JavaScript is disabled in your browser. Please enable JavaScript to view this website.
AB117806

Anti-LASP1 antibody

Be the first to review this product! Submit a review

|

(5 Publications)

Rabbit Polyclonal LASP1 antibody. Suitable for IHC-P, IP, WB and reacts with Human samples. Cited in 5 publications. Immunogen corresponding to Synthetic Peptide within Human LASP1 aa 100-150.

View Alternative Names

MLN50, LASP1, LIM and SH3 domain protein 1, LASP-1, Metastatic lymph node gene 50 protein, MLN 50

4 Images
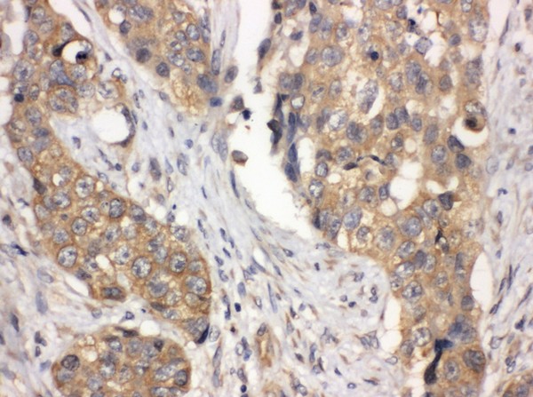
Immunohistochemistry (Formalin/PFA-fixed paraffin-embedded sections) - Anti-LASP1 antibody (AB117806)
  • IHC-P

Supplier Data

Immunohistochemistry (Formalin/PFA-fixed paraffin-embedded sections) - Anti-LASP1 antibody (AB117806)

Immunohistochemistry (Formalin/PFA-fixed paraffin-embedded sections) analysis of human breast carcinoma tissue labelling LASP1 with ab117806 at 1 μg/mL concentration. Heat mediated antigen retrieval performed with citrate buffer pH 6 before commencing with IHC staining protocol.

Immunoprecipitation - Anti-LASP1 antibody (AB117806)
  • IP

Unknown

Immunoprecipitation - Anti-LASP1 antibody (AB117806)

ab117806 at 1 μg/ml staining LASP1 by WB following immunoprecipitation of whole cell lysate from HeLa cells.
Lane 1; IP using ab117806 at 6 μg/mg lysate.
Lane 2; IP using an antibody to a downstream epitope.
Lane 3; IP using control IgG.
1 mg of lysate was used for IP and 20% of IP was loaded. Detection utilised ECL with a 10 second exposure.

All lanes:

Immunoprecipitation - Anti-LASP1 antibody (ab117806)

Predicted band size: 30 kDa

false

Western blot - Anti-LASP1 antibody (AB117806)
  • WB

Unknown

Western blot - Anti-LASP1 antibody (AB117806)

All lanes:

Western blot - Anti-LASP1 antibody (ab117806) at 0.1 µg/mL

Lane 1:

Whole cell lysate from HeLa cells at 50 µg

Lane 2:

Whole cell lysate from HeLa cells at 15 µg

Lane 3:

Whole cell lysate from 293T cells at 50 µg

Lane 4:

Whole cell lysate from Jurkat cells at 50 µg

Predicted band size: 30 kDa

true

Exposure time: 30s

Western blot - Anti-LASP1 antibody (AB117806)
  • WB

CiteAb

Western blot - Anti-LASP1 antibody (AB117806)

LASP1 western blot using anti-LASP1 antibody ab117806. Publication image and figure legend from Hu, J. J., Liu, Y. W., et al., 2014, Proteome Sci, PubMed 24580839.

ab117806 was used in this publication in western blot. This may not be the same as the application(s) guaranteed by Abcam. For a full list of applications guaranteed by Abcam for ab117806 please see the product overview.

Confirmation of RNA and protein expression levels by real-time quantitative PCR and western blot analysis (n = 3, per treatment type). (A) The expression of LASP1 and ferritin light and heavy chain mRNAs relative to that of GAPDH, the internal control, as detected by real-time PCR. (B) Expression of LASP1 and ferritin light and heavy chains, as assessed by western blot analysis. The signal corresponding to the protein bands was quantified using densitometric scanning and the relative protein abundance was determined after normalization with the levels of β-actin protein. Data are presented as mean ± SD and compared using the t-test for independent samples. *p <0.05, indicating significant differences between the two samples compared.

false

Key facts

Host species

Rabbit

Clonality

Polyclonal

Isotype

IgG

Carrier free

No

Reacts with

Human

Applications

IP, IHC-P, WB

applications

Immunogen

Synthetic Peptide within Human LASP1 aa 100-150. The exact immunogen used to generate this antibody is proprietary information.

Q14847

Reactivity data

{ "title": "Reactivity Data", "filters": { "stats": ["", "Species", "Dilution Info", "Notes"], "tabs": { "all-applications": {"fullname" : "All Applications", "shortname": "All Applications"}, "IHCP" : {"fullname" : "Immunohistochemistry (Formalin/PFA-fixed paraffin-embedded sections)", "shortname":"IHC-P"}, "IP" : {"fullname" : "Immunoprecipitation", "shortname":"IP"}, "WB" : {"fullname" : "Western blot", "shortname":"WB"} }, "product-promise": { "all": "all", "testedAndGuaranteed": "tested", "guaranteed": "expected", "predicted": "predicted", "notRecommended": "not-recommended" } }, "values": { "Human": { "IHCP-species-checked": "testedAndGuaranteed", "IHCP-species-dilution-info": "1/500 - 1/2000", "IHCP-species-notes": "<p></p> Perform heat-mediated antigen retrieval with citrate buffer pH 6 before commencing with IHC staining protocol.", "IP-species-checked": "testedAndGuaranteed", "IP-species-dilution-info": "2-10 µg/mg of lysate", "IP-species-notes": "<p></p>", "WB-species-checked": "testedAndGuaranteed", "WB-species-dilution-info": "1/2000 - 1/10000", "WB-species-notes": "<p></p>" }, "Bat": { "IHCP-species-checked": "predicted", "IHCP-species-dilution-info": "", "IHCP-species-notes": "", "IP-species-checked": "predicted", "IP-species-dilution-info": "", "IP-species-notes": "", "WB-species-checked": "predicted", "WB-species-dilution-info": "", "WB-species-notes": "" }, "Chimpanzee": { "IHCP-species-checked": "predicted", "IHCP-species-dilution-info": "", "IHCP-species-notes": "", "IP-species-checked": "predicted", "IP-species-dilution-info": "", "IP-species-notes": "", "WB-species-checked": "predicted", "WB-species-dilution-info": "", "WB-species-notes": "" }, "Gorilla": { "IHCP-species-checked": "predicted", "IHCP-species-dilution-info": "", "IHCP-species-notes": "", "IP-species-checked": "predicted", "IP-species-dilution-info": "", "IP-species-notes": "", "WB-species-checked": "predicted", "WB-species-dilution-info": "", "WB-species-notes": "" }, "Orangutan": { "IHCP-species-checked": "predicted", "IHCP-species-dilution-info": "", "IHCP-species-notes": "", "IP-species-checked": "predicted", "IP-species-dilution-info": "", "IP-species-notes": "", "WB-species-checked": "predicted", "WB-species-dilution-info": "", "WB-species-notes": "" }, "Rhesus monkey": { "IHCP-species-checked": "predicted", "IHCP-species-dilution-info": "", "IHCP-species-notes": "", "IP-species-checked": "predicted", "IP-species-dilution-info": "", "IP-species-notes": "", "WB-species-checked": "predicted", "WB-species-dilution-info": "", "WB-species-notes": "" } } }

Properties and storage information

Form
Liquid
Purification technique
Affinity purification Immunogen
Purification notes
ab117806 was affinity purified using an epitope specific to LASP1 immobilized on a solid support .
Storage buffer
pH: 7 - 8 Preservative: 0.09% Sodium azide Constituents: 99% Tris citrate/phosphate
Shipped at conditions
Blue Ice
Appropriate short-term storage conditions
+4°C
Appropriate long-term storage conditions
+4°C
Aliquoting information
Upon delivery aliquot
Storage information
Avoid freeze / thaw cycle

Supplementary information

This supplementary information is collated from multiple sources and compiled automatically.

The LASP1 protein also known as LIM and SH3 protein 1 is a 261 amino acid protein with an approximate mass of 29 kDa. It acts as an actin-binding protein involved in the dynamics of the cytoskeleton. LASP1 is expressed in various tissues with higher expression seen in the kidneys lungs and breast tissues. Its structure includes an LIM domain at the N-terminal and an SH3 domain at the C-terminal essential for interactions with other proteins and cytoskeletal components.
Biological function summary

LASP1 plays a significant role in cell migration and adhesion processes. It associates with cytoskeletal proteins such as F-actin helping in the stabilization and organization of the cytoskeleton. LASP1 forms part of complexes with zyxin and vasodilator-stimulated phosphoprotein (VASP) at focal adhesions contributing to cellular motility and signaling. It influences processes like cytokinesis and wound healing which rely on precise cytoskeletal rearrangements.

Pathways

Researchers have identified LASP1 as being involved in the ERK/MAPK and PI3K/AKT signaling pathways. It links to these pathways through interactions promoting cell proliferation and survival. This protein associates with other pathway-related proteins like Grb2 and Src which play roles in transmitting signals from cell surface receptors to the nucleus impacting gene expression and cell cycle progression.

LASP1 overexpression often associates with various cancers particularly breast cancer and colorectal cancer. In these contexts LASP1 contributes to tumor progression and metastasis. Its interaction with proteins such as EGFR and HER2 has widespread implications in oncogenic signaling. Understanding LASP1's role in disease can enhance diagnostic and therapeutic strategies targeting these malignancies.

Product protocols

For this product, it's our understanding that no specific protocols are required. You can visit:

Target data

Plays an important role in the regulation of dynamic actin-based, cytoskeletal activities. Agonist-dependent changes in LASP1 phosphorylation may also serve to regulate actin-associated ion transport activities, not only in the parietal cell but also in certain other F-actin-rich secretory epithelial cell types (By similarity).
See full target information LASP1

Publications (5)

Recent publications for all applications. Explore the full list and refine your search

Cancers 15: PubMed37345118

2023

LASP1, CERS6, and Actin Form a Ternary Complex That Promotes Cancer Cell Migration.

Applications

Unspecified application

Species

Unspecified reactive species

Atsuko Niimi,Siripan Limsirichaikul,Keiko Kano,Yasuyoshi Mizutani,Toshiyuki Takeuchi,Patinya Sawangsri,Dat Quoc Tran,Yoshiyuki Kawamoto,Motoshi Suzuki

Open life sciences 16:523-536 PubMed34124372

2021

Identification of circRNA circ-CSPP1 as a potent driver of colorectal cancer by directly targeting the miR-431/LASP1 axis.

Applications

Unspecified application

Species

Unspecified reactive species

Minghao Li,Jianbin Zhuang,Di Kang,Yuzhuo Chen,Weiliang Song

Gastroenterology research and practice 2020:8834359 PubMed33376485

2020

hsa_circRNA_000166 Facilitated Cell Growth and Limited Apoptosis through Targeting miR-326/LASP1 Axis in Colorectal Cancer.

Applications

Unspecified application

Species

Unspecified reactive species

Qin Hao,Zhongtao Zhang

The Journal of biological chemistry 292:5801-5813 PubMed28232485

2017

Long non-coding RNA LINC00672 contributes to p53 protein-mediated gene suppression and promotes endometrial cancer chemosensitivity.

Applications

Unspecified application

Species

Unspecified reactive species

Wei Li,Hua Li,Liyuan Zhang,Min Hu,Fang Li,Jieqiong Deng,Mingxing An,Siqi Wu,Rui Ma,Jiachun Lu,Yifeng Zhou

Proteome science 12:13 PubMed24580839

2014

Proteomic analysis on effectors involved in BMP-2-induced osteogenic differentiation of beagle bone marrow mesenchymal stem cells.

Applications

WB

Species

Dog

Ji-Jie Hu,Ya-Wei Liu,Min-Yi He,Dan Jin,Hui Zhao,Bin Yu
View all publications

Product promise

We are committed to supporting your work with high-quality reagents, and we're here for you every step of the way. In the unlikely event that one of our products does not perform as expected, you're protected by our Product Promise.
For full details, please see our Terms & Conditions

Please note: All products are 'FOR RESEARCH USE ONLY. NOT FOR USE IN DIAGNOSTIC OR THERAPEUTIC PROCEDURES'.

For licensing inquiries, please contact partnerships@abcam.com