JavaScript is disabled in your browser. Please enable JavaScript to view this website.
AB189933

Anti-Lck antibody

Be the first to review this product! Submit a review

|

(1 Publication)

Rabbit Polyclonal LCK antibody. Suitable for WB, IHC-P and reacts with Human samples. Cited in 1 publication. Immunogen corresponding to Recombinant Fragment Protein within Human LCK aa 1-300.

View Alternative Names

Tyrosine-protein kinase Lck, Leukocyte C-terminal Src kinase, Lymphocyte cell-specific protein-tyrosine kinase, Protein YT16, Proto-oncogene Lck, T cell-specific protein-tyrosine kinase, p56-LCK, LSK, LCK

2 Images
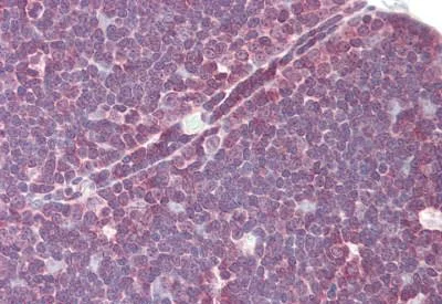
Immunohistochemistry (Formalin/PFA-fixed paraffin-embedded sections) - Anti-Lck antibody (AB189933)
  • IHC-P

Supplier Data

Immunohistochemistry (Formalin/PFA-fixed paraffin-embedded sections) - Anti-Lck antibody (AB189933)

Immunohistochemical analysis of formalin-fixed, paraffin-embedded Human thymus tissue labeling Lck with ab189933 at 10 μg/ml.

Western blot - Anti-Lck antibody (AB189933)
  • WB

Supplier Data

Western blot - Anti-Lck antibody (AB189933)

7.5% SDS PAGE.

All lanes:

Western blot - Anti-Lck antibody (ab189933) at 1/1000 dilution

All lanes:

MOLT4 whole cell lysate at 30 µg

Predicted band size: 58 kDa

false

Key facts

Host species

Rabbit

Clonality

Polyclonal

Isotype

IgG

Carrier free

No

Reacts with

Human

Applications

IHC-P, WB

applications

Immunogen

Recombinant Fragment Protein within Human LCK aa 1-300. The exact immunogen used to generate this antibody is proprietary information.

P06239

Reactivity data

{ "title": "Reactivity Data", "filters": { "stats": ["", "Species", "Dilution Info", "Notes"], "tabs": { "all-applications": {"fullname" : "All Applications", "shortname": "All Applications"}, "WB" : {"fullname" : "Western blot", "shortname":"WB"}, "IHCP" : {"fullname" : "Immunohistochemistry (Formalin/PFA-fixed paraffin-embedded sections)", "shortname":"IHC-P"} }, "product-promise": { "all": "all", "testedAndGuaranteed": "tested", "guaranteed": "expected", "predicted": "predicted", "notRecommended": "not-recommended" } }, "values": { "Human": { "WB-species-checked": "testedAndGuaranteed", "WB-species-dilution-info": "1/500 - 1/3000", "WB-species-notes": "<p></p>", "IHCP-species-checked": "testedAndGuaranteed", "IHCP-species-dilution-info": "10 µg/mL", "IHCP-species-notes": "<p></p>" }, "Mouse": { "WB-species-checked": "predicted", "WB-species-dilution-info": "", "WB-species-notes": "", "IHCP-species-checked": "predicted", "IHCP-species-dilution-info": "", "IHCP-species-notes": "" }, "Rat": { "WB-species-checked": "predicted", "WB-species-dilution-info": "", "WB-species-notes": "", "IHCP-species-checked": "predicted", "IHCP-species-dilution-info": "", "IHCP-species-notes": "" }, "Cow": { "WB-species-checked": "predicted", "WB-species-dilution-info": "", "WB-species-notes": "", "IHCP-species-checked": "predicted", "IHCP-species-dilution-info": "", "IHCP-species-notes": "" }, "Pig": { "WB-species-checked": "predicted", "WB-species-dilution-info": "", "WB-species-notes": "", "IHCP-species-checked": "predicted", "IHCP-species-dilution-info": "", "IHCP-species-notes": "" } } }

Properties and storage information

Form
Liquid
Purification technique
Affinity purification Immunogen
Storage buffer
pH: 7 Preservative: 0.01% Thimerosal (merthiolate) Constituents: 89% Tris glycine, 10% Glycerol (glycerin, glycerine)
Shipped at conditions
Blue Ice
Appropriate short-term storage duration
1-2 weeks
Appropriate short-term storage conditions
+4°C
Appropriate long-term storage conditions
-20°C
Aliquoting information
Upon delivery aliquot
Storage information
Avoid freeze / thaw cycle

Supplementary information

This supplementary information is collated from multiple sources and compiled automatically.

Lck also known as lymphocyte-specific protein tyrosine kinase plays an important role in T-cell activation. It serves as an enzyme and is integral in the signal transduction of the immune system. Lck has a molecular weight of approximately 56 kDa. It is expressed predominantly in T lymphocytes and is part of the Src family kinases. This protein is important in phosphorylating substrates leading to downstream signaling events that are necessary for the proper immune function.
Biological function summary

Lck initiates and propagates T-cell receptor (TCR) signaling cascades. It interacts with the CD4 and CD8 co-receptors and triggers the activation of other kinases within the cell. Lck as part of a signaling complex associates with proteins such as ZAP-70 and LAT facilitating the assembly of larger molecular machines necessary for immune responses. Its activity is tightly regulated by phosphorylation with key sites being tyrosine 394 and 505.

Pathways

The Lck protein plays an essential role in TCR signaling and immune responses. It actively participates in the Lck signaling pathway setting off cascades that lead to T-cell activation and differentiation. It interacts closely with other proteins like Fyn and Src making sure that the pathway progresses correctly. In conjunction with the immune synapse Lck ensures the transmission of signals that allow the T-cells to respond to external antigens efficiently.

Defective Lck activity can contribute to immunodeficiencies and autoimmune diseases. Proper Lck function is linked to conditions like Severe Combined Immunodeficiency (SCID) and lupus. Dysregulation in Lck activity may also affect proteins such as ZAP-70 worsening disease progression. Understanding Lck's participation in these conditions can lead to better therapeutic interventions and aid in developing targeted treatments for immune-related disorders.

Product protocols

For this product, it's our understanding that no specific protocols are required. You can visit:

Target data

Non-receptor tyrosine-protein kinase that plays an essential role in the selection and maturation of developing T-cells in the thymus and in the function of mature T-cells. Plays a key role in T-cell antigen receptor (TCR)-linked signal transduction pathways. Constitutively associated with the cytoplasmic portions of the CD4 and CD8 surface receptors. Association of the TCR with a peptide antigen-bound MHC complex facilitates the interaction of CD4 and CD8 with MHC class II and class I molecules, respectively, thereby recruiting the associated LCK protein to the vicinity of the TCR/CD3 complex. LCK then phosphorylates tyrosine residues within the immunoreceptor tyrosine-based activation motifs (ITAM) of the cytoplasmic tails of the TCR-gamma chains and CD3 subunits, initiating the TCR/CD3 signaling pathway. Once stimulated, the TCR recruits the tyrosine kinase ZAP70, that becomes phosphorylated and activated by LCK. Following this, a large number of signaling molecules are recruited, ultimately leading to lymphokine production. LCK also contributes to signaling by other receptor molecules. Associates directly with the cytoplasmic tail of CD2, which leads to hyperphosphorylation and activation of LCK. Also plays a role in the IL2 receptor-linked signaling pathway that controls the T-cell proliferative response. Binding of IL2 to its receptor results in increased activity of LCK. Is expressed at all stages of thymocyte development and is required for the regulation of maturation events that are governed by both pre-TCR and mature alpha beta TCR. Phosphorylates other substrates including RUNX3, PTK2B/PYK2, the microtubule-associated protein MAPT, RHOH or TYROBP. Interacts with FYB2 (PubMed : 27335501).
See full target information LCK

Publications (1)

Recent publications for all applications. Explore the full list and refine your search

Journal of bone and mineral research : the official journal of the American Society for Bone and Mineral Research 26:2498-510 PubMed21681813

2011

Smad6 is essential to limit BMP signaling during cartilage development.

Applications

Unspecified application

Species

Unspecified reactive species

Kristine D Estrada,Kelsey N Retting,Alana M Chin,Karen M Lyons
View all publications

Product promise

We are committed to supporting your work with high-quality reagents, and we're here for you every step of the way. In the unlikely event that one of our products does not perform as expected, you're protected by our Product Promise.
For full details, please see our Terms & Conditions

Please note: All products are 'FOR RESEARCH USE ONLY. NOT FOR USE IN DIAGNOSTIC OR THERAPEUTIC PROCEDURES'.

For licensing inquiries, please contact partnerships@abcam.com