JavaScript is disabled in your browser. Please enable JavaScript to view this website.
AB245635

Anti-LARP1 antibody

Be the first to review this product! Submit a review

|

(1 Publication)

Rabbit Polyclonal LARP1 antibody. Suitable for IHC-P, IP, WB and reacts with Human samples. Cited in 1 publication. Immunogen corresponding to Synthetic Peptide within Human LARP1 aa 550-650.

View Alternative Names

KIAA0731, LARP, LARP1, La-related protein 1, La ribonucleoprotein domain family member 1

3 Images
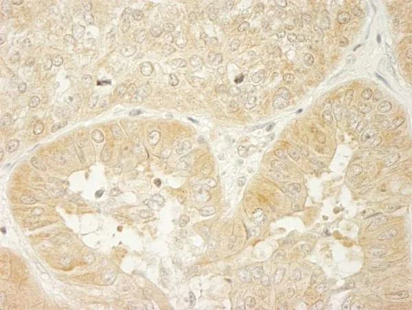
Immunohistochemistry (Formalin/PFA-fixed paraffin-embedded sections) - Anti-LARP1 antibody (AB245635)
  • IHC-P

Supplier Data

Immunohistochemistry (Formalin/PFA-fixed paraffin-embedded sections) - Anti-LARP1 antibody (AB245635)

Formalin-fixed, paraffin-embedded human ovarian carcinoma tissue stained for LARP1 using ab245635 at 1/200 dilution in immunohistochemical analysis. Detection : DAB staining.

Immunoprecipitation - Anti-LARP1 antibody (AB245635)
  • IP

Supplier Data

Immunoprecipitation - Anti-LARP1 antibody (AB245635)

LARP1 was immunoprecipitated from HeLa (human epithelial cell line from cervix adenocarcinoma) whole cell lysate (1 mg for IP, 20% of IP loaded) with ab245635 at 3 μg/mg lysate. Western blot was performed from the immunoprecipitate using ab245635 at 1 μg/ml.

Lane 1 : ab245635 IP in HeLa whole cell lysate.
Lane 2 : Control IgG IP in HeLa whole cell lysate.

Detection : Chemiluminescence with exposure time of 3 seconds.

All lanes:

Immunoprecipitation - Anti-LARP1 antibody (ab245635)

Predicted band size: 124 kDa

false

Western blot - Anti-LARP1 antibody (AB245635)
  • WB

Supplier Data

Western blot - Anti-LARP1 antibody (AB245635)

All lanes:

Western blot - Anti-LARP1 antibody (ab245635) at 0.04 µg/mL

Lane 1:

HeLa (human epithelial cell line from cervix adenocarcinoma) whole cell lysate at 50 µg

Lane 2:

HeLa (human epithelial cell line from cervix adenocarcinoma) whole cell lysate at 15 µg

Lane 3:

HeLa (human epithelial cell line from cervix adenocarcinoma) whole cell lysate at 5 µg

Predicted band size: 124 kDa

true

Exposure time: 30s

Key facts

Host species

Rabbit

Clonality

Polyclonal

Isotype

IgG

Carrier free

No

Reacts with

Human

Applications

IHC-P, WB, IP

applications

Immunogen

Synthetic Peptide within Human LARP1 aa 550-650. The exact immunogen used to generate this antibody is proprietary information.

Q6PKG0

Reactivity data

{ "title": "Reactivity Data", "filters": { "stats": ["", "Species", "Dilution Info", "Notes"], "tabs": { "all-applications": {"fullname" : "All Applications", "shortname": "All Applications"}, "IHCP" : {"fullname" : "Immunohistochemistry (Formalin/PFA-fixed paraffin-embedded sections)", "shortname":"IHC-P"}, "IP" : {"fullname" : "Immunoprecipitation", "shortname":"IP"}, "WB" : {"fullname" : "Western blot", "shortname":"WB"} }, "product-promise": { "all": "all", "testedAndGuaranteed": "tested", "guaranteed": "expected", "predicted": "predicted", "notRecommended": "not-recommended" } }, "values": { "Human": { "IHCP-species-checked": "testedAndGuaranteed", "IHCP-species-dilution-info": "1/100 - 1/500", "IHCP-species-notes": "<p></p> Perform heat-mediated antigen retrieval with citrate buffer pH 6 before commencing with IHC staining protocol.", "IP-species-checked": "testedAndGuaranteed", "IP-species-dilution-info": "2-5 µg/mg of lysate", "IP-species-notes": "<p></p>", "WB-species-checked": "testedAndGuaranteed", "WB-species-dilution-info": "1/2000 - 1/10000", "WB-species-notes": "<p></p>" } } }

Properties and storage information

Form
Liquid
Purification technique
Affinity purification Immunogen
Purification notes
ab245635 was affinity purified using an epitope specific to LARP1 immobilized on solid support.
Storage buffer
pH: 6.8 - 7.4 Preservative: 0.09% Sodium azide Constituents: Tris buffered saline, 0.1% BSA
Shipped at conditions
Blue Ice
Appropriate short-term storage duration
1-2 weeks
Appropriate short-term storage conditions
+4°C
Appropriate long-term storage conditions
+4°C
Aliquoting information
Upon delivery aliquot
Storage information
Avoid freeze / thaw cycle

Supplementary information

This supplementary information is collated from multiple sources and compiled automatically.

LARP1 or La-related protein 1 plays an important role in mRNA metabolism by regulating translation. This protein has a molecular weight of approximately 150 kDa and is expressed ubiquitously in various human tissues. LARP1 contains conserved domains that enable it to interact with RNA making it an important player in gene expression regulation at the post-transcriptional level. LARP1 is also involved in regulating the stability and translation of target mRNAs especially those with a specific 5' terminal oligopyrimidine (TOP) motif.
Biological function summary

LARP1 acts as an important regulator in the translation of mRNA particularly within the mTOR (mechanistic target of rapamycin) signaling pathway. LARP1 functions as part of a molecular complex that includes mTOR and other translation-associated proteins. This involvement in the mTOR pathway links LARP1 to protein synthesis control which is important for cell growth proliferation and survival. The interaction between LARP1 and mTORC1 (mTOR complex 1) enhances the translational efficiency of certain mRNAs influencing cellular responses to nutritional and growth signals.

Pathways

LARP1 interacts significantly with the mTORC1 signaling pathway which is important in cell growth and metabolism regulation. Its activity connects to proteins like eukaryotic translation initiation factor 4E-binding protein 1 (4EBP1) that are important for controlling protein synthesis. The function of LARP1 in these pathways helps maintain cellular homeostasis especially under varying environmental conditions by modulating the translation of mRNAs that encode for ribosomal proteins and other components of the translational machinery.

LARP1 has been implicated in cancer and metabolic diseases due to its role in mTORC1 signaling. Dysregulation of LARP1 expression or function can lead to aberrant cell growth and proliferation which is common in cancers. LARP1's association with mTORC1 and 4EBP1 highlights its involvement in metabolic disorders such as insulin resistance where altered mRNA translation can disrupt normal metabolic processes. Understanding LARP1's role in these conditions may provide insights into therapeutic targeting for cancer and metabolic disease interventions.

Product protocols

For this product, it's our understanding that no specific protocols are required. You can visit:

Target data

RNA-binding protein that regulates the translation of specific target mRNA species downstream of the mTORC1 complex, in function of growth signals and nutrient availability (PubMed : 20430826, PubMed : 23711370, PubMed : 24532714, PubMed : 25940091, PubMed : 28650797, PubMed : 28673543, PubMed : 29244122). Interacts on the one hand with the 3' poly-A tails that are present in all mRNA molecules, and on the other hand with the 7-methylguanosine cap structure of mRNAs containing a 5' terminal oligopyrimidine (5'TOP) motif, which is present in mRNAs encoding ribosomal proteins and several components of the translation machinery (PubMed : 23711370, PubMed : 25940091, PubMed : 26206669, PubMed : 28379136, PubMed : 28650797, PubMed : 29244122). The interaction with the 5' end of mRNAs containing a 5'TOP motif leads to translational repression by preventing the binding of EIF4G1 (PubMed : 25940091, PubMed : 28379136, PubMed : 28650797, PubMed : 29244122). When mTORC1 is activated, LARP1 is phosphorylated and dissociates from the 5' untranslated region (UTR) of mRNA (PubMed : 25940091, PubMed : 28650797). Does not prevent binding of EIF4G1 to mRNAs that lack a 5'TOP motif (PubMed : 28379136). Interacts with the free 40S ribosome subunit and with ribosomes, both monosomes and polysomes (PubMed : 20430826, PubMed : 24532714, PubMed : 25940091, PubMed : 28673543). Under normal nutrient availability, interacts primarily with the 3' untranslated region (UTR) of mRNAs encoding ribosomal proteins and increases protein synthesis (PubMed : 23711370, PubMed : 28650797). Associates with actively translating ribosomes and stimulates translation of mRNAs containing a 5'TOP motif, thereby regulating protein synthesis, and as a consequence, cell growth and proliferation (PubMed : 20430826, PubMed : 24532714). Stabilizes mRNAs species with a 5'TOP motif, which is required to prevent apoptosis (PubMed : 20430826, PubMed : 23711370, PubMed : 25940091, PubMed : 28673543).. (Microbial infection) Positively regulates the replication of dengue virus (DENV).
See full target information LARP1

Publications (1)

Recent publications for all applications. Explore the full list and refine your search

Frontiers in oncology 10:617105 PubMed33680937

2021

Downregulation of the lncRNA ASB16-AS1 Decreases LARP1 Expression and Promotes Clear Cell Renal Cell Carcinoma Progression miR-185-5p/miR-214-3p.

Applications

Unspecified application

Species

Unspecified reactive species

Mingzi Li,Bingde Yin,Mulin Chen,Jingtao Peng,Xinyu Mu,Zhen Deng,Jiantao Xiao,Weiguo Li,Jie Fan
View all publications

Product promise

We are committed to supporting your work with high-quality reagents, and we're here for you every step of the way. In the unlikely event that one of our products does not perform as expected, you're protected by our Product Promise.
For full details, please see our Terms & Conditions

Please note: All products are 'FOR RESEARCH USE ONLY. NOT FOR USE IN DIAGNOSTIC OR THERAPEUTIC PROCEDURES'.

For licensing inquiries, please contact partnerships@abcam.com