JavaScript is disabled in your browser. Please enable JavaScript to view this website.
AB227112

Anti-LCAT antibody [EPR1384Y] - Low endotoxin, Azide free

Be the first to review this product! Submit a review

|

(1 Publication)

Rabbit Recombinant Monoclonal LCAT antibody. Carrier free. Suitable for IHC-P and reacts with Human samples. Cited in 1 publication.

View Alternative Names

Phosphatidylcholine-sterol acyltransferase, 1-alkyl-2-acetylglycerophosphocholine esterase, Lecithin-cholesterol acyltransferase, Phospholipid-cholesterol acyltransferase, Platelet-activating factor acetylhydrolase, PAF acetylhydrolase, LCAT

2 Images
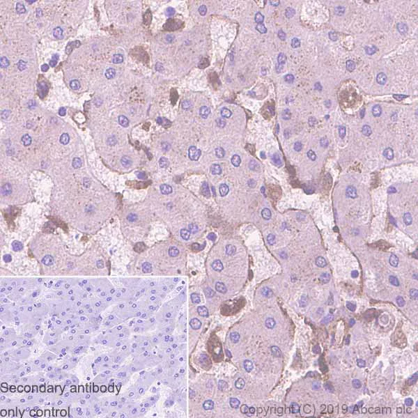
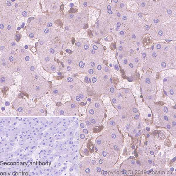
Immunohistochemistry (Formalin/PFA-fixed paraffin-embedded sections) - Anti-LCAT antibody [EPR1384Y] - Low endotoxin, Azide free (AB227112)
  • IHC-P

Lab

Immunohistochemistry (Formalin/PFA-fixed paraffin-embedded sections) - Anti-LCAT antibody [EPR1384Y] - Low endotoxin, Azide free (AB227112)

Immunohistochemistry (Formalin/PFA-fixed paraffin-embedded sections) analysis of human liver tissue sections labeling LCAT with purified ab51060 at 1/100 dilution (1.03 μg/mL). Heat mediated antigen retrieval was performed using Bond™ Epitope Retrieval Solution 2 (pH 9.0) . Rabbit specific IHC polymer detection kit HRP/DAB (ab209101) was used as the secondary antibody. Negative control : PBS instead of the primary antibody. Hematoxylin was used as a counterstain.
The immunostaining was performed on a Leica Biosystems BOND® RX instrument.

This data was developed using the same antibody clone in a different buffer formulation containing PBS BSA glycerol and sodium azide (ab51060)

Immunohistochemistry (Formalin/PFA-fixed paraffin-embedded sections) - Anti-LCAT antibody [EPR1384Y] - Low endotoxin, Azide free (AB227112)
  • IHC-P

Unknown

Immunohistochemistry (Formalin/PFA-fixed paraffin-embedded sections) - Anti-LCAT antibody [EPR1384Y] - Low endotoxin, Azide free (AB227112)

ab51060 (unpurified) at 1/100 dilution staining LCAT in paraffin embedded human brain tissue by Immunohistochemistry. Heat mediated antigen retrieval was performed before commencing with IHC staining protocol.

This data was developed using the same antibody clone in a different buffer formulation containing PBS, BSA, glycerol, and sodium azide (ab51060).

Key facts

Host species

Rabbit

Clonality

Monoclonal

Clone number

EPR1384Y

Isotype

IgG

Carrier free

Yes

Reacts with

Human

Applications

IHC-P

applications

Immunogen

The exact immunogen used to generate this antibody is proprietary information.

Reactivity data

{ "title": "Reactivity Data", "filters": { "stats": ["", "Species", "Dilution Info", "Notes"], "tabs": { "all-applications": {"fullname" : "All Applications", "shortname": "All Applications"}, "IHCP" : {"fullname" : "Immunohistochemistry (Formalin/PFA-fixed paraffin-embedded sections)", "shortname":"IHC-P"}, "IP" : {"fullname" : "Immunoprecipitation", "shortname":"IP"}, "WB" : {"fullname" : "Western blot", "shortname":"WB"} }, "product-promise": { "all": "all", "testedAndGuaranteed": "tested", "guaranteed": "expected", "predicted": "predicted", "notRecommended": "not-recommended" } }, "values": { "Human": { "IHCP-species-checked": "testedAndGuaranteed", "IHCP-species-dilution-info": "", "IHCP-species-notes": "<p>The immunostaining was performed on a Leica Biosystems BOND<sup>®</sup> RX instrument.</p>", "IP-species-checked": "notRecommended", "IP-species-dilution-info": "", "IP-species-notes": "<p></p>", "WB-species-checked": "notRecommended", "WB-species-dilution-info": "", "WB-species-notes": "<p></p>" } } }

Product details

ab227112 is the carrier-free version of ab51060.

Species reactivity
Mouse, Rat: We have preliminary internal testing data to indicate this antibody may not react with these species.
Please contact us for more information.

Patented technology
Our RabMAb® technology is a patented hybridoma-based technology for making rabbit monoclonal antibodies. For details on our patents, please refer to RabMAb® patents.

What are the advantages of a recombinant monoclonal antibody?
This product is a recombinant monoclonal antibody, which offers several advantages including:

  • - High batch-to-batch consistency and reproducibility
  • - Improved sensitivity and specificity
  • - Long-term security of supply
  • - Animal-free batch production

For more information, read more on recombinant antibodies.

Conjugation ready
Our carrier-free antibodies are typically supplied in a PBS-only formulation, purified and free of BSA, sodium azide and glycerol. This conjugation-ready format is designed for use with fluorochromes, metal isotopes, oligonucleotides, and enzymes, which makes them ideal for antibody labelling, functional and cell-based assays, flow-based assays (e.g. mass cytometry) and Multiplex Imaging applications.

Use our conjugation kits for antibody conjugates that are ready-to-use in as little as 20 minutes with 1 minute hands-on-time and 100% antibody recovery: available for fluorescent dyes, HRP, biotin and gold.

What does low endotoxin mean?
Our low endotoxin, azide-free formats have low endotoxin level (1 EU/mg, determined by the TAL assay) and are free from azide, to achieve consistent experimental results in functional assays.

Properties and storage information

Form
Liquid
Purification technique
Affinity purification Protein A
Storage buffer
pH: 7.2 - 7.4 Constituents: PBS
Shipped at conditions
Blue Ice
Appropriate short-term storage conditions
+4°C
Appropriate long-term storage conditions
+4°C
Storage information
Do Not Freeze

Supplementary information

This supplementary information is collated from multiple sources and compiled automatically.

LCAT also known as lecithin-cholesterol acyltransferase is an enzyme with a molecular mass of approximately 68 kDa. It belongs to the family of esterases and is mainly expressed in the liver. LCAT circulates in the bloodstream playing a significant role in lipid metabolism by catalyzing the formation of cholesteryl esters from free cholesterol and phosphatidylcholine (lecithin) on the surface of high-density lipoproteins (HDL).
Biological function summary

This enzyme functions centrally in the maturation of high-density lipoprotein particles. LCAT interacts with and acts upon HDL converting nascent HDL into mature HDL by catalyzing the esterification of cholesterol. This process results in the sequestration of cholesterol within the core of HDL particles essential for reverse cholesterol transport to the liver. Moreover LCAT does not operate as part of a larger complex but is an active enzyme on its own within various lipid transport processes.

Pathways

LCAT's action significantly influences the lipid metabolism and reverse cholesterol transport pathways. In the lipid metabolism pathway it works closely with apolipoproteins such as apoA-I which serves as an activator. ApoA-I stabilizes the enzymatic action of LCAT promoting cholesterol homeostasis whereas LCAT ensures the efficient transfer of cholesterol to the liver within the reverse cholesterol transport pathway contributing to the maintenance of lipid balance.

LCAT deficiency can lead to conditions like familial LCAT deficiency and Fish Eye disease. These disorders are marked by abnormal cholesterol and lipid accumulation due to impaired LCAT activity. Apolipoproteins particularly apoA-I also demonstrate a significant connection as mutations or lack of apoA-I compromise LCAT activation exacerbating hyperlipidemia and related lipid disorders.

Product protocols

For this product, it's our understanding that no specific protocols are required. You can visit:

Target data

Central enzyme in the extracellular metabolism of plasma lipoproteins. Synthesized mainly in the liver and secreted into plasma where it converts cholesterol and phosphatidylcholines (lecithins) to cholesteryl esters and lysophosphatidylcholines on the surface of high and low density lipoproteins (HDLs and LDLs) (PubMed : 10329423, PubMed : 19065001, PubMed : 26195816). The cholesterol ester is then transported back to the liver. Has a preference for plasma 16 : 0-18 : 2 or 18 : O-18 : 2 phosphatidylcholines (PubMed : 8820107). Also produced in the brain by primary astrocytes, and esterifies free cholesterol on nascent APOE-containing lipoproteins secreted from glia and influences cerebral spinal fluid (CSF) APOE- and APOA1 levels. Together with APOE and the cholesterol transporter ABCA1, plays a key role in the maturation of glial-derived, nascent lipoproteins. Required for remodeling high-density lipoprotein particles into their spherical forms (PubMed : 10722751). Catalyzes the hydrolysis of 1-O-alkyl-2-acetyl-sn-glycero-3-phosphocholine (platelet-activating factor or PAF) to 1-O-alkyl-sn-glycero-3-phosphocholine (lyso-PAF) (PubMed : 8016111). Also catalyzes the transfer of the acetate group from PAF to 1-hexadecanoyl-sn-glycero-3-phosphocholine forming lyso-PAF (PubMed : 8016111). Catalyzes the esterification of (24S)-hydroxycholesterol (24(S)OH-C), also known as cerebrosterol to produce 24(S)OH-C monoesters (PubMed : 24620755).
See full target information LCAT

Publications (1)

Recent publications for all applications. Explore the full list and refine your search

Reproduction (Cambridge, England) 139:163-76 PubMed19776099

2009

The reverse cholesterol transport system as a potential mediator of luteolysis in the primate corpus luteum.

Applications

Unspecified application

Species

Unspecified reactive species

Randy L Bogan,Jon D Hennebold
View all publications

Product promise

We are committed to supporting your work with high-quality reagents, and we're here for you every step of the way. In the unlikely event that one of our products does not perform as expected, you're protected by our Product Promise.
For full details, please see our Terms & Conditions

Please note: All products are 'FOR RESEARCH USE ONLY. NOT FOR USE IN DIAGNOSTIC OR THERAPEUTIC PROCEDURES'.

For licensing inquiries, please contact partnerships@abcam.com