JavaScript is disabled in your browser. Please enable JavaScript to view this website.
AB226336

Anti-LAP2 alpha antibody

Be the first to review this product! Submit a review

|

(2 Publications)

Rabbit Polyclonal LAP2 alpha antibody. Suitable for IHC-P, IP, WB and reacts with Mouse, Human samples. Cited in 2 publications.

View Alternative Names

LAP2, TMPO, Thymopoietin isoform alpha, Thymopoietin-related peptide isoform alpha, TP alpha, TPRP isoform alpha

4 Images
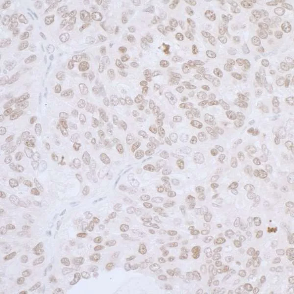
Immunohistochemistry (Formalin/PFA-fixed paraffin-embedded sections) - Anti-LAP2 alpha antibody (AB226336)
  • IHC-P

Supplier Data

Immunohistochemistry (Formalin/PFA-fixed paraffin-embedded sections) - Anti-LAP2 alpha antibody (AB226336)

Formalin-fixed, paraffin-embedded human breast carcinoma tissue stained for LAP2 alpha using ab226336 at 1/5000 dilution in immunohistochemical analysis. Detection : DAB staining.

Immunoprecipitation - Anti-LAP2 alpha antibody (AB226336)
  • IP

Supplier Data

Immunoprecipitation - Anti-LAP2 alpha antibody (AB226336)

LAP2 alpha was immunoprecipitated from HEK-293T (human epithelial cell line from embryonic kidney transformed with large T antigen) whole cell lysate (prepared using NETN lysis buffer; 20% of IP loaded) with ab226336 at 6 μg per reaction. Western blot was performed from the immunoprecipitate using ab226336 at 1 μg/ml.

Lane 1 : ab226336 IP in HEK-293T whole cell lysate.

Lane 2 : Control IgG IP in HEK-293T whole cell lysate.

Detection : Chemiluminescence with exposure time of 30 seconds.

All lanes:

Immunoprecipitation - Anti-LAP2 alpha antibody (ab226336)

Predicted band size: 75 kDa

false

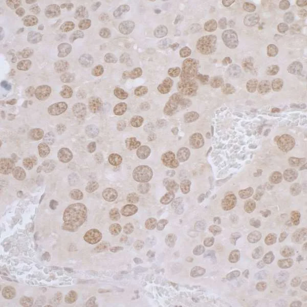
Immunohistochemistry (Formalin/PFA-fixed paraffin-embedded sections) - Anti-LAP2 alpha antibody (AB226336)
  • IHC-P

Supplier Data

Immunohistochemistry (Formalin/PFA-fixed paraffin-embedded sections) - Anti-LAP2 alpha antibody (AB226336)

Formalin-fixed, paraffin-embedded mouse renal cell carcinoma tissue stained for LAP2 alpha using ab226336 at 1/1000 dilution in immunohistochemical analysis. Detection : DAB staining.

Western blot - Anti-LAP2 alpha antibody (AB226336)
  • WB

Supplier Data

Western blot - Anti-LAP2 alpha antibody (AB226336)

Cell lysates were prepared using NETN lysis buffer.

All lanes:

Western blot - Anti-LAP2 alpha antibody (ab226336) at 0.1 µg/mL

Lane 1:

HeLa (human epithelial cell line from cervix adenocarcinoma) whole cell lysates at 50 µg

Lane 2:

HEK-293T (human epithelial cell line from embryonic kidney transformed with large T antigen) whole cell lysates at 50 µg

Lane 3:

Jurkat (human T cell leukemia cell line from peripheral blood) whole cell lysates at 50 µg

Predicted band size: 75 kDa

true

Exposure time: 30s

Key facts

Host species

Rabbit

Clonality

Polyclonal

Isotype

IgG

Carrier free

No

Reacts with

Mouse, Human

Applications

IP, WB, IHC-P

applications

Immunogen

The exact immunogen used to generate this antibody is proprietary information.

Reactivity data

{ "title": "Reactivity Data", "filters": { "stats": ["", "Species", "Dilution Info", "Notes"], "tabs": { "all-applications": {"fullname" : "All Applications", "shortname": "All Applications"}, "IHCP" : {"fullname" : "Immunohistochemistry (Formalin/PFA-fixed paraffin-embedded sections)", "shortname":"IHC-P"}, "IP" : {"fullname" : "Immunoprecipitation", "shortname":"IP"}, "WB" : {"fullname" : "Western blot", "shortname":"WB"} }, "product-promise": { "all": "all", "testedAndGuaranteed": "tested", "guaranteed": "expected", "predicted": "predicted", "notRecommended": "not-recommended" } }, "values": { "Human": { "IHCP-species-checked": "testedAndGuaranteed", "IHCP-species-dilution-info": "1/1000 - 1/5000", "IHCP-species-notes": "<p></p> Perform heat-mediated antigen retrieval with citrate buffer pH 6 before commencing with IHC staining protocol.", "IP-species-checked": "testedAndGuaranteed", "IP-species-dilution-info": "2-10 µg/mg of lysate", "IP-species-notes": "<p></p>", "WB-species-checked": "testedAndGuaranteed", "WB-species-dilution-info": "1/2000 - 1/10000", "WB-species-notes": "<p></p>" }, "Mouse": { "IHCP-species-checked": "testedAndGuaranteed", "IHCP-species-dilution-info": "1/1000 - 1/5000", "IHCP-species-notes": "<p></p> Perform heat-mediated antigen retrieval with citrate buffer pH 6 before commencing with IHC staining protocol.", "IP-species-checked": "guaranteed", "IP-species-dilution-info": "", "IP-species-notes": "", "WB-species-checked": "guaranteed", "WB-species-dilution-info": "", "WB-species-notes": "" } } }

Properties and storage information

Form
Liquid
Purification technique
Affinity purification Immunogen
Purification notes
ab226336 was affinity purified using an epitope specific to LAP2 alpha immobilized on solid support.
Storage buffer
pH: 7 - 8 Preservative: 0.09% Sodium azide Constituents: Tris citrate/phosphate
Shipped at conditions
Blue Ice
Appropriate short-term storage duration
1-2 weeks
Appropriate short-term storage conditions
+4°C
Appropriate long-term storage conditions
+4°C
Aliquoting information
Upon delivery aliquot
Storage information
Avoid freeze / thaw cycle|Do Not Freeze

Supplementary information

This supplementary information is collated from multiple sources and compiled automatically.

Lamina-associated polypeptide 2 alpha (LAP2 alpha) also known as LAP2A is part of the LAP2 protein family. It has a molecular mass of approximately 76 kDa. This protein connects with the nuclear lamina and is prominently expressed in the nucleus of most cell types. LAP2 alpha interacts with chromatin and its mechanical role involves regulating interactions between chromatin and nuclear structures.
Biological function summary

LAP2 alpha contributes to processes like nuclear stability and chromatin organization. It is involved in the formation of a complex with lamin A/C facilitating the association of this nuclear lamina protein. This interaction plays a significant role in dynamically organizing the nuclear architecture throughout the cell cycle influencing cell differentiation and proliferation.

Pathways

The interaction of LAP2 alpha with lamin A/C places it in the context of the nuclear envelope dynamics. Key pathways include the regulation of genome stability and DNA repair pathways. The interaction with lamin A/C influences how cells manage genome maintenance making LAP2 alpha important for cellular homeostasis.

LAP2 alpha shows relevance to muscular dystrophy and progeria. LAP2 alpha’s interaction with lamin A/C is important because mutations in lamin A/C are known to cause Emery-Dreifuss muscular dystrophy. Additionally LAP2 alpha's role in nuclear architecture is significant in the context of Hutchinson-Gilford progeria syndrome where abnormalities in nuclear shape are evident. In these diseases LAP2 alpha's interaction or malfunction can lead to or exacerbate pathology.

Product protocols

For this product, it's our understanding that no specific protocols are required. You can visit:

Target data

May be involved in the structural organization of the nucleus and in the post-mitotic nuclear assembly. Plays an important role, together with LMNA, in the nuclear anchorage of RB1.. TP and TP5 may play a role in T-cell development and function. TP5 is an immunomodulating pentapeptide.
See full target information TMPO

Publications (2)

Recent publications for all applications. Explore the full list and refine your search

International journal of biological sciences 19:1528-1542 PubMed37056924

2023

SIRT7 Downregulation Promotes Breast Cancer Metastasis Via LAP2α-Induced Chromosomal Instability.

Applications

Unspecified application

Species

Unspecified reactive species

Qin Huo,Siqi Chen,Jialang Zhuang,Chuntao Quan,Yue Wang,Ni Xie

Journal, genetic engineering & biotechnology 20:77 PubMed35608724

2022

Expression and characterization of hemagglutinin-neuraminidase protein from Newcastle disease virus in Bacillus subtilis WB800.

Applications

Unspecified application

Species

Unspecified reactive species

Mohammadreza Shafaati,Masoud Ghorbani,Minoo Mahmoodi,Mostafa Ebadi,Reza Jalalirad
View all publications

Product promise

We are committed to supporting your work with high-quality reagents, and we're here for you every step of the way. In the unlikely event that one of our products does not perform as expected, you're protected by our Product Promise.
For full details, please see our Terms & Conditions

Please note: All products are 'FOR RESEARCH USE ONLY. NOT FOR USE IN DIAGNOSTIC OR THERAPEUTIC PROCEDURES'.

For licensing inquiries, please contact partnerships@abcam.com