JavaScript is disabled in your browser. Please enable JavaScript to view this website.
AB229380

Anti-Lck antibody [EPR20798-55] - BSA and Azide free

Be the first to review this product! Submit a review

|

(1 Publication)

Rabbit Recombinant Monoclonal LCK antibody. Carrier free. Suitable for WB, ICC/IF, Flow Cyt (Intra), IHC-P and reacts with Mouse, Rat, Human samples. Cited in 1 publication.

View Alternative Names

Tyrosine-protein kinase Lck, Leukocyte C-terminal Src kinase, Lymphocyte cell-specific protein-tyrosine kinase, Protein YT16, Proto-oncogene Lck, T cell-specific protein-tyrosine kinase, p56-LCK, LSK, LCK

7 Images
Flow Cytometry (Intracellular) - Anti-Lck antibody [EPR20798-55] - BSA and Azide free (AB229380)
  • Flow Cyt (Intra)

Supplier Data

Flow Cytometry (Intracellular) - Anti-Lck antibody [EPR20798-55] - BSA and Azide free (AB229380)

Intracellular flow cytometric analysis of 4% paraformaldehyde-fixed, 90% methanol-permeabilized �Jurkat (human T cell leukemia cell line from peripheral blood) cell line labeling Lck with ab227976 at 1/500 dilution (red) compared with a Rabbit IgG, monoclonal [EPR25A] - Isotype Control (ab172730) (black) and an unlabeled control (cells without incubation with primary antibody and secondary antibody) (blue). Goat Anti-Rabbit IgG H&L (Alexa Fluor� 488) (ab150077) at 1/2000 dilution was used as the secondary antibody.

This data was developed using the same antibody clone in a different buffer formulation containing PBS, BSA, glycerol, and sodium azide (ab227976).

Immunohistochemistry (Formalin/PFA-fixed paraffin-embedded sections) - Anti-Lck antibody [EPR20798-55] - BSA and Azide free (AB229380)
  • IHC-P

Supplier Data

Immunohistochemistry (Formalin/PFA-fixed paraffin-embedded sections) - Anti-Lck antibody [EPR20798-55] - BSA and Azide free (AB229380)

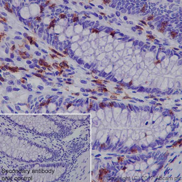
Immunohistochemical analysis of paraffin-embedded human colon tissue labeling Lck with ab227976 at 1/500 dilution, followed by Goat Anti-Rabbit IgG H&L (HRP) Ready to use. Membranous and cytoplasmic staining in T cells of human colon (PMID : 16769579). Counter stained with Hematoxylin.

Secondary antibody only control : Used PBS instead of primary antibody, secondary antibody is Goat Anti-Rabbit IgG H&L (HRP) Ready to use.

This data was developed using the same antibody clone in a different buffer formulation containing PBS, BSA, glycerol, and sodium azide (ab227976).

Perform heat mediated antigen retrieval with Tris/EDTA buffer pH 9.0 before commencing with IHC staining protocol.

Immunohistochemistry (Formalin/PFA-fixed paraffin-embedded sections) - Anti-Lck antibody [EPR20798-55] - BSA and Azide free (AB229380)
  • IHC-P

Supplier Data

Immunohistochemistry (Formalin/PFA-fixed paraffin-embedded sections) - Anti-Lck antibody [EPR20798-55] - BSA and Azide free (AB229380)

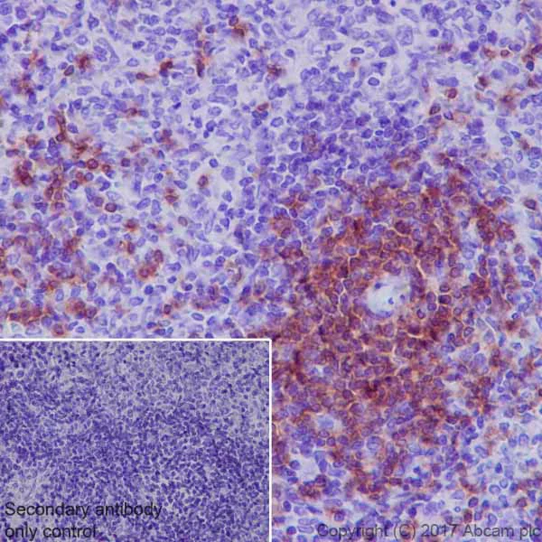
Immunohistochemical analysis of paraffin-embedded rat spleen tissue labeling Lck with ab227976 at 1/500 dilution, followed by Goat Anti-Rabbit IgG H&L (HRP) Ready to use. Membranous and cytoplasmic staining in rat spleen reactive lymph node and T cells (PMID : 16769579) is observed. Counter stained with Hematoxylin.

Secondary antibody only control : Used PBS instead of primary antibody, secondary antibody is Goat Anti-Rabbit IgG H&L (HRP) Ready to use.

This data was developed using the same antibody clone in a different buffer formulation containing PBS, BSA, glycerol, and sodium azide (ab227976).

Perform heat mediated antigen retrieval with Tris/EDTA buffer pH 9.0 before commencing with IHC staining protocol.

Immunocytochemistry/ Immunofluorescence - Anti-Lck antibody [EPR20798-55] - BSA and Azide free (AB229380)
  • ICC/IF

Unknown

Immunocytochemistry/ Immunofluorescence - Anti-Lck antibody [EPR20798-55] - BSA and Azide free (AB229380)

Immunofluorescent analysis of 4% paraformaldehyde-fixed, 0.1%, Triton X-100-permeabilized WEHI-231 (mouse lymphoblast B cell lymphoma cell line) cells labeling Lck with ab227976 at 1/100 dilution, followed by Goat Anti-Rabbit IgG H&L (Alexa Fluor® 488) (ab150077) secondary antibody at 1/1000 dilution (green). Confocal image showing membranous staining on WEHI-231 B cell line.

The nuclear counter stain is DAPI (blue). Tubulin is detected with Anti-alpha Tubulin antibody [DM1A] - Microtubule Marker (Alexa Fluor® 594) (ab195889) at 1/200 dilution (red).

Secondary antibody only control : Used PBS instead of primary antibody, secondary antibody is Goat Anti-Rabbit IgG H&L (Alexa Fluor® 488) (ab150077) secondary antibody at 1/1000 dilution.

This data was developed using the same antibody clone in a different buffer formulation containing PBS, BSA, glycerol, and sodium azide (ab227976).

Immunohistochemistry (Formalin/PFA-fixed paraffin-embedded sections) - Anti-Lck antibody [EPR20798-55] - BSA and Azide free (AB229380)
  • IHC-P

Supplier Data

Immunohistochemistry (Formalin/PFA-fixed paraffin-embedded sections) - Anti-Lck antibody [EPR20798-55] - BSA and Azide free (AB229380)

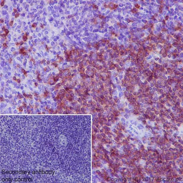
Immunohistochemical analysis of paraffin-embedded mouse spleen tissue labeling Lck with ab227976 at 1/500 dilution, followed by Goat Anti-Rabbit IgG H&L (HRP) Ready to use. Membranous and cytoplasmic staining in mouse spleen reactive lymph node and T cells (PMID : 16769579). Counter stained with Hematoxylin.

Secondary antibody only control : Used PBS instead of primary antibody, secondary antibody is Goat Anti-Rabbit IgG H&L (HRP) Ready to use.

This data was developed using the same antibody clone in a different buffer formulation containing PBS, BSA, glycerol, and sodium azide (ab227976).

Perform heat mediated antigen retrieval with Tris/EDTA buffer pH 9.0 before commencing with IHC staining protocol.

Flow Cytometry (Intracellular) - Anti-Lck antibody [EPR20798-55] - BSA and Azide free (AB229380)
  • Flow Cyt (Intra)

Supplier Data

Flow Cytometry (Intracellular) - Anti-Lck antibody [EPR20798-55] - BSA and Azide free (AB229380)

Intracellular flow cytometric analysis of 4% paraformaldehyde-fixed, 90% methanol-permeabilized �WEHI-231� (mouse lymphoblast B cell lymphoma cell line) cell line labeling Lck with ab227976 at 1/50 dilution (red) compared with a Rabbit IgG, monoclonal [EPR25A] - Isotype Control (ab172730) (black) and an unlabeled control (cells without incubation with primary antibody and secondary antibody) (blue). Goat Anti-Rabbit IgG H&L (Alexa Fluor� 488) (ab150077) at 1/2000 dilution was used as the secondary antibody.

This data was developed using the same antibody clone in a different buffer formulation containing PBS, BSA, glycerol, and sodium azide (ab227976).

Immunocytochemistry/ Immunofluorescence - Anti-Lck antibody [EPR20798-55] - BSA and Azide free (AB229380)
  • ICC/IF

Unknown

Immunocytochemistry/ Immunofluorescence - Anti-Lck antibody [EPR20798-55] - BSA and Azide free (AB229380)

Immunofluorescent analysis of 4% paraformaldehyde-fixed, 0.1%, Triton X-100-permeabilized Ramos (human Burkitt's lymphoma cell line) cells labeling Lck with ab227976 at 1/100 dilution, followed by Goat Anti-Rabbit IgG H&L (Alexa Fluor® 488) (ab150077) secondary antibody at 1/1000 dilution (green). Confocal image showing membranous staining on the Ramos B cell line.

The nuclear counter stain is DAPI (blue). Tubulin is detected with Anti-alpha Tubulin antibody [DM1A] - Microtubule Marker (Alexa Fluor® 594) (ab195889) at 1/200 dilution (red).

Secondary antibody only control : Used PBS instead of primary antibody, secondary antibody is Goat Anti-Rabbit IgG H&L (Alexa Fluor® 488) (ab150077) secondary antibody at 1/1000 dilution.

This data was developed using the same antibody clone in a different buffer formulation containing PBS, BSA, glycerol, and sodium azide (ab227976).

Key facts

Host species

Rabbit

Clonality

Monoclonal

Clone number

EPR20798-55

Isotype

IgG

Carrier free

Yes

Reacts with

Mouse, Rat, Human

Applications

ICC/IF, IHC-P, WB, Flow Cyt (Intra)

applications

Immunogen

The exact immunogen used to generate this antibody is proprietary information.

Reactivity data

{ "title": "Reactivity Data", "filters": { "stats": ["", "Species", "Dilution Info", "Notes"], "tabs": { "all-applications": {"fullname" : "All Applications", "shortname": "All Applications"}, "WB" : {"fullname" : "Western blot", "shortname":"WB"}, "ICCIF" : {"fullname" : "Immunocytochemistry/ Immunofluorescence", "shortname":"ICC/IF"}, "FlowCytIntra" : {"fullname" : "Flow Cytometry (Intracellular)", "shortname":"Flow Cyt (Intra)"}, "IHCP" : {"fullname" : "Immunohistochemistry (Formalin/PFA-fixed paraffin-embedded sections)", "shortname":"IHC-P"} }, "product-promise": { "all": "all", "testedAndGuaranteed": "tested", "guaranteed": "expected", "predicted": "predicted", "notRecommended": "not-recommended" } }, "values": { "Human": { "WB-species-checked": "guaranteed", "WB-species-dilution-info": "", "WB-species-notes": "<p></p>", "ICCIF-species-checked": "predicted", "ICCIF-species-dilution-info": "", "ICCIF-species-notes": "", "FlowCytIntra-species-checked": "predicted", "FlowCytIntra-species-dilution-info": "", "FlowCytIntra-species-notes": "", "IHCP-species-checked": "predicted", "IHCP-species-dilution-info": "", "IHCP-species-notes": "" }, "Mouse": { "WB-species-checked": "guaranteed", "WB-species-dilution-info": "", "WB-species-notes": "<p></p>", "ICCIF-species-checked": "testedAndGuaranteed", "ICCIF-species-dilution-info": "", "ICCIF-species-notes": "<p></p>", "FlowCytIntra-species-checked": "testedAndGuaranteed", "FlowCytIntra-species-dilution-info": "", "FlowCytIntra-species-notes": "<p></p>", "IHCP-species-checked": "guaranteed", "IHCP-species-dilution-info": "", "IHCP-species-notes": "" }, "Rat": { "WB-species-checked": "guaranteed", "WB-species-dilution-info": "", "WB-species-notes": "<p></p>", "ICCIF-species-checked": "guaranteed", "ICCIF-species-dilution-info": "", "ICCIF-species-notes": "", "FlowCytIntra-species-checked": "guaranteed", "FlowCytIntra-species-dilution-info": "", "FlowCytIntra-species-notes": "", "IHCP-species-checked": "testedAndGuaranteed", "IHCP-species-dilution-info": "", "IHCP-species-notes": "<p></p>" } } }

Product details

ab229380 is the carrier-free version of ab227976.

Patented technology
Our RabMAb® technology is a patented hybridoma-based technology for making rabbit monoclonal antibodies. For details on our patents, please refer to RabMAb® patents.

What are the advantages of a recombinant monoclonal antibody?
This product is a recombinant monoclonal antibody, which offers several advantages including:

  • - High batch-to-batch consistency and reproducibility
  • - Improved sensitivity and specificity
  • - Long-term security of supply
  • - Animal-free batch production

For more information, read more on recombinant antibodies.

Conjugation ready
Our carrier-free antibodies are typically supplied in a PBS-only formulation, purified and free of BSA, sodium azide and glycerol. This conjugation-ready format is designed for use with fluorochromes, metal isotopes, oligonucleotides, and enzymes, which makes them ideal for antibody labelling, functional and cell-based assays, flow-based assays (e.g. mass cytometry) and Multiplex Imaging applications.

Use our conjugation kits for antibody conjugates that are ready-to-use in as little as 20 minutes with 1 minute hands-on-time and 100% antibody recovery: available for fluorescent dyes, HRP, biotin and gold.

Compatibility
This product is compatible with the Maxpar® Antibody Labeling Kit from Fluidigm, without the need for antibody preparation. Maxpar® is a trademark of Fluidigm Canada Inc.

Properties and storage information

Form
Liquid
Purification technique
Affinity purification Protein A
Storage buffer
pH: 7.2 - 7.4 Constituents: PBS
Shipped at conditions
Blue Ice
Appropriate short-term storage conditions
+4°C
Appropriate long-term storage conditions
+4°C
Storage information
Do Not Freeze

Supplementary information

This supplementary information is collated from multiple sources and compiled automatically.

Lck also known as lymphocyte-specific protein tyrosine kinase plays an important role in T-cell activation. It serves as an enzyme and is integral in the signal transduction of the immune system. Lck has a molecular weight of approximately 56 kDa. It is expressed predominantly in T lymphocytes and is part of the Src family kinases. This protein is important in phosphorylating substrates leading to downstream signaling events that are necessary for the proper immune function.
Biological function summary

Lck initiates and propagates T-cell receptor (TCR) signaling cascades. It interacts with the CD4 and CD8 co-receptors and triggers the activation of other kinases within the cell. Lck as part of a signaling complex associates with proteins such as ZAP-70 and LAT facilitating the assembly of larger molecular machines necessary for immune responses. Its activity is tightly regulated by phosphorylation with key sites being tyrosine 394 and 505.

Pathways

The Lck protein plays an essential role in TCR signaling and immune responses. It actively participates in the Lck signaling pathway setting off cascades that lead to T-cell activation and differentiation. It interacts closely with other proteins like Fyn and Src making sure that the pathway progresses correctly. In conjunction with the immune synapse Lck ensures the transmission of signals that allow the T-cells to respond to external antigens efficiently.

Defective Lck activity can contribute to immunodeficiencies and autoimmune diseases. Proper Lck function is linked to conditions like Severe Combined Immunodeficiency (SCID) and lupus. Dysregulation in Lck activity may also affect proteins such as ZAP-70 worsening disease progression. Understanding Lck's participation in these conditions can lead to better therapeutic interventions and aid in developing targeted treatments for immune-related disorders.

Product protocols

For this product, it's our understanding that no specific protocols are required. You can visit:

Target data

Non-receptor tyrosine-protein kinase that plays an essential role in the selection and maturation of developing T-cells in the thymus and in the function of mature T-cells. Plays a key role in T-cell antigen receptor (TCR)-linked signal transduction pathways. Constitutively associated with the cytoplasmic portions of the CD4 and CD8 surface receptors. Association of the TCR with a peptide antigen-bound MHC complex facilitates the interaction of CD4 and CD8 with MHC class II and class I molecules, respectively, thereby recruiting the associated LCK protein to the vicinity of the TCR/CD3 complex. LCK then phosphorylates tyrosine residues within the immunoreceptor tyrosine-based activation motifs (ITAM) of the cytoplasmic tails of the TCR-gamma chains and CD3 subunits, initiating the TCR/CD3 signaling pathway. Once stimulated, the TCR recruits the tyrosine kinase ZAP70, that becomes phosphorylated and activated by LCK. Following this, a large number of signaling molecules are recruited, ultimately leading to lymphokine production. LCK also contributes to signaling by other receptor molecules. Associates directly with the cytoplasmic tail of CD2, which leads to hyperphosphorylation and activation of LCK. Also plays a role in the IL2 receptor-linked signaling pathway that controls the T-cell proliferative response. Binding of IL2 to its receptor results in increased activity of LCK. Is expressed at all stages of thymocyte development and is required for the regulation of maturation events that are governed by both pre-TCR and mature alpha beta TCR. Phosphorylates other substrates including RUNX3, PTK2B/PYK2, the microtubule-associated protein MAPT, RHOH or TYROBP. Interacts with FYB2 (PubMed : 27335501).
See full target information LCK

Publications (1)

Recent publications for all applications. Explore the full list and refine your search

The Journal of experimental medicine 221: PubMed38557723

2024

Helper T cell immunity in humans with inherited CD4 deficiency.

Applications

Unspecified application

Species

Unspecified reactive species

Antoine Guérin,Marcela Moncada-Vélez,Katherine Jackson,Masato Ogishi,Jérémie Rosain,Mathieu Mancini,David Langlais,Andrea Nunez,Samantha Webster,Jesse Goyette,Taushif Khan,Nico Marr,Danielle T Avery,Geetha Rao,Tim Waterboer,Birgitta Michels,Esmeralda Neves,Cátia Iracema Morais,Jonathan London,Stéphanie Mestrallet,Pierre Quartier Dit Maire,Bénédicte Neven,Franck Rapaport,Yoann Seeleuthner,Atar Lev,Amos J Simon,Jorge Montoya,Ortal Barel,Julio Gómez-Rodríguez,Julio C Orrego,Anne-Sophie L'Honneur,Camille Soudée,Jessica Rojas,Alejandra C Velez,Irini Sereti,Benjamin Terrier,Nancy Marin,Luis F García,Laurent Abel,Stéphanie Boisson-Dupuis,Joel Reis,Antonio Marinho,Andrea Lisco,Emilia Faria,Christopher C Goodnow,Julia Vasconcelos,Vivien Béziat,Cindy S Ma,Raz Somech,Jean-Laurent Casanova,Jacinta Bustamante,Jose Luis Franco,Stuart G Tangye
View all publications

Product promise

We are committed to supporting your work with high-quality reagents, and we're here for you every step of the way. In the unlikely event that one of our products does not perform as expected, you're protected by our Product Promise.
For full details, please see our Terms & Conditions

Please note: All products are 'FOR RESEARCH USE ONLY. NOT FOR USE IN DIAGNOSTIC OR THERAPEUTIC PROCEDURES'.

For licensing inquiries, please contact partnerships@abcam.com