JavaScript is disabled in your browser. Please enable JavaScript to view this website.
AB59197

Anti-LAT (phospho Y191) antibody

Be the first to review this product! Submit a review

|

(3 Publications)

Rabbit Polyclonal LAT phospho Y191 antibody. Suitable for ELISA, WB, IHC-P and reacts with Mouse, Human samples. Cited in 3 publications. Immunogen corresponding to Synthetic Peptide within Human LAT phospho Y191 aa 150 to C-terminus.

View Alternative Names

Linker for activation of T-cells family member 1, 36 kDa phosphotyrosine adapter protein, p36-38, pp36, LAT

2 Images
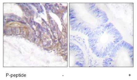
Immunohistochemistry (Formalin/PFA-fixed paraffin-embedded sections) - Anti-LAT (phospho Y191) antibody (AB59197)
  • IHC-P

Unknown

Immunohistochemistry (Formalin/PFA-fixed paraffin-embedded sections) - Anti-LAT (phospho Y191) antibody (AB59197)

Immunohistochemical analysis of paraffin embedded human colon carcinoma tissue using ab59197 at 1/50 dilution. Left : untreated. Right : sample treated with immunising peptide.

Western blot - Anti-LAT (phospho Y191) antibody (AB59197)
  • WB

Unknown

Western blot - Anti-LAT (phospho Y191) antibody (AB59197)

All lanes:

Western blot - Anti-LAT (phospho Y191) antibody (ab59197) at 1/500 dilution

Lane 1:

NIH3T3 cells treated with PMA

Lane 2:

NIH3T3 cells treated with PMA with phosphopeptide

Predicted band size: 28 kDa

Observed band size: 28 kDa

false

Key facts

Host species

Rabbit

Clonality

Polyclonal

Isotype

IgG

Carrier free

No

Reacts with

Mouse, Human

Applications

IHC-P, ELISA, WB

applications

Immunogen

Synthetic Peptide within Human LAT phospho Y191 aa 150 to C-terminus. The exact immunogen used to generate this antibody is proprietary information.

O43561

Specificity

Detects endogenous levels of LAT only when phosphorylated at tyrosine 191. This antibody detects LAT phosphorylated on Tyrosine 191 in isoform 2 (SwissProt: O43561-2), and Tyrosine 220 in isoform 1 (SwissProt: O43561).

Reactivity data

{ "title": "Reactivity Data", "filters": { "stats": ["", "Species", "Dilution Info", "Notes"], "tabs": { "all-applications": {"fullname" : "All Applications", "shortname": "All Applications"}, "ELISA" : {"fullname" : "ELISA", "shortname":"ELISA"}, "WB" : {"fullname" : "Western blot", "shortname":"WB"}, "IHCP" : {"fullname" : "Immunohistochemistry (Formalin/PFA-fixed paraffin-embedded sections)", "shortname":"IHC-P"} }, "product-promise": { "all": "all", "testedAndGuaranteed": "tested", "guaranteed": "expected", "predicted": "predicted", "notRecommended": "not-recommended" } }, "values": { "Human": { "ELISA-species-checked": "guaranteed", "ELISA-species-dilution-info": "", "ELISA-species-notes": "<p></p>", "WB-species-checked": "guaranteed", "WB-species-dilution-info": "", "WB-species-notes": "", "IHCP-species-checked": "testedAndGuaranteed", "IHCP-species-dilution-info": "", "IHCP-species-notes": "<p></p>" }, "Mouse": { "ELISA-species-checked": "guaranteed", "ELISA-species-dilution-info": "", "ELISA-species-notes": "<p></p>", "WB-species-checked": "testedAndGuaranteed", "WB-species-dilution-info": "1/500 - 1/1000", "WB-species-notes": "<p></p>", "IHCP-species-checked": "guaranteed", "IHCP-species-dilution-info": "", "IHCP-species-notes": "" } } }

Properties and storage information

Form
Liquid
Purification technique
Affinity purification Immunogen
Purification notes
Affinity purified from rabbit antiserum by affinity chromatography using epitope specific phosphopeptide. The antibody against non phosphopeptide was removed by chromatography using non phosphopeptide corresponding to the phosphorylation site.
Storage buffer
pH: 7.4 Preservative: 0.02% Sodium azide Constituents: PBS, 50% Glycerol (glycerin, glycerine), 0.87% Sodium chloride
Shipped at conditions
Blue Ice
Appropriate short-term storage conditions
+4°C
Appropriate long-term storage conditions
-20°C
Storage information
Stable for 12 months at -20°C

Supplementary information

This supplementary information is collated from multiple sources and compiled automatically.

LAT or Linker for Activation of T cells also known as LAT protein is a transmembrane adaptor protein with an approximate molecular mass of 36-38 kDa. This protein is expressed predominantly on T cells and other cells of the lymphoid lineage. LAT is localized to the plasma membrane and contains multiple tyrosine residues which are critical for its function in signal transduction. Its phosphorylation leads to binding of various signaling molecules enabling signal propagation.
Biological function summary

LAT plays an important role in the immune response by facilitating the assembly of signaling complexes important for T cell activation. Upon antigen stimulation LAT becomes phosphorylated mainly at tyrosine residues allowing proteins like Grb2 and PLCγ1 to form a functional signalosome complex. This complex formation is necessary for downstream signaling events that contribute to T cell proliferation differentiation and cytokine production thereby maintaining immune homeostasis and facilitating adaptive immune responses.

Pathways

LAT operates primarily within the T cell receptor (TCR) signaling pathway. The phosphorylation of LAT by ZAP-70 another important signaling protein enables its role as a scaffold bringing together other molecules for signal transduction. It is closely related to proteins like SLP-76 and GADS both of which are essential for the full activation of T cells. These interactions link LAT to broader signaling cascades such as the MAPK and calcium signaling pathways which are essential for mounting an immune response.

LAT dysfunction is linked to both autoimmune diseases and immunodeficiencies. Defective LAT expression or function can lead to conditions like severe combined immunodeficiency (SCID) due to impaired T cell signaling. Additionally abnormal LAT activity may contribute to autoimmune disorders like systemic lupus erythematosus (SLE) where an overactive immune response is present. Proteins such as LAT can interact with others involved in these conditions including PLCγ1 highlighting its central role in both healthy and diseased states of immune regulation.

Product protocols

For this product, it's our understanding that no specific protocols are required. You can visit:

Target data

Required for TCR (T-cell antigen receptor)- and pre-TCR-mediated signaling, both in mature T-cells and during their development (PubMed : 23514740, PubMed : 25907557). Involved in FCGR3 (low affinity immunoglobulin gamma Fc region receptor III)-mediated signaling in natural killer cells and FCER1 (high affinity immunoglobulin epsilon receptor)-mediated signaling in mast cells. Couples activation of these receptors and their associated kinases with distal intracellular events such as mobilization of intracellular calcium stores, PKC activation, MAPK activation or cytoskeletal reorganization through the recruitment of PLCG1, GRB2, GRAP2, and other signaling molecules.
See full target information LAT phospho Y191

Publications (3)

Recent publications for all applications. Explore the full list and refine your search

Journal of cell science 130:1217-1223 PubMed28209780

2017

Microtubule-associated protein-4 controls nanovesicle dynamics and T cell activation.

Applications

Unspecified application

Species

Unspecified reactive species

Eugenio Bustos-Morán,Noelia Blas-Rus,Noa Beatriz Martin-Cófreces,Francisco Sánchez-Madrid

Journal of immunology (Baltimore, Md. : 1950) 193:56-67 PubMed24860189

2014

TCR Microclusters pre-exist and contain molecules necessary for TCR signal transduction.

Applications

WB

Species

Mouse

Travis J Crites,Kartika Padhan,James Muller,Michelle Krogsgaard,Prabhakar R Gudla,Stephen J Lockett,Rajat Varma

Diabetes 62:2048-58 PubMed23349496

2013

TSG-6 produced by hMSCs delays the onset of autoimmune diabetes by suppressing Th1 development and enhancing tolerogenicity.

Applications

WB

Species

Unspecified reactive species

Daniel J Kota,Lindsey L Wiggins,Nara Yoon,Ryang Hwa Lee
View all publications

Product promise

We are committed to supporting your work with high-quality reagents, and we're here for you every step of the way. In the unlikely event that one of our products does not perform as expected, you're protected by our Product Promise.
For full details, please see our Terms & Conditions

Please note: All products are 'FOR RESEARCH USE ONLY. NOT FOR USE IN DIAGNOSTIC OR THERAPEUTIC PROCEDURES'.

For licensing inquiries, please contact partnerships@abcam.com