JavaScript is disabled in your browser. Please enable JavaScript to view this website.
AB314040

Anti-LAT (phospho Y191) antibody [2E4]

Be the first to review this product! Submit a review

|

(0 Publication)

Rabbit Monoclonal LAT phospho Y191 antibody. Suitable for WB, IHC-P, ICC/IF, IP and reacts with Human samples. Immunogen corresponding to Synthetic Peptide within Human LAT phospho Y191.

View Alternative Names

Linker for activation of T-cells family member 1, 36 kDa phosphotyrosine adapter protein, p36-38, pp36, LAT

4 Images
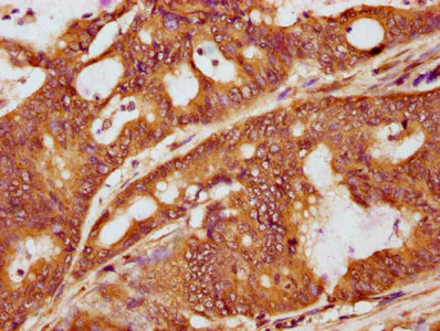
Immunohistochemistry (Formalin/PFA-fixed paraffin-embedded sections) - Anti-LAT (phospho Y191) antibody [2E4] (AB314040)
  • IHC-P

Supplier Data

Immunohistochemistry (Formalin/PFA-fixed paraffin-embedded sections) - Anti-LAT (phospho Y191) antibody [2E4] (AB314040)

Immunohistochemical analysis of ab314040 diluted at 1 : 100 and staining in paraffin-embedded human colon cancer performed on a Leica BondTM system. After dewaxing and hydration, antigen retrieval was mediated by high pressure in a citrate buffer (pH 6.0). Section was blocked with 10% normal goat serum 30min at RT. Then primary antibody (1% BSA) was incubated at 4°C overnight. The primary is detected by a biotinylated secondary antibody and visualized using an HRP conjugated SP system.

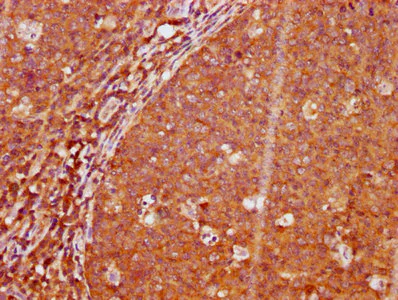
Immunohistochemistry (Formalin/PFA-fixed paraffin-embedded sections) - Anti-LAT (phospho Y191) antibody [2E4] (AB314040)
  • IHC-P

Supplier Data

Immunohistochemistry (Formalin/PFA-fixed paraffin-embedded sections) - Anti-LAT (phospho Y191) antibody [2E4] (AB314040)

Immunohistochemical analysis of ab314040 diluted at 1 : 100 and staining in paraffin-embedded human tonsil tissue performed on a Leica BondTM system. After dewaxing and hydration, antigen retrieval was mediated by high pressure in a citrate buffer (pH 6.0). Section was blocked with 10% normal goat serum 30min at RT. Then primary antibody (1% BSA) was incubated at 4°C overnight. The primary is detected by a biotinylated secondary antibody and visualized using an HRP conjugated SP system.

Immunoprecipitation - Anti-LAT (phospho Y191) antibody [2E4] (AB314040)
  • IP

Supplier Data

Immunoprecipitation - Anti-LAT (phospho Y191) antibody [2E4] (AB314040)

Immunoprecipitating LAT (phospho Y191) in A549 (Human lung carcinoma cell line) whole cell lysate Lane 1 : Rabbit control IgG (1μg)instead of ab314040 in A549 whole cell lysate. For western blotting, a HRP-conjugated Protein G antibody was used as the secondary antibody (1/2000) Lane 2 : ab314040 (3μg)+ A549 whole cell lysate (1mg) Lane 3 : A549 whole cell lysate (20μg)

All lanes:

Immunoprecipitation - Anti-LAT (phospho Y191) antibody [2E4] (ab314040) at 3 µg

false

Western blot - Anti-LAT (phospho Y191) antibody [2E4] (AB314040)
  • WB

Supplier Data

Western blot - Anti-LAT (phospho Y191) antibody [2E4] (AB314040)

All lanes:

Western blot - Anti-LAT (phospho Y191) antibody [2E4] (ab314040) at 2.9 µg/mL

Lane 1:

EGF treated Jurkat whole cell lysate

Lane 2:

Jurkat whole cell lysate

Lane 3:

Pervanadate treated HeLa whole cell lysate

Lane 4:

HeLa whole cell lysate

Lane 5:

EGF treated HepG2 whole cell lysate

Lane 6:

HepG2 whole cell lysate

Secondary

All lanes:

Goat polyclonal to rabbit IgG at 1/50000 dilution

Observed band size: 38 kDa

false

Key facts

Host species

Rabbit

Clonality

Monoclonal

Clone number

2E4

Isotype

IgG

Carrier free

No

Reacts with

Human

Applications

IP, IHC-P, WB, ICC/IF

applications

Immunogen

Synthetic Peptide within Human LAT phospho Y191.

O43561

Reactivity data

{ "title": "Reactivity Data", "filters": { "stats": ["", "Species", "Dilution Info", "Notes"], "tabs": { "all-applications": {"fullname" : "All Applications", "shortname": "All Applications"}, "WB" : {"fullname" : "Western blot", "shortname":"WB"}, "IHCP" : {"fullname" : "Immunohistochemistry (Formalin/PFA-fixed paraffin-embedded sections)", "shortname":"IHC-P"}, "ICCIF" : {"fullname" : "Immunocytochemistry/ Immunofluorescence", "shortname":"ICC/IF"}, "IP" : {"fullname" : "Immunoprecipitation", "shortname":"IP"} }, "product-promise": { "all": "all", "testedAndGuaranteed": "tested", "guaranteed": "expected", "predicted": "predicted", "notRecommended": "not-recommended" } }, "values": { "Human": { "WB-species-checked": "testedAndGuaranteed", "WB-species-dilution-info": "1/500 - 1/5000", "WB-species-notes": "<p></p>", "IHCP-species-checked": "testedAndGuaranteed", "IHCP-species-dilution-info": "1/50 - 1/200", "IHCP-species-notes": "<p></p>", "ICCIF-species-checked": "testedAndGuaranteed", "ICCIF-species-dilution-info": "1/20 - 1/200", "ICCIF-species-notes": "<p></p>", "IP-species-checked": "testedAndGuaranteed", "IP-species-dilution-info": "1/200 - 1/1000", "IP-species-notes": "<p></p>" } } }

Product details

What are the advantages of a recombinant monoclonal antibody?
This product is a recombinant monoclonal antibody, which offers several advantages including:

  • - High batch-to-batch consistency and reproducibility
  • - Improved sensitivity and specificity
  • - Long-term security of supply
  • - Animal-free batch production

For more information, read more on recombinant antibodies.

Properties and storage information

Form
Liquid
Purification technique
Affinity purification
Storage buffer
pH: 7.4 Preservative: 0.02% Sodium azide Constituents: PBS, 50% Glycerol (glycerin, glycerine), 0.88% Sodium chloride
Shipped at conditions
Blue Ice
Appropriate short-term storage duration
1-2 weeks
Appropriate short-term storage conditions
+4°C
Appropriate long-term storage conditions
-20°C
Aliquoting information
Upon delivery aliquot
Storage information
Avoid freeze / thaw cycle

Supplementary information

This supplementary information is collated from multiple sources and compiled automatically.

LAT or Linker for Activation of T cells also known as LAT protein is a transmembrane adaptor protein with an approximate molecular mass of 36-38 kDa. This protein is expressed predominantly on T cells and other cells of the lymphoid lineage. LAT is localized to the plasma membrane and contains multiple tyrosine residues which are critical for its function in signal transduction. Its phosphorylation leads to binding of various signaling molecules enabling signal propagation.
Biological function summary

LAT plays an important role in the immune response by facilitating the assembly of signaling complexes important for T cell activation. Upon antigen stimulation LAT becomes phosphorylated mainly at tyrosine residues allowing proteins like Grb2 and PLCγ1 to form a functional signalosome complex. This complex formation is necessary for downstream signaling events that contribute to T cell proliferation differentiation and cytokine production thereby maintaining immune homeostasis and facilitating adaptive immune responses.

Pathways

LAT operates primarily within the T cell receptor (TCR) signaling pathway. The phosphorylation of LAT by ZAP-70 another important signaling protein enables its role as a scaffold bringing together other molecules for signal transduction. It is closely related to proteins like SLP-76 and GADS both of which are essential for the full activation of T cells. These interactions link LAT to broader signaling cascades such as the MAPK and calcium signaling pathways which are essential for mounting an immune response.

LAT dysfunction is linked to both autoimmune diseases and immunodeficiencies. Defective LAT expression or function can lead to conditions like severe combined immunodeficiency (SCID) due to impaired T cell signaling. Additionally abnormal LAT activity may contribute to autoimmune disorders like systemic lupus erythematosus (SLE) where an overactive immune response is present. Proteins such as LAT can interact with others involved in these conditions including PLCγ1 highlighting its central role in both healthy and diseased states of immune regulation.

Product protocols

For this product, it's our understanding that no specific protocols are required. You can visit:

Target data

Required for TCR (T-cell antigen receptor)- and pre-TCR-mediated signaling, both in mature T-cells and during their development (PubMed : 23514740, PubMed : 25907557). Involved in FCGR3 (low affinity immunoglobulin gamma Fc region receptor III)-mediated signaling in natural killer cells and FCER1 (high affinity immunoglobulin epsilon receptor)-mediated signaling in mast cells. Couples activation of these receptors and their associated kinases with distal intracellular events such as mobilization of intracellular calcium stores, PKC activation, MAPK activation or cytoskeletal reorganization through the recruitment of PLCG1, GRB2, GRAP2, and other signaling molecules.
See full target information LAT phospho Y191

Product promise

We are committed to supporting your work with high-quality reagents, and we're here for you every step of the way. In the unlikely event that one of our products does not perform as expected, you're protected by our Product Promise.
For full details, please see our Terms & Conditions

Please note: All products are 'FOR RESEARCH USE ONLY. NOT FOR USE IN DIAGNOSTIC OR THERAPEUTIC PROCEDURES'.

For licensing inquiries, please contact partnerships@abcam.com