JavaScript is disabled in your browser. Please enable JavaScript to view this website.
AB232603

Anti-Langerin antibody [EPR15863] - BSA and Azide free

Be the first to review this product! Submit a review

|

(1 Publication)

Rabbit Recombinant Monoclonal Langerin antibody. Carrier free. Suitable for IHC-P and reacts with Human samples. Cited in 1 publication.

View Alternative Names

CD207, CLEC4K, C-type lectin domain family 4 member K, Langerin

2 Images
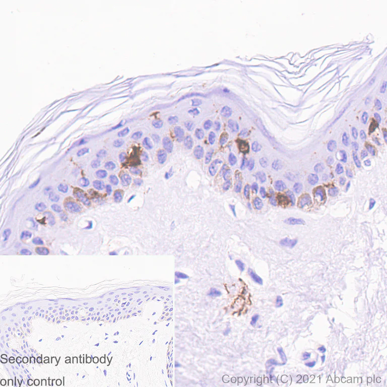
Immunohistochemistry (Formalin/PFA-fixed paraffin-embedded sections) - Anti-Langerin antibody [EPR15863] - BSA and Azide free (AB232603)
  • IHC-P

Lab

Immunohistochemistry (Formalin/PFA-fixed paraffin-embedded sections) - Anti-Langerin antibody [EPR15863] - BSA and Azide free (AB232603)

Immunohistochemical analysis of Paraffin-embedded sections of human skin tissue labelling Langerin with ab192027 at 1/1000 dilution, followed by Rabbit specific IHC polymer detection kit HRP/DAB (ab209101). Positive staining on the Langerhans cells in the human skin is observed. Counter-stained with Hematoxylin.

Secondary antibody only control : Used PBS instead of primary antibody, secondary antibody is Rabbit specific IHC polymer detection kit HRP/DAB (ab209101).

Heat mediated antigen retrieval using Bond™ Epitope Retrieval Solution 2 (pH 9.0) for 20 minutes.

The section was incubated with ab192027 for 30 mins at room temperature.

The immunostaining was performed on a Leica Biosystems BOND® RX instrument.

This data was developed using ab192027, the same antibody clone in a different buffer formulation.

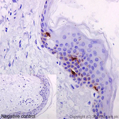
Immunohistochemistry (Formalin/PFA-fixed paraffin-embedded sections) - Anti-Langerin antibody [EPR15863] - BSA and Azide free (AB232603)
  • IHC-P

Supplier Data

Immunohistochemistry (Formalin/PFA-fixed paraffin-embedded sections) - Anti-Langerin antibody [EPR15863] - BSA and Azide free (AB232603)

Immunohistochemical analysis of paraffin-embedded human skin tissue labeling Langerin with ab192027 at 1/1000 dilution, followed by prediluted HRP Polymer for Rabbit/Mouse IgG. Counter stained with Hematoxylin. The negative control utilized PBS instead of primary antibody.

This data was developed using the same antibody clone in a different buffer formulation containing PBS, BSA, glycerol, and sodium azide (ab192027).

Heat mediated antigen retrieval was performed with Tris/EDTA buffer pH 9.0 before commencing with IHC staining protocol.

Key facts

Host species

Rabbit

Clonality

Monoclonal

Clone number

EPR15863

Isotype

IgG

Carrier free

Yes

Reacts with

Human

Applications

IHC-P

applications

Immunogen

The exact immunogen used to generate this antibody is proprietary information.

Reactivity data

{ "title": "Reactivity Data", "filters": { "stats": ["", "Species", "Dilution Info", "Notes"], "tabs": { "all-applications": {"fullname" : "All Applications", "shortname": "All Applications"}, "IHCP" : {"fullname" : "Immunohistochemistry (Formalin/PFA-fixed paraffin-embedded sections)", "shortname":"IHC-P"} }, "product-promise": { "all": "all", "testedAndGuaranteed": "tested", "guaranteed": "expected", "predicted": "predicted", "notRecommended": "not-recommended" } }, "values": { "Human": { "IHCP-species-checked": "testedAndGuaranteed", "IHCP-species-dilution-info": "", "IHCP-species-notes": "<p></p>" } } }

Product details

ab232603 is the carrier-free version of ab192027.

Patented technology
Our RabMAb® technology is a patented hybridoma-based technology for making rabbit monoclonal antibodies. For details on our patents, please refer to RabMAb® patents.

What are the advantages of a recombinant monoclonal antibody?
This product is a recombinant monoclonal antibody, which offers several advantages including:

  • - High batch-to-batch consistency and reproducibility
  • - Improved sensitivity and specificity
  • - Long-term security of supply
  • - Animal-free batch production

For more information, read more on recombinant antibodies.

Conjugation ready
Our carrier-free antibodies are typically supplied in a PBS-only formulation, purified and free of BSA, sodium azide and glycerol. This conjugation-ready format is designed for use with fluorochromes, metal isotopes, oligonucleotides, and enzymes, which makes them ideal for antibody labelling, functional and cell-based assays, flow-based assays (e.g. mass cytometry) and Multiplex Imaging applications.

Use our conjugation kits for antibody conjugates that are ready-to-use in as little as 20 minutes with 1 minute hands-on-time and 100% antibody recovery: available for fluorescent dyes, HRP, biotin and gold.

Compatibility
This product is compatible with the Maxpar® Antibody Labeling Kit from Fluidigm, without the need for antibody preparation. Maxpar® is a trademark of Fluidigm Canada Inc.

Properties and storage information

Form
Liquid
Purification technique
Affinity purification Protein A
Storage buffer
pH: 7.2 - 7.4 Constituents: PBS
Shipped at conditions
Blue Ice
Appropriate short-term storage conditions
+4°C
Appropriate long-term storage conditions
+4°C
Storage information
Do Not Freeze

Supplementary information

This supplementary information is collated from multiple sources and compiled automatically.

Langerin also known as CD207 is a type II transmembrane protein involved in the immune response. It weighs approximately 40 kDa and is expressed mainly in Langerhans cells a specialized subset of dendritic cells found in the skin and mucosal tissues. Langerin functions as a C-type lectin receptor with the ability to recognize and internalize glycosylated antigens. This target facilitates the capture and presentation of antigens enhancing the immune surveillance process.
Biological function summary

Langerin supports Langerhans cells in the recognition and processing of pathogens. The protein forms homotrimers enabling it to bind specific mannose-rich glycan structures on pathogens such as viruses and bacteria. Through its endocytic properties Langerin internalizes these antigens into Birbeck granules unique organelles in Langerhans cells promoting antigen processing and presentation to T cells therefore initiating immune responses.

Pathways

Langerin is critical for antigen uptake and processing via the lectin pathway of endocytosis. It interacts with other dendritic cell receptors and influences signaling pathways that enhance immune activation such as the Syk and Raf-1 kinase pathways. Langerin’s ability to internalize antigens connects it with proteins like DC-SIGN and MR which share roles in pathogen recognition and immune modulation.

Langerin plays a significant role in conditions like Langerhans Cell Histiocytosis (LCH) and HIV. In LCH abnormal proliferation of Langerhans cells occurs where Langerin expression helps in diagnosing and characterizing LCH lesions. In the context of HIV Langerin interacts with viral particles reducing their ability to infect immune cells. This protein also relates to other immune receptors like CD40 and CD86 which regulate immune responses in associated disorders.

Product protocols

For this product, it's our understanding that no specific protocols are required. You can visit:

Target data

Calcium-dependent lectin displaying mannose-binding specificity. Induces the formation of Birbeck granules (BGs); is a potent regulator of membrane superimposition and zippering. Binds to sulfated as well as mannosylated glycans, keratan sulfate (KS) and beta-glucans. Facilitates uptake of antigens and is involved in the routing and/or processing of antigen for presentation to T cells. Major receptor on primary Langerhans cells for Candida species, Saccharomyces species, and Malassezia furfur. Protects against human immunodeficiency virus-1 (HIV-1) infection. Binds to high-mannose structures present on the envelope glycoprotein which is followed by subsequent targeting of the virus to the Birbeck granules leading to its rapid degradation.
See full target information CD207

Publications (1)

Recent publications for all applications. Explore the full list and refine your search

Nature 590:344-350 PubMed33505024

2021

Integrated spatial genomics reveals global architecture of single nuclei.

Applications

Unspecified application

Species

Unspecified reactive species

Yodai Takei,Jina Yun,Shiwei Zheng,Noah Ollikainen,Nico Pierson,Jonathan White,Sheel Shah,Julian Thomassie,Shengbao Suo,Chee-Huat Linus Eng,Mitchell Guttman,Guo-Cheng Yuan,Long Cai
View all publications

Product promise

We are committed to supporting your work with high-quality reagents, and we're here for you every step of the way. In the unlikely event that one of our products does not perform as expected, you're protected by our Product Promise.
For full details, please see our Terms & Conditions

Please note: All products are 'FOR RESEARCH USE ONLY. NOT FOR USE IN DIAGNOSTIC OR THERAPEUTIC PROCEDURES'.

For licensing inquiries, please contact partnerships@abcam.com