JavaScript is disabled in your browser. Please enable JavaScript to view this website.
AB115314

Anti-Lass5 antibody

Be the first to review this product! Submit a review

|

(1 Publication)

Rabbit Polyclonal Lass5 antibody. Suitable for IHC-P, WB and reacts with Human samples. Cited in 1 publication. Immunogen corresponding to Synthetic Peptide within Human CERS5.

View Alternative Names

LASS5, CERS5, Ceramide synthase 5, CerS5, LAG1 longevity assurance homolog 5, Sphingoid base N-palmitoyltransferase CERS5, Sphingosine N-acyltransferase CERS5

2 Images
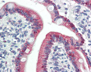
Immunohistochemistry (Formalin/PFA-fixed paraffin-embedded sections) - Anti-Lass5 antibody (AB115314)
  • IHC-P

Unknown

Immunohistochemistry (Formalin/PFA-fixed paraffin-embedded sections) - Anti-Lass5 antibody (AB115314)

ab115314 at 5ug/ml staining Lass5 in Human small intestine tissue by immunohistochemistry (FFPE). After primary incubation slides were incubated with biotinylated secondary antibody, followed by alkaline phosphatase-streptavidin and chromogen.

Western blot - Anti-Lass5 antibody (AB115314)
  • WB

Unknown

Western blot - Anti-Lass5 antibody (AB115314)

All lanes:

Western blot - Anti-Lass5 antibody (ab115314) at 1 µg/mL

Lane 1:

SK-N-SH cell lysate

Lane 2:

SK-N-SH cell lysate with blocking peptide

Predicted band size: 46 kDa

false

Key facts

Host species

Rabbit

Clonality

Polyclonal

Isotype

IgG

Carrier free

No

Reacts with

Human

Applications

IHC-P, WB

applications

Immunogen

Synthetic Peptide within Human CERS5. The exact immunogen used to generate this antibody is proprietary information.

Q8N5B7

Specificity

Multiple isoforms of Lass5 are known to exist. This antibody may cross-react with the highly homologous Lass6.

Reactivity data

{ "title": "Reactivity Data", "filters": { "stats": ["", "Species", "Dilution Info", "Notes"], "tabs": { "all-applications": {"fullname" : "All Applications", "shortname": "All Applications"}, "IHCP" : {"fullname" : "Immunohistochemistry (Formalin/PFA-fixed paraffin-embedded sections)", "shortname":"IHC-P"}, "WB" : {"fullname" : "Western blot", "shortname":"WB"} }, "product-promise": { "all": "all", "testedAndGuaranteed": "tested", "guaranteed": "expected", "predicted": "predicted", "notRecommended": "not-recommended" } }, "values": { "Human": { "IHCP-species-checked": "testedAndGuaranteed", "IHCP-species-dilution-info": "5 µg/mL", "IHCP-species-notes": "<p></p> Perform heat-mediated antigen retrieval with citrate buffer pH 6 before commencing with IHC staining protocol.", "WB-species-checked": "testedAndGuaranteed", "WB-species-dilution-info": "1-2 µg/mL", "WB-species-notes": "<p></p>" }, "Mouse": { "IHCP-species-checked": "predicted", "IHCP-species-dilution-info": "", "IHCP-species-notes": "", "WB-species-checked": "predicted", "WB-species-dilution-info": "", "WB-species-notes": "" }, "Rat": { "IHCP-species-checked": "predicted", "IHCP-species-dilution-info": "", "IHCP-species-notes": "", "WB-species-checked": "predicted", "WB-species-dilution-info": "", "WB-species-notes": "" } } }

Properties and storage information

Form
Liquid
Purification technique
Affinity purification Immunogen
Storage buffer
pH: 7.4 Preservative: 0.02% Sodium azide Constituents: PBS
Shipped at conditions
Blue Ice
Appropriate short-term storage duration
1-2 weeks
Appropriate short-term storage conditions
+4°C
Appropriate long-term storage conditions
-20°C
Storage information
Avoid freeze / thaw cycle

Supplementary information

This supplementary information is collated from multiple sources and compiled automatically.

Lass5 also known as ceramide synthase 5 (CerS5) plays a critical role in ceramide production by catalyzing the condensation of sphinganine or sphingosine with palmitoyl-CoA. It has a molecular mass of approximately 42 kDa. Lass5 is primarily expressed in the liver heart and skeletal muscle and it is found in the endoplasmic reticulum membrane. This enzyme displays a preference for producing C16-ceramide due to its palmitoyl-CoA specificity.
Biological function summary

Lass5 contributes significantly to the regulation of cell proliferation apoptosis and response to stress. Lass5 forms part of a larger complex involved in sphingolipid metabolism which includes other ceramide synthases such as CerS2 and CerS4. By controlling ceramide levels Lass5 can influence cellular and physiological functions like autophagy and cell cycle arrest.

Pathways

Lass5 is heavily involved in the sphingolipid signaling pathway and the endoplasmic reticulum stress response pathway. These pathways are important for cell survival and homeostasis. Lass5 interacts with key proteins such as Bcl-2 family members which are critical for apoptosis regulation. It works together with other ceramide synthases to maintain cellular homeostasis and mediate various biological processes impacting cell function and survival.

Lass5 has been linked to cancer and neurodegenerative diseases. Overexpression or dysregulation of Lass5 can result in abnormal ceramide accumulation contributing to diseases like hepatocellular carcinoma. It may also play a role in the progression of neurodegenerative disorders such as Alzheimer's disease possibly through interactions with proteins like amyloid precursor protein (APP) in the neuronal context. Understanding Lass5's influence in these conditions can help in developing therapeutic strategies that target its function or regulation.

Product protocols

For this product, it's our understanding that no specific protocols are required. You can visit:

Target data

Ceramide synthase that catalyzes the transfer of the acyl chain from acyl-CoA to a sphingoid base, with high selectivity toward palmitoyl-CoA (hexadecanoyl-CoA; C16 : 0-CoA) (PubMed : 16951403, PubMed : 18541923, PubMed : 22144673, PubMed : 22661289, PubMed : 23530041, PubMed : 26887952, PubMed : 29632068, PubMed : 31916624). Can use other acyl donors, but with less efficiency (By similarity). N-acylates sphinganine and sphingosine bases to form dihydroceramides and ceramides in de novo synthesis and salvage pathways, respectively (PubMed : 31916624). Plays a role in de novo ceramide synthesis and surfactant homeostasis in pulmonary epithelia (By similarity).
See full target information CERS5

Publications (1)

Recent publications for all applications. Explore the full list and refine your search

PLoS pathogens 10:e1004412 PubMed25254972

2014

Exploitation of the complement system by oncogenic Kaposi's sarcoma-associated herpesvirus for cell survival and persistent infection.

Applications

Unspecified application

Species

Unspecified reactive species

Myung-Shin Lee,Tiffany Jones,Dae-Yong Song,Jae-Hyuk Jang,Jae U Jung,Shou-Jiang Gao
View all publications

Product promise

We are committed to supporting your work with high-quality reagents, and we're here for you every step of the way. In the unlikely event that one of our products does not perform as expected, you're protected by our Product Promise.
For full details, please see our Terms & Conditions

Please note: All products are 'FOR RESEARCH USE ONLY. NOT FOR USE IN DIAGNOSTIC OR THERAPEUTIC PROCEDURES'.

For licensing inquiries, please contact partnerships@abcam.com