JavaScript is disabled in your browser. Please enable JavaScript to view this website.
AB115539

Anti-LASS6/CERS6 antibody

Be the first to review this product! Submit a review

|

(3 Publications)

Rabbit Polyclonal LASS6/CERS6 antibody. Suitable for IHC-P, ELISA, WB and reacts with Mouse, Human, Rat samples. Cited in 3 publications.

View Alternative Names

LASS6, CERS6, Ceramide synthase 6, CerS6, LAG1 longevity assurance homolog 6, Sphingoid base N-palmitoyltransferase CERS6

4 Images
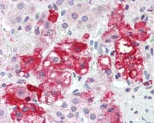
Immunohistochemistry (Formalin/PFA-fixed paraffin-embedded sections) - Anti-LASS6/CERS6 antibody (AB115539)
  • IHC-P

Unknown

Immunohistochemistry (Formalin/PFA-fixed paraffin-embedded sections) - Anti-LASS6/CERS6 antibody (AB115539)

ab115539, at 5μg/ml, staining LASS6/CERS6 in Formalin-fixed, Paraffin-embedded Human Adrenal tissue by Immunohistochemistry followed by biotinylated secondary antibody, alkaline phosphatase-streptavidin and chromogen.

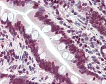
Immunohistochemistry (Formalin/PFA-fixed paraffin-embedded sections) - Anti-LASS6/CERS6 antibody (AB115539)
  • IHC-P

Unknown

Immunohistochemistry (Formalin/PFA-fixed paraffin-embedded sections) - Anti-LASS6/CERS6 antibody (AB115539)

ab115539, at 5μg/ml, staining LASS6/CERS6 in Formalin-fixed, Paraffin-embedded Human Small intestine tissue by Immunohistochemistry followed by biotinylated secondary antibody, alkaline phosphatase-streptavidin and chromogen.

Immunohistochemistry (Formalin/PFA-fixed paraffin-embedded sections) - Anti-LASS6/CERS6 antibody (AB115539)
  • IHC-P

Supplier Data

Immunohistochemistry (Formalin/PFA-fixed paraffin-embedded sections) - Anti-LASS6/CERS6 antibody (AB115539)

Immunohistochemistry (Formalin/PFA-fixed paraffin-embedded sections) analysis of mouse brain tissue labelling LASS6/CERS6 with ab115539 at 5μg/ml.

Western blot - Anti-LASS6/CERS6 antibody (AB115539)
  • WB

Unknown

Western blot - Anti-LASS6/CERS6 antibody (AB115539)

Lane 1:

Western blot - Anti-LASS6/CERS6 antibody (ab115539) at 1 µg/mL

Lane 2:

Western blot - Anti-LASS6/CERS6 antibody (ab115539) at 2 µg/mL

All lanes:

Rat brain tissue lysate

Predicted band size: 45 kDa

false

Key facts

Host species

Rabbit

Clonality

Polyclonal

Isotype

IgG

Carrier free

No

Reacts with

Mouse, Rat, Human

Applications

IHC-P, WB, ELISA

applications

Immunogen

The exact immunogen used to generate this antibody is proprietary information.

Specificity

ab115539 is predicted not to cross-react with LASS5.

Reactivity data

{ "title": "Reactivity Data", "filters": { "stats": ["", "Species", "Dilution Info", "Notes"], "tabs": { "all-applications": {"fullname" : "All Applications", "shortname": "All Applications"}, "IHCP" : {"fullname" : "Immunohistochemistry (Formalin/PFA-fixed paraffin-embedded sections)", "shortname":"IHC-P"}, "ELISA" : {"fullname" : "ELISA", "shortname":"ELISA"}, "WB" : {"fullname" : "Western blot", "shortname":"WB"} }, "product-promise": { "all": "all", "testedAndGuaranteed": "tested", "guaranteed": "expected", "predicted": "predicted", "notRecommended": "not-recommended" } }, "values": { "Human": { "IHCP-species-checked": "testedAndGuaranteed", "IHCP-species-dilution-info": "5 µg/mL", "IHCP-species-notes": "<p></p> Perform heat-mediated antigen retrieval with citrate buffer pH 6 before commencing with IHC staining protocol.", "ELISA-species-checked": "guaranteed", "ELISA-species-dilution-info": "", "ELISA-species-notes": "<p></p>", "WB-species-checked": "guaranteed", "WB-species-dilution-info": "", "WB-species-notes": "" }, "Mouse": { "IHCP-species-checked": "testedAndGuaranteed", "IHCP-species-dilution-info": "5 µg/mL", "IHCP-species-notes": "<p></p> Perform heat-mediated antigen retrieval with citrate buffer pH 6 before commencing with IHC staining protocol.", "ELISA-species-checked": "guaranteed", "ELISA-species-dilution-info": "", "ELISA-species-notes": "<p></p>", "WB-species-checked": "guaranteed", "WB-species-dilution-info": "", "WB-species-notes": "" }, "Rat": { "IHCP-species-checked": "guaranteed", "IHCP-species-dilution-info": "", "IHCP-species-notes": "", "ELISA-species-checked": "guaranteed", "ELISA-species-dilution-info": "", "ELISA-species-notes": "<p></p>", "WB-species-checked": "testedAndGuaranteed", "WB-species-dilution-info": "1-2 µg/mL", "WB-species-notes": "<p></p>" } } }

Properties and storage information

Form
Liquid
Purification technique
Affinity purification Protein A
Storage buffer
pH: 7.4 Preservative: 0.02% Sodium azide Constituents: PBS
Shipped at conditions
Blue Ice
Appropriate short-term storage duration
1-2 weeks
Appropriate short-term storage conditions
+4°C
Appropriate long-term storage conditions
-20°C
Storage information
Avoid freeze / thaw cycle

Supplementary information

This supplementary information is collated from multiple sources and compiled automatically.

LASS6 also known as CERS6 is a member of the ceramide synthase family which are enzymes involved in sphingolipid metabolism. CERS6 has a protein mass of approximately 44 kDa. The enzyme is predominantly expressed in the brain liver and kidneys. It operates by catalyzing the formation of ceramides with specific acyl chains playing a role in sphingolipid biosynthesis.
Biological function summary

CERS6 is involved in the synthesis of longer-chain ceramides which impacts cell membrane structure and signaling. CERS6 performs its function alone and not as part of a larger complex. The enzyme's activity influences cellular processes such as proliferation differentiation and apoptosis contributing to cellular homeostasis. Ceramides produced by CERS6 affect membrane properties and have roles in signal transduction pathways.

Pathways

CERS6 is an important player in the sphingolipid metabolism pathway affecting lipid signaling and apoptosis regulation. This enzyme collaborates with other ceramide synthases such as CERS2 in maintaining balance in ceramide levels influencing cell fate decisions. It also participates in interconnected pathways like the endoplasmic reticulum stress response interacting with proteins such as PERK to modulate apoptosis under stress conditions.

CERS6 shows a connection with cancer and neurological disorders. Its altered expression or activity links to tumorigenesis affecting cell growth and survival through interactions with proteins such as p53. In neurological diseases misregulation of CERS6 influences neurodegenerative processes potentially linking to proteins involved in neuroinflammation and cell death. Understanding CERS6's role in these diseases aids in designing therapeutic strategies targeting ceramide metabolism.

Product protocols

For this product, it's our understanding that no specific protocols are required. You can visit:

Target data

Ceramide synthase that catalyzes the transfer of the acyl chain from acyl-CoA to a sphingoid base, with high selectivity toward palmitoyl-CoA (hexadecanoyl-CoA; C16 : 0-CoA) (PubMed : 17609214, PubMed : 17977534, PubMed : 23530041, PubMed : 26887952, PubMed : 31916624, PubMed : 39528795). Can use other acyl donors, but with less efficiency (PubMed : 39528795). N-acylates sphinganine and sphingosine bases to form dihydroceramides and ceramides in de novo synthesis and salvage pathways, respectively (PubMed : 17977534, PubMed : 23530041, PubMed : 26887952, PubMed : 31916624). Ceramides generated by CERS6 play a role in inflammatory response (By similarity). Acts as a regulator of metabolism and hepatic lipid accumulation (By similarity). Under high fat diet, palmitoyl- (C16 : 0-) ceramides generated by CERS6 specifically bind the mitochondrial fission factor MFF, thereby promoting mitochondrial fragmentation and contributing to the development of obesity (By similarity).
See full target information CERS6

Publications (3)

Recent publications for all applications. Explore the full list and refine your search

The Journal of clinical investigation 134: PubMed38652550

2024

Human NLRC4 expression promotes cancer survival and associates with type I interferon signaling and immune infiltration.

Applications

Unspecified application

Species

Unspecified reactive species

Charlotte Domblides,Steven Crampton,Hong Liu,Juliet M Bartleson,Annie Nguyen,Claudia Champagne,Emily E Landy,Lindsey Spiker,Christopher Proffitt,Sunil Bhattarai,Anissa P Grawe,Matias Fuentealba Valenzuela,Lydia Lartigue,Isabelle Mahouche,Jeremy Dupaul-Chicoine,Kazuho Nishimura,Félix Lefort,Marie Decraecker,Valérie Velasco,Sonia Netzer,Vincent Pitard,Christian Roy,Isabelle Soubeyran,Victor Racine,Patrick Blanco,Julie Déchanet-Merville,Maya Saleh,Scott W Canna,David Furman,Benjamin Faustin

Bioscience reports 40: PubMed33048123

2020

Restoration of ceramide de novo synthesis by the synthetic retinoid ST1926 as it induces adult T-cell leukemia cell death.

Applications

Unspecified application

Species

Unspecified reactive species

Botheina Ghandour,Claudio Pisano,Nadine Darwiche,Ghassan Dbaibo

American journal of translational research 12:5924-5939 PubMed33042469

2020

Ceramide synthase 6 predicts poor prognosis and activates the AKT/mTOR/4EBP1 pathway in high-grade serous ovarian cancer.

Applications

Unspecified application

Species

Unspecified reactive species

Yinong Shi,Chen Zhou,Huan Lu,Xiaoxiao Cui,Jun Li,Shuheng Jiang,Hao Zhang,Rong Zhang
View all publications

Product promise

We are committed to supporting your work with high-quality reagents, and we're here for you every step of the way. In the unlikely event that one of our products does not perform as expected, you're protected by our Product Promise.
For full details, please see our Terms & Conditions

Please note: All products are 'FOR RESEARCH USE ONLY. NOT FOR USE IN DIAGNOSTIC OR THERAPEUTIC PROCEDURES'.

For licensing inquiries, please contact partnerships@abcam.com