JavaScript is disabled in your browser. Please enable JavaScript to view this website.
AB63817

Anti-LC3B antibody

3

(1 Review)

|

(100 Publications)

Rabbit Polyclonal LC3B antibody. Suitable for IHC-P, WB, ICC/IF and reacts with Human, Mouse, Rat samples. Cited in 100 publications.

View Alternative Names

MAP1ALC3, MAP1LC3B, Microtubule-associated protein 1 light chain 3 beta, Autophagy-related protein LC3 B, Autophagy-related ubiquitin-like modifier LC3 B, MAP1 light chain 3-like protein 2, Microtubule-associated proteins 1A/1B light chain 3B, MAP1A/MAP1B LC3 B, MAP1A/MAP1B light chain 3 B

9 Images
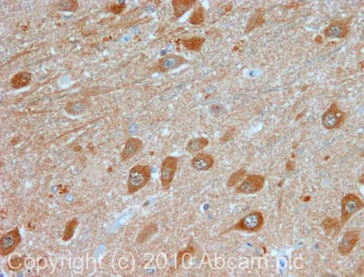
Immunohistochemistry (Formalin/PFA-fixed paraffin-embedded sections) - Anti-LC3B antibody (AB63817)
  • IHC-P

Unknown

Immunohistochemistry (Formalin/PFA-fixed paraffin-embedded sections) - Anti-LC3B antibody (AB63817)

IHC image of LC3B staining in human hippocampus formalin fixed paraffin embedded tissue section, performed on a Leica BondTM system using the standard protocol F. The section was pre-treated using heat mediated antigen retrieval with sodium citrate buffer (pH6, epitope retrieval solution 1) for 20 mins. The section was then incubated with ab63817, 1µg/ml, for 15 mins at room temperature and detected using an HRP conjugated compact polymer system. DAB was used as the chromogen. The section was then counterstained with haematoxylin and mounted with DPX.

Immunocytochemistry/ Immunofluorescence - Anti-LC3B antibody (AB63817)
  • ICC/IF

Lab

Immunocytochemistry/ Immunofluorescence - Anti-LC3B antibody (AB63817)

ab63817 staining LC3B in HAP1 cells (wildtype and MAP1LC3B knockout) +/- Chloroquine (50μM, 24 hours). The cells were fixed with 100% methanol (5 min), permeabilized with 0.1% Triton X-100 for 5 minutes and then blocked with 1% BSA/10% normal goat serum/0.3M glycine in 0.1% PBS-Tween for 1h. The cells were then incubated overnight at +4°C with ab63817 at 1μg/ml and ab195889, Mouse monoclonal to alpha Tubulin (Alexa Fluor® 594), at 1/250 dilution (shown in pseudocolor red) followed by a further incubation at room temperature for 1h with a goat secondary antibody to Rabbit IgG (Alexa Fluor® 488) (ab150081) at 2 μg/ml (shown in green). Nuclear DNA was labelled with DAPI (shown in blue).

Image was taken with a confocal microscope (Leica-Microsystems, TCS SP8).

Immunocytochemistry/ Immunofluorescence - Anti-LC3B antibody (AB63817)
  • ICC/IF

Lab

Immunocytochemistry/ Immunofluorescence - Anti-LC3B antibody (AB63817)

ab63817 staining LC3B in HeLa cells +/- Chloroquine (50μM, 24 hours). The cells were fixed with 100% methanol (5 min), permeabilized with 0.1% Triton X-100 for 5 minutes and then blocked with 1% BSA/10% normal goat serum/0.3M glycine in 0.1% PBS-Tween for 1h. The cells were then incubated overnight at +4°C with ab63817 at 1μg/ml and ab195889, Mouse monoclonal to alpha Tubulin (Alexa Fluor® 594), at 1/250 dilution (shown in pseudocolor red) followed by a further incubation at room temperature for 1h with a goat secondary antibody to Rabbit IgG (Alexa Fluor® 488) (ab150081) at 2 μg/ml (shown in green). Nuclear DNA was labelled with DAPI (shown in blue).

Image was taken with a confocal microscope (Leica-Microsystems, TCS SP8).

Immunocytochemistry/ Immunofluorescence - Anti-LC3B antibody (AB63817)
  • ICC/IF

AbReview35713****

Immunocytochemistry/ Immunofluorescence - Anti-LC3B antibody (AB63817)

Immunocytochemical analysis of HeLa cells, labeling LC3B with ab63817 (1/200 with PBS for 16 hours at 22°C). Cells were methanol fixed, immunofluorescently labeled, adn counterstained with DAPI.

This image is courtesy of an Abreview submitted by Kirk Mcmanus.

Western blot - Anti-LC3B antibody (AB63817)
  • WB

Lab

Western blot - Anti-LC3B antibody (AB63817)

Lane 1 : Wild-type HAP1 cell lysate (20 μg)
Lane 2 : LC3B knockout HAP1 cell lysate (20 μg)
Lane 3 : Human brain tissue lysate (20 μg)
Lane 4 : U87MG cell lysate (20 μg)
Lanes 1 - 4 : Merged signal (red and green). Green - ab63817 observed at 16 kDa. Red - loading control, ab8245, observed at 37 kDa.

ab63817 was shown to recognize LC3B in wild-type HAP1 cells along with additional cross reactive bands. No band was observed when LC3B knockout samples were examined. Wild-type and LC3B knockout samples were subjected to SDS-PAGE. ab63817 and ab8245 (loading control to GAPDH) were diluted 1 μg/mL and 1/10,000 respectively and incubated overnight at 4°C. Blots were developed with Goat anti-Rabbit IgG H&L (IRDye® 800CW) preadsorbed (ab216773) and Goat anti-Mouse IgG H&L (IRDye® 680RD) preadsorbed (ab216776) secondary antibodies at 1/10,000 dilution for 1 hour at room temperature before imaging.

All lanes:

Western blot - Anti-LC3B antibody (ab63817)

Predicted band size: 15 kDa

false

Western blot - Anti-LC3B antibody (AB63817)
  • WB

Lab

Western blot - Anti-LC3B antibody (AB63817)

False colour image of Western blot : Anti-LC3B antibody staining at 1/3000 dilution, shown in green; Mouse anti-Alpha Tubulin [DM1A] (ab7291) loading control staining at 1/20000 dilution, shown in red. In Western blot, ab51520 was shown to bind specifically to LC3B. A band was observed at 16/14 kDa (yellow arrows) in treated wild-type HepG2 cell lysates with no signal observed at this size in MAP1LC3B knockout cell line ab277828 (knockout cell lysate ab283796). To generate this image, wild-type and MAP1LC3B knockout HepG2 cell lysates were analysed. First, samples were run on an SDS-PAGE gel then transferred onto a nitrocellulose membrane. Membranes were blocked in 3 % milk in TBS-0.1 % Tween® 20 (TBS-T) before incubation with primary antibodies overnight at 4 °C. Blots were washed four times in TBS-T, incubated with secondary antibodies for 1 h at room temperature, washed again four times then imaged. Secondary antibodies used were Goat anti-Rabbit IgG H&L 800CW and Goat anti-Mouse IgG H&L 680RD at 1/20000 dilution.

All lanes:

Western blot - Anti-LC3B antibody (ab63817) at 1 µg/mL

Lane 1:

Wild-type HepG2 untreated control cell lysate at 20 µg

Lane 2:

Wild-type HepG2 Treated Chloroquine (50 uM, 16 h) cell lysate at 20 µg

Lane 3:

MAP1LC3B knockout HepG2 untreated control cell lysate at 20 µg

Lane 4:

MAP1LC3B knockout HepG2 Treated Chloroquine (50 uM, 16 h) cell lysate at 20 µg

Lane 5:

U-87 MG cell lysate at 20 µg

Lane 6:

PC-12 cell lysate at 20 µg

Predicted band size: 15 kDa

Observed band size: 16 kDa,14 kDa

false

Western blot - Anti-LC3B antibody (AB63817)
  • WB

Unknown

Western blot - Anti-LC3B antibody (AB63817)

All lanes:

Western blot - Anti-LC3B antibody (ab63817) at 1 µg/mL

Lane 1:

Brain (Mouse) Tissue Lysate at 10 µg

Lane 2:

Brain (Rat) Tissue Lysate at 10 µg

Secondary

All lanes:

Western blot - Goat Anti-Rabbit IgG H&L (HRP) preadsorbed (<a href='/en-us/products/secondary-antibodies/goat-rabbit-igg-h-l-hrp-preadsorbed-ab97080'>ab97080</a>) at 1/5000 dilution

Predicted band size: 15 kDa

Observed band size: 15 kDa,30 kDa,65 kDa

true

Exposure time: 3min

Western blot - Anti-LC3B antibody (AB63817)
  • WB

Unknown

Western blot - Anti-LC3B antibody (AB63817)

All lanes:

Western blot - Anti-LC3B antibody (ab63817) at 1 µg/mL

All lanes:

Human brain tissue lysate - total protein (<a href='/en-us/products/unavailable/human-brain-tissue-lysate-total-protein-ab29466'>ab29466</a>) at 10 µg

Secondary

All lanes:

Goat polyclonal to Rabbit IgG - H&L - Pre-Adsorbed (HRP) at 1/3000 dilution

Predicted band size: 15 kDa

Observed band size: 15 kDa,32 kDa,54 kDa

true

Exposure time: 2min

Western blot - Anti-LC3B antibody (AB63817)
  • WB

Unknown

Western blot - Anti-LC3B antibody (AB63817)

All lanes:

Western blot - Anti-LC3B antibody (ab63817) at 1 µg/mL

All lanes:

LC3B protein (Human) (<a href='/en-us/products/unavailable/lc3b-protein-human-ab87944'>ab87944</a>) at 0.1 µg

Secondary

All lanes:

Western blot - Goat Anti-Rabbit IgG H&L (HRP) preadsorbed (<a href='/en-us/products/secondary-antibodies/goat-rabbit-igg-h-l-hrp-preadsorbed-ab97080'>ab97080</a>) at 1/5000 dilution

Predicted band size: 15 kDa

true

Exposure time: 2min

Key facts

Host species

Rabbit

Clonality

Polyclonal

Isotype

IgG

Carrier free

No

Reacts with

Mouse, Rat, Human

Applications

IHC-P, WB, ICC/IF

applications

Immunogen

The exact immunogen used to generate this antibody is proprietary information.

Reactivity data

{ "title": "Reactivity Data", "filters": { "stats": ["", "Species", "Dilution Info", "Notes"], "tabs": { "all-applications": {"fullname" : "All Applications", "shortname": "All Applications"}, "IHCP" : {"fullname" : "Immunohistochemistry (Formalin/PFA-fixed paraffin-embedded sections)", "shortname":"IHC-P"}, "WB" : {"fullname" : "Western blot", "shortname":"WB"}, "ICCIF" : {"fullname" : "Immunocytochemistry/ Immunofluorescence", "shortname":"ICC/IF"} }, "product-promise": { "all": "all", "testedAndGuaranteed": "tested", "guaranteed": "expected", "predicted": "predicted", "notRecommended": "not-recommended" } }, "values": { "Human": { "IHCP-species-checked": "testedAndGuaranteed", "IHCP-species-dilution-info": "1 µg/mL", "IHCP-species-notes": "<p></p> Perform heat-mediated antigen retrieval before commencing with IHC staining protocol.", "WB-species-checked": "testedAndGuaranteed", "WB-species-dilution-info": "1 µg/mL", "WB-species-notes": "<p></p>", "ICCIF-species-checked": "testedAndGuaranteed", "ICCIF-species-dilution-info": "1 µg/mL", "ICCIF-species-notes": "<p></p>" }, "Mouse": { "IHCP-species-checked": "guaranteed", "IHCP-species-dilution-info": "", "IHCP-species-notes": "", "WB-species-checked": "testedAndGuaranteed", "WB-species-dilution-info": "1 µg/mL", "WB-species-notes": "<p></p>", "ICCIF-species-checked": "guaranteed", "ICCIF-species-dilution-info": "", "ICCIF-species-notes": "" }, "Rat": { "IHCP-species-checked": "guaranteed", "IHCP-species-dilution-info": "1 µg/mL", "IHCP-species-notes": "<p></p> Perform heat-mediated antigen retrieval before commencing with IHC staining protocol.", "WB-species-checked": "testedAndGuaranteed", "WB-species-dilution-info": "1 µg/mL", "WB-species-notes": "<p></p>", "ICCIF-species-checked": "guaranteed", "ICCIF-species-dilution-info": "1 µg/mL", "ICCIF-species-notes": "<p></p>" }, "Chicken": { "IHCP-species-checked": "predicted", "IHCP-species-dilution-info": "", "IHCP-species-notes": "", "WB-species-checked": "predicted", "WB-species-dilution-info": "", "WB-species-notes": "", "ICCIF-species-checked": "predicted", "ICCIF-species-dilution-info": "", "ICCIF-species-notes": "" }, "Cow": { "IHCP-species-checked": "predicted", "IHCP-species-dilution-info": "", "IHCP-species-notes": "", "WB-species-checked": "predicted", "WB-species-dilution-info": "", "WB-species-notes": "", "ICCIF-species-checked": "predicted", "ICCIF-species-dilution-info": "", "ICCIF-species-notes": "" }, "Macaque monkey": { "IHCP-species-checked": "predicted", "IHCP-species-dilution-info": "", "IHCP-species-notes": "", "WB-species-checked": "predicted", "WB-species-dilution-info": "", "WB-species-notes": "", "ICCIF-species-checked": "predicted", "ICCIF-species-dilution-info": "", "ICCIF-species-notes": "" } } }

Properties and storage information

Form
Liquid
Purification technique
Affinity purification Immunogen
Storage buffer
pH: 7.4 Preservative: 0.02% Sodium azide Constituents: PBS, 1% BSA
Shipped at conditions
Blue Ice
Appropriate short-term storage duration
1-2 weeks
Appropriate short-term storage conditions
+4°C
Appropriate long-term storage conditions
-20°C
Aliquoting information
Upon delivery aliquot
Storage information
Avoid freeze / thaw cycle

Supplementary information

This supplementary information is collated from multiple sources and compiled automatically.

LC3B also known as microtubule-associated protein 1 light chain 3 beta plays an important role in autophagy a process that maintains cellular homeostasis. The LC3B protein with a molecular weight of approximately 14 kDa undergoes lipidation to form LC3-II which associates with autophagosomal membranes. This protein expresses ubiquitously in various tissues including liver muscle and brain. Researchers often detect LC3B using techniques like LC3B western blot and LC3B immunofluorescence due to its function as a marker indicating autophagy levels.
Biological function summary

LC3B contributes significantly to the formation and maturation of autophagosomes. LC3B part of the autophagy-related protein complex binds to autophagic membranes. During this process LC3-I converts to LC3-II a lipid-phosphatidylethanolamine conjugate essential for autophagosome membrane expansion and closure. This mechanism helps remove damaged organelles and misfolded proteins from cells therefore contributing to cellular quality control.

Pathways

LC3B integrates into the autophagy pathway which is critical for cellular adaptive responses to stress. The mammalian target of rapamycin (mTOR) pathway regulates autophagy where mTOR inhibition activates LC3B promoting autophagosome formation. Moreover LC3B operates alongside other proteins like Beclin-1 and ULK1 facilitating the initiation and progression of autophagy under nutrient starvation conditions. These interactions highlight LC3's role in cellular energy balance and survival mechanisms.

LC3B connects with conditions such as cancer and neurodegenerative diseases. Altered autophagy levels mediated by LC3B often associate with tumorigenesis where its dysregulation can affect cancer progression. Furthermore LC3B also links to neurodegenerative diseases like Alzheimer's where impaired autophagy disrupts neuronal function. LC3B interacts with proteins such as p62/SQSTM1 which affects protein aggregate clearance a critical factor in neurodegenerative pathology.

Product protocols

For this product, it's our understanding that no specific protocols are required. You can visit:

Target data

Ubiquitin-like modifier involved in formation of autophagosomal vacuoles (autophagosomes) (PubMed : 20418806, PubMed : 23209295, PubMed : 28017329). Plays a role in mitophagy which contributes to regulate mitochondrial quantity and quality by eliminating the mitochondria to a basal level to fulfill cellular energy requirements and preventing excess ROS production (PubMed : 23209295, PubMed : 28017329). In response to cellular stress and upon mitochondria fission, binds C-18 ceramides and anchors autophagolysosomes to outer mitochondrial membranes to eliminate damaged mitochondria (PubMed : 22922758). While LC3s are involved in elongation of the phagophore membrane, the GABARAP/GATE-16 subfamily is essential for a later stage in autophagosome maturation (PubMed : 20418806, PubMed : 23209295, PubMed : 28017329). Promotes primary ciliogenesis by removing OFD1 from centriolar satellites via the autophagic pathway (PubMed : 24089205). Through its interaction with the reticulophagy receptor TEX264, participates in the remodeling of subdomains of the endoplasmic reticulum into autophagosomes upon nutrient stress, which then fuse with lysosomes for endoplasmic reticulum turnover (PubMed : 31006537, PubMed : 31006538). Upon nutrient stress, directly recruits cofactor JMY to the phagophore membrane surfaces and promotes JMY's actin nucleation activity and autophagosome biogenesis during autophagy (PubMed : 30420355).
See full target information MAP1LC3B

Publications (100)

Recent publications for all applications. Explore the full list and refine your search

Journal of orthopaedic surgery and research 20:566 PubMed40462169

2025

The increase in autophagy induced by naringin alleviates Schwann cell apoptosis mediated by the AMPK/mTOR signalling pathway.

Applications

Unspecified application

Species

Unspecified reactive species

Jianwei Lv,Duo Shan,Haobo Jia,Zengliang Wang

Scientific reports 15:15572 PubMed40320451

2025

Unveiling the protective role of ESM1 in endothelial cell proliferation and lipid reprogramming.

Applications

Unspecified application

Species

Unspecified reactive species

Yukun Li,Anbo Gao,Wenchao Zhou,Xing Tang,Tian Zeng,Tingyu Fan,Weimin Jiang,Min Tang,Fan Ouyang

Irish veterinary journal 78:10 PubMed40176193

2025

Reduction of microRNA-221 in BVDV infection enhances viral replication by targeting the ATG7-mediated autophagy pathway.

Applications

Unspecified application

Species

Unspecified reactive species

Zihan Chen,Jingyu Wang,Baochun Lu,Wenxin Meng,Yufan Zhu,Qifeng Jiang,Duo Gao,Zihang Ma,Huijuan Zeng,Jinping Chen,Shizhe Liu,Zhen Wang,Kun Jia

PloS one 19:e0314974 PubMed39739966

2025

High glucose promotes macrophage switching to the M1 phenotype via the downregulation of STAT-3 mediated autophagy.

Applications

Unspecified application

Species

Unspecified reactive species

Yu Zhao,Yuteng Jiang,Fengmei Wang,Li Sun,Mengyuan Ding,Liyuan Zhang,Beibei Wu,Xiaoliang Zhang

World journal of gastrointestinal oncology 16:4716-4727 PubMed39678812

2024

Enhancing the radiosensitivity of colorectal cancer cells by reducing spermine synthase through promoting autophagy and DNA damage.

Applications

Unspecified application

Species

Unspecified reactive species

Yu-Bin Guo,Yue-Ming Wu,Zhi-Zhao Lin

Cell division 19:33 PubMed39609925

2024

Curcumin enhances ATG3-dependent autophagy and inhibits metastasis in cervical carcinoma.

Applications

Unspecified application

Species

Unspecified reactive species

Fei Zheng,Jingjing Lu,Chuhan Wang,Huimin Yu,Yanhong Fu,Danli Ma

Life science alliance 8: PubMed39567194

2024

Fatty acid synthase inhibition alleviates lung fibrosis via β-catenin signal in fibroblasts.

Applications

Unspecified application

Species

Unspecified reactive species

Hui Lian,Yujie Zhang,Zhao Zhu,Ruyan Wan,Zhixia Wang,Kun Yang,Shuaichen Ma,Yaxuan Wang,Kai Xu,Lianhui Cheng,Wenyu Zhao,Yajun Li,Lan Wang,Guoying Yu

Oncology letters 29:30 PubMed39512504

2024

Biomarker potential of nuclear Nrf2 activation in the ABC subtype of diffuse large B‑cell lymphoma.

Applications

Unspecified application

Species

Unspecified reactive species

Chin-Mu Hsu,Shih-Yu Kao,Chia-Hung Yen,Chi-En Hsiao,Shih-Feng Cho,Hui-Ching Wang,Tsung-Jang Yeh,Jeng-Shiun Du,Min-Hong Wang,Tzu-Yu Hsieh,Samuel Yien Hsiao,Yuhsin Tsai,Li-Chuan Hung,Yi-Chang Liu,Kung-Chao Chang,Hui-Hua Hsiao

PloS one 19:e0313446 PubMed39527591

2024

RTA408 alleviates retinal ganglion cells damage in mouse glaucoma by inhibiting excessive autophagy.

Applications

Unspecified application

Species

Unspecified reactive species

Hongmei Qian,Wei Chen,Guomei Yuan,Man Luo,Li Zhang,Biao Wu,Hanshi Huang,Jiahao Xu,Qiong Wang,Mengyun Li

Experimental and therapeutic medicine 28:402 PubMed39234585

2024

PIN1‑silencing mitigates keratinocyte proliferation and the inflammatory response in psoriasis by activating mitochondrial autophagy.

Applications

Unspecified application

Species

Unspecified reactive species

Shuang Xia,Jin Li,Hongshan Yuan,Wenliang Yan
View all publications

Product promise

We are committed to supporting your work with high-quality reagents, and we're here for you every step of the way. In the unlikely event that one of our products does not perform as expected, you're protected by our Product Promise.
For full details, please see our Terms & Conditions

Please note: All products are 'FOR RESEARCH USE ONLY. NOT FOR USE IN DIAGNOSTIC OR THERAPEUTIC PROCEDURES'.

For licensing inquiries, please contact partnerships@abcam.com