JavaScript is disabled in your browser. Please enable JavaScript to view this website.
AB222910

Anti-LDH-C antibody

Be the first to review this product! Submit a review

|

(5 Publications)

Rabbit Polyclonal LDHC antibody. Suitable for WB, IHC-P, ICC/IF and reacts with Mouse, Rat, Human samples. Cited in 5 publications. Immunogen corresponding to Recombinant Full Length Protein corresponding to Human LDHC.

View Alternative Names

LDH3, LDHX, LDHC, L-lactate dehydrogenase C chain, LDH-C, Cancer/testis antigen 32, LDH testis subunit, LDH-X, CT32

4 Images
Immunocytochemistry/ Immunofluorescence - Anti-LDH-C antibody (AB222910)
  • ICC/IF

Supplier Data

Immunocytochemistry/ Immunofluorescence - Anti-LDH-C antibody (AB222910)

HeLa (human epithelial cell line from cervix adenocarcinoma) cells stained for Lactate Dehydrogenase C / LDH-C (green) using ab222910 at 1/100 dilution in ICC/IF. Secondary : Alexa Fluor 488® conjugated Goat Anti-Rabbit IgG (H+L).

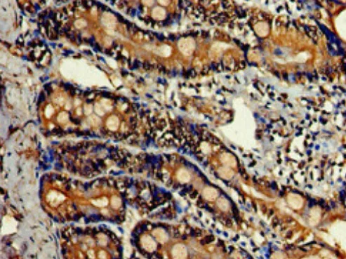
Immunohistochemistry (Formalin/PFA-fixed paraffin-embedded sections) - Anti-LDH-C antibody (AB222910)
  • IHC-P

Supplier Data

Immunohistochemistry (Formalin/PFA-fixed paraffin-embedded sections) - Anti-LDH-C antibody (AB222910)

Paraffin-embedded human small intestine tissue stained for Lactate Dehydrogenase C / LDH-C using ab222910 at 1/100 dilution in immunohistochemical analysis.

Immunohistochemistry (Formalin/PFA-fixed paraffin-embedded sections) - Anti-LDH-C antibody (AB222910)
  • IHC-P

Supplier Data

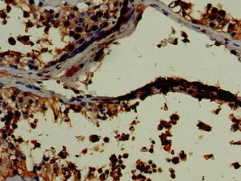
Immunohistochemistry (Formalin/PFA-fixed paraffin-embedded sections) - Anti-LDH-C antibody (AB222910)

Paraffin-embedded human testis tissue stained for Lactate Dehydrogenase C / LDH-C using ab222910 at 1/100 dilution in immunohistochemical analysis.

Western blot - Anti-LDH-C antibody (AB222910)
  • WB

Supplier Data

Western blot - Anti-LDH-C antibody (AB222910)

All lanes:

Western blot - Anti-LDH-C antibody (ab222910) at 1/500 dilution

Lane 1:

NIH/3T3 (mouse embryo fibroblast cell line) whole cell lysate

Lane 2:

HepG2 (human liver hepatocellular carcinoma cell line) whole cell lysate

Lane 3:

Mouse brain tissue lysate

Lane 4:

Mouse heart tissue lysate

Lane 5:

Mouse lung tissue lysate

Lane 6:

Mouse thymus tissue lysate

Lane 7:

Rat liver tissue lysate

Secondary

All lanes:

Goat Anti-Rabbit IgG

Predicted band size: 36 kDa

Observed band size: 37 kDa

false

Key facts

Host species

Rabbit

Clonality

Polyclonal

Isotype

IgG

Carrier free

No

Reacts with

Mouse, Rat, Human

Applications

IHC-P, ICC/IF, WB

applications

Immunogen

Recombinant Full Length Protein corresponding to Human LDHC.

P07864

Reactivity data

{ "title": "Reactivity Data", "filters": { "stats": ["", "Species", "Dilution Info", "Notes"], "tabs": { "all-applications": {"fullname" : "All Applications", "shortname": "All Applications"}, "WB" : {"fullname" : "Western blot", "shortname":"WB"}, "IHCP" : {"fullname" : "Immunohistochemistry (Formalin/PFA-fixed paraffin-embedded sections)", "shortname":"IHC-P"}, "ICCIF" : {"fullname" : "Immunocytochemistry/ Immunofluorescence", "shortname":"ICC/IF"} }, "product-promise": { "all": "all", "testedAndGuaranteed": "tested", "guaranteed": "expected", "predicted": "predicted", "notRecommended": "not-recommended" } }, "values": { "Human": { "WB-species-checked": "guaranteed", "WB-species-dilution-info": "", "WB-species-notes": "", "IHCP-species-checked": "testedAndGuaranteed", "IHCP-species-dilution-info": "1/20 - 1/200", "IHCP-species-notes": "<p></p>", "ICCIF-species-checked": "testedAndGuaranteed", "ICCIF-species-dilution-info": "1/50 - 1/200", "ICCIF-species-notes": "<p></p>" }, "Mouse": { "WB-species-checked": "testedAndGuaranteed", "WB-species-dilution-info": "1/500 - 1/5000", "WB-species-notes": "<p></p>", "IHCP-species-checked": "guaranteed", "IHCP-species-dilution-info": "", "IHCP-species-notes": "", "ICCIF-species-checked": "guaranteed", "ICCIF-species-dilution-info": "", "ICCIF-species-notes": "" }, "Rat": { "WB-species-checked": "testedAndGuaranteed", "WB-species-dilution-info": "1/500 - 1/5000", "WB-species-notes": "<p></p>", "IHCP-species-checked": "guaranteed", "IHCP-species-dilution-info": "", "IHCP-species-notes": "", "ICCIF-species-checked": "guaranteed", "ICCIF-species-dilution-info": "", "ICCIF-species-notes": "" }, "Pig": { "WB-species-checked": "predicted", "WB-species-dilution-info": "", "WB-species-notes": "", "IHCP-species-checked": "predicted", "IHCP-species-dilution-info": "", "IHCP-species-notes": "", "ICCIF-species-checked": "predicted", "ICCIF-species-dilution-info": "", "ICCIF-species-notes": "" } } }

Properties and storage information

Form
Liquid
Purification technique
Affinity purification Protein G
Purification notes
Purity >95%
Storage buffer
pH: 7.4 Preservative: 0.03% Proclin 300 Constituents: PBS, 50% Glycerol (glycerin, glycerine)
Shipped at conditions
Blue Ice
Appropriate short-term storage duration
1-2 weeks
Appropriate short-term storage conditions
+4°C
Appropriate long-term storage conditions
-20°C
Aliquoting information
Upon delivery aliquot
Storage information
Avoid freeze / thaw cycle

Supplementary information

This supplementary information is collated from multiple sources and compiled automatically.

LDH-C also known as lactate dehydrogenase C is an enzyme belonging to the LDH family consisting of five similar proteins: LDH-A LDH-B LDH-C LDH-D and LDH-E. LDH-C displays a monomeric mass of about 36 kDa and primarily localizes in the testis. This enzyme catalyzes the reversible conversion of pyruvate to lactate with NADH serving as a cofactor. The kinetic properties and substrate affinities of LDH-C make it distinct from the other LDH isoforms found in various tissues improving its efficiency in the testes.
Biological function summary

Despite LDH-C being expressed much more in spermatozoa than in other tissues it plays a significant role in energy metabolism during spermatogenesis. It acts as part of the tetrameric LDH complex often in combination with other LDH isoforms. This complex facilitates lactate production which sperm cells rely on for energy in low-oxygen environments. The LDH-C form provides metabolic efficiency necessary for sperm motility and function.

Pathways

LDH-C is a critical participant in the glycolytic pathway which plays a central role in energy production under anaerobic conditions. LDH-C's role in converting pyruvate to lactate becomes essential for maintaining the balance of NAD+/NADH an important factor for glycolysis continuity. This enzyme also shares common pathways with LDH-A and LDH-B both important for similar metabolic functions but in other tissues like muscle and liver.

Researchers have noted associations between LDH-C expression levels and male infertility. Abnormal LDH-C forms or its dysfunctional activity may lead to decreased sperm motility or other sperm defects resulting in fertility issues. While no direct connection to other proteins in disease contexts currently known the overlap in function with LDH isoforms particularly LDH-A and LDH-B suggests that altered metabolic environments may influence a range of metabolic disorders.

Product protocols

For this product, it's our understanding that no specific protocols are required. You can visit:

Target data

Possible role in sperm motility.
See full target information LDHC

Publications (5)

Recent publications for all applications. Explore the full list and refine your search

Cellular and molecular life sciences : CMLS 82:311 PubMed40801925

2025

Quercetin alleviates acute pancreatitis by modulating glycolysis and mitochondrial function via PFKFB3 inhibition.

Applications

Unspecified application

Species

Unspecified reactive species

Hai Jiang,Jia Liu,Zhipeng Xu,Qi Song,Junjie Tao,Heng Zhu,Qiliang Li,Lei Li

Pediatric surgery international 39:180 PubMed37055635

2023

Fetal lung hypoxia and energetic cell failure in the nitrofen-induced congenital diaphragmatic hernia rat model.

Applications

Unspecified application

Species

Unspecified reactive species

Mar Romero-Lopez,Marc Oria,Fernando Ferrer-Marquez,Maria Florencia Varela,Kristin Lampe,Miki Watanabe-Chailland,Leopoldo Martinez,Jose L Peiro

Frontiers in pharmacology 12:690371 PubMed34950023

2021

Hydrogen Sulfide Ameliorates Angiotensin II-Induced Atrial Fibrosis Progression to Atrial Fibrillation Through Inhibition of the Warburg Effect and Endoplasmic Reticulum Stress.

Applications

Unspecified application

Species

Unspecified reactive species

Heng-Jing Hu,Xiu-Heng Wang,Yao Liu,Tian-Qing Zhang,Zheng-Rong Chen,Chi Zhang,Zhi-Han Tang,Shun-Lin Qu,Hui-Fang Tang,Zhi-Sheng Jiang

Frontiers in pharmacology 11:703 PubMed32536864

2020

SNHG1 Inhibits ox-LDL-Induced Inflammatory Response and Apoptosis of HUVECs Up-Regulating GNAI2 and PCBP1.

Applications

Unspecified application

Species

Unspecified reactive species

Yuan Lu,Jue Xi,Yao Zhang,Wensu Chen,Fengyun Zhang,Chenzong Li,Zhirong Wang

Molecular medicine reports 19:2471-2478 PubMed30720094

2019

Aberrant expression of sperm‑specific glycolytic enzymes are associated with poor sperm quality.

Applications

Unspecified application

Species

Unspecified reactive species

Xuexia Liu,Qian Li,Wenjuan Wang,Fujun Liu
View all publications

Product promise

We are committed to supporting your work with high-quality reagents, and we're here for you every step of the way. In the unlikely event that one of our products does not perform as expected, you're protected by our Product Promise.
For full details, please see our Terms & Conditions

Please note: All products are 'FOR RESEARCH USE ONLY. NOT FOR USE IN DIAGNOSTIC OR THERAPEUTIC PROCEDURES'.

For licensing inquiries, please contact partnerships@abcam.com