JavaScript is disabled in your browser. Please enable JavaScript to view this website.
AB247221

Anti-LAT antibody [Y109] - BSA and Azide free

Be the first to review this product! Submit a review

|

(1 Publication)

Rabbit Recombinant Monoclonal LAT antibody. Carrier free. Suitable for IHC-P, WB, Flow Cyt (Intra) and reacts with Human samples. Cited in 1 publication.

View Alternative Names

Linker for activation of T-cells family member 1, 36 kDa phosphotyrosine adapter protein, p36-38, pp36, LAT

3 Images
Flow Cytometry (Intracellular) - Anti-LAT antibody [Y109] - BSA and Azide free (AB247221)
  • Flow Cyt (Intra)

Lab

Flow Cytometry (Intracellular) - Anti-LAT antibody [Y109] - BSA and Azide free (AB247221)

This data was developed using ab32070, the same antibody clone in a different buffer formulation.
Flow Cytometry analysis of Jurkat (Human T cell leukemia T lymphocyte) cells labeling LAT with purified ab32070 at 1/100 dilution (10 µg/mL) (Red). Cells were fixed with 4% Paraformaldehyde and permeabilised with 90% Methanol. A Goat anti rabbit IgG (Alexa Fluor® 488, ab150077) secondary antibody was used at 1/2000. Isotype control - Rabbit monoclonal IgG (Black). Unlabeled control - Cells without incubation with primary antibody and secondary antibody (Blue).

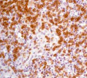
Immunohistochemistry (Formalin/PFA-fixed paraffin-embedded sections) - Anti-LAT antibody [Y109] - BSA and Azide free (AB247221)
  • IHC-P

Unknown

Immunohistochemistry (Formalin/PFA-fixed paraffin-embedded sections) - Anti-LAT antibody [Y109] - BSA and Azide free (AB247221)

This data was developed using ab32070, the same antibody clone in a different buffer formulation.

ab32070, at a dilution of 1/100, staining LAT in paraffin embedded human lymph node tissue by Immunohistochemistry.

Perform heat mediated antigen retrieval with citrate buffer pH 6 before commencing with IHC staining protocol.

Western blot - Anti-LAT antibody [Y109] - BSA and Azide free (AB247221)
  • WB

Unknown

Western blot - Anti-LAT antibody [Y109] - BSA and Azide free (AB247221)

This data was developed using ab32070, the same antibody clone in a different buffer formulation.

All lanes:

Western blot - Anti-LAT antibody [Y109] (<a href='/en-us/products/primary-antibodies/lat-antibody-y109-ab32070'>ab32070</a>) at 1/500 dilution

All lanes:

Jurkat (Human T cell leukemia cell line from peripheral blood) whole cell lysate

Predicted band size: 28 kDa

Observed band size: 35 kDa

false

Key facts

Host species

Rabbit

Clonality

Monoclonal

Clone number

Y109

Isotype

IgG

Carrier free

Yes

Reacts with

Human

Applications

Flow Cyt (Intra), IHC-P, WB

applications

Immunogen

The exact immunogen used to generate this antibody is proprietary information.

Specificity

This antibody is specific for LAT. It detects the long and short forms of LAT.

Reactivity data

{ "title": "Reactivity Data", "filters": { "stats": ["", "Species", "Dilution Info", "Notes"], "tabs": { "all-applications": {"fullname" : "All Applications", "shortname": "All Applications"}, "IHCP" : {"fullname" : "Immunohistochemistry (Formalin/PFA-fixed paraffin-embedded sections)", "shortname":"IHC-P"}, "ICCIF" : {"fullname" : "Immunocytochemistry/ Immunofluorescence", "shortname":"ICC/IF"}, "WB" : {"fullname" : "Western blot", "shortname":"WB"}, "FlowCytIntra" : {"fullname" : "Flow Cytometry (Intracellular)", "shortname":"Flow Cyt (Intra)"} }, "product-promise": { "all": "all", "testedAndGuaranteed": "tested", "guaranteed": "expected", "predicted": "predicted", "notRecommended": "not-recommended" } }, "values": { "Human": { "IHCP-species-checked": "testedAndGuaranteed", "IHCP-species-dilution-info": "", "IHCP-species-notes": "<p></p>", "ICCIF-species-checked": "notRecommended", "ICCIF-species-dilution-info": "", "ICCIF-species-notes": "<p></p>", "WB-species-checked": "testedAndGuaranteed", "WB-species-dilution-info": "", "WB-species-notes": "<p></p>", "FlowCytIntra-species-checked": "testedAndGuaranteed", "FlowCytIntra-species-dilution-info": "", "FlowCytIntra-species-notes": "<p></p>" } } }

Product details

ab247221 is the carrier-free version of ab32070.

Species reactivity
Mouse, Rat: We have preliminary internal testing data to indicate this antibody may not react with these species.
Please contact us for more information.

Patented technology
Our RabMAb® technology is a patented hybridoma-based technology for making rabbit monoclonal antibodies. For details on our patents, please refer to RabMAb® patents.

What are the advantages of a recombinant monoclonal antibody?
This product is a recombinant monoclonal antibody, which offers several advantages including:

  • - High batch-to-batch consistency and reproducibility
  • - Improved sensitivity and specificity
  • - Long-term security of supply
  • - Animal-free batch production

For more information, read more on recombinant antibodies.

Conjugation ready
Our carrier-free antibodies are typically supplied in a PBS-only formulation, purified and free of BSA, sodium azide and glycerol. This conjugation-ready format is designed for use with fluorochromes, metal isotopes, oligonucleotides, and enzymes, which makes them ideal for antibody labelling, functional and cell-based assays, flow-based assays (e.g. mass cytometry) and Multiplex Imaging applications.

Use our conjugation kits for antibody conjugates that are ready-to-use in as little as 20 minutes with 1 minute hands-on-time and 100% antibody recovery: available for fluorescent dyes, HRP, biotin and gold.

Compatibility
This product is compatible with the Maxpar® Antibody Labeling Kit from Fluidigm, without the need for antibody preparation. Maxpar® is a trademark of Fluidigm Canada Inc.

Properties and storage information

Form
Liquid
Purification technique
Affinity purification Protein A
Storage buffer
pH: 7.2 - 7.4 Constituents: PBS
Shipped at conditions
Blue Ice
Appropriate short-term storage conditions
+4°C
Appropriate long-term storage conditions
+4°C
Storage information
Do Not Freeze

Supplementary information

This supplementary information is collated from multiple sources and compiled automatically.

LAT or Linker for Activation of T cells also known as LAT protein is a transmembrane adaptor protein with an approximate molecular mass of 36-38 kDa. This protein is expressed predominantly on T cells and other cells of the lymphoid lineage. LAT is localized to the plasma membrane and contains multiple tyrosine residues which are critical for its function in signal transduction. Its phosphorylation leads to binding of various signaling molecules enabling signal propagation.
Biological function summary

LAT plays an important role in the immune response by facilitating the assembly of signaling complexes important for T cell activation. Upon antigen stimulation LAT becomes phosphorylated mainly at tyrosine residues allowing proteins like Grb2 and PLCγ1 to form a functional signalosome complex. This complex formation is necessary for downstream signaling events that contribute to T cell proliferation differentiation and cytokine production thereby maintaining immune homeostasis and facilitating adaptive immune responses.

Pathways

LAT operates primarily within the T cell receptor (TCR) signaling pathway. The phosphorylation of LAT by ZAP-70 another important signaling protein enables its role as a scaffold bringing together other molecules for signal transduction. It is closely related to proteins like SLP-76 and GADS both of which are essential for the full activation of T cells. These interactions link LAT to broader signaling cascades such as the MAPK and calcium signaling pathways which are essential for mounting an immune response.

LAT dysfunction is linked to both autoimmune diseases and immunodeficiencies. Defective LAT expression or function can lead to conditions like severe combined immunodeficiency (SCID) due to impaired T cell signaling. Additionally abnormal LAT activity may contribute to autoimmune disorders like systemic lupus erythematosus (SLE) where an overactive immune response is present. Proteins such as LAT can interact with others involved in these conditions including PLCγ1 highlighting its central role in both healthy and diseased states of immune regulation.

Product protocols

For this product, it's our understanding that no specific protocols are required. You can visit:

Target data

Required for TCR (T-cell antigen receptor)- and pre-TCR-mediated signaling, both in mature T-cells and during their development (PubMed : 23514740, PubMed : 25907557). Involved in FCGR3 (low affinity immunoglobulin gamma Fc region receptor III)-mediated signaling in natural killer cells and FCER1 (high affinity immunoglobulin epsilon receptor)-mediated signaling in mast cells. Couples activation of these receptors and their associated kinases with distal intracellular events such as mobilization of intracellular calcium stores, PKC activation, MAPK activation or cytoskeletal reorganization through the recruitment of PLCG1, GRB2, GRAP2, and other signaling molecules.
See full target information LAT

Publications (1)

Recent publications for all applications. Explore the full list and refine your search

Frontiers in cell and developmental biology 13:1617737 PubMed40746860

2025

Epiplakin expression is lost in psoriatic skin lesions and is downregulated by IFN-γ in skin cultures.

Applications

Unspecified application

Species

Unspecified reactive species

Hannes Kühtreiber,Corinne Drexler,Melanie Salek,Lisa Auer,Johannes Griss,Michael Mildner,Peter Fuchs
View all publications

Product promise

We are committed to supporting your work with high-quality reagents, and we're here for you every step of the way. In the unlikely event that one of our products does not perform as expected, you're protected by our Product Promise.
For full details, please see our Terms & Conditions

Please note: All products are 'FOR RESEARCH USE ONLY. NOT FOR USE IN DIAGNOSTIC OR THERAPEUTIC PROCEDURES'.

For licensing inquiries, please contact partnerships@abcam.com