JavaScript is disabled in your browser. Please enable JavaScript to view this website.
AB151290

Anti-LANCL1 antibody

Be the first to review this product! Submit a review

|

(0 Publication)

Rabbit Polyclonal LANCL1 antibody. Suitable for IHC-P, WB and reacts with Human samples. Immunogen corresponding to Recombinant Fragment Protein within Human LANCL1 aa 100 to C-terminus.

View Alternative Names

GPR69A, LANCL1, Glutathione S-transferase LANCL1, 40 kDa erythrocyte membrane protein, LanC-like protein 1, p40

2 Images
Western blot - Anti-LANCL1 antibody (AB151290)
  • WB

Unknown

Western blot - Anti-LANCL1 antibody (AB151290)

10% SDS PAGE

All lanes:

Western blot - Anti-LANCL1 antibody (ab151290) at 1/1000 dilution

All lanes:

HeLa whole cell lysate at 30 µg

Predicted band size: 45 kDa

false

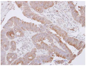
Immunohistochemistry (Formalin/PFA-fixed paraffin-embedded sections) - Anti-LANCL1 antibody (AB151290)
  • IHC-P

Unknown

Immunohistochemistry (Formalin/PFA-fixed paraffin-embedded sections) - Anti-LANCL1 antibody (AB151290)

Immunohistochemical analysis of paraffin-embedded Human colon carcinoma tissue labeling LANCL1 with ab151290 at 1/250 dilution.

Key facts

Host species

Rabbit

Clonality

Polyclonal

Isotype

IgG

Carrier free

No

Reacts with

Human

Applications

WB, IHC-P

applications

Immunogen

Recombinant Fragment Protein within Human LANCL1 aa 100 to C-terminus. The exact immunogen used to generate this antibody is proprietary information.

O43813

Reactivity data

{ "title": "Reactivity Data", "filters": { "stats": ["", "Species", "Dilution Info", "Notes"], "tabs": { "all-applications": {"fullname" : "All Applications", "shortname": "All Applications"}, "IHCP" : {"fullname" : "Immunohistochemistry (Formalin/PFA-fixed paraffin-embedded sections)", "shortname":"IHC-P"}, "WB" : {"fullname" : "Western blot", "shortname":"WB"} }, "product-promise": { "all": "all", "testedAndGuaranteed": "tested", "guaranteed": "expected", "predicted": "predicted", "notRecommended": "not-recommended" } }, "values": { "Human": { "IHCP-species-checked": "testedAndGuaranteed", "IHCP-species-dilution-info": "1/100.00000 - 1/1000.00000", "IHCP-species-notes": "<p></p> Perform heat-mediated antigen retrieval with citrate buffer pH 6 before commencing with IHC staining protocol.", "WB-species-checked": "testedAndGuaranteed", "WB-species-dilution-info": "1/500.00000 - 1/3000.00000", "WB-species-notes": "<p></p>" }, "Mouse": { "IHCP-species-checked": "predicted", "IHCP-species-dilution-info": "", "IHCP-species-notes": "", "WB-species-checked": "predicted", "WB-species-dilution-info": "", "WB-species-notes": "" }, "Rat": { "IHCP-species-checked": "predicted", "IHCP-species-dilution-info": "", "IHCP-species-notes": "", "WB-species-checked": "predicted", "WB-species-dilution-info": "", "WB-species-notes": "" } } }

Properties and storage information

Form
Liquid
Purification technique
Affinity purification Immunogen
Storage buffer
pH: 7 Preservative: 0.01% Thimerosal (merthiolate) Constituents: 20% Glycerol (glycerin, glycerine), 1.21% Tris, 0.75% Glycine
Shipped at conditions
Blue Ice
Appropriate short-term storage conditions
+4°C
Appropriate long-term storage conditions
-20°C
Aliquoting information
Upon delivery aliquot
Storage information
Avoid freeze / thaw cycle

Supplementary information

This supplementary information is collated from multiple sources and compiled automatically.

LANCL1 also known as Lanthionine synthetase component C-like protein 1 is a protein present in the cell and has a mass of approximately 47 kDa. This protein shows expression in various tissues including the brain and adipose tissue. It belongs to the larger LANCL protein family and shows sequence homology with other family members. LANCL1 works intracellularly binding and modulating the activity of different molecules which could influence various cell processes.
Biological function summary

The LANCL1 protein interacts with several intracellular proteins. It might not act alone but rather as part of a multiprotein complex which suggests a role in complex cellular mechanisms. LANCL1's activity affects cellular maintenance and growth. It helps in the regulation of oxidative stress responses by directly impacting key cellular regulators of redox state.

Pathways

The LANCL1 protein plays a role in the oxidative stress response pathway and energy metabolism pathway. It modulates cellular responses to oxidative stress and interacts with proteins such as NRF2 which is important for the antioxidant response. Furthermore it has a potential connection with pathways linked to energy homeostasis aligning with its expression in adipose tissue where it could interact with metabolic proteins like AMPK.

LANCL1 has associations with neurodegenerative diseases and obesity. Aberrant regulation of LANCL1 protein might lead to increased oxidative stress contributing to conditions such as Alzheimer's disease where it could potentially influence the activity of the protein amyloid-beta. Additionally its role in energy metabolism links it to obesity where it might affect proteins critical in lipid storage and adipose tissue function.

Product protocols

For this product, it's our understanding that no specific protocols are required. You can visit:

Target data

Functions as a glutathione transferase. Catalyzes conjugation of the glutathione (GSH) to artificial substrates 1-chloro-2,4-dinitrobenzene (CDNB) and p-nitrophenyl acetate. Mitigates neuronal oxidative stress during normal postnatal development and in response to oxidative stresses probably through GSH antioxidant defense mechanism (By similarity). May play a role in EPS8 signaling. Binds glutathione (PubMed : 19528316).
See full target information LANCL1

Product promise

We are committed to supporting your work with high-quality reagents, and we're here for you every step of the way. In the unlikely event that one of our products does not perform as expected, you're protected by our Product Promise.
For full details, please see our Terms & Conditions

Associated Products

Select an associated product type
Alternative Product
Primary Antibodies

AB229257

Anti-LANCL1 antibody

primary-antibodies

lancl1-antibody-ab229257

0

(0 reviews)

Please note: All products are 'FOR RESEARCH USE ONLY. NOT FOR USE IN DIAGNOSTIC OR THERAPEUTIC PROCEDURES'.

For licensing inquiries, please contact partnerships@abcam.com