JavaScript is disabled in your browser. Please enable JavaScript to view this website.
AB111344

Anti-LATS1/WARTS ((phospho T1079) +LATS2 (phospho T1041) antibody

3

(1 Review)

|

(24 Publications)

Rabbit Polyclonal LATS2 antibody. Suitable for IHC-P and reacts with Human samples. Cited in 24 publications. Immunogen corresponding to Synthetic Peptide within Human LATS1 phospho T1079.

View Alternative Names

KPM, LATS2, Serine/threonine-protein kinase LATS2, Kinase phosphorylated during mitosis protein, Large tumor suppressor homolog 2, Serine/threonine-protein kinase kpm, Warts-like kinase

1 Images
Immunohistochemistry (Formalin/PFA-fixed paraffin-embedded sections) - Anti-LATS1/WARTS ((phospho T1079) +LATS2 (phospho T1041) antibody (AB111344)
  • IHC-P

Unknown

Immunohistochemistry (Formalin/PFA-fixed paraffin-embedded sections) - Anti-LATS1/WARTS ((phospho T1079) +LATS2 (phospho T1041) antibody (AB111344)

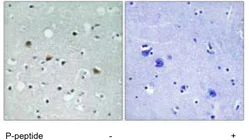
ab111344 at 1/50 dilution staining LATS1 +LATS2 in paraffin-embedded Human Brain tissue by Immunohistochemistry. The image on the right is treated with the synthesized phosphopeptide.

Key facts

Host species

Rabbit

Clonality

Polyclonal

Isotype

IgG

Carrier free

No

Reacts with

Human

Applications

IHC-P

applications

Immunogen

Synthetic Peptide within Human LATS1 phospho T1079. The exact immunogen used to generate this antibody is proprietary information.

O95835

Reactivity data

{ "title": "Reactivity Data", "filters": { "stats": ["", "Species", "Dilution Info", "Notes"], "tabs": { "all-applications": {"fullname" : "All Applications", "shortname": "All Applications"}, "IHCP" : {"fullname" : "Immunohistochemistry (Formalin/PFA-fixed paraffin-embedded sections)", "shortname":"IHC-P"} }, "product-promise": { "all": "all", "testedAndGuaranteed": "tested", "guaranteed": "expected", "predicted": "predicted", "notRecommended": "not-recommended" } }, "values": { "Human": { "IHCP-species-checked": "testedAndGuaranteed", "IHCP-species-dilution-info": "", "IHCP-species-notes": "<p></p>" }, "Mouse": { "IHCP-species-checked": "predicted", "IHCP-species-dilution-info": "", "IHCP-species-notes": "" } } }

Properties and storage information

Form
Liquid
Purification technique
Affinity purification Immunogen
Purification notes
ab111344 was affinity-purified from Rabbit antiserum by affinity-chromatography using epitope-specific phosphopeptide. The antibody against non-phosphopeptide was removed by chromatography using non-phosphopeptide corresponding to the phosphorylation site.
Storage buffer
pH: 7.4 Preservative: 0.02% Sodium azide Constituents: PBS, 50% Glycerol (glycerin, glycerine), 0.88% Sodium chloride
Shipped at conditions
Blue Ice
Appropriate short-term storage conditions
+4°C
Appropriate long-term storage conditions
-20°C
Storage information
Stable for 12 months at -20°C

Supplementary information

This supplementary information is collated from multiple sources and compiled automatically.

The LATS1/LATS2 proteins also called WARTS are serine-threonine kinases involved in the Hippo signaling pathway with molecular masses of about 122 kDa and 104 kDa respectively. LATS1 and LATS2 are expressed in various tissues including the heart lung and liver. They work by phosphorylating other proteins which regulates cell proliferation and apoptosis. LATS proteins are found in the cytoplasm and can move into the nucleus influencing processes important for maintaining cellular homeostasis.
Biological function summary

LATS1 and LATS2 are part of the core Hippo signaling complex playing roles in controlling cell growth and organ size. They achieve this by inhibiting the transcription co-activator YAP/TAZ preventing excessive cell division and promoting programmed cell death when needed. This regulation ensures proper development and suppresses tumor formation. LATS proteins act as tumor suppressors preventing the overgrowth of cells that could lead to cancerous transformations.

Pathways

LATS1 and LATS2 integrate into the Hippo signaling and apoptotic pathways. In the Hippo pathway these kinases partner with MOB1 to phosphorylate YAP/TAZ preventing their translocation into the nucleus where they might trigger oncogenic gene expression. They also interact with other proteins like MST1/2 kinases within the Hippo cascade ensuring tight regulation of cell proliferation and death.

LATS1 and LATS2 are linked to cancer development and liver diseases. Dysregulation or mutations in these proteins can lead to unchecked cell growth posing a risk for cancers particularly liver cancer. Research shows that their interaction with other oncogenes like KRAS or tumor suppressors like p53 further influences their role in carcinogenesis. Additionally alterations in the Hippo pathway involving LATS proteins contribute to liver conditions potentially leading to hepatic disorders.

Product protocols

For this product, it's our understanding that no specific protocols are required. You can visit:

Target data

Negative regulator of YAP1 in the Hippo signaling pathway that plays a pivotal role in organ size control and tumor suppression by restricting proliferation and promoting apoptosis. The core of this pathway is composed of a kinase cascade wherein STK3/MST2 and STK4/MST1, in complex with its regulatory protein SAV1, phosphorylates and activates LATS1/2 in complex with its regulatory protein MOB1, which in turn phosphorylates and inactivates YAP1 oncoprotein and WWTR1/TAZ. Phosphorylation of YAP1 by LATS2 inhibits its translocation into the nucleus to regulate cellular genes important for cell proliferation, cell death, and cell migration (PubMed : 26598551, PubMed : 34404733). Also phosphorylates YAP1 in response to cell contact inhibition-driven WWP1 ubiquitination of AMOTL2, which results in LATS2 activation (PubMed : 34404733). Acts as a tumor suppressor which plays a critical role in centrosome duplication, maintenance of mitotic fidelity and genomic stability. Negatively regulates G1/S transition by down-regulating cyclin E/CDK2 kinase activity. Negative regulator of the androgen receptor. Phosphorylates SNAI1 in the nucleus leading to its nuclear retention and stabilization, which enhances its epithelial-mesenchymal transition and tumor cell invasion/migration activities. This tumor-promoting activity is independent of its effects upon YAP1 or WWTR1/TAZ.
See full target information LATS2

Additional targets

LATS1

Publications (24)

Recent publications for all applications. Explore the full list and refine your search

Biomedicines 11: PubMed37509515

2023

Searching for Novel Biomarkers in Thymic Epithelial Tumors: Immunohistochemical Evaluation of Hippo Pathway Components in a Cohort of Thymic Epithelial Tumors.

Applications

Unspecified application

Species

Unspecified reactive species

Kostas Palamaris,Georgia Levidou,Katerina Kordali,Christos Masaoutis,Dimitra Rontogianni,Stamatios Theocharis

Oncology letters 26:331 PubMed37415630

2023

Long non‑coding RNA PTCSC3 suppresses triple‑negative breast cancer by downregulating long non‑coding RNA MIR100HG.

Applications

Unspecified application

Species

Unspecified reactive species

Guojun Zhang,Lei Gao,Junliang Zhang,Rui Wang,Xiangdong Wei

Oncology research 29:159-174 PubMed37304674

2023

RNF43 is a novel tumor-suppressor and prognostic indicator in clear cell renal cell carcinoma.

Applications

Unspecified application

Species

Unspecified reactive species

Dawei Zhu,Lei Zhang,Xiaokai Shi,Shenglin Gao,Chuang Yue,Lifeng Zhang,Y U Bai,Qifeng Wang,Atsushi Okada,Takahiro Yasui,Chao Wang,Xingang Cui,L I Zuo

JCI insight 8: PubMed36853804

2023

KIBRA upregulation increases susceptibility to podocyte injury and glomerular disease progression.

Applications

Unspecified application

Species

Unspecified reactive species

Kristin Meliambro,Yanfeng Yang,Marina de Cos,Estefania Rodriguez Ballestas,Caroline Malkin,Jonathan Haydak,John R Lee,Fadi Salem,Laura H Mariani,Ronald E Gordon,John M Basgen,Huei Hsun Wen,Jia Fu,Evren U Azeloglu,John Cijiang He,Jenny S Wong,Kirk N Campbell

Journal of Cancer 14:393-402 PubMed36860929

2023

Platycodin D confers oxaliplatin Resistance in Colorectal Cancer by activating the LATS2/YAP1 axis of the hippo signaling pathway.

Applications

Unspecified application

Species

Unspecified reactive species

Chien-Hao Wang,Rathinasamy Baskaran,Shawn Shang-Chuan Ng,Tso-Fu Wang,Chi-Cheng Li,Tsung-Jung Ho,Dennis Jine-Yuan Hsieh,Chia-Hua Kuo,Ming-Cheng Chen,Chih-Yang Huang

Cancer science 113:2753-2762 PubMed35722967

2022

Hippo pathway monomerizes STAT3 to regulate prostate cancer growth.

Applications

Unspecified application

Species

Unspecified reactive species

Qingfeng Tang,Jing Fang,Weiqi Lai,Yu Hu,Chengwan Liu,Xiaobo Hu,Caiyong Song,Tianmu Cheng,Rui Liu,Xiaoke Huang

Open medicine (Warsaw, Poland) 17:453-462 PubMed35350839

2022

LMO3 promotes proliferation and metastasis of papillary thyroid carcinoma cells by regulating LIMK1-mediated cofilin and the β-catenin pathway.

Applications

Unspecified application

Species

Unspecified reactive species

Zeyi Ling,Xiaoli Long,Ying Wu,Jie Li,Mingliang Feng

Open life sciences 16:1130-1140 PubMed34746414

2021

Glucocorticoids induce osteonecrosis of the femoral head through the Hippo signaling pathway.

Applications

Unspecified application

Species

Unspecified reactive species

Yugang Li,Zechuan Xu,Shan Chang

Molecular medicine reports 24: PubMed34505633

2021

Inhibin βA is an independent prognostic factor that promotes invasion via Hippo signaling in non‑small cell lung cancer.

Applications

Unspecified application

Species

Unspecified reactive species

Yijun Zhang,Shumei Yan,Yan Li,Jiangbo Zhang,Yuan Luo,Pengcheng Li,Yuanzhong Yang,Yong Li,Yuhua Huang,Enhua Wang

Cell death and differentiation 29:206-217 PubMed34465890

2021

Mechanosensitive turnover of phosphoribosyl pyrophosphate synthetases regulates nucleotide metabolism.

Applications

Unspecified application

Species

Unspecified reactive species

Jingyi Li,Jichun Shao,Zhijun Zeng,Yumin He,Can Tang,Su Hwan Park,Jong-Ho Lee,Rui Liu
View all publications

Product promise

We are committed to supporting your work with high-quality reagents, and we're here for you every step of the way. In the unlikely event that one of our products does not perform as expected, you're protected by our Product Promise.
For full details, please see our Terms & Conditions

Please note: All products are 'FOR RESEARCH USE ONLY. NOT FOR USE IN DIAGNOSTIC OR THERAPEUTIC PROCEDURES'.

For licensing inquiries, please contact partnerships@abcam.com