JavaScript is disabled in your browser. Please enable JavaScript to view this website.
AB52747

Anti-LDH-C antibody [EP1746Y]

Be the first to review this product! Submit a review

|

(11 Publications)

Rabbit Monoclonal LDHC antibody. Suitable for IHC-P, WB, Flow Cyt (Intra) and reacts with Human samples. Cited in 11 publications.

View Alternative Names

LDH3, LDHX, LDHC, L-lactate dehydrogenase C chain, LDH-C, Cancer/testis antigen 32, LDH testis subunit, LDH-X, CT32

3 Images
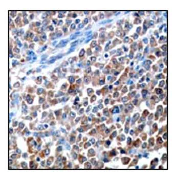
Immunohistochemistry (Formalin/PFA-fixed paraffin-embedded sections) - Anti-LDH-C antibody [EP1746Y] (AB52747)
  • IHC-P

Unknown

Immunohistochemistry (Formalin/PFA-fixed paraffin-embedded sections) - Anti-LDH-C antibody [EP1746Y] (AB52747)

Immunohistochemical staining of paraffin-embedded human testis carcinoma using ab52747 at a 1/50 dilution.

Perform heat mediated antigen retrieval with citrate buffer pH 6 before commencing with IHC staining protocol.

Flow Cytometry (Intracellular) - Anti-LDH-C antibody [EP1746Y] (AB52747)
  • Flow Cyt (Intra)

Supplier Data

Flow Cytometry (Intracellular) - Anti-LDH-C antibody [EP1746Y] (AB52747)

Flow Cytometry analysis of SK-BR-3 (Human breast adenocarcinoma epithelial cell) cells labeling LDH-C with ab52747 at 1/40 dilution (10 μg/mL) (Red). Cells were fixed with 4% Paraformaldehyde and permeabilised with 90% Methanol. A Goat anti rabbit IgG (Alexa Fluor® 488, ab150077) secondary antibody was used at 1/2000. Isotype control - Rabbit monoclonal IgG (Black). Unlabeled control - Cell without incubation with primary antibody and secondary antibody (Blue).

Western blot - Anti-LDH-C antibody [EP1746Y] (AB52747)
  • WB

Unknown

Western blot - Anti-LDH-C antibody [EP1746Y] (AB52747)

All lanes:

Western blot - Anti-LDH-C antibody [EP1746Y] (ab52747) at 1/20000 dilution

All lanes:

Human testis lysate at 10 µg

Secondary

All lanes:

Goat anti-rabbit HRP labeled at 1/2000 dilution

Predicted band size: 36 kDa

Observed band size: 31 kDa

false

  • Carrier free

    Anti-LDH-C antibody [EP1746Y] - BSA and Azide free

Key facts

Host species

Rabbit

Clonality

Monoclonal

Clone number

EP1746Y

Isotype

IgG

Carrier free

No

Reacts with

Human

Applications

IHC-P, WB, Flow Cyt (Intra)

applications

Immunogen

The exact immunogen used to generate this antibody is proprietary information.

Specificity

This antibody reacts with Lactate Dehydrogenase C / LDH-C. The immunogen sequence is 100% identical to Lactate Dehydrogenase C / LDH-C, but there is the possibility of cross-reactivity for lactate dehydrogenase A and lactate dehydrogenase B at 69% and 82%, respectively.

Reactivity data

{ "title": "Reactivity Data", "filters": { "stats": ["", "Species", "Dilution Info", "Notes"], "tabs": { "all-applications": {"fullname" : "All Applications", "shortname": "All Applications"}, "IHCP" : {"fullname" : "Immunohistochemistry (Formalin/PFA-fixed paraffin-embedded sections)", "shortname":"IHC-P"}, "ICCIF" : {"fullname" : "Immunocytochemistry/ Immunofluorescence", "shortname":"ICC/IF"}, "IP" : {"fullname" : "Immunoprecipitation", "shortname":"IP"}, "WB" : {"fullname" : "Western blot", "shortname":"WB"}, "FlowCytIntra" : {"fullname" : "Flow Cytometry (Intracellular)", "shortname":"Flow Cyt (Intra)"} }, "product-promise": { "all": "all", "testedAndGuaranteed": "tested", "guaranteed": "expected", "predicted": "predicted", "notRecommended": "not-recommended" } }, "values": { "Human": { "IHCP-species-checked": "testedAndGuaranteed", "IHCP-species-dilution-info": "", "IHCP-species-notes": "<p></p> Perform heat-mediated antigen retrieval with citrate buffer pH 6 before commencing with IHC staining protocol.", "ICCIF-species-checked": "notRecommended", "ICCIF-species-dilution-info": "", "ICCIF-species-notes": "<p></p>", "IP-species-checked": "notRecommended", "IP-species-dilution-info": "", "IP-species-notes": "<p></p>", "WB-species-checked": "testedAndGuaranteed", "WB-species-dilution-info": "1/10000 - 1/20000", "WB-species-notes": "<p></p>", "FlowCytIntra-species-checked": "testedAndGuaranteed", "FlowCytIntra-species-dilution-info": "1/40", "FlowCytIntra-species-notes": "<p><a href='/en-us/products/primary-antibodies/rabbit-igg-monoclonal-epr25a-isotype-control-ab172730'>ab172730</a> - Rabbit monoclonal IgG, is suitable for use as an isotype control with this antibody.</p>" } } }

Product details

Species reactivity
Mouse, Rat: We have preliminary internal testing data to indicate this antibody may not react with these species.
Please contact us for more information.

Patented technology
Our RabMAb® technology is a patented hybridoma-based technology for making rabbit monoclonal antibodies. For details on our patents, please refer to RabMAb® patents.

Properties and storage information

Form
Liquid
Purity
Tissue culture supernatant
Storage buffer
pH: 7.2 - 7.4 Preservative: 0.05% Sodium azide Constituents: 50% Tissue culture supernatant, 40% Glycerol (glycerin, glycerine), 9.85% Tris glycine, 0.1% BSA
Shipped at conditions
Blue Ice
Appropriate short-term storage conditions
+4°C
Appropriate long-term storage conditions
-20°C
Aliquoting information
Upon delivery aliquot
Storage information
Avoid freeze / thaw cycle

Supplementary information

This supplementary information is collated from multiple sources and compiled automatically.

LDH-C also known as lactate dehydrogenase C is an enzyme belonging to the LDH family consisting of five similar proteins: LDH-A LDH-B LDH-C LDH-D and LDH-E. LDH-C displays a monomeric mass of about 36 kDa and primarily localizes in the testis. This enzyme catalyzes the reversible conversion of pyruvate to lactate with NADH serving as a cofactor. The kinetic properties and substrate affinities of LDH-C make it distinct from the other LDH isoforms found in various tissues improving its efficiency in the testes.
Biological function summary

Despite LDH-C being expressed much more in spermatozoa than in other tissues it plays a significant role in energy metabolism during spermatogenesis. It acts as part of the tetrameric LDH complex often in combination with other LDH isoforms. This complex facilitates lactate production which sperm cells rely on for energy in low-oxygen environments. The LDH-C form provides metabolic efficiency necessary for sperm motility and function.

Pathways

LDH-C is a critical participant in the glycolytic pathway which plays a central role in energy production under anaerobic conditions. LDH-C's role in converting pyruvate to lactate becomes essential for maintaining the balance of NAD+/NADH an important factor for glycolysis continuity. This enzyme also shares common pathways with LDH-A and LDH-B both important for similar metabolic functions but in other tissues like muscle and liver.

Researchers have noted associations between LDH-C expression levels and male infertility. Abnormal LDH-C forms or its dysfunctional activity may lead to decreased sperm motility or other sperm defects resulting in fertility issues. While no direct connection to other proteins in disease contexts currently known the overlap in function with LDH isoforms particularly LDH-A and LDH-B suggests that altered metabolic environments may influence a range of metabolic disorders.

Product protocols

For this product, it's our understanding that no specific protocols are required. You can visit:

Target data

Possible role in sperm motility.
See full target information LDHC

Publications (11)

Recent publications for all applications. Explore the full list and refine your search

Cell communication and signaling : CCS 23:145 PubMed40108668

2025

Immunomodulatory effects of tumor Lactate Dehydrogenase C (LDHC) in breast cancer.

Applications

Unspecified application

Species

Unspecified reactive species

Adviti Naik,Remy Thomas,Aljazi Al-Khalifa,Hanan Qasem,Julie Decock

Cancers 16: PubMed39001513

2024

The LDHC-STAT3 Signaling Network Is a Key Regulator of Basal-like Breast Cancer Cell Survival.

Applications

Unspecified application

Species

Unspecified reactive species

Adviti Naik,Remy Thomas,Martin Sikhondze,Abeer Babiker,Boucif Lattab,Hanan Qasem,Umar Jafar,Julie Decock

Frontiers in oncology 12:912624 PubMed35814471

2022

Cancer-Testis Antigen LDH-C4 in Tissue, Serum, and Serum-Derived Exosomes Serves as a Promising Biomarker in Lung Adenocarcinoma.

Applications

Unspecified application

Species

Unspecified reactive species

Wei Peng,Jin Chen,Yanping Xiao,Guangjian Su,Yan Chen,Zhaolei Cui

Acta pharmaceutica Sinica. B 12:2348-2357 PubMed35646544

2022

Identification of human LDHC4 as a potential target for anticancer drug discovery.

Applications

Unspecified application

Species

Unspecified reactive species

Hong Tan,Huali Wang,Jinhu Ma,Hui Deng,Qinghua He,Qiang Chen,Qinglian Zhang

Experimental cell research 398:112414 PubMed33301764

2020

Cancer/testis antigen LDHC promotes proliferation and metastasis by activating the PI3K/Akt/GSK-3β-signaling pathway and the in lung adenocarcinoma.

Applications

Unspecified application

Species

Unspecified reactive species

Liangyuan Chen,Qiumei Wu,Xunyu Xu,Caihong Yang,Jianbin You,Falin Chen,Yanfen Zeng

Aging 12:19455-19467 PubMed33035196

2020

Cancer-testis antigen lactate dehydrogenase C4 in hepatocellular carcinoma: a promising biomarker for early diagnosis, efficacy evaluation and prognosis prediction.

Applications

Unspecified application

Species

Unspecified reactive species

Zhaolei Cui,Yun Li,Yanni Gao,Lingying Kong,Yingfeng Lin,Yan Chen

Cancer immunology, immunotherapy : CII 69:449-463 PubMed31932876

2020

Identification of two HLA-A*0201 immunogenic epitopes of lactate dehydrogenase C (LDHC): potential novel targets for cancer immunotherapy.

Applications

Unspecified application

Species

Unspecified reactive species

Remy Thomas,Hibah Shaath,Adviti Naik,Salman M Toor,Eyad Elkord,Julie Decock

Anatomical record (Hoboken, N.J. : 2007) 301:796-805 PubMed29232767

2017

A Comparative Immunohistochemical Study of Anal Canal Epithelium in Humans and Swine, Focusing on the Anal Transitional Zone Epithelium and the Anal Glands.

Applications

Unspecified application

Species

Unspecified reactive species

Futoshi Muranaka,Tomoyuki Nakajima,Mai Iwaya,Keiko Ishii,Kayoko Higuchi,Naoko Ogiwara,Shinichi Miyagawa,Hiroyoshi Ota

Molecular medicine reports 13:3533-8 PubMed26935238

2016

Expression of lactate dehydrogenase C in MDA‑MB‑231 cells and its role in tumor invasion and migration.

Applications

Unspecified application

Species

Unspecified reactive species

Lingying Kong,Wei Du,Zhaolei Cui,Li Wang,Zhi Yang,Hongsheng Zhang,Donghong Lin

Human reproduction (Oxford, England) 28:199-209 PubMed23024119

2012

Identification of genital tract markers in the human seminal plasma using an integrative genomics approach.

Applications

Unspecified application

Species

Unspecified reactive species

A D Rolland,R Lavigne,C Dauly,P Calvel,C Kervarrec,T Freour,B Evrard,N Rioux-Leclercq,J Auger,C Pineau
View all publications

Product promise

We are committed to supporting your work with high-quality reagents, and we're here for you every step of the way. In the unlikely event that one of our products does not perform as expected, you're protected by our Product Promise.
For full details, please see our Terms & Conditions

Please note: All products are 'FOR RESEARCH USE ONLY. NOT FOR USE IN DIAGNOSTIC OR THERAPEUTIC PROCEDURES'.

For licensing inquiries, please contact partnerships@abcam.com