JavaScript is disabled in your browser. Please enable JavaScript to view this website.
AB255688

Anti-LBP antibody [EPR22559-261] - BSA and Azide free

Be the first to review this product! Submit a review

|

(0 Publication)

Rabbit Recombinant Monoclonal LBP antibody. Carrier free. Suitable for IP, WB and reacts with Mouse samples.

View Alternative Names

Lipopolysaccharide-binding protein, LBP, Lbp

1 Images
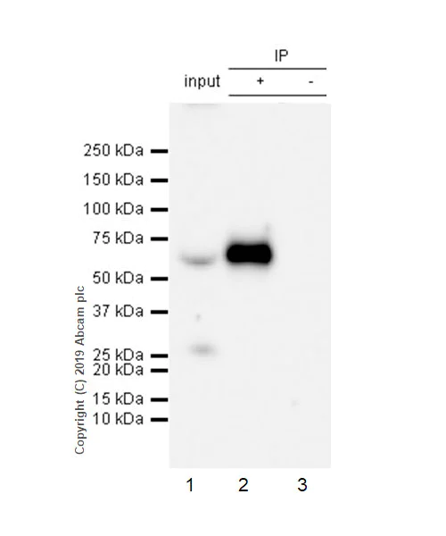
Immunoprecipitation - Anti-LBP antibody [EPR22559-261] - BSA and Azide free (AB255688)
  • IP

Unknown

Immunoprecipitation - Anti-LBP antibody [EPR22559-261] - BSA and Azide free (AB255688)

LBP was immunoprecipitated from 0.35 mg mouse ovary lysate with ab254559 at 1/30 dilution. Western blot was performed on the immunoprecipitate using ab254559 at 1/1000 dilution. VeriBlot for IP Detection Reagent (HRP) (ab131366) was used as the secondary antibody at 1/5000 dilution.

Lane 1 : Mouse ovary lysate 10μg (Input).
Lane 2 : ab254559 IP in mouse ovary lysate.
Lane 3 : Rabbit monoclonal IgG (ab172730) instead of ab254559 in mouse ovary lysate.

Blocking and dilution buffer and concentration : 5% NFDM/TBST.
Exposure time : 20 seconds.

This blot was developed using a higher sensitivity ECL substrate.

This data was developed using the same antibody clone in a different buffer formulation containing PBS, BSA, glycerol, and sodium azide (ab254559).

All lanes:

Immunoprecipitation - Anti-LBP antibody [EPR22559-261] (<a href='/en-us/products/primary-antibodies/lbp-antibody-epr22559-261-ab254559'>ab254559</a>)

Predicted band size: 53 kDa

Observed band size: 60 kDa

false

Key facts

Host species

Rabbit

Clonality

Monoclonal

Clone number

EPR22559-261

Isotype

IgG

Carrier free

Yes

Reacts with

Mouse

Applications

IP, WB

applications

Immunogen

The exact immunogen used to generate this antibody is proprietary information.

Reactivity data

{ "title": "Reactivity Data", "filters": { "stats": ["", "Species", "Dilution Info", "Notes"], "tabs": { "all-applications": {"fullname" : "All Applications", "shortname": "All Applications"}, "IP" : {"fullname" : "Immunoprecipitation", "shortname":"IP"}, "WB" : {"fullname" : "Western blot", "shortname":"WB"}, "IHCP" : {"fullname" : "Immunohistochemistry (Formalin/PFA-fixed paraffin-embedded sections)", "shortname":"IHC-P"}, "IHCFr" : {"fullname" : "Immunohistochemistry (Frozen sections)", "shortname":"IHC-Fr"} }, "product-promise": { "all": "all", "testedAndGuaranteed": "tested", "guaranteed": "expected", "predicted": "predicted", "notRecommended": "not-recommended" } }, "values": { "Mouse": { "IP-species-checked": "testedAndGuaranteed", "IP-species-dilution-info": "", "IP-species-notes": "<p></p>", "WB-species-checked": "guaranteed", "WB-species-dilution-info": "", "WB-species-notes": "<p></p>", "IHCP-species-checked": "notRecommended", "IHCP-species-dilution-info": "", "IHCP-species-notes": "<p></p>", "IHCFr-species-checked": "notRecommended", "IHCFr-species-dilution-info": "", "IHCFr-species-notes": "<p></p>" } } }

Product details

ab255688 is the carrier-free version of ab254559.

Patented technology
Our RabMAb® technology is a patented hybridoma-based technology for making rabbit monoclonal antibodies. For details on our patents, please refer to RabMAb® patents.

What are the advantages of a recombinant monoclonal antibody?
This product is a recombinant monoclonal antibody, which offers several advantages including:

  • - High batch-to-batch consistency and reproducibility
  • - Improved sensitivity and specificity
  • - Long-term security of supply
  • - Animal-free batch production

For more information, read more on recombinant antibodies.

Conjugation ready
Our carrier-free antibodies are typically supplied in a PBS-only formulation, purified and free of BSA, sodium azide and glycerol. This conjugation-ready format is designed for use with fluorochromes, metal isotopes, oligonucleotides, and enzymes, which makes them ideal for antibody labelling, functional and cell-based assays, flow-based assays (e.g. mass cytometry) and Multiplex Imaging applications.

Use our conjugation kits for antibody conjugates that are ready-to-use in as little as 20 minutes with 1 minute hands-on-time and 100% antibody recovery: available for fluorescent dyes, HRP, biotin and gold.

Compatibility
This product is compatible with the Maxpar® Antibody Labeling Kit from Fluidigm, without the need for antibody preparation. Maxpar® is a trademark of Fluidigm Canada Inc.

Properties and storage information

Form
Liquid
Purification technique
Affinity purification Protein A
Storage buffer
pH: 7.2 - 7.4 Constituents: PBS
Shipped at conditions
Blue Ice
Appropriate short-term storage conditions
+4°C
Appropriate long-term storage conditions
+4°C
Storage information
Do Not Freeze

Supplementary information

This supplementary information is collated from multiple sources and compiled automatically.

Lipopolysaccharide-binding protein (LBP) also known as LPS-binding protein is an acute-phase protein that plays a critical role in the immune response to Gram-negative bacterial infections. This protein weighing approximately 60kDa is primarily expressed in the liver and found in the serum. LBP binds to lipopolysaccharides (LPS) which are components of the outer membrane of Gram-negative bacteria facilitating the transfer of LPS to CD14 receptors on immune cells. This transfer enhances the recognition of bacterial endotoxins triggering an immune response.
Biological function summary

LBP serves a significant role in enhancing the sensitivity of the immune system to bacterial endotoxins. It does not form a permanent part of a larger complex but works closely with other molecules like CD14 and MD-2 an accessory protein of the TLR4 receptor to mediate the innate immune response. By efficiently binding LPS LBP aids in transporting these molecules to cell surface receptors accelerating the detection and subsequent response to infections.

Pathways

LBP is heavily involved in the TLR4 signaling pathway which is important for the detection and response to Gram-negative bacterial infections. Through this pathway LBP and associated proteins such as CD14 and MD-2 help activate TLR4 triggering downstream NF-κB signaling. This activation leads to the production of pro-inflammatory cytokines and an upsurge in antimicrobial activities fortifying the body's defenses against bacterial invasion.

Enhanced LBP levels have been associated with sepsis a severe systemic response to bacterial infections which can often lead to septic shock. Given its pivotal role in recognizing bacterial endotoxins LBP is important in identifying infections making it a potential prospect for therapeutic targeting. Additionally its interaction with CD14 means that alterations in LBP function or expression levels might contribute to immune dysregulation seen in inflammatory diseases such as Crohn's disease where immune responses to gut microbiota play a central role.

Product protocols

For this product, it's our understanding that no specific protocols are required. You can visit:

Target data

Plays a role in the innate immune response. Binds to the lipid A moiety of bacterial lipopolysaccharides (LPS), a glycolipid present in the outer membrane of all Gram-negative bacteria (PubMed : 9144073). Acts as an affinity enhancer for CD14, facilitating its association with LPS (By similarity). Promotes the release of cytokines in response to bacterial lipopolysaccharide (PubMed : 24380872).
See full target information Lbp

Product promise

We are committed to supporting your work with high-quality reagents, and we're here for you every step of the way. In the unlikely event that one of our products does not perform as expected, you're protected by our Product Promise.
For full details, please see our Terms & Conditions

Please note: All products are 'FOR RESEARCH USE ONLY. NOT FOR USE IN DIAGNOSTIC OR THERAPEUTIC PROCEDURES'.

For licensing inquiries, please contact partnerships@abcam.com