JavaScript is disabled in your browser. Please enable JavaScript to view this website.
AB317813

Anti-Langerin antibody [EPR28089-89]

  • BOND RX™ Validated
  • 20ul selling size
  • Recombinant
  • RabMAb
  • What is this?

Be the first to review this product! Submit a review

|

(0 Publication)

Rabbit Recombinant Monoclonal Langerin antibody. Suitable for WB, IP, IHC-P and reacts with Transfected cell lysate - Mouse, Mouse samples.

View Alternative Names

CD207, Clec4k, Cd207, C-type lectin domain family 4 member K, Langerin

7 Images
Immunohistochemistry (Formalin/PFA-fixed paraffin-embedded sections) - Anti-Langerin antibody [EPR28089-89] (AB317813)
  • IHC-P

Supplier Data

Immunohistochemistry (Formalin/PFA-fixed paraffin-embedded sections) - Anti-Langerin antibody [EPR28089-89] (AB317813)

Immunohistochemical analysis of paraffin-embedded Mouse liver tissue labeling Langerin with ab317813 at 1/500 (1.026 ug/ml) dilution, followed by a ready to use LeicaDS9800 (Bond™ Polymer Refine Detection).

Negative control : no staining on mouse liver.
The section was incubated with ab317813 for 30 mins at room temperature.
The immunostaining was performed on a Leica Biosystems BOND® RX instrument
Incubate slides with 3% Hydrogen Peroxide for 10 mins at room temperature after secondary antibody incubation to reduce the background

Counterstained with Hematoxylin.

Secondary antibody only control : Secondary antibody is a ready to use LeicaDS9800 (Bond™ Polymer Refine Detection).

Heat mediated antigen retrieval was performed with Tris-EDTA buffer (pH 9.0, Epitope Retrieval Solution2) for 20 mins

Multiplex immunohistochemistry - Anti-Langerin antibody [EPR28089-89] (AB317813)
  • mIHC

Lab

Multiplex immunohistochemistry - Anti-Langerin antibody [EPR28089-89] (AB317813)

Multiplex immunohistochemistry analysis of Formalin/PFA-fixed paraffin-embedded sections of mouse skin tissue staining with ab309143 at 1/100 dilution, ab317813 at 1/500 dilution, and ab315806 at 1/500 dilution. The secondary used was Opal Polymer HRP Ms + Rb. Heat mediated antigen retrieval with Tris-EDTA buffer (pH 9.0, epitope retrieval solution2) for 20 mins. Panel A : merged staining of anti-Collagen VII (green; Opal™520), anti-Langerin (gray; Opal™570) and anti-Loricrin (magenta; Opal™690) on mouse skin. Panel B : anti-Collagen VII staining the dermal–epidermal junction in mouse skin. Panel C : anti-Langerin staining Langerhans cells in mouse skin. Panel D : anti-Loricrin staining terminally differentiated epidermal cells in mouse skin. Nuclear DNA was labeled with DAPI (shown in blue). The section was incubated in three rounds of staining : in the order of ab309143, ab317813 and ab315806 for 30 mins at room temperature. Each round was followed by a separate fluorescent tyramide signal amplification system. The immunostaining was performed on a Leica Biosystems BOND® RX instrument with an Opal™ 4-color kit. Image acquisition was performed with Leica SP8 confocal microscope.

Immunohistochemistry (Formalin/PFA-fixed paraffin-embedded sections) - Anti-Langerin antibody [EPR28089-89] (AB317813)
  • IHC-P

Supplier Data

Immunohistochemistry (Formalin/PFA-fixed paraffin-embedded sections) - Anti-Langerin antibody [EPR28089-89] (AB317813)

Immunohistochemical analysis of paraffin-embedded Mouse skin tissue labeling Langerin with ab317813 at 1/500 (1.026 ug/ml) dilution, followed by a ready to use LeicaDS9800 (Bond™ Polymer Refine Detection).

Positive staining on Langerhans cells of mouse skin.
The section was incubated with ab317813 for 30 mins at room temperature.
The immunostaining was performed on a Leica Biosystems BOND® RX instrument
Incubate slides with 3% Hydrogen Peroxide for 10 mins at room temperature after secondary antibody incubation to reduce the background

Counterstained with Hematoxylin.

Secondary antibody only control : Secondary antibody is a ready to use LeicaDS9800 (Bond™ Polymer Refine Detection).

Heat mediated antigen retrieval was performed with Tris-EDTA buffer (pH 9.0, Epitope Retrieval Solution2) for 20 mins

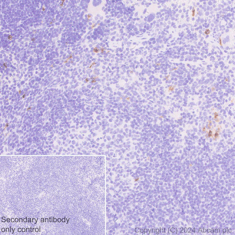
Immunohistochemistry (Formalin/PFA-fixed paraffin-embedded sections) - Anti-Langerin antibody [EPR28089-89] (AB317813)
  • IHC-P

Supplier Data

Immunohistochemistry (Formalin/PFA-fixed paraffin-embedded sections) - Anti-Langerin antibody [EPR28089-89] (AB317813)

Immunohistochemical analysis of paraffin-embedded Mouse spleen tissue labeling Langerin with ab317813 at 1/500 (1.026 ug/ml) dilution, followed by a ready to use LeicaDS9800 (Bond™ Polymer Refine Detection).

Positive staining on mouse spleen.
The section was incubated with ab317813 for 30 mins at room temperature.
The immunostaining was performed on a Leica Biosystems BOND® RX instrument
Incubate slides with 3% Hydrogen Peroxide for 10 mins at room temperature after secondary antibody incubation to reduce the background

Counterstained with Hematoxylin.

Secondary antibody only control : Secondary antibody is a ready to use LeicaDS9800 (Bond™ Polymer Refine Detection).

Heat mediated antigen retrieval was performed with Tris-EDTA buffer (pH 9.0, Epitope Retrieval Solution2) for 20 mins

Immunoprecipitation - Anti-Langerin antibody [EPR28089-89] (AB317813)
  • IP

Supplier Data

Immunoprecipitation - Anti-Langerin antibody [EPR28089-89] (AB317813)

Langerin was immunoprecipitated from 0.35 mg Mouse spleen tissue lysate with ab317813 at 1/30 dilution (2ug in 0.35mg lysates). Western blot was performed on the immunoprecipitate using ab317813 at 1/1000 dilution. VeriBlot for IP secondary antibody(HRP)(ab131366) was used at 1/5000 dilution.

Lane 1 : Mouse spleen tissue lysate
Lane 2 : ab317813 IP in Mouse spleen tissue lysate
Lane 3 : Rabbit monoclonal IgG (ab172730) instead of ab317813 in mouse spleen tissue lysate

All lanes:

Immunoprecipitation - Anti-Langerin antibody [EPR28089-89] (ab317813) at 1/30 dilution

All lanes:

Mouse spleen tissue lysate

Secondary

All lanes:

Immunoprecipitation - VeriBlot for IP Detection Reagent (HRP) (<a href='/en-us/products/reagents/veriblot-for-ip-detection-reagent-hrp-ab131366'>ab131366</a>) at 1/5000 dilution

false

Exposure time: 180s

Western blot - Anti-Langerin antibody [EPR28089-89] (AB317813)
  • WB

Supplier Data

Western blot - Anti-Langerin antibody [EPR28089-89] (AB317813)

Negative control : Mouse liver and kidney

In Western blot, Anti-GAPDH antibody [EPR16891] - Loading Control (ab181602) staining at 1/200000 dilution.

All lanes:

Western blot - Anti-Langerin antibody [EPR28089-89] (ab317813) at 1/1000 dilution

Lane 1:

Mouse lymph node tissue lysate at 20 µg

Lane 2:

Mouse thymus tissue lysate at 20 µg

Lane 3:

Mouse spleen tissue lysate at 20 µg

Lane 4:

Mouse liver tissue lysate at 20 µg

Lane 5:

Mouse kidney tissue lysate at 20 µg

Secondary

All lanes:

Western blot - Goat Anti-Rabbit IgG H&L (HRP) (<a href='/en-us/products/secondary-antibodies/goat-rabbit-igg-h-l-hrp-ab97051'>ab97051</a>) at 1/100000 dilution

Observed band size: 40-50 kDa,36 kDa

false

Exposure time: 180s

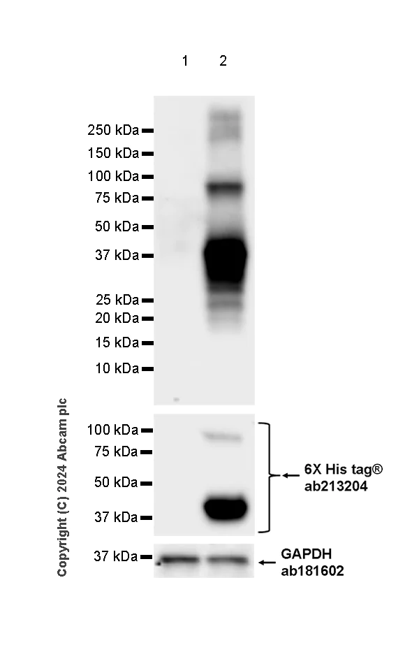
Western blot - Anti-Langerin antibody [EPR28089-89] (AB317813)
  • WB

Supplier Data

Western blot - Anti-Langerin antibody [EPR28089-89] (AB317813)

In Western blot, Anti-GAPDH antibody [EPR16891] - Loading Control (ab181602) staining at 1/200000 dilution.

In Western blot, Anti-6X His tag® antibody [EPR20547] - ChIP Grade (ab213204) staining at 1/5000 dilution.

All lanes:

Western blot - Anti-Langerin antibody [EPR28089-89] (ab317813) at 1/1000 dilution

Lane 1:

293T cells transfected with an empty vector containi a His-tag, whole cell lysate at 20 µg

Lane 2:

293T cells transfected with a mouse CD207 expression vector containing a His-tag, whole cell lysate at 20 µg

Secondary

All lanes:

Western blot - Goat Anti-Rabbit IgG H&L (HRP) (<a href='/en-us/products/secondary-antibodies/goat-rabbit-igg-h-l-hrp-ab97051'>ab97051</a>) at 1/100000 dilution

Observed band size: 40-50 kDa,36 kDa

false

Exposure time: 15s

  • Carrier free

    Anti-Langerin antibody [EPR28089-89] - BSA and Azide free

Key facts

Host species

Rabbit

Clonality

Monoclonal

Clone number

EPR28089-89

Isotype

IgG

Carrier free

No

Reacts with

Mouse

Applications

WB, IHC-P, IP

applications

Immunogen

The exact immunogen used to generate this antibody is proprietary information.

Reactivity data

{ "title": "Reactivity Data", "filters": { "stats": ["", "Species", "Dilution Info", "Notes"], "tabs": { "all-applications": {"fullname" : "All Applications", "shortname": "All Applications"}, "WB" : {"fullname" : "Western blot", "shortname":"WB"}, "IP" : {"fullname" : "Immunoprecipitation", "shortname":"IP"}, "IHCP" : {"fullname" : "Immunohistochemistry (Formalin/PFA-fixed paraffin-embedded sections)", "shortname":"IHC-P"}, "ICCIF" : {"fullname" : "Immunocytochemistry/ Immunofluorescence", "shortname":"ICC/IF"} }, "product-promise": { "all": "all", "testedAndGuaranteed": "tested", "guaranteed": "expected", "predicted": "predicted", "notRecommended": "not-recommended" } }, "values": { "Human": { "WB-species-checked": "notRecommended", "WB-species-dilution-info": "", "WB-species-notes": "", "IP-species-checked": "notRecommended", "IP-species-dilution-info": "", "IP-species-notes": "", "IHCP-species-checked": "notRecommended", "IHCP-species-dilution-info": "", "IHCP-species-notes": "<p></p>", "ICCIF-species-checked": "notRecommended", "ICCIF-species-dilution-info": "", "ICCIF-species-notes": "" }, "Mouse": { "WB-species-checked": "testedAndGuaranteed", "WB-species-dilution-info": "1/1000", "WB-species-notes": "<p></p>", "IP-species-checked": "testedAndGuaranteed", "IP-species-dilution-info": "1/30", "IP-species-notes": "<p></p>", "IHCP-species-checked": "testedAndGuaranteed", "IHCP-species-dilution-info": "1/500", "IHCP-species-notes": "<p></p> Perform heat-mediated antigen retrieval with Tris/EDTA buffer pH 9.0 before commencing with IHC staining protocol.", "ICCIF-species-checked": "notRecommended", "ICCIF-species-dilution-info": "", "ICCIF-species-notes": "<p></p>" }, "Rat": { "WB-species-checked": "notRecommended", "WB-species-dilution-info": "", "WB-species-notes": "", "IP-species-checked": "notRecommended", "IP-species-dilution-info": "", "IP-species-notes": "", "IHCP-species-checked": "notRecommended", "IHCP-species-dilution-info": "", "IHCP-species-notes": "<p></p>", "ICCIF-species-checked": "notRecommended", "ICCIF-species-dilution-info": "", "ICCIF-species-notes": "" }, "Transfected cell lysate - Mouse": { "WB-species-checked": "testedAndGuaranteed", "WB-species-dilution-info": "1/1000", "WB-species-notes": "<p></p>", "IP-species-checked": "notRecommended", "IP-species-dilution-info": "", "IP-species-notes": "", "IHCP-species-checked": "notRecommended", "IHCP-species-dilution-info": "", "IHCP-species-notes": "", "ICCIF-species-checked": "notRecommended", "ICCIF-species-dilution-info": "", "ICCIF-species-notes": "" } } }

Product details

Patented technology
Our RabMAb® technology is a patented hybridoma-based technology for making rabbit monoclonal antibodies. For details on our patents, please refer to RabMAb® patents.

What are the advantages of a recombinant monoclonal antibody?
This product is a recombinant monoclonal antibody, which offers several advantages including:

  • - High batch-to-batch consistency and reproducibility
  • - Improved sensitivity and specificity
  • - Long-term security of supply
  • - Animal-free batch production

For more information, read more on recombinant antibodies.

Properties and storage information

Form
Liquid
Purification technique
Affinity purification Protein A
Storage buffer
pH: 7.2 - 7.4 Preservative: 0.01% Sodium azide Constituents: PBS, 40% Glycerol (glycerin, glycerine), 0.05% BSA
Shipped at conditions
Blue Ice
Appropriate short-term storage duration
1-2 weeks
Appropriate short-term storage conditions
+4°C
Appropriate long-term storage conditions
-20°C
Aliquoting information
Upon delivery aliquot
Storage information
Avoid freeze / thaw cycle

Supplementary information

This supplementary information is collated from multiple sources and compiled automatically.

Langerin also known as CD207 is a type II transmembrane protein involved in the immune response. It weighs approximately 40 kDa and is expressed mainly in Langerhans cells a specialized subset of dendritic cells found in the skin and mucosal tissues. Langerin functions as a C-type lectin receptor with the ability to recognize and internalize glycosylated antigens. This target facilitates the capture and presentation of antigens enhancing the immune surveillance process.
Biological function summary

Langerin supports Langerhans cells in the recognition and processing of pathogens. The protein forms homotrimers enabling it to bind specific mannose-rich glycan structures on pathogens such as viruses and bacteria. Through its endocytic properties Langerin internalizes these antigens into Birbeck granules unique organelles in Langerhans cells promoting antigen processing and presentation to T cells therefore initiating immune responses.

Pathways

Langerin is critical for antigen uptake and processing via the lectin pathway of endocytosis. It interacts with other dendritic cell receptors and influences signaling pathways that enhance immune activation such as the Syk and Raf-1 kinase pathways. Langerin’s ability to internalize antigens connects it with proteins like DC-SIGN and MR which share roles in pathogen recognition and immune modulation.

Langerin plays a significant role in conditions like Langerhans Cell Histiocytosis (LCH) and HIV. In LCH abnormal proliferation of Langerhans cells occurs where Langerin expression helps in diagnosing and characterizing LCH lesions. In the context of HIV Langerin interacts with viral particles reducing their ability to infect immune cells. This protein also relates to other immune receptors like CD40 and CD86 which regulate immune responses in associated disorders.

Product protocols

For this product, it's our understanding that no specific protocols are required. You can visit:

Target data

Calcium-dependent lectin displaying mannose-binding specificity. Induces the formation of Birbeck granules (BGs); is a potent regulator of membrane superimposition and zippering. Binds to sulfated as well as mannosylated glycans, keratan sulfate (KS) and beta-glucans. Facilitates uptake of antigens and is involved in the routing and/or processing of antigen for presentation to T cells.
See full target information Cd207

Product promise

We are committed to supporting your work with high-quality reagents, and we're here for you every step of the way. In the unlikely event that one of our products does not perform as expected, you're protected by our Product Promise.
For full details, please see our Terms & Conditions

Please note: All products are 'FOR RESEARCH USE ONLY. NOT FOR USE IN DIAGNOSTIC OR THERAPEUTIC PROCEDURES'.

For licensing inquiries, please contact partnerships@abcam.com