JavaScript is disabled in your browser. Please enable JavaScript to view this website.
AB226348

Anti-LAP2 antibody

Be the first to review this product! Submit a review

|

(1 Publication)

Rabbit Polyclonal LAP2B antibody. Suitable for IHC-P, IP, WB and reacts with Mouse, Human samples. Cited in 1 publication.

View Alternative Names

LAP2, TMPO, Thymopoietin-related peptide isoforms beta/gamma, TP beta/gamma, TPRP isoforms beta/gamma

4 Images
Immunohistochemistry (Formalin/PFA-fixed paraffin-embedded sections) - Anti-LAP2 antibody (AB226348)
  • IHC-P

Supplier Data

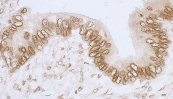
Immunohistochemistry (Formalin/PFA-fixed paraffin-embedded sections) - Anti-LAP2 antibody (AB226348)

Formalin-fixed, paraffin-embedded human colon carcinoma tissue stained for LAP2 using ab226348 at 1/1000 dilution in immunohistochemical analysis.

Detection : DAB staining.

Immunohistochemistry (Formalin/PFA-fixed paraffin-embedded sections) - Anti-LAP2 antibody (AB226348)
  • IHC-P

Supplier Data

Immunohistochemistry (Formalin/PFA-fixed paraffin-embedded sections) - Anti-LAP2 antibody (AB226348)

Formalin-fixed, paraffin-embedded mouse renal cell carcinoma tissue stained for LAP2 using ab226348 at 1/1000 dilution in immunohistochemical analysis.

Detection : DAB staining.

Immunoprecipitation - Anti-LAP2 antibody (AB226348)
  • IP

Supplier Data

Immunoprecipitation - Anti-LAP2 antibody (AB226348)

LAP2 was immunoprecipitated from HEK-293T (human epithelial cell line from embryonic kidney transformed with large T antigen) whole cell lysate (prepared using NETN lysis buffer; 1 mg for IP, 20% of IP loaded) with ab226348 at 6 μg/mg lysate. Western blot was performed from the immunoprecipitate using ab226348 at 1 μg/ml.

Lane 1 : ab226348 IP in HEK-293T whole cell lysate.

Lane 2 : Control IgG IP in HEK-293T whole cell lysate.

Detection : Chemiluminescence with exposure time of 10 seconds.

All lanes:

Immunoprecipitation - Anti-LAP2 antibody (ab226348)

Predicted band size: 75 kDa

false

Western blot - Anti-LAP2 antibody (AB226348)
  • WB

Supplier Data

Western blot - Anti-LAP2 antibody (AB226348)

Lysates prepared using NETN lysis buffer.

All lanes:

Western blot - Anti-LAP2 antibody (ab226348) at 0.1 µg/mL

Lane 1:

HeLa (human epithelial cell line from cervix adenocarcinoma) whole cell lysate at 50 µg

Lane 2:

HEK-293T (human epithelial cell line from embryonic kidney transformed with large T antigen) whole cell lysate at 50 µg

Lane 3:

Jurkat (human T cell leukemia cell line from peripheral blood) whole cell lysate at 50 µg

Predicted band size: 75 kDa

true

Exposure time: 30s

Key facts

Host species

Rabbit

Clonality

Polyclonal

Isotype

IgG

Carrier free

No

Reacts with

Mouse, Human

Applications

IP, WB, IHC-P

applications

Immunogen

The exact immunogen used to generate this antibody is proprietary information.

Reactivity data

{ "title": "Reactivity Data", "filters": { "stats": ["", "Species", "Dilution Info", "Notes"], "tabs": { "all-applications": {"fullname" : "All Applications", "shortname": "All Applications"}, "IHCP" : {"fullname" : "Immunohistochemistry (Formalin/PFA-fixed paraffin-embedded sections)", "shortname":"IHC-P"}, "IP" : {"fullname" : "Immunoprecipitation", "shortname":"IP"}, "WB" : {"fullname" : "Western blot", "shortname":"WB"} }, "product-promise": { "all": "all", "testedAndGuaranteed": "tested", "guaranteed": "expected", "predicted": "predicted", "notRecommended": "not-recommended" } }, "values": { "Human": { "IHCP-species-checked": "testedAndGuaranteed", "IHCP-species-dilution-info": "1/500 - 1/2000", "IHCP-species-notes": "<p></p> Perform heat-mediated antigen retrieval with citrate buffer pH 6 before commencing with IHC staining protocol.", "IP-species-checked": "testedAndGuaranteed", "IP-species-dilution-info": "2-10 µg/mg of lysate", "IP-species-notes": "<p></p>", "WB-species-checked": "testedAndGuaranteed", "WB-species-dilution-info": "1/2000 - 1/10000", "WB-species-notes": "<p></p>" }, "Mouse": { "IHCP-species-checked": "testedAndGuaranteed", "IHCP-species-dilution-info": "1/500 - 1/2000", "IHCP-species-notes": "<p></p> Perform heat-mediated antigen retrieval with citrate buffer pH 6 before commencing with IHC staining protocol.", "IP-species-checked": "guaranteed", "IP-species-dilution-info": "", "IP-species-notes": "", "WB-species-checked": "guaranteed", "WB-species-dilution-info": "", "WB-species-notes": "" }, "Rat": { "IHCP-species-checked": "predicted", "IHCP-species-dilution-info": "", "IHCP-species-notes": "", "IP-species-checked": "predicted", "IP-species-dilution-info": "", "IP-species-notes": "", "WB-species-checked": "predicted", "WB-species-dilution-info": "", "WB-species-notes": "" } } }

Properties and storage information

Form
Liquid
Purification technique
Affinity purification Immunogen
Purification notes
ab226348 was affinity purified using an epitope specific to LAP2 immobilized on solid support.
Storage buffer
pH: 7 - 8 Preservative: 0.09% Sodium azide Constituents: Tris citrate/phosphate
Shipped at conditions
Blue Ice
Appropriate short-term storage duration
1-2 weeks
Appropriate short-term storage conditions
+4°C
Appropriate long-term storage conditions
-20°C
Aliquoting information
Upon delivery aliquot
Storage information
Avoid freeze / thaw cycle

Supplementary information

This supplementary information is collated from multiple sources and compiled automatically.

The LAP2 protein also known as Lamin-Associated Polypeptide 2 plays a significant role in the structural organization of the nuclear envelope. This protein exists in various isoforms with LAP2β being among the most studied. LAP2 has a molecular mass ranging from 45 to 80 kDa depending on its isoform. LAP2 shows expression in nuclear membrane and endoplasmic reticulum and these locations enable it to participate in the anchorage of chromatin and nuclear lamina to the inner nuclear membrane.
Biological function summary

The LAP2 protein acts as a scaffold for several nuclear processes. It interacts with lamin proteins forming complexes that are vital for both nuclear assembly and structural stability. Through these interactions LAP2 not only assists in maintaining nuclear shape but also plays a role in DNA replication and gene expression regulation. By facilitating interactions between chromatin and the inner nuclear membrane LAP2 influences the spatial organization of genetic material within the nucleus.

Pathways

The LAP2 protein engages in the regulation of key cellular processes such as the cell cycle and apoptosis. In the context of the cell cycle LAP2 associates with nuclear lamins and other nuclear envelope components impacting the dynamic disassembly and reassembly of the nuclear envelope during mitosis. In apoptosis pathways LAP2 interacts with proteins like BAF (Barrier-to-Autointegration Factor) affecting chromatin condensation and DNA fragmentation phases.

LAP2 protein alterations show connections to cardiac and muscular pathologies. Mutations or dysregulation of LAP2 protein can contribute to Emery-Dreifuss muscular dystrophy a condition often linked with mutant nuclear envelope proteins including emerin and lamins. Additionally LAP2 has relevance in dilated cardiomyopathy where its interaction with lamin A/C becomes impaired leading to improper nuclear structural integrity and function.

Product protocols

For this product, it's our understanding that no specific protocols are required. You can visit:

Target data

May help direct the assembly of the nuclear lamina and thereby help maintain the structural organization of the nuclear envelope. Possible receptor for attachment of lamin filaments to the inner nuclear membrane. May be involved in the control of initiation of DNA replication through its interaction with NAKAP95.. Thymopoietin (TP) and Thymopentin (TP5) may play a role in T-cell development and function. TP5 is an immunomodulating pentapeptide.
See full target information TMPO

Publications (1)

Recent publications for all applications. Explore the full list and refine your search

Oncology letters 18:3443-3452 PubMed31516562

2019

Downregulation of thymopoietin by miR-139-5p suppresses cell proliferation and induces cell cycle arrest/apoptosis in pancreatic ductal adenocarcinoma.

Applications

Unspecified application

Species

Unspecified reactive species

Huadong Zhou,Linfei Zhang,Huahua Tu
View all publications

Product promise

We are committed to supporting your work with high-quality reagents, and we're here for you every step of the way. In the unlikely event that one of our products does not perform as expected, you're protected by our Product Promise.
For full details, please see our Terms & Conditions

Please note: All products are 'FOR RESEARCH USE ONLY. NOT FOR USE IN DIAGNOSTIC OR THERAPEUTIC PROCEDURES'.

For licensing inquiries, please contact partnerships@abcam.com