JavaScript is disabled in your browser. Please enable JavaScript to view this website.
AB302960

Anti-LAT antibody [EPR26091-2]

  • BOND RX™ Validated
  • 20ul selling size
  • RabMAb
  • Recombinant
  • What is this?

Be the first to review this product! Submit a review

|

(0 Publication)

Rabbit Recombinant Monoclonal LAT antibody. Suitable for WB, IHC-P, ICC/IF, Flow Cyt (Intra), IP and reacts with Mouse, Rat samples.

View Alternative Names

Linker for activation of T-cells family member 1, 36 kDa phosphotyrosine adapter protein, p36-38, pp36, Lat

10 Images
Immunohistochemistry (Formalin/PFA-fixed paraffin-embedded sections) - Anti-LAT antibody [EPR26091-2] (AB302960)
  • IHC-P

Supplier Data

Immunohistochemistry (Formalin/PFA-fixed paraffin-embedded sections) - Anti-LAT antibody [EPR26091-2] (AB302960)

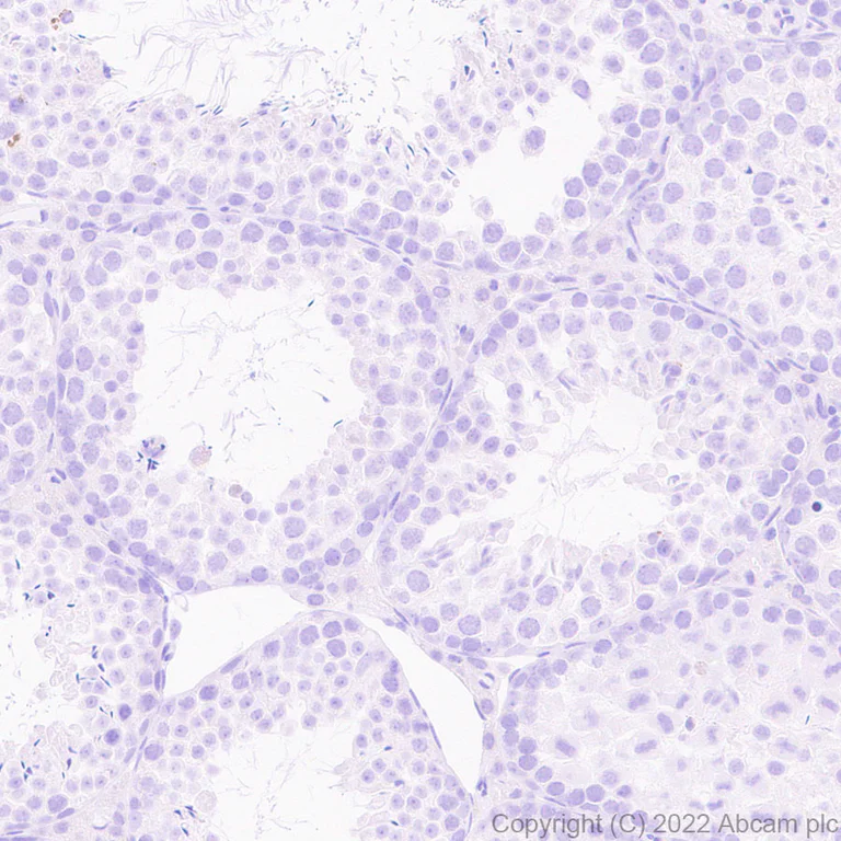
Immunohistochemical analysis of paraffin-embedded Mouse testis tissue labeling LAT with ab302960 at 1/500 (1.072 µg/ml) followed by a Rabbit specific IHC polymer detection kit HRP/DAB (ab209101) at Ready to use dilution. Negative control : No staining on mouse testis. The section was incubated with ab302960 for 30 mins at room temperature. The immunostaining was performed on a Leica Biosystems BOND® RX instrument Counterstained with Hematoxylin. Secondary antibody only control : Secondary antibody is Rabbit specific IHC polymer detection kit HRP/DAB (ab209101) at Ready to use dilution. Heat mediated antigen retrieval was performed with Tris-EDTA buffer (pH 9.0, Epitope Retrieval Solution2) for 20 mins

Immunohistochemistry (Formalin/PFA-fixed paraffin-embedded sections) - Anti-LAT antibody [EPR26091-2] (AB302960)
  • IHC-P

Supplier Data

Immunohistochemistry (Formalin/PFA-fixed paraffin-embedded sections) - Anti-LAT antibody [EPR26091-2] (AB302960)

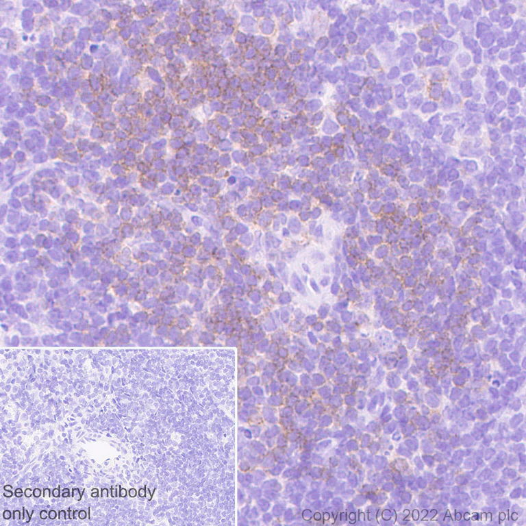
Immunohistochemical analysis of paraffin-embedded Rat spleen tissue labeling LAT with ab302960 at 1/500 (1.072 µg/ml) followed by a Rabbit specific IHC polymer detection kit HRP/DAB (ab209101) at Ready to use dilution. Positive staining on rat spleen. The section was incubated with ab302960 for 30 mins at room temperature. The immunostaining was performed on a Leica Biosystems BOND® RX instrument Counterstained with Hematoxylin. Secondary antibody only control : Secondary antibody is Rabbit specific IHC polymer detection kit HRP/DAB (ab209101) at Ready to use dilution. Heat mediated antigen retrieval was performed with Tris-EDTA buffer (pH 9.0, Epitope Retrieval Solution2) for 20 mins

Immunohistochemistry (Formalin/PFA-fixed paraffin-embedded sections) - Anti-LAT antibody [EPR26091-2] (AB302960)
  • IHC-P

Supplier Data

Immunohistochemistry (Formalin/PFA-fixed paraffin-embedded sections) - Anti-LAT antibody [EPR26091-2] (AB302960)

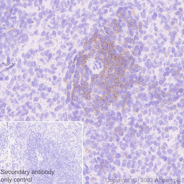
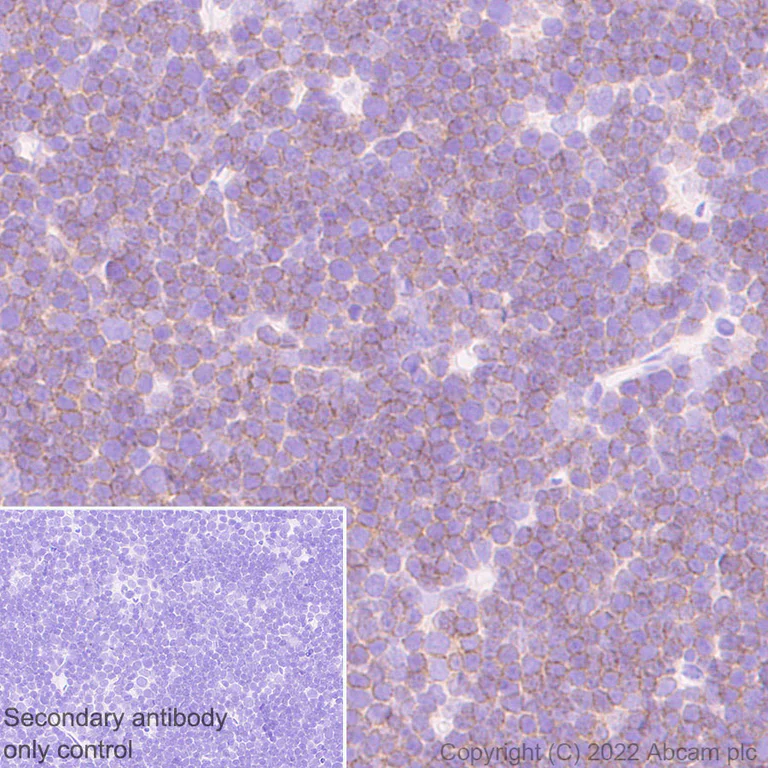
Immunohistochemical analysis of paraffin-embedded Mouse thymus tissue labeling LAT with ab302960 at 1/500 (1.072 µg/ml) followed by a Rabbit specific IHC polymer detection kit HRP/DAB (ab209101) at Ready to use dilution. Positive staining on mouse thymus. The section was incubated with ab302960 for 30 mins at room temperature. The immunostaining was performed on a Leica Biosystems BOND® RX instrument Counterstained with Hematoxylin. Secondary antibody only control : Secondary antibody is Rabbit specific IHC polymer detection kit HRP/DAB (ab209101) at Ready to use dilution. Heat mediated antigen retrieval was performed with Tris-EDTA buffer (pH 9.0, Epitope Retrieval Solution2) for 20 mins

Immunohistochemistry (Formalin/PFA-fixed paraffin-embedded sections) - Anti-LAT antibody [EPR26091-2] (AB302960)
  • IHC-P

Supplier Data

Immunohistochemistry (Formalin/PFA-fixed paraffin-embedded sections) - Anti-LAT antibody [EPR26091-2] (AB302960)

Immunohistochemical analysis of paraffin-embedded Mouse spleen tissue labeling LAT with ab302960 at 1/500 (1.072 µg/ml) followed by a Rabbit specific IHC polymer detection kit HRP/DAB (ab209101) at Ready to use dilution. Positive staining on mouse spleen. The section was incubated with ab302960 for 30 mins at room temperature. The immunostaining was performed on a Leica Biosystems BOND® RX instrument Counterstained with Hematoxylin. Secondary antibody only control : Secondary antibody is Rabbit specific IHC polymer detection kit HRP/DAB (ab209101) at Ready to use dilution. Heat mediated antigen retrieval was performed with Tris-EDTA buffer (pH 9.0, Epitope Retrieval Solution2) for 20 mins

Immunocytochemistry/ Immunofluorescence - Anti-LAT antibody [EPR26091-2] (AB302960)
  • ICC/IF

Supplier Data

Immunocytochemistry/ Immunofluorescence - Anti-LAT antibody [EPR26091-2] (AB302960)

Immunofluorescent analysis of 80% Methanol-fixed, 0.1% TritonX-100 permeabilized EL4 (mouse lymphoma T lymphocyte) cells labelling LAT with ab302960 at 1/100 dilution, followed by ab150081 Goat Anti-Rabbit IgG H&L (Alexa Fluor® 488) preadsorbed antibody at 1/1000 dilution (Green). Confocal image showing membranous and cytoplasmic staining in EL4 cell line. Image was taken with a confocal microscope (Leica-Microsystems, TCS SP8).Negative control : RWA 264.7 (PMID : 19948717). ab195889 Anti-alpha Tubulin mouse monoclonal antibody - Microtubule Marker (Alexa Fluor® 594) was used to counterstain tubulin at 1/200 dilution (Red). The Nuclear counterstain was DAPI (Blue). Secondary antibody only control : Secondary antibody is ab150081 Goat Anti-Rabbit IgG H&L (Alexa Fluor® 488) preadsorbed at 1/1000 dilution.

Flow Cytometry (Intracellular) - Anti-LAT antibody [EPR26091-2] (AB302960)
  • Flow Cyt (Intra)

Supplier Data

Flow Cytometry (Intracellular) - Anti-LAT antibody [EPR26091-2] (AB302960)

Flow cytometric analysis of 2% paraformaldehyde fixed 0.1% Tween-20 permeabilized Mouse splenocytes cells labelling LAT with ab302960 at 1/50 dilution (1ug)/ Right (Red) compared with a Rabbit monoclonal IgG (ab172730) / Left isotype control and an unlabelled control (cells without incubation with primary antibody and secondary antibody) (Blue). A Goat Anti-Rabbit IgG (Alexa Fluor® 488, ab150081) at 1/2000 dilution was used as the secondary antibody. Cells were surface stained with anti-CD3 conjugated to Alexa Fluor® 647. Then fixed with 2% PFA for 10min followed by intracellularly stained with ab172730 or ab302960.

Flow Cytometry (Intracellular) - Anti-LAT antibody [EPR26091-2] (AB302960)
  • Flow Cyt (Intra)

Supplier Data

Flow Cytometry (Intracellular) - Anti-LAT antibody [EPR26091-2] (AB302960)

Flow cytometric analysis of 4% paraformaldehyde fixed 90% methanol permeabilized RAW264.7 (mouse Abelson murine leukemia virus-induced tumor macrophage, Left) / EL4 (mouse lymphoma T lymphocyte, Right) cells labelling LAT with ab302960 at 1/500 dilution (0.1ug) (Red) compared with a Rabbit monoclonal IgG (ab172730) (Black) isotype control and an unlabelled control (cells without incubation with primary antibody and secondary antibody) (Blue). A Goat Anti-Rabbit IgG (Alexa Fluor® 488, ab150081) at 1/2000 dilution was used as the secondary antibody. Negative control : RAW264.7 (PMID : 19948717).

Immunoprecipitation - Anti-LAT antibody [EPR26091-2] (AB302960)
  • IP

Supplier Data

Immunoprecipitation - Anti-LAT antibody [EPR26091-2] (AB302960)

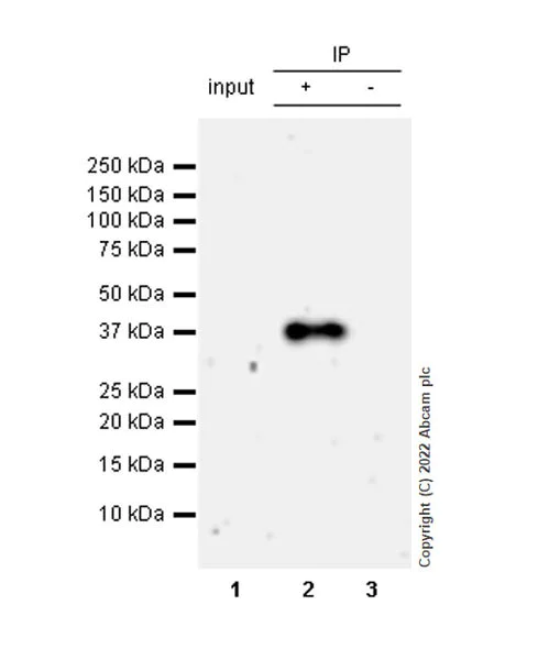
LAT was immunoprecipitated from 0.35 mg Mouse thymus tissue lysate 10 ug with ab302960 at 1/30 dilution (2μg in 0.35mg lysates). Western blot was performed on the immunoprecipitate using ab302960. VeriBlot for IP secondary antibody(HRP)(ab131366) was used at 1/5000 dilution. Lane 1 : Mouse thymus tissue lysate 10 μg Lane 2 : ab302960 IP in Mouse thymus tissue lysate Lane 3 : Rabbit monoclonal IgG (ab172730) instead of ab302960 in Mouse thymus tissue lysate Blocking and dilution buffer and concentration : 5% NFDM/TBST. Exposure time : 180 seconds

All lanes:

Immunoprecipitation - Anti-LAT antibody [EPR26091-2] (ab302960) at 1/30 dilution

All lanes:

Mouse thymus tissue

Secondary

All lanes:

Immunoprecipitation - VeriBlot for IP Detection Reagent (HRP) (<a href='/en-us/products/reagents/veriblot-for-ip-detection-reagent-hrp-ab131366'>ab131366</a>) at 1/5000 dilution

Observed band size: 36 kDa

false

Exposure time: 180s

Western blot - Anti-LAT antibody [EPR26091-2] (AB302960)
  • WB

Supplier Data

Western blot - Anti-LAT antibody [EPR26091-2] (AB302960)

Blocking and diluting buffer and concentration : 5% NFDM/TBST Negative controls : testis (PMID : 9489702), RAW264.7 (PMID : 19948717) Exposure time : 59 seconds

All lanes:

Western blot - Anti-LAT antibody [EPR26091-2] (ab302960) at 1/1000 dilution

Lane 1:

Mouse thymus tissue lysate at 20 µg

Lane 2:

Mouse tesits tissue lysate at 20 µg

Lane 3:

EL4 (mouse lymphoma T lymphocyte), whole cell lysate at 20 µg

Lane 4:

RAW264.7 (mouse Abelson murine leukemia virus-induced tumor macrophage), whole cell lysate at 20 µg

Secondary

All lanes:

Western blot - Goat Anti-Rabbit IgG H&L (HRP) (<a href='/en-us/products/secondary-antibodies/goat-rabbit-igg-h-l-hrp-ab97051'>ab97051</a>) at 1/20000 dilution

Observed band size: 36 kDa

false

Exposure time: 59s

Western blot - Anti-LAT antibody [EPR26091-2] (AB302960)
  • WB

Supplier Data

Western blot - Anti-LAT antibody [EPR26091-2] (AB302960)

Blocking and diluting buffer and concentration : 5% NFDM/TBST Negative control : testis (PMID : 9489702) Exposure time : 92 seconds

All lanes:

Western blot - Anti-LAT antibody [EPR26091-2] (ab302960) at 1/1000 dilution

Lane 1:

Rat thymus tissue lysate at 20 µg

Lane 2:

Rat tesits tissue lysate at 20 µg

Secondary

All lanes:

Western blot - Goat Anti-Rabbit IgG H&L (HRP) (<a href='/en-us/products/secondary-antibodies/goat-rabbit-igg-h-l-hrp-ab97051'>ab97051</a>) at 1/20000 dilution

Observed band size: 36 kDa

false

Exposure time: 92s

  • Carrier free

    Anti-LAT antibody [EPR26091-2] - BSA and Azide free

Key facts

Host species

Rabbit

Clonality

Monoclonal

Clone number

EPR26091-2

Isotype

IgG

Carrier free

No

Reacts with

Mouse, Rat

Applications

WB, IP, ICC/IF, IHC-P, Flow Cyt (Intra)

applications

Immunogen

The exact immunogen used to generate this antibody is proprietary information.

Reactivity data

{ "title": "Reactivity Data", "filters": { "stats": ["", "Species", "Dilution Info", "Notes"], "tabs": { "all-applications": {"fullname" : "All Applications", "shortname": "All Applications"}, "WB" : {"fullname" : "Western blot", "shortname":"WB"}, "IHCP" : {"fullname" : "Immunohistochemistry (Formalin/PFA-fixed paraffin-embedded sections)", "shortname":"IHC-P"}, "ICCIF" : {"fullname" : "Immunocytochemistry/ Immunofluorescence", "shortname":"ICC/IF"}, "FlowCytIntra" : {"fullname" : "Flow Cytometry (Intracellular)", "shortname":"Flow Cyt (Intra)"}, "IP" : {"fullname" : "Immunoprecipitation", "shortname":"IP"} }, "product-promise": { "all": "all", "testedAndGuaranteed": "tested", "guaranteed": "expected", "predicted": "predicted", "notRecommended": "not-recommended" } }, "values": { "Human": { "WB-species-checked": "notRecommended", "WB-species-dilution-info": "1/1000", "WB-species-notes": "<p></p>", "IHCP-species-checked": "notRecommended", "IHCP-species-dilution-info": "1/500", "IHCP-species-notes": "<p></p>", "ICCIF-species-checked": "notRecommended", "ICCIF-species-dilution-info": "", "ICCIF-species-notes": "", "FlowCytIntra-species-checked": "notRecommended", "FlowCytIntra-species-dilution-info": "", "FlowCytIntra-species-notes": "", "IP-species-checked": "notRecommended", "IP-species-dilution-info": "", "IP-species-notes": "" }, "Mouse": { "WB-species-checked": "testedAndGuaranteed", "WB-species-dilution-info": "1/1000", "WB-species-notes": "<p></p>", "IHCP-species-checked": "testedAndGuaranteed", "IHCP-species-dilution-info": "1/500", "IHCP-species-notes": "<p></p>", "ICCIF-species-checked": "testedAndGuaranteed", "ICCIF-species-dilution-info": "1/100", "ICCIF-species-notes": "<p></p>", "FlowCytIntra-species-checked": "testedAndGuaranteed", "FlowCytIntra-species-dilution-info": "1/50", "FlowCytIntra-species-notes": "<p></p>", "IP-species-checked": "testedAndGuaranteed", "IP-species-dilution-info": "1/30", "IP-species-notes": "<p></p>" }, "Rat": { "WB-species-checked": "testedAndGuaranteed", "WB-species-dilution-info": "1/1000", "WB-species-notes": "<p></p>", "IHCP-species-checked": "testedAndGuaranteed", "IHCP-species-dilution-info": "1/500", "IHCP-species-notes": "<p></p>", "ICCIF-species-checked": "guaranteed", "ICCIF-species-dilution-info": "", "ICCIF-species-notes": "", "FlowCytIntra-species-checked": "guaranteed", "FlowCytIntra-species-dilution-info": "", "FlowCytIntra-species-notes": "", "IP-species-checked": "guaranteed", "IP-species-dilution-info": "", "IP-species-notes": "" } } }

Product details

Patented technology
Our RabMAb® technology is a patented hybridoma-based technology for making rabbit monoclonal antibodies. For details on our patents, please refer to RabMAb® patents.

What are the advantages of a recombinant monoclonal antibody?
This product is a recombinant monoclonal antibody, which offers several advantages including:

  • - High batch-to-batch consistency and reproducibility
  • - Improved sensitivity and specificity
  • - Long-term security of supply
  • - Animal-free batch production

For more information, read more on recombinant antibodies.

Properties and storage information

Form
Liquid
Purification technique
Affinity purification Protein A
Storage buffer
pH: 7.2 - 7.4 Preservative: 0.01% Sodium azide Constituents: PBS, 40% Glycerol (glycerin, glycerine), 0.05% BSA
Shipped at conditions
Blue Ice
Appropriate short-term storage duration
1-2 weeks
Appropriate short-term storage conditions
+4°C
Appropriate long-term storage conditions
-20°C
Aliquoting information
Upon delivery aliquot
Storage information
Avoid freeze / thaw cycle

Supplementary information

This supplementary information is collated from multiple sources and compiled automatically.

LAT or Linker for Activation of T cells also known as LAT protein is a transmembrane adaptor protein with an approximate molecular mass of 36-38 kDa. This protein is expressed predominantly on T cells and other cells of the lymphoid lineage. LAT is localized to the plasma membrane and contains multiple tyrosine residues which are critical for its function in signal transduction. Its phosphorylation leads to binding of various signaling molecules enabling signal propagation.
Biological function summary

LAT plays an important role in the immune response by facilitating the assembly of signaling complexes important for T cell activation. Upon antigen stimulation LAT becomes phosphorylated mainly at tyrosine residues allowing proteins like Grb2 and PLCγ1 to form a functional signalosome complex. This complex formation is necessary for downstream signaling events that contribute to T cell proliferation differentiation and cytokine production thereby maintaining immune homeostasis and facilitating adaptive immune responses.

Pathways

LAT operates primarily within the T cell receptor (TCR) signaling pathway. The phosphorylation of LAT by ZAP-70 another important signaling protein enables its role as a scaffold bringing together other molecules for signal transduction. It is closely related to proteins like SLP-76 and GADS both of which are essential for the full activation of T cells. These interactions link LAT to broader signaling cascades such as the MAPK and calcium signaling pathways which are essential for mounting an immune response.

LAT dysfunction is linked to both autoimmune diseases and immunodeficiencies. Defective LAT expression or function can lead to conditions like severe combined immunodeficiency (SCID) due to impaired T cell signaling. Additionally abnormal LAT activity may contribute to autoimmune disorders like systemic lupus erythematosus (SLE) where an overactive immune response is present. Proteins such as LAT can interact with others involved in these conditions including PLCγ1 highlighting its central role in both healthy and diseased states of immune regulation.

Product protocols

For this product, it's our understanding that no specific protocols are required. You can visit:

Target data

Required for TCR (T-cell antigen receptor)- and pre-TCR-mediated signaling, both in mature T-cells and during their development. Involved in FCGR3 (low affinity immunoglobulin gamma Fc region receptor III)-mediated signaling in natural killer cells and FCER1 (high affinity immunoglobulin epsilon receptor)-mediated signaling in mast cells. Couples activation of these receptors and their associated kinases with distal intracellular events such as mobilization of intracellular calcium stores, PKC activation, MAPK activation or cytoskeletal reorganization through the recruitment of PLCG1, GRB2, GRAP2, and other signaling molecules.
See full target information Lat

Product promise

We are committed to supporting your work with high-quality reagents, and we're here for you every step of the way. In the unlikely event that one of our products does not perform as expected, you're protected by our Product Promise.
For full details, please see our Terms & Conditions

Please note: All products are 'FOR RESEARCH USE ONLY. NOT FOR USE IN DIAGNOSTIC OR THERAPEUTIC PROCEDURES'.

For licensing inquiries, please contact partnerships@abcam.com