JavaScript is disabled in your browser. Please enable JavaScript to view this website.
AB317444

Anti-LANCL2 antibody [EPR27973-132]

Be the first to review this product! Submit a review

|

(0 Publication)

Rabbit Recombinant Monoclonal LANCL2 antibody. Suitable for Dot, WB and reacts with Recombinant fragment - Human, Human, Mouse, Rat samples.

View Alternative Names

GPR69B, TASP, LANCL2, LanC-like protein 2, Testis-specific adriamycin sensitivity protein

3 Images
Western blot - Anti-LANCL2 antibody [EPR27973-132] (AB317444)
  • WB

Supplier Data

Western blot - Anti-LANCL2 antibody [EPR27973-132] (AB317444)

Blocking and diluting buffer and concentration : 5% NFDM/TBST.

Low expression : Skeletal muscle, spleen(PMID : 11762191), SK-MEL-28

In Western blot, Anti-GAPDH antibody [EPR16891] - Loading Control (ab181602) staining at 1/200000 dilution.

All lanes:

Western blot - Anti-LANCL2 antibody [EPR27973-132] (ab317444) at 1/1000 dilution

Lane 1:

A431 (human epidermoid carcinoma epithelial cell) whole cell lysate at 20 µg

Lane 2:

SK-MEL-28 (human malignant melanoma cell) whole cell lysate at 20 µg

Lane 3:

Human hippocampus tissue lysate at 20 µg

Lane 4:

Human skeletal muscle tissue lysate at 20 µg

Lane 5:

Human spleen tissue lysate at 20 µg

Secondary

All lanes:

Goat Anti-Rabbit IgG (HRP) with minimal cross-reactivity with human IgG (Merck DC03L) at 1/2000 dilution

Observed band size: 50 kDa,36 kDa

false

Exposure time: 180s

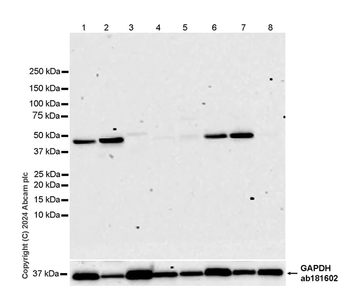
Western blot - Anti-LANCL2 antibody [EPR27973-132] (AB317444)
  • WB

Supplier Data

Western blot - Anti-LANCL2 antibody [EPR27973-132] (AB317444)

Blocking and diluting buffer and concentration : 5% NFDM/TBST.

Low expression : Skeletal muscle, spleen, lung(PMID : 11762191)

In Western blot, Anti-GAPDH antibody [EPR16891] - Loading Control (ab181602) staining at 1/200000 dilution.

All lanes:

Western blot - Anti-LANCL2 antibody [EPR27973-132] (ab317444) at 1/1000 dilution

Lane 1:

Mouse brain tissue lysate at 20 µg

Lane 2:

Mouse testis tissue lysate at 20 µg

Lane 3:

Mouse skeletal muscle tissue lysate at 20 µg

Lane 4:

Mouse spleen tissue lysate at 20 µg

Lane 5:

Mouse lung tissue lysate at 20 µg

Lane 6:

Rat brain tissue lysate at 20 µg

Lane 7:

Rat testis tissue lysate at 20 µg

Lane 8:

Rat spleen tissue lysate at 20 µg

Secondary

All lanes:

Western blot - Goat Anti-Rabbit IgG H&L (HRP) (<a href='/en-us/products/secondary-antibodies/goat-rabbit-igg-h-l-hrp-ab97051'>ab97051</a>) at 1/20000 dilution

Observed band size: 50 kDa,36 kDa

false

Exposure time: 180s

Dot Blot - Anti-LANCL2 antibody [EPR27973-132] (AB317444)
  • Dot

Supplier Data

Dot Blot - Anti-LANCL2 antibody [EPR27973-132] (AB317444)

Dot blot analysis of LANCL2 using ab317444 at 1 : 1000 (0.512 ug/ml) followed by a Goat Anti-Rabbit IgG, (H+L), Peroxidase conjugated (ab97051) at 1 : 100,000 dilution.

Exposure time : 180seconds.

Blocking and diluting buffer and concentration : 5% NFDM/TBST.

This antibody does not cross-react with human LANCL1.

All lanes:

Dot Blot - Anti-LANCL2 antibody [EPR27973-132] (ab317444) at 1/1000 dilution

Lane 1:

Human LANCL1 protein

Lane 2:

Human LANCL2 protein

Secondary

All lanes:

Dot Blot - Goat Anti-Rabbit IgG H&L (HRP) (<a href='/en-us/products/secondary-antibodies/goat-rabbit-igg-h-l-hrp-ab97051'>ab97051</a>) at 1/100000 dilution

false

Exposure time: 180s

  • Carrier free

    Anti-LANCL2 antibody [EPR27973-132] - BSA and Azide free

Key facts

Host species

Rabbit

Clonality

Monoclonal

Clone number

EPR27973-132

Isotype

IgG

Carrier free

No

Reacts with

Human, Mouse, Rat

Applications

WB, Dot

applications

Immunogen

The exact immunogen used to generate this antibody is proprietary information.

Reactivity data

{ "title": "Reactivity Data", "filters": { "stats": ["", "Species", "Dilution Info", "Notes"], "tabs": { "all-applications": {"fullname" : "All Applications", "shortname": "All Applications"}, "Dot" : {"fullname" : "Dot Blot", "shortname":"Dot"}, "WB" : {"fullname" : "Western blot", "shortname":"WB"}, "IHCP" : {"fullname" : "Immunohistochemistry (Formalin/PFA-fixed paraffin-embedded sections)", "shortname":"IHC-P"}, "FlowCytIntra" : {"fullname" : "Flow Cytometry (Intracellular)", "shortname":"Flow Cyt (Intra)"}, "IP" : {"fullname" : "Immunoprecipitation", "shortname":"IP"}, "ICCIF" : {"fullname" : "Immunocytochemistry/ Immunofluorescence", "shortname":"ICC/IF"} }, "product-promise": { "all": "all", "testedAndGuaranteed": "tested", "guaranteed": "expected", "predicted": "predicted", "notRecommended": "not-recommended" } }, "values": { "Human": { "Dot-species-checked": "guaranteed", "Dot-species-dilution-info": "", "Dot-species-notes": "", "WB-species-checked": "testedAndGuaranteed", "WB-species-dilution-info": "1/1000", "WB-species-notes": "<p></p>", "IHCP-species-checked": "notRecommended", "IHCP-species-dilution-info": "", "IHCP-species-notes": "<p></p>", "FlowCytIntra-species-checked": "notRecommended", "FlowCytIntra-species-dilution-info": "", "FlowCytIntra-species-notes": "<p></p>", "IP-species-checked": "notRecommended", "IP-species-dilution-info": "", "IP-species-notes": "<p></p>", "ICCIF-species-checked": "notRecommended", "ICCIF-species-dilution-info": "", "ICCIF-species-notes": "<p></p>" }, "Mouse": { "Dot-species-checked": "guaranteed", "Dot-species-dilution-info": "", "Dot-species-notes": "", "WB-species-checked": "testedAndGuaranteed", "WB-species-dilution-info": "1/1000", "WB-species-notes": "<p></p>", "IHCP-species-checked": "notRecommended", "IHCP-species-dilution-info": "", "IHCP-species-notes": "<p></p>", "FlowCytIntra-species-checked": "notRecommended", "FlowCytIntra-species-dilution-info": "", "FlowCytIntra-species-notes": "", "IP-species-checked": "notRecommended", "IP-species-dilution-info": "", "IP-species-notes": "", "ICCIF-species-checked": "notRecommended", "ICCIF-species-dilution-info": "", "ICCIF-species-notes": "<p></p>" }, "Rat": { "Dot-species-checked": "guaranteed", "Dot-species-dilution-info": "", "Dot-species-notes": "", "WB-species-checked": "testedAndGuaranteed", "WB-species-dilution-info": "1/1000", "WB-species-notes": "<p></p>", "IHCP-species-checked": "notRecommended", "IHCP-species-dilution-info": "", "IHCP-species-notes": "<p></p>", "FlowCytIntra-species-checked": "notRecommended", "FlowCytIntra-species-dilution-info": "", "FlowCytIntra-species-notes": "", "IP-species-checked": "notRecommended", "IP-species-dilution-info": "", "IP-species-notes": "", "ICCIF-species-checked": "notRecommended", "ICCIF-species-dilution-info": "", "ICCIF-species-notes": "" }, "Recombinant fragment - Human": { "Dot-species-checked": "testedAndGuaranteed", "Dot-species-dilution-info": "1/1000", "Dot-species-notes": "<p></p>", "WB-species-checked": "notRecommended", "WB-species-dilution-info": "", "WB-species-notes": "", "IHCP-species-checked": "notRecommended", "IHCP-species-dilution-info": "", "IHCP-species-notes": "", "FlowCytIntra-species-checked": "notRecommended", "FlowCytIntra-species-dilution-info": "", "FlowCytIntra-species-notes": "", "IP-species-checked": "notRecommended", "IP-species-dilution-info": "", "IP-species-notes": "", "ICCIF-species-checked": "notRecommended", "ICCIF-species-dilution-info": "", "ICCIF-species-notes": "" } } }

Product details

Patented technology
Our RabMAb® technology is a patented hybridoma-based technology for making rabbit monoclonal antibodies. For details on our patents, please refer to RabMAb® patents.

What are the advantages of a recombinant monoclonal antibody?
This product is a recombinant monoclonal antibody, which offers several advantages including:

  • - High batch-to-batch consistency and reproducibility
  • - Improved sensitivity and specificity
  • - Long-term security of supply
  • - Animal-free batch production

For more information, read more on recombinant antibodies.

Properties and storage information

Form
Liquid
Purification technique
Affinity purification Protein A
Storage buffer
pH: 7.2 - 7.4 Preservative: 0.01% Sodium azide Constituents: PBS, 40% Glycerol (glycerin, glycerine), 0.05% BSA
Shipped at conditions
Blue Ice
Appropriate short-term storage duration
1-2 weeks
Appropriate short-term storage conditions
+4°C
Appropriate long-term storage conditions
-20°C
Aliquoting information
Upon delivery aliquot
Storage information
Avoid freeze / thaw cycle

Supplementary information

This supplementary information is collated from multiple sources and compiled automatically.

LANCL2 also known as Lanthionine Synthetase C-Like 2 is a protein with a molecular weight of approximately 44 kDa. It belongs to the LANCL protein family which also includes LANCL1 and LANCL3. LANCL2 is expressed in various tissues with significant expression observed in adipose tissue liver and skeletal muscle. Its intracellular location suggests a role in cellular processes that require close interaction with intracellular signaling pathways.
Biological function summary

LANCL2 functions in regulatory mechanisms related to metabolic processes. It does not exist in isolation; instead it interacts with other proteins as part of a multiprotein complex. LANCL2 modulates the signaling pathway involving the peroxisome proliferator-activated receptor gamma (PPARγ) and plays a role in modulating glucose and lipid metabolism. Its activity suggests involvement in maintaining cellular energy balance and homeostasis.

Pathways

LANCL2 is integrated into metabolic pathways with significant involvement in both the PPAR signaling pathway and the insulin signaling pathway. These pathways highlight its importance in glucose homeostasis and energy metabolism. LANCL2 interacts with proteins such as AKT an important player in the insulin signaling pathway contributing to the regulation of glucose uptake and lipid metabolism.

LANCL2 has been connected to metabolic diseases particularly type 2 diabetes and obesity. Changes in LANCL2 expression or function can impact glucose and lipid regulation contributing to these conditions. LANCL2's role in these disorders often involves its interaction with proteins like PPARγ which also influences lipid storage and insulin sensitivity. Understanding LANCL2's role in these diseases could provide insights into novel therapeutic approaches.

Product protocols

For this product, it's our understanding that no specific protocols are required. You can visit:

Target data

Necessary for abscisic acid (ABA) binding on the cell membrane and activation of the ABA signaling pathway in granulocytes.
See full target information LANCL2

Product promise

We are committed to supporting your work with high-quality reagents, and we're here for you every step of the way. In the unlikely event that one of our products does not perform as expected, you're protected by our Product Promise.
For full details, please see our Terms & Conditions

Please note: All products are 'FOR RESEARCH USE ONLY. NOT FOR USE IN DIAGNOSTIC OR THERAPEUTIC PROCEDURES'.

For licensing inquiries, please contact partnerships@abcam.com