JavaScript is disabled in your browser. Please enable JavaScript to view this website.
AB254559

Anti-LBP antibody [EPR22559-261]

Be the first to review this product! Submit a review

|

(3 Publications)

Rabbit Recombinant Monoclonal LBP antibody. Suitable for IP, WB and reacts with Mouse samples. Cited in 3 publications.

View Alternative Names

Lipopolysaccharide-binding protein, LBP, Lbp

4 Images
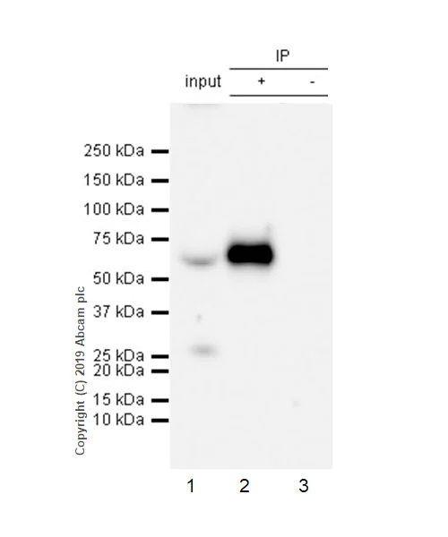
Immunoprecipitation - Anti-LBP antibody [EPR22559-261] (AB254559)
  • IP

Unknown

Immunoprecipitation - Anti-LBP antibody [EPR22559-261] (AB254559)

LBP was immunoprecipitated from 0.35 mg mouse ovary lysate with ab254559 at 1/30 dilution. Western blot was performed on the immunoprecipitate using ab254559 at 1/1000 dilution. VeriBlot for IP Detection Reagent (HRP) (ab131366) was used as the secondary antibody at 1/5000 dilution.

Lane 1 : Mouse ovary lysate 10μg (Input).
Lane 2 : ab254559 IP in mouse ovary lysate.
Lane 3 : Rabbit monoclonal IgG (ab172730) instead of ab254559 in mouse ovary lysate.

Blocking and dilution buffer and concentration : 5% NFDM/TBST.
Exposure time : 20 seconds.

This blot was developed using a higher sensitivity ECL substrate.

All lanes:

Immunoprecipitation - Anti-LBP antibody [EPR22559-261] (ab254559)

Predicted band size: 53 kDa

Observed band size: 60 kDa

false

Western blot - Anti-LBP antibody [EPR22559-261] (AB254559)
  • WB

Unknown

Western blot - Anti-LBP antibody [EPR22559-261] (AB254559)

Blocking/diluting buffer and concentration : 5% NFDM/TBST

Exposure time : 59 seconds

The expression profile / molecular weight observed is consistent with what has been described in the literature (PMID : 7694297).

All lanes:

Western blot - Anti-LBP antibody [EPR22559-261] (ab254559) at 1/1000 dilution

Lane 1:

Mouse serum at 20 µg

Lane 2:

Mouse plasma at 20 µg

Secondary

All lanes:

Western blot - Goat Anti-Rabbit IgG H&L (HRP) (<a href='/en-us/products/secondary-antibodies/goat-rabbit-igg-h-l-hrp-ab97051'>ab97051</a>) at 1/20000 dilution

Predicted band size: 53 kDa

Observed band size: 60 kDa

false

Western blot - Anti-LBP antibody [EPR22559-261] (AB254559)
  • WB

Unknown

Western blot - Anti-LBP antibody [EPR22559-261] (AB254559)

Blocking/Diluting buffer and concentration : 5% NFDM/TBST

Exposure time : 59 seconds

The expression profile / molecular weight observed is consistent with what has been described in the literature (PMID : 7694297)

Negative control : SP2/0-Ag14 (PMID : 2456339).

All lanes:

Western blot - Anti-LBP antibody [EPR22559-261] (ab254559) at 1/1000 dilution

Lane 1:

SP2/0-Ag14 (mouse myeloma cell line), whole cell lysate at 20 µg

Lane 2:

Mouse ovary tissue lysate at 20 µg

Secondary

All lanes:

Western blot - Goat Anti-Rabbit IgG H&L (HRP) (<a href='/en-us/products/secondary-antibodies/goat-rabbit-igg-h-l-hrp-ab97051'>ab97051</a>) at 1/20000 dilution

Predicted band size: 53 kDa

Observed band size: 60 kDa

false

Western blot - Anti-LBP antibody [EPR22559-261] (AB254559)
  • WB

Unknown

Western blot - Anti-LBP antibody [EPR22559-261] (AB254559)

Blocking/diluting buffer and concentration : 5% NFDM/TBST.

Exposure time : 10 seconds.

All lanes:

Western blot - Anti-LBP antibody [EPR22559-261] (ab254559) at 1/1000 dilution

All lanes:

His-tagged full-length recombinant mouse LBP protein 10 ng

Secondary

All lanes:

Western blot - Goat Anti-Rabbit IgG H&L (HRP) (<a href='/en-us/products/secondary-antibodies/goat-rabbit-igg-h-l-hrp-ab97051'>ab97051</a>) at 1/100000 dilution

Predicted band size: 53 kDa

Observed band size: 60 kDa

false

  • Carrier free

    Anti-LBP antibody [EPR22559-261] - BSA and Azide free

  • Carrier free

    Anti-LBP antibody [EPR22559-261] - BSA and Azide free (Capture)

Key facts

Host species

Rabbit

Clonality

Monoclonal

Clone number

EPR22559-261

Isotype

IgG

Carrier free

No

Reacts with

Mouse

Applications

WB, IP

applications

Immunogen

The exact immunogen used to generate this antibody is proprietary information.

Reactivity data

{ "title": "Reactivity Data", "filters": { "stats": ["", "Species", "Dilution Info", "Notes"], "tabs": { "all-applications": {"fullname" : "All Applications", "shortname": "All Applications"}, "IP" : {"fullname" : "Immunoprecipitation", "shortname":"IP"}, "WB" : {"fullname" : "Western blot", "shortname":"WB"}, "IHCP" : {"fullname" : "Immunohistochemistry (Formalin/PFA-fixed paraffin-embedded sections)", "shortname":"IHC-P"}, "IHCFr" : {"fullname" : "Immunohistochemistry (Frozen sections)", "shortname":"IHC-Fr"} }, "product-promise": { "all": "all", "testedAndGuaranteed": "tested", "guaranteed": "expected", "predicted": "predicted", "notRecommended": "not-recommended" } }, "values": { "Mouse": { "IP-species-checked": "testedAndGuaranteed", "IP-species-dilution-info": "1/30", "IP-species-notes": "<p></p>", "WB-species-checked": "testedAndGuaranteed", "WB-species-dilution-info": "1/1000", "WB-species-notes": "<p></p>", "IHCP-species-checked": "notRecommended", "IHCP-species-dilution-info": "", "IHCP-species-notes": "<p></p>", "IHCFr-species-checked": "notRecommended", "IHCFr-species-dilution-info": "", "IHCFr-species-notes": "<p></p>" } } }

Product details

Patented technology
Our RabMAb® technology is a patented hybridoma-based technology for making rabbit monoclonal antibodies. For details on our patents, please refer to RabMAb® patents.

What are the advantages of a recombinant monoclonal antibody?
This product is a recombinant monoclonal antibody, which offers several advantages including:

  • - High batch-to-batch consistency and reproducibility
  • - Improved sensitivity and specificity
  • - Long-term security of supply
  • - Animal-free batch production

For more information, read more on recombinant antibodies.

Properties and storage information

Form
Liquid
Purification technique
Affinity purification Protein A
Storage buffer
pH: 7.2 - 7.4 Preservative: 0.01% Sodium azide Constituents: PBS, 40% Glycerol (glycerin, glycerine), 0.05% BSA
Shipped at conditions
Blue Ice
Appropriate short-term storage duration
1-2 weeks
Appropriate short-term storage conditions
+4°C
Appropriate long-term storage conditions
-20°C
Aliquoting information
Upon delivery aliquot
Storage information
Avoid freeze / thaw cycle

Supplementary information

This supplementary information is collated from multiple sources and compiled automatically.

Lipopolysaccharide-binding protein (LBP) also known as LPS-binding protein is an acute-phase protein that plays a critical role in the immune response to Gram-negative bacterial infections. This protein weighing approximately 60kDa is primarily expressed in the liver and found in the serum. LBP binds to lipopolysaccharides (LPS) which are components of the outer membrane of Gram-negative bacteria facilitating the transfer of LPS to CD14 receptors on immune cells. This transfer enhances the recognition of bacterial endotoxins triggering an immune response.
Biological function summary

LBP serves a significant role in enhancing the sensitivity of the immune system to bacterial endotoxins. It does not form a permanent part of a larger complex but works closely with other molecules like CD14 and MD-2 an accessory protein of the TLR4 receptor to mediate the innate immune response. By efficiently binding LPS LBP aids in transporting these molecules to cell surface receptors accelerating the detection and subsequent response to infections.

Pathways

LBP is heavily involved in the TLR4 signaling pathway which is important for the detection and response to Gram-negative bacterial infections. Through this pathway LBP and associated proteins such as CD14 and MD-2 help activate TLR4 triggering downstream NF-κB signaling. This activation leads to the production of pro-inflammatory cytokines and an upsurge in antimicrobial activities fortifying the body's defenses against bacterial invasion.

Enhanced LBP levels have been associated with sepsis a severe systemic response to bacterial infections which can often lead to septic shock. Given its pivotal role in recognizing bacterial endotoxins LBP is important in identifying infections making it a potential prospect for therapeutic targeting. Additionally its interaction with CD14 means that alterations in LBP function or expression levels might contribute to immune dysregulation seen in inflammatory diseases such as Crohn's disease where immune responses to gut microbiota play a central role.

Product protocols

For this product, it's our understanding that no specific protocols are required. You can visit:

Target data

Plays a role in the innate immune response. Binds to the lipid A moiety of bacterial lipopolysaccharides (LPS), a glycolipid present in the outer membrane of all Gram-negative bacteria (PubMed : 9144073). Acts as an affinity enhancer for CD14, facilitating its association with LPS (By similarity). Promotes the release of cytokines in response to bacterial lipopolysaccharide (PubMed : 24380872).
See full target information Lbp

Publications (3)

Recent publications for all applications. Explore the full list and refine your search

Journal of lipid research 66:100736 PubMed39724960

2024

Microglial activation and hypothalamic structural plasticity in HFD obesity: insights from semaglutide and minocycline.

Applications

Unspecified application

Species

Unspecified reactive species

Xi Rong,Fang Wei,Yuqi Jiang,Qintao Ma,Dongmei Wang,Jie Shen

International journal of molecular medicine 52: PubMed37830152

2023

Intestinal changes in permeability, tight junction and mucin synthesis in a mouse model of Alzheimer's disease.

Applications

Unspecified application

Species

Unspecified reactive species

Jing He,Yuanjie Liu,Junhua Li,Yueyang Zhao,Hanxiao Jiang,Shifang Luo,Guiqiong He

Cell cycle (Georgetown, Tex.) 22:967-985 PubMed36710409

2023

Deficiency of lipopolysaccharide binding protein facilitates adipose browning, glucose uptake and oxygen consumption in mouse embryonic fibroblasts via activating PI3K/Akt/mTOR pathway and inhibiting autophagy.

Applications

Unspecified application

Species

Unspecified reactive species

Xueyao Yin,Zhiye Xu,Xinxin Zhang,Jiahua Wu,Weina Lu
View all publications

Product promise

We are committed to supporting your work with high-quality reagents, and we're here for you every step of the way. In the unlikely event that one of our products does not perform as expected, you're protected by our Product Promise.
For full details, please see our Terms & Conditions

Please note: All products are 'FOR RESEARCH USE ONLY. NOT FOR USE IN DIAGNOSTIC OR THERAPEUTIC PROCEDURES'.

For licensing inquiries, please contact partnerships@abcam.com