JavaScript is disabled in your browser. Please enable JavaScript to view this website.
AB284694

Anti-LDH-C antibody [EP1746Y] - BSA and Azide free

Be the first to review this product! Submit a review

|

(0 Publication)

Rabbit Monoclonal LDHC antibody. Carrier free. Suitable for WB, IHC-P, Flow Cyt (Intra) and reacts with Human samples.

View Alternative Names

LDH3, LDHX, LDHC, L-lactate dehydrogenase C chain, LDH-C, Cancer/testis antigen 32, LDH testis subunit, LDH-X, CT32

3 Images
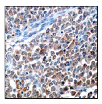
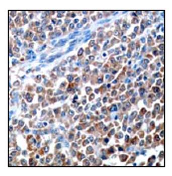
Immunohistochemistry (Formalin/PFA-fixed paraffin-embedded sections) - Anti-LDH-C antibody [EP1746Y] - BSA and Azide free (AB284694)
  • IHC-P

Supplier Data

Immunohistochemistry (Formalin/PFA-fixed paraffin-embedded sections) - Anti-LDH-C antibody [EP1746Y] - BSA and Azide free (AB284694)

This data was developed using ab52747, the same antibody clone in a different buffer formulation.Immunohistochemical staining of paraffin-embedded human testis carcinoma using ab52747 at a 1/50 dilution.

Perform heat mediated antigen retrieval with citrate buffer pH 6 before commencing with IHC staining protocol.

Flow Cytometry (Intracellular) - Anti-LDH-C antibody [EP1746Y] - BSA and Azide free (AB284694)
  • Flow Cyt (Intra)

Supplier Data

Flow Cytometry (Intracellular) - Anti-LDH-C antibody [EP1746Y] - BSA and Azide free (AB284694)

This data was developed using ab52747, the same antibody clone in a different buffer formulation.Flow Cytometry analysis of SK-BR-3 (Human breast adenocarcinoma epithelial cell) cells labeling LDH-C with ab52747 at 1/40 dilution (10 µg/mL) (Red). Cells were fixed with 4% Paraformaldehyde and permeabilised with 90% Methanol. A Goat anti rabbit IgG (Alexa Fluor® 488, ab150077) secondary antibody was used at 1/2000. Isotype control - Rabbit monoclonal IgG (Black). Unlabeled control - Cell without incubation with primary antibody and secondary antibody (Blue).

Western blot - Anti-LDH-C antibody [EP1746Y] - BSA and Azide free (AB284694)
  • WB

Unknown

Western blot - Anti-LDH-C antibody [EP1746Y] - BSA and Azide free (AB284694)

This data was developed using ab52747, the same antibody clone in a different buffer formulation.

All lanes:

Western blot - Anti-LDH-C antibody [EP1746Y] - BSA and Azide free (ab284694) at 1/20000 dilution

All lanes:

Human testis lysate at 10 µg

Secondary

All lanes:

Goat anti-rabbit HRP labeled at 1/2000 dilution

Predicted band size: 36 kDa

Observed band size: 31 kDa

false

Key facts

Host species

Rabbit

Clonality

Monoclonal

Clone number

EP1746Y

Isotype

IgG

Carrier free

Yes

Reacts with

Human

Applications

IHC-P, Flow Cyt (Intra), WB

applications

Immunogen

The exact immunogen used to generate this antibody is proprietary information.

Specificity

This antibody reacts with Lactate Dehydrogenase C / LDH-C. The immunogen sequence is 100% identical to Lactate Dehydrogenase C / LDH-C, but there is the possibility of cross-reactivity for lactate dehydrogenase A and lactate dehydrogenase B at 69% and 82%, respectively.

Reactivity data

{ "title": "Reactivity Data", "filters": { "stats": ["", "Species", "Dilution Info", "Notes"], "tabs": { "all-applications": {"fullname" : "All Applications", "shortname": "All Applications"}, "ICCIF" : {"fullname" : "Immunocytochemistry/ Immunofluorescence", "shortname":"ICC/IF"}, "IP" : {"fullname" : "Immunoprecipitation", "shortname":"IP"}, "WB" : {"fullname" : "Western blot", "shortname":"WB"}, "IHCP" : {"fullname" : "Immunohistochemistry (Formalin/PFA-fixed paraffin-embedded sections)", "shortname":"IHC-P"}, "FlowCytIntra" : {"fullname" : "Flow Cytometry (Intracellular)", "shortname":"Flow Cyt (Intra)"} }, "product-promise": { "all": "all", "testedAndGuaranteed": "tested", "guaranteed": "expected", "predicted": "predicted", "notRecommended": "not-recommended" } }, "values": { "Human": { "ICCIF-species-checked": "notRecommended", "ICCIF-species-dilution-info": "", "ICCIF-species-notes": "<p></p>", "IP-species-checked": "notRecommended", "IP-species-dilution-info": "", "IP-species-notes": "<p></p>", "WB-species-checked": "testedAndGuaranteed", "WB-species-dilution-info": "", "WB-species-notes": "<p></p>", "IHCP-species-checked": "testedAndGuaranteed", "IHCP-species-dilution-info": "", "IHCP-species-notes": "<p></p> Perform heat-mediated antigen retrieval with citrate buffer pH 6 before commencing with IHC staining protocol.", "FlowCytIntra-species-checked": "testedAndGuaranteed", "FlowCytIntra-species-dilution-info": "", "FlowCytIntra-species-notes": "<p><a href='/en-us/products/primary-antibodies/rabbit-igg-monoclonal-epr25a-isotype-control-ab172730'>ab172730</a> - Rabbit monoclonal IgG, is suitable for use as an isotype control with this antibody.</p>" } } }

Product details

ab284694 is the carrier-free version of ab52747

Patented technology
Our RabMAb® technology is a patented hybridoma-based technology for making rabbit monoclonal antibodies. For details on our patents, please refer to RabMAb® patents.

Conjugation ready
Our carrier-free antibodies are typically supplied in a PBS-only formulation, purified and free of BSA, sodium azide and glycerol. This conjugation-ready format is designed for use with fluorochromes, metal isotopes, oligonucleotides, and enzymes, which makes them ideal for antibody labelling, functional and cell-based assays, flow-based assays (e.g. mass cytometry) and Multiplex Imaging applications.

Use our conjugation kits for antibody conjugates that are ready-to-use in as little as 20 minutes with 1 minute hands-on-time and 100% antibody recovery: available for fluorescent dyes, HRP, biotin and gold.

Compatibility
This product is compatible with the Maxpar® Antibody Labeling Kit from Fluidigm, without the need for antibody preparation. Maxpar® is a trademark of Fluidigm Canada Inc.

Properties and storage information

Form
Liquid
Purity
Tissue culture supernatant
Storage buffer
pH: 7.2 - 7.4 Constituents: PBS
Shipped at conditions
Blue Ice
Appropriate short-term storage conditions
+4°C
Appropriate long-term storage conditions
+4°C

Supplementary information

This supplementary information is collated from multiple sources and compiled automatically.

LDH-C also known as lactate dehydrogenase C is an enzyme belonging to the LDH family consisting of five similar proteins: LDH-A LDH-B LDH-C LDH-D and LDH-E. LDH-C displays a monomeric mass of about 36 kDa and primarily localizes in the testis. This enzyme catalyzes the reversible conversion of pyruvate to lactate with NADH serving as a cofactor. The kinetic properties and substrate affinities of LDH-C make it distinct from the other LDH isoforms found in various tissues improving its efficiency in the testes.
Biological function summary

Despite LDH-C being expressed much more in spermatozoa than in other tissues it plays a significant role in energy metabolism during spermatogenesis. It acts as part of the tetrameric LDH complex often in combination with other LDH isoforms. This complex facilitates lactate production which sperm cells rely on for energy in low-oxygen environments. The LDH-C form provides metabolic efficiency necessary for sperm motility and function.

Pathways

LDH-C is a critical participant in the glycolytic pathway which plays a central role in energy production under anaerobic conditions. LDH-C's role in converting pyruvate to lactate becomes essential for maintaining the balance of NAD+/NADH an important factor for glycolysis continuity. This enzyme also shares common pathways with LDH-A and LDH-B both important for similar metabolic functions but in other tissues like muscle and liver.

Researchers have noted associations between LDH-C expression levels and male infertility. Abnormal LDH-C forms or its dysfunctional activity may lead to decreased sperm motility or other sperm defects resulting in fertility issues. While no direct connection to other proteins in disease contexts currently known the overlap in function with LDH isoforms particularly LDH-A and LDH-B suggests that altered metabolic environments may influence a range of metabolic disorders.

Product protocols

For this product, it's our understanding that no specific protocols are required. You can visit:

Target data

Possible role in sperm motility.
See full target information LDHC

Product promise

We are committed to supporting your work with high-quality reagents, and we're here for you every step of the way. In the unlikely event that one of our products does not perform as expected, you're protected by our Product Promise.
For full details, please see our Terms & Conditions

Please note: All products are 'FOR RESEARCH USE ONLY. NOT FOR USE IN DIAGNOSTIC OR THERAPEUTIC PROCEDURES'.

For licensing inquiries, please contact partnerships@abcam.com