JavaScript is disabled in your browser. Please enable JavaScript to view this website.
AB273674

Anti-LAT2 antibody [UMAB70] - BSA and Azide free

Be the first to review this product! Submit a review

|

(1 Publication)

Mouse Monoclonal LAT2 antibody. Carrier free. Suitable for Protein Microarray ChIP, IHC-P, WB, ICC/IF and reacts with Purified native protein - Human, Human samples. Cited in 1 publication. Immunogen corresponding to Recombinant Full Length Protein corresponding to Human SLC7A8.

View Alternative Names

LAT2, SLC7A8, Large neutral amino acids transporter small subunit 2, L-type amino acid transporter 2, Solute carrier family 7 member 8, hLAT2

6 Images
Immunohistochemistry (Formalin/PFA-fixed paraffin-embedded sections) - Anti-LAT2 antibody [UMAB70] - BSA and Azide free (AB273674)
  • IHC-P

Supplier Data

Immunohistochemistry (Formalin/PFA-fixed paraffin-embedded sections) - Anti-LAT2 antibody [UMAB70] - BSA and Azide free (AB273674)

Paraffin embedded human normal colon tissue (left) and colorectal cancer tissue (right) stained for SLC7A8 using the same antibody clone in a different buffer formulation (PBS, BSA, glycerol, and sodium azide) at 1/100 dilution in immunohistochemical analysis.

Heat-induced epitope retrieval was performed using 10 mM citric buffer, pH 6.0, 120°C for 3mins.

Immunohistochemistry (Formalin/PFA-fixed paraffin-embedded sections) - Anti-LAT2 antibody [UMAB70] - BSA and Azide free (AB273674)
  • IHC-P

Supplier Data

Immunohistochemistry (Formalin/PFA-fixed paraffin-embedded sections) - Anti-LAT2 antibody [UMAB70] - BSA and Azide free (AB273674)

Paraffin embedded human normal kidney tissue (left) and kidney carcinoma tissue (right) stained for SLC7A8 using the same antibody clone in a different buffer formulation (PBS, BSA, glycerol, and sodium azide) at 1/100 dilution in immunohistochemical analysis.

Heat-induced epitope retrieval was performed using 10 mM citric buffer, pH 6.0, 120°C for 3mins.

Immunocytochemistry/ Immunofluorescence - Anti-LAT2 antibody [UMAB70] - BSA and Azide free (AB273674)
  • ICC/IF

Supplier Data

Immunocytochemistry/ Immunofluorescence - Anti-LAT2 antibody [UMAB70] - BSA and Azide free (AB273674)

HeLa (Human epithelial cell line from cervix adenocarcinoma) cells stained for SLC7A8 (green) using the same antibody clone in a different buffer formulation (PBS, BSA, glycerol, and sodium azide) at 1/50 dilution in ICC/IF. Actin filaments were labeled with Alexa Fluor® 594 Phalloidin (red), and nuclear with DAPI (blue).

Immunohistochemistry (Formalin/PFA-fixed paraffin-embedded sections) - Anti-LAT2 antibody [UMAB70] - BSA and Azide free (AB273674)
  • IHC-P

Supplier Data

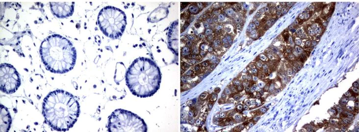
Immunohistochemistry (Formalin/PFA-fixed paraffin-embedded sections) - Anti-LAT2 antibody [UMAB70] - BSA and Azide free (AB273674)

Paraffin embedded human normal pancreas tissue (left) and pancreatic cancer tissue (right) stained for SLC7A8 using the same antibody clone in a different buffer formulation (PBS, BSA, glycerol, and sodium azide) at 1/100 dilution in immunohistochemical analysis.

Heat-induced epitope retrieval was performed using 10 mM citric buffer, pH 6.0, 120°C for 3mins.

Western blot - Anti-LAT2 antibody [UMAB70] - BSA and Azide free (AB273674)
  • WB

Supplier Data

Western blot - Anti-LAT2 antibody [UMAB70] - BSA and Azide free (AB273674)

All lanes:

Western blot - Anti-LAT2 antibody [UMAB70] - BSA and Azide free (ab273674) at 1/500 dilution

Lane 1:

Human testis tissue lysates at 15 µg

Lane 2:

Human omentum tissue lysate at 15 µg

Lane 3:

Human uterus tissue lysate at 15 µg

Lane 4:

Human breast tissue lysate at 15 µg

Lane 5:

Human brain tissue lysate at 15 µg

Lane 6:

Human liver tissue lysate at 15 µg

Lane 7:

Human ovary tissue lysate at 15 µg

Lane 8:

Human thyroid tissue lysate at 15 µg

Lane 9:

Human colon tissue lysate at 15 µg

Lane 10:

Human spleen tissue lysate at 15 µg

Predicted band size: 58 kDa

false

Protein Microarray ChIP - Anti-LAT2 antibody [UMAB70] - BSA and Azide free (AB273674)
  • Protein Microarray ChIP

Supplier Data

Protein Microarray ChIP - Anti-LAT2 antibody [UMAB70] - BSA and Azide free (AB273674)

Overexpression protein microarray chip was immunostained with same antibody clone in a different buffer (PBS, BSA, glycerol, and sodium azide).

The positive reactive proteins are highlighted with two red arrows in the enlarged subarray. All the positive controls spotted in this subarray are also labeled for clarification.

Key facts

Host species

Mouse

Clonality

Monoclonal

Clone number

UMAB70

Isotype

IgG1

Carrier free

Yes

Reacts with

Human

Applications

IHC-P, ICC/IF, Protein Microarray ChIP, WB

applications

Immunogen

Recombinant Full Length Protein corresponding to Human SLC7A8.

Q9UHI5

Reactivity data

{ "title": "Reactivity Data", "filters": { "stats": ["", "Species", "Dilution Info", "Notes"], "tabs": { "all-applications": {"fullname" : "All Applications", "shortname": "All Applications"}, "ProteinMicroarrayChIP" : {"fullname" : "Protein Microarray ChIP", "shortname":"Protein Microarray ChIP"}, "IHCP" : {"fullname" : "Immunohistochemistry (Formalin/PFA-fixed paraffin-embedded sections)", "shortname":"IHC-P"}, "WB" : {"fullname" : "Western blot", "shortname":"WB"}, "ICCIF" : {"fullname" : "Immunocytochemistry/ Immunofluorescence", "shortname":"ICC/IF"} }, "product-promise": { "all": "all", "testedAndGuaranteed": "tested", "guaranteed": "expected", "predicted": "predicted", "notRecommended": "not-recommended" } }, "values": { "Human": { "ProteinMicroarrayChIP-species-checked": "guaranteed", "ProteinMicroarrayChIP-species-dilution-info": "", "ProteinMicroarrayChIP-species-notes": "", "IHCP-species-checked": "testedAndGuaranteed", "IHCP-species-dilution-info": "1/100", "IHCP-species-notes": "<p></p>", "WB-species-checked": "testedAndGuaranteed", "WB-species-dilution-info": "1/500", "WB-species-notes": "<p></p>", "ICCIF-species-checked": "testedAndGuaranteed", "ICCIF-species-dilution-info": "1/50", "ICCIF-species-notes": "<p></p>" }, "Purified native protein - Human": { "ProteinMicroarrayChIP-species-checked": "testedAndGuaranteed", "ProteinMicroarrayChIP-species-dilution-info": "", "ProteinMicroarrayChIP-species-notes": "<p></p>", "IHCP-species-checked": "notRecommended", "IHCP-species-dilution-info": "", "IHCP-species-notes": "", "WB-species-checked": "notRecommended", "WB-species-dilution-info": "", "WB-species-notes": "", "ICCIF-species-checked": "notRecommended", "ICCIF-species-dilution-info": "", "ICCIF-species-notes": "" } } }

Properties and storage information

Form
Liquid
Purification technique
Affinity purification Protein A/G
Purification notes
Purified from TCS.
Storage buffer
pH: 7.3 Constituents: PBS
Shipped at conditions
Blue Ice
Appropriate short-term storage duration
1-2 weeks
Appropriate short-term storage conditions
+4°C
Appropriate long-term storage conditions
-20°C
Aliquoting information
Upon delivery aliquot
Storage information
Avoid freeze / thaw cycle

Supplementary information

This supplementary information is collated from multiple sources and compiled automatically.

LAT2 also known as Linker for Activation of T cells 2 is a cytoplasmic adaptor protein with a molecular mass of approximately 38 kDa. LAT2 plays an important role in intracellular signaling and is widely expressed in immune system cells especially T cells mast cells and platelets. This protein functions as a scaffold providing binding sites for several signaling molecules involved in immune cell activation.
Biological function summary

LAT2 contributes significantly to immune system responses. It forms complexes with proteins such as SLP-76 to facilitate signal transduction. LAT2 becomes phosphorylated upon activation which recruits multiple effector molecules and serves as a platform for further signaling processes. This mechanism enhances the transmission of activation signals that lead to immune cell proliferation and differentiation.

Pathways

Proteins interacting with LAT2 participate in the T cell receptor (TCR) signaling pathway and FcεRI signaling in mast cells. LAT2 anchors important signaling molecules within these pathways including ZAP-70 and PLCγ1 which further propagate the signal cascade necessary for immune responses. The LAT2-SLP-76 complex helps coordinate the assembly of various intracellular signaling proteins in these pathways which is vital for effective cellular functions.

Defects or alterations in LAT2 function can result in immune system-related conditions such as immunodeficiencies and autoimmune disorders. Abnormal LAT2 signaling is linked to diseases like systemic lupus erythematosus where T cell signaling becomes dysregulated. Further LAT2 interacts with proteins such as Syk involved in other immune disorders highlighting its importance in maintaining immune system balance.

Product protocols

For this product, it's our understanding that no specific protocols are required. You can visit:

Target data

Associates with SLC3A2 to form a functional heterodimeric complex that translocates small and large neutral amino acids with broad specificity and a stoichiometry of 1 : 1. Functions as amino acid antiporter mediating the influx of extracellular essential amino acids mainly in exchange with the efflux of highly concentrated intracellular amino acids (PubMed : 10391915, PubMed : 11311135, PubMed : 11847106, PubMed : 12716892, PubMed : 15081149, PubMed : 15918515, PubMed : 29355479, PubMed : 33298890, PubMed : 34848541). Has relatively symmetrical selectivities but strongly asymmetrical substrate affinities at both the intracellular and extracellular sides of the transporter (PubMed : 11847106). This asymmetry allows SLC7A8 to regulate intracellular amino acid pools (mM concentrations) by exchange with external amino acids (uM concentration range), equilibrating the relative concentrations of different amino acids across the plasma membrane instead of mediating their net uptake (PubMed : 10391915, PubMed : 11847106). May play an essential role in the reabsorption of neutral amino acids from the epithelial cells to the bloodstream in the kidney (PubMed : 12716892). Involved in the uptake of methylmercury (MeHg) when administered as the L-cysteine or D,L-homocysteine complexes, and hence plays a role in metal ion homeostasis and toxicity (PubMed : 12117417). Involved in the cellular activity of small molecular weight nitrosothiols, via the stereoselective transport of L-nitrosocysteine (L-CNSO) across the transmembrane (PubMed : 15769744). Imports the thyroid hormone diiodothyronine (T2) and to a smaller extent triiodothyronine (T3) but not rT 3 or thyroxine (T4) (By similarity). Mediates the uptake of L-DOPA (By similarity). May participate in auditory function (By similarity).
See full target information SLC7A8

Publications (1)

Recent publications for all applications. Explore the full list and refine your search

Journal of immunology research 2025:9987367 PubMed40727388

2025

Single-Cell Data and Weighted Correlation Network Analysis Revealed the Regulatory Mechanisms of Macrophages in Carotid Plaques.

Applications

Unspecified application

Species

Unspecified reactive species

Yakun Ding,Xiaoyang Niu,Peng Guo,Bing Wang
View all publications

Product promise

We are committed to supporting your work with high-quality reagents, and we're here for you every step of the way. In the unlikely event that one of our products does not perform as expected, you're protected by our Product Promise.
For full details, please see our Terms & Conditions

Please note: All products are 'FOR RESEARCH USE ONLY. NOT FOR USE IN DIAGNOSTIC OR THERAPEUTIC PROCEDURES'.

For licensing inquiries, please contact partnerships@abcam.com