JavaScript is disabled in your browser. Please enable JavaScript to view this website.
AB283714

Anti-Langerin antibody [EPR24685-12] - BSA and Azide free

  • BOND RX™ Validated
  • Recombinant
  • Advanced Validation
  • RabMAb
  • What is this?

Be the first to review this product! Submit a review

|

(0 Publication)

Rabbit Recombinant Monoclonal Langerin antibody. Carrier free. Suitable for IHC-P, IHC-Fr, mIHC and reacts with Mouse, Human samples.

View Alternative Names

CD207, CLEC4K, C-type lectin domain family 4 member K, Langerin

9 Images
Immunohistochemistry (Formalin/PFA-fixed paraffin-embedded sections) - Anti-Langerin antibody [EPR24685-12] - BSA and Azide free (AB283714)
  • IHC-P

Supplier Data

Immunohistochemistry (Formalin/PFA-fixed paraffin-embedded sections) - Anti-Langerin antibody [EPR24685-12] - BSA and Azide free (AB283714)

This data was developed using ab283686, the same antibody clone in a different buffer formulation.

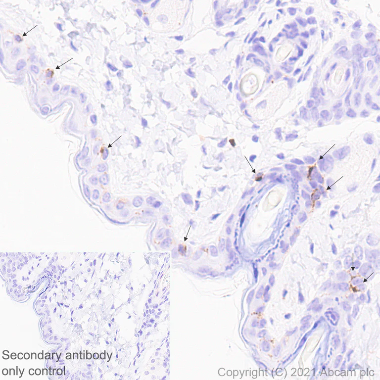
Immunohistochemical analysis of paraffin-embedded Human skin tissue labelling Langerin with ab283686 at 1/500 (1.066 µg/mL) followed by a ready to use LeicaDS9800 (Bond™ Polymer Refine Detection) was used. Positive staining on Langerhans cells in human skin. The section was incubated with ab283686 for 30 mins at room temperature.The immunostaining was performed on a Leica Biosystems BOND® RX instrument Counterstained with Hematoxylin.

Secondary antibody only control : Secondary antibody is a ready to use LeicaDS9800 (Bond™ Polymer Refine Detection) was used.

Heat mediated antigen retrieval with Tris-EDTA buffer (pH 9.0, epitope retrieval solution2) for 20 mins.

Immunohistochemistry (Formalin/PFA-fixed paraffin-embedded sections) - Anti-Langerin antibody [EPR24685-12] - BSA and Azide free (AB283714)
  • IHC-P

Supplier Data

Immunohistochemistry (Formalin/PFA-fixed paraffin-embedded sections) - Anti-Langerin antibody [EPR24685-12] - BSA and Azide free (AB283714)

This data was developed using ab283686, the same antibody clone in a different buffer formulation.

Immunohistochemical analysis of paraffin-embedded Human cerebrum tissue labelling Langerin with ab283686 at 1/500 (1.066 µg/mL) followed by a ready to use LeicaDS9800 (Bond™ Polymer Refine Detection) was used. Negative control : no staining on human cerebrum. The section was incubated with ab283686 for 30 mins at room temperature.The immunostaining was performed on a Leica Biosystems BOND® RX instrument Counterstained with Hematoxylin.

Secondary antibody only control : Secondary antibody is a ready to use LeicaDS9800 (Bond™ Polymer Refine Detection) was used.

Heat mediated antigen retrieval with Tris-EDTA buffer (pH 9.0, epitope retrieval solution2) for 20 mins.

Multiplex immunohistochemistry - Anti-Langerin antibody [EPR24685-12] - BSA and Azide free (AB283714)
  • mIHC

Supplier Data

Multiplex immunohistochemistry - Anti-Langerin antibody [EPR24685-12] - BSA and Azide free (AB283714)

This data was developed using ab283686, the same antibody clone in a different buffer formulation. Panel A : merged staining of anti-Desmoglein 1/DSG1 (gray; Opal™690), anti-Langerin (green; Opal™520) and anti-TRP2/DCT (red; Opal™570) on human skin. Panel B : anti-TRP2/DCT stained on melanocytes. Panel C : anti-Langerin stained on Langerhans cells. Panel D : anti-Desmoglein 1/DSG1 stained on epidermis. The section was incubated in three rounds of staining : in the order of ab236259, ab283686, and ab221144 for 30 mins at room temperature. Each round was followed by a separate fluorescent tyramide signal amplification system. The immunostaining was performed on a Leica Biosystems BOND® RX instrument with an Opal™ 4-color kit. Image acquisition was performed with Leica SP8 confocal microscope.

Immunohistochemistry (Formalin/PFA-fixed paraffin-embedded sections) - Anti-Langerin antibody [EPR24685-12] - BSA and Azide free (AB283714)
  • IHC-P

Supplier Data

Immunohistochemistry (Formalin/PFA-fixed paraffin-embedded sections) - Anti-Langerin antibody [EPR24685-12] - BSA and Azide free (AB283714)

This data was developed using ab283686, the same antibody clone in a different buffer formulation.

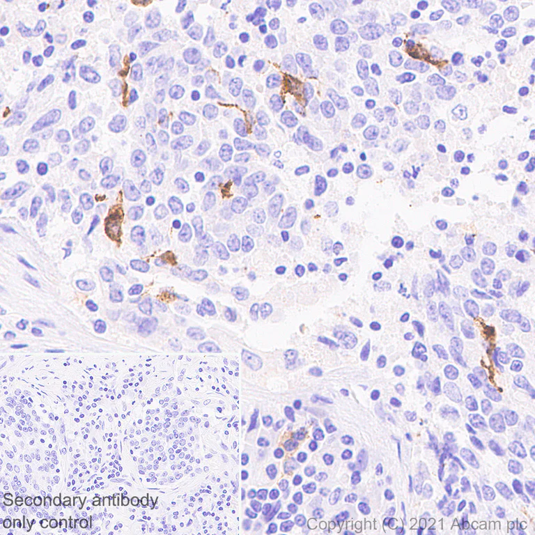
Immunohistochemical analysis of paraffin-embedded Human lung carcinoma tissue labelling Langerin with ab283686 at 1/500 (1.066 µg/mL) followed by a ready to use LeicaDS9800 (Bond™ Polymer Refine Detection) was used. Positive staining on scattered cells in human lung carcinoma. The section was incubated with ab283686 for 30 mins at room temperature.The immunostaining was performed on a Leica Biosystems BOND® RX instrument Counterstained with Hematoxylin.

Secondary antibody only control : Secondary antibody is a ready to use LeicaDS9800 (Bond™ Polymer Refine Detection) was used.

Heat mediated antigen retrieval with Tris-EDTA buffer (pH 9.0, epitope retrieval solution2) for 20 mins.

Immunohistochemistry (Frozen sections) - Anti-Langerin antibody [EPR24685-12] - BSA and Azide free (AB283714)
  • IHC-Fr

Supplier Data

Immunohistochemistry (Frozen sections) - Anti-Langerin antibody [EPR24685-12] - BSA and Azide free (AB283714)

This data was developed using ab283686, the same antibody clone in a different buffer formulation.

Immunohistochemical analysis of 4% PFA-fixed, 0.2% Triton X-100 permeabilized frozen Mouse thymus (fresh) tissue labeling Langerin with ab283686 at 1/100 (5.33 μg/mL) dilution followed by ab150081 Goat Anti-Rabbit IgG H&L (Alexa Fluor® 488) preadsorbed at 1/1000 2 μg/mL dilution (Green). Positive staining on mouse thymus is observed. The nuclear counterstain was DAPI (Blue).

Secondary antibody control : Secondary antibody is ab150081 Goat Anti-Rabbit IgG H&L (Alexa Fluor® 488) preadsorbedat 1/1000 2 μg/mL dilution.

Multiplex immunohistochemistry - Anti-Langerin antibody [EPR24685-12] - BSA and Azide free (AB283714)
  • mIHC

Lab

Multiplex immunohistochemistry - Anti-Langerin antibody [EPR24685-12] - BSA and Azide free (AB283714)

This data was developed using ab283686, the same antibody clone in a different buffer formulation.

Multiplex immunohistochemistry analysis of formalin/PFA-fixed paraffin-embedded Mouse skin staining of Cytokeratin 1 + Cytokeratin 2e with ab315228 at a 1/2000 (0.263 μg/ml) dilution, Collagen I with ab270993 and Langerin with ab283686 at a 1/1000 dilution followed by a ready to use secondary antibody Opal Polymer HRP Ms + Rb.

Panel A : merged staining of anti-Cytokeratin 1 + Cytokeratin 2e (green; Opal™520), anti-Collagen I (magenta; Opal™690) and anti-Langerin (gray; Opal™570) on mouse skin.
Panel B : anti-Cytokeratin 1 + Cytokeratin 2e staining epidermis keratin layer in mouse skin.
Panel C : anti-Collagen I staining connective tissues in mouse skin.
Panel D : anti-Langerin staining Langerhans cells in mouse skin.
Nuclear DNA was labeled with DAPI (shown in blue).

The section was incubated in three rounds of staining : in the order of ab315228, ab270993 and ab283686 for 30 mins at room temperature. Each round was followed by a separate fluorescent tyramide signal amplification system,

Heat mediated antigen retrieval with Tris-EDTA buffer (pH 9.0, epitope retrieval solution2) for 20 mins.

Immunohistochemistry (Formalin/PFA-fixed paraffin-embedded sections) - Anti-Langerin antibody [EPR24685-12] - BSA and Azide free (AB283714)
  • IHC-P

Supplier Data

Immunohistochemistry (Formalin/PFA-fixed paraffin-embedded sections) - Anti-Langerin antibody [EPR24685-12] - BSA and Azide free (AB283714)

This data was developed using ab283686, the same antibody clone in a different buffer formulation.

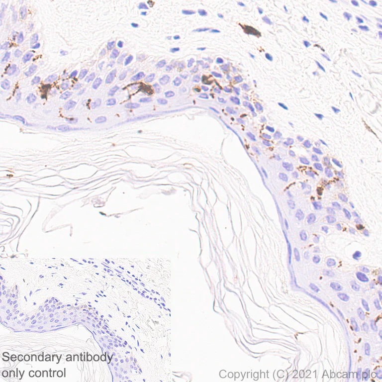
Immunohistochemical analysis of paraffin-embedded Mouse skin tissue labelling Langerin with ab283686 at 1/500 (1.066 µg/mL) followed by a ready to use LeicaDS9800 (Bond™ Polymer Refine Detection) was used. Positive staining on Langerhans cells in mouse skin. The section was incubated with ab283686 for 30 mins at room temperature.The immunostaining was performed on a Leica Biosystems BOND® RX instrument Counterstained with Hematoxylin.

Secondary antibody only control : Secondary antibody is a ready to use LeicaDS9800 (Bond™ Polymer Refine Detection) was used.

Heat mediated antigen retrieval with Tris-EDTA buffer (pH 9.0, epitope retrieval solution2) for 20 mins.

Immunohistochemistry (Formalin/PFA-fixed paraffin-embedded sections) - Anti-Langerin antibody [EPR24685-12] - BSA and Azide free (AB283714)
  • IHC-P

Supplier Data

Immunohistochemistry (Formalin/PFA-fixed paraffin-embedded sections) - Anti-Langerin antibody [EPR24685-12] - BSA and Azide free (AB283714)

This data was developed using ab283686, the same antibody clone in a different buffer formulation.

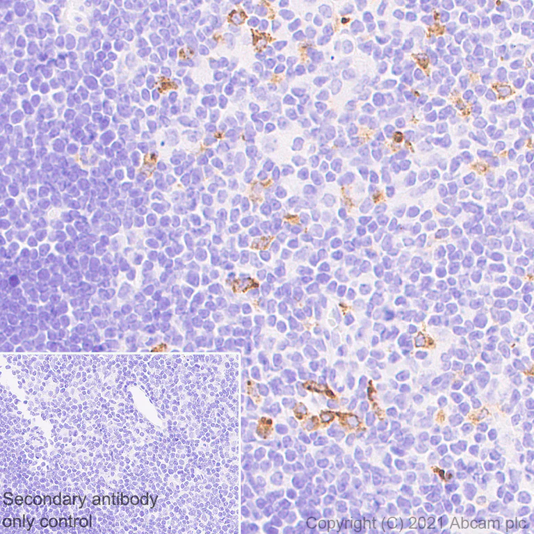
Immunohistochemical analysis of paraffin-embedded Mouse thymus tissue labelling Langerin with ab283686 at 1/500 (1.066 µg/mL) followed by a ready to use LeicaDS9800 (Bond™ Polymer Refine Detection) was used. Positive staining on scattered immune cells in mouse thymic medulla. The section was incubated with ab283686 for 30 mins at room temperature.The immunostaining was performed on a Leica Biosystems BOND® RX instrument Counterstained with Hematoxylin.

Secondary antibody only control : Secondary antibody is a ready to use LeicaDS9800 (Bond™ Polymer Refine Detection) was used.

Heat mediated antigen retrieval with Tris-EDTA buffer (pH 9.0, epitope retrieval solution2) for 20 mins.

Immunohistochemistry (Frozen sections) - Anti-Langerin antibody [EPR24685-12] - BSA and Azide free (AB283714)
  • IHC-Fr

Supplier Data

Immunohistochemistry (Frozen sections) - Anti-Langerin antibody [EPR24685-12] - BSA and Azide free (AB283714)

This data was developed using ab283686, the same antibody clone in a different buffer formulation.

Immunohistochemical analysis of 4% PFA-fixed, 0.2% Triton X-100 permeabilized frozen Mouse skin (fresh) tissue labeling Langerin with ab283686 at 1/100 (5.33 μg/mL) dilution followed by ab150081 Goat Anti-Rabbit IgG H&L (Alexa Fluor® 488) preadsorbed at 1/1000 2 μg/mL dilution (Green). Positive staining on Langerhans cells of mouse skin is observed. The nuclear counterstain was DAPI (Blue).

Secondary antibody control : Secondary antibody is ab150081 Goat Anti-Rabbit IgG H&L (Alexa Fluor® 488) preadsorbedat 1/1000 2 μg/mL dilution.

Key facts

Host species

Rabbit

Clonality

Monoclonal

Clone number

EPR24685-12

Isotype

IgG

Carrier free

Yes

Reacts with

Human, Mouse

Applications

mIHC, IHC-P, IHC-Fr

applications

Immunogen

The exact immunogen used to generate this antibody is proprietary information.

Reactivity data

{ "title": "Reactivity Data", "filters": { "stats": ["", "Species", "Dilution Info", "Notes"], "tabs": { "all-applications": {"fullname" : "All Applications", "shortname": "All Applications"}, "IP" : {"fullname" : "Immunoprecipitation", "shortname":"IP"}, "WB" : {"fullname" : "Western blot", "shortname":"WB"}, "IHCP" : {"fullname" : "Immunohistochemistry (Formalin/PFA-fixed paraffin-embedded sections)", "shortname":"IHC-P"}, "IHCFr" : {"fullname" : "Immunohistochemistry (Frozen sections)", "shortname":"IHC-Fr"}, "FlowCytIntra" : {"fullname" : "Flow Cytometry (Intracellular)", "shortname":"Flow Cyt (Intra)"}, "mIHC" : {"fullname" : "Multiplex immunohistochemistry", "shortname":"mIHC"} }, "product-promise": { "all": "all", "testedAndGuaranteed": "tested", "guaranteed": "expected", "predicted": "predicted", "notRecommended": "not-recommended" } }, "values": { "Human": { "IP-species-checked": "notRecommended", "IP-species-dilution-info": "", "IP-species-notes": "<p></p>", "WB-species-checked": "notRecommended", "WB-species-dilution-info": "", "WB-species-notes": "<p></p>", "IHCP-species-checked": "testedAndGuaranteed", "IHCP-species-dilution-info": "", "IHCP-species-notes": "<p></p>", "IHCFr-species-checked": "guaranteed", "IHCFr-species-dilution-info": "", "IHCFr-species-notes": "", "FlowCytIntra-species-checked": "notRecommended", "FlowCytIntra-species-dilution-info": "", "FlowCytIntra-species-notes": "<p></p>", "mIHC-species-checked": "testedAndGuaranteed", "mIHC-species-dilution-info": "", "mIHC-species-notes": "<p>Perform heat mediated antigen retrieval with Tris/EDTA buffer pH 9.0 before commencing with IHC staining protocol.</p>" }, "Mouse": { "IP-species-checked": "notRecommended", "IP-species-dilution-info": "", "IP-species-notes": "<p></p>", "WB-species-checked": "notRecommended", "WB-species-dilution-info": "", "WB-species-notes": "<p></p>", "IHCP-species-checked": "testedAndGuaranteed", "IHCP-species-dilution-info": "", "IHCP-species-notes": "<p></p>", "IHCFr-species-checked": "testedAndGuaranteed", "IHCFr-species-dilution-info": "", "IHCFr-species-notes": "<p></p>", "FlowCytIntra-species-checked": "notRecommended", "FlowCytIntra-species-dilution-info": "", "FlowCytIntra-species-notes": "<p></p>", "mIHC-species-checked": "testedAndGuaranteed", "mIHC-species-dilution-info": "", "mIHC-species-notes": "<p>Perform heat mediated antigen retrieval with Tris/EDTA buffer pH 9.0 before commencing with IHC staining protocol.</p>" }, "Rat": { "IP-species-checked": "notRecommended", "IP-species-dilution-info": "", "IP-species-notes": "", "WB-species-checked": "notRecommended", "WB-species-dilution-info": "", "WB-species-notes": "<p></p>", "IHCP-species-checked": "notRecommended", "IHCP-species-dilution-info": "", "IHCP-species-notes": "<p></p>", "IHCFr-species-checked": "notRecommended", "IHCFr-species-dilution-info": "", "IHCFr-species-notes": "<p></p>", "FlowCytIntra-species-checked": "notRecommended", "FlowCytIntra-species-dilution-info": "", "FlowCytIntra-species-notes": "", "mIHC-species-checked": "notRecommended", "mIHC-species-dilution-info": "", "mIHC-species-notes": "" } } }

Product details

a283714 the carrier-free version of ab283686.

Patented technology
Our RabMAb® technology is a patented hybridoma-based technology for making rabbit monoclonal antibodies. For details on our patents, please refer to RabMAb® patents.

What are the advantages of a recombinant monoclonal antibody?
This product is a recombinant monoclonal antibody, which offers several advantages including:

  • - High batch-to-batch consistency and reproducibility
  • - Improved sensitivity and specificity
  • - Long-term security of supply
  • - Animal-free batch production

For more information, read more on recombinant antibodies.

Conjugation ready
Our carrier-free antibodies are typically supplied in a PBS-only formulation, purified and free of BSA, sodium azide and glycerol. This conjugation-ready format is designed for use with fluorochromes, metal isotopes, oligonucleotides, and enzymes, which makes them ideal for antibody labelling, functional and cell-based assays, flow-based assays (e.g. mass cytometry) and Multiplex Imaging applications.

Use our conjugation kits for antibody conjugates that are ready-to-use in as little as 20 minutes with 1 minute hands-on-time and 100% antibody recovery: available for fluorescent dyes, HRP, biotin and gold.

Compatibility
This product is compatible with the Maxpar® Antibody Labeling Kit from Fluidigm, without the need for antibody preparation. Maxpar® is a trademark of Fluidigm Canada Inc.

Properties and storage information

Form
Liquid
Purification technique
Affinity purification Protein A
Storage buffer
pH: 7.2 - 7.4 Constituents: PBS
Shipped at conditions
Blue Ice
Appropriate short-term storage conditions
+4°C
Appropriate long-term storage conditions
+4°C

Supplementary information

This supplementary information is collated from multiple sources and compiled automatically.

Langerin also known as CD207 is a type II transmembrane protein involved in the immune response. It weighs approximately 40 kDa and is expressed mainly in Langerhans cells a specialized subset of dendritic cells found in the skin and mucosal tissues. Langerin functions as a C-type lectin receptor with the ability to recognize and internalize glycosylated antigens. This target facilitates the capture and presentation of antigens enhancing the immune surveillance process.
Biological function summary

Langerin supports Langerhans cells in the recognition and processing of pathogens. The protein forms homotrimers enabling it to bind specific mannose-rich glycan structures on pathogens such as viruses and bacteria. Through its endocytic properties Langerin internalizes these antigens into Birbeck granules unique organelles in Langerhans cells promoting antigen processing and presentation to T cells therefore initiating immune responses.

Pathways

Langerin is critical for antigen uptake and processing via the lectin pathway of endocytosis. It interacts with other dendritic cell receptors and influences signaling pathways that enhance immune activation such as the Syk and Raf-1 kinase pathways. Langerin’s ability to internalize antigens connects it with proteins like DC-SIGN and MR which share roles in pathogen recognition and immune modulation.

Langerin plays a significant role in conditions like Langerhans Cell Histiocytosis (LCH) and HIV. In LCH abnormal proliferation of Langerhans cells occurs where Langerin expression helps in diagnosing and characterizing LCH lesions. In the context of HIV Langerin interacts with viral particles reducing their ability to infect immune cells. This protein also relates to other immune receptors like CD40 and CD86 which regulate immune responses in associated disorders.

Product protocols

For this product, it's our understanding that no specific protocols are required. You can visit:

Target data

Calcium-dependent lectin displaying mannose-binding specificity. Induces the formation of Birbeck granules (BGs); is a potent regulator of membrane superimposition and zippering. Binds to sulfated as well as mannosylated glycans, keratan sulfate (KS) and beta-glucans. Facilitates uptake of antigens and is involved in the routing and/or processing of antigen for presentation to T cells. Major receptor on primary Langerhans cells for Candida species, Saccharomyces species, and Malassezia furfur. Protects against human immunodeficiency virus-1 (HIV-1) infection. Binds to high-mannose structures present on the envelope glycoprotein which is followed by subsequent targeting of the virus to the Birbeck granules leading to its rapid degradation.
See full target information CD207

Product promise

We are committed to supporting your work with high-quality reagents, and we're here for you every step of the way. In the unlikely event that one of our products does not perform as expected, you're protected by our Product Promise.
For full details, please see our Terms & Conditions

Please note: All products are 'FOR RESEARCH USE ONLY. NOT FOR USE IN DIAGNOSTIC OR THERAPEUTIC PROCEDURES'.

For licensing inquiries, please contact partnerships@abcam.com