JavaScript is disabled in your browser. Please enable JavaScript to view this website.
AB30532

Anti-LDL Receptor antibody

4

(12 Reviews)

|

(103 Publications)

Anti-LDL Receptor antibody (ab30532) is a rabbit polyclonal antibody detecting LDL Receptor in Western Blot, IHC-P, ICC/IF. Suitable for Human, Mouse, Rat.

- Over 80 publications
- Trusted since 2006

View Alternative Names

Low-density lipoprotein receptor, LDL receptor, LDLR

6 Images
Immunohistochemistry (Formalin/PFA-fixed paraffin-embedded sections) - Anti-LDL Receptor antibody (AB30532)
  • IHC-P

Unknown

Immunohistochemistry (Formalin/PFA-fixed paraffin-embedded sections) - Anti-LDL Receptor antibody (AB30532)

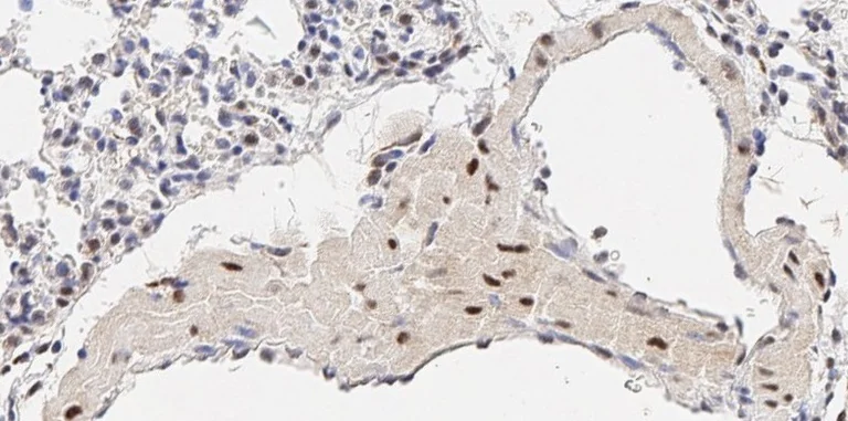
Immunohistochemistry analysis of formalin-fixed, paraffin-embedded (FFPE) mouse lung tissue after heat induced antigen retrieval in pH 6.0 citrate buffer. After incubation with LDL receptor polyclonal antibody, ab30532, at a 1 : 100 dilution, slides were incubated with biotinylated secondary antibody, followed by alkaline phosphatase-streptavidin and chromogen (DAB).

Immunocytochemistry/ Immunofluorescence - Anti-LDL Receptor antibody (AB30532)
  • ICC/IF

Unknown

Immunocytochemistry/ Immunofluorescence - Anti-LDL Receptor antibody (AB30532)

ICC/IF image of ab30532 stained HepG2 cells. The cells were 4% PFA fixed (10 min) and then incubated in 1%BSA / 10% normal goat serum / 0.3M glycine in 0.1% PBS-Tween for 1h to permeabilise the cells and block non-specific protein-protein interactions. The cells were then incubated with the antibody (ab30532, 1/400) overnight at +4°C. The secondary antibody (green) was Alexa Fluor® 488 goat anti-rabbit IgG (H+L) used at a 1/1000 dilution for 1h. Alexa Fluor® 594 WGA was used to label plasma membranes (red) at a 1/200 dilution for 1h. DAPI was used to stain the cell nuclei (blue) at a concentration of 1.43μM.

Immunohistochemistry (Formalin/PFA-fixed paraffin-embedded sections) - Anti-LDL Receptor antibody (AB30532)
  • IHC-P

Unknown

Immunohistochemistry (Formalin/PFA-fixed paraffin-embedded sections) - Anti-LDL Receptor antibody (AB30532)

ab30532 staining LDL receptor in human lung parenchyma.
Left panel : with primary antibody at 1/400. Right panel : isotype control.
Sections were stained using an automated system (DAKO Autostainer Plus), at room temperature : sections were rehydrated and antigen retrieved with the Dako 3 in 1 AR buffers citrate pH6.1. Slides were peroxidase blocked in 3% H2O2 in methanol for 10 mins. They were then blocked with Dako Protein block for 10 minutes (containing casein 0.25% in PBS) then incubated with primary antibody for 20 min and detected with Dako envision flex amplification kit for 30 minutes. Colorimetric detection was completed with Diaminobenzidine for 5 minutes. Slides were counterstained with Haematoxylin and coverslipped under DePeX. Please note that for manual staining we recommend to optimize the primary antibody concentration and incubation time (overnight incubation), and amplification may be required.

Immunocytochemistry - Anti-LDL Receptor antibody (AB30532)
  • ICC

AbReview80948****

Immunocytochemistry - Anti-LDL Receptor antibody (AB30532)

Immunocytochemistry analysis of acetone-fixed human Liver cells, Hep2G staining with ab30532 at 1/200 dilution. Secondary antibody was FITC rabbit IgG at 1/400 dilution. Samples were incubated with the primary antibody with Serum/PBS for 1 hours at 21°C. Blocking was done using 5% serum for 15 minutes at 21°C.

This image is courtesy of an anonymous Abreview

Western blot - Anti-LDL Receptor antibody (AB30532)
  • WB

Unknown

Western blot - Anti-LDL Receptor antibody (AB30532)

All lanes:

Western blot - Anti-LDL Receptor antibody (ab30532)

Lane 1:

HeLa Cell Lysate at 50 µg

Lane 2:

HepG2 Cell Lysate at 50 µg

Lane 3:

Huh7 Cell Lysate at 50 µg

Predicted band size: 95 kDa

false

Western blot - Anti-LDL Receptor antibody (AB30532)
  • WB

Supplier Data

Western blot - Anti-LDL Receptor antibody (AB30532)

All lanes:

Western blot - Anti-LDL Receptor antibody (ab30532) at 1/200 dilution

Lane 1:

RAW 264.7 Cells at 25 µg

Lane 2:

RAW 264.7 Cells at 50 µg

Lane 3:

Rat Liver Supernatant at 50 µg

Secondary

All lanes:

Anti-Rabbit-IgG-HRP at 1/7000 dilution

Predicted band size: 95 kDa

true

Key facts

Host species

Rabbit

Clonality

Polyclonal

Isotype

IgG

Carrier free

No

Reacts with

Mouse, Rat, Human

Applications

IHC-P, ICC/IF, WB

applications

Immunogen

Synthetic Peptide within Mouse Low-density lipoprotein receptor aa 450-550. The exact immunogen used to generate this antibody is proprietary information.

P35951

Reactivity data

{ "title": "Reactivity Data", "filters": { "stats": ["", "Species", "Dilution Info", "Notes"], "tabs": { "all-applications": {"fullname" : "All Applications", "shortname": "All Applications"}, "IHCP" : {"fullname" : "Immunohistochemistry (Formalin/PFA-fixed paraffin-embedded sections)", "shortname":"IHC-P"}, "ICCIF" : {"fullname" : "Immunocytochemistry/ Immunofluorescence", "shortname":"ICC/IF"}, "WB" : {"fullname" : "Western blot", "shortname":"WB"} }, "product-promise": { "all": "all", "testedAndGuaranteed": "tested", "guaranteed": "expected", "predicted": "predicted", "notRecommended": "not-recommended" } }, "values": { "Human": { "IHCP-species-checked": "testedAndGuaranteed", "IHCP-species-dilution-info": "1/400", "IHCP-species-notes": "<p></p>", "ICCIF-species-checked": "testedAndGuaranteed", "ICCIF-species-dilution-info": "1/100 - 1/400", "ICCIF-species-notes": "<p></p>", "WB-species-checked": "testedAndGuaranteed", "WB-species-dilution-info": "", "WB-species-notes": "<p></p>" }, "Mouse": { "IHCP-species-checked": "testedAndGuaranteed", "IHCP-species-dilution-info": "1/400", "IHCP-species-notes": "<p></p>", "ICCIF-species-checked": "guaranteed", "ICCIF-species-dilution-info": "", "ICCIF-species-notes": "", "WB-species-checked": "testedAndGuaranteed", "WB-species-dilution-info": "", "WB-species-notes": "<p></p>" }, "Rat": { "IHCP-species-checked": "guaranteed", "IHCP-species-dilution-info": "1/400", "IHCP-species-notes": "<p></p>", "ICCIF-species-checked": "guaranteed", "ICCIF-species-dilution-info": "1/100 - 1/400", "ICCIF-species-notes": "<p></p>", "WB-species-checked": "guaranteed", "WB-species-dilution-info": "", "WB-species-notes": "<p></p>" } } }

Product details

Product Specifications

Anti-LDL Receptor antibody (ab30532) is a rabbit polyclonal antibody and is validated for use in ICC/IF, IHC-P, WB in human, mouse, rat samples.
Anti-LDL Receptor antibody (ab30532) specifically detects Low-density lipoprotein receptor (UniProt ID: P01130; Molecular weight: 93kDa) and is sold in 50 µg selling sizes.

Quality and Validation

Abcam's high quality validation processes ensure Anti-LDL Receptor antibody (ab30532) has high sensitivity and specificity.
Anti-LDL Receptor antibody (ab30532) has been cited over 88 times in peer reviewed journals and is trusted by the scientific community.
Anti-LDL Receptor antibody (ab30532) has 12 independent reviews from customers.

Properties and storage information

Form
Liquid
Purification technique
Affinity purification Immunogen
Storage buffer
pH: 7.4 Preservative: 0.02% Sodium azide Constituents: Tris buffered saline, 40% Glycerol (glycerin, glycerine), 0.1% BSA
Shipped at conditions
Blue Ice
Appropriate short-term storage conditions
+4°C
Appropriate long-term storage conditions
-20°C
Aliquoting information
Upon delivery aliquot
Storage information
Avoid freeze / thaw cycle

Supplementary information

This supplementary information is collated from multiple sources and compiled automatically.

The LDL Receptor also called LDLR is a protein that plays an important role in the uptake and clearance of low-density lipoproteins (LDL) from the bloodstream. LDLR binds LDL particles facilitating their internalization through receptor-mediated endocytosis. This receptor is expressed mainly in the liver adrenal glands and other tissues involved in cholesterol metabolism. It has an approximate molecular weight of 160 kDa. Researchers often study LDLR using techniques like Western blotting to understand its presence and function.
Biological function summary

The LDL receptor interacts with LDL particles to regulate cholesterol levels in the body. It is part of a cell surface complex that recognizes and binds to apolipoprotein B-100 or apolipoprotein E present on LDL. This interaction initiates internalization of LDL leading to its degradation in lysosomes where cholesterol can be released and used by the cell. Mutations in the gene encoding LDLR can lead to inefficient cholesterol uptake influencing various metabolic processes.

Pathways

LDL receptor activities are integral to lipid metabolism and cholesterol homeostasis. Two important biological pathways that involve LDLR include the cholesterol biosynthesis pathway and the lipoprotein clearance pathway. Within these pathways LDLR collaborates closely with proteins like PCSK9 which modulates its expression and degradation and HMG-CoA reductase an important enzyme in cholesterol synthesis to balance cholesterol levels in the body.

Defects in the LDL receptor are strongly associated with familial hypercholesterolemia and atherosclerosis. These conditions arise from impaired clearance of LDL leading to elevated cholesterol levels which pose risks for cardiovascular diseases. LDLR dysfunctions are linked with the Protein PCSK9 whose gain-of-function mutations can exacerbate hypercholesterolemia by promoting degradation of LDLR while statins aim to increase LDLR expression to lower LDL cholesterol levels.

Product protocols

For this product, it's our understanding that no specific protocols are required. You can visit:

Target data

Binds low density lipoprotein /LDL, the major cholesterol-carrying lipoprotein of plasma, and transports it into cells by endocytosis. In order to be internalized, the receptor-ligand complexes must first cluster into clathrin-coated pits. Forms a ternary complex with PGRMC1 and TMEM97 receptors which increases LDLR-mediated LDL internalization (PubMed : 30443021).. (Microbial infection) Acts as a receptor for hepatitis C virus in hepatocytes, but not through a direct interaction with viral proteins.. (Microbial infection) Acts as a receptor for Vesicular stomatitis virus.. (Microbial infection) In case of HIV-1 infection, may function as a receptor for extracellular Tat in neurons, mediating its internalization in uninfected cells.. (Microbial infection) Acts as a receptor for Crimean-Congo hemorrhagic fever virus (CCHFV).. (Microbial infection) Acts as a receptor for many Alphavirus, including Getah virus (GETV), Ross river virus (RRV) and Semliki Forest virus.
See full target information Low-density lipoprotein receptor

Publications (103)

Recent publications for all applications. Explore the full list and refine your search

iScience 28:113405 PubMed40978144

2025

Histone demethylase LSD1 regulates lipid homeostasis during infection.

Applications

Unspecified application

Species

Unspecified reactive species

Gaurav Kumar Lohia,Awantika Shah,Kithiganahalli Narayanaswamy Balaji

Non-coding RNA research 13:71-83 PubMed40476020

2025

Palmitic acid reduces LDLR-dependent uptake of macrophage-derived extracellular vesicles by hepatoma cells.

Applications

Unspecified application

Species

Unspecified reactive species

Bootsakorn Boonkaew,Nantawat Satthawiwat,Bianca C Pachane,Lucy M Brett,Pisit Tangkijvanich,Chaiyaboot Ariyachet

Advanced science (Weinheim, Baden-Wurttemberg, Germany) 12:e2408514 PubMed40192514

2025

PCSK9 Promotes the Malignancy of Triple-negative Breast Cancer Cells by Reducing Cholesterol Levels at the Plasma Membrane to Activate EGFR and HER3.

Applications

Unspecified application

Species

Unspecified reactive species

Tianhong Li,Renfei Wu,Kathy Qian Luo

Experimental and therapeutic medicine 29:46 PubMed39885913

2025

Lindl. alkaloids improve lipid metabolism by increasing LDL uptake through regulation of the LXRα/IDOL/LDLR pathway and inhibition of PCSK9 expression in HepG2 cells.

Applications

Unspecified application

Species

Unspecified reactive species

Jian Sun,Hao-Rui Liu,Ya-Xin Zhu,Wei Zhang,Jing-Shan Shi,Qin Wu,Rui-Xia Xu

EMBO reports 25:4311-4336 PubMed39232200

2024

An hepatitis B and D virus infection model using human pluripotent stem cell-derived hepatocytes.

Applications

Unspecified application

Species

Unspecified reactive species

Huanting Chi,Bingqian Qu,Angga Prawira,Talisa Richardt,Lars Maurer,Jungen Hu,Rebecca M Fu,Florian A Lempp,Zhenfeng Zhang,Dirk Grimm,Xianfang Wu,Stephan Urban,Viet Loan Dao Thi

Cell reports. Medicine 5:101614 PubMed38897173

2024

Development of a PCSK9-targeted nanoparticle vaccine to effectively decrease the hypercholesterolemia.

Applications

Unspecified application

Species

Unspecified reactive species

Qiannan Fang,Xinyu Lu,Yuanqiang Zhu,Xi Lv,Fei Yu,Xiancai Ma,Bingfeng Liu,Hui Zhang

International journal of molecular sciences 24: PubMed38003494

2023

Extract Increased Hepatic Levels of Lipolysis-Stimulated Lipoprotein Receptor and Lipids in Mice on Normal Diet.

Applications

Unspecified application

Species

Unspecified reactive species

Marine Hanse,Samina Akbar,Hamed Layeghkhavidaki,Frances T Yen

Antioxidants (Basel, Switzerland) 12: PubMed37507992

2023

Interactions between Angiotensin Type-1 Antagonists, Statins, and ROCK Inhibitors in a Rat Model of L-DOPA-Induced Dyskinesia.

Applications

Unspecified application

Species

Unspecified reactive species

Andrea Lopez-Lopez,Rita Valenzuela,Ana Isabel Rodriguez-Perez,María J Guerra,Jose Luis Labandeira-Garcia,Ana Muñoz

Nature communications 14:4007 PubMed37414857

2023

Multiomics analysis of naturally efficacious lipid nanoparticle coronas reveals high-density lipoprotein is necessary for their function.

Applications

Unspecified application

Species

Unspecified reactive species

Kai Liu,Ralf Nilsson,Elisa Lázaro-Ibáñez,Hanna Duàn,Tasso Miliotis,Marie Strimfors,Michael Lerche,Ana Rita Salgado Ribeiro,Johan Ulander,Daniel Lindén,Anna Salvati,Alan Sabirsh

The Kaohsiung journal of medical sciences 39:779-788 PubMed37218642

2023

LDLR promotes autophagy-mediated cisplatin resistance in ovarian cancer associated with the PI3K/AKT/mTOR signaling pathway.

Applications

Unspecified application

Species

Unspecified reactive species

Lei Liu,Yu-Hui Sun,Ran An,Rong-Jie Cheng,Nan Li,Jian-Hua Zheng
View all publications

Product promise

We are committed to supporting your work with high-quality reagents, and we're here for you every step of the way. In the unlikely event that one of our products does not perform as expected, you're protected by our Product Promise.
For full details, please see our Terms & Conditions

Please note: All products are 'FOR RESEARCH USE ONLY. NOT FOR USE IN DIAGNOSTIC OR THERAPEUTIC PROCEDURES'.

For licensing inquiries, please contact partnerships@abcam.com