JavaScript is disabled in your browser. Please enable JavaScript to view this website.
AB183514

Anti-LAMTOR2 antibody [EPR14378]

Be the first to review this product! Submit a review

|

(2 Publications)

Rabbit Recombinant Monoclonal LAMTOR2 antibody. Suitable for WB, IHC-P and reacts with Human samples. Cited in 2 publications.

View Alternative Names

MAPBPIP, ROBLD3, HSPC003, LAMTOR2, Ragulator complex protein LAMTOR2, Endosomal adaptor protein p14, Late endosomal/lysosomal Mp1-interacting protein, Late endosomal/lysosomal adaptor and MAPK and MTOR activator 2, Mitogen-activated protein-binding protein-interacting protein, Roadblock domain-containing protein 3, MAPBP-interacting protein

4 Images
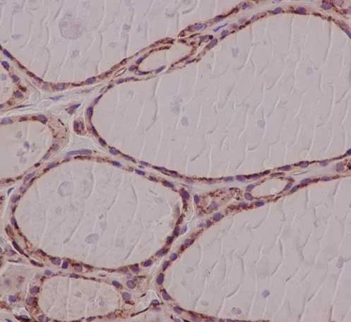
Immunohistochemistry (Formalin/PFA-fixed paraffin-embedded sections) - Anti-LAMTOR2 antibody [EPR14378] (AB183514)
  • IHC-P

Supplier Data

Immunohistochemistry (Formalin/PFA-fixed paraffin-embedded sections) - Anti-LAMTOR2 antibody [EPR14378] (AB183514)

Immunohistochemical analysis of paraffin-embedded Human thyroid tissue labeling LAMTOR2 using ab183514 at a 1/50 dilution, using a HRP Polymer for Rabbit IgG secondary antibody and counterstained with Hematoxylin.

Perform heat mediated antigen retrieval with EDTA buffer pH 9 before commencing with IHC staining protocol.

Western blot - Anti-LAMTOR2 antibody [EPR14378] (AB183514)
  • WB

Supplier Data

Western blot - Anti-LAMTOR2 antibody [EPR14378] (AB183514)

All lanes:

Western blot - Anti-LAMTOR2 antibody [EPR14378] (ab183514) at 1/1000 dilution

Lane 1:

HepG2 cell lysate at 10 µg

Lane 2:

Raji cell lysate at 10 µg

Lane 3:

LnCaP cell lysate at 10 µg

Secondary

All lanes:

Goat Anti-Rabbit IgG, (H+L), Peroxidase conjugated at 1/1000 dilution

Predicted band size: 14 kDa

false

Western blot - Anti-LAMTOR2 antibody [EPR14378] (AB183514)
  • WB

Lab

Western blot - Anti-LAMTOR2 antibody [EPR14378] (AB183514)

Lanes 1-4 : Merged signal (red and green). Green - ab183514 observed at 14 kDa. Red - loading control ab8245 observed at 37 kDa.

ab183514 Anti-LAMTOR2 antibody [EPR14378] was shown to specifically react with LAMTOR2 in wild-type HeLa cells. Loss of signal was observed when knockout cell line ab265828 (knockout cell lysate ab258020) was used. Wild-type and LAMTOR2 knockout samples were subjected to SDS-PAGE. ab183514 and Anti-GAPDH antibody [6C5] - Loading Control (ab8245) were incubated overnight at 4°C at 1 in 1000 dilution and 1 in 20000 dilution respectively. Blots were developed with Goat anti-Rabbit IgG H&L (IRDye® 800CW) preadsorbed (ab216773) and Goat anti-Mouse IgG H&L (IRDye® 680RD) preadsorbed (ab216776) secondary antibodies at 1 in 20000 dilution for 1 hour at room temperature before imaging.

All lanes:

Western blot - Anti-LAMTOR2 antibody [EPR14378] (ab183514) at 1/1000 dilution

Lane 1:

Wild-type HeLa cell lysate at 20 µg

Lane 2:

LAMTOR2 knockout HeLa cell lysate at 20 µg

Lane 2:

Western blot - Human LAMTOR2 knockout HeLa cell line (<a href='/en-us/products/cell-lines/human-lamtor2-knockout-hela-cell-line-ab265828'>ab265828</a>)

Lane 3:

HepG2 cell lysate at 20 µg

Lane 4:

LNCaP cell lysate at 20 µg

Secondary

All lanes:

Western blot - Goat anti-Rabbit IgG H&L (IRDye® 800CW) preadsorbed (<a href='/en-us/products/secondary-antibodies/goat-rabbit-igg-h-l-irdye-800cw-preadsorbed-ab216773'>ab216773</a>) at 1/20000 dilution

Predicted band size: 14 kDa

Observed band size: 14 kDa

false

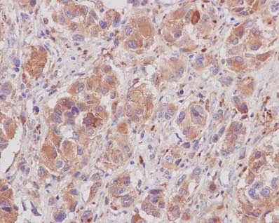
Immunohistochemistry (Formalin/PFA-fixed paraffin-embedded sections) - Anti-LAMTOR2 antibody [EPR14378] (AB183514)
  • IHC-P

Supplier Data

Immunohistochemistry (Formalin/PFA-fixed paraffin-embedded sections) - Anti-LAMTOR2 antibody [EPR14378] (AB183514)

Immunohistochemical analysis of paraffin-embedded Human gastric carcinoma labeling LAMTOR2 using ab183514 at a 1/50 dilution, using a HRP Polymer for Rabbit IgG secondary antibody and counterstained with Hematoxylin.

Perform heat mediated antigen retrieval with EDTA buffer pH 9 before commencing with IHC staining protocol.

  • Carrier free

    Anti-LAMTOR2 antibody [EPR14378] - BSA and Azide free

Key facts

Host species

Rabbit

Clonality

Monoclonal

Clone number

EPR14378

Isotype

IgG

Carrier free

No

Reacts with

Human

Applications

IHC-P, WB

applications

Immunogen

The exact immunogen used to generate this antibody is proprietary information.

Reactivity data

{ "title": "Reactivity Data", "filters": { "stats": ["", "Species", "Dilution Info", "Notes"], "tabs": { "all-applications": {"fullname" : "All Applications", "shortname": "All Applications"}, "WB" : {"fullname" : "Western blot", "shortname":"WB"}, "IHCP" : {"fullname" : "Immunohistochemistry (Formalin/PFA-fixed paraffin-embedded sections)", "shortname":"IHC-P"} }, "product-promise": { "all": "all", "testedAndGuaranteed": "tested", "guaranteed": "expected", "predicted": "predicted", "notRecommended": "not-recommended" } }, "values": { "Human": { "WB-species-checked": "testedAndGuaranteed", "WB-species-dilution-info": "1/1000 - 1/2000", "WB-species-notes": "<p></p>", "IHCP-species-checked": "testedAndGuaranteed", "IHCP-species-dilution-info": "1/50", "IHCP-species-notes": "<p></p> Perform heat-mediated antigen retrieval with Tris/EDTA buffer pH 9.0 before commencing with IHC staining protocol." }, "Mouse": { "WB-species-checked": "predicted", "WB-species-dilution-info": "", "WB-species-notes": "", "IHCP-species-checked": "predicted", "IHCP-species-dilution-info": "", "IHCP-species-notes": "" }, "Rat": { "WB-species-checked": "predicted", "WB-species-dilution-info": "", "WB-species-notes": "", "IHCP-species-checked": "predicted", "IHCP-species-dilution-info": "", "IHCP-species-notes": "" } } }

Product details

Patented technology
Our RabMAb® technology is a patented hybridoma-based technology for making rabbit monoclonal antibodies. For details on our patents, please refer to RabMAb® patents.

What are the advantages of a recombinant monoclonal antibody?
This product is a recombinant monoclonal antibody, which offers several advantages including:

  • - High batch-to-batch consistency and reproducibility
  • - Improved sensitivity and specificity
  • - Long-term security of supply
  • - Animal-free batch production

For more information, read more on recombinant antibodies.

Properties and storage information

Form
Liquid
Purification technique
Affinity purification Protein A
Storage buffer
pH: 7.2 Preservative: 0.01% Sodium azide Constituents: 59% PBS, 40% Glycerol (glycerin, glycerine), 0.05% BSA
Shipped at conditions
Blue Ice
Appropriate short-term storage duration
1-2 weeks
Appropriate short-term storage conditions
+4°C
Appropriate long-term storage conditions
-20°C
Aliquoting information
Upon delivery aliquot
Storage information
Avoid freeze / thaw cycle

Supplementary information

This supplementary information is collated from multiple sources and compiled automatically.

LAMTOR2 also called p14 acts as an important component of the Ragulator complex. With a molecular mass of approximately 16 kDa LAMTOR2 localizes mainly on the late endosomal and lysosomal membranes. This protein aids in the recruitment of other proteins to these membranes facilitating various cellular processes. The expression of LAMTOR2 finds prominence in many tissues especially those with high metabolic activity.
Biological function summary

LAMTOR2 serves in the regulation of mTORC1 signaling which plays a major role in cell growth and metabolism. As a member of the Ragulator complex LAMTOR2 works in concert with other proteins like LAMTOR1 and LAMTOR3 to anchor the Rag GTPases to the lysosomal surface. This provides a platform for the activation of mTORC1 in response to amino acid availability therefore guiding cellular energy and protein synthesis pathways.

Pathways

LAMTOR2 functions integrally in the amino acid-sensing pathway and impacts the mTOR signaling pathway. The Ragulator complex involving LAMTOR2 interacts with Rag GTPases to activate mTORC1 upon amino acid availability bridging nutrient sensing and cellular metabolism control. In doing so it interacts closely with proteins like RagA/RagB coordinating signals that are critical for growth-related cellular functions.

LAMTOR2 disruptions have links to immunodeficiency and some metabolic conditions. Deficient Ragulator function including LAMTOR2 leads to improper mTOR signaling impacting immune cell function and systemic metabolism. Notably this situation associates with diseases like Charcot-Marie-Tooth disease where LAMTOR2's interaction with LAMTOR3 becomes significant due to affected lysosomal positioning and signaling pathways.

Product protocols

For this product, it's our understanding that no specific protocols are required. You can visit:

Target data

As part of the Ragulator complex it is involved in amino acid sensing and activation of mTORC1, a signaling complex promoting cell growth in response to growth factors, energy levels, and amino acids (PubMed : 20381137, PubMed : 28935770, PubMed : 29107538, PubMed : 29123114, PubMed : 29158492). Activated by amino acids through a mechanism involving the lysosomal V-ATPase, the Ragulator plays a dual role for the small GTPases Rag (RagA/RRAGA, RagB/RRAGB, RagC/RRAGC and/or RagD/RRAGD) : it (1) acts as a guanine nucleotide exchange factor (GEF), activating the small GTPases Rag and (2) mediates recruitment of Rag GTPases to the lysosome membrane (PubMed : 22980980, PubMed : 28935770, PubMed : 29107538, PubMed : 29123114, PubMed : 29158492, PubMed : 30181260). Activated Ragulator and Rag GTPases function as a scaffold recruiting mTORC1 to lysosomes where it is in turn activated (PubMed : 22980980, PubMed : 29107538, PubMed : 29123114, PubMed : 29158492). Adapter protein that enhances the efficiency of the MAP kinase cascade facilitating the activation of MAPK2 (By similarity).
See full target information LAMTOR2

Publications (2)

Recent publications for all applications. Explore the full list and refine your search

Cell reports 42:112037 PubMed36701233

2023

The selective autophagy adaptor p62/SQSTM1 forms phase condensates regulated by HSP27 that facilitate the clearance of damaged lysosomes via lysophagy.

Applications

Unspecified application

Species

Unspecified reactive species

Elizabeth R Gallagher,Erika L F Holzbaur

Translational psychiatry 10:49 PubMed32066705

2020

Dl-3-n-butylphthalide attenuates mouse behavioral deficits to chronic social defeat stress by regulating energy metabolism via AKT/CREB signaling pathway.

Applications

Unspecified application

Species

Unspecified reactive species

Wei Wang,Ting Wang,Shunjie Bai,Zhi Chen,Xunzhong Qi,Peng Xie
View all publications

Product promise

We are committed to supporting your work with high-quality reagents, and we're here for you every step of the way. In the unlikely event that one of our products does not perform as expected, you're protected by our Product Promise.
For full details, please see our Terms & Conditions

Please note: All products are 'FOR RESEARCH USE ONLY. NOT FOR USE IN DIAGNOSTIC OR THERAPEUTIC PROCEDURES'.

For licensing inquiries, please contact partnerships@abcam.com