JavaScript is disabled in your browser. Please enable JavaScript to view this website.
AB154809

Anti-LAP3 antibody [EPR10330]

Be the first to review this product! Submit a review

|

(3 Publications)

Rabbit Recombinant Monoclonal LAP3 antibody. Suitable for IHC-P, WB, Flow Cyt (Intra) and reacts with Human samples. Cited in 3 publications.

View Alternative Names

LAPEP, PEPS, LAP3, Cytosol aminopeptidase, Cysteinylglycine-S-conjugate dipeptidase, Leucine aminopeptidase 3, Leucyl aminopeptidase, Peptidase S, Proline aminopeptidase, Prolyl aminopeptidase, LAP-3

9 Images
Immunohistochemistry (Formalin/PFA-fixed paraffin-embedded sections) - Anti-LAP3 antibody [EPR10330] (AB154809)
  • IHC-P

Unknown

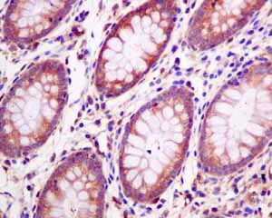
Immunohistochemistry (Formalin/PFA-fixed paraffin-embedded sections) - Anti-LAP3 antibody [EPR10330] (AB154809)

Immunohistochemical analysis of paraffin embedded Human colonic adenocarcinoma tissue using ab154809 showing +ve staining.

Perform heat mediated antigen retrieval before commencing with IHC staining protocol.

Immunohistochemistry (Formalin/PFA-fixed paraffin-embedded sections) - Anti-LAP3 antibody [EPR10330] (AB154809)
  • IHC-P

Unknown

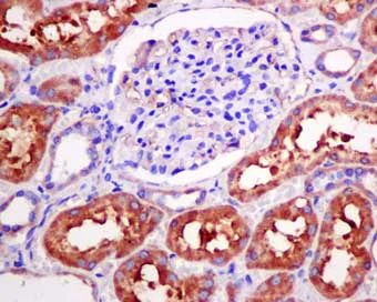
Immunohistochemistry (Formalin/PFA-fixed paraffin-embedded sections) - Anti-LAP3 antibody [EPR10330] (AB154809)

Immunohistochemical analysis of paraffin-embedded human kidney tissue labeling LAP3 with ab154809 at 1/50 dilution.

Perform heat mediated antigen retrieval before commencing with IHC staining protocol.

Flow Cytometry (Intracellular) - Anti-LAP3 antibody [EPR10330] (AB154809)
  • Flow Cyt (Intra)

Unknown

Flow Cytometry (Intracellular) - Anti-LAP3 antibody [EPR10330] (AB154809)

Intracellular flow cytometric analysis of permeabilized 293T cells labeling LAP3 with ab154809 at 1/10 dilution (red) or a negative rabbit IgG (control) (green).

Immunohistochemistry (Formalin/PFA-fixed paraffin-embedded sections) - Anti-LAP3 antibody [EPR10330] (AB154809)
  • IHC-P

Unknown

Immunohistochemistry (Formalin/PFA-fixed paraffin-embedded sections) - Anti-LAP3 antibody [EPR10330] (AB154809)

Immunohistochemical analysis of paraffin embedded Human normal colon tissue using ab154809 showing +ve staining.

Perform heat mediated antigen retrieval before commencing with IHC staining protocol.

Immunohistochemistry (Formalin/PFA-fixed paraffin-embedded sections) - Anti-LAP3 antibody [EPR10330] (AB154809)
  • IHC-P

Unknown

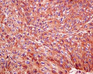
Immunohistochemistry (Formalin/PFA-fixed paraffin-embedded sections) - Anti-LAP3 antibody [EPR10330] (AB154809)

Immunohistochemical analysis of paraffin embedded Human urinary bladder transitional carcinoma tissue using ab154809 showing +ve staining.

Perform heat mediated antigen retrieval before commencing with IHC staining protocol.

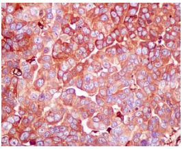
Immunohistochemistry (Formalin/PFA-fixed paraffin-embedded sections) - Anti-LAP3 antibody [EPR10330] (AB154809)
  • IHC-P

Unknown

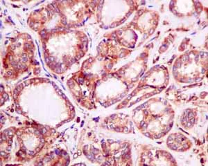
Immunohistochemistry (Formalin/PFA-fixed paraffin-embedded sections) - Anti-LAP3 antibody [EPR10330] (AB154809)

Immunohistochemical analysis of paraffin embedded Human thyroid gland carcinoma tissue using ab154809 showing +ve staining.

Perform heat mediated antigen retrieval before commencing with IHC staining protocol.

Immunohistochemistry (Formalin/PFA-fixed paraffin-embedded sections) - Anti-LAP3 antibody [EPR10330] (AB154809)
  • IHC-P

Unknown

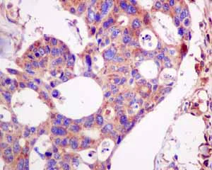
Immunohistochemistry (Formalin/PFA-fixed paraffin-embedded sections) - Anti-LAP3 antibody [EPR10330] (AB154809)

Immunohistochemical analysis of paraffin-embedded ovarian human carcinoma tissue labeling LAP3 with ab154809 at 1/50 dilution.

Perform heat mediated antigen retrieval before commencing with IHC staining protocol.

Western blot - Anti-LAP3 antibody [EPR10330] (AB154809)
  • WB

Lab

Western blot - Anti-LAP3 antibody [EPR10330] (AB154809)

Lanes 1-4 : Merged signal (red and green). Green - ab154809 observed at 56 kDa. Red - loading control ab8245 observed at 36 kDa.

ab154809 Anti-LAP3 antibody [EPR10330] was shown to specifically react with LAP3 in wild-type A549 cells. Loss of signal was observed when knockout cell line ab266986 (knockout cell lysate ab258023) was used. Wild-type and LAP3 knockout samples were subjected to SDS-PAGE. ab154809 and Anti-GAPDH antibody [6C5] - Loading Control (ab8245) were incubated overnight at 4°C at 1 in 1000 dilution and 1 in 20000 dilution respectively. Blots were developed with Goat anti-Rabbit IgG H&L (IRDye® 800CW) preadsorbed (ab216773) and Goat anti-Mouse IgG H&L (IRDye® 680RD) preadsorbed (ab216776) secondary antibodies at 1 in 20000 dilution for 1 hour at room temperature before imaging.

All lanes:

Western blot - Anti-LAP3 antibody [EPR10330] (ab154809) at 1/1000 dilution

Lane 1:

Wild-type A549 cell lysate at 20 µg

Lane 2:

LAP3 knockout A549 cell lysate at 20 µg

Lane 2:

Western blot - Human LAP3 knockout A549 cell line (<a href='/en-us/products/cell-lines/human-lap3-knockout-a549-cell-line-ab266986'>ab266986</a>)

Lane 3:

HepG2 cell lysate at 20 µg

Lane 4:

HeLa cell lysate at 20 µg

Secondary

All lanes:

Western blot - Goat anti-Rabbit IgG H&L (IRDye® 800CW) preadsorbed (<a href='/en-us/products/secondary-antibodies/goat-rabbit-igg-h-l-irdye-800cw-preadsorbed-ab216773'>ab216773</a>) at 1/10000 dilution

Predicted band size: 56 kDa

Observed band size: 56 kDa

false

Western blot - Anti-LAP3 antibody [EPR10330] (AB154809)
  • WB

Unknown

Western blot - Anti-LAP3 antibody [EPR10330] (AB154809)

All lanes:

Western blot - Anti-LAP3 antibody [EPR10330] (ab154809) at 1/1000 dilution

Lane 1:

Human fetal liver lysate at 10 µg

Lane 2:

293T lysate at 10 µg

Lane 3:

HepG2 lysate at 10 µg

Lane 4:

HeLa lysate at 10 µg

Predicted band size: 56 kDa

false

  • Carrier free

    Anti-LAP3 antibody [EPR10330] - BSA and Azide free

Key facts

Host species

Rabbit

Clonality

Monoclonal

Clone number

EPR10330

Isotype

IgG

Carrier free

No

Reacts with

Human

Applications

Flow Cyt (Intra), WB, IHC-P

applications

Immunogen

The exact immunogen used to generate this antibody is proprietary information.

Reactivity data

{ "title": "Reactivity Data", "filters": { "stats": ["", "Species", "Dilution Info", "Notes"], "tabs": { "all-applications": {"fullname" : "All Applications", "shortname": "All Applications"}, "IHCP" : {"fullname" : "Immunohistochemistry (Formalin/PFA-fixed paraffin-embedded sections)", "shortname":"IHC-P"}, "IP" : {"fullname" : "Immunoprecipitation", "shortname":"IP"}, "WB" : {"fullname" : "Western blot", "shortname":"WB"}, "ICCIF" : {"fullname" : "Immunocytochemistry/ Immunofluorescence", "shortname":"ICC/IF"}, "FlowCytIntra" : {"fullname" : "Flow Cytometry (Intracellular)", "shortname":"Flow Cyt (Intra)"} }, "product-promise": { "all": "all", "testedAndGuaranteed": "tested", "guaranteed": "expected", "predicted": "predicted", "notRecommended": "not-recommended" } }, "values": { "Human": { "IHCP-species-checked": "testedAndGuaranteed", "IHCP-species-dilution-info": "1/50 - 1/100", "IHCP-species-notes": "<p></p> Perform heat-mediated antigen retrieval before commencing with IHC staining protocol.", "IP-species-checked": "notRecommended", "IP-species-dilution-info": "", "IP-species-notes": "<p></p>", "WB-species-checked": "testedAndGuaranteed", "WB-species-dilution-info": "1/1000 - 1/10000", "WB-species-notes": "<p></p>", "ICCIF-species-checked": "notRecommended", "ICCIF-species-dilution-info": "", "ICCIF-species-notes": "<p></p>", "FlowCytIntra-species-checked": "testedAndGuaranteed", "FlowCytIntra-species-dilution-info": "1/10 - 1/100", "FlowCytIntra-species-notes": "<p><a href='/en-us/products/primary-antibodies/rabbit-igg-monoclonal-epr25a-isotype-control-ab172730'>ab172730</a> - Rabbit monoclonal IgG, is suitable for use as an isotype control with this antibody.</p>" }, "Rat": { "IHCP-species-checked": "predicted", "IHCP-species-dilution-info": "", "IHCP-species-notes": "", "IP-species-checked": "notRecommended", "IP-species-dilution-info": "", "IP-species-notes": "", "WB-species-checked": "predicted", "WB-species-dilution-info": "", "WB-species-notes": "", "ICCIF-species-checked": "notRecommended", "ICCIF-species-dilution-info": "", "ICCIF-species-notes": "", "FlowCytIntra-species-checked": "predicted", "FlowCytIntra-species-dilution-info": "", "FlowCytIntra-species-notes": "" } } }

Product details

Species reactivity
Mouse: We have preliminary internal testing data to indicate this antibody may not react with this species.
Please contact us for more information.

Patented technology
Our RabMAb® technology is a patented hybridoma-based technology for making rabbit monoclonal antibodies. For details on our patents, please refer to RabMAb® patents.

What are the advantages of a recombinant monoclonal antibody?
This product is a recombinant monoclonal antibody, which offers several advantages including:

  • - High batch-to-batch consistency and reproducibility
  • - Improved sensitivity and specificity
  • - Long-term security of supply
  • - Animal-free batch production

For more information, read more on recombinant antibodies.

Properties and storage information

Form
Liquid
Purity
Tissue culture supernatant
Storage buffer
pH: 7.2 - 7.4 Preservative: 0.01% Sodium azide Constituents: PBS, 50% Tissue culture supernatant, 40% Glycerol (glycerin, glycerine), 0.05% BSA
Shipped at conditions
Blue Ice
Appropriate short-term storage conditions
+4°C
Appropriate long-term storage conditions
-20°C

Supplementary information

This supplementary information is collated from multiple sources and compiled automatically.

LAP3 also known as leukotriene A4 hydrolase has a molecular weight of approximately 53 kDa. This enzyme functions as an aminopeptidase which is a type of enzyme that removes amino acids from the amino terminus of proteins and peptides. It is expressed in many tissues with significant levels found in the liver and kidney. LAP3 also shows activity in the cellular cytoplasm indicating it plays a role in cellular metabolic processes.
Biological function summary

LAP3 participates in protein maturation and degradation. It plays a role in processing peptides that are destined for further degradation or cellular signaling. The LAP3 protein is not known to be part of a larger complex but it works alongside other enzymes involved in peptide metabolism. This activity contributes to the regulation of intracellular peptide concentrations and supports cellular homeostasis.

Pathways

LAP3 is linked to important biological processes such as protein catabolism and the regulation of blood pressure. It interacts within the peptide processing pathways to influence the generation of bioactive peptides. LAP3 works in conjunction with other proteolytic enzymes such as aminopeptidases and endopeptidases which are essential for various cellular functions. Through these pathways LAP3 indirectly impacts the regulation of physiological processes.

LAP3 is associated with hypertension and certain metabolic disorders. It influences conditions like high blood pressure through its role in generating peptides that can modulate vascular functions. LAP3 has connections with proteins involved in these conditions such as angiotensin-converting enzyme (ACE) which also plays a part in blood pressure regulation. Understanding the functions of LAP3 aids in delineating its potential as a therapeutic target for these diseases.

Product protocols

For this product, it's our understanding that no specific protocols are required. You can visit:

Target data

Cytosolic metallopeptidase that catalyzes the removal of unsubstituted N-terminal hydrophobic amino acids from various peptides. The presence of Zn(2+) ions is essential for the peptidase activity, and the association with other cofactors can modulate the substrate spectificity of the enzyme. For instance, in the presence of Mn(2+), it displays a specific Cys-Gly hydrolyzing activity of Cys-Gly-S-conjugates. Involved in the metabolism of glutathione and in the degradation of glutathione S-conjugates, which may play a role in the control of the cell redox status.
See full target information LAP3

Publications (3)

Recent publications for all applications. Explore the full list and refine your search

International journal of molecular sciences 23: PubMed35008858

2021

New Proteins Contributing to Immune Cell Infiltration and Pannus Formation of Synovial Membrane from Arthritis Diseases.

Applications

Unspecified application

Species

Unspecified reactive species

Dominique de Seny,Dominique Baiwir,Elettra Bianchi,Gaël Cobraiville,Céline Deroyer,Christophe Poulet,Olivier Malaise,Geneviève Paulissen,Marie-Joëlle Kaiser,Jean-Philippe Hauzeur,Gabriel Mazzucchelli,Philippe Delvenne,Michel Malaise

Drug discoveries & therapeutics 13:17-21 PubMed30880317

2019

A new method to evaluate the enzyme-suppressing activity of a leucine aminopeptidase 3 inhibitor.

Applications

Unspecified application

Species

Unspecified reactive species

Huina Wu,Wenyan Jiang,Baijian Li,Hanlin Yang,Xin Zhao,Hongan Zhang,Sensen Wang,Lili Peng,Lihua Wang,Xuejian Wang,Gong Dai,Chunyan Fang

Oncotarget 9:3996-4019 PubMed29423100

2018

Proteomic profiling of antibody-inducing immunogens in tumor tissue identifies PSMA1, LAP3, ANXA3, and maspin as colon cancer markers.

Applications

Unspecified application

Species

Unspecified reactive species

Qian Yang,Michael H Roehrl,Julia Y Wang
View all publications

Product promise

We are committed to supporting your work with high-quality reagents, and we're here for you every step of the way. In the unlikely event that one of our products does not perform as expected, you're protected by our Product Promise.
For full details, please see our Terms & Conditions

Please note: All products are 'FOR RESEARCH USE ONLY. NOT FOR USE IN DIAGNOSTIC OR THERAPEUTIC PROCEDURES'.

For licensing inquiries, please contact partnerships@abcam.com