab18528) has been cited over 177 times in peer reviewed journals and is trusted by the scientific community.
Anti-LAMP2A antibody - Lysosome Marker (ab18528) has 16 independent reviews from customers.

Properties and storage information

Form
Liquid
Purification technique
Affinity purification Immunogen
Storage buffer
pH: 7.4 Preservative: 0.02% Sodium azide Constituents: 98.98% PBS, 1% BSA
Shipped at conditions
Blue Ice
Appropriate short-term storage duration
1-2 weeks
Appropriate short-term storage conditions
+4°C
Appropriate long-term storage conditions
-20°C
Aliquoting information
Upon delivery aliquot
Storage information
Avoid freeze / thaw cycle

Supplementary information

This supplementary information is collated from multiple sources and compiled automatically.

LAMP2A also known as lysosome-associated membrane protein 2A functions as a lysosomal marker and plays a role in the lysosome size and structure regulation. Its molecular weight is approximately 45 kDa. This protein is expressed mainly in tissues with high metabolic activity such as liver kidney and heart. LAMP2A is an integral component of the lysosomal membrane and is important for the proper function and maintenance of lysosomes which are cellular organelles involved in the degradation and recycling of macromolecules.
Biological function summary

LAMP2A facilitates chaperone-mediated autophagy (CMA) a specific mechanism for the selective degradation of proteins. It is not part of a larger complex but rather acts independently within the lysosomal membrane. This transport functions through recognizing cytosolic proteins containing a KFERQ-like motif which are then translocated into the lysosome for degradation. LAMP2A upholds cellular homeostasis and is important in adapting to cellular stress by facilitating the turnover of damaged or unnecessary proteins.

Pathways

LAMP2A is intimately involved in the CMA pathway. This pathway is important for regulating protein quality control often linked with other autophagic processes. LAMP2A also interacts with the heat shock cognate protein (HSC70) which assists in unfolding and transporting substrate proteins to lysosomes. Through these interactions LAMP2A helps maintain cellular proteostasis which is essential for cellular function and survival especially during stress conditions.

LAMP2A is connected to lysosomal storage disorders such as Danon disease. This disease is characterized by the accumulation of autophagic vacuoles due to defects in lysosomal function. LAMP2A mutations alter lysosomal degradation capabilities leading to severe cardiomyopathy and myopathy. Additionally LAMP2A has implications in neurodegenerative diseases like Parkinson's disease due to its role in protein degradation pathways. In these contexts malfunction or altered expression of LAMP2A can disrupt cellular clearance processes contributing to pathogenesis along with proteins such as alpha-synuclein.

Product protocols

For this product, it's our understanding that no specific protocols are required. You can visit:

Target data

The protein expressed by gene LAMP2 plays an important role in chaperone-mediated autophagy, facilitating the lysosomal degradation of proteins in response to various stresses and as part of normal protein turnover, especially for those with a long biological half-life. It functions by binding target proteins like GAPDH and MLLT11, directing them for lysosomal degradation, and is necessary for the fusion of autophagosomes with lysosomes during autophagy. Although cells lacking LAMP2 express normal VAMP8 levels, they fail to accumulate STX17 on autophagosomes, likely explaining the fusion failure between autophagosomes and lysosomes. LAMP2 is essential for the normal degradation of autophagosomal contents and efficient MHCII-mediated presentation of exogenous antigens, as it facilitates lysosomal protein degradation. It is not required for the presentation of endogenous antigens via MHCII. Specifically, isoform LAMP-2C modulates chaperone-mediated autophagy, reduces presentation of endogenous antigens by MHCII, and does not influence the presentation of exogenous and membrane-derived antigens by MHCII. This supplementary information is collated from multiple sources and compiled automatically.
See full target information LAMP2

Publications (230)

Recent publications for all applications. Explore the full list and refine your search

Scientific reports 15:28446 PubMed40760135

2025

Aggregation potency and proinflammatory effects of SARS-CoV-2 proteins.

Applications

Unspecified application

Species

Unspecified reactive species

Monica Costa,Da-Wei Wang,Kai-Dong Zhao,Lin Yuan,Anita Krisko,Jia-Yi Li,Tiago Outeiro,Wen Li

Journal of cellular physiology 240:e70074 PubMed40717240

2025

The Parkinson Disease-Associated Mutant DNAJC13(N855S) Leads to Its Accelerated Degradation and Negatively Affects Macroautophagy and Retromer Complex-Mediated Dynamics.

Applications

Unspecified application

Species

Unspecified reactive species

Anna Stein,Stella Vo,Christian Freese,Joram Kluge,Joanna Maus,Ingrid Koziollek-Drechsler,Beate Silva,Christian Behl,Albrecht M Clement

Communications biology 8:1093 PubMed40702291

2025

Sepsis restructures the mitochondrial calcium uniporter complex in the lymphoid tissues of mice and humans.

Applications

Unspecified application

Species

Unspecified reactive species

Xianghong Zhang,Jianguo Lin,Baobo Zou,Jack R Killinger,Andrew C Sayce,Thiagarajan Meyyappan,Zeyu Xiong,Melanie J Scott,Janet S Lee,Matthew R Rosengart

Scientific reports 15:20560 PubMed40595852

2025

Repurposing of CNS accumulating drugs Gemfibrozil and Doxylamine for enhanced sensitization of glioblastoma cells through modulation of autophagy.

Applications

Unspecified application

Species

Unspecified reactive species

Smita Dey,Prerika Mathur,Sudeshna Mukherjee,Rajdeep Chowdhury,Syamantak Majumder,Aniruddha Roy,Shibasish Chowdhury

Breast cancer research : BCR 27:112 PubMed40551171

2025

In vivo imaging of the spatial heterogeneity of intratumoral acidosis (pH) as a marker of the metastatic phenotype in breast cancer.

Applications

Unspecified application

Species

Unspecified reactive species

Alessia Corrado,Nicla Lorito,Annasofia Anemone,Antonella Carella,Daisy Villano,Elisa Pirotta,Francesco Gammaraccio,Angela Subbiani,Marina Bacci,Walter Dastrù,Andrea Morandi,Dario Livio Longo

Alzheimer's & dementia : the journal of the Alzheimer's Association 21:e70369 PubMed40551290

2025

TMEM59 deficiency activates chaperone-mediated autophagy and ameliorates disease-like pathologies in tauopathy model mice.

Applications

Unspecified application

Species

Unspecified reactive species

Naizhen Zheng,Zijie Wang,Jing Cao,Kun Li,Hui Xu,Jinghui Wang,Lingliang Zhang,Jian Meng,Ziqian Tang,Hong Luo,Hao Sun,Xian Zhang,Yun-Wu Zhang

Cell communication and signaling : CCS 23:296 PubMed40537797

2025

Lysosomal targeting of liposomes with acidic pH and Cathepsin B induces protein aggregate clearance.

Applications

Unspecified application

Species

Unspecified reactive species

Minsol Jeon,Da-Eun Kim,So Young Choi,Seoyoung Kim,Seongchan Kim,Hyojin Lee,Hyunkyung Kim

PloS one 20:e0325052 PubMed40504814

2025

Titration-WB: A methodology for accurate quantitative protein determination overcoming reproducibility errors.

Applications

Unspecified application

Species

Unspecified reactive species

Alice Maestri,Ewa Ehrenborg,Olivera Werngren,Maria Olin,Carolina E Hagberg,Matteo Pedrelli,Paolo Parini

Nature communications 16:4890 PubMed40425544

2025

Developing nanobodies as allosteric molecular chaperones of glucocerebrosidase function.

Applications

Unspecified application

Species

Unspecified reactive species

Thomas Dal Maso,Chiara Sinisgalli,Gianluca Zilio,Elisa Franzin,Isabella Tessari,Els Pardon,Jan Steyaert,Steven Ballet,Elisa Greggio,Wim Versées,Nicoletta Plotegher

Journal of extracellular vesicles 14:e70086 PubMed40384174

2025

Extracellular Vesicle-Mediated Delivery of 20S Proteasomes Enhances Tau Degradation in Recipient Cells.

Applications

Unspecified application

Species

Unspecified reactive species

Jiseong Kim,Yuping Zhao,Hyun Young Kim,Sumin Kim,Yanxialei Jiang,Min Jae Lee
View all publications

Product promise

We are committed to supporting your work with high-quality reagents, and we're here for you every step of the way. In the unlikely event that one of our products does not perform as expected, you're protected by our Product Promise.
For full details, please see our Terms & Conditions

Please note: All products are 'FOR RESEARCH USE ONLY. NOT FOR USE IN DIAGNOSTIC OR THERAPEUTIC PROCEDURES'.

For licensing inquiries, please contact partnerships@abcam.com